Potential Role of Hepatozoon canis in a Fatal Systemic Disease in a Puppy
Abstract
:1. Introduction
2. Case Details
2.1. Clinical Case
2.1.1. Visit 1 (2 Months Old)
2.1.2. Visit 2 (5 Months Old)
2.1.3. Visit 3 (10 Months Old)
2.2. Findings of the Exams Performed at 2 Months Old
2.3. Findings of the Exams Performed at 5 Months Old
2.4. Findings of the Exams Performed at 10 Months Old
2.4.1. Computed Tomography
2.4.2. Ultrasound (US)
2.4.3. Endoscopy
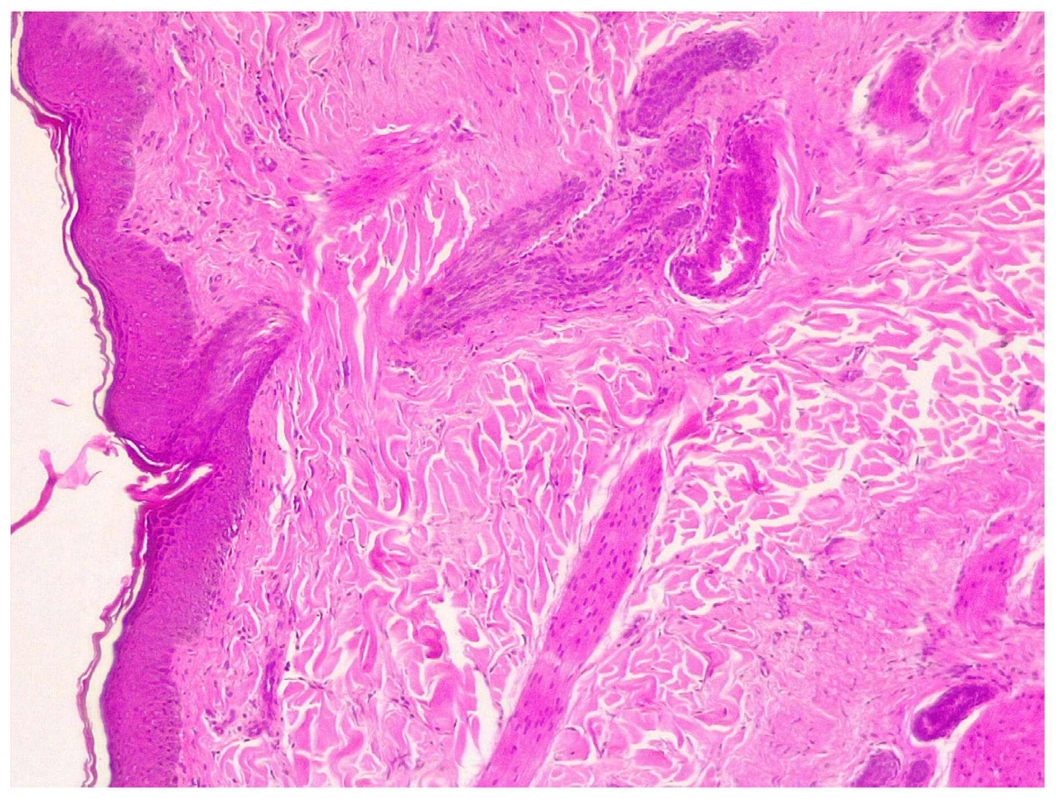
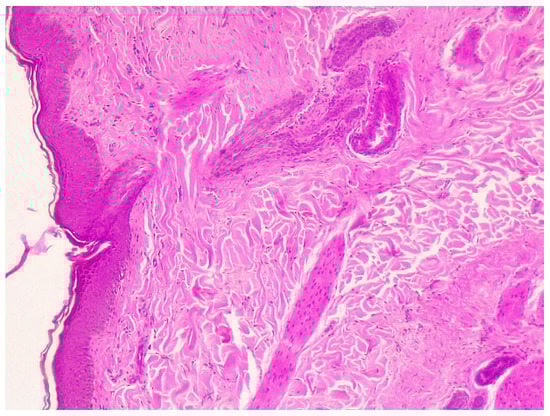
2.4.4. Histopathology
2.4.5. Molecular Analysis
3. Discussion
4. Conclusions
Author Contributions
Funding
Institutional Review Board Statement
Informed Consent Statement
Data Availability Statement
Conflicts of Interest
References
- Baneth, G. Perspectives on canine and feline hepatozoonosis. Vet. Parasitol. 2011, 181, 3–11. [Google Scholar] [CrossRef]
- Morelli, S.; Diakou, A.; Traversa, D.; Di Gennaro, E.; Simonato, G.; Colombo, M.; Dimzas, D.; Grillini, M.; Frangipane di Regalbono, A.; Beugnet, F.; et al. First record of Hepatozoon spp. in domestic cats in Greece. Ticks Tick-Borne Dis. 2021, 12, 101580. [Google Scholar] [CrossRef] [PubMed]
- Amoli, A.R.; Khoshnegah, J.; Razmi, G. A preliminary parasitological survey of Hepatozoon spp. infection in dogs in Mashhad, Iran. Iran. J. Parasitol. 2012, 7, 99. [Google Scholar] [PubMed]
- Guo, W.P.; Xie, G.C.; Xue, Z.Q.; Yu, J.J.; Jian, R.; Du, L.Y.; Li, Y.N. Molecular detection of Hepatozoon canis in dogs and ticks in Shaanxi province, China. Comp. Immunol. Microbiol. Infect. Dis. 2020, 72, 101514. [Google Scholar] [CrossRef] [PubMed]
- Pacifico, L.; Braff, J.; Buono, F.; Beall, M.; Neola, B.; Buch, J.; Sgroi, G.; Piantedosi, D.; Santoro, M.; Tyrrell, P.; et al. Hepatozoon canis in hunting dogs from Southern Italy: Distribution and risk factors. Parasitol. Res. 2020, 119, 3023–3031. [Google Scholar] [CrossRef] [PubMed]
- Giannelli, A.; Ramos, R.A.; Di Paola, G.; Mencke, N.; Dantas-Torres, F.; Baneth, G.; Otranto, D. Transstadial transmission of Hepatozoon canis from larvae to nymphs of Rhipicephalus sanguineus. Vet. Parasitol. 2013, 196, 1–5. [Google Scholar] [CrossRef] [PubMed]
- Aktas, M.; Özübek, S. Transstadial Transmission of Hepatozoon canis by Rhipicephalus sanguineus (Acari: Ixodidae) in Field Conditions. J. Med. Entomol. 2017, 54, 1044–1048. [Google Scholar] [CrossRef]
- Murata, T.; Inoue, M.; Tateyama, S.; Taura, Y.; Nakama, S. Vertical transmission of Hepatozoon canis in dogs. J. Vet. Med. Sci. 1993, 55, 867–868. [Google Scholar] [CrossRef] [PubMed] [Green Version]
- Sasanelli, M.; Paradies, P.; Lubas, G.; Otranto, D.; de Caprariis, D. Atypical clinical presentation of coinfection with Ehrlichia, Babesia and Hepatozoon species in a dog. Vet. Rec. 2009, 164, 22–23. [Google Scholar] [CrossRef]
- Kruzeniski, S.J.; Tam, F.M.; Burgess, H.J. Pathology in Practice. J. Am. Vet. Med. Assoc. 2013, 243, 1705–1707. [Google Scholar] [CrossRef]
- Kwon, S.J.; Kim, Y.H.; Oh, H.H.; Choi, U.S. First Case of Canine Infection with Hepatozoon canis (Apicomplexa: Haemogregarinidae) in the Republic of Korea. Korean J. Parasitol. 2017, 55, 561–564. [Google Scholar] [CrossRef]
- Baker, J.L.; Craig, T.M.; Barton, C.L.; Scott, D.W. Hepatozoon canis in a dog with oral pyogranulomas and neurologic disease. Cornell Vet. 1988, 7, 179–183. [Google Scholar]
- Marchetti, V.; Lubas, G.; Baneth, G.; Modenato, M.; Mancianti, F. Hepatozoonosis in a dog with skeletal involvement and meningoencephalomyelitis. Vet. Clin. Pathol. 2009, 38, 121–125. [Google Scholar] [CrossRef]
- Acevedo, T.S.P.; Ramírez, L.M.; Restrepo, R.L.G. Uveitis and glaucoma associated with Hepatozoon canis infection: A case report. Rev. Colomb. Cienc. Pecu. 2010, 23, 485–491. [Google Scholar]
- Little, L.; Baneth, G. Cutaneous Hepatozoon canis infection in a dog from New Jersey. J. Vet. Diagn. Investig. 2011, 23, 585–588. [Google Scholar] [CrossRef] [PubMed] [Green Version]
- Voyvoda, H.; Pasa, S.; Uner, A. Clinical Hepatozoon canis infection in a dog in Turkey. J. Small Anim. Pract. 2004, 45, 613–617. [Google Scholar] [CrossRef] [PubMed]
- Attipa, C.; Maguire, D.; Solano-Gallego, L.; Szladovits, B.; Barker, E.N.; Farr, A.; Baneth, G.; Tasker, S. Hepatozoon canis in three imported dogs: A new tickborne disease reaching the United Kingdom. Vet. Rec. 2018, 183, 716. [Google Scholar] [CrossRef] [PubMed] [Green Version]
- Baneth, G.; Weigler, B. Retrospective case-control study of hepatozoonosis in dogs in Israel. J. Vet. Int. Med. 1997, 11, 365–376. [Google Scholar] [CrossRef] [PubMed]
- Tabar, M.D.; Altet, L.; Francino, O.; Sánchez, A.; Ferrer, L.; Roura, X. Vector-borne infections in cats: Molecular study in Barcelona area (Spain). Vet. Parasitol. 2008, 15, 332–336. [Google Scholar] [CrossRef]
- Prakash, B.K.; Low, V.L.; Tan, T.K.; Vinnie-Siow, W.Y.; Lim, Y.A.L.; Morvarid, A.R.; Azman, A.S.; Yeong, Y.S.; AbuBakar, S.; Sofian-Azirun, M. Detection of Hepatozoon canis in the brown dog tick and domestic dogs in Peninsular Malaysia. J. Med. Entomol. 2018, 55, 1346–1348. [Google Scholar] [CrossRef] [Green Version]
- Díaz-Regañón, D.; Villaescusa, A.; Ayllón, T.; Rodríguez-Franco, F.; Baneth, G.; Calleja-Bueno, L.; García-Sancho, M.; Agulla, B.; Sainz, Á. Molecular detection of Hepatozoon spp. and Cytauxzoon sp. in domestic and stray cats from Madrid, Spain. Parasites Vectors 2017, 10, 1–9. [Google Scholar] [CrossRef] [Green Version]
- Gavazza, A.; Bizzeti, M.; Papini, R. Observations on dogs found naturally infected with Hepatozoon canis in Italy. Rev. Méd. Vét. 2003, 154, 565–571. [Google Scholar]
- Karagenc, T.I.; Pasa, S.; Kirli, G.; Hosgor, M.; Bilgic, H.B.; Ozon, Y.H.; Atasoy, A.; Eren, H. A parasitological, molecular and serological survey of Hepatozoon canis infection in dogs around the Aegean coast of Turkey. Vet. Parasitol. 2006, 135, 113–119. [Google Scholar] [CrossRef] [PubMed]
- Skeldon, N.; Klaassen, J.; Hinds, M. Diagnosis of Hepatozoon canis. Vet. Rec. 2017, 180, 124. [Google Scholar] [CrossRef] [PubMed]
- Hubert, B.; Beaufils, J.P.; Fabbrini, F.; Magnol, J.P. Hepatozoon canis, a fortuitous or pathogenic agent in canine dermatology: A review of three cases. Vet. Dermatol. 2002, 13, 211–229. [Google Scholar] [CrossRef]
- Duscher, G.G.; Kübber-Heiss, A.; Richter, B.; Suchentrunk, F. A golden jackal (Canis aureus) from Austria bearing Hepatozoon canis-import due to immigration into a non-endemic area? Ticks Tick-Borne Dis. 2013, 4, 133–137. [Google Scholar] [CrossRef]
- Sasanelli, M.; Paradies, P.; Greco, B.; Eyal, O.; Zaza, V.; Baneth, G. Failure of imidocarb dipropionate to eliminate Hepatozoon canis in naturally infected dogs based on parasitological and molecular evaluation methods. Vet. Parasitol. 2010, 171, 194–199. [Google Scholar] [CrossRef]
- Otranto, D.; Dantas-Torres, F.; Weigl, S.; Latrofa, M.S.; Stanneck, D.; Decaprariis, D.; Capelli, G.; Baneth, G. Diagnosis of Hepatozoon canis in young dogs by cytology and PCR. Parasites Vectors 2011, 4, 55. [Google Scholar] [CrossRef] [Green Version]
- Johnson, N. Hepatozoon canis: Another unwelcome parasitic visitor to the UK. Vet. Rec. 2018, 183, 714. [Google Scholar] [CrossRef] [PubMed]
- Wright, I.; Jongejan, F.; Marcondes, M.; Peregrine, A.; Baneth, G.; Bourdeau, P.; Bowman, D.D.; Breitschwerdt, E.B.; Capelli, G.; Carodo, L.; et al. Parasites and vector-borne diseases disseminated by rehomed dogs. Parasites Vectors 2020, 13, 546. [Google Scholar] [CrossRef] [PubMed]
- Dantas-Torres, F.; Latrofa, M.S.; Weigl, S.; Tarallo, V.D.; Lia, R.P.; Otranto, D. Hepatozoon canis infection in ticks during spring and summer in Italy. Parasitol. Res. 2012, 110, 695–698. [Google Scholar] [CrossRef] [PubMed]
- Maurelli, M.P.; Pepe, P.; Colombo, L.; Armstrong, R.; Battisti, E.; Morgoglione, M.E.; Counturis, D.; Rinaldi, L.; Cringoli, G.; Ferroglio, E.; et al. A national survey of Ixodidae ticks on privately owned dogs in Italy. Parasites Vectors 2018, 11, 420. [Google Scholar] [CrossRef] [PubMed] [Green Version]
- European Center for Disease Prevention and Control. Available online: https://www.ecdc.europa.eu/en/publications-data/rhipicephalus-sanguineus-current-known-distribution-january-2018 (accessed on 1 August 2021).
- Colombo, M.; Morelli, S.; Simonato, G.; Di Cesare, A.; Veronesi, F.; Frangipane di Regalbono, A.; Grassi, L.; Russi, I.; Tiscar, P.G.; Morganti, G.; et al. Exposure to Major Vector-Borne Diseases in Dogs Subjected to Different Preventative Regimens in Endemic Areas of Italy. Pathogens 2021, 10, 507. [Google Scholar] [CrossRef] [PubMed]



| Analyte | Value | Normal Range | Units |
|---|---|---|---|
| Visit 1 | |||
| HCT | 34 | 37–55 | % |
| WBC | 17.75 | 6–17 | 109/L |
| Neutrophils | 14.60 | 3–12 | 109/L |
| Basal cortisol | 9.76 | 1–5 | mcg/dL |
| Visit 2 | |||
| HCT | 36.9 | 37–55 | % |
| WBC | 14.68 | 6–17 | 109/L |
| Neutrophils | 12.61 | 3–12 | 109/L |
| Total protein | 5.3 | 5.5–7.6 | g/dL |
| Visit 3 | |||
| HCT | 41.2 | 37–55 | % |
| Platelets | 489 × 109 | 103–395 | mcL |
| Albumin | 2.01 | 2.4–3.8 | g/dL |
| Total protein | 5.3 | 5.5–7.6 | g/dL |
| Cobalamin | <150 | 251–908 | ng/L |
| Folates | 6.60 | 7.7–24 | mcg/L |
| ALP | 875 | 20–120 | IU/L |
| ALT | 475 | 15–64 | IU/L |
| AST | 166 | 12–54 | IU/L |
| TLI | >50 | 5.2–35 | mcg/L |
| Total iron | 69 | 76–173 | mcg/dL |
| Pre-prandial bile acids | 53.55 | 0–22 | μmol/L |
| Post-prandial bile acids | 97.47 | 0–30 | μmol/L |
| Bilirubinuria | 1 | <1 | mg/dL |
| Urobilinogen | 4 | <1 | mg/dL |
| aPTT | 108 | 75–105 | sec |
Publisher’s Note: MDPI stays neutral with regard to jurisdictional claims in published maps and institutional affiliations. |
© 2021 by the authors. Licensee MDPI, Basel, Switzerland. This article is an open access article distributed under the terms and conditions of the Creative Commons Attribution (CC BY) license (https://creativecommons.org/licenses/by/4.0/).
Share and Cite
De Bonis, A.; Colombo, M.; Terragni, R.; Bacci, B.; Morelli, S.; Grillini, M.; Vignoli, M. Potential Role of Hepatozoon canis in a Fatal Systemic Disease in a Puppy. Pathogens 2021, 10, 1193. https://doi.org/10.3390/pathogens10091193
De Bonis A, Colombo M, Terragni R, Bacci B, Morelli S, Grillini M, Vignoli M. Potential Role of Hepatozoon canis in a Fatal Systemic Disease in a Puppy. Pathogens. 2021; 10(9):1193. https://doi.org/10.3390/pathogens10091193
Chicago/Turabian StyleDe Bonis, Andrea, Mariasole Colombo, Rossella Terragni, Barbara Bacci, Simone Morelli, Marika Grillini, and Massimo Vignoli. 2021. "Potential Role of Hepatozoon canis in a Fatal Systemic Disease in a Puppy" Pathogens 10, no. 9: 1193. https://doi.org/10.3390/pathogens10091193
APA StyleDe Bonis, A., Colombo, M., Terragni, R., Bacci, B., Morelli, S., Grillini, M., & Vignoli, M. (2021). Potential Role of Hepatozoon canis in a Fatal Systemic Disease in a Puppy. Pathogens, 10(9), 1193. https://doi.org/10.3390/pathogens10091193

