Comprehensive Diagnosis, Treatment, and Outcome of Taenia crassiceps Cysticercosis in a Ring-Tailed Lemur (Lemur catta) from a Croatian Zoo: No Longer Unusual?
Abstract
1. Introduction
2. Materials and Methods
2.1. Case Description
2.2. Surgical Procedure and Sampling
2.3. Sample Preparation and DNA Extraction
2.3.1. Pretreatment of Formalin-Fixed Sample with Ethanol
2.3.2. Pretreatment Dewaxing of Formalin-Fixed and Paraffin-Embedded Tissue Block (FFPEB)
2.3.3. DNA Extraction and Assessment of DNA Concentration and Purity
2.4. Polymerase Chain Reaction (PCR)
2.5. Sequencing and Phylogenetic Analysis
3. Results
3.1. Parasitological Findings
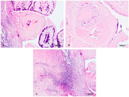
3.2. Histological Findings
3.3. Molecular Findings
4. Discussion
5. Conclusions
Author Contributions
Funding
Institutional Review Board Statement
Informed Consent Statement
Data Availability Statement
Acknowledgments
Conflicts of Interest
References
- Bowman, D.D. Helminths. In Georgis’ Parasitology for Veterinarians; Elsevier: Maryland Heights, MO, USA, 2021; pp. 135–260. [Google Scholar]
- Roberts, L.S.; Janovy, J.J.; Nadler, S. Tapeworms. In Gerald D. Schmidt & Larry S. Roberts’ Foundations of Parasitology; McGraw-Hill Companies, Inc.: New York, NY, USA, 2012; pp. 325–348. [Google Scholar]
- Bhandari, R.; Chamlagain, R.; Sutanto, E.; Adam, H.; Dhungana, A.; Ali, A.A.; Piya, B.; Ubaid, A.; Neumayr, A. Intestinal Perforation Due to Adult Tapeworm of Taenia: A Case Report and Review of the Literature. Clin. Med. Insights Case Rep. 2022, 15, 11795476211072670. [Google Scholar] [CrossRef] [PubMed]
- Wilcox, R.S.; Bowman, D.D.; Barr, S.C.; Euclid, J.M. Intestinal Obstruction Caused by Taenia taeniaeformis Infection in a Cat. J. Am. Anim. Hosp. Assoc. 2009, 45, 93–96. [Google Scholar] [CrossRef] [PubMed]
- Hoberg, E.P. Taenia Tapeworms: Their Biology, Evolution and Socioeconomic Significance. Microbes Infect. 2002, 4, 859–866. [Google Scholar] [CrossRef] [PubMed]
- Lescano, A.G.; Zunt, J. Other Cestodes. Sparganosis, Coenurosis and Taenia crassiceps Cysticercosis. In Handbook of Clinical Neurology; Elsevier B.V.: Amsterdam, The Netherlands, 2013; Volume 114, pp. 335–345. [Google Scholar]
- Deplazes, P.; Rinaldi, L.; Alvarez Rojas, C.A.; Torgerson, P.R.; Harandi, M.F.; Romig, T.; Antolova, D.; Schurer, J.M.; Lahmar, S.; Cringoli, G.; et al. Global Distribution of Alveolar and Cystic Echinococcosis. Adv. Parasitol. 2017, 95, 315–493. [Google Scholar] [CrossRef] [PubMed]
- Varcasia, A.; Tamponi, C.; Ahmed, F.; Cappai, M.G.; Porcu, F.; Mehmood, N.; Dessì, G.; Scala, A. Taenia multiceps Coenurosis: A Review. Parasites Vectors 2022, 15, 84. [Google Scholar] [CrossRef] [PubMed]
- Roelfsema, J.H.; Nozari, N.; Pinelli, E.; Kortbeek, L.M. Novel PCRs for Differential Diagnosis of Cestodes. Exp. Parasitol. 2016, 161, 20–26. [Google Scholar] [CrossRef] [PubMed]
- Mathis, A.; Deplazes, P. Copro-DNA Tests for Diagnosis of Animal Taeniid Cestodes. Parasitol. Int. 2006, 55, S87–S90. [Google Scholar] [CrossRef] [PubMed]
- Al-Sabi, M.N.S.; Kapel, C.M.O. Multiplex PCR Identification of Taenia spp. in Rodents and Carnivores. Parasitol. Res. 2011, 109, 1293–1298. [Google Scholar] [CrossRef] [PubMed]
- Waeschenbach, A.; Webster, B.L.; Littlewood, D.T.J. Adding Resolution to Ordinal Level Relationships of Tapeworms (Platyhelminthes: Cestoda) with Large Fragments of MtDNA. Mol. Phylogenet. Evol. 2012, 63, 834–847. [Google Scholar] [CrossRef]
- Al-Sabi, M.N.S.; Rääf, L.; Osterman-Lind, E.; Uhlhorn, H.; Kapel, C.M.O. Gastrointestinal Helminths of Gray Wolves (Canis Lupus Lupus) from Sweden. Parasitol. Res. 2018, 117, 1891–1898. [Google Scholar] [CrossRef]
- Jia, W.; Yan, H.; Lou, Z.; Ni, X.; Dyachenko, V.; Li, H.; Littlewood, D.T.J. Mitochondrial Genes and Genomes Support a Cryptic Species of Tapeworm within Taenia taeniaeformis. Acta Trop. 2012, 123, 154–163. [Google Scholar] [CrossRef] [PubMed]
- Jia, W.Z.; Yan, H.B.; Guo, A.J.; Zhu, X.Q.; Wang, Y.C.; Shi, W.G.; Chen, H.T.; Zhan, F.; Zhang, S.H.; Fu, B.Q.; et al. Complete Mitochondrial Genomes of Taenia multiceps, T. hydatigena and T. pisiformis: Additional Molecular Markers for a Tapeworm Genus of Human and Animal Health Significance. BMC Genom. 2010, 11, 447. [Google Scholar] [CrossRef] [PubMed]
- Freeman, R.S. Studies on the Biology of Taenia crassiceps (Zeder, 1800) Rudolphi, 1810 (Cestoda). Can. J. Zool. 1962, 40, 969–990. [Google Scholar] [CrossRef]
- Deplazes, P.; Eichenberger, R.M.; Grimm, F. Wildlife-Transmitted Taenia and Versteria Cysticercosis and Coenurosis in Humans and Other Primates. Int. J. Parasitol. Parasites Wildl. 2019, 9, 342–358. [Google Scholar] [CrossRef] [PubMed]
- Delling, C.; Böttcher, D.; Schiffbauer, V.; Bernhard, A.; Schmäschke, R. First Report of Pulmonary Cysticercosis Caused by Taenia crassiceps in a Cape Fur Seal (Arctocephalus pusillus). Int. J. Parasitol. Parasites Wildl. 2019, 10, 83–86. [Google Scholar] [CrossRef] [PubMed]
- Zhang, Y.; Abdu, A.; Wu, T.; Forzán, M.J.; Hammer, K.; Lejeune, M. Taenia crassiceps Cysticercosis in a Wild Muskrat and a Domestic Dog in the Northeastern United States. Pathogens 2023, 12, 204. [Google Scholar] [CrossRef] [PubMed]
- Hoberg, E.; Ebinger, W.; Render, J. Fatal Cysticercosis by Taenia crassiceps (Cyclophyllidea: Taeniidae) in a Presumed Immunocompromised Canine Host. Fac. Publ. Harold W. Manter Lab. Parasitol. 1999, 85, 1174–1178. [Google Scholar] [CrossRef]
- Konjević, D.; Živičnjak, T.; Kurilj, A.G.; Sindičić, M.; Martinković, F.; Jan, D.S. When Things Go Wrong: Cysticercus longicollis in an Adult Wild Red Fox (Vulpes vulpes). Parasitol. Res. 2016, 115, 1345–1348. [Google Scholar] [CrossRef] [PubMed]
- Nolte, A.; Strube, C.; Raue, K.; Brämer, C.; Baumgärtner, W.; Wohlsein, P. Subkutane Taenia-crassiceps-Zystizerkose Bei Einem Hund Mit Cushing-Syndrom. Tierarztl. Prax. Ausg. K Kleintiere Heimtiere 2016, 44, 53–58. [Google Scholar] [CrossRef]
- Whipp, C.J.; Daoust, P.Y.; Conboy, G.; Gelens, H. Abdominal Cysticercosis in a Red Fox (Vulpes vulpes). J. Wildl. Dis. 2017, 53, 197–199. [Google Scholar] [CrossRef][Green Version]
- Hofmannova, L.; Mikes, L.; Jedlickova, L.; Pokorny, J.; Svobodova, V. Unusual Cases of Taenia crassiceps Cysticercosis in Naturally Infected Animals in the Czech Republic. Vet. Med. 2018, 63, 73–80. [Google Scholar] [CrossRef]
- Schmid, S.; Grimm, F.; Huber, M.; Beck, B.; Custer, P.; Bode, B. Taenia crassiceps Infection—An Unusual Presentation of a Tapeworm Diagnosed by FNA Cytology and PCR. Cytopathology 2014, 25, 340–341. [Google Scholar] [CrossRef]
- Floβ, N.; Dolff, S.; Junker, A.; Blau, T.; Rauschenbach, L.; Sure, U.; Witzke, O.; Tappe, D.; Schönfeld, A. Cerebral Taenia crassiceps Larvae Infection in a 71-Year-Old Immunocompetent Male. Infection 2023, 51, 277–281. [Google Scholar] [CrossRef]
- Ntoukas, V.; Tappe, D.; Pfütze, D.; Simon, M.; Holzmann, T. Cerebellar Cysticercosis Caused by Larval Taenia crassiceps Tapeworm in Immunocompetent Woman, Germany. Emerg. Infect. Dis. 2013, 19, 2008–2011. [Google Scholar] [CrossRef] [PubMed]
- Goesseringer, N.; Lindenblatt, N.; Mihic-Probst, D.; Grimm, F.; Giovanoli, P. Taenia crassiceps Upper Limb Fasciitis in a Patient with Untreated Acquired Immunodeficiency Syndrome and Chronic Hepatitis C Infection—The Role of Surgical Debridement. J. Plast. Reconstr. Aesthetic Surg. 2011, 64, e174–e176. [Google Scholar] [CrossRef] [PubMed]
- Heldwein, K.; Biedermann, H.-G.; Hamperl, W.-D.; Bretzel, G.; Löscher, T.; Laregina, D.; Frosch, M.; Büttner, D.W.; Tappe, D. Subcutaneous Taenia crassiceps Infection in a Patient with Non-Hodgkin’s Lymphoma. Am. J. Trop. Med. Hyg. 2006, 75, 108–111. [Google Scholar] [CrossRef] [PubMed]
- Chermette, R.; Bussiéras, J.; Marionneau, J.; Boyer, E.; Roubin, C.; Prophette, B.; Maillard, H.; Fabiani, B. Invasive cysticercosis due to Taenia crassiceps in an AIDS patient. Bull. Acad. Natl. Med. 1995, 179, 773–777. [Google Scholar]
- François, A.; Favennec, L.; Cambon-Michot, C.; Gueit, I.; Biga, N.; Tron, F.; Brasseur, P.; Hemet, J. Taenia crassiceps Invasive Cysticercosis: A New Human Pathogen in Acquired Immunodeficiency Syndrome? Am. J. Surg. Pathol. 1998, 22, 488–492. [Google Scholar] [CrossRef]
- De Liberato, C.; Berrilli, F.; Meoli, R.; Friedrich, K.G.; Di Cerbo, P.; Cocumelli, C.; Eleni, C. Fatal Infection with Taenia martis Metacestodes in a Ring-Tailed Lemur (Lemur catta) Living in an Italian Zoological Garden. Parasitol. Int. 2014, 63, 695–697. [Google Scholar] [CrossRef]
- Denk, D.; Boufana, B.; Masters, N.J.; Stidworthy, M.F. Fatal Echinococcosis in Three Lemurs in the United Kingdom-Case Series. Vet. Parasitol. 2016, 218, 10–14. [Google Scholar] [CrossRef]
- Samorek-Pieróg, M.; Karamon, J.; Brzana, A.; Sobieraj, L.; Włodarczyk, M.; Sroka, J.; Bełcik, A.; Korpysa-Dzirba, W.; Cencek, T. Molecular Confirmation of Taenia crassiceps Cysticercosis in a Captive Ring-Tailed Lemur (Lemur catta) in Poland. Pathogens 2022, 11, 835. [Google Scholar] [CrossRef] [PubMed]
- Simin, S.; Vračar, V.; Kozoderović, G.; Stevanov, S.; Alić, A.; Lalošević, D.; Lalošević, V. Subcutaneous Taenia crassiceps Cysticercosis in a Ring-Tailed Lemur (Lemur catta) in a Serbian Zoo. Acta Parasitol. 2023, 68, 468–472. [Google Scholar] [CrossRef] [PubMed]
- Luzón, M.; de la Fuente-López, C.; Martínez-Nevado, E.; Fernández-Morán, J.; Ponce-Gordo, F. Taenia crassiceps Cysticercosis in a Ring-Tailed Lemur (Lemur catta). J. Zoo Wildl. Med. 2010, 41, 327–330. [Google Scholar] [CrossRef] [PubMed]
- Alić, A.; Hodžić, A.; Škapur, V.; Alić, A.Š.; Prašović, S.; Duscher, G.G. Fatal Pulmonary Cysticercosis Caused by Cysticercus longicollis in a Captive Ring-Tailed Lemur (Lemur catta). Vet. Parasitol. 2017, 241, 1–4. [Google Scholar] [CrossRef] [PubMed]
- Cuccato, M.; Rubiola, S.; Rossi, L.; Piga, S.; Scaglione, F.E. Case-Report: Massive Infection by Cysticercus longicollis in a Captive Lemur catta from Italy. Front. Vet. Sci. 2023, 10, 1288451. [Google Scholar] [CrossRef] [PubMed]
- Wiesner, M.; Glawischnig, W.; Lutzmann, I.; Grimm, F.; Blutke, A. Autochthonous Taenia crassiceps Infection in a Ring-Tailed Lemur (Lemur catta) in the Salzburg Zoo. Wien. Tierärtzliche Monatsschrift 2019, 106, 109–115. [Google Scholar]
- Shi, S.R.; Cote, R.J.; Wu, L.; Liu, C.; Datar, R.; Shi, Y.; Liu, D.; Lim, H.; Taylor, C.R. DNA Extraction from Archival Formalin-Fixed, Paraffin-Embedded Tissue Sections Based on the Antigen Retrieval Principle: Heating under the Influence of PH. J. Histochem. Cytochem. 2002, 50, 1005–1011. [Google Scholar] [CrossRef] [PubMed]
- Singh, H.; Narayan, B.; Urs, A.B.; Kumar Polipalli, S.; Kumar, S. A Novel Approach for Extracting DNA from Formalin-Fixed Paraffin-Embedded Tissue Using Microwave. Med. J. Armed Forces India 2020, 76, 307–311. [Google Scholar] [CrossRef] [PubMed]
- Bowles, J.; Blair, D.; McManus, D.P. Genetic Variants within the Genus Echinococcus Identified by Mitochondrial DNA Sequencing. Mol. Biochem. Parasitol. 1992, 54, 165–173. [Google Scholar] [CrossRef]
- Moks, E.; Jõgisalu, I.; Valdmann, H.; Saarma, U. First Report of Echinococcus granulosus G8 in Eurasia and a Reappraisal of the Phylogenetic Relationships of “genotypes” G5-G10. Parasitology 2008, 135, 647–654. [Google Scholar] [CrossRef]
- Federer, K.; Armua-Fernandez, M.T.; Gori, F.; Hoby, S.; Wenker, C.; Deplazes, P. Detection of Taeniid (Taenia spp., Echinococcus spp.) Eggs Contaminating Vegetables and Fruits Sold in European Markets and the Risk for Metacestode Infections in Captive Primates. Int. J. Parasitol. Parasites Wildl. 2016, 5, 249–253. [Google Scholar] [CrossRef] [PubMed]
- Faghri, J.; Bourbour, S.; Moghim, S.; Meidani, M.; Safaei, H.; Hosseini, N.; Esfahani, B.; Fazeli, H.; Sedighi, M. Comparison of Three Phenotypic and Deoxyribonucleic Acid Extraction Methods for Isolation and Identification of Nocardia spp. Adv. Biomed. Res. 2014, 3, 151. [Google Scholar] [CrossRef]
- Dietrich, D.; Uhl, B.; Sailer, V.; Holmes, E.E.; Jung, M.; Meller, S.; Kristiansen, G. Improved PCR Performance Using Template DNA from Formalin-Fixed and Paraffin-Embedded Tissues by Overcoming PCR Inhibition. PLoS ONE 2013, 8, e77771. [Google Scholar] [CrossRef]
- Oba, U.; Kohashi, K.; Sangatsuda, Y.; Oda, Y.; Sonoda, K.H.; Ohga, S.; Yoshimoto, K.; Arai, Y.; Yachida, S.; Shibata, T.; et al. An Efficient Procedure for the Recovery of DNA from Formalin-Fixed Paraffin-Embedded Tissue Sections. Biol. Methods Protoc. 2022, 7, bpac014. [Google Scholar] [CrossRef] [PubMed]
- Mcdonough, S.J.; Bhagwate, A.; Sun, Z.; Wang, C.; Zschunke, M.; Gorman, J.A.; Kopp, K.J.; Cunninghamid, J.M. Use of FFPE-Derived DNA in next Generation Sequencing: DNA Extraction Methods. PLoS ONE 2019, 14, e0211400. [Google Scholar] [CrossRef] [PubMed]
- Kokkat, T.J.; Patel, M.S.; McGarvey, D.; Livolsi, V.A.; Baloch, Z.W. Archived Formalin-Fixed Paraffin-Embedded (FFPE) Blocks: A Valuable Underexploited Resource for Extraction of DNA, RNA, and Protein. Biopreserv. Biobank. 2013, 11, 101–106. [Google Scholar] [CrossRef]
- Yamasaki, H.; Nakaya, K.; Nakao, M.; Sako, Y.; Ito, A. Significance of Molecular Diagnosis Using Histopathological Specimens in Cestode Zoonoses. Trop. Med. Health 2007, 35, 307–321. [Google Scholar] [CrossRef]
- Jeon, H.K.; Kim, K.H.; Eom, K.S. Molecular Identification of Taenia Specimens after Long-Term Preservation in Formalin. Parasitol. Int. 2011, 60, 203–205. [Google Scholar] [CrossRef] [PubMed]
- Gilbert, M.T.P.; Haselkorn, T.; Bunce, M.; Sanchez, J.J.; Lucas, S.B.; Jewell, L.D.; Van Marck, E.; Worobey, M. The Isolation of Nucleic Acids from Fixed, Paraffin-Embedded Tissues–Which Methods are Useful When? PLoS ONE 2007, 2, e537. [Google Scholar] [CrossRef]
- Lee, M.F.; Lindo, J.F.; Auer, H.; Walochnik, J. Successful Extraction and PCR Amplification of Giardia DNA from Formalin-Fixed Stool Samples. Exp. Parasitol. 2019, 198, 26–30. [Google Scholar] [CrossRef]
- Taleb-Hossenkhan, N.; Bhagwant, S.; Gourrege, N. Extraction of Nucleic Acids from Ancient Formalin- and Ethanol-Preserved Specimens of the Tapeworm Bertiella studeri: Which Method Works Best? J. Parasitol. 2013, 99, 410–416. [Google Scholar] [CrossRef] [PubMed]
- Campos, P.F.; Gilbert, T.M.P. DNA Extraction from Formalin-Fixed Material. Methods Mol. Biol. 2012, 840, 81–85. [Google Scholar] [CrossRef] [PubMed]





| Sample | Concentration (ng/µL) | A260/A280 | A260/A230 |
|---|---|---|---|
| F1 | 31.1 | 1.81 | 1.16 |
| F2 | 48.5 | 1.88 | 1.57 |
| P1 | 133.9 | 1.94 | 2.00 |
| P2 | 71.9 | 1.90 | 1.81 |
Disclaimer/Publisher’s Note: The statements, opinions and data contained in all publications are solely those of the individual author(s) and contributor(s) and not of MDPI and/or the editor(s). MDPI and/or the editor(s) disclaim responsibility for any injury to people or property resulting from any ideas, methods, instructions or products referred to in the content. |
© 2024 by the authors. Licensee MDPI, Basel, Switzerland. This article is an open access article distributed under the terms and conditions of the Creative Commons Attribution (CC BY) license (https://creativecommons.org/licenses/by/4.0/).
Share and Cite
Grbavac, L.; Šikić, A.; Kostešić, P.; Šoštarić-Zuckermann, I.-C.; Mojčec Perko, V.; Boras, J.; Bata, I.; Musulin, A.; Kostanjšak, T.; Živičnjak, T. Comprehensive Diagnosis, Treatment, and Outcome of Taenia crassiceps Cysticercosis in a Ring-Tailed Lemur (Lemur catta) from a Croatian Zoo: No Longer Unusual? Pathogens 2024, 13, 283. https://doi.org/10.3390/pathogens13040283
Grbavac L, Šikić A, Kostešić P, Šoštarić-Zuckermann I-C, Mojčec Perko V, Boras J, Bata I, Musulin A, Kostanjšak T, Živičnjak T. Comprehensive Diagnosis, Treatment, and Outcome of Taenia crassiceps Cysticercosis in a Ring-Tailed Lemur (Lemur catta) from a Croatian Zoo: No Longer Unusual? Pathogens. 2024; 13(4):283. https://doi.org/10.3390/pathogens13040283
Chicago/Turabian StyleGrbavac, Lea, Ana Šikić, Petar Kostešić, Ivan-Conrado Šoštarić-Zuckermann, Vesna Mojčec Perko, Jadranko Boras, Ingeborg Bata, Andrija Musulin, Tara Kostanjšak, and Tatjana Živičnjak. 2024. "Comprehensive Diagnosis, Treatment, and Outcome of Taenia crassiceps Cysticercosis in a Ring-Tailed Lemur (Lemur catta) from a Croatian Zoo: No Longer Unusual?" Pathogens 13, no. 4: 283. https://doi.org/10.3390/pathogens13040283
APA StyleGrbavac, L., Šikić, A., Kostešić, P., Šoštarić-Zuckermann, I.-C., Mojčec Perko, V., Boras, J., Bata, I., Musulin, A., Kostanjšak, T., & Živičnjak, T. (2024). Comprehensive Diagnosis, Treatment, and Outcome of Taenia crassiceps Cysticercosis in a Ring-Tailed Lemur (Lemur catta) from a Croatian Zoo: No Longer Unusual? Pathogens, 13(4), 283. https://doi.org/10.3390/pathogens13040283

