Abstract
The genus Verticillium is a group of ascomycete fungi that includes several pathogenic plant species. In 2011, a new taxonomic classification, proposed by Inderbitzin and coworkers (2011), re-defined the genus as Verticillium sensu stricto. The objective of our study was the re-classification of the fungal species held in the culture collection in the Slovenian Institute of Hop Research and Brewing in accordance with the newly established taxonomy. With the PCR marker system proposed by Inderbitzin and coworkers in 2011, we re-classified 88 Verticillium isolates out of the 105 samples that are held in the institute’s bank, which were obtained from different geographic locations in Europe, North America, and Japan, and from different host plants, including alfalfa, cotton, hop, olive, potato, and tomato. However, the PCR marker for the V. dahliae identification proved to be less specific, and it resulted in the positive amplification of Gibellulopsis nigrescens, V. isaacii, and V. longisporum. To enable the accurate distinction of the fungi, the SSR and LAMP markers were added to the analyses. The 12 newly identified SSR markers, which were used in simplex PCR reactions or in combination, enabled the accurate identification of all included Verticillium isolates and could potentially be used as biomarkers for rapid and easy species identification.
1. Introduction
The genus Verticillium is a group of ascomycete filamentous fungi that includes plant-pathogenic species that infect the vasculature of many agricultural crops, leading to large economic losses worldwide [1,2,3,4,5,6,7]. In 2011, a new taxonomic classification of the genus was established, introducing the reduced genus Verticillium sensu stricto, which comprises 10 plant-pathogenic fungal species: Verticillium albo-atrum, Verticillium alfalfae, Verticillium dahliae, Verticillium isaacii, Verticillium klebahnii, Verticillium longisporum, Verticillium nonalfalfae, Verticillium nubilum, Verticillium tricorpus, and Verticillium zaregamsianum [2]. On the basis of extensive molecular analyses, Verticillium nigrescens and Verticillium theobromae were moved to other genera [7].
Verticillium sensu stricto species are soil-borne fungi with hyaline mycelia. Hyphae and conidia are mostly haploid, and conidia are produced on long philaides [4,8,9]. One of the features of Verticillium sensu stricto species is the formation of resting structures, by which the species remain dormant in the soil for long periods, even without a host plant [2,4,9,10]. The three types of resting structures include resting mycelia, microscleorotia, and clamidospores, with the species V. albo-atrum, V. isaacii, V. klebahnii, and V. tricorpus forming more than one type of resting structure [2]. The Verticillium sensu stricto species also differ in pathogenicity: the less virulent and highly virulent fungal isolates of V. nonalfalfae cause mild and lethal wilting symptoms in hop plants, respectively; and infection with defoliating and non-defoliating pathotypes of V. dahliae manifests as wilting with or without defoliation on cotton and olive plants [11]. The species also differ in host range, with V. dahliae capable of infecting plants from 14 plant families, whereas V. alfalfae only infects lucerne [2,5,12,13,14,15,16].
In a number of recent studies, it has become increasingly apparent that identification based on morphological and physiological characteristics is not always unambiguous, since the characteristics used for identification, including resting structures and yellow hyphal pigmentation, are unstable and may disappear in laboratory cultures. Thus, some species lack distinguishing morphological characteristics [17]. For example, the V. dahliae species is morphologically difficult to distinguish from the V. longisporum lineages; V. alfalfae and V. nonalfalfae are morphologically very similar to the distantly related V. albo-atrum species; and V. isaacii and V. klebahnii are morphologically indistinguishable from V. tricorpus [2]. Thus, the accurate and reliable identification of the Verticillium sensu stricto species is challenging and has, therefore, become the focus of extensive research [1].
Since 1990, numerous reports of molecular techniques for species identification have been reported, with the majority being based on polymerase chain reaction (PCR) [5,18,19,20,21,22,23,24]. On the basis of the differences in the internal transcribed spacer (ITS) region, primers specific to V. albo-atrum, V. dahliae, and V. tricorpus were designed to distinguish between the species [23,25]. Other applications of the PCR-based methodology are focused on developing pathotype-specific SCAR markers for the detection and differentiation of less virulent and highly virulent isolates [5,14,15,26]. Recently, new PCR-based simplex and multiplex assays were designed and validated for the identification and differentiation of all 10 Verticillium sensu stricto species and the V. longisporum lineages [1]. Such assays generally aim to enable accurate species identification and the diagnosis of Verticillium wilt diseases.
Since their discovery, more than 20 years ago, short sequence repeats (SSR) or microsatellite markers have become the most widely used markers for genotyping different species due to their ease of use. SSR markers are highly informative multi-allele codominant markers that are widely distributed throughout prokaryotic and eukaryotic genomes [26]. As a tool for detecting V. dahliae variability, SSR markers were developed from genomic libraries enriched with SSR repeats. The newly developed markers enabled genetic variability identification in V. dahliae isolates from different host plants [27,28]. Such highly polymorphic SSR markers are being used in genetic diversity studies, phylogenetic analysis, clone identification studies, and for genotypization [29].
Extensive efforts are being made to develop efficient molecular techniques for the rapid identification and differentiation of plant pathogens, which will enable the detection of specific pathogens immediately after isolation in plant fields and at low concentrations (in the early stages of infection). One such promising approach is loop-mediated isothermal amplification (LAMP), in which specific DNA is amplified at a constant temperature [30]. The usefulness of the LAMP technique as a diagnostic tool was demonstrated in several quarantine and non-quarantine plant pathogens, including viroids, bacteria, the fungal species Botrytis cinereia, and fungi belonging to the Phytophtora genus [31,32,33,34,35]. The LAMP technique was also tested as a method for the identification of different V. dahliae pathotypes, where primers for species differentiation were designed based on known random amplified polymorphic DNA (RAPD) markers [36]. The isolates had already been identified in the soil samples without any prior DNA purification.
The main objective of the present study was to re-classify the collection of Verticillium isolates according to the new taxonomic classification and nomenclature of the genus Verticillium sensu stricto, as suggested by Inderbitzin and coworkers [2]. First, the isolates collected in the Slovenian Institute of Hop Research and Brewing were analyzed with simplex and multiplex PCR assays, which were designed by Inderbitzin and coworkers [1], to establish their origin in accordance with the new taxonomic classification. Second, the isolates’ ITS region was sequenced, and the resulting phylogeny analyses were compared with PCR analyses to determine the compatibility with the newly introduced PCR markers. Because unambiguous identification using molecular markers is crucial for the analysis of fungi, the third objective was to test whether certain more commonly used marker systems, e.g., highly polymorphic simple sequence repeats (SSR markers), are sufficiently effective for the accurate identification of isolates. In addition, the loop-mediated isothermal amplification (LAMP) technique was also tested for its usefulness in rapid V. nonalfalfae species identification in the early stages of infection, which is an important factor in controlling the wilting disease of hops.
2. Materials and Methods
Fungal isolates. Overall, 104 Verticillium isolates from a diverse range of species and pathogenicities (highly virulent and less virulent) were included in the identification analysis. Isolates were obtained from different geographic locations in Europe, North America, and Japan and from different host plants, including hop, potato, tomato, cotton, olive, and alfalfa (Appendix A). In addition, the Verticillium spp. (V. lecanii, V. fungicola, and V. nigrescens), removed from the re-defined Verticillium sensu stricto genus [2], were included in the analysis. All isolates used in this study were maintained in the culture collection of the Slovenian Institute for Hop Research and Brewing, Žalec, Slovenia, as monospore cultures on potato dextrose agar at 4 °C, or stored as cultures in general fungal medium [37] in 20% glycerol at −80 °C.
Fungal DNA extraction. DNA was extracted from mycelia obtained from 3-day-old fungal cultures using a protoplast method, according to Bagar et al. [38]. Mycelium for DNA extraction was prepared by adding SP buffer (0.8% wt/vol NaCl, 10 mM NaH2PO3, pH 6.0) and centrifugated at 700 rpm for 5 min. The protoplasts were prepared by treating mycelia with 0.03 g/mL of lysing enzymes from Trichoderma harzianum (Glucanex), dissolved in KMC buffer (1 M KCl, 25 mM CaCl2, 10 mM MES, pH 5.8) for 3.5 h at 30 °C. Protoplasts were collected by centrifugation for 5 min at 5000 rpm at 4 °C and washed with 1 mL of STC buffer (1.2 M sorbitol, 50 mM CaCl2, 10 mM Tris, pH 7.5). DNA was then extracted and purified from protoplasts according to the methods described by Moller et al. [39]. DNA was re-suspended in TdE (10 mM Tris-HCl, pH 8.0 in 0.1 mM EDTA, pH 8.0). DNA concentration was determined using a fluorometer and DNA quality was assessed by 1% agarose gel electrophoresis according to the standard procedures. The isolated DNA was stored at −20 °C.
Simplex PCR. For species identification, according to the new taxonomic classification of the genus Verticillium sensu stricto, 18 new primers, combined in 11 primer pairs, were used in simplex PCR assays, developed by Inderbitzin et al. [1]. Each 20 µL reaction contained 15 µL of reaction master mix (1× PCR buffer, 2 mM MgCl2, 0.2 mM deoxynucleotides, 0.5 µM of each primer, 0.025 U/µL of polymerase), and 5 µL of the template DNA (diluted 1:49 with nuclease free water, regardless of the measured concentration of the extracted DNA). Amplification was conducted according to the protocols for each primer pair. Products were analyzed with gel electrophoresis with 1.3% wt/vol agarose, according to standard procedures. Each amplified PCR product of the specific isolate was evaluated by length and identified according to the expected PCR product length for each Verticillium sensu stricto species [2].
Multiplex PCR. For the identification and differentiation of the V. longisporum lineages, a multiplex PCR assay was performed according to the protocol developed by Inderbitzin et al. [1], using specific primer pairs (A1f/A1r, D1f/AlfD1r, Df/Dr, respectively). The multiplex PCR assay was used for all isolates that revealed products specific for V. dahliae in the simplex PCR assay and for the Species A1 and Species D1 of V. longisporum. Each 20 µL reaction contained 15 µL of reaction master mix (1× PCR buffer, 2 mM MgCl2, 0.2 mM deoxynucleotides, 0.5 µM or 0.25 µM of each primer, 0.025 U/µL polymerase) and 5 µL of template DNA (diluted 1:49). Amplification was conducted according to the multiplex PCR protocol. Products were analyzed and evaluated in the same manner as the simplex PCR products.
ITS region amplification, sequencing, and phylogenetic analysis. Primers ITS1 and ITS4, designed by White et al. [40], were used to amplify the fungal ITS region. Each 20 µL reaction contained 15 µL of reaction master mix (1× PCR buffer, 2 mM MgCl2, 0.2 mM deoxynucleotides, 0.5 µM of each primer, 0.025 U/µL polymerase) and 5 µL of template DNA (diluted 1:49). Products were analyzed with gel electrophoresis with 1.3% wt/vol agarose.
The sequencing of the ITS region was performed by the direct sequencing of PCR products using the Sanger method [41]. The BigDye™ Terminator v3.1 Cycle Sequencing Kit (Applied Biosystems™) was used according to the manufacturer’s protocol. The samples were subsequently purified with ethanol and EDTA precipitation, following size separation by capillary electrophoresis using a 3130 XL Genetic Analyzer (Applied Biosystems™, Waltham, Massachusetts, USA). The sequencing data were analyzed using the licensed CodonCode Aligner software (ver. 5.1; CodonCode Corporation).
Phylogenetic analysis was performed using the CLC Genomic Workbench software (Qiagen). Sequences of the ITS region for 104 isolates were aligned using the MUSCLE algorithm [41] and then manually edited on the same length. A maximum likelihood phylogenetic tree was obtained using the neighbor-joining/Kimura80 model and rooted to the Gibellulopsis nigrescens ITS sequence (Genebank accession number NR_149327). Additionally, all sequences were compared to the NCBI database using the BLASTn tool.
Assessing the specificity of the V. dahliae PCR assay. The additional isolates of G. nigrescens (CBS 100826, CBS 100833, CBS 117131, CBS 120177, CBS 120949), acquired from the CBS collection, were added to the analyses to test the specificity of the Df/Dr primer pair for the identification of V. dahliae isolates [1], as the first PCR experiment resulted in some unspecific amplifications in the G. nigrescens strains using the V. dahliae-specific primers (Df/Dr primer pair). PCR amplification was performed according to the protocol designed by Inderbitzin et al. [1]. The amplification products were analyzed and evaluated in the same manner as the simplex PCR products.
SSR marker analysis. Sixty-one new specific microsatellite markers were developed de novo in order to analyze the genetic diversity of the collection of Verticillium spp. isolates. Sequences of V. alfalfae (VaMs.102; GenBank assembly accession: GCA_000150825.1) were used to search for the presence of microsatellites using MISA (MIcroSAtellite identification tool) [42] with the default parameters for identifying SSR repeats. The Primer3 software, which is freely available online, was used to design the specific primers from the flanking regions. The search was executed on the whole genome, genes, transcripts, and mitochondrial sequences. Sixty-one pairs of newly designed primers, elongated for the universal M13 tail sequence [43], were tested on 16 selected fungal isolates (P10, CD15, T2, Rec91, 11100, 298092, 102.464, 11066, 11077, 11081, 107, ARO1JS1, Pd83-53A, JKG2, MAI, PAP2008) of V. alfalafae, V. nonalfalfae, V. albo-atrum, and V. dahliae. Thereafter, 12 primer pairs with the highest obtained polymorphism were chosen for further analyses of all collected isolates.
Microsatellite amplification and loci analysis. The PCR amplification of 12 SSR loci was performed in 15 µL reactions (1× PCR buffer, 2 mM MgCl2, 0.2 µM of each deoxynucleotide, 2.5 mM specific forward and reverse primer, 0.25 µM TAIL M13 primer (5′d[GTAAAACGACGGCCAG]3′), 1.25 U/reaction GoTaq DNA polymerase) with 20 ng of fungal DNA. The reactions were incubated in a thermal cycler as follows: initial denaturation at 94 °C for 5 min, followed by five cycles at 94 °C for 45 s, and annealing at 60 °C for 30 s with elongation at 72 °C for 1 min. For each cycle, the temperature was reduced by 1 °C. Annealing was followed by 25 cycles at 55 °C, and the final step was elongation at 72 °C for 8 min.
The PCR fragments with fluorescent FAM-, VIC-, NED-, and PET-labelled microsatellite primers were combined and separated using a 16-capillary 3130 xl genetic analyzer (Applied Biosystems). The sizes of the PCR products were analyzed using GeneMapper 4.0 (Applied Biosystems). The allele sizes of specific isolates were clustered using the microsatellite analyzer (MSA) 4.05 software package [43] by calculating the Dps (proportion of shared alleles) distance coefficients. These were used as a base for the dendrogram construction using the neighbor-joining algorithm, employing the PHYLIP software package (3.6b version; University of Washington). The visualization of the clusters was achieved with the MEGA7 software (version 7.0) [44].
LAMP PCR primer design and analysis. The V. nonalfalfae-specific primers for the LAMP assay were designed using the Primer Explorer V5 software. Firstly, the genome sequences of the V. dahliae isolate Vdls17 (GenBank assembly accession: GCA_000150675.2) and the V. nonalfalfae isolate T2 (GenBank assembly accession: GCA_002776445.1) were aligned, and the sequence regions only present in V. nonalfalfae were selected for primer design. The genomic regions only present in V. nonalfalfae were divided into three parts and different sets of primer pairs were developed to differentiate between V. nonalfalfae and V. dahliae. To differentiate between the less virulent and highly virulent V. nonalfalfae isolates, two sets of LAMP primers (namely, PG2_1 and PG2_2) were designed in the lethal region of the highly virulent V. nonalfalfae isolate T2, which was previously discovered by Jakše et al. [45]. Thus, we only amplified the DNA of the highly virulent isolates. The primer pairs selected for the LAMP analysis originated from the regions where the maximum number of sequence differences between the two species/pathotypes was observed in the genome alignments. In the first step, the F3/B3 and FIP/BIP primer pairs were retrieved, and in the second step, the LoopF and LoopB primers were designed based on the previously selected F3/B3 and FIP/BIP primer pairs using the Primer Explorer V5 [30].
The LAMP reaction was performed using the WarmStart LAMP Kit (NEB). The designed primers were diluted to 10 nM concentrations and 2.5 µL of a specific primer pair was used in a LAMP reaction, supplemented with 12.5 µL of the 2× WarmStart Master Mix and 2 µL of fungal DNA for a total amount of 2 ng of DNA. The temperature profile used for the amplification was 45 min at a constant temperature of 65 °C. If needed, an optimized temperature profile (68 °C for 5 min, 67 °C for 5 min, 66 °C for 5 min, and 65 °C for 30 min) was used for the increased specificity of the amplification. We selected 16 Verticillium sensu stricto isolates (Appendix A) as the representatives of each species to be included in the LAMP analysis. The visualization of the LAMP reactions was conducted using 2% E-Gel Precast Agarose Gels (ThermoFisher, Waltham, Massachusetts, USA). For each reaction, 12 µL of sample, supplemented with brome phenol blue dye (NEB), was used and loaded onto the gels. The electrophoresis was held in an iBase device (ThermoFisher) for 45 min. The reactions were visualized using the UV transilluminator and recorded using the VisionWorks software.
3. Results
3.1. Simplex and Multiplex PCR Assays
In total, 88 isolates out of 104 were identified with the newly designed species-specific simplex PCR assays [1], according to PCR products of specific length (Appendix A). Thirteen isolates were not identified due to poor DNA amplification. The V. klebahnii and V. zaregamsianum species were not identified among the analyzed samples with the introduced PCR marker approach or by the sequencing of the ITS region due to the absence of the two species in the fungal collection.
Thereafter, multiplex PCR for the 35 selected isolates that exhibited positive amplification with the Df/Dr primer pair and in the V. longisporum assays was conducted using the V. dahliae–V. longisporum assay to distinguish between V. dahliae and different V. longisporum lineages. We confirmed the identity of the V. longisporum A1/D1 lineage for two isolates (PD330, CBS 110.218) (Appendix A), specified by the V. longisporum species A1 and V. longisporum species D1 PCR amplicons. The remaining isolates of V. dahliae (namely CIG3, JKG 2, JKG1, JKG 8, DJK, MAI, Mint, GAJ09, PDRENU/MAR, CasD, KresD, MoD, Oset, 12042, PAPmb, PAP, Pap99, Pap2008, 14, 141, 3V, 802-1, V 138 I, V 176 I, PD335, PD584, A III 25, PD337) were confirmed using the previously described simplex PCR identification, as the V. dahliae-specific amplicon was detected.
3.2. Phylogenetic Analysis Based on ITS Sequencing
On the basis of the obtained sequence data for the ITS region, a total of 100 isolates were included in the phylogenetic analysis. Verticillium nonalfalfae isolate 11047 and V. dahliae 802-1 were excluded from the analysis because low quality ITS sequences were obtained. The same applied to isolates representing V. fungicola and V. leicanii species, the two species removed from the Verticillium sensu stricto genus (Appendix A). A maximum likelihood phylogeny was obtained using the neighbor-joining/Kimura80 model, which divided all 98 isolates into 12 groups/branches (Table 1), represented by 98 isolates of the Verticillium sensu stricto species, together with their specific sub-groups, and two isolates of the G. nigrescens species. The consensus sequence of each group was used in the alignment of sequences and the final phylogenetic tree design (Figure 1). The bootstrap value of 100% showed that the isolates of Verticillium sensu stricto were grouped together in a clade in all performed bootstrap replications with a clear distinction from G. nigrescens isolates.
Table 1.
Verticillium sensu stricto species, forming the branches/groups in a phylogenetic tree.
Figure 1.
Maximum likelihood phylogenetic tree constructed on ITS sequences for the 98 Verticillium sensu stricto isolates; branches represent the number of isolates with the same ITS sequence; the names of the isolates grouped in a specific branch are provided in Table 1.
The branches of the phylogenetic tree well represent specific Verticillium sensu stricto species, and the identification based on ITS sequences is in accordance with the simplex/multiplex PCR assay identification (Appendix A). Interestingly, for the V. albo-atrum species, sub-clustering was observed, as isolate CBS 102.464 (UK, artichoke isolate) appeared to be different from the other five isolates. The same sub-division was observed with the SSR marker analysis, where the CBS 102.464 isolate had two polymorphic loci (235 bp long locus no. 2756 and 193 bp long locus no. 3507) with longer alleles than the other V. albo-atrum isolates (222 bp and 187 bp). The results indicate that the specific isolate from artichoke underwent some type of evolutionary adaptation that might be host-dependent.
3.3. Specificity of Verticillium dahliae Simplex PCR Assay
A total of 42 isolates were included in the specificity test, including 27 V. dahliae isolates, 7 G. nigrescens isolates, 2 V. longisporum A1/D1 isolates, and 1 of each of the V. albo-atrum, V. alfalfae, V. nubilum, V. tricorpus, V. isaacii, and V. nonalfalfae isolates. The Verticillium dahliae-specific marker (defined by the Df/Dr primer pair [1]) was amplified in all V. dahliae isolates, six G. nigrescens isolates, one V. longisporum isolate, and one V. isaacii isolate. The length of the amplicon (490 bp) was specific to the Df/Dr amplicon, typical for the V. dahliae species (Figure 2).
Figure 2.
Results of the specificity test for V. dahliae specific PCR assay, including representatives of each species. M—1 kilo bp marker; Vd1—V. dahliae AIII25; Vd2—V. dahliae PD337; Vd3—V. dahliae CIG3; Gn1—G. nigrescens PAPmb; Gn2—G. nigrescens CBS 123.176; Gn3—G. nigrescens CBS 100826; Gn4—G. nigrescens CBS100833; Gn5—G. nigrescens CBS 120949; Gn6—G. nigrescens CBS 120177; Gn7—G. nigrescens CBS 117131; Vl1—V. longisporum A1/D1 CBS 110218; Vl2—V. longisporum A1/D1 PD330; Vaa—V. albo-atrum 112; Va—V. alfalfae Luc; Vn—V. nubilum CBS 456.51; Vt—V. tricorpus CBS 227.84; Vi—V. isaacii JKG20; Vna—V. nonalfalfae TABOR6; M—100 bp gene ruler.
3.4. SSR Marker Development
A total of 628 sequences of the V. alfalfae isolate VaMs.102 contained SSRs, wherein the most frequent were dinucleotides (52.9%) and trinucleotides (30.4%). The search was conducted on the whole genome, genes, transcripts, and mitochondria. Nine microsatellite repeats were found in mitochondria, 170 were found in genes, and, out of these, 104 were also confirmed in transcripts. The rest of the microsatellites were in non-coding regions. Out of the 104 microsatellite sequences, 61 were chosen for primer development based on the length of the repeating region, the low GC content of the repeat, and their uniform distribution along the whole sequence of V. alfalfae. PCR amplification was not successful for two of them and eight only showed amplification for V. alfalfae isolates and were therefore omitted from the analysis. The remaining 54 primer pairs successfully amplified specific products in each of the 16 isolates preliminarily tested, resulting in between two and nine amplified alleles per locus. Twelve primer pairs, with the highest polymorphic information content, were chosen for further genetic/similarity analysis (Table 2).
Table 2.
Twelve newly designed SSR markers with the highest polymorphism used for Verticillium sensu stricto species differentiation.
Ninety-four genotypes/Verticillium sensu stricto isolates, analyzed for twelve SSR markers, exhibited a total amplification of 54 alleles. Between two and nine alleles were amplified per locus (Table S2); the highest polymorphism was observed for locus 1566 with nine alleles and the lowest for locus 1468 with only two alleles. For the locus designated as 3632, the 237 bp long allele was detected in all included V. nonalfalfae species, while the same locus produced a 252 bp long allele in the V. alfalfae species and a 235 bp long product in the V. dahliae species. Another locus, marked 886, produced three alleles, wherein the 168 bp long product was only observed in the V. dahliae species. In V. alfalfae, a specific 213 bp long allele was detected for locus 3111, differentiating the V. alfalfae and V. nonalfalfae species, and, as for the latter, a 194 bp long allele was observed. In addition, in V. nubilum, V. fungicola, and V. longisporum, alleles of a specific length were detected for loci 3632, 886 2390, and 1556, respectively. In the case of V. albo-atrum, several loci (598, 2756, and 3507) produced alleles of a specific length and, thus, need to be used in combination to differentiate the species. The same applies to V. isaacii, wherein the loci designated as 959, 228, and 1556 enable differentiation of the species among other Verticillium sensu stricto isolates.
The phylogenetic tree constructed using the proportion of shared alleles coefficient resulted in a dendrogram containing four distinct clades (Figure S1), representing the different Verticillium sensu stricto species included in the analysis. The biggest group represented V. nonalfalfae isolates, which is in accordance with the ITS marker analysis and phylogeny. All included isolates were identified as V. nonalfalfae in all three identification approaches. The second largest clade represents V. dahliae species, which was expected, as the collection of the analyzed isolates contained a significant number of V. dahliae isolates. The V. alfalfa clade and V. longisporum clade contain isolates that were also identified as such in the ITS marker phylogeny.
3.5. LAMP Sensitivity for Species Identification
Four sets of LAMP primers for the identification and differentiation of V. nonalfalfae species from the V. dahliae, V. alfalfae, and V. albo-atrum species were developed (namely Vna_Vd1_1, Vna_Vd1_2, Vna_Vd2, and Vd-mitoh), together with two LAMP primer pairs for V. nonalfalfae pathotype identification (Table S1). The usefulness of the designed primers was tested on selected Verticillium sensu stricto isolates.
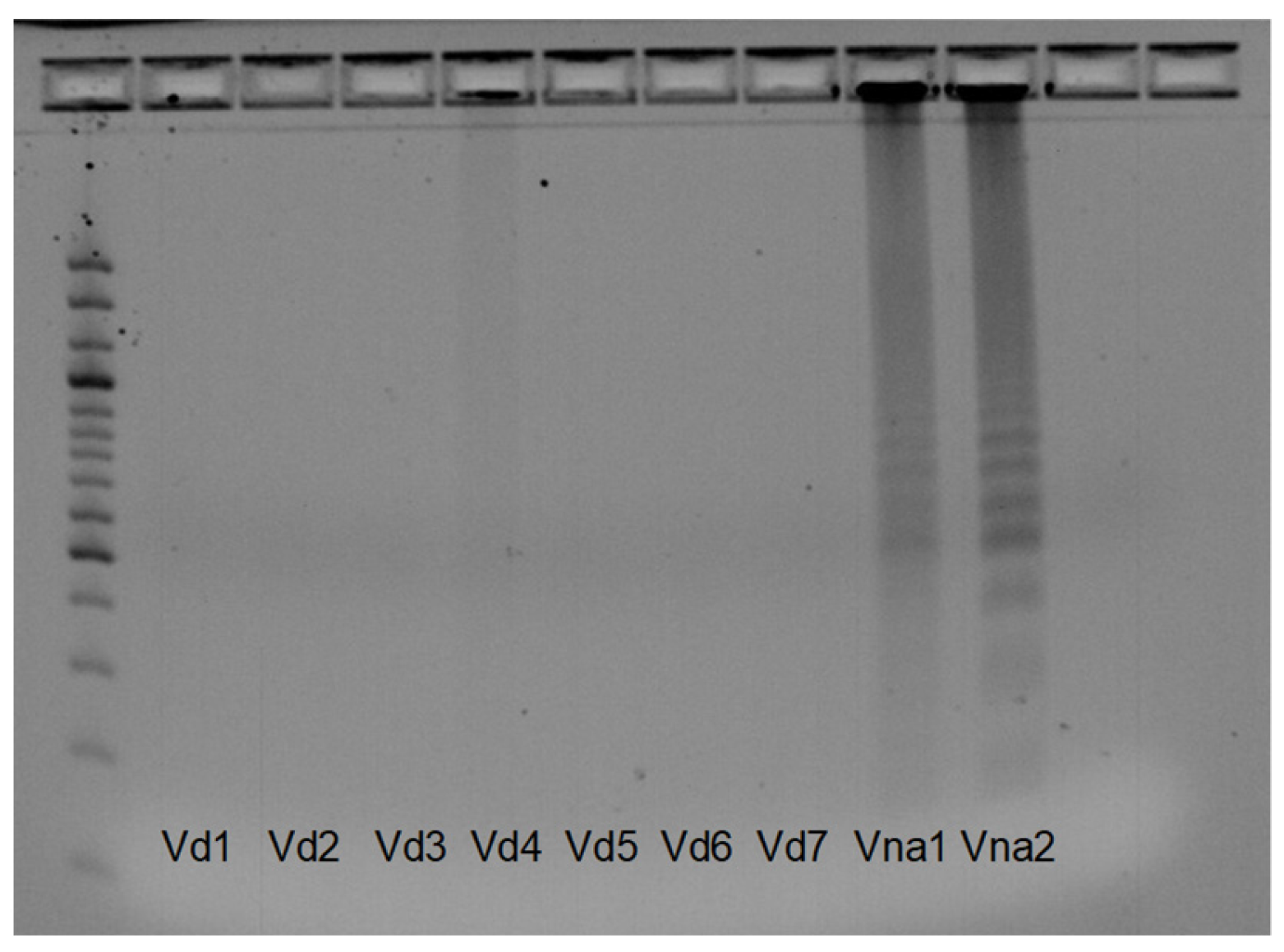
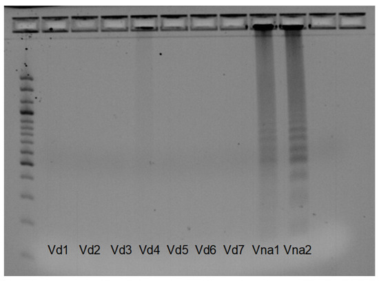
The Vna-Vd1_1 primer pair resulted in the specificity of the amplification after protocol optimization, wherein the LoopF and LoopB primers were excluded from the reaction, as their use was not mandatory in the LAMP reaction. After optimization, we only observed positive reactions in V. nonalfalfae isolates, whereas for V. dahliae isolates, DNA was not amplified (Figure 3), indicating that the designed primer pair Vna-Vd_1 differentiated between V. nonalfalfae and V. dahliae. The Vna_Vd1_2 primer pair differentiated between the V. nonalfalfae and V. dahliae isolates, and no amplification was observed for the V. dahliae isolates; however, the DNA failed to be amplified in several V. nonalfalfae isolates (Figure 4).
Figure 3.
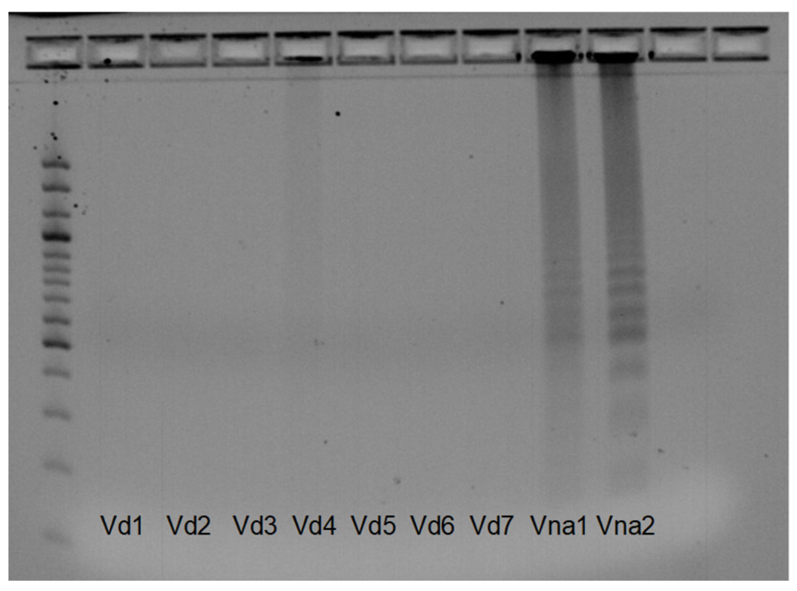
Results of the optimized LAMP reaction using the Vna_Vd1_1 primer pair. V. dahliae isolates: Vd1—Mint; Vd2—Oset; Vd3—PAP 1999; Vd4—PAP2008; Vd5—JKG2; Vd6—KresD; Vd7 —CasD; Vna1—less virulent V. nonalfalfae isolate; Vna2—highly virulent V. nonalfalfae isolate; size standard—100 bp.
Figure 4.
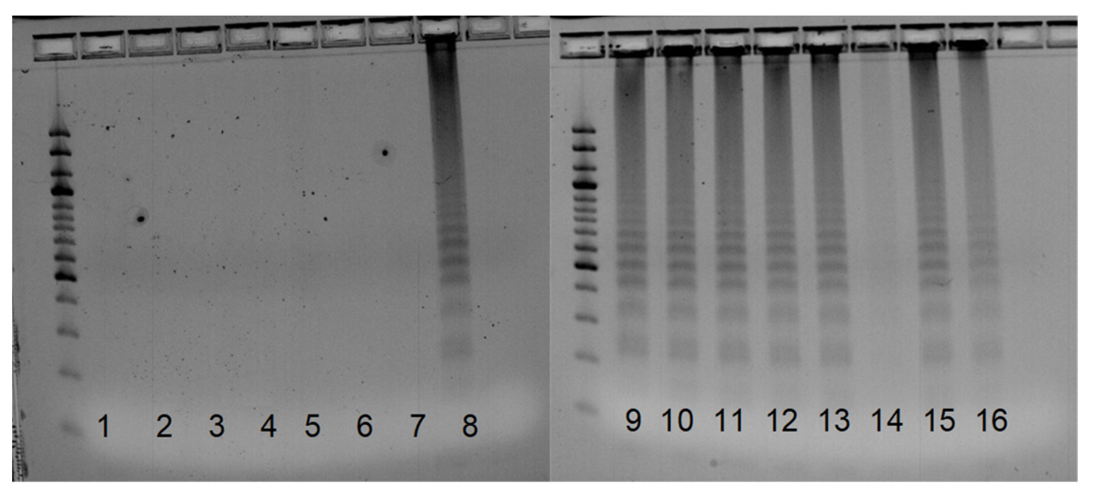
Results of the LAMP reaction using the Vna_Vd1_2 primer pair. As shown, 1, 2—V. albo-atrum isolates 110 and 112; 3, 4—V. alfalfae isolates 107 and 11; 5–7—less virulent V. nonalfalfae isolates Zup, Rec91, and KRES 98; 8–13—highly virulent V. nonalfalfae isolates 1985, 11100, T2, BIZ, P 15, and P 10; 14—less virulent V. nonalfalfae isolate P83; 15, 16—V. dahliae isolates PAP2008 and CasD; size standard—100 bp.
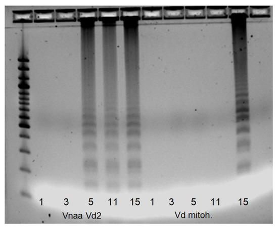
Thereafter, the Vna_Vd2 primers resulted in the amplification of the V. nonalfalfae and V. dahliae isolates, and no DNA amplification was observed for the V. alfalfae and V. albo-atrum isolates (Figure 5). The primer pair thus enables the exclusion of the V. albo-atrum and V. alfalfae species when analyzing unknown isolates. By using the Vd-mitoh primer pair, designed in the V. dahliae mitochondrial sequence, only DNA from the V. dahliae isolates was amplified (Figure 6); however, the DNA was not amplified in all investigated V. dahliae samples, as expected.
Figure 5.
Results of the LAMP reaction using the Vna_Vd2 primer pair. As shown, 1, 2—V. albo-atrum isolates 110 and 112; 3, 4—V. alfalfae isolates 107 and 11; 5–7—less virulent V. nonalfalfae isolates Zup, Rec91, and KRES 98; 8–13—highly virulent V. nonalfalfae isolates 1985, 11100, T2, BIZ, P 15, and P 10; 14—less virulent V. nonalfalfae isolate P83; 15, 16—V. dahliae isolates PAP2008 and CasD; size standard—100 bp.
Figure 6.
Results of the LAMP reaction using the Vd-mitoh primer pair. As shown, 1—V. albo-atrum isolate 110; 3—V. alfalfae isolate 107; 5—less virulent V. nonalfalfae isolate Zup; 11—highly virulent V. nonalfalfae isolate BIZ; 15—V. dahliae isolate PAP2008; size standard—1 kilo bp.
The PG2_1 LAMP primers only resulted in positive amplifications in the highly virulent V. nonalfalfae isolates (Figure 7). No DNA was amplified in the less virulent V. nonalfalfae isolates. However, DNA was amplified in the V. dahliae isolates. These results were not unexpected, as the lethal DNA regions of V. dahliae and V. nonalfalfae share a common origin [5]. On the other hand, PG2_2 primers also resulted in the amplification of the less virulent V. nonalfalfae isolates, meaning that no pathotype-specificity was observed.
Figure 7.
Results of the LAMP reaction using the PG2_1 primer pair. 1, 2—V. albo-atrum isolates 110 and 112; 3, 4—V. alfalfae isolates 107 and 11; 5–7—less virulent V. nonalfalfae isolates Zup, Rec91, and KRES 98; 8–13—highly virulent V. nonalfalfae isolates 1985, 11100, T2, BIZ, P 15, and P 10; 14—less virulent V. nonalfalfae isolate P83; 15, 16—V. dahliae isolates PAP2008 and CasD; size standard—100 bp.
For accurate species identification, the combination of newly designed 1) Vna_Vd2 primers for the differentiation of V. alfalfae and V. albo-atrum species from V. nonalfalfae and V. dahliae, 2) an optimized Vna_Vd1_1 and Vna_Vd1_2 protocol for the differentiation of V. nonalfalfae from V. dahliae, and 3) PG2_1 primers for the differentiation of the highly virulent and less virulent pathotypes of V. nonalfalfae were necessary to determine the V. nonalfalfae isolates. The listed primer combinations, used in specific order, enable the fast diagnostic analysis of unknown Verticillium sensu stricto isolates, which are primarily hosted by hop (Humulus lupulus L.)
4. Discussion
The genus Verticillium sensu stricto, established in 2011, comprises 10 plant-pathogenic species differing in pathogenicity and host range [2]. As a result of the possible changes of the morphology in laboratory conditions, the identification of individual species based on morphology and pathogenicity tests remains difficult [1,17]. Inderbitzin et al. (2013) designed simplex and multiplex PCR assays as a tool to identify all 10 Verticillium sensu stricto species on a molecular level. Molecular techniques enable the quick and accurate identification of fungi and allow for the diagnosis verticillium wilt disease [1,3,5,6].
In our study, we identified and analyzed the diversity of Verticillium spp. isolates from the Slovenian Institute of Hop Research and Brewing using several different molecular-based approaches. Analyses using new simplex and multiplex PCR assays [1] enabled us to accurately identify 88 isolates. Fungal isolates retrieved from infected hop plants were identified as V. nonalfalfae, a species that commonly infects hop, whereas isolates obtained from infected lucerne seedlings were identified as V. alfalfae (Appendix A), a species that only infects lucerne [2]. Both species derive from the previously established Grp I group of V. albo-atrum, which is sub-divided into lucerne and non-lucerne pathogenic fungi [3,12,13,23,46,47,48]. Since the new taxonomic classification of the genus Verticillium sensu stricto in 2011, the name V. albo-atrum now refers only to the previously established Grp II group of V. albo-atrum [3,23]. With the simplex PCR assay, using a V. albo-atrum-specific primer pair, we successfully identified and re-classified six representatives of the re-defined V. albo-atrum species (Appendix A).
In 2011, Inderbitzin et al. divided V. tricorpus into three different species (V. klebahnii, V. isaacii, and V. tricorpus) based on multiple loci phylogenetic analysis. According to the new classification, we identified two V. tricorpus isolates and three V. isaacii isolates (Appendix A) that were previously all assigned as V. tricorpus. In contrast, isolate 115 was morphologically identified as V. albo-atrum, but the molecular analysis revealed that this isolate is in fact of a V. isaacii species. It is our belief that the incorrect morphological identification was due to the isolate being isolated from potato, which is the common host of V. albo-atrum. Thus, the species have a similar morphology, e.g., forming resting mycelia, microsclerotium, and yellow pigmented hyphae [2,48].
Among all tested isolates, 28 were identified as V. dahliae based on the V. dahliae-specific simplex PCR assay using the Df/Dr primer pair (Appendix A); however, three of them were later identified as G. nigrescens in the ITS region-based phylogeny. Thus, we performed additional testing on some other G. nigrescens isolates obtained from the CBS collection. In the additional specificity testing, we also included other Verticillium sensu stricto species. PCR products of specific length were confirmed in the control group, comprising the three V. dahliae isolates, in all but one of the G. nigrescens isolates, in one out of two of the V. longisporum A1/D1 isolates, and in one V. isaacii isolate (Figure 2). As expected, amplification was not observed in the V. albo-atrum, V. alfalfae, V. nubilum, V. tricorpus, and V. nonalfalfae isolates. According to these results, the simplex PCR assay for V. dahliae identification based on the ITS target locus with the originally proposed protocol [1] needs further examination and optimization. The G. nigrescens isolates, which were predominantly positive using this assay, have similar hosts (such as cotton, potato, rape) as the V. dahliae species [2,7,48], increasing the risk of false positive diagnoses.
ITS region amplification and direct sequencing using ITS1 and ITS4 primers [49] resulted in 11 distinct groups, representing different Verticillium sensu stricto species and G. nigrescens isolates. The phylogenetic tree (Figure 1) represents the relationships between Verticillium sensu stricto species and G. nigrescens isolates. With this approach, we were able to accurately identify all isolates included in the analysis. Inderbitzin et al. (2011) obtained comparable results from their phylogenetic tree based on the ITS dataset, reporting the same relationships between the species as in our study. In both trees, the characteristic distribution into two clusters was observed, one being Flavexudans and the other Flavnonexudans. In addition, we identified sub-groups within the species V. albo-atrum and V. dahliae (Figure 1). The Verticillium albo-atrum sub-group (CBS 102.464), which differed from other V. albo-atrum isolates, has artichoke as its host plant. In the V. dahliae sub-group, the isolates differed in pathogenicity and origin. Similarly, Collopy et al. (2002) identified sub-groups in V. fungicola isolates, wherein the sub-grouping correlated with the geographical location or origin of the isolates [46,48]. In our study, we considered the geographical origin, host plant, and pathogenicity of the isolates.
With the SSR marker analysis, we confirmed the expected bias related to the approach of developing SSR sequences: the repeating regions of microsatellites are usually longer in the species from which they are developed and shorter in other related species, a phenomenon known as ascertainment bias [50]. Our results showed that alleles from the V. alfalfae isolate were longer (157 bp for locus 1566 and 243 bp for locus 1413) than those from V. nonalfalfae (111 bp for locus 1566 and 198 bp for locus 1413), which is in accordance with the hypothesis proposing that microsatellite loci identified by DNA library screens over-represent the repeat size distribution in a given species’ genome because the screening conditions favor the identification of clones with long repeat units [51,52]. Since homologous loci have different evolutionary histories within different species, long microsatellite loci in one species will not necessarily be long in another species. Thus, if primers developed from one species are used to amplify microsatellites in other species, length ascertainment bias can result in an observed difference between species [50]. Moreover, the length constraint of the microsatellite region is known to have an important impact on SSR variability, and the species with longer microsatellites should exhibit higher levels of population variation, which was confirmed in our study.
The results of the comparative analysis of variability among the three groups of different Verticillium sensu stricto species show that the calculated average diversity was almost seven times higher in the V. alfalfae population than the V. nonalfalfae population and three times higher than the V. dahliae population (Table S3). However, microsatellite markers accurately identified 86 Verticillium sensu stricto isolates (Figure S1). The species-specific identification was in accordance with the ITS identification, making SSR marker-based phylogeny a suitable method for accurate species determination. Moreover, as the developed SSR markers differ in length among species, they could be used for the development of species-specific assays for rapid isolate identification. The development of a V. dahliae-specific assay using the SSR loci 886 could potentially overcome the lack of specificity of the Df/Dr primer pair of the V. dahliae simplex PCR assay [1].
The LAMP approach [30], which allows for rapid identification, early diagnostics, and identification without prior DNA purification, was demonstrated to be useful for the identification of the Verticillium sensu stricto species. The LAMP primers were developed using the V. nonalfalfae genome [45] and V. dahliae genome [48], as these are the two most problematic species in hop production. The LAMP primers were developed in regions of the V. nonalfalfae genome that share no homology with the V. dahliae genome and in the lethal-specific region of the highly virulent V. nonalfalfae strain that shares no homology with the less virulent V. nonalfalfae strain [53]. However, the amplification of the LAMP PCR products, using the newly developed Vna_Vd1_1 and Vna_Vd2 primer pairs, was also observed in the V. dahliae isolates PAP2008 and CasD. After protocol optimization, the Vna_Vd1_1 primer pair only amplified the V. nonalfalfae isolates, and, as expected, no PCR products were detected in the V. dahliae species (Figure 3). When analyzed in combination with the Vna_Vd1_2 primer pair, the LAMP assay enabled the accurate identification of all V. nonalfalfae species and differentiation from the V. dahliae species. We discovered that the variability of the selected regions is high, probably due to either horizontal gene transfer or poor sequence assemblies in the genomic project (Table S4), resulting in some unexpected amplifications for certain isolates. We also believe that the variability might be the consequence of species adaptation to hosts, the environment, and the geographical location [3,48]. However, the developed LAMP PCR assays, when used simultaneously (Vna_Vd2, the optimized Vna_Vd1_1 protocol, and the Vna_Vd1_2 primer pair together with the Vd_mitoh primer pair), enable accurate V. nonalfalfae identification.
5. Conclusions
Verticillium sensu stricto is a diverse group of plant-pathogenic fungi comprising 10 species that are differentiated by morphological characteristics, host plants, and geographical origin. In the present study, a collection of Verticillium isolates was re-classified with newly developed simplex and multiplex PCR assays, which enabled the accurate molecular identification of all 10 species. With this approach, 88 isolates from the collection were successfully identified, and the specific species were additionally confirmed using the ITS region-based phylogeny. However, during the identification analysis, the specificity of the V. dahliae simplex PCR assay was questionable, as the PCR products were also detected in other species (G. nigrescens, V. longisporum, V. isaacii). Therefore, the Df/Dr primer pair should be evaluated and re-designed to only amplify the V. dahliae-specific ITS region. The collection of Verticillium sensu stricto isolates was also used in the SSR marker analysis and phylogeny, which were conducted using 12 newly designed highly polymorphic SSR markers found in the V. alfalfae genome. SSR loci of specific length or their combinations were determined in each Verticillium sensu stricto species, thus enabling the development of species-specific markers for isolate identification. Lastly, the LAMP technique was tested for use as a rapid and cost-effective species identification method, with a focus on the V. nonalfalfae and V. dahliae species. Despite the fact that the primers were developed in V. nonalfalfae-specific or V. dahliae-specific genomic regions, amplification was not as specific as expected. We believe that this is due to species’ adaptation to specific environments/niches, which can be observed on the genomic level. Therefore, further studies are needed to develop accurate LAMP-based identification protocols for Verticillium sensu stricto species.
Supplementary Materials
The following supporting information can be downloaded at: https://www.mdpi.com/article/10.3390/pathogens12040535/s1, Figure S1: SSR marker analysis based phylogenetic tree; Table S1: Designed and used LAMP primers for V. nonalfalfae/V. dahliae species differentiation; Table S2: Newly developed and analyzed SSR markers; Table S3: Diversity by species; Table S4: Proportion of Verticillium sensu stricto isolates having the distinct lethal specific region.
Author Contributions
Conceptualization, N.Š., J.J. and T.J.; methodology, T.J., A.K., Z.G., J.J. and N.Š.; formal analysis, T.J., A.K. and Z.G.; investigation, T.J., N.Š. and J.J.; resources, S.R., J.J. and N.Š.; data curation, T.J. and N.Š.; validation, T.J. and N.Š.; writing—original draft preparation, T.J.; writing—review and editing, T.J., J.J. and N.Š.; visualization, T.J., Z.G. and N.Š.; supervision, N.Š. and J.J.; funding acquisition, N.Š. and J.J.; project administration, T.J., N.Š. and J.J. All authors have read and agreed to the published version of the manuscript.
Funding
This research was funded by the Slovenian Research Agency (SRA–ARRS), grant numbers 34110 to T.J. and P4-0077.
Data Availability Statement
Not applicable.
Conflicts of Interest
The authors declare no conflict of interest.
Appendix A
Table A1.
Fungal isolates used in this study and identification results using simplex and multiplex PCR assays and phylogenetic analysis.
Table A1.
Fungal isolates used in this study and identification results using simplex and multiplex PCR assays and phylogenetic analysis.
| Isolate Designation | Host or Substrate | Geographical Origin | Pathogenicity Group | Source | Morphological Identification | Identification with Simplex or Multiplex PCR Assay | Identification with NCBI Database | Identification with Phylogenetic Analysis | Identification with SSR Phylogenetic Analysis | Used in LAMP Reaction |
|---|---|---|---|---|---|---|---|---|---|---|
| CBS 102.464 | artichoke | Italy | n.t. | CBS | V. albo-atrum | V. alboatrum | V. albo-atrum strain VICVaa1 | V. albo-atrum | not amplified | No |
| CBS 682.88 | potato | Netherland | n.t. | CBS | V. albo-atrum | V. alboatrum | V. albo-atrum | V. albo-atrum | not included | No |
| 110 | potato | Prince Edwards Islands, Canada | n.t. | 13 | V. albo-atrum | V. alboatrum | V. albo-atrum | V. albo-atrum | not included | Yes |
| PD693 | tomato | Great Britain | n.t. | 12 | V. albo-atrum | V. alboatrum | V. albo-atrum | V. albo-atrum | not amplified | No |
| 166 | potato | Netherlands | n.t. | 6 | V. albo-atrum | V. albo-atrum | V. albo-atrum | V. albo-atrum | not included | No |
| 112 | potato | Prince Edwards Islands, Canada | n.t. | 6 | V. albo-atrum | V. albo-atrum | V. albo-atrum | V. albo-atrum | not included | Yes |
| Luc | alfalfa | Great Britain | lethal | 7 | V. albo-atrum | V. alfalfae | V. albo-atrum | V. alfalfae | V. alfalfae | No |
| 41 | alfalfa | Canada | n.t. | 6 | V. albo-atrum | V. alfalfae | V. albo-atrum | V. alfalfae | V. alfalfae | No |
| CBS 392.91 | alfalfa | Netherland | n.t. | CBS | V. albo-atrum | V. alfalfae | V. albo-atrum | V. alfalfae | V. alfalfae | No |
| 107 | alfalfa | ZDA | n.t. | 6 | V. albo-atrum | V. alfalfae | V. albo-atrum | V. alfalfae | V. alfalfae | Yes |
| 11 | alfalfa | Canada | n.t. | 6 | V. albo-atrum | V. alfalfae | V. albo-atrum | V. alfalfae | V. alfalfae | Yes |
| CIG3 | hop | Slovenia | mild | IHPS | V. albo-atrum | V. dahliae | V. longisporum | V. dahliae | V. dahliae | No |
| JKG 2 | catalpa | Netherland | n.t. | 8 | V. dahliae | V. dahliae | V. longisporum/V. dahliae | V. dahliae | V. dahliae | No |
| JKG1 | potato | Netherland | n.t. | 8 | V. dahliae | V. dahliae | V. longisporum/V. dahliae | V. dahliae | V. dahliae | No |
| JKG 8 | potato | Netherland | n.t. | 8 | V. dahliae | V. dahliae | V. longisporum/V. dahliae | V. dahliae | V. dahliae | No |
| DJK | chrysanthemum | Netherland | n.t. | 8 | V. dahliae | V. dahliae | V. dahliae | V. dahliae | V. dahliae | No |
| MAI | chrysanthemum | Netherland | n.t. | 8 | V. dahliae | V. dahliae | V. longisporum | V. dahliae | V. dahliae | No |
| Mint | mint | ZDA | n.t. | 10 | V. dahliae | V. dahliae | V. longisporum | V. dahliae | V. dahliae | No |
| GAJ09 | hop | Slovenia | n.t. | IHPS | V. dahliae | V. dahliae | V. dahliae | V. dahliae | V. dahliae | No |
| PDRENU | hop | Slovenia | n.t. | IHPS | V. dahliae | V. dahliae | V. longisporum | V. dahliae | V. dahliae | No |
| CasD | hop | Slovenia | n.t. | IHPS | V. dahliae | V. dahliae | V. longisporum | V. dahliae | V. dahliae | Yes |
| KresD | hop | Slovenia | n.t. | IHPS | V. dahliae | V. dahliae | V. longisporum | V. dahliae | V. dahliae | No |
| MoD | hop | Slovenia | n.t. | IHPS | V. dahliae | V. dahliae | V. longisporum | V. dahliae | V. dahliae | No |
| Oset | hop | Slovenia | n.t. | IHPS | V. dahliae | V. dahliae | V. longisporum | V. dahliae | V. dahliae | No |
| 12042 | hop | Great Britain | n.t. | 1 | V. dahliae | V. dahliae | V. dahliae | V. dahliae | V. dahliae | No |
| PAPmb | pepper | Slovenia | n.t. | IHPS | V. dahliae | V. dahliae | G. nigrescens strain BM-1 | G. nigrescens | not amplified | No |
| PAP | pepper | Slovenia | n.t. | IHPS | V. dahliae | V. dahliae | V. longisporum | V. dahliae | V. dahliae | No |
| Pap99 | pepper | Slovenia | n.t. | IHPS | V. dahliae | V. dahliae | V. dahliae | V. dahliae | V. dahliae | No |
| Pap2008 | pepper | Slovenia | n.t. | IHPS | V. dahliae | V. dahliae | V. dahliae | V. dahliae | V. dahliae | Yes |
| 14 | olive | Greece | VCG2 | 13 | V. dahliae | V. dahliae | V. dahliae strain Le1344 | V. dahliae | not included | No |
| 141 | olive | Bari, Italy | tomato race2 | 13 | V. dahliae | V. dahliae | V. dahliae | V. dahliae | not included | No |
| 3V | olive | Greece | VCG4 | 13 | V. dahliae | V. dahliae | V. longisporum | V. dahliae | not included | No |
| 802-1 | olive | Crete, Greece | VCG4, tomato race2 | 13 | V. dahliae | V. dahliae | V. albo-atrum | No quality sequence | not included | No |
| V 138 I | cotton | Upper Guadalquivir valley, Spain | lethal | 11 | V. dahliae | V. dahliae | V. longisporum | V. dahliae | V. dahliae | No |
| V 176 I | cotton | Upper Guadalquivir valley, Spain | mild | 11 | V. dahliae | V. dahliae | V. dahliae strain Le1344 | V. dahliae | V. dahliae | No |
| PD335 | mint | ZDA | n.t. | 12 | V. dahliae | V. dahliae | V. dahliae | V. dahliae | V. dahliae | No |
| PD584 | cabbage | Japan | n.t. | 12 | V. dahliae | V. dahliae | V. longisporum | V. dahliae | V. dahliae | No |
| A III 25 | cauliflower | ZDA | n.t. | 10 | V. dahliae | V. dahliae | V. dahliae | V. dahliae | not included | No |
| PD337 | cotton | ZDA | n.t. | 12 | V. dahliae | V. dahliae | V. dahliae | V. dahliae | not included | No |
| JKG 20 | linden | Netherland | n.t. | 8 | V. tricorpus | V. isaacii | V. tricorpus | V. isaacii | not amplified | No |
| 115 | potato | Netherland | n.t. | 6 | V. albo-atrum | V. isaacii | V. tricorpus | V. isaacii | not included | No |
| EX5 F8 | soil | Netherland | n.t. | 8 | V. tricorpus | V. isaacii | V. tricorpus | V. isaacii | not included | No |
| CBS110218 | brassica napus | Sweden | n.t. | CBS | V. longisporum | V. longisporum A1/D1 | V. dahliae var. longisporum | V. longisporum | V. longisporum | No |
| PD330 | cabbage | ZDA | n.t. | 12 | V. longisporum | V. longisporum A1/D1 | V. longisporum | V. longisporum | V. longisporum | No |
| P10 | hop | Germany | lethal | 5 | V. albo-atrum | V. nonalfalfae | V. albo-atrum | V. nonalfalfae | V. nonalfalfae | Yes |
| P114/1 | hop | Germany | lethal | 5 | V. albo-atrum | V. nonalfalfae | V. albo-atrum | V. nonalfalfae | V. nonalfalfae | No |
| P34/1 | hop | Germany | lethal | 5 | V. albo-atrum | V. nonalfalfae | V. albo-atrum | V. nonalfalfae | V. nonalfalfae | No |
| P15 | hop | Germany | lethal | 5 | V. albo-atrum | V. nonalfalfae | V. albo-atrum | V. nonalfalfae | V. nonalfalfae | Yes |
| P83 | hop | Germany | mild | 5 | V. albo-atrum | V. nonalfalfae | V. albo-atrum | V. nonalfalfae | V. nonalfalfae | Yes |
| 6/99 | hop | Germany | mild | 4 | V. albo-atrum | V. nonalfalfae | V. albo-atrum | V. nonalfalfae | V. nonalfalfae | No |
| 14/93 | hop | Germany | mild | 4 | V. albo-atrum | V. nonalfalfae | V. albo-atrum | V. nonalfalfae | V. nonalfalfae | No |
| 15/98 | hop | Germany | mild | 4 | V. albo-atrum | V. nonalfalfae | V. albo-atrum | V. nonalfalfae | V. nonalfalfae | No |
| T2 | hop | Slovenia | lethal | IHPS | V. albo-atrum | V. nonalfalfae | V. albo-atrum | V. nonalfalfae | V. nonalfalfae | Yes |
| TABOR 6 | hop | Slovenia | lethal | IHPS | V. albo-atrum | V. nonalfalfae | V. albo-atrum | V. nonalfalfae | V. nonalfalfae | No |
| Ciz/DED | hop | Slovenia | lethal | IHPS | V. albo-atrum | V. nonalfalfae | V. albo-atrum | V. nonalfalfae | V. nonalfalfae | No |
| BIZ | hop | Slovenia | lethal | IHPS | V. albo-atrum | V. nonalfalfae | V. albo-atrum | V. nonalfalfae | V. nonalfalfae | Yes |
| MO 3 | hop | Slovenia | mild | IHPS | V. albo-atrum | V. nonalfalfae | V. albo-atrum | V. nonalfalfae | V. nonalfalfae | No |
| OCer | hop | Slovenia | mild | IHPS | V. albo-atrum | V. nonalfalfae | V. albo-atrum | V. nonalfalfae | V. nonalfalfae | No |
| Zup | hop | Slovenia | mild | IHPS | V. albo-atrum | V. nonalfalfae | V. albo-atrum | V. nonalfalfae | V. nonalfalfae | Yes |
| Rec91 | hop | Slovenia | mild | IHPS | V. albo-atrum | V. nonalfalfae | V. albo-atrum | V. nonalfalfae | V. nonalfalfae | Yes |
| KRES 98 | hop | Slovenia | mild | IHPS | V. albo-atrum | V. nonalfalfae | V. albo-atrum | V. nonalfalfae | V. nonalfalfae | Yes |
| 1985 | hop | Great Britain | lethal | 2 | V. albo-atrum | V. nonalfalfae | V. albo-atrum | V. nonalfalfae | V. nonalfalfae | Yes |
| 11041 | hop | Great Britain | lethal | 1 | V. albo-atrum | V. nonalfalfae | V. albo-atrum | V. nonalfalfae | V. nonalfalfae | No |
| 11055 | hop | Great Britain | lethal | 1 | V. albo-atrum | V. nonalfalfae | V. albo-atrum | V. nonalfalfae | V. nonalfalfae | No |
| 11047 | hop | Great Britain | lethal | 1 | V. albo-atrum | V. nonalfalfae | V. albo-atrum | No quality sequence | V. nonalfalfae | No |
| 11100 | hop | Great Britain | lethal | 9 | V. albo-atrum | V. nonalfalfae | V. albo-atrum | V. nonalfalfae | V. nonalfalfae | Yes |
| 1974 | hop | Great Britain | lethal | 2 | V. albo-atrum | V. nonalfalfae | V. albo-atrum | V. nonalfalfae | V. nonalfalfae | No |
| 298101 | hop | Great Britain | lethal | CABI | V. albo-atrum | V. nonalfalfae | V. albo-atrum | V. nonalfalfae | V. nonalfalfae | No |
| 298102 | hop | Great Britain | lethal | CABI | V. albo-atrum | V. nonalfalfae | V. albo-atrum | V. nonalfalfae | V. nonalfalfae | No |
| 1953 | hop | Great Britain | mild | 2 | V. albo-atrum | V. nonalfalfae | V. albo-atrum | V. nonalfalfae | V. nonalfalfae | No |
| 298092 | hop | Great Britain | mild | CABI | V. albo-atrum | V. nonalfalfae | V. albo-atrum | V. nonalfalfae | V. nonalfalfae | No |
| 298095 | hop | Great Britain | mild | CABI | V. albo-atrum | V. nonalfalfae | V. albo-atrum | V. nonalfalfae | V. nonalfalfae | No |
| Sol | hop | Poland | mild | 3 | V. albo-atrum | V. nonalfalfae | V. albo-atrum | V. nonalfalfae | V. nonalfalfae | No |
| Surf | petunia | Slovenia | n.t. | IHPS | V. albo-atrum | V. nonalfalfae | V. albo-atrum | V. nonalfalfae | V. nonalfalfae | No |
| 11081 | chrysanthemum | Great Britain | n.t. | 1 | V. albo-atrum | V. nonalfalfae | V. albo-atrum | V. nonalfalfae | V. nonalfalfae | No |
| 11066 | potato | Great Britain | n.t. | 1 | V. albo-atrum | V. nonalfalfae | V. albo-atrum | V. nonalfalfae | V. nonalfalfae | No |
| T 179 | tomato | Great Britain | mild | 2 | V. albo-atrum | V. nonalfalfae | V. albo-atrum | V. nonalfalfae | V. nonalfalfae | No |
| CBS 321.91 | tomato | Netherland | n.t. | CBS | V. albo-atrum | V. nonalfalfae | V. albo-atrum | V. nonalfalfae | V. nonalfalfae | No |
| AR01/067 | tomato | Great Britain | lethal | 2 | V. albo-atrum | V. nonalfalfae | V. albo-atrum | V. nonalfalfae | V. nonalfalfae | No |
| AR0/140 | tomato | Great Britain | lethal | 2 | V. albo-atrum | V. nonalfalfae | V. albo-atrum | V. nonalfalfae | V. nonalfalfae | No |
| AR01/JS1 | tomato | Great Britain | n.t. | 2 | V. albo-atrum | V. nonalfalfae | V. albo-atrum | V. nonalfalfae | V. nonalfalfae | No |
| PD 83/53a | tomato | Netherland | n.t. | 2 | V. albo-atrum | V. nonalfalfae | V. albo-atrum | V. nonalfalfae | V. nonalfalfae | No |
| PD 2000/4186a | tomato | Netherland | n.t. | 2 | V. albo-atrum | V. nonalfalfae | V. albo-atrum | V. nonalfalfae | V. nonalfalfae | No |
| 314193 | potato | Australia | n.t. | CABI | V. albo-atrum | V. nonalfalfae | V. albo-atrum | V. nonalfalfae | V. nonalfalfae | No |
| SN 10 | hop | Slovenia | lethal | IHPS | V. albo-atrum | V. nonalfalfae | V. albo-atrum | V. nonalfalfae | not included | No |
| CBS 456.51 | potato | Great Britain | n.t. | CBS | V. nubilum | V. nubilum | V. albo-atrum | V. nubilum | not amplified | No |
| CBS 227.84 | potato | Netherland | n.t. | CBS | V. tricorpus | V. tricorpus | V. tricorpus | V. tricorpus | not included | No |
| EX5 F7 | soil | Netherland | n.t. | 8 | V. tricorpus | V. tricorpus | V. tricorpus | V. tricorpus | not included | No |
| PETROL | hop | Slovenija | lethal | IHPS | V. albo-atrum | / | V. albo-atrum | V. nonalfalfae | not included | No |
| P84/2 | hop | Germany | mild | 5 | V. albo-atrum | / | V. albo-atrum | V. nonalfalfae | V. nonalfalfae | No |
| KV11 | hop | Slovenia | lethal | IHPS | V. albo-atrum | / | V. albo-atrum | V. nonalfalfae | not included | No |
| VranBis09 | hop | Slovenia | lethal | IHPS | V. albo-atrum | / | V. albo-atrum | V. nonalfalfae | V. nonalfalfae | No |
| Sent4 | hop | Slovenia | lethal | IHPS | V. albo-atrum | / | V. albo-atrum | V. nonalfalfae | V. nonalfalfae | No |
| 11097 | hop | Great Britain | lethal | 1 | V. albo-atrum | / | V. albo-atrum | V. nonalfalfae | V. nonalfalfae | No |
| 298100 | hop | Great Britain | lethal | CABI | V. albo-atrum | / | V. albo-atrum | V. nonalfalfae | V. nonalfalfae | No |
| CBS 393.91 | hop | Belgium | mild | CBS | V. albo-atrum | / | V. albo-atrum | V. nonalfalfae | V. nonalfalfae | No |
| Kum | cucumber | Slovenia | n.t. | IHPS | V. albo-atrum | / | V. albo-atrum | V. nonalfalfae | V. nonalfalfae | No |
| 11077 | Galinsoga | Great Britain | n.t. | 1 | V. albo-atrum | / | V. albo-atrum | V. nonalfalfae | V. nonalfalfae | No |
| CBS 454.51 | potato | Great Britain | n.t. | CBS | V. albo-atrum | / | V. albo-atrum | V. nonalfalfae | V. nonalfalfae | No |
| 340646 | potato | Spain | n.t. | CABI | V. albo-atrum | / | V. albo-atrum | V. nonalfalfae | V. nonalfalfae | No |
| CBS 123.176 | insulation wool | Finland | n.t. | CBS | V. nigrescens | / | Unknown Verticillium | G. nigrescens | not amplified | No |
| CBS 171.80 | Agaricus bisporus | Netherland | n.t. | CBS | V. fungicola | / | V. fungicola | / | V. fungicola | No |
| CBS 122.175 | Cave cricket | Spain | n.t. | CBS | V. lecanii | / | V. leicanii | / | not amplified | No |
| B 560 | Cave cricket | Slovenia | n.t. | IHPS | V. lecanii | / | V. leicanii | / | not amplified | No |
References
- Inderbitzin, P.; Davis, R.M.; Bostock, R.M.; Subbarao, K.V. Identification and Differentiation of Verticillium Species and V. longisporum Lineages by Simplex and Multiplex PCR Assays. PLoS ONE 2013, 8, e65990. [Google Scholar] [CrossRef] [PubMed]
- Inderbitzin, P.; Bostock, R.M.; Davis, R.M.; Usami, T.; Platt, H.W.; Subbarao, K.V. Phylogenetics and Taxonomy of the Fungal Vascular Wilt Pathogen Verticillium, with the Descriptions of Five New Species. PLoS ONE 2011, 6, e28341. [Google Scholar] [CrossRef] [PubMed]
- Klosterman, S.J.; Atallah, Z.K.; Vallad, G.E.; Subbarao, K.V. Diversity, Pathogenicity, and Management of Verticillium Species. Annu. Rev. Phytopathol. 2009, 47, 39–62. [Google Scholar] [CrossRef] [PubMed]
- Pennypacker, B.W. Verticillium wilts. Q. Rev. Biol. 2004, 79, 80. [Google Scholar] [CrossRef]
- Radišek, S.; Jakše, J.; Javornik, B. Development of Pathotype-Specific SCAR Markers for Detection of Verticillium albo-atrum Isolates from Hop. Plant Dis. 2004, 88, 1115–1122. [Google Scholar] [CrossRef]
- Radišek, S.; Jakše, J.; Javornik, B. Genetic variability and virulence among Verticillium albo-atrum isolates from hop. Eur. J. Plant Pathol. 2006, 116, 301–314. [Google Scholar] [CrossRef]
- Zare, R.; Gams, W.; Starink-Willemse, M.; Summerbell, R.C. Gibellulopsis, a suitable genus for Verticillium nigrescens, and Musicillium, a new genus for V. theobromae. Nova Hedwig. 2007, 85, 463–489. [Google Scholar] [CrossRef]
- Van Dijk-Fradin, E.; Thomma, B.P.H.J. Physiology and molecular aspects of Verticillium wilt diseases caused by V. dahliae and V. albo-atrum. Mol. Plant Pathol. 2006, 7, 71–86. [Google Scholar] [CrossRef]
- Smith, H.C. The morphology of Verticillium albo-atrum, V. dahliae, and V. tricorpus. N. Z. J. Agric. Res. 1965, 8, 450–478. [Google Scholar] [CrossRef]
- Wilhelm, S. Longevity of the verticillium wilt fungus in the laboratory and field. Phytopath 1955, 45, 180–181. [Google Scholar]
- Hu, X.-P.; Gurung, S.; Short, D.P.G.; Sandoya, G.V.; Shang, W.-J.; Hayes, R.J.; Davis, R.M.; Subbarao, K.V. Nondefoliating and Defoliating Strains from Cotton Correlate with Races 1 and 2 of Verticillium dahliae. Plant Dis. 2015, 99, 1713–1720. [Google Scholar] [CrossRef]
- Isaac, I. A comparative study of pathogenic isolates of Verticillium. Trans. Br. Mycol. Soc. 1949, 32, 137–157. [Google Scholar] [CrossRef]
- Isaac, I. A further comparative study of pathogenic isolates of Verticillium: V. nubilum Pethybr. and V. tricorpus sp.nov. Trans. Br. Mycol. Soc. 1953, 36, 180–195. [Google Scholar] [CrossRef]
- Mercado-Blanco, J.; Rodríguez-Jurado, D.; Pérez-Artés, E.; Jiménez-Díaz, R.M. Detection of the nondefoliating pathotype of Verticillium dahliae in infected olive plants by nested PCR. Plant Pathol. 2001, 50, 609–619. [Google Scholar] [CrossRef]
- Mercado-Blanco, J.; Jurado, R.; Pérez-Artés, E.; Jiménez-Díaz, R.M. Detection of the Defoliating Pathotype of Verticillium dahliae in Infected Olive Plants by Nested PCR. Eur. J. Plant Pathol. 2002, 108, 1–13. [Google Scholar] [CrossRef]
- Mercado-Blanco, J.; Rodríguez-Jurado, D.; Parrilla-Araujo, S.; Jiménez-Díaz, R.M. Simultaneous Detection of the Defoliating and Nondefoliating Verticillium dahliae Pathotypes in Infected Olive Plants by Duplex, Nested Polymerase Chain Reaction. Plant Dis. 2003, 87, 1487–1494. [Google Scholar] [CrossRef] [PubMed]
- Inderbitzin, P.; Subbarao, K.V. Verticillium Systematics and Evolution: How Confusion Impedes Verticillium Wilt Management and How to Resolve It. Phytopathology 2014, 104, 564–574. [Google Scholar] [CrossRef]
- Kageyama, K.; Komatsu, T.; Suga, H. Refined PCR protocol for detection of plant pathogens in soil. J. Gen. Plant Pathol. 2003, 69, 153–160. [Google Scholar] [CrossRef]
- Jecz, P.; Jecz, T.; Korbin, M. The suitability of PCR-based techniques for detecting verticillium dahliae in strawberry plants and soil. J. Fruit Ornam. Plant Res. 2018, 16, 295–304. [Google Scholar]
- Maruthachalam, K.; Atallah, Z.K.; Vallad, G.E.; Klosterman, S.J.; Hayes, R.J.; Davis, R.M.; Subbarao, K.V.; Radionenko, M.; Hanson, S.F.; Sandoya, G.V.; et al. Molecular Variation Among Isolates of Verticillium dahliae and Polymerase Chain Reaction-Based Differentiation of Races. Phytopathology 2010, 100, 1222–1230. [Google Scholar] [CrossRef]
- Platt, H.W.; Mahuku, G. Detection methods forVerticillium species in naturally infested and inoculated soils. Am. J. Potato Res. 2000, 77, 271–274. [Google Scholar] [CrossRef]
- Radišek, S.; Jakše, J.; Simončič, A.; Javornik, B. Characterization of Verticillium albo-atrum Field Isolates Using Pathogenicity Data and AFLP Analysis. Plant Dis. 2003, 87, 633–638. [Google Scholar] [CrossRef]
- Robb, J.; Moukhamedov, R.; Hu, X.; Platt, H.; Nazar, R. Putative subgroups of Verticillium albo-atrum distinguishable by PCR-based assays. Physiol. Mol. Plant Pathol. 1993, 43, 423–436. [Google Scholar] [CrossRef]
- Tran, V.T.; Braus-Stromeyer, S.A.; Timpner, C.; Braus, G.H. Molecular diagnosis to discriminate pathogen and apathogen species of the hybrid Verticillium longisporum on the oilseed crop Brassica napus. Appl. Microbiol. Biotechnol. 2013, 97, 4467–4483. [Google Scholar] [CrossRef] [PubMed]
- Nazar, R.; Hu, X.; Schmidt, J.; Culham, D.; Robb, J. Potential use of PCR-amplified ribosomal intergenic sequences in the detection and differentiation of verticillium wilt pathogens. Physiol. Mol. Plant Pathol. 1991, 39, 1–11. [Google Scholar] [CrossRef]
- Vieira, M.L.C.; Santini, L.; Diniz, A.L.; Munhoz, C.D.F. Microsatellite markers: What they mean and why they are so useful. Genet. Mol. Biol. 2016, 39, 312–328. [Google Scholar] [CrossRef]
- Berbegal, M.; Garzón, C.D.; Ortega, A.; Armengol, J.; Jiménez-Díaz, R.M.; Jiménez-Gasco, M.M. Development and application of new molecular markers for analysis of genetic diversity in Verticillium dahliae populations. Plant Pathol. 2011, 60, 866–877. [Google Scholar] [CrossRef]
- Barbara, D.J.; Morton, A.; Miller, N. Isolation of microsatellite markers from an interspecific hybrid isolate of the fungal plant pathogen Verticillium dahliae. Mol. Ecol. Notes 2005, 5, 854–856. [Google Scholar] [CrossRef]
- Sampaio, P.; Gusmão, L.; Alves, C.; Pina-Vaz, C.; Amorim, A.; Pais, C. Highly Polymorphic Microsatellite for Identification of Candida albicans Strains. J. Clin. Microbiol. 2003, 41, 552–557. [Google Scholar] [CrossRef]
- Notomi, T.; Okayama, H.; Masubuchi, H.; Yonekawa, T.; Watanabe, K.; Amino, N.; Hase, T. Loop-mediated isothermal amplification of DNA. Nucleic Acids Res. 2000, 28, E63. [Google Scholar] [CrossRef] [PubMed]
- Kogovšek, P.; Hodgetts, J.; Hall, J.; Prezelj, N.; Nikolić, P.; Mehle, N.; Lenarčič, R.; Rotter, A.; Dickinson, M.; Boonham, N.; et al. LAMP assay and rapid sample preparation method for on-site detection of flavescence dorée phytoplasma in grapevine. Plant Pathol. 2015, 64, 286–296. [Google Scholar] [CrossRef] [PubMed]
- Nie, X. Reverse Transcription Loop-Mediated Isothermal Amplification of DNA for Detection of Potato virus Y. Plant Dis. 2005, 89, 605–610. [Google Scholar] [CrossRef] [PubMed]
- Niessen, L.; Luo, J.; Denschlag, C.; Vogel, R.F. The application of loop-mediated isothermal amplification (LAMP) in food testing for bacterial pathogens and fungal contaminants. Food Microbiol. 2013, 36, 191–206. [Google Scholar] [CrossRef]
- Bühlmann, A.; Pothier, J.F.; Rezzonico, F.; Smits, T.H.; Andreou, M.; Boonham, N.; Duffy, B.; Frey, J.E. Erwinia amylovora loop-mediated isothermal amplification (LAMP) assay for rapid pathogen detection and on-site diagnosis of fire blight. J. Microbiol. Methods 2013, 92, 332–339. [Google Scholar] [CrossRef]
- Tomlinson, J.A.; Dickinson, M.J.; Boonham, N. Rapid Detection of Phytophthora ramorum and P. kernoviae by Two-Minute DNA Extraction Followed by Isothermal Amplification and Amplicon Detection by Generic Lateral Flow Device. Phytopathology 2010, 100, 143–149. [Google Scholar] [CrossRef] [PubMed]
- Moradi, A.; Almasi, M.; Jafary, H.; Mercado-Blanco, J. A novel and rapid loop-mediated isothermal amplification assay for the specific detection of Verticillium dahliae. J. Appl. Microbiol. 2014, 116, 942–954. [Google Scholar] [CrossRef] [PubMed]
- Weising, K. DNA Fingerprinting in Plants and Fungi; CRC Press: Boca Raton, FL, USA, 1995. [Google Scholar]
- Bagar, T.; Altenbach, K.; Read, N.; Benčina, M. Live-Cell Imaging and Measurement of Intracellular pH in Filamentous Fungi Using a Genetically Encoded Ratiometric Probe. Eukaryot. Cell 2009, 8, 703–712. [Google Scholar] [CrossRef]
- Möller, E.; Bahnweg, G.; Sandermann, H.; Geiger, H. A simple and efficient protocol for isolation of high molecular weight DNA from filamentous fungi, fruit bodies, and infected plant tissues. Nucleic Acids Res. 1992, 20, 6115–6116. [Google Scholar] [CrossRef]
- Sanger, F.; Nicklen, S.; Coulson, A.R. DNA sequencing with chain-terminating inhibitors. Proc. Natl. Acad. Sci. USA 1977, 74, 5463–5467. [Google Scholar] [CrossRef]
- Edgar, R.C. MUSCLE: A multiple sequence alignment method with reduced time and space complexity. BMC Bioinform. 2004, 5, 113. [Google Scholar] [CrossRef]
- Schuelke, M. An economic method for the fluorescent labeling of PCR fragments. Nat. Biotechnol. 2000, 18, 233–234. [Google Scholar] [CrossRef]
- Dieringer, D.; Schlötterer, C. Microsatellite analyser (MSA): A platform independent analysis tool for large microsatellite data sets. Mol. Ecol. Notes 2003, 3, 167–169. [Google Scholar] [CrossRef]
- Kumar, S.; Stecher, G.; Tamura, K. MEGA7: Molecular Evolutionary Genetics Analysis Version 7.0 for Bigger Datasets. Mol. Biol. Evol. 2016, 33, 1870–1874. [Google Scholar] [CrossRef] [PubMed]
- Jakše, J.; Jelen, V.; Radišek, S.; de Jonge, R.; Mandelc, S.; Majer, A.; Curk, T.; Zupan, B.; Thomma, B.P.H.J.; Javornik, B. Genome sequence of a lethal strain of xylem-invading verticillium nonalfalfae. Genome Announc. 2018, 6, e01458-17. [Google Scholar] [CrossRef] [PubMed]
- Collopy, P.; Largeteau-Mamoun, M.L.; Romaine, C.; Royse, D.J. Molecular Phylogenetic Analyses of Verticillium fungicola and Related Species Causing Dry Bubble Disease of the Cultivated Button Mushroom, Agaricus bisporus. Phytopathology 2001, 91, 905–912. [Google Scholar] [CrossRef] [PubMed]
- Gams, W.; Zaayen, A. Contribution to the taxonomy and pathogenicity of fungicolous Verticillium species. I. Taxonomy. Eur. J. Plant Pathol. 1982, 88, 57–78. [Google Scholar] [CrossRef]
- Klosterman, S.J.; Subbarao, K.V.; Kang, S.; Veronese, P.; Gold, S.E.; Thomma, B.P.H.J.; Chen, Z.; Henrissat, B.; Lee, Y.-H.; Park, J.; et al. Comparative Genomics Yields Insights into Niche Adaptation of Plant Vascular Wilt Pathogens. PLoS Pathog. 2011, 7, e1002137. [Google Scholar] [CrossRef]
- White, T.J.; Bruns, T.; Lee, S.J.W.T.; Taylor, J. Amplification and direct sequencing of fungal ribosomal RNA genes for phylogenetics. PCR Protoc. A Guide Methods Appl. 1990, 18, 315–322. [Google Scholar]
- Rubinsztein, D.C.; Amos, W.; Leggo, J.; Goodburn, S.; Jain, S.; Li, S.-H.; Margolis, R.L.; Ross, C.A.; Ferguson-Smith, M.A. Microsatellite evolution—Evidence for directionality and variation in rate between species. Nat. Genet. 1995, 10, 337–343. [Google Scholar] [CrossRef]
- Ellegren, H.; Primmer, C.R.; Sheldon, B.C. Microsatellite ‘evolution’: Directionality or bias? Nat. Genet. 1995, 11, 360–362. [Google Scholar] [CrossRef]
- Hutter, C.M.; Schug, M.D.; Aquadro, C.F. Microsatellite variation in Drosophila melanogaster and Drosophila simulans: A reciprocal test of the ascertainment bias hypothesis. Mol. Biol. Evol. 1998, 15, 1620–1636. [Google Scholar] [CrossRef] [PubMed]
- Marton, K.; Flajšman, M.; Radišek, S.; Košmelj, K.; Jakše, J.; Javornik, B.; Berne, S. Comprehensive analysis of Verticillium nonalfalfae in silico secretome uncovers putative effector proteins expressed during hop invasion. PLoS ONE 2018, 13, e0198971. [Google Scholar] [CrossRef] [PubMed]
Disclaimer/Publisher’s Note: The statements, opinions and data contained in all publications are solely those of the individual author(s) and contributor(s) and not of MDPI and/or the editor(s). MDPI and/or the editor(s) disclaim responsibility for any injury to people or property resulting from any ideas, methods, instructions or products referred to in the content. |
© 2023 by the authors. Licensee MDPI, Basel, Switzerland. This article is an open access article distributed under the terms and conditions of the Creative Commons Attribution (CC BY) license (https://creativecommons.org/licenses/by/4.0/).






