Seroepidemiology for Orthorubulavirus suis in Mexican Pigs by Development of an Indirect ELISA Based on a Recombinant NP Protein
Abstract
1. Introduction
2. Materials and Methods
2.1. Production and Purification of Recombinant NP-LPMV Protein
2.2. Standard Reference Serum
2.3. iELISA Test
2.4. Statistical Analysis
2.5. Seroepidemiological Analysis of Field Serum Samples
2.6. Indirect Immunofluorescence Test on Field Serum Samples
3. Results
3.1. Production and Purification of the rNP-LPMV
3.2. Standardization of the iELISA Test
3.3. iELISA Analysis of Collected Serum Samples
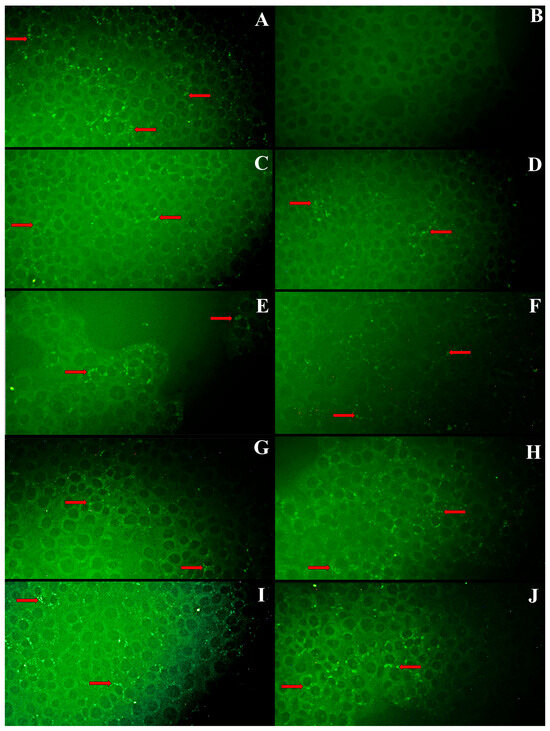
3.4. Identification of Antibodies Using Indirect Immunofluorescence
4. Discussion
5. Conclusions
Supplementary Materials
Author Contributions
Funding
Institutional Review Board Statement
Informed Consent Statement
Data Availability Statement
Acknowledgments
Conflicts of Interest
References
- Rima, B.; Alexander, D.J.; Billeter, M.A.; Collins, P.L.; Kingsbury, D.; Lipkind, M.A.; Nagai, Y.; Örvell, C.; Pringle, C.R.; Ter Mullen, V. Family Paramyxoviridae. In Virus Taxonomy. Classification and Nomenclature of Viruses; Springer: Viena, Austria; New York, NY, USA, 1995; pp. 265–274. [Google Scholar]
- Rima, B.; Balkema-Buschmann, A.; Dundon, W.G.; Duprex, P.; Easton, A.; Fouchier, R.; Consortium, I.R. ICTV virus taxonomy profile: Paramyxoviridae. J. Gen. Virol. 2019, 100, 1593. [Google Scholar] [CrossRef]
- International Committee on Taxonomy of Viruses (ICTV). Available online: https://ictv.global/taxonomy (accessed on 5 November 2024).
- Moreno-López, J.; Correa-Girón, P.; Martinez, A.; Ericsson, A. Characterization of a paramyxovirus isolated from the brain of a piglet in Mexico. Arch. Virol. 1986, 91, 221–231. [Google Scholar] [CrossRef] [PubMed]
- Stephano, H.A.; Gay, G.M.; Ramirez, T.C. Encephalomyelitis, reproductive failure and corneal opacity (blue eye) in pigs, associated with a paramyxovirus infection. Vet. Rec. 1988, 122, 6–10. [Google Scholar] [CrossRef]
- Ramirez-Mendoza, H.; Hernandez-Jauregui, P.; Reyes-Leyva, J.; Zenteno, E.; Moreno-Lopez, J.; Kennedy, S. Lesions in the reproductive tract of boars experimentally infected with porcine rubulavirus. J. Comp. Pathol. 1997, 117, 237–252. [Google Scholar] [CrossRef] [PubMed]
- Hernández-Jáuregui, P.; Mendoza, H.R.; García, C.M.; Moreno-López, J.; Kennedy, S. Experimental porcine rubulavirus (La Piedad-Michoacan virus) infection in pregnant gilts. J. Comp. Pathol. 2004, 130, 1–6. [Google Scholar] [CrossRef]
- Sánchez-Betancourt, J.I.; Santos-López, G.; Alonso, R.; Doporto, J.M.; Ramírez-Mendoza, H.; Mendoza, S.; Trujillo, M.E. Molecular characterization of the hemagglutinin-neuraminidase gene of porcine rubulavirus isolates associated with neurological disorders in fattening and adult pigs. Res. Vet. Sci. 2008, 85, 359–367. [Google Scholar] [CrossRef] [PubMed]
- Rivera-Benitez, J.F.; Cuevas-Romero, S.; Pérez-Torres, A.; Reyes-Leyva, J.; Hernández, J.; Ramírez-Mendoza, H. Respiratory disease in growing pigs after Porcine rubulavirus experimental infection. Virus Res. 2013, 176, 137–143. [Google Scholar] [CrossRef] [PubMed]
- Wang, L.F.; Hansson, E.; Yu, M.; Chua, K.B.; Mathe, N.; Crameri, G.; Eaton, B.T. Full-length genome sequence and genetic relationship of two paramyxoviruses isolated from bat and pigs in the Americas. Arch. Virol. 2007, 152, 1259–1271. [Google Scholar] [CrossRef]
- Linné, T.; Berg, M.; Bergvall, A.C.; Hjertner, B.; Moreno-López, J. The molecular biology of the porcine paramyxovirus LPMV. Vet. Microbiol. 1992, 33, 263–273. [Google Scholar] [CrossRef]
- Hernández, J.; Reyes-Leyva, J.; Zenteno, R.; Ramírez, H.; Hernández-Jauregui, P.; Zenteno, E. Immunity to porcine rubulavirus infection in adult swine. Vet. Immunol. Immunopathol. 1998, 64, 367–381. [Google Scholar] [CrossRef]
- Morilla, A.; González-Vega, D.; Estrada, E.; Diosdado, F. Seroepidemiology of blue eye disease. In Trends in Emerging Viral Infections of Swine; Morilla, A., Yoon, K., Zimmerman, J., Eds.; Iowa State University Press: Ames, IA, USA, 2002; pp. 59–64. [Google Scholar]
- Escobar-López, A.C.; Rivera-Benitez, J.F.; Castillo-Juárez, H.; Ramírez-Mendoza, H.; Trujillo-Ortega, M.E.; Sánchez-Betancourt, J.I. Identification of antigenic variants of the porcine rubulavirus in sera of field swine and their seroprevalence. Transbound. Emerg. Dis. 2012, 59, 416–420. [Google Scholar] [CrossRef] [PubMed]
- Cuevas, J.S.; Rodríguez-Ropón, A.; Kennedy, S.; Moreno-López, J.; Berg, M.; Hernández-Jáuregui, P. Investigation of T-cell responses and viral mRNA persistence in lymph nodes of pigs infected with porcine rubulavirus. Vet. Immunol. Immunopathol. 2009, 127, 148–152. [Google Scholar] [CrossRef] [PubMed]
- Lara-Romero, R.; Cerriteño-Sánchez, J.L.; Mendoza-Elvira, S.; García-Cambrón, J.B.; Castañeda-Montes, M.A.; Pérez-Aguilar, J.M.; Cuevas-Romero, J.S. Development of Novel Recombinant Antigens of Nucleoprotein and Matrix Proteins of Porcine orthorubulavirus: Antigenicity and Structural Prediction. Viruses 2022, 14, 1946. [Google Scholar] [CrossRef]
- Castañeda-Montes, M.A.; Cuevas-Romero, J.S.; Cerriteño-Sánchez, J.L.; Ávila-De la Vega, L.M.; García-Cambrón, J.B.; RamírezÁlvarez, H. Small ruminant lentivirus capsid protein (SRLV-p25) antigenic structural prediction and immunogenicity to recombinant SRLV-rp25-coupled to immunostimulatory complexes based on glycyrrhizinic acid. Biosci. Biotechnol. Biochem. 2023, 24, 267–278. [Google Scholar] [CrossRef] [PubMed]
- Bradford, M.M. A rapid and sensitive method for the quantitation of microgram quantities of protein utilizing the principle of protein-dye binding. Anal. Biochem. 1976, 72, 248–254. [Google Scholar] [CrossRef] [PubMed]
- Cuevas-Romero, J.S.; Cerriteño-Sánchez, J.L.; Lara-Romero, R.; Vega-López, M.A.; Ramirez-Estudillo, C.; Ramirez-Mendoza, H.; Lövgren-Bengtsson, K. Immunogenicity of a recombinant hemagglutinin neuraminidase-Porcine rubulavirus produced by Escherichia coli of Porcine rubulavirus gives protective immunity of litter after challenge. J. Vet. Med. Sci. 2022, 84, 1595–1604. [Google Scholar] [CrossRef]
- García-González, E.; Cerriteño-Sánchez, J.L.; Cuevas-Romero, J.S.; García-Cambrón, J.B.; Castañeda-Montes, F.J.; Villaseñor-Ortega, F. Seroepidemiology Study of Porcine Epidemic Diarrhea Virus in Mexico by Indirect Enzyme-Linked Immunosorbent Assay Based on a Recombinant Fragment of N-Terminus Domain Spike Protein. Microorganisms 2023, 11, 1843. [Google Scholar] [CrossRef] [PubMed]
- Castañeda Montes, F.J.; Cerriteño Sánchez, J.L.; Cuevas-Romero, J.S.; Castañeda Montes, M.A.; Mendoza Elvira, S. Development and Application of an Indirect Enzyme-Linked Immunosorbent Assay Based on a Recombinant Matrix Protein for the Serological Study of Porcine Deltacoronavirus in Mexican Pigs. Vet. Med. Sci. 2024, 10, e70108. [Google Scholar] [CrossRef]
- McHugh, M.L. Interrater reliability: The kappa statistic. Biochem. Medica 2012, 22, 276–282. [Google Scholar] [CrossRef]
- Rivera-Benitez, J.F.; Martínez-Bautista, R.; Ríos-Cambre, F.; Ramírez-Mendoza, H. Molecular detection and isolation of avian metapneumovirus in Mexico. Avian Pathol. 2014, 43, 217–223. [Google Scholar] [CrossRef] [PubMed]
- Albarrán-Rodríguez, R.R.; Castillo-Juárez, H.; Rivera-Benítez, F.; Campos-Montes, G.R.; Espinosa, B.; Madrigal-Valencia, T.L.; Salazar-Jiménez, E.A.; Ramírez-Mendoza, H. Assessment of the hemagglutinating activity of the Porcine orthorubulavirus. Comp. Immunol. Microbiol. Infect. Dis. 2022, 80, 101736. [Google Scholar] [CrossRef] [PubMed]
- Herrera, J.; Gómez-Núñez, L.; Lara-Romero, R.; Diosdado, F.; Martínez-Lara, A.; Jasso, M.; Rivera-Benítez, J.F. Acute neurologic disease in Porcine rubulavirus experimentally infected piglets. Virus Res. 2017, 230, 50–58. [Google Scholar] [CrossRef] [PubMed]
- Available online: https://nube.siap.gob.mx/cierre_pecuario/ (accessed on 5 November 2024).
- Liu, C.; Kokuho, T.; Kubota, T.; Watanabe, S.; Inumaru, S.; Yokomizo, Y.; Onodera, T. A serodiagnostic ELISA using recombinant antigen of swine transmissible gastroenteritis virus nucleoprotein. J. Vet. Med. Sci. 2001, 63, 1253–1256. [Google Scholar] [CrossRef]
- Tozetto-Mendoza, T.R.; Kanunfre, K.A.; Vilas-Boas, L.S.; Espinoza, E.P.S.; Paião, H.G.O.; Rocha, M.C.; Mendes-Correa, M.C. Nucleoprotein-based ELISA for detection of SARS-COV-2 IgG antibodies: Could an old assay be suitable for serodiagnosis of the new coronavirus? J. Virol. Methods 2021, 290, 114064. [Google Scholar] [CrossRef] [PubMed]
- Hidalgo-Lara, D.R.; De la Luz-Armendáriz, J.; Rivera-Benítez, J.F.; Gomez-Nuñez, L.; Salazar-Jiménez, E.N.; Madrigal-Valencia, T.L.; Ramírez-Mendoza, H. Comparison of hemagglutination inhibition tests, immunoperoxidase monolayer assays, and serum neutralizing tests in detecting antibodies against blue eye disease in pigs. J. Immunol. Methods 2021, 496, 113088. [Google Scholar] [CrossRef]
- Nordengrahn, A.; Svenda, M.; Moreno-Lopez, J.; Bergvall, A.; Hernandez, P.; McNeilly, F.; Merza, M. Development of a blocking ELISA for screening antibodies to porcine rubulavirus, La Piedad Michoacan Virus. J. Vet. Diagn. Investig. 1999, 11, 319–323. [Google Scholar] [CrossRef] [PubMed]
- Farid, S.S. Process economics of industrial monoclonal antibody manufacture. J. Chromatogr. B 2007, 848, 8–18. [Google Scholar] [CrossRef]
- Cardoso, V.M.; Campani, G.; Santos, M.P.; Silva, G.G.; Pires, M.C.; Gonçalves, V.M.; Zangirolami, T.C. Cost analysis based on bioreactor cultivation conditions: Production of a soluble recombinant protein using Escherichia coli BL21 (DE3). Biotechnol. Rep. 2020, 26, e00441. [Google Scholar] [CrossRef] [PubMed]
- Romero, J.S.C.; Sánchez, J.L.C. Desarrollo de un sistema diagnóstico de un ELISA indirecto con la proteína recombinante hemaglutinina neuraminidasa del virus de la Enfermedad del Ojo Azul en cerdos. Mesa Dir. 2024, 27, 28–39. [Google Scholar]
- McNeilly, F.; Walker, I.; Allan, G.M.; Foster, J.C.; Linne, T.; Merza, M.; Adair, B. A comparative study on the use of virus and antibody detection techniques for the diagnosis of La Piedad Michoacan paramyxovirus (LPMV) infection in pigs. J. Vet. Diagn. Investig. 1997, 9, 3–9. [Google Scholar] [CrossRef] [PubMed][Green Version]






| LPMV Positive | LPMV Negative | Total | |
|---|---|---|---|
| Positive serum | A | B | A + B |
| Negative serum | C | D | C + D |
| Total | A + C | B + D | N |
| State | Sera Quantity | Sera Origin | Number of Farms Sampled |
|---|---|---|---|
| Aguascalientes | 182 | Slaughterhouse | 20 |
| Guanajuato | 108 | Slaughterhouse | 20 |
| State of Mexico | 51 | Backyard production, semi-technical farm | 8 |
| Jalisco | 254 | Slaughterhouse | 20 |
| Morelos | 73 | Backyard production | 5 |
| Queretaro | 86 | Backyard production, technified farm | 17 |
| Michoacán | 35 | Technified farm | 3 |
| Veracruz | 50 | Slaughterhouse | 8 |
| Total | 839 | 101 |
| LPMV Positive | LPMV Negative | Total | |
|---|---|---|---|
| Positive serum | 76 (A) | 2 (B) | 78 (A + B) |
| Negative serum | 1 (C) | 102 (D) | 103 (C + D) |
| Total | 77 (A + C) | 104 (B + D) | 181 (N) |
Disclaimer/Publisher’s Note: The statements, opinions and data contained in all publications are solely those of the individual author(s) and contributor(s) and not of MDPI and/or the editor(s). MDPI and/or the editor(s) disclaim responsibility for any injury to people or property resulting from any ideas, methods, instructions or products referred to in the content. |
© 2024 by the authors. Licensee MDPI, Basel, Switzerland. This article is an open access article distributed under the terms and conditions of the Creative Commons Attribution (CC BY) license (https://creativecommons.org/licenses/by/4.0/).
Share and Cite
Lara-Romero, R.; Cerriteño-Sánchez, J.L.; Castañeda-Montes, M.A.; Ramírez-Mendoza, H.; Cuevas-Romero, J.S. Seroepidemiology for Orthorubulavirus suis in Mexican Pigs by Development of an Indirect ELISA Based on a Recombinant NP Protein. Pathogens 2024, 13, 1135. https://doi.org/10.3390/pathogens13121135
Lara-Romero R, Cerriteño-Sánchez JL, Castañeda-Montes MA, Ramírez-Mendoza H, Cuevas-Romero JS. Seroepidemiology for Orthorubulavirus suis in Mexican Pigs by Development of an Indirect ELISA Based on a Recombinant NP Protein. Pathogens. 2024; 13(12):1135. https://doi.org/10.3390/pathogens13121135
Chicago/Turabian StyleLara-Romero, Rocío, José Luis Cerriteño-Sánchez, María Azucena Castañeda-Montes, Humberto Ramírez-Mendoza, and Julieta Sandra Cuevas-Romero. 2024. "Seroepidemiology for Orthorubulavirus suis in Mexican Pigs by Development of an Indirect ELISA Based on a Recombinant NP Protein" Pathogens 13, no. 12: 1135. https://doi.org/10.3390/pathogens13121135
APA StyleLara-Romero, R., Cerriteño-Sánchez, J. L., Castañeda-Montes, M. A., Ramírez-Mendoza, H., & Cuevas-Romero, J. S. (2024). Seroepidemiology for Orthorubulavirus suis in Mexican Pigs by Development of an Indirect ELISA Based on a Recombinant NP Protein. Pathogens, 13(12), 1135. https://doi.org/10.3390/pathogens13121135

