Phenotypic and Genotypic Analysis of Antimicrobial Resistance in Mycoplasma hyopneumoniae Isolated from Pigs with Enzootic Pneumonia in Australia
Abstract
1. Introduction
2. Materials and Methods
2.1. Study Design and Sample Collection
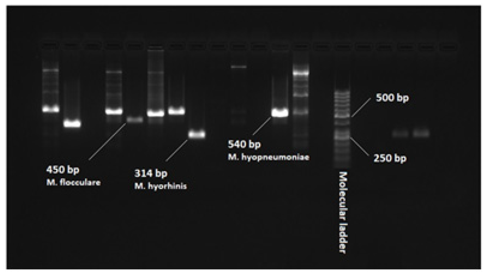
2.2. Molecular Detection of M. hyopneumoniae and Other Porcine Mycoplasmas
2.3. Bacterial Isolation and DNA Extraction
2.4. Antimicrobial Susceptibility Testing
2.5. Mismatch Amplification Mutation Assay (MAMA) PCR for AMR Marker Detection
2.6. Whole-Genome Sequencing
2.7. Statistical Analysis
3. Results
3.1. Species-Specific PCR Results, and Isolation and Identification of Mycoplasma Species
3.2. Antimicrobial Susceptibility Testing
3.3. Whole-Genome Sequencing
3.4. Phylogenetic Results
3.5. Mismatched PCR for AMR Marker Detection
4. Discussion
Author Contributions
Funding
Institutional Review Board Statement
Data Availability Statement
Acknowledgments
Conflicts of Interest
References
- Zimmerman, J.J.; Karriker, L.A.; Ramirez, A.; Schwartz, K.J.; Stevenson, G.W. (Eds.) Diseases of Swine, 11th ed.; Wiley-Blackwell: Hoboken, NJ, USA, 2019. [Google Scholar]
- López Rodriguez, A.; Berge, A.C.; Ramage, C.; Saltzman, R.; Domangue, R.J.; Gnozzio, M.J.; Benchaoui, H.A. Evaluation of the clinical efficacy of a water soluble formulation of tylvalosin in the control of enzootic pneumonia associated with Mycoplasma hyopneumoniae and Pasteurella multocida in pigs. Porcine Health Manag. 2020, 6, 1–11. [Google Scholar] [CrossRef] [PubMed]
- Maes, D.; Segales, J.; Meyns, T.; Sibila, M.; Pieters, M.; Haesebrouck, F. Control of Mycoplasma hyopneumoniae infections in pigs. Vet. Microbiol. 2008, 126, 297–309. [Google Scholar] [CrossRef] [PubMed]
- Maes, D.; Sibila, M.; Kuhnert, P.; Segalés, J.; Haesebrouck, F.; Pieters, M. Update on Mycoplasma hyopneumoniae infections in pigs: Knowledge gaps for improved disease control. Transbound. Emerg. Dis. 2018, 65, 110–124. [Google Scholar] [CrossRef] [PubMed]
- Thongkamkoon, P.; Narongsak, W.; Kobayashi, H.; Pathanasophon, P.; Kishima, M.; Yamamoto, K. In vitro susceptibility of Mycoplasma hyopneumoniae field isolates and occurrence of fluoroquinolone, macrolides and lincomycin resistance. J. Vet. Med. Sci. 2013, 75, 1067–1070. [Google Scholar] [CrossRef][Green Version]
- Vicca, J.; Maes, D.; Stakenborg, T.; Butaye, P.; Minion, F.; Peeters, J.; Haesebrouck, F. Resistance mechanism against fluoroquinolones in Mycoplasma hyopneumoniae field isolates. Microbial. Drug Resist. 2007, 13, 166–170. [Google Scholar] [CrossRef]
- Vranckx, K.; Maes, D.; Sacristán, R.D.P.; Pasmans, F.; Haesebrouck, F. A longitudinal study of the diversity and dynamics of Mycoplasma hyopneumoniae infections in pig herds. Vet. Microbiol. 2012, 156, 315–321. [Google Scholar] [CrossRef]
- Felde, O.; Kreizinger, Z.; Sulyok, K.M.; Hrivnák, V.; Kiss, K.; Jerzsele, Á.; Bányai, K. Antibiotic susceptibility testing of Mycoplasma hyopneumoniae field isolates from Central Europe for fifteen antibiotics by microbroth dilution method. PLoS ONE 2018, 13, e0209030. [Google Scholar] [CrossRef]
- Stakenborg, T.; Vicca, J.; Butaye, P.; Maes, D.; Minion, F.C.; Peeters, J.; De Kruif, A.; Haesebrouck, F. Characterization of in vivo acquired resistance of Mycoplasma hyopneumoniae to macrolides and lincosamides. Microb. Drug Resist. 2005, 11, 290–294. [Google Scholar] [CrossRef]
- Tavío, M.M.; Poveda, C.; Assunção, P.; Ramírez, A.S.; Poveda, J.B. In vitro activity of tylvalosin against Spanish field strains of Mycoplasma hyopneumoniae. Vet. Rec. 2014, 175, 539. [Google Scholar] [CrossRef]
- Vicca, J.; Stakenborg, T.; Maes, D.; Butaye, P.; Peeters, J.; de Kruif, A.; Haesebrouck, F. Evaluation of virulence of Mycoplasma hyopneumoniae field isolates. Vet. Microbiol. 2003, 97, 177–190. [Google Scholar] [CrossRef]
- Wyns, H.; Meyer, E.; Plessers, E.; Watteyn, A.; De Baere, S.; De Backer, P.; Croubels, S. Pharmacokinetics of gamithromycin after intravenous and subcutaneous administration in pigs. Res. Vet. Sci. 2014, 96, 160–163. [Google Scholar] [CrossRef] [PubMed]
- Sulyok, K.M.; Kreizinger, Z.; Wehmann, E.; Lysnyansky, I.; Bányai, K.; Marton, S. Mutations associated with decreased susceptibility to seven antimicrobial families in field and laboratory-derived Mycoplasma bovis strains. Antimicrob. Agents Chemother. 2017, 17, 441–448. [Google Scholar] [CrossRef] [PubMed]
- Kobayashi, H.; Nakajima, H.; Shimizu, Y.; Eguchi, M.; Hata, E.; Yamamoto, K. Macrolides and Lincomycin susceptibility of Mycoplasma hyorhinis and variable mutation of domain II and V in 23S ribosomal RNA. J. Vet. Med. Sci. 2005, 67, 795–800. [Google Scholar] [CrossRef] [PubMed]
- Vicca, J.; Stakenborg, T.; Maes, D.; Butaye, P.; Peeters, J.; de Kruif, A. In vitro susceptibilities of Mycoplasma hyopneumoniae field isolates. Antimicrob. Agents Chemother. 2004, 48, 4470–4472. [Google Scholar] [CrossRef]
- Gautier-Bouchardon, A. Antimicrobial Resistance in Mycoplasma spp. Microbiol. Spectr. 2018, 3, 30–38. [Google Scholar] [CrossRef]
- van der Schalk, T.E.; Braam, J.F.; Kusters, J.G. Molecular Basis of Antibiotic Resistance in Mycoplasma genitalium. Int. J. Antimicrob. Agents 2020, 56, 105911. [Google Scholar] [CrossRef]
- Nathues, H.; Beilage, E.G.; Kreienbrock, L.; Rosengarten, R.; Spergser, J. RAPD and VNTR analyses demonstrate genotypic heterogeneity of Mycoplasma hyopneumoniae isolates from pigs housed in a region with high pig density. Vet. Microbiol. 2011, 152, 338–345. [Google Scholar] [CrossRef]
- Cook, B.S.; Beddow, J.G.; Manso-Silvan, L.; Maglennon, G.A.; Rycroft, A.N. Selective medium for culture of Mycoplasma hyopneumoniae. Vet. Microbiol. 2016, 195, 158–164. [Google Scholar] [CrossRef]
- Hannan, P. Guidelines and recommendations for antimicrobial minimum inhibitory concentration (MIC) testing against veterinary mycoplasma species. Vet. Res. 2000, 31, 373–395. [Google Scholar] [CrossRef]
- CLSI Approved Standard M100-S15; Clinical and Laboratory Standards Institute (CLSI). Performance Standards for Antimicrobial Susceptibility Testing. Clinical and Laboratory Standards Institute: Wayne, PA, USA, 2018.
- Felde, O.; Kreizinger, Z.; Sulyok, K.M.; Wehmann, E.; Gyuranecz, M. Development of molecular biological tools for the rapid determination of antibiotic susceptibility of Mycoplasma hyopneumoniae isolates. Vet. Microbiol. 2020, 245, 108697. [Google Scholar] [CrossRef]
- Bolger, A.M.; Lohse, M.; Usadel, B. Trimmomatic: A flexible trimmer for Illumina sequence data. Bioinformatics 2014, 30, 2114–2120. [Google Scholar] [CrossRef] [PubMed]
- Andrews, S. FastQC: A Quality Control Tool for High Throughput Sequence Data. 2010. Available online: http://www.bioinformatics.babraham.ac.uk/projects/fastqc/ (accessed on 2 June 2024).
- Bankevich, A.; Nurk, S.; Antipov, D.; Gurevich, A.A.; Dvorkin, M.; Kulikov, A.S.; Lesin, V.M.; Nikolenko, S.I.; Pham, S.; Prjibelski, A.D.; et al. SPAdes: A new genome assembly algorithm and its applications to single-cell sequencing. J. Comput. Biol. 2012, 19, 455–477. [Google Scholar] [CrossRef] [PubMed]
- Stamatakis, A. RAxML version 8: A tool for phylogenetic analysis and post-analysis of large phylogenies. Bioinformatics 2014, 30, 1312–1313. [Google Scholar] [CrossRef] [PubMed]
- Didelot, X.; Wilson, D.J. ClonalFrameML: Efficient inference of recombination in whole bacterial genomes. PLoS Comput. Biol. 2015, 11, e1004041. [Google Scholar] [CrossRef]
- Antunes, N.T.; Tavío, M.; Assunção, P.; Rosales, R.; Aquili, V.; de la Fe, C. In vitro susceptibilities of field isolates of Mycoplasma mycoides subsp. mycoides large colony type to 15 antimicrobials. Vet. Microbiol. 2007, 122, 85–90. [Google Scholar]
- Lysnyansky, I.; Ayling, R.D. Mycoplasma bovis: Mechanisms of resistance and trends in antimicrobial susceptibility. Front. Microbiol. 2016, 7, 595. [Google Scholar] [CrossRef]
- Pyörälä, S.; Baptiste, K.E.; Catry, B.; van Duijkeren, E.; Greko, C.; Moreno, M.A. Macrolides and lincosamides in cattle and pigs: Use and development of antimicrobial resistance. Vet. J. 2014, 200, 230–239. [Google Scholar] [CrossRef]
- Kidsley, A.K.; Abraham, S.; Bell, J.M.; O’Dea, M.; Laird, T.J.; Jordan, D.; Mitchell, P.; McDevitt, C.A.; Trott, D.J. Antimicrobial susceptibility of Escherichia coli and Salmonella spp. isolates from healthy pigs in Australia: Results of a pilot national survey. Front. Microbiol. 2018, 9, 1207. [Google Scholar] [CrossRef]
- Xia, X.; Wu, C.; Cui, Y.; Kang, M.; Li, X.; Ding, S.; Shen, J. Proteomic analysis of tylosin-resistant Mycoplasma gallisepticum reveals enzymatic activities associated with resistance. Sci. Rep. 2015, 5, 17077. [Google Scholar] [CrossRef]
- Le Carrou, J.; Laurentie, M.; Kobisch, M.; Gautier-Bouchardon, A.V. Persistence of Mycoplasma hyopneumoniae in experimentally infected pigs after marbofloxacin treatment and detection of mutations in the parC gene. Antimicrob. Agents Chemother. 2006, 50, 1959–1966. [Google Scholar] [CrossRef]
- Pallarés, F.J.; Lasa, C.; Roozen, M.; Ramis, G. Use of tylvalosin in the control of porcine enzootic pneumonia. Vet. Rec. Open 2015, 2, e000079. [Google Scholar] [CrossRef] [PubMed]
- Klein, U.; de Jong, A.; Moyaert, H.; El Garch, F.; Leon, R.; Richard-Mazet, A.; Simjee, S. Antimicrobial susceptibility monitoring of Mycoplasma hyopneumoniae and Mycoplasma bovis isolated in Europe. Vet. Microbiol. 2017, 204, 188–193. [Google Scholar] [CrossRef] [PubMed]
- Andersen, N.M.; Poehlsgaard, J.; Warrass, R.; Douthwaite, S. Inhibition of protein synthesis on the ribosome by tildipirosin compared with other veterinary macrolides. Antimicrob. Agents Chemother. 2012, 56, 6033–6036. [Google Scholar] [CrossRef] [PubMed]
- Beylefeld, A.; Wambulawaye, P.; Bwala, D.G.; Gouws, J.J.; Lukhele, O.M.; Wandrag, D.B.R.; Abolnik, C. Evidence for multidrug resistance in nonpathogenic Mycoplasma species isolated from South African poultry. Appl. Environ. Microbiol. 2018, 84, e01660-18. [Google Scholar] [CrossRef]
- Chernova, O.; Medvedeva, E.; Mouzykantov, A.; Baranova, N.; Chernov, V. Mycoplasmas and Their Antibiotic Resistance: The Problems and Prospects in Controlling Infections. J. Clin. Microbiol. 2016, 8, 24–34. [Google Scholar] [CrossRef]
- Hasoon, M.F.; Jarocki, V.M.; Mohammed, M.H.; Djordjevic, S.P.; Yip, H.Y.E.; Carr, M.; Trott, D.J. Antimicrobial susceptibility and molecular characteristics of Mycoplasma bovis isolated from cases of bovine respiratory disease in Australian feedlot cattle. Vet. Microbiol. 2023, 283, 109779. [Google Scholar] [CrossRef]
- Marois, C.; Le Carrou, J.; Kobisch, M.; Gautier-Bouchardon, A.V. Isolation of Mycoplasma hyopneumoniae from different sampling sites in experimentally infected and contact SPF piglets. Vet. Microbiol. 2007, 120, 96–104. [Google Scholar] [CrossRef]





| Target Gene | Forward Primer Sequence (5′-3′) | Reverse Primer Sequence (5′-3′) | Product Size (bp) | Annealing Temperature (°C) |
|---|---|---|---|---|
| IGS | IGS-F GTGGGGATGGATCACCTCCT | IGS-R GCATCCACCAAAAACTCTT | 540 (Mhyo) 314 (MhyoR) 450 (Mflo) | 55 |
| 16S rRNA | 16S-F1 GAGCCTTCAAGCTTCACCAAGA | 16S-R1 TGTGTTAGTGACTTTTGCCACC | 645 | 56 |
| Mutated Nucleotide or Amino Acid | Primer Sequence (5′-3′) | Annealing | Amplicon Size (bp) | Target Gene | Antimicrobial Family |
|---|---|---|---|---|---|
| 23S-F: | AAGGCGCAATGATCTCCCTA | 56 | 171 | 23S rRNA | Macrolides |
| 23S-R: | CCTTGGATCGACATCTCCCA | 56 | 23S rRNA | Macrolides | |
| 23S-2057-F: | GGTTACCCGCATCAAGACTA | 56 | 104 | 23S rRNA | Macrolides |
| 23S-2058-F: | GTTACCCGCATCAAGACGAG | 56 | 103 | 23S rRNA | Macrolides |
| 23S-2059-F: | TTACCCGCATCAAGACGGGA | 56 | 102 | 23S rRNA | Macrolides and Lincosamides |
| Gyr-F: | CCATCAATTGATCCAAAATT | 56 | 118 | DNA Gyrase A | Fluoroquinolones |
| GyrAla-Rs: | GAAAATACCATCCTCACGG | 56 | 118 | DNA Gyrase A | Fluoroquinolones |
| GyrAla-R: | GGGCGAAAATACCATCCTCAAGC | 56 | 118 | DNA Gyrase A | Fluoroquinolones |
| GyrVal-Rs: | ACCATCGATTCATAGACAGCAG | 59 | 118 | DNA Gyrase A | Fluoroquinolones |
| GyrVal-R: | GGGGCACCATCGATTCATAGACAGCAA | 59 | 118 | DNA Gyrase A | Fluoroquinolones |
| GyrGlu-Rs: | CATTCGCACCATCGCTT | 56 | 118 | DNA Gyrase A | Fluoroquinolones |
| GyrGlu-R: | GGGGCCATTCGCACCATCGTTC | 56 | 118 | DNA Gyrase A | Fluoroquinolones |
| Par-Ser-F: | AATCTGCTAGAGTTGTCGGTG | 55 | 75 | Topoisomerase IV | Fluoroquinolones |
| Par-Ser-R: | CAAGAGCATCATAGATTGGAG | 55 | Topoisomerase IV | Fluoroquinolones | |
| Par-Ser-R: | CAAGAGCATCATAGATTGCAT | 55 | 87 | Topoisomerase IV | Fluoroquinolones |
| Par-Asp-F: | AATCTGCTAGAGTTGTCGGTG | 60 | 85 | Topoisomerase IV | Fluoroquinolones |
| Par-Asp-R: | GCAAGTCTGACAAGAGCGTC | 60 | Topoisomerase IV | Fluoroquinolones | |
| Par-Asp-R: | GGGGCGCAAGTCTGACAAGAGCCTT | 60 | 90 | Topoisomerase IV | Fluoroquinolones |
| Antimicrobial | ATCC (µg/mL) | Antimicrobial Concentration (µg/mL) | |||||||||||
|---|---|---|---|---|---|---|---|---|---|---|---|---|---|
| 0.125 | 0.25 | 0.5 | 1 | 2 | 4 | 8 | 16 | 32 | 64 | MIC50 (µg/mL) | MIC90 (µg/mL) | ||
| Aminocyclitol (Spectinomycin) | 2 | 0 | 0 | 0 | 0 | 48% | 38% | 14% | 0 | 0 | 0 | 2 | 4 |
| Fluoroquinolons (Enrofloxacin) | 0.25 | 0 | 4% | 48% | 48% | 0 | 0 | 0 | 0 | 0 | 0 | 1 | 1 |
| Lincosamides (Lincomycin) | 2 | 0 | 0 | 0 | 0 | 62% | 38% | 0 | 0 | 0 | 0 | 2 | 4 |
| Macrolides: -Erythromycin | 32 | 0 | 0 | 0 | 0 | 0 | 0 | 0 | 0 | 48% | 52% | 64 | 64 |
| -Gamithromycin | 8 | 0 | 0 | 0 | 0 | 0 | 0 | 0 | 0 | 70% | 30% | 32 | 32 |
| -Tildipirosin | 2 | 0 | 0 | 0 | 0 | 57% | 43% | 0 | 0 | 0 | 0 | 2 | 4 |
| -Tilmicosin | 8 | 0 | 0 | 0 | 0 | 0 | 0 | 9% | 72% | 19% | 0 | 16 | 32 |
| -Tulathromycin | 2 | 0 | 0 | 0 | 0 | 43% | 43% | 14% | 0 | 0 | 0 | 2 | 4 |
| -Tylosin | 0.5 | 0 | 0 | 0 | 52% | 48% | 0 | 0 | 0 | 0 | 0 | 1 | 1 |
| Phenicol (Florfenicol) | 4 | 0 | 0 | 0 | 0 | 0 | 52% | 48% | 0 | 0 | 0 | 4 | 8 |
| Pleuromutilins (Tiamulin) | 0.25 | 0 | 0 | 0 | 4% | 34% | 62% | 0 | 0 | 0 | 0 | 4 | 4 |
| Tetracyclines (Tetracycline) | 0.25 | 14% | 62% | 24% | 0 | 0 | 0 | 0 | 0 | 0 | 0 | 0.25 | 0.5 |
| Antimicrobial | ATCC MIC50 (µg/mL) | ATCC MIC Values Range; Reported by Felde et al. [8] (µg/mL) |
|---|---|---|
| Aminocyclitol (Spectinomycin) | 2 | 1–4 |
| Fluoroquinolones (Enrofloxacin) | 0.25 | 0.04–0.08 |
| Lincosamides (Lincomycin) | 2 | 0.25–1 |
| Macrolides: -Erythromycin | 32 | 8–32 * |
| -Gamithromycin | 8 | 1–4 |
| -Tildipirosin | 2 | NA |
| -Tilmicosin | 8 | 2–8 |
| -Tulathromycin | 2 | 1–4 |
| -Tylosin | 0.5 | 0.25–0.5 |
| Phenicol (Florfenicol) | 4 | 1–2 |
| Pleuromutilins (Tiamulin) | 0.25 | 0.04–0.16 |
| Tetracyclines (Tetracycline) | 0.25 | 0.25–4 |
Disclaimer/Publisher’s Note: The statements, opinions and data contained in all publications are solely those of the individual author(s) and contributor(s) and not of MDPI and/or the editor(s). MDPI and/or the editor(s) disclaim responsibility for any injury to people or property resulting from any ideas, methods, instructions or products referred to in the content. |
© 2024 by the authors. Licensee MDPI, Basel, Switzerland. This article is an open access article distributed under the terms and conditions of the Creative Commons Attribution (CC BY) license (https://creativecommons.org/licenses/by/4.0/).
Share and Cite
Jafari Jozani, R.; Khallawi, M.F.H.A.; Nguyen, H.T.H.; Mohammed, M.H.; Petrovski, K.; Ren, Y.; Trott, D.; Hemmatzadeh, F.; Low, W.Y. Phenotypic and Genotypic Analysis of Antimicrobial Resistance in Mycoplasma hyopneumoniae Isolated from Pigs with Enzootic Pneumonia in Australia. Pathogens 2024, 13, 1044. https://doi.org/10.3390/pathogens13121044
Jafari Jozani R, Khallawi MFHA, Nguyen HTH, Mohammed MH, Petrovski K, Ren Y, Trott D, Hemmatzadeh F, Low WY. Phenotypic and Genotypic Analysis of Antimicrobial Resistance in Mycoplasma hyopneumoniae Isolated from Pigs with Enzootic Pneumonia in Australia. Pathogens. 2024; 13(12):1044. https://doi.org/10.3390/pathogens13121044
Chicago/Turabian StyleJafari Jozani, Raziallah, Mauida F. Hasoon Al Khallawi, Hanh Thi Hong Nguyen, Majed H. Mohammed, Kiro Petrovski, Yan Ren, Darren Trott, Farhid Hemmatzadeh, and Wai Yee Low. 2024. "Phenotypic and Genotypic Analysis of Antimicrobial Resistance in Mycoplasma hyopneumoniae Isolated from Pigs with Enzootic Pneumonia in Australia" Pathogens 13, no. 12: 1044. https://doi.org/10.3390/pathogens13121044
APA StyleJafari Jozani, R., Khallawi, M. F. H. A., Nguyen, H. T. H., Mohammed, M. H., Petrovski, K., Ren, Y., Trott, D., Hemmatzadeh, F., & Low, W. Y. (2024). Phenotypic and Genotypic Analysis of Antimicrobial Resistance in Mycoplasma hyopneumoniae Isolated from Pigs with Enzootic Pneumonia in Australia. Pathogens, 13(12), 1044. https://doi.org/10.3390/pathogens13121044

