Characterisation of European Field Goat Prion Isolates in Ovine PrP Overexpressing Transgenic Mice (Tgshp IX) Reveals Distinct Prion Strains
Abstract
1. Introduction
2. Materials and Methods
3. Results
3.1. Transmission Profile
3.2. Lesion Profile
3.3. PrPSc Profile
3.3.1. PrPSc Profile of Atypical Scrapie, Caprine BSE and CH1641 (Reference Strains)
3.3.2. Geographical Analysis along PrPSc Profile of CS Isolates
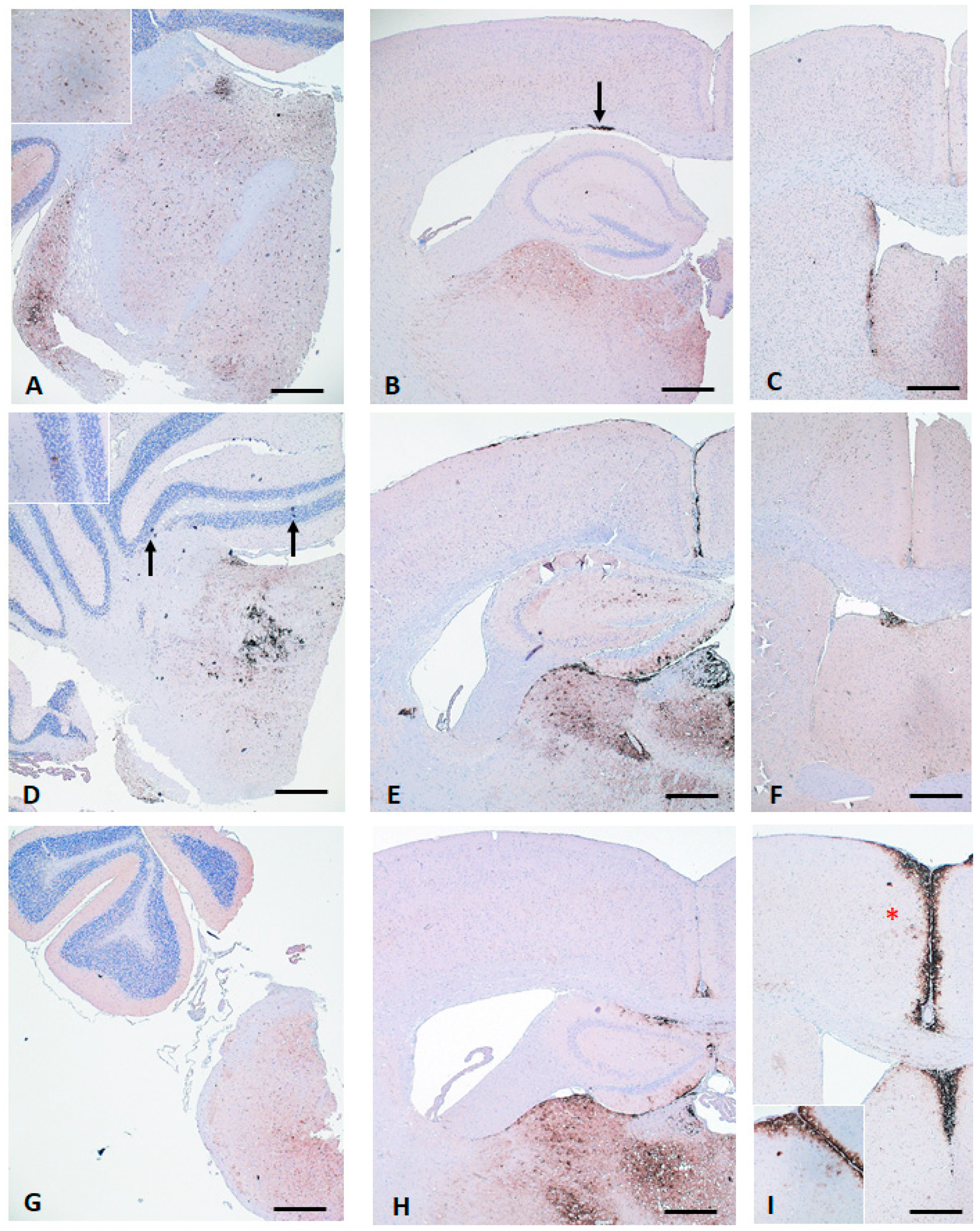
3.4. Cellular Patterns and Plaque and Plaque-like Formations in CS Isolates
- Coarse deposits were widely distributed and most severe in all Cyprian isolates as well as G2. However, in French isolates, including F16, such a pattern was rarely seen. Accordingly, the coarse deposits of the Cyprian isolates often transitioned into a coalescing pattern, which is only rarely seen in most of the other isolates and never in French isolates. In general, the coalescing pattern is mostly confined to the CC.
 - Perivascular deposits are often associated with severely affected areas and are predominantly seen in the Cyprian and most Italian isolates.
 - Perivacuolar deposits were found only occasionally and often parallel to perivascular patterns in areas with severe fine to coarse accumulation. Perivacuolar PrPSc were most prominent in isolate G2.
 
- The rostral brain region only showed mild PL depositions in all isolates investigated.
 - Mild numbers of PL depositions were seen in the brain stem, with the exception of the Italian samples, which in turn showed only minor amounts of PL depositions in the CC. In particular, isolates I3, I5 and I11 were most affected by PL deposits in the brain stem with a relatively lesser extent in the rostral brain.
 - The CC is the area where most PL depositions were detectable, at mostly intermediate to severe extents induced by most of the CS isolates as well as gtBSE. In contrast, the Italian isolates, F16, G1 and G4, showed no or only mild PL deposits in this area.
 - The cerebellum of most isolates was negative, and only a few showed mild PL formations.
 
- None of the CS isolates induced a PrPSc accumulation in the molecular layer of the cerebellum typical for AS.
 - The gtBSE typical simultaneous PrPSc deposition in the granular and molecular layer of the cerebellum was not induced by any of the CS isolates. In addition, the characteristic widespread SBPL and PL-like reaction pattern induced by gtBSE was also not achieved by any of the CS isolates.
 - Although some of the CS isolates (S2, S3, F11, UKA1) and to a lesser extent isolates N3, F3 and UKD2 have single brain regions with a distinctive ITNR reaction pattern associated with a fine extracellular PrPSc accumulation, this pattern is unique in its extent only for CH1641.
 
4. Discussion
5. Conclusions
Supplementary Materials
Author Contributions
Funding
Institutional Review Board Statement
Informed Consent Statement
Data Availability Statement
Acknowledgments
Conflicts of Interest
References
- Aguzzi, A.; Baumann, F.; Bremer, J. The prion’s elusive reason for being. Annu. Rev. Neurosci. 2008, 31, 439–477. [Google Scholar] [CrossRef]
 - Rivera, N.A.; Brandt, A.L.; Novakofski, J.E.; Mateus-Pinilla, N.E. Chronic Wasting Disease In Cervids: Prevalence, Impact And Management Strategies. Vet. Med. 2019, 10, 123–139. [Google Scholar] [CrossRef]
 - Williams, E.S.; Young, S. Chronic wasting disease of captive mule deer: A spongiform encephalopathy. J. Wildl. Dis. 1980, 16, 89–98. [Google Scholar] [CrossRef]
 - Babelhadj, B.; Di Bari, M.A.; Pirisinu, L.; Chiappini, B.; Gaouar, S.B.S.; Riccardi, G.; Marcon, S.; Agrimi, U.; Nonno, R.; Vaccari, G. Prion Disease in Dromedary Camels, Algeria. Emerg. Infect. Dis. 2018, 24, 1029–1036. [Google Scholar] [CrossRef]
 - Wells, G.A.; Scott, A.C.; Johnson, C.T.; Gunning, R.F.; Hancock, R.D.; Jeffrey, M.; Dawson, M.; Bradley, R. A novel progressive spongiform encephalopathy in cattle. Vet. Rec. 1987, 121, 419–420. [Google Scholar] [CrossRef]
 - Prusiner, S.B. Novel proteinaceous infectious particles cause scrapie. Science 1982, 216, 136–144. [Google Scholar] [CrossRef] [PubMed]
 - Bruce, M.E.; Will, R.G.; Ironside, J.W.; McConnell, I.; Drummond, D.; Suttie, A.; McCardle, L.; Chree, A.; Hope, J.; Birkett, C.; et al. Transmissions to mice indicate that ‘new variant’ CJD is caused by the BSE agent. Nature 1997, 389, 498–501. [Google Scholar] [CrossRef] [PubMed]
 - Jeffrey, M.; Martin, S.; González, L.; Foster, J.; Langeveld, J.P.M.; van Zijderveld, F.G.; Grassi, J.; Hunter, N. Immunohistochemical Features of PrPd Accumulation in Natural and Experimental Goat Transmissible Spongiform Encephalopathies. J. Comp. Pathol. 2006, 134, 171–181. [Google Scholar] [CrossRef] [PubMed]
 - Spiropoulos, J.; Lockey, R.; Sallis, R.E.; Terry, L.A.; Thorne, L.; Holder, T.M.; Beck, K.E.; Simmons, M.M. Isolation of Prion with BSE Properties from Farmed Goat. Emerg. Infect. Dis. 2011, 17, 2253–2261. [Google Scholar] [CrossRef]
 - Benestad, S.L.; Sarradin, P.; Thu, B.; Schönheit, J.; Tranulis, M.A.; Bratberg, B. Cases of scrapie with unusual features in Norway and designation of a new type, Nor98. Vet. Rec. 2003, 153, 202–208. [Google Scholar] [CrossRef]
 - Biacabe, A.G.; Laplanche, J.-L.; Ryder, S.; Baron, T. Distinct molecular phenotypes in bovine prion diseases. EMBO Rep. 2004, 5, 110–115. [Google Scholar] [CrossRef]
 - Casalone, C.; Zanusso, G.; Acutis, P.; Ferrari, S.; Capucci, L.; Tagliavini, F.; Monaco, S.; Caramelli, M. Identification of a second bovine amyloidotic spongiform encephalopathy: Molecular similarities with sporadic Creutzfeldt-Jakob disease. Proc. Natl. Acad. Sci. USA 2004, 101, 3065–3070. [Google Scholar] [CrossRef] [PubMed]
 - Pirisinu, L.; Tran, L.; Chiappini, B.; Vanni, I.; Di Bari, M.A.; Vaccari, G.; Vikøren, T.; Madslien, K.I.; Våge, J.; Spraker, T.; et al. Novel Type of Chronic Wasting Disease Detected in Moose (Alces alces), Norway. Emerg. Infect. Dis. 2018, 24, 2210–2218. [Google Scholar] [CrossRef]
 - Hopp, P.; Rolandsen, C.M.; Korpenfelt, S.-L.; Våge, J.; Sörén, K.; Solberg, E.J.; Averhed, G.; Pusenius, J.; Rosendal, T.; Ericsson, G.; et al. Sporadic cases of chronic wasting disease in old moose—An epidemiological study. J. Gen. Virol. 2024, 105, 001952. [Google Scholar] [CrossRef]
 - Tranulis, M.A.; Gavier-Widén, D.; Våge, J.; Nöremark, M.; Korpenfelt, S.-L.; Hautaniemi, M.; Pirisinu, L.; Nonno, R.; Benestad, S.L. Chronic wasting disease in Europe: New strains on the horizon. Acta Vet. Scand. 2021, 63, 48. [Google Scholar] [CrossRef]
 - Béringue, V.; Vilotte, J.-L.; Laude, H. Prion agent diversity and species barrier. Vet. Res. 2008, 39, 47. [Google Scholar] [CrossRef] [PubMed]
 - Huor, A.; Espinosa, J.C.; Vidal, E.; Cassard, H.; Douet, J.-Y.; Lugan, S.; Aron, N.; Marín-Moreno, A.; Lorenzo, P.; Aguilar-Calvo, P.; et al. The emergence of classical BSE from atypical/Nor98 scrapie. Proc. Natl. Acad. Sci. USA 2019, 116, 26853–26862. [Google Scholar] [CrossRef]
 - Collinge, J.; Clarke, A.R. A General Model of Prion Strains and Their Pathogenicity. Science 2007, 318, 930–936. [Google Scholar] [CrossRef] [PubMed]
 - Fraser, H.; Dickinson, A.G. The sequential development of the brain lesions of scrapie in three strains of mice. J. Comp. Pathol. 1968, 78, 301–311. [Google Scholar] [CrossRef]
 - Nonno, R.; Marin-Moreno, A.; Espinosa, J.C.; Fast, C.; Van Keulen, L.; Spiropoulos, J.; Lantier, I.; Andreoletti, O.; Pirisinu, L.; Di Bari, M.A.; et al. Characterization of goat prions demonstrates geographical variation of scrapie strains in Europe and reveals the composite nature of prion strains. Sci. Rep. 2020, 10, 19. [Google Scholar] [CrossRef]
 - Casanova, M.; Machado, C.; Tavares, P.; Silva, J.; Fast, C.; Balkema-Buschmann, A.; Groschup, M.H.; Orge, L. Circulation of Nor98 Atypical Scrapie in Portuguese Sheep Confirmed by Transmission of Isolates into Transgenic Ovine ARQ-PrP Mice. Int. J. Mol. Sci. 2021, 22, 10441. [Google Scholar] [CrossRef] [PubMed]
 - Marín-Moreno, A.; Aguilar-Calvo, P.; Espinosa, J.C.; Zamora-Ceballos, M.; Pitarch, J.L.; González, L.; Fernández-Borges, N.; Orge, L.; Andréoletti, O.; Nonno, R.; et al. Classical scrapie in small ruminants is caused by at least four different prion strains. Vet. Res. 2021, 52, 57. [Google Scholar] [CrossRef] [PubMed]
 - Fatola, O.I.; Keller, M.; Balkema-Buschmann, A.; Olopade, J.; Groschup, M.H.; Fast, C. Strain Typing of Classical Scrapie and Bovine Spongiform Encephalopathy (BSE) by Using Ovine PrP (ARQ/ARQ) Overexpressing Transgenic Mice. Int. J. Mol. Sci. 2022, 23, 6744. [Google Scholar] [CrossRef] [PubMed]
 - EFSA Panel on Biological Hazards (BIOHAZ). Scientific Opinion on a request for a review of a scientific publication concerning the zoonotic potential of ovine scrapie prions. EFSA J. 2015, 13, 4197. [Google Scholar] [CrossRef][Green Version]
 - Langeveld, J.P.M.; Pirisinu, L.; Jacobs, J.G.; Mazza, M.; Lantier, I.; Simon, S.; Andréoletti, O.; Acin, C.; Esposito, E.; Fast, C.; et al. Four types of scrapie in goats differentiated from each other and bovine spongiform encephalopathy by biochemical methods. Vet. Res. 2019, 50, 97. [Google Scholar] [CrossRef] [PubMed]
 - Baker, H.; Ridley, R.; Wells, G. Experimental transmission of BSE and scrapie to the common marmoset. Vet. Rec. 1993, 132, 403–406. [Google Scholar] [CrossRef] [PubMed]
 - Cassard, H.; Torres, J.-M.; Lacroux, C.; Douet, J.-Y.; Benestad, S.L.; Lantier, F.; Lugan, S.; Lantier, I.; Costes, P.; Aron, N.; et al. Evidence for zoonotic potential of ovine scrapie prions. Nat. Commun. 2014, 5, 5821. [Google Scholar] [CrossRef] [PubMed]
 - Comoy, E.E.; Mikol, J.; Luccantoni-Freire, S.; Correia, E.; Lescoutra-Etchegaray, N.; Durand, V.; Dehen, C.; Andreoletti, O.; Casalone, C.; Richt, J.A.; et al. Transmission of scrapie prions to primate after an extended silent incubation period. Sci. Rep. 2015, 5, 11573. [Google Scholar] [CrossRef] [PubMed]
 - González, L.; Martin, S.; Sisó, S.; Konold, T.; Ortiz-Peláez, A.; Phelan, L.; Goldmann, W.; Stewart, P.; Saunders, G.; Windl, O.; et al. High prevalence of scrapie in a dairy goat herd: Tissue distribution of disease-associated PrP and effect of PRNP genotype and age. Vet. Res. 2009, 40, 65. [Google Scholar] [CrossRef]
 - Kaatz, M.; Fast, C.; Ziegler, U.; Balkema-Buschmann, A.; Hammerschmidt, B.; Keller, M.; Oelschlegel, A.; McIntyre, L.; Groschup, M.H. Spread of classic BSE prions from the gut via the peripheral nervous system to the brain. Am. J. Pathol. 2012, 181, 515–524. [Google Scholar] [CrossRef]
 - Holec, S.A.M.; Yuan, Q.; Bartz, J.C. Alteration of Prion Strain Emergence by Nonhost Factors. mSphere 2019, 4, e00630-19. [Google Scholar] [CrossRef] [PubMed]
 - Igel-Egalon, A.; Beringue, V.; Rezaei, H.; Sibille, P. Prion Strains and Transmission Barrier Phenomena. Pathogens 2018, 7, 5. [Google Scholar] [CrossRef] [PubMed]
 - González, L.; Sisó, S.; Monleón, E.; Casalone, C.; van Keulen, L.J.M.; Balkema-Buschmann, A.; Ortiz-Peláez, A.; Iulini, B.; Langeveld, J.P.M.; Hoffmann, C.; et al. Variability in disease phenotypes within a single PRNP genotype suggests the existence of multiple natural sheep scrapie strains within Europe. J. Gen. Virol. 2010, 91, 2630–2641. [Google Scholar] [CrossRef]
 - Agrimi, U.; Ru, G.; Cardone, F.; Pocchiari, M.; Caramelli, M. Epidemic of transmissible spongiform encephalopathy in sheep and goats in Italy. Lancet 1999, 353, 560–561. [Google Scholar] [CrossRef] [PubMed]
 - Dudas, S.; Anderson, R.; Staskevicus, A.; Mitchell, G.; Cross, J.C.; Czub, S. Exploration of genetic factors resulting in abnormal disease in cattle experimentally challenged with bovine spongiform encephalopathy. Prion 2021, 15, 1–11. [Google Scholar] [CrossRef] [PubMed]
 - Johnson, C.J.; Phillips, K.E.; Schramm, P.T.; McKenzie, D.; Aiken, J.M.; Pedersen, J.A. Prions adhere to soil minerals and remain infectious. PLoS Pathog. 2006, 2, e32. [Google Scholar] [CrossRef]
 - Johnson, C.J.; Pedersen, J.A.; Chappell, R.J.; McKenzie, D.; Aiken, J.M. Oral transmissibility of prion disease is enhanced by binding to soil particles. PLoS Pathog. 2007, 3, e93. [Google Scholar] [CrossRef]
 - Seidel, B.; Thomzig, A.; Buschmann, A.; Groschup, M.H.; Peters, R.; Beekes, M.; Terytze, K. Scrapie Agent (Strain 263K) Can Transmit Disease via the Oral Route after Persistence in Soil over Years. PLoS ONE 2007, 2, e435. [Google Scholar] [CrossRef] [PubMed]
 - Maddison, B.C.; Owen, J.P.; Bishop, K.; Shaw, G.; Rees, H.C.; Gough, K.C. The Interaction of Ruminant PrPSc with Soils Is Influenced by Prion Source and Soil Type. Environ. Sci. Technol. 2010, 44, 8503–8508. [Google Scholar] [CrossRef]
 - Jeffrey, M.; González, L. Classical sheep transmissible spongiform encephalopathies: Pathogenesis, pathological phenotypes and clinical disease. Neuropathol. Appl. Neurobiol. 2007, 33, 373–394. [Google Scholar] [CrossRef]
 - Jeffrey, M.; González, L.; Chong, A.; Foster, J.; Goldmann, W.; Hunter, N.; Martin, S. Ovine Infection with the Agents of Scrapie (CH1641 Isolate) and Bovine Spongiform Encephalopathy: Immunochemical Similarities can be Resolved by Immunohistochemistry. J. Comp. Pathol. 2006, 134, 17–29. [Google Scholar] [CrossRef] [PubMed]
 - van Keulen, L.J.M.; Langeveld, J.P.M.; Dolstra, C.H.; Jacobs, J.; Bossers, A.; van Zijderveld, F.G. TSE strain differentiation in mice by immunohistochemical PrPSc profiles and triplex Western blot. Neuropathol. Appl. Neurobiol. 2015, 41, 756–779. [Google Scholar] [CrossRef] [PubMed]
 - Bessen, R.A.; Marsh, R.F. Biochemical and Physical Properties of the Prion Protein from Two Strains of the Transmissible Mink Encephalopathy Agent. J. Virol. 1992, 66, 2096–2101. [Google Scholar] [CrossRef]
 - Bessen, R.A.; Marsh, R.F. Distinct PrP properties suggest the molecular basis of strain variation in transmissible mink encephalopathy. J. Virol. 1994, 68, 7859–7868. [Google Scholar] [CrossRef]
 - Telling, G.C.; Parchi, P.; DeArmond, S.J.; Cortelli, P.; Montagna, P.; Gabizon, R.; Mastrianni, J.; Lugaresi, E.; Gambetti, P.; Prusiner, S.B. Evidence for the Conformation of the Pathologic Isoform of the Prion Protein Enciphering and Propagating Prion Diversity. Science 1996, 274, 2079–2082. [Google Scholar] [CrossRef]
 - Castilla, J.; Gonzalez-Romero, D.; Saá, P.; Morales, R.; De Castro, J.; Soto, C. Crossing the Species Barrier by PrPSc Replication In Vitro Generates Unique Infectious Prions. Cell 2008, 134, 757–768. [Google Scholar] [CrossRef] [PubMed]
 - Green, K.M.; Castilla, J.; Seward, T.S.; Napier, D.L.; Jewell, J.E.; Soto, C.; Telling, G.C. Accelerated High Fidelity Prion Amplification Within and Across Prion Species Barriers. PLoS Pathog. 2008, 4, e1000139. [Google Scholar] [CrossRef]
 - Meyerett, C.; Michel, B.; Pulford, B.; Spraker, T.R.; Nichols, T.A.; Johnson, T.; Kurt, T.; Hoover, E.A.; Telling, G.C.; Zabel, M.D. In vitro strain adaptation of CWD prions by serial protein misfolding cyclic amplification. Virology 2008, 382, 267–276. [Google Scholar] [CrossRef]
 - Barria, M.A.; Telling, G.C.; Gambetti, P.; Mastrianni, J.A.; Soto, C. Generation of a New Form of Human PrPSc In Vitro by Interspecies Transmission from Cervid Prions. J. Biol. Chem. 2011, 286, 7490–7495. [Google Scholar] [CrossRef]
 - Krejciova, Z.; Barria, M.A.; Jones, M.; Ironside, J.W.; Jeffrey, M.; González, L.; Head, M.W. Genotype-dependent Molecular Evolution of Sheep Bovine Spongiform Encephalopathy (BSE) Prions in vitro Affects Their Zoonotic Potential. J. Biol. Chem. 2014, 289, 26075–26088. [Google Scholar] [CrossRef]
 - Eloit, M.; Adjou, K.; Coulpier, M.; Fontaine, J.J.; Hamel, R.; Lilin, T.; Messiaen, S.; Andreoletti, O.; Baron, T.; Bencsik, A.; et al. BSE agent signatures in a goat. Vet. Rec. 2005, 156, 523–524. [Google Scholar] [CrossRef] [PubMed]
 - Hope, J.; Wood, S.C.; Birkett, C.R.; Chong, A.; Bruce, M.E.; Cairns, D.; Goldmann, W.; Hunter, N.; Bostock, C.J. Molecular analysis of ovine prion protein identifies similarities between BSE and an experimental isolate of natural scrapie, CH1641. J. Gen. Virol. 1999, 80 Pt 1, 1–4. [Google Scholar] [CrossRef] [PubMed]
 - Lezmi, S.; Martin, S.; Simon, S.; Comoy, E.; Bencsik, A.; Deslys, J.-P.; Grassi, J.; Jeffrey, M.; Baron, T. Comparative Molecular Analysis of the Abnormal Prion Protein in Field Scrapie Cases and Experimental Bovine Spongiform Encephalopathy in Sheep by Use of Western Blotting and Immunohistochemical Methods. J. Virol. 2004, 78, 3654–3662. [Google Scholar] [CrossRef] [PubMed]
 




| Isolate Code | Country of Origin | PrP Genotype # | PrPSc Type | Attack Rate | Mean Incubation  Period (dpi)  | 
|---|---|---|---|---|---|
| I2 | Italy | 240PP | CS | 4/12 | 410 ± 209 | 
| I3 | Italy | 240PP | CS | 7/7 | 464 ± 72 | 
| I4 | Italy | 211QR, 240PS | CS | 3/5 | 477 ± 58 | 
| I5 | Italy | 240PP | CS | 4/5 | 493 ± 66 | 
| I7 | Italy | 240PP | CS | 12/12 | 417 ± 70 | 
| I9 | Italy | 143HR, 240PS | CS | 4/5 | 400 ± 67 | 
| I11 | Italy | 240PS | CS | 12/14 | 380 ± 116 | 
| I12 | Italy | 240PS | CS | 14/15 | 408 ± 91 | 
| I15 | Italy | 154RH, 240PS | AS | 6/7 ^ | 364 ± 32 | 
| S2 | Spain | 240PS | CS | 14/14 | 222 ± 44 | 
| S3 | Spain | 240PP | CS | 13/13 | 210 ± 33 | 
| N1 | Netherlands | 143HR, 240PS | CS | 14/15 | 276 ± 66 | 
| N2 | Netherlands | 143HR, 240PS | CS | 8/9 | 321 ± 76 | 
| N3 | Netherlands | 240PP | CS | 11/14 | 270 ± 14 | 
| F2 * | France | 240PS | CS | 11/11 | 177 ± 25 | 
| F3 | France | 240PP | CS | 13/15 | 232 ± 68 | 
| F6 | France | 240PS | CS | 13/14 | 235 ± 38 | 
| F10 | France | 240PS | CS | 11/11 | 251 ± 66 | 
| F11 * | France | 142IM, 240PP | CS | 9/10 | 297 ± 67 | 
| F14 | France | 142IM, 240PS | CS | 9/11 * | 380 ± 66 | 
| F16 | France | 240PS | CS | 5/9 | 238 ± 78 | 
| gtBSE * | France | 211RQ, 240PS | caprine BSE | 12/14 | 230 ± 59 | 
| G1 | Greece | 240PP | CS | 2/5 ^ | 493 ± 45 | 
| G2 | Greece | 240PP | CS | 8/9 | 295 ± 5 | 
| G3 | Greece | 143HR, 240PP | CS | 6/6 | 292 ± 54 | 
| G4 | Greece | 240PP | CS | 5/7 | 399 ± 33 | 
| C1 | Cyprus | 240PP | CS | 13/14 ^ | 295 ± 15 | 
| C2 | Cyprus | 240PP | CS | 14/14 | 292 ± 70 | 
| C3 | Cyprus | 240PP | CS | 14/15 | 292 ± 49 | 
| UKA1 § | UK | 240PS | CS | 6/9 | 281 ± 128 | 
| UKA2 | UK | 240PS | CS | 14/14 | 224 ± 53 | 
| UKB1 § | UK | 240PS | CS | 7/7 | 418 ± 68 | 
| UKB2 | UK | 127GS, 240PP | CH1641-like | 10/12 | 176 ± 28 | 
| UKC1 § | UK | 127GS, 240PP | CS | 7/9 | 363 ± 129 | 
| UKD2 | UK | 211RQ, 240PP | CS | 3/7 ^ | 503 ± 30 | 
| Short | Brain Region | Fatola et al. (2022) [23] | 
|---|---|---|
| Grey matter | ||
| NcV | Vestibular nuclei of medulla | G1 | 
| Tec | Tectum of cerebellum | G2 | 
| CoS | Cortex of the superior colliculus | G3 | 
| HTH | Hypothalamus | G4 | 
| TH | Thalamus | G5 | 
| HC | Hippocampus | G6 | 
| Sep | Septal nuclei | G7 | 
| CbrA | Cerebral cortex A (at the level of G4 and G5) | G8 | 
| CbrB | Cerebral cortex B (at the level of G7) | G9 | 
| GrL * | Granular layer of the cerebellar cortex | Cereb/GranLay | 
| MoL * | Molecular layer of the cerebellar cortex | Cereb/MolLay | 
| White matter | ||
| WM | Cerebellar white matter | W1 | 
| Dc | White matter in decussation fibres | W2 | 
| CpI | Internal capsule | W3 | 
| CC | Corpus callosum (at all levels combined) | CC | 
| Langeveld et al., 2019 [25] | Nonno et al., 2020 [20] | Marín-Moreno et al., 2021 [22] | Ernst et al., 2024 | |
|---|---|---|---|---|
| Bioassay | None | 1st passage in tg-gtARQ (Tg501), tg-shARQ (TgshpIX), tg-shVRQ (Tg338), tg-bov (Tg110), tga20, RIII, Bv109M | 1st and 2nd passage in tg-gtARQ (Tg501), tg-bov (Tg110) | 1st passage in Tgshp IX (tg-shARQ) | 
| Methods | Biochemical characterisation of 38 TSE isolates including discriminatory testing, triplex-WB (mAbs 12B2, Sha31, SAF84), core stability and PK sensitivity Definition of nine molecular PrPSc parameters for strain categorisation 
  | Comparative analysis of amplificated PrPSc induced by 20 isolates Tg-gtARQ/tg-bov:
  | Comparative analysis of amplificated PrPSc induced by 16 isolates
			  
  | Comparative analysis of amplificated PrPSc induced by 35 isolates
  | 
| Overall Results | Discrimination of AS, caprine BSE, CH1641 and CS, in total two categories of CS | Discrimination of AS, caprine BSE, CH1641 and CS, in total four categories of CS (C1–4), whereas C3 and C4 show parallels to CS-2, assuming they are subgroups
  | Discrimination of AS, caprine BSE and CS, in total four categories of CS
  | Discrimination of AS, caprine BSE, CH1641 and CS, in total three groups of CS
  | 
| AS (I15) | 
  | Characteristic biochemical 8 kDa unglycosylated band remained after 1st passage in tg-gt-ARQ, tg-bov, tg-shARQ, tg-shVRQ, tga20 | Not performed | Unique PrPSc profile and deposition pattern with multifocal coarse accumulation exclusively in molecular layer of cerebellar cortex and CC | 
| CS Categories | Category CS-1: Isolates C1-3, F2-3, F6, F10-11, F14, G2-3, G11, G13-16, N1-3, S2-3, UKA2, UKC2
 
  | Category 1: Isolates I2-3, I12, F16
 
 
 
  | Category I: Isolates I2, I3, I9, F16
 
 Category IV: C1-2, G2-3, N1, N3-slow 
  | Category CS-1: Isolates S2, S3, N1, N2, N3, F2, F3, F6, F10, F11, F14, G1, G2, G3, G4, C1, C2, C3, UKA2, UKB1, UKC1, UKD2
 
 
  | 
| CH1641 (UKB2) | Characteristics:
  | Characteristics: 
 
  | Characteristics: 
  | Characteristics: 
  | 
| Caprine BSE | Characteristics:
  | Characteristics:
  | Characteristics:
  | Characteristics:
  | 
| Geographical Analysis | 
  | 
  | Not performed | 
  | 
| Conclusion | 
  | |||
| Isolate | PrPSc Profile * | Cerebellum MoL/GrL | CC | PL (Other Than CC) | SBPL | ITNR | 
|---|---|---|---|---|---|---|
| AS | Negative in standard areas | ++/-- | (+) | -- | -- | -- | 
| gtBSE | NcV, Tec, HTH, TH, HC, Sep, CbrA+B, WM, DC | ++/++ | +++ | +++ | +++ | + | 
| CH1641 | NcV, CoS, HTH, TH, HC WM, DC | --/-- | ++ | -- | -- | +++ | 
| CS-1 (EU mean) | NcV, CoS, HTH, TH, Sep, WM, DC | --/-- | + | -- | -- | + | 
| CS-2 (Italy) | NcV, CoS, HTH, TH, HC, Sep, CbrB, WM, DV | --/(+) | (+) | + (mainly in BS) | -- | + | 
| CS-3 (F16) | HTH, TH, Sep, CbrB, DC | --/-- | -- | -- | -- | + | 
Disclaimer/Publisher’s Note: The statements, opinions and data contained in all publications are solely those of the individual author(s) and contributor(s) and not of MDPI and/or the editor(s). MDPI and/or the editor(s) disclaim responsibility for any injury to people or property resulting from any ideas, methods, instructions or products referred to in the content.  | 
© 2024 by the authors. Licensee MDPI, Basel, Switzerland. This article is an open access article distributed under the terms and conditions of the Creative Commons Attribution (CC BY) license (https://creativecommons.org/licenses/by/4.0/).
Share and Cite
Ernst, S.; Nonno, R.; Langeveld, J.; Andreoletti, O.; Acin, C.; Papasavva-Stylianou, P.; Sklaviadis, T.; Acutis, P.L.; van Keulen, L.; Spiropoulos, J.; et al. Characterisation of European Field Goat Prion Isolates in Ovine PrP Overexpressing Transgenic Mice (Tgshp IX) Reveals Distinct Prion Strains. Pathogens 2024, 13, 629. https://doi.org/10.3390/pathogens13080629
Ernst S, Nonno R, Langeveld J, Andreoletti O, Acin C, Papasavva-Stylianou P, Sklaviadis T, Acutis PL, van Keulen L, Spiropoulos J, et al. Characterisation of European Field Goat Prion Isolates in Ovine PrP Overexpressing Transgenic Mice (Tgshp IX) Reveals Distinct Prion Strains. Pathogens. 2024; 13(8):629. https://doi.org/10.3390/pathogens13080629
Chicago/Turabian StyleErnst, Sonja, Romolo Nonno, Jan Langeveld, Olivier Andreoletti, Cristina Acin, Penelope Papasavva-Stylianou, Theodoros Sklaviadis, Pier Luigi Acutis, Lucien van Keulen, John Spiropoulos, and et al. 2024. "Characterisation of European Field Goat Prion Isolates in Ovine PrP Overexpressing Transgenic Mice (Tgshp IX) Reveals Distinct Prion Strains" Pathogens 13, no. 8: 629. https://doi.org/10.3390/pathogens13080629
APA StyleErnst, S., Nonno, R., Langeveld, J., Andreoletti, O., Acin, C., Papasavva-Stylianou, P., Sklaviadis, T., Acutis, P. L., van Keulen, L., Spiropoulos, J., Keller, M., Groschup, M. H., & Fast, C. (2024). Characterisation of European Field Goat Prion Isolates in Ovine PrP Overexpressing Transgenic Mice (Tgshp IX) Reveals Distinct Prion Strains. Pathogens, 13(8), 629. https://doi.org/10.3390/pathogens13080629
        
