Generation of a Porcine Cell Line Stably Expressing Pig TMPRSS2 for Efficient Isolation of Swine Influenza Virus
Abstract
:1. Introduction
2. Materials and Methods
2.1. Plasmids
2.2. Cell Culture
2.3. Viruses
2.4. Determination of the Full-Length Sequence of the SIV (H1N1)
2.5. Generation of a Retroviral Vector to Express TMPRSS2
2.6. Generation of PK-15 Cells Stably Expressing TMPRSS2
2.7. Rescue of Reporter Viruses
2.8. Preparation of Standards for RT-qPCR
2.9. Virus Infection
2.10. Quantification of vRNA Levels in the Culture Supernatant
2.11. Quantification of vRNA Levels in Infected Cells
2.12. Western Blotting
2.13. Alignment of TMPRSS2 Proteins
2.14. Phylogenetic Analysis of Mammalian TMPRSS2
2.15. Calculation of Identity of TMPRSS2 among Animal Species
2.16. Statistical Analysis
3. Results
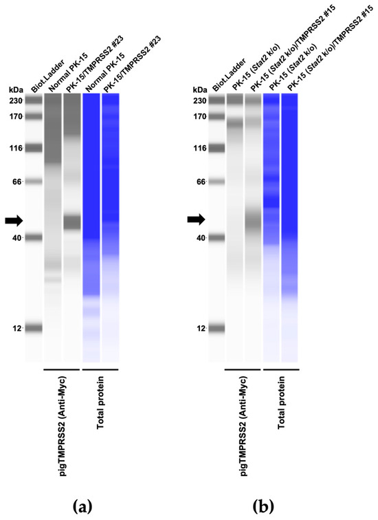
3.1. Generation and Screening of PK-15 Cells Stably Expressing Pig TMPRSS2
3.2. TMPRSS2 Expression in PK-15 Cells Enhances IAV (H1N1) Replication
3.3. Enhanced SIV (H1N1) Replication in PK-15/TMPRSS2 #23 Cells
3.4. No Enhanced Replication of TMPRSS2-Independent Viruses in PK-15/TMPRSS2 #23 Cells
3.5. IAV (H1N1) Replicated More Efficiently in PK-15/TMPRSS2 #23 Cells than in Vero Cells Expressing TMPRSS2
3.6. PK-15/TMPRSS2 #23 Cells Can Be Used for Testing Antiviral Drugs
4. Discussion
Supplementary Materials
Author Contributions
Funding
Institutional Review Board Statement
Informed Consent Statement
Data Availability Statement
Acknowledgments
Conflicts of Interest
References
- Li, L.; Du, Y.; Zhang, Y.; Li, P.; Liu, X.; Zhang, X.; Li, J.; Zhang, T.; Li, X.; Xiao, D.; et al. Comprehensive Evaluation of the Safety and Immunogenicity of a Gene-Deleted Variant Pseudorabies Virus Attenuated Vaccine. Vet. Res. 2022, 53, 73. [Google Scholar] [CrossRef] [PubMed]
- Honce, R.; Schultz-Cherry, S. Recipe for Zoonosis: How Influenza Virus Leaps into Human Circulation. Cell Host Microbe 2020, 28, 506–508. [Google Scholar] [CrossRef] [PubMed]
- Devnath, P.; Wajed, S.; Chandra Das, R.; Kar, S.; Islam, I.; Masud, H.M.A.A. The Pathogenesis of Nipah Virus: A Review. Microb. Pathog. 2022, 170, 105693. [Google Scholar] [CrossRef]
- McLean, R.K.; Graham, S.P. The Pig as an Amplifying Host for New and Emerging Zoonotic Viruses. One Health 2022, 14, 100384. [Google Scholar] [CrossRef] [PubMed]
- Ma, W.; Kahn, R.E.; Richt, J.A. The Pig as a Mixing Vessel for Influenza Viruses: Human and Veterinary Implications. J. Mol. Genet. Med. 2008, 3, 158–166. [Google Scholar] [CrossRef] [PubMed]
- Guan, Y.; Vijaykrishna, D.; Bahl, J.; Zhu, H.; Wang, J.; Smith, G.J.D. The Emergence of Pandemic Influenza Viruses. Protein Cell 2010, 1, 9–13. [Google Scholar] [CrossRef] [PubMed]
- Heindl, M.R.; Böttcher-Friebertshäuser, E. The Role of Influenza-A Virus and Coronavirus Viral Glycoprotein Cleavage in Host Adaptation. Curr. Opin. Virol. 2023, 58, 101303. [Google Scholar] [CrossRef]
- Böttcher, E.; Matrosovich, T.; Beyerle, M.; Klenk, H.-D.; Garten, W.; Matrosovich, M. Proteolytic Activation of Influenza Viruses by Serine Proteases TMPRSS2 and HAT from Human Airway Epithelium. J. Virol. 2006, 80, 9896–9898. [Google Scholar] [CrossRef]
- Bertram, S.; Heurich, A.; Lavender, H.; Gierer, S.; Danisch, S.; Perin, P.; Lucas, J.M.; Nelson, P.S.; Pöhlmann, S.; Soilleux, E.J. Influenza and SARS-Coronavirus Activating Proteases TMPRSS2 and HAT Are Expressed at Multiple Sites in Human Respiratory and Gastrointestinal Tracts. PLoS ONE 2012, 7, e35876. [Google Scholar] [CrossRef]
- Shirogane, Y.; Takeda, M.; Iwasaki, M.; Ishiguro, N.; Takeuchi, H.; Nakatsu, Y.; Tahara, M.; Kikuta, H.; Yanagi, Y. Efficient Multiplication of Human Metapneumovirus in Vero Cells Expressing the Transmembrane Serine Protease TMPRSS2. J. Virol. 2008, 82, 8942–8946. [Google Scholar] [CrossRef]
- Matsuyama, S.; Nao, N.; Shirato, K.; Kawase, M.; Saito, S.; Takayama, I.; Nagata, N.; Sekizuka, T.; Katoh, H.; Kato, F.; et al. Enhanced Isolation of SARS-CoV-2 by TMPRSS2-Expressing Cells. Proc. Natl. Acad. Sci. USA 2020, 117, 7001–7003. [Google Scholar] [CrossRef] [PubMed]
- Wang, X.; Qiao, X.; Sui, L.; Zhao, H.; Li, F.; Tang, Y.-D.; Shi, W.; Guo, Y.; Jiang, Y.; Wang, L.; et al. Establishment of Stable Vero Cell Lines Expressing TMPRSS2 and MSPL: A Useful Tool for Propagating Porcine Epidemic Diarrhea Virus in the Absence of Exogenous Trypsin. Virulence 2020, 11, 669. [Google Scholar] [CrossRef] [PubMed]
- Sadler, A.J.; Williams, B.R.G. Interferon-Inducible Antiviral Effectors. Nat. Rev. Immunol. 2008, 8, 559–568. [Google Scholar] [CrossRef] [PubMed]
- Shofa, M.; Saito, A. Generation of Porcine PK-15 Cells Lacking the Ifnar1 or Stat2 Gene to Optimize the Efficiency of Viral Isolation. PLOS ONE 2023, 18, e0289863. [Google Scholar] [CrossRef] [PubMed]
- Ozono, S.; Zhang, Y.; Tobiume, M.; Kishigami, S.; Tokunaga, K. Super-Rapid Quantitation of the Production of HIV-1 Harboring a Luminescent Peptide Tag. J. Biol. Chem. 2020, 295, 13023–13030. [Google Scholar] [CrossRef] [PubMed]
- Niazi, A.M.; ZiHeng, Z.; Fuke, N.; Toyama, K.; Habibi, W.A.; Kawaguchi, N.; Yamaguchi, R.; Hirai, T. Detection of Swine Influenza A and Porcine Reproductive and Respiratory Syndrome Viruses in Nasopharynx-Associated Lymphoid Tissue. J. Comp. Pathol. 2022, 197, 23–34. [Google Scholar] [CrossRef]
- Zhou, B.; Donnelly, M.E.; Scholes, D.T.; St. George, K.; Hatta, M.; Kawaoka, Y.; Wentworth, D.E. Single-Reaction Genomic Amplification Accelerates Sequencing and Vaccine Production for Classical and Swine Origin Human Influenza A Viruses. J. Virol. 2009, 83, 10309–10313. [Google Scholar] [CrossRef]
- Mekata, H.; Kobayashi, I.; Okabayashi, T. Detection and Phylogenetic Analysis of Dabieshan Tick Virus and Okutama Tick Virus in Ticks Collected from Cape Toi, Japan. Ticks Tick-Borne Dis. 2023, 14, 102237. [Google Scholar] [CrossRef]
- Khalil, A.M.; Yoshida, R.; Masatani, T.; Takada, A.; Ozawa, M. Variation in the HA Antigenicity of A(H1N1)Pdm09-Related Swine Influenza Viruses. J. General Virol. 2021, 102, 001569. [Google Scholar] [CrossRef]
- Li, H.; Bradley, K.C.; Long, J.S.; Frise, R.; Ashcroft, J.W.; Hartgroves, L.C.; Shelton, H.; Makris, S.; Johansson, C.; Cao, B.; et al. Internal Genes of a Highly Pathogenic H5N1 Influenza Virus Determine High Viral Replication in Myeloid Cells and Severe Outcome of Infection in Mice. PLOS Pathog. 2018, 14, e1006821. [Google Scholar] [CrossRef]
- Kumar, S.; Stecher, G.; Li, M.; Knyaz, C.; Tamura, K. MEGA X: Molecular Evolutionary Genetics Analysis across Computing Platforms. Mol. Biol. Evol. 2018, 35, 1547–1549. [Google Scholar] [CrossRef] [PubMed]
- Bangphoomi, N.; Takenaka-Uema, A.; Sugi, T.; Kato, K.; Akashi, H.; Horimoto, T. Akabane Virus Utilizes Alternative Endocytic Pathways to Entry into Mammalian Cell Lines. J. Vet. Med. Sci. 2014, 76, 1471–1478. [Google Scholar] [CrossRef] [PubMed]
- Albertini, A.A.V.; Baquero, E.; Ferlin, A.; Gaudin, Y. Molecular and Cellular Aspects of Rhabdovirus Entry. Viruses 2012, 4, 117–139. [Google Scholar] [CrossRef] [PubMed]
- Hoffmann, M.; Schroeder, S.; Kleine-Weber, H.; Müller, M.A.; Drosten, C.; Pöhlmann, S. Nafamostat Mesylate Blocks Activation of SARS-CoV-2: New Treatment Option for COVID-19. Antimicrob. Agents Chemother. 2020, 64, e00754-20. [Google Scholar] [CrossRef]
- Li, K.; Meyerholz, D.K.; Bartlett, J.A.; McCray, P.B. The TMPRSS2 Inhibitor Nafamostat Reduces SARS-CoV-2 Pulmonary Infection in Mouse Models of COVID-19. mBio 2021, 12, e00970-21. [Google Scholar] [CrossRef]
- Sakai, K.; Ami, Y.; Tahara, M.; Kubota, T.; Anraku, M.; Abe, M.; Nakajima, N.; Sekizuka, T.; Shirato, K.; Suzaki, Y.; et al. The Host Protease TMPRSS2 Plays a Major Role in In Vivo Replication of Emerging H7N9 and Seasonal Influenza Viruses. J. Virol. 2014, 88, 5608–5616. [Google Scholar] [CrossRef]







| Forward | Reverse | Purpose of Use |
|---|---|---|
| 5′-AGACAGCCACAACGGAAAAC-3′ | 5′-CTGTTAGGCGGGTGATGAAT-3′ | Preparing a standard for IAV (H1N1) 2 |
| 5′-TGTTTTTGTGGGGACATCAA-3′ | 5′-CCCTTGGGTGTCTGACAAGT-3′ | Preparing a standard for SIV (H1N1) 2 |
| 5′-GGGTGCGTATATGGGTCTTG-3′ | 5′-TCTTTGAGTGTAGCGCAGGA-3′ | Preparing a standard for AKAV 2 |
| 5′-GGCCCAACCACAACACAAAC-3′ | 5′-AGCCCTCCTTCTCCGTCAGC-3′ | Quantification of IAV (H1N1) vRNA 1 |
| 5′-TCAAGCCGGAGATAGCAATAAG-3′ | 5′-TTTGTCTCCCGGCTCTACTA-3′ | Quantification of SIV (H1N1) vRNA 2 |
| 5′-GGGTTTCAGAGCCTACAAG-3′ | 5′-GCTACCTCAGGCAACAGATTAG-3′ | Quantification of AKAV vRNA 2 |
| 5′-TCCCTGGAGAAGAGCTACGA-3′ | 5′-AGCACCGTGTTGGCGTAGAG-3′ | Quantification of porcine Actb mRNA 2 |
Disclaimer/Publisher’s Note: The statements, opinions and data contained in all publications are solely those of the individual author(s) and contributor(s) and not of MDPI and/or the editor(s). MDPI and/or the editor(s) disclaim responsibility for any injury to people or property resulting from any ideas, methods, instructions or products referred to in the content. |
© 2023 by the authors. Licensee MDPI, Basel, Switzerland. This article is an open access article distributed under the terms and conditions of the Creative Commons Attribution (CC BY) license (https://creativecommons.org/licenses/by/4.0/).
Share and Cite
Tanaka, Y.L.; Shofa, M.; Butlertanaka, E.P.; Niazi, A.M.; Hirai, T.; Mekata, H.; Saito, A. Generation of a Porcine Cell Line Stably Expressing Pig TMPRSS2 for Efficient Isolation of Swine Influenza Virus. Pathogens 2024, 13, 18. https://doi.org/10.3390/pathogens13010018
Tanaka YL, Shofa M, Butlertanaka EP, Niazi AM, Hirai T, Mekata H, Saito A. Generation of a Porcine Cell Line Stably Expressing Pig TMPRSS2 for Efficient Isolation of Swine Influenza Virus. Pathogens. 2024; 13(1):18. https://doi.org/10.3390/pathogens13010018
Chicago/Turabian StyleTanaka, Yuri L, Maya Shofa, Erika P Butlertanaka, Ahmad Massoud Niazi, Takuya Hirai, Hirohisa Mekata, and Akatsuki Saito. 2024. "Generation of a Porcine Cell Line Stably Expressing Pig TMPRSS2 for Efficient Isolation of Swine Influenza Virus" Pathogens 13, no. 1: 18. https://doi.org/10.3390/pathogens13010018
APA StyleTanaka, Y. L., Shofa, M., Butlertanaka, E. P., Niazi, A. M., Hirai, T., Mekata, H., & Saito, A. (2024). Generation of a Porcine Cell Line Stably Expressing Pig TMPRSS2 for Efficient Isolation of Swine Influenza Virus. Pathogens, 13(1), 18. https://doi.org/10.3390/pathogens13010018

