Myopericarditis Associated with COVID-19 in a Pediatric Patient with Kidney Failure Receiving Hemodialysis
Abstract
1. Introduction
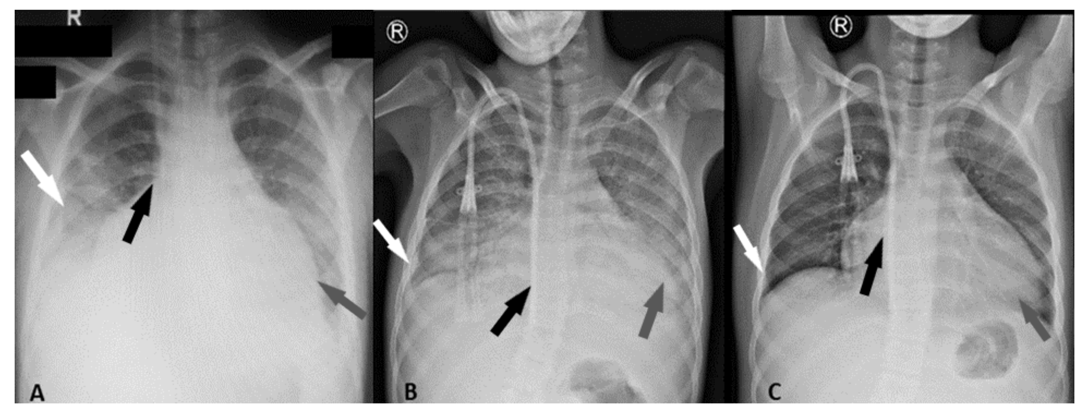
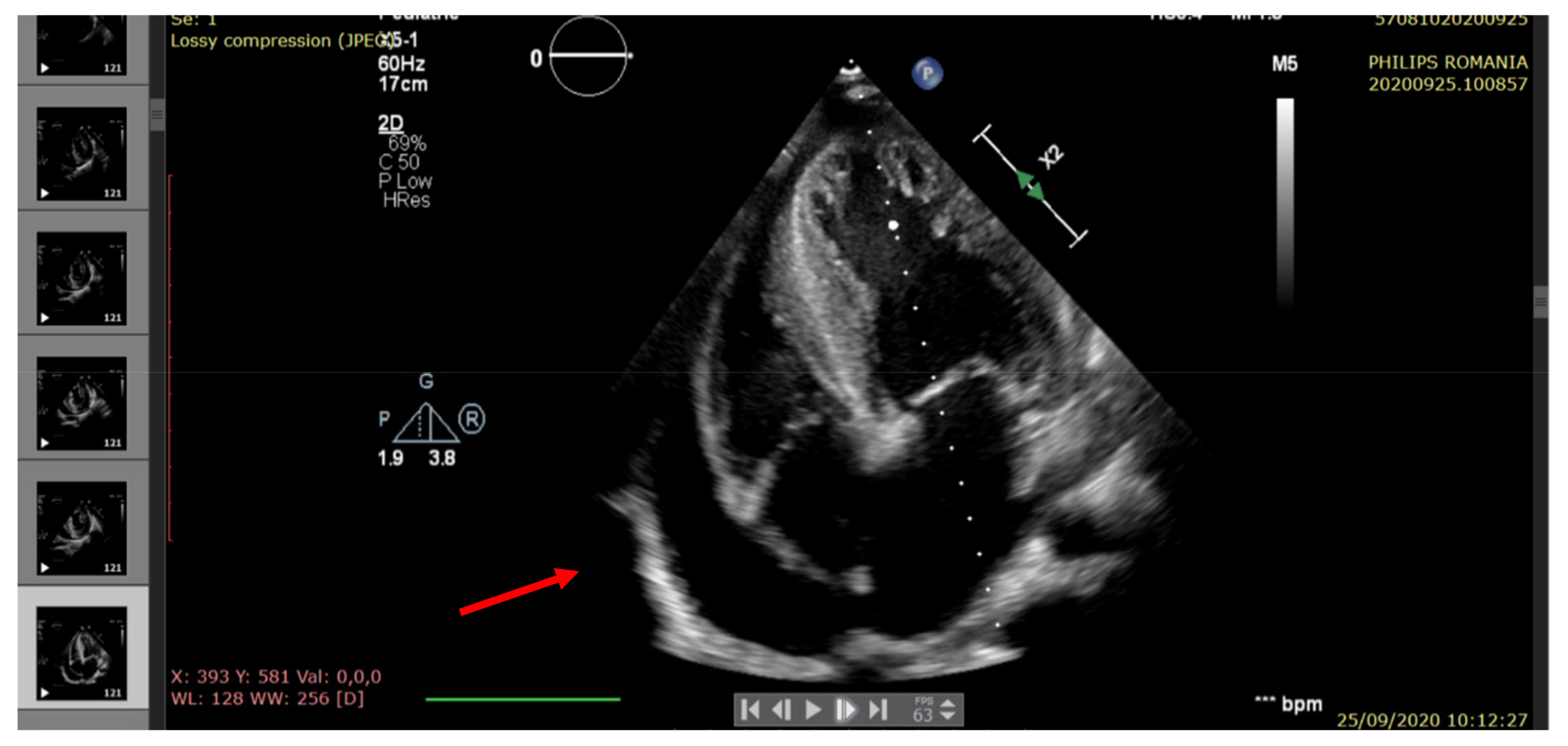
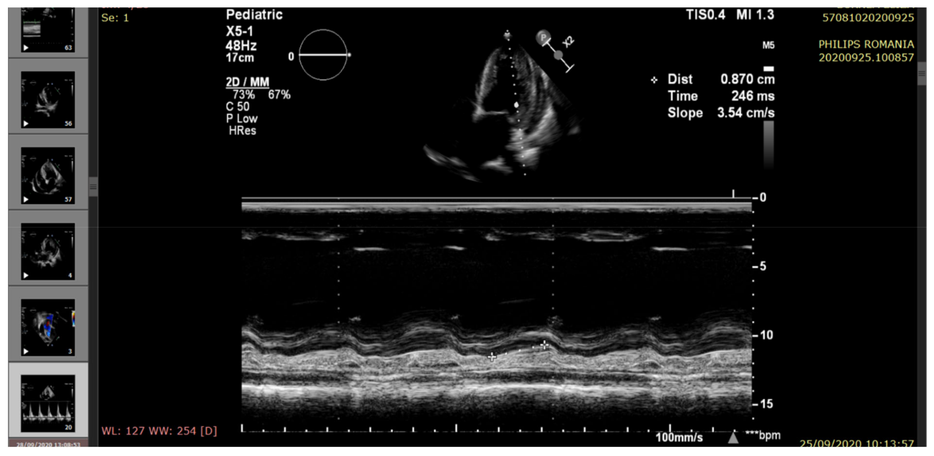
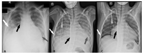
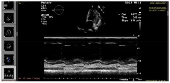
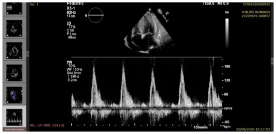
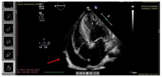
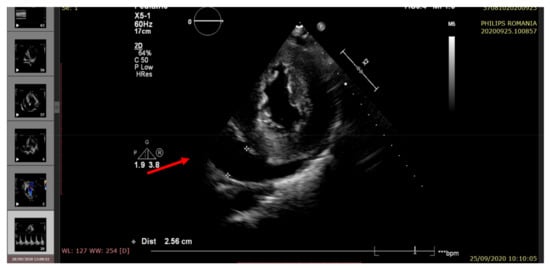
2. Case Presentation
3. Discussions
4. Conclusions
Funding
Institutional Review Board Statement
Informed Consent Statement
Data Availability Statement
Conflicts of Interest
References
- Verity, R.; Okell, L.C.; Dorigatti, I. Estimates of the severity of coronavirus disease 2019: A model-based analysis. Lancet Infect. Dis. 2020, 20, 669–677. [Google Scholar] [CrossRef]
- Qiu, H.; Wu, J.; Hong, L. Clinical and epidemiological features of 36 children with coronavirus disease 2019 (COVID-19) in Zhejiang, China: An observational cohort study. Lancet Infect. Dis. 2020, 20, 689–696. [Google Scholar] [CrossRef]
- Coronavirus Response Team, Centers for Disease Control and Prevention. Coronavirus disease 2019 in children—United States, 12 February–2 April, 2020. MMWR Morb. Mortal Wkly. Rep. 2020, 69, 422–426. [Google Scholar] [CrossRef] [PubMed]
- Letko, M.; Marzi, A.; Munster, V. Functional assessment of cell entry and receptor usage for SARS-CoV-2 and other lineage B betacoronaviruses. Nat. Microbiol. 2020, 5, 562–569. [Google Scholar] [CrossRef]
- CDC. Certain Medical Conditions and Risk for Severe COVID-19 Illness. Available online: https://www.cdc.gov/coronavirus/2019-ncov/need-extra-precautions/people-with-medical-conditions.html (accessed on 21 March 2021).
- Parri, N.; Lenge, M.; Buonsenso, D. Coronavirus Infection in Pediatric Emergency Departments (CONFIDENCE) Research Group. Children with Covid-19 in Pediatric Emergency Departments in Italy. N. Engl. J. Med. 2020, 383, 187–190. [Google Scholar] [CrossRef]
- Yu, C.M.; Wong, R.S.; Wu, E.B.; Kong, S.L.; Wong, J.; Yip, G.W.; Sung, J.J. Cardiovascular complications of severe acute respiratory syndrome. Postgrad. Med. J. 2006, 82, 140–144. [Google Scholar] [CrossRef]
- Dabbagh, M.F.; Aurora, L.; D’Souza, P.; Weinmann, A.J.; Bhargava, P.; Basir, M.B. Cardiac tamponade secondary to COVID-19. JACC Case Rep. 2020, 2, 1326–1330. [Google Scholar] [CrossRef]
- Hua, A.; O’Gallagher, K.; Sado, D.; Byrne, J. Life-threatening cardiac tamponade complicating myo-pericarditis in COVID-19. Eur. Heart J. 2020, 41, 2130. [Google Scholar] [CrossRef]
- Bejiqi, R.; Retkoceri, R.; Maloku, A.; Mustafa, A.; Bejiqi, H.; Bejiqi, R. The Diagnostic and Clinical Approach to Pediatric Myocarditis: A Review of the Current Literature. Open Access Maced. J. Med. Sci. 2019, 7, 162–173. [Google Scholar] [CrossRef]
- Tung-Chen, Y. Acute pericarditis due to COVID-19 infection: An underdiagnosed disease? Med. Clin. 2020, 155, 44–45. [Google Scholar] [CrossRef]
- Li, M.; Chen, S.; Xiang, X.; Wang, Q.; Liu, X. Effects of SARS-CoV-2 and its functional receptor ACE2 on the cardiovascular system. Effekte von SARS-CoV-2 und seinem funktionalen Rezeptor ACE2 auf das Herz-Kreislauf-System. Herz 2020, 45, 659–662. [Google Scholar] [CrossRef]
- Gu, J.; Gong, E.; Zhang, B.; Zheng, J.; Gao, Z.; Zhong, Y.; Zou, W.; Zhan, J.; Wang, S.; Xie, Z.; et al. Multiple organ infection and the pathogenesis of SARS. J. Exp. Med. 2005, 202, 415–424. [Google Scholar] [CrossRef]
- Ding, Y.; He, L.; Zhang, Q.; Huang, Z.; Che, X.; Hou, J.; Wang, H.; Shen, H.; Qiu, L.; Li, Z.; et al. Organ distribution of severe acute respiratory syndrome (SARS) associated coronavirus (SARS-CoV) in SARS patients: Implications for pathogenesis and virus transmission pathways. J. Pathol. 2004, 203, 622–630. [Google Scholar] [CrossRef]
- Siddiqi, H.K.; Mehra, M.R. COVID-19 illness in native and immunosuppressed states: A clinical-therapeutic staging proposal. J. Heart Lung Transplant. 2020, 39, 405–407. [Google Scholar] [CrossRef] [PubMed]
- Gotta, V.; Marsenic, O.; Atkinson, A.; Pfister, M. Hemodialysis (HD) dose and ultrafiltration rate are associated with survival in pediatric and adolescent patients on chronic HD—A large observational study with follow-up to young adult age. Pediatric Nephrol. 2021. [Google Scholar] [CrossRef] [PubMed]
- Costanzo, M.R.; Guglin, M.E.; Saltzberg, M.T.; Jessup, M.L.; Bart, B.A.; Teerlink, J.R.; Jaski, B.E.; Fang, J.C.; Feller, E.D.; Haas, G.J.; et al. Ultrafiltration versus intravenous diuretics for patients hospitalized for acute decompensated heart failure. J. Am. Coll. Cardiol. 2007, 49, 675–683. [Google Scholar] [CrossRef] [PubMed]
- Wu, Z.; McGoogan, J.M. Characteristics of and important lessons from the coronavirus disease 2019 (COVID-19) outbreak in China: Summary of a report of 72,314 cases from the Chinese Center for Disease Control and Prevention. JAMA 2020, 323, 1239–1242. [Google Scholar] [CrossRef]
- Ackermann, M.; Verleden, S.E.; Kuehnel, M.; Haverich, A.; Welte, T.; Laenger, F.; Vanstapel, A.; Werlein, C.; Stark, H.; Tzankov, A.; et al. Pulmonary vascular endothelialitis, thrombosis, and angiogenesis in Covid-19. N. Engl. J. Med. 2020. [Google Scholar] [CrossRef] [PubMed]
- Shekerdemian, L.S.; Mahmood, N.R.; Wolfe, K.K.; Riggs, B.J.; Ross, C.E.; McKiernan, C.A.; Burns, J.P. Characteristics and outcomes of children with coronavirus disease 2019 (COVID-19) infection admitted to us and canadian pediatric intensive care units. JAMA Pediatrics 2020. [Google Scholar] [CrossRef]
- Pranata, R.; Huang, I.; Lukito, A.A.; Raharjo, S.B. Elevated N-terminal pro-brain natriuretic peptide is associated with increased mortality in patients with COVID-19: Systematic review and meta-analysis. Postgrad. Med. J. 2020, 96, 387–391. [Google Scholar] [CrossRef]
- Gao, L.; Jiang, D.; Wen, X.S.; Cheng, X.C.; Sun, M.; He, B.; Zhang, D.Y. Prognostic value of NT-proBNP in patients with severe COVID-19. Respir. Res. 2020, 21, 83. [Google Scholar] [CrossRef]
- Rodriguez-Gonzalez, M.; Castellano-Martinez, A.; Cascales-Poyatos, H.M.; Perez-Reviriego, A.A. Cardiovascular impact of COVID-19 with a focus on children: A systematic review. World J. Clin. Cases 2020, 8, 5250–5283. [Google Scholar] [CrossRef] [PubMed]
- Tersalvi, G.; Vicenzi, M.; Calabretta, D.; Biasco, L.; Pedrazzini, G.; Winterton, D. Elevated troponin in patients with Coronavirus Disease 2019 (COVID-19): Possible mechanisms. J. Card. Fail. 2020. [Google Scholar] [CrossRef] [PubMed]
- Zhou, B.; She, J.; Wang, Y.; Ma, X. The clinical characteristics of myocardial injury in severe and very severe patients with 2019 novel coronavirus disease. J. Infect. 2020. [Google Scholar] [CrossRef] [PubMed]
- Guo, J.; Huang, Z.; Lin, L.; Lv, J. Coronavirus Disease 2019 (COVID-19) and Cardiovascular Disease: A Viewpoint on the Potential Influence of Angiotensin-Converting Enzyme Inhibitors/Angiotensin Receptor Blockers on Onset and Severity of Severe Acute Respiratory Syndrome Coronavirus 2 Infection. J. Am. Heart Assoc. 2020, 9, e016219. [Google Scholar] [CrossRef] [PubMed]
- Zhang, X.; Yu, J.; Pan, L.Y.; Jiang, H.Y. ACEI/ARB use and risk of infection or severity or mortality of COVID-19: A systematic review and meta-analysis. Pharmacol. Res. 2020, 158, 104927. [Google Scholar] [CrossRef] [PubMed]
- Gul, R.; Kim, U.H.; Alfadda, A.A. Renin-angiotensin system at the interface of COVID-19 infection. Eur. J. Pharmacol. 2021, 890, 173656. [Google Scholar] [CrossRef]
- Laycock, J.; Baum, M.; Rees, L. KDIGO nomenclature glossary for Pediatric Nephrology. Pediatric Nephrol. 2020, 35, 2201–2203. [Google Scholar] [CrossRef]
- Inciardi, R.M.; Adamo, M.; Lupi, L.; Cani, D.S.; Di Pasquale, M.; Tomasoni, D.; Italia, L.; Zaccone, G.; Tedino, C.; Fabbricatore, D.; et al. Characteristics and outcomes of patients hospitalized for COVID-19 and cardiac disease in Northern Italy. Eur. Heart J. 2020, 41, 1821–1829. [Google Scholar] [CrossRef]








| Parameter | Normal Range | Before COVID-19 (30 June 2020) | Confirmed COVID-19 Infection (9 July 2020) | Early Post-COVID-19 Infection (30 July 2020) | Late Post-COVID-19 Infection (22 July 2020) | 
|---|---|---|---|---|---|
| Right ventricular ejection fraction RV EF (%) | >60 | 55 | 50 | 55 | 45 | 
| Left ventricular ejection fraction LV EF (%) | >60 | 60 | 35 | 45 | 25 | 
| (S’) Lateral systolic myocardial velocity (cm/s) tissue doppler imaging (TDI) | 8.43 ± 1.06 | 10.5 | 7 | 8.7 | 5.9 | 
| Mitral annular plane systolic excursion (MAPSE) (mm) (M-mode) | 16.4 ± 2.4 | 15 | 9.2 | 12.2 | 8.3 | 
| Mitral diastolic pattern | Normal | Impaired relaxation | Pseudonormal filling | Impaired relaxation | Restrictive filling | 
| Pericardial fluid (edge) | <5 mm | Small (6 mm) | Raised (20 mm) | Moderate (14 mm) | Large (22 mm) | 
| Pulmonary hypertension (echocardiographic criteria) | Normal | Mild | Moderate | Mild | Moderate/severe | 
| Blood pressure (mmHg) | Systolic (90–120)/diastolic (50–80) | 150/90 | 160/110 | 160/90 | 145/95 | 
| O2 %saturation | 95–100 | 99 | 80–85 | 90 | 80 | 
| Heart rate (beats/min) | 60–100 | 78 | 120 | 90 | 120 | 
| Diuresis (mL/24 h) | 500–1200 | 1500 | 500 | 1500 | 1000 | 
| Na (mmol/L) | 138–144 | 132 | 129.9 | 122 | 126.7 | 
| K (mmol/L) | 3.4–4.9 | 4.90 | 4.96 | 5.00 | 5.02 | 
| Serum creatinine (mg/dL) | 0.5–1 | 10.24 | 8.20 | 8.40 | 8.16 | 
| Serum urea (mg/dL) | <39 | 111.3 | 86.5 | 120 | 99.5 | 
| CRP (mg/L) | 0–5.00 | 3.88 | 2.68 | 5.78 | 1.82 | 
| Hb (g/dL) | 11.5–15 | 6.8 | 5.6 | 6.00 | 8.6 | 
| WBC (×109/L) | 4.5–13.5 | 4.43 | 5.67 | 6.57 | 16.33 | 
| Neutrophil (×109/L) | 1.8–8 | 2.5 | 2.65 | 16.00 | 14.14 | 
| Lymphocytes (×109/L) | 1.5–6.5 | 0.76 | 1.23 | 1.2 | 1.13 | 
| Lymphocytes (%) | 20–55 | 17.20 | 6.1 | 6.00 | 6.9 | 
| NT-proBNP (pg/dL) | (<125) | 3400 | 32,460 | 19,000 | 70,000 | 
| Troponin T (pg/mL) | 0–14 (negative) >50 (positive) | 23 | 61 | 44 | 66 | 
| Publisher’s Note: MDPI stays neutral with regard to jurisdictional claims in published maps and institutional affiliations. | 
© 2021 by the authors. Licensee MDPI, Basel, Switzerland. This article is an open access article distributed under the terms and conditions of the Creative Commons Attribution (CC BY) license (https://creativecommons.org/licenses/by/4.0/).
Share and Cite
Ionescu, M.D.; Balgradean, M.; Cirstoveanu, C.G.; Balgradean, I.; Popa, L.I.; Pavelescu, C.; Capitanescu, A.; Berghea, E.C.; Filip, C. Myopericarditis Associated with COVID-19 in a Pediatric Patient with Kidney Failure Receiving Hemodialysis. Pathogens 2021, 10, 486. https://doi.org/10.3390/pathogens10040486
Ionescu MD, Balgradean M, Cirstoveanu CG, Balgradean I, Popa LI, Pavelescu C, Capitanescu A, Berghea EC, Filip C. Myopericarditis Associated with COVID-19 in a Pediatric Patient with Kidney Failure Receiving Hemodialysis. Pathogens. 2021; 10(4):486. https://doi.org/10.3390/pathogens10040486
Chicago/Turabian StyleIonescu, Marcela Daniela, Mihaela Balgradean, Catalin Gabriel Cirstoveanu, Ioana Balgradean, Loredana Ionela Popa, Carmen Pavelescu, Andrei Capitanescu, Elena Camelia Berghea, and Cristina Filip. 2021. "Myopericarditis Associated with COVID-19 in a Pediatric Patient with Kidney Failure Receiving Hemodialysis" Pathogens 10, no. 4: 486. https://doi.org/10.3390/pathogens10040486
APA StyleIonescu, M. D., Balgradean, M., Cirstoveanu, C. G., Balgradean, I., Popa, L. I., Pavelescu, C., Capitanescu, A., Berghea, E. C., & Filip, C. (2021). Myopericarditis Associated with COVID-19 in a Pediatric Patient with Kidney Failure Receiving Hemodialysis. Pathogens, 10(4), 486. https://doi.org/10.3390/pathogens10040486
 
         
                                                


 
       