Molecular Diagnosis of Encephalitis/Meningoencephalitis Caused by Free-Living Amoebae from a Tertiary Center in India
Abstract
1. Introduction
2. Materials and Methods
2.1. DNA Extraction
2.2. Polymerase Chain Reaction
2.3. Statistical Analysis
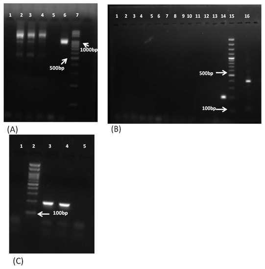
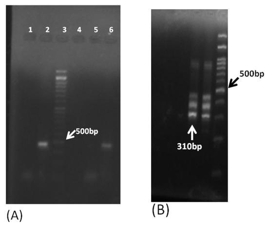
3. Results
4. Discussion
Author Contributions
Funding
Institutional Review Board Statement
Informed Consent Statement
Data Availability Statement
Conflicts of Interest
References
- Schuster, F.L.; Visvesvara, G.S. Free-living amoebae as opportunistic and non-opportunistic pathogens of humans and animals. Int. J. Parasitol. 2004, 34, 1001–1027. [Google Scholar] [CrossRef] [PubMed]
- Mungroo, M.R.; Khan, N.A.; Siddiqui, R. Balamuthia mandrillaris: Pathogenesis, diagnosis, and treatment. Expert Opin. Orphan Drugs 2020, 8, 111–119. [Google Scholar] [CrossRef]
- Raju, R.; Khurana, S.; Mahadevan, A.; John, D.V. Central nervous system infections caused by pathogenic free-living amoebae: An Indian perspective. Trop. Biomed. 2022, 39, 265–280. [Google Scholar] [PubMed]
- CDC. Treatment. Naegleria fowleri. 2022. Available online: https://www.cdc.gov/parasites/naegleria/treatment.html (accessed on 22 November 2022).
- CDC. Treatment. Balamuthia. Parasites. 2019. Available online: https://www.cdc.gov/parasites/balamuthia/treatment-hcp.html (accessed on 22 November 2022).
- Seidel, J.S.; Harmatz, P.; Visvesvara, G.S.; Cohen, A.; Edwards, J.; Turner, J. Successful treatment of primary amebic meningoencephalitis. N. Engl. J. Med. 1982, 306, 346–348. [Google Scholar] [CrossRef]
- Vargas-Zepeda, J.; Gómez-Alcalá, A.V.; Vázquez-Morales, J.A.; Licea-Amaya, L.; De Jonckheere, J.F.; Lares-Villa, F. Successful treatment of Naegleria fowleri meningoencephalitis by using intravenous amphotericin B, fluconazole and rifampicin. Arch. Med. Res. 2005, 36, 83–86. [Google Scholar] [CrossRef]
- Goswick, S.M.; Brenner, G.M. Activities of azithromycin and amphotericin B against Naegleria fowleri In Vitro and in a mouse model of primary amebic meningoencephalitis. Antimicrob. Agents Chemother. 2003, 47, 524–528. [Google Scholar] [CrossRef]
- Soltow, S.M.; Brenner, G.M. Synergistic activities of azithromycin and amphotericin B against Naegleria fowleri In Vitro and in a mouse model of primary amebic meningoencephalitis. Antimicrob. Agents Chemother. 2007, 51, 23–27. [Google Scholar] [CrossRef]
- Khurana, S.; Mewara, A.; Verma, S.; Totadri, S.K. Central nervous system infection with Acanthamoeba in a malnourished child. Case Rep. 2012, 2012, bcr2012007449. [Google Scholar] [CrossRef]
- Chang, O.H.; Liu, F.; Knopp, E.; Muehlenbachs, A.; Cope, J.R.; Ali, I.; Thompson, R.; George, E. Centrofacial Balamuthiasis: Case report of a rare cutaneous amebic infection. J. Cutan. Pathol. 2016, 43, 892–897. [Google Scholar] [CrossRef]
- Jung, S.; Schelper, R.L.; Visvesvara, G.S.; Chang, H.T. Balamuthia mandrillaris meningoencephalitis in an immunocompetent patient: An unusual clinical course and a favorable outcome. Arch. Pathol. Lab. Med. 2004, 128, 466–468. [Google Scholar] [CrossRef]
- Cary, L.C.; Maul, E.; Potter, C.; Wong, P.; Nelson, P.T.; Given, C.; Robertson, W., Jr. Balamuthia mandrillaris meningoencephalitis: Survival of a pediatric patient. Pediatrics 2010, 125, e699–e703. [Google Scholar] [CrossRef] [PubMed]
- Damhorst, G.L.; Watts, A.; Hernandez-Romieu, A.; Mel, N.; Palmore, M.; Ali, I.K.; Neill, S.G.; Kalapila, A.; Cope, J.R. Acanthamoeba castellanii encephalitis in a patient with AIDS: A case report and literature review. Lancet Infect. Dis. 2021, 22, e59–e65. [Google Scholar] [CrossRef] [PubMed]
- Matin, A.; Siddiqui, R.; Jayasekera, S.; Khan, N.A. Increasing importance of Balamuthia mandrillaris. Clin. Microbiol. Rev. 2008, 21, 435–448. [Google Scholar] [CrossRef] [PubMed]
- Dunnebacke, T.H.; Schuster, F.L.; Yagi, S.; Booton, G.C. Balamuthia mandrillaris from soil samples. Microbiology 2004, 150, 2837–2842. [Google Scholar] [CrossRef]
- Matin, A.; Jeong, S.R.; Faull, J.; Rivas, A.O.; Khan, N.A. Evaluation of prokaryotic and eukaryotic cells as food source for Balamuthia mandrillaris. Arch. Microbiol. 2006, 186, 261–271. [Google Scholar] [CrossRef]
- Barber, R.D.; Harmer, D.W.; Coleman, R.A.; Clark, B.J. GAPDH as a housekeeping gene: Analysis of GAPDH mRNA expression in a panel of 72 human tissues. Physiol. Genom. 2005, 21, 389–395. [Google Scholar] [CrossRef]
- Tsvetkova, N.; Schild, M.; Panaiotov, S.; Kurdova-Mintcheva, R.; Gottstein, B.; Walochnik, J.; Aspock, H.; Lucas, M.S.; Müller, N. The identification of free-living environmental isolates of amoebae from Bulgaria. Parasitol. Res. 2004, 92, 405–413. [Google Scholar] [CrossRef]
- Schroeder, J.M.; Booton, G.C.; Hay, J.; Niszl, I.A.; Seal, D.V.; Markus, M.B.; Fuerst, P.A.; Byers, T.J. Use of subgenic 18S ribosomal DNA PCR and sequencing for genus and genotype identification of Acantha0moebae from humans with keratitis and from sewage sludge. J. Clin. Microbiol. 2001, 39, 1903–1911. [Google Scholar] [CrossRef]
- Pelandakis, M.; Serre, S.; Pernin, P. Analysis of the 5.8 S rRNA gene and the internal transcribed spacers in Naegleria spp. and in N. fowleri. J. Eukaryot. Microbiol. 2000, 47, 116–121. [Google Scholar] [CrossRef]
- Booton, G.C.; Carmichael, J.R.; Visvesvara, G.S.; Byers, T.J.; Fuerst, P.A. Identification of Balamuthia mandrillaris by PCR assay using the mitochondrial 16S rRNA gene as a target. J. Clin. Microbiol. 2003, 41, 453–455. [Google Scholar] [CrossRef]
- Ahmad, A.F.; Andrew, P.W.; Kilvington, S. Development of a nested PCR for environmental detection of the pathogenic free-living amoeba Balamuthia mandrillaris. J. Eukaryot. Microbiol. 2011, 58, 269–271. [Google Scholar] [CrossRef] [PubMed]
- Khurana, S.; Sharma, M. Parasitic keratitis—An under-reported entity. Trop. Parasitol. 2020, 10, 12. [Google Scholar] [PubMed]
- Lorenzo-Morales, J.; Martín-Navarro, C.M.; Martínez-Carretero, E.; Piñero, J.E.; Valladares, B. Encephalitis due to free living amoebae: An emerging issue in human health. In Non-Flavivirus Encephalitis; IntechOpen: London, UK, 2011. [Google Scholar]
- Baig, A.M. Pathogenesis of amoebic encephalitis: Are the amoebae being credited to an ‘inside job’done by the host immune response? Acta Trop. 2015, 148, 72–76. [Google Scholar] [CrossRef] [PubMed]
- Lares-Jiménez, L.F.; Gámez-Gutiérrez, R.A.; Lares-Villa, F. Novel culture medium for the axenic growth of Balamuthia mandrillaris. Diagn. Microbiol. Infect. Dis. 2015, 82, 286–288. [Google Scholar] [CrossRef] [PubMed]
- Khurana, S.; Hallur, V.; Goyal, M.; Sehgal, R.; Radotra, B. Emergence of Balamuthia mandrillaris meningoencephalitis in India. Indian J. Med. Microbiol. 2015, 33, 298. [Google Scholar] [CrossRef]
- Tarai, B.; Agarwal, P.; Krishnamoorthi, S.; Mewara, A.; Khurana, S. Fatal amoebic meningoencephalitis caused by Balamuthia mandrillaris in a sarcoidosis patient. Jpn. J. Infect. Dis. 2018, 71, 474–476. [Google Scholar] [CrossRef]
- Nampoothiri, R.V.; Malhotra, P.; Jain, A.; Batra, N.; Gupta, K.; Saj, F.; Khurana, S.; Mahalingam, H.; Lal, A.; Mukherjee, K.; et al. An unusual cause of central nervous system infection during acute myeloid leukemia induction chemotherapy: Acanthamoeba brain abscess. Indian J. Hematol. Blood Transfus. 2018, 34, 153–155. [Google Scholar] [CrossRef]
- Megha, K.; Sehgal, R.; Khurana, S. Genotyping of Acanthamoeba spp. isolated from patients with granulomatous amoebic encephalitis. Indian J. Med. Res. 2018, 148, 456. [Google Scholar] [CrossRef]
- Mittal, N.; Mahajan, L.; Hussain, Z.; Gupta, P.; Khurana, S. Primary amoebic meningoencephalitis in an infant. Indian J. Med. Microbiol. 2019, 37, 120–122. [Google Scholar] [CrossRef]
- Megha, K.; Sharma, M.; Gupta, A.; Sehgal, R.; Khurana, S. Microbiological diagnosis of Acanthamoebic keratitis: Experience from tertiary care center of North India. Diagn. Microbiol. Infect. Dis. 2021, 100, 115339. [Google Scholar] [CrossRef]
- Yagi, S.; Booton, G.C.; Visvesvara, G.S.; Schuster, F.L. Detection of Balamuthia mitochondrial 16S rRNA gene DNA in clinical specimens by PCR. J. Clin. Microbiol. 2005, 43, 3192–3197. [Google Scholar] [CrossRef] [PubMed]





| Forward (5′–3′) | Reverse (5′–3′) | Product Size (bp) | Reference | ||
|---|---|---|---|---|---|
| Housekeeping GAPDH gene * | [18] | ||||
| GAAGGTGAAGGTCGGAGTCAAC | CAGAGTTAAAAGCAGCCCTGGT | 380 | |||
| Pan-FLA 18S rRNA gene | [19] | ||||
| CGCGGTAATTCCAGCTCCAATAGC | CAGGTTAAGGTCT CGTTCGTTAAC | 800 | Hartmanella vermiformis | ||
| 900 | Naegleria fowleri | ||||
| 950 | Vannella sp., Vahlkampfia ovis | ||||
| 1080 | A.castellanii, A. polyphaga, A. lenticulata, A. hatchetti | ||||
| 1350 | A. comadoni | ||||
| 1500 | A. astronyxis | ||||
| Acanthamoeba spp.-specific 18S rRNA gene (JDP gene) | [20] | ||||
| GGCCCAGATCGTTTACCGTGAA | TCTCACAAGCTGCTAGGGAGT | 450–500 | |||
| Naegleria spp.- and Naegleria fowleri-specific primers targeting internal transcribed sequences (ITS1 and ITS2) | [21] | ||||
| First cycle (Genus specific) | GAACCTGCGTAGGGATCATTT | TTTCTTTTCCTCCCCTTATTA | 408–457 | ||
| Second cycle | GTGAAAACCTTTTTTCCATTTACA | AAATAAAAGATTGACCATTTGAAA | 310 | ||
| (Species-specific) | |||||
| Mitochondrial 16S rRNA gene of Balamuthia mandrillaris | [22] | ||||
| CGCATGTATGAAGAAGACCA | TTACCTATATAATTGTCGATACCA | 1075 | |||
| 18S rDNA gene of Balamuthia mandrillaris | [23] | ||||
| First cycle | GGTTCGTGCCCCTTGCCTTCTG-3′ | GGTTCGTGCCCCTTGCCTTCTG | 403 | ||
| Second cycle | GGTTCGTGCCCCTTGCCTTCTG-3′ | GGTCGAGCTCCGAA | 201 | ||
| Parameter | Total Number of Positive Samples | Sensitivity (95% CI) | Specificity (95% CI) | PPV | NPV | Cohen’s Kappa Coefficient Test (Inter-Rater Reliability Score) |
|---|---|---|---|---|---|---|
| Acanthamoeba spp. | ||||||
| Microscopy/histopathology | 6 | 100% (47.82–100) | 100% (97.57–100) | 100% | 100% | k = 1 100% agreement |
| Culture on NNA | 6 | 100% (47.82–100) | 100% (97.57–100) | 100% | 100% | |
| Pan-FLA PCR | 6 | 100% (47.82–100) | 100% (97.57–100) | 100% | 100% | |
| 18S rRNA gene-specific JDP PCR | 6 | 100% (47.82–100) | 100% (97.57–100) | 100% | 100% | |
| Naegleria fowleri | ||||||
| Microscopy/ histopathology | 2 | 100% (15.81–100) | 100% (15.81–100) | 100% | 100% | k = 1 100% agreement |
| Culture on NNA | 1 * | 100% (15.81–100) | 100% (15.81–100) | 100% | 100% | |
| Pan-FLA PCR | 2 | 100% (15.81–100) | 100% (97.62–100) | 100% | 100% | |
| (ITS 1 and ITS 2) gene-specific PCR | 2 | 100% (15.81–100) | 100% (97.62–100) | 100% | 100% | |
| Balamuthia mandrillaris | ||||||
| Histopathological examination | 3 | 100% (29.24–100) | 100% (97.60–100) | 100% | 100% | k = 1 100% agreement |
| Mitochondrial 16S rRNA gene-specific PCR | 3 | 100% (29.24–100) | 100% (97.60–100) | 100% | 100% | |
| 18S rRNA gene-specific PCR | 3 | 100% (29.24–100) | 100% (97.60–100) | 100% | 100% | |
Publisher’s Note: MDPI stays neutral with regard to jurisdictional claims in published maps and institutional affiliations. |
© 2022 by the authors. Licensee MDPI, Basel, Switzerland. This article is an open access article distributed under the terms and conditions of the Creative Commons Attribution (CC BY) license (https://creativecommons.org/licenses/by/4.0/).
Share and Cite
Khurana, S.; Sharma, C.; Radotra, B.D.; Mewara, A.; Tanwar, P.; Datta, P.; Sehgal, R. Molecular Diagnosis of Encephalitis/Meningoencephalitis Caused by Free-Living Amoebae from a Tertiary Center in India. Pathogens 2022, 11, 1509. https://doi.org/10.3390/pathogens11121509
Khurana S, Sharma C, Radotra BD, Mewara A, Tanwar P, Datta P, Sehgal R. Molecular Diagnosis of Encephalitis/Meningoencephalitis Caused by Free-Living Amoebae from a Tertiary Center in India. Pathogens. 2022; 11(12):1509. https://doi.org/10.3390/pathogens11121509
Chicago/Turabian StyleKhurana, Sumeeta, Chayan Sharma, Bishan Dass Radotra, Abhishek Mewara, Parveen Tanwar, Priya Datta, and Rakesh Sehgal. 2022. "Molecular Diagnosis of Encephalitis/Meningoencephalitis Caused by Free-Living Amoebae from a Tertiary Center in India" Pathogens 11, no. 12: 1509. https://doi.org/10.3390/pathogens11121509
APA StyleKhurana, S., Sharma, C., Radotra, B. D., Mewara, A., Tanwar, P., Datta, P., & Sehgal, R. (2022). Molecular Diagnosis of Encephalitis/Meningoencephalitis Caused by Free-Living Amoebae from a Tertiary Center in India. Pathogens, 11(12), 1509. https://doi.org/10.3390/pathogens11121509

