Efficacy of Needle-Less Intradermal Vaccination against Porcine Epidemic Diarrhea Virus
Abstract
:1. Introduction
2. Results
2.1. Selection of the Adjuvant
2.2. Antibody Titers and Safety of Pregnant Sows after ID Inoculation
2.3. Diarrhea Score and Weight Changes in Suckling Piglet Challenged with Virulent PEDV
2.4. Survival and Viral RNA Copy Number in Suckling Piglets
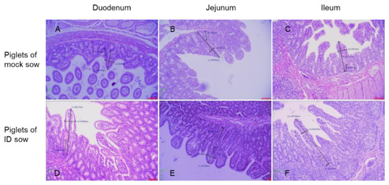
2.5. Morphological Changes in the Small Intestine of Suckling Piglets
3. Discussion
4. Materials and Methods
4.1. Adjuvant Selection and Measurement of Cytokine Levels in Growing Pigs
4.1.1. NA Test
4.1.2. Isolation of Porcine Peripheral Blood Mononuclear Cells and cDNA Synthesis
4.1.3. Quantification of Cytokine Gene Expression by PBMCs
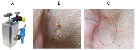
4.2. Vaccination by ID Route to Pregnant Sows
4.3. Challenge of Piglets with Virulent PEDV after Ingestion of Maternally-Derived Antibodies
4.3.1. QRT-PCR of Fecal Samples from Piglets
4.3.2. Detection of PED IgA Antibodies and Histopathological Examination
4.4. Statistical Analysis
5. Conclusions
Author Contributions
Funding
Institutional Review Board Statement
Informed Consent Statement
Data Availability Statement
Acknowledgments
Conflicts of Interest
References
- Song, D.; Park, B. Porcine epidemic diarrhoea virus: A comprehensive review of molecular epidemiology, diagnosis, and vaccines. Virus Genes 2012, 44, 167–175. [Google Scholar] [CrossRef] [PubMed]
- Lee, C. Porcine epidemic diarrhea virus: An emerging and re-emerging epizootic swine virus. Virol. J. 2015, 12, 193. [Google Scholar] [CrossRef] [Green Version]
- Wang, X.M.; Niu, B.B.; Yan, H.; Gao, D.S.; Yang, X.; Chen, L.; Chang, H.T.; Zhao, J.; Wang, C.Q. Genetic properties of endemic Chinese porcine epidemic diarrhea virus strains isolated since 2010. Arch. Virol. 2013, 158, 2487–2494. [Google Scholar] [CrossRef] [PubMed]
- Sno, M.; Cox, E.; Holtslag, H.; Nell, T.; Pel, S.; Segers, R.; Fachinger, V.; Witvliet, M. Efficacy and safety of a new intradermal PCV2 vaccine in pigs. Trials Vaccinol. 2016, 5, 24–31. [Google Scholar] [CrossRef] [Green Version]
- Visser, N.; Egger, W.; Lutticken, D. Intradermal application of Aujeszky’s disease virus strain Begonia with tocopherol-based adjuvant and a novel design injection device. Acta Vet. Hung. 1994, 42, 413–418. [Google Scholar] [PubMed]
- Vanderpooten, A.; Goddeeris, B.; De Roose, P.; Hendrickx, L.; Biront, P.; Desmettre, P. Evaluation of parenteral vaccination methods with glycoproteins against Aujeszky’s disease in pigs. Vet. Microbiol. 1997, 55, 81–89. [Google Scholar] [CrossRef]
- Vannier, P.; Cariolet, R. Vaccination of pigs against Aujeszky’s disease by the intradermal route using live attenuated and inactivated virus vaccines. Vet. Microbiol. 1991, 26, 11–23. [Google Scholar] [CrossRef]
- Mikulska-Skupien, E.; Szweda, W.; Procajlo, Z.; Platt-Samoraj, A. Indices of nonspecific cellular immune response in pigs after intradermal vaccination with deleted Aujeszky’s disease vaccine and after experimental infection. Bull. Vet. Inst. Pulawy 2004, 48, 347–354. [Google Scholar]
- Martelli, P.; Cordioli, P.; Alborali, L.G.; Gozio, S.; De Angelis, E.; Ferrari, L.; Lombardi, G.; Borghetti, P. Protection and immune response in pigs intradermally vaccinated against porcine reproductive and respiratory syndrome (PRRS) and subsequently exposed to a heterologous European (Italian cluster) field strain. Vaccine 2007, 25, 3400–3408. [Google Scholar] [CrossRef] [PubMed]
- Eblé, P.L.; Weerdmeester, K.; van Hemert-Kluitenberg, F.; Dekker, A. Intradermal vaccination of pigs against FMD with 1/10 dose results in comparable vaccine efficacy as intramuscular vaccination with a full dose. Vaccine 2009, 27, 1272–1278. [Google Scholar] [CrossRef]
- Auewarakul, P.; Kositanont, U.; Sornsathapornkul, P.; Tothong, P.; Kanyok, R.; Thongcharoen, P. Antibody responses after dose-sparing intradermal influenza vaccination. Vaccine 2007, 25, 659–663. [Google Scholar] [CrossRef]
- Kenney, R.T.; Frech, S.A.; Muenz, L.R.; Villar, C.P.; Glenn, G.M. Dose sparing with intradermal injection of influenza vaccine. N. Engl. J. Med. 2004, 351, 2295–2301. [Google Scholar] [CrossRef] [PubMed]
- Belshe, R.B.; Newman, F.K.; Cannon, J.; Duane, C.; Treanor, J.; Van Hoecke, C.; Howe, B.J.; Dubin, G. Serum antibody responses after intradermal vaccination against influenza. N. Engl. J. Med. 2004, 351, 2286–2294. [Google Scholar] [CrossRef]
- Warrell, M.J.; Nicholson, K.G.; Warrell, D.A.; Suntharasamai, P.; Chanthavanich, P.; Viravan, C.; Sinhaseni, A.; Chiewbambroongkiat, M.K.; Pouradier-Duteil, X.; Phanfung, R.; et al. Economical multiple-site intradermal immunisation with human diploid-cell-strain vaccine is effective for post-exposure rabies prophylaxis. Lancet 1985, 1, 1059–1062. [Google Scholar] [CrossRef]
- Warrell, M.J.; Riddell, A.; Yu, L.M.; Phipps, J.; Diggle, L.; Bourhy, H.; Deeks, J.J.; Fooks, A.R.; Audry, L.; Brookes, S.M.; et al. A simplified 4-site economical intradermal post-exposure rabies vaccine regimen: A randomized controlled comparison with standard methods. PLoS Negl. Trop. Dis. 2008, 2, e224. [Google Scholar] [CrossRef] [Green Version]
- Chutivongse, S.; Wilde, H.; Supich, C.; Baer, G.M.; Fishbein, D.B. Postexposure prophylaxis for rabies with antiserum and intradermal vaccination. Lancet 1990, 335, 896–898. [Google Scholar] [CrossRef]
- Karahocagil, M.K.; Buzgan, T.; Irmak, H.; Karsen, H.; Akdeniz, H.; Akman, N. Comparison of intramuscular and intradermal applications of hepatitis B vaccine in hemodialysis patients. Ren. Fail. 2006, 28, 561–565. [Google Scholar] [CrossRef]
- Sangfelt, P.; Uhnoo, I.; Reichard, O.; Weiland, O. A low-dose intradermal hepatitis B vaccine programme in health-care workers and students is highly effective and cost saving: A retrospective follow-up survey in the clinical setting. Scand. J. Gastroenterol. 2008, 43, 465–472. [Google Scholar] [CrossRef] [PubMed]
- Iwasaki, A.; Torres, C.; Ohashi, P.; Robinson, H.; Barber, B.H. The dominant role of bone-marrow derived cells in CTL induction following plasmid DNA immunization at different sites. J. Immunol. 1997, 159, 11–14. [Google Scholar] [PubMed]
- Fu, T.M.; Ulmer, J.B.; Caulfield, M.J.; Deck, R.R.; Friedman, A.; Wang, S.; Liu, X.; Donnelly, J.J.; Liu, M.A. Priming of cytotoxic T lymphocytes by DNA vaccines: Requirement for professional antigen presenting cells and evidences for antigen transfer from myocytes. Mol. Med. 1997, 3, 362–371. [Google Scholar] [CrossRef] [Green Version]
- Bos, J.D.; Kapsenberg, M.L. The skin immune system: Its cellular constituents and their interactions. Immunol. Today 1986, 7, 235–240. [Google Scholar] [CrossRef]
- Martelli, P.; Saleri, R.; Cavalli, V.; De Angelis, E.; Ferrari, L.; Benetti, M.; Ferrarini, G.; Merialdi, G.; Borghetti, P. Systemic and local immune response in pigs intradermally and intramuscularly injected with inactivated Mycoplasma hyopneumoniae vaccines. Vet. Microbiol. 2014, 168, 357–364. [Google Scholar] [CrossRef] [PubMed]
- Mikulska-Skupien, E.; Szweda, W.; Procajlo, Z. Evaluation of specific humoral immune response in pigs vaccinated intradermally with deleted Aujeszky’s disease vaccine and challenged with virulent strain of Herpesvirus suis type I. Pol. J. Vet. Sci. 2005, 8, 11–16. [Google Scholar] [PubMed]
- Rosales, E.; Mendoza, S.; Martens, M.; Quintero, W.; Ramirez, C.; Luna, E.; Vargas, A.; Reynoso, M. Use of novel intradermal needle-free system: A field study comparing it with conventional intramuscular injection for administration of Aujeszky’s disease vaccination (Porcilis Begonia). In Proceedings of the 19th International Pig Veterinary Society (IPVS) Congress, Copenhagen, Denmark, 16–19 July 2006; Volume 2, p. 157. [Google Scholar]
- van Rooij, E.M.A.; de Bruin, T.G.M.; de Visser, Y.E.; Middel, W.G.J.; Boersma, W.J.A.; Bianchi, A.T.J. Vaccine-induced T cell-mediated immunity plays a critical role in early protection against pseudorabies virus (suid herpes virus type I) infection in pigs. Vet. Immunol. Immunopathol. 2004, 99, 113–125. [Google Scholar] [CrossRef] [PubMed]
- Rahman, F.; Dahmen, A.; Herzog-Hauff, S.; Bocher, W.O.; Galle, P.R.; Lohr, H.F. Cellular and humoral immune responses induced by intradermal or intramuscular vaccination with the major hepatitis B surface antigen. Hepatology 2000, 31, 521–527. [Google Scholar] [CrossRef] [PubMed]
- Vogt, A.; Mahé, B.; Costagliola, D.; Bonduelle, O.; Hadam, S.; Schaefer, G.; Schaefer, H.; Katlama, C.; Sterry, W.; Autran, B.; et al. Transcutaneous anti-influenza vaccination promotes both CD4 and CD8 T cell immune responses in humans. J. Immunol. 2008, 180, 1482–1489. [Google Scholar] [CrossRef] [PubMed] [Green Version]
- Launay, O.; Durier, C.; Desaint, C.; Silbermann, B.; Jackson, A.; Pialoux, G.; Bonnet, B.; Poizot-Martin, I.; Gonzalez-Canali, G.; Cuzin, L.; et al. ANRS VAC16 Study Group. Cellular immune responses induced with dose-sparing intradermal administration of HIV vaccine to HIV-uninfected volunteers in the ANRS VAC16 trial. PLoS ONE 2007, 2, e725. [Google Scholar] [CrossRef]
- Ferrari, L.; Borghetti, P.; Gozio, S.; De Angelis, E.; Ballotta, L.; Smeets, J.; Blanchaert, A.; Martelli, P. Evaluation of the immune response induced by intradermal vaccination by using a needle-less system in comparison with the intramuscular route in conventional pigs. Res. Vet. Sci. 2011, 90, 64–71. [Google Scholar] [CrossRef]
- Hwang, J.H.; Lee, K.N.; Kim, S.M.; Lee, G.; Moon, Y.; Kim, B.; Lee, J.S.; Park, J.H. Needleless intradermal vaccination for foot-and-mouth disease induced granuloma-free effective protection in pigs. J. Vet. Sci. 2019, 20, e29. [Google Scholar] [CrossRef]
- Le Luduec, J.B.; Debeer, S.; Piras, F.; Andréoni, C.; Boudet, F.; Laurent, P.; Kaiserlian, D.; Dubois, B. Intradermal vaccination with un-adjuvanted sub-unit vaccines triggers skin innate immunity and confers protective respiratory immunity in domestic swine. Vaccine 2016, 34, 914–922. [Google Scholar] [CrossRef]
- Guzman, E.; Taylor, G.; Charleston, B.; Ellis, S.A. Induction of a cross-reactive CD8+ T cell response following foot-and-mouth disease virus vaccination. J. Virol. 2010, 84, 12375–12384. [Google Scholar] [CrossRef] [Green Version]
- Choe, S.; Song, S.; Piao, D.; Park, G.N.; Shin, J.; Choi, Y.J.; Kang, S.K.; Cha, R.M.; Hyun, B.H.; Park, B.K.; et al. Efficacy of orally administered porcine epidemic diarrhea vaccine-loaded hydroxypropyl methylcellulose phthalate microspheres and RANKL-secreting L. lactis. Vet. Microbiol. 2020, 242, 108604. [Google Scholar] [CrossRef]
- Oh, J.S.; Song, D.S.; Yang, J.S.; Song, J.Y.; Moon, H.J.; Kim, T.Y.; Park, B.K. Comparison of an enzyme-linked immunosorbent assay with serum neutralization test for serodiagnosis of porcine epidemic diarrhea virus infection. J. Vet. Sci. 2005, 6, 349–352. [Google Scholar] [CrossRef] [PubMed]
- Ferrari, L.; Martelli, P.; Saleri, R.; De Angelis, E.; Cavalli, V.; Bresaola, M.; Benetti, M.; Borghetti, P. Lymphocyte activation as cytokine gene expression and secretion is related to the porcine reproductive and respiratory syndrome virus (PRRSV) isolate after in vitro homologous and heterologous recall of peripheral blood mononuclear cells (PBMC) from pigs vaccinated and exposed to natural infection. Vet. Immunol. Immunopathol. 2013, 151, 193–206. [Google Scholar]
- Duvigneau, J.C.; Hartl, R.T.; Groiss, S.; Gemeiner, M. Quantitative simultaneous multiplex real-time PCR for the detection of porcine cytokines. J. Immunol. Methods 2005, 306, 16–27. [Google Scholar] [CrossRef]
- Petrov, A.; Beer, M.; Blome, S. Development and Validation of a Harmonized TaqMan-Based Triplex Real-Time RT-PCR Protocol for the Quantitative Detection of Normalized Gene Expression Profiles of Seven Porcine Cytokines. PLoS ONE 2014, 9, e108910. [Google Scholar]
- Livak, K.J.; Schmittgen, T.D. Analysis of relative gene expression data using real-time quantitative PCR and the 2−ΔΔCT method. Methods 2001, 25, 402–408. [Google Scholar] [CrossRef] [PubMed]






| Group | Sow | Period of Pregnancy (no. of Piglets) | No. of Live Piglets | No. of Dead Piglets | No. of Abortions | Clinical Signs | NA a Titer (log2) | IgA ELISA (O.D. Value) for Colostrum | ||
|---|---|---|---|---|---|---|---|---|---|---|
| DPV0 | Delivery | Colostrum | ||||||||
| Mock | MO1 MO2 MO3 | 116 (12) 114 (13) 116 (10) | 11 13 10 | 1 0 0 | 0 0 0 | no no no | 2 3 4 | 3 2 2 | 2 1 2 | 0.52 0.45 0.49 |
| Inactivated PED (ID) | ID1 ID2 ID3 ID4 | 114 (13) 116 (10) 114 (11) 115 (14) | 13 10 10 14 | 0 0 1 0 | 0 0 0 0 | no no no no | 3 4 2 3 | 6 6 6 5 | 5 6 5 5 | 1.1 1.7 0.8 1.4 |
| Cytokine | Specific Primer Sets (5′→3′) | Probe | Length (bp) | Reference |
|---|---|---|---|---|
| IFN-γ | F-CGATCCTAAAGGACTATTTTAATGCAA R-TTTTGTCACTCTCCTCTTTCCAAT | ACCTCAGATGTACCTAATGGTGGACCTCTT | 102 | [36] |
| IL-4 | F-GTCTGCTTACTGGCATGTACCA R-GCTCCATGCACGAGTTCTTTCT | CCACGGACACAAGTGCGACATCACCTTAC | 117 | [37] |
| IL-10 | F-CGGCGCTGTCATCAATTTCTG R-CCCCTCTCTTGGAGCTTGCTA | AGGCACTCTTCACCTCCTCCACGGC | 89 | [36] |
| GAPDH | F-ACATGGCCTCCAAGGAGTAAGA R-GATCGAGTTGGGGCTGTGACT | CCACCAACCCCAGCAAGAGCACGC | 105 | [37] |
Publisher’s Note: MDPI stays neutral with regard to jurisdictional claims in published maps and institutional affiliations. |
© 2021 by the authors. Licensee MDPI, Basel, Switzerland. This article is an open access article distributed under the terms and conditions of the Creative Commons Attribution (CC BY) license (https://creativecommons.org/licenses/by/4.0/).
Share and Cite
Choe, S.; Park, G.-N.; Song, S.; Shin, J.; Le, V.P.; Nguyen, V.G.; Kim, K.-S.; Kim, H.K.; Hyun, B.-H.; An, D.-J. Efficacy of Needle-Less Intradermal Vaccination against Porcine Epidemic Diarrhea Virus. Pathogens 2021, 10, 1115. https://doi.org/10.3390/pathogens10091115
Choe S, Park G-N, Song S, Shin J, Le VP, Nguyen VG, Kim K-S, Kim HK, Hyun B-H, An D-J. Efficacy of Needle-Less Intradermal Vaccination against Porcine Epidemic Diarrhea Virus. Pathogens. 2021; 10(9):1115. https://doi.org/10.3390/pathogens10091115
Chicago/Turabian StyleChoe, SeEun, Gyu-Nam Park, Sok Song, Jihye Shin, Van Phan Le, Van Giap Nguyen, Ki-Sun Kim, Hye Kwon Kim, Bang-Hun Hyun, and Dong-Jun An. 2021. "Efficacy of Needle-Less Intradermal Vaccination against Porcine Epidemic Diarrhea Virus" Pathogens 10, no. 9: 1115. https://doi.org/10.3390/pathogens10091115
APA StyleChoe, S., Park, G.-N., Song, S., Shin, J., Le, V. P., Nguyen, V. G., Kim, K.-S., Kim, H. K., Hyun, B.-H., & An, D.-J. (2021). Efficacy of Needle-Less Intradermal Vaccination against Porcine Epidemic Diarrhea Virus. Pathogens, 10(9), 1115. https://doi.org/10.3390/pathogens10091115

