Rapid Detection of blaKPC-9 Allele from Clinical Isolates
Abstract
1. Introduction
2. Results
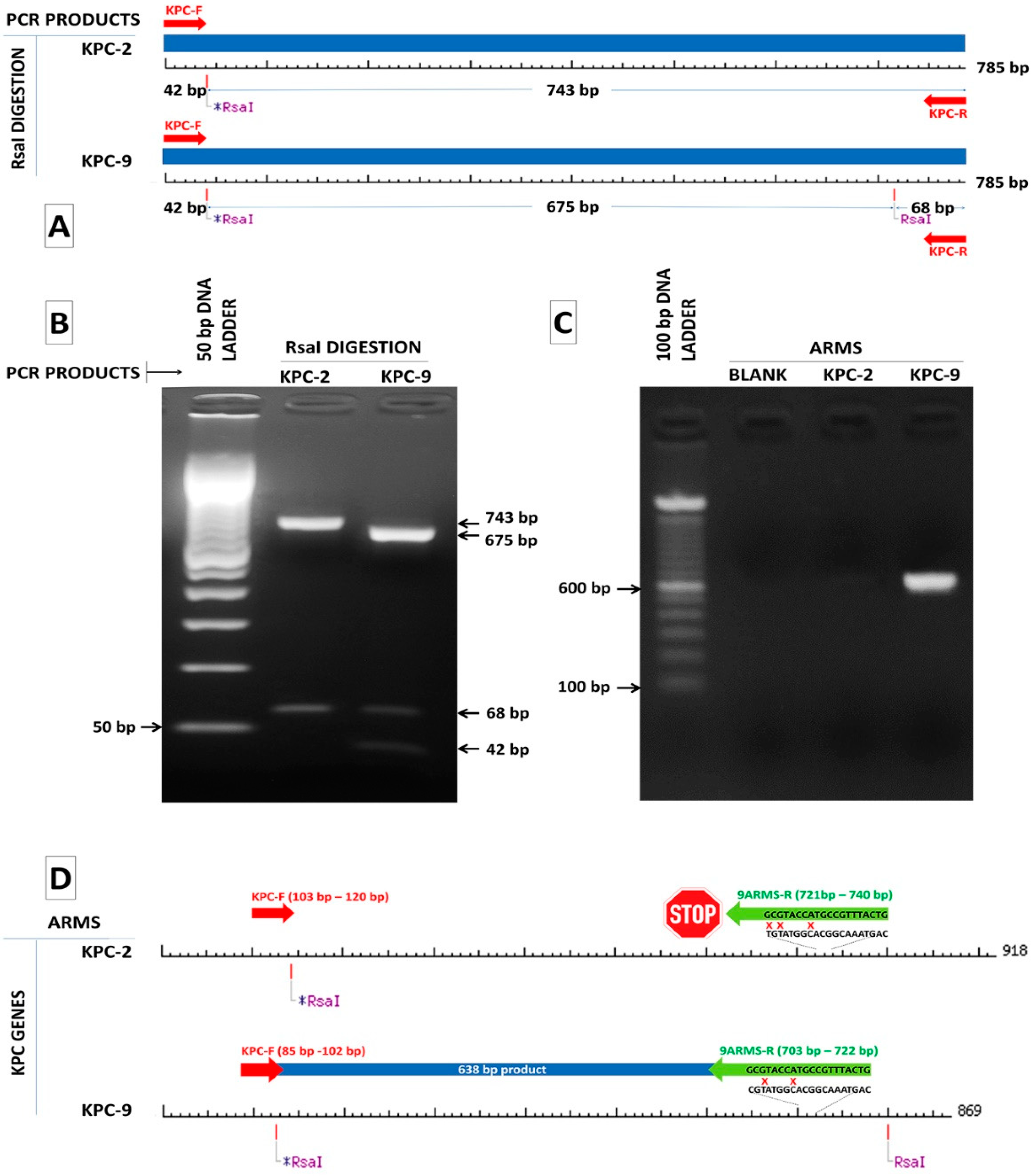
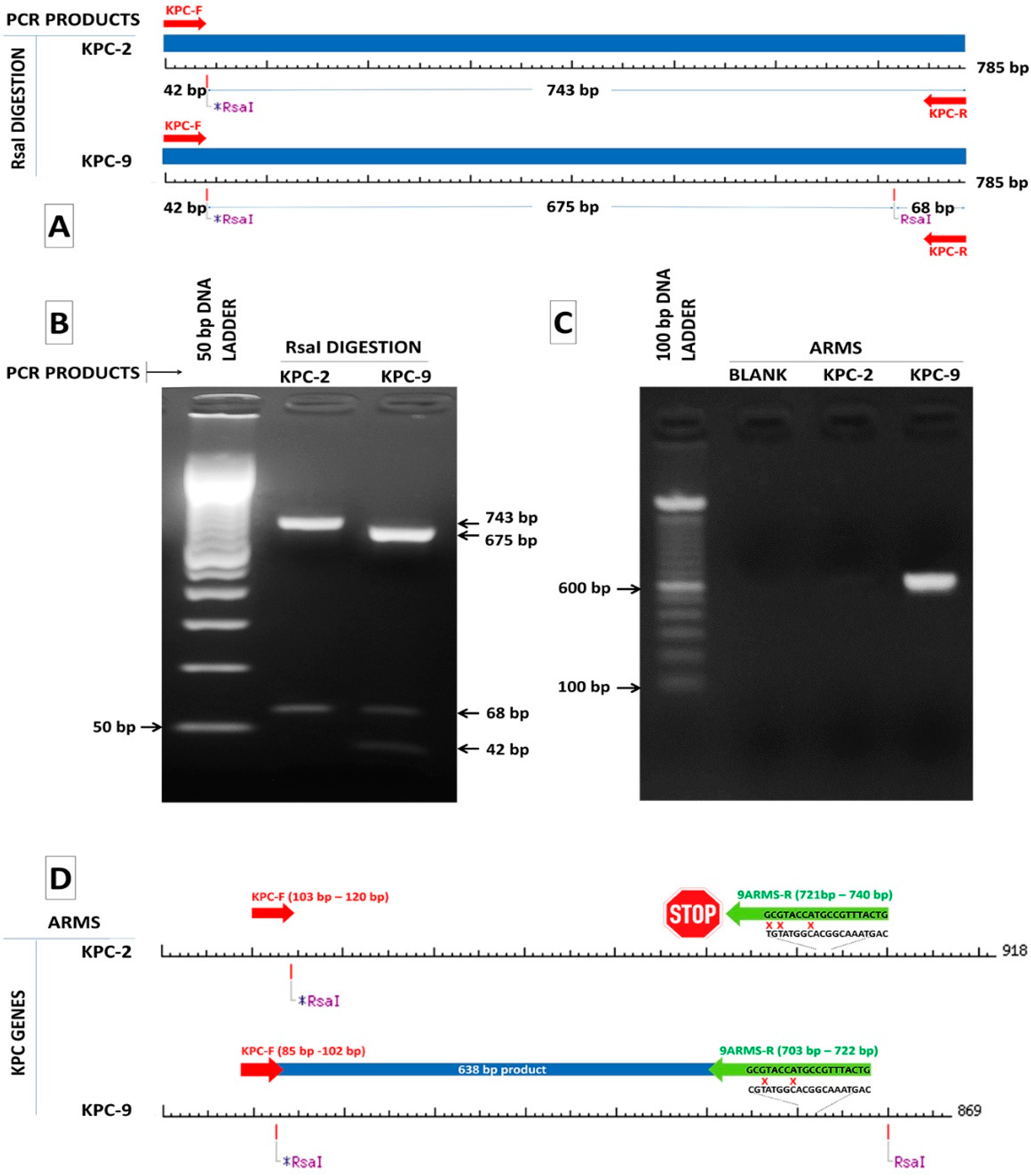
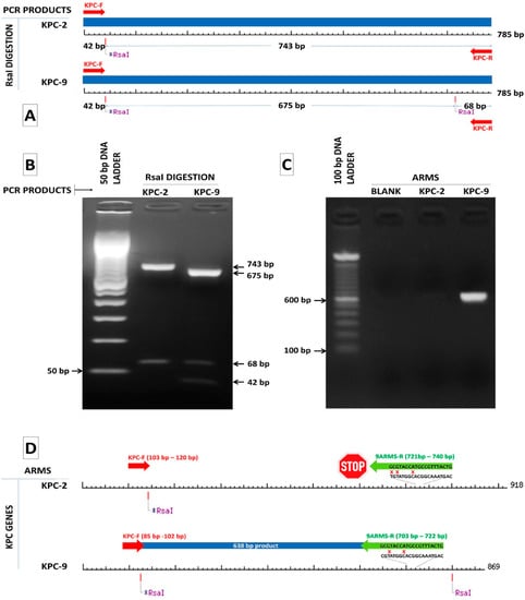
2.1. Molecular Testing and RsaI Restriction Mapping of blaKPC Gene Variants
2.2. KPC-9 Identification by Amplification Refractory Mutation System (ARMS) Method
3. Discussion
4. Materials and Methods
4.1. Bacterial Isolates, Screening for KPC Carbapenemase
4.2. Restriction Fragment
4.3. KPC-9 PCR Using Specific Primer
Author Contributions
Funding
Institutional Review Board Statement
Informed Consent Statement
Data Availability Statement
Conflicts of Interest
References
- Karampatakis, T.; Antachopoulos, C.; Iosifidis, E.; Tsakris, A.; Roilides, E. Molecular epidemiology of carbapenem-resistant Klebsiella pneumoniae in Greece. Future Microbiol. 2016, 11, 809–823. [Google Scholar] [CrossRef] [PubMed]
- Mehta, S.C.; Rice, K.; Palzkill, T. Natural variants of the KPC-2 Carbapenemase have evolved increased catalytic efficiency for ceftazidime hydrolysis at the cost of enzyme stability. PLoS Pathog. 2015, 11, e1004949. [Google Scholar] [CrossRef] [PubMed]
- U.S. National Library of Medicine, National Center for Biotechnology Information (NCBI). Available online: https://www.ncbi.nlm.nih.gov/pathogens/isolates#/refgene/gene_family:(blaKPC) (accessed on 8 March 2021).
- Tsakris, A.; Kristo, I.; Poulou, A.; Markou, F.; Ikonomidis, A.; Pournaras, S. First occurrence of KPC-2-possessing Klebsiella pneumoniae in a Greek hospital and recommendation for detection with boronic acid disc tests. J. Antimicrob. Chemother. 2008, 62, 1257–1260. [Google Scholar] [CrossRef] [PubMed][Green Version]
- Giakoupi, P.; Maltezou, H.; Polemis, M.; Pappa, O.; Saroglou, G.; Vatopoulos, A. Greek System for the Surveillance of Antimicrobial Resistance. KPC-2-producing Klebsiella pneumoniae infections in Greek hospitals are mainly due to a hyperepidemic clone. Eurosurveillance 2009, 14, 19218. [Google Scholar] [PubMed]
- Pournaras, S.; Protonotariou, E.; Voulgari, E.; Kristo, I.; Dimitroulia, E.; Vitti, D.; Tsalidou, M.; Maniatis, A.N.; Tsakris, A.; Sofianou, D. Clonal spread of KPC-2 carbapenemase-producing Klebsiella pneumoniae strains in Greece. J. Antimicrob. Chemother. 2009, 64, 348–352. [Google Scholar] [CrossRef] [PubMed]
- Galani, I.; Antoniadou, A.; Karaiskos, I.; Kontopoulou, K.; Giamarellou, H.; Souli, M. Genomic characterization of a KPC-23-producing Klebsiella pneumoniae ST258 clinical isolate resistant to ceftazidime-avibactam. Clin. Microbiol. Infect. 2019, 25, 763.e5–763.e8. [Google Scholar] [CrossRef] [PubMed]
- Gartzonika, K.; Rossen, J.W.A.; Sakkas, H.; Rosema, S.; Priavali, E.; Friedrich, A.W.; Levidiotou, S.; Bathoorn, E. Identification of a KPC-9-producing Klebsiella pneumoniae ST258 cluster among KPC-2-producing isolates of an ongoing outbreak in Northwestern Greece: A retrospective study. Clin. Microbiol. Infect. 2018, 24, 558–560. [Google Scholar] [CrossRef] [PubMed]
- Tzouvelekis, L.S.; Markogiannakis, A.; Psichogiou, M.; Tassios, P.T.; Daikos, G.L. Carbapenemases in Klebsiella pneumoniae and other Enterobacteriaceae: An evolving crisis of global dimensions. Clin. Microbiol. Rev. 2012, 25, 682–707. [Google Scholar] [CrossRef] [PubMed]
- Reyes, J.; Aguilar, A.C.; Caicedo, A. Carbapenem-Resistant Klebsiella pneumoniae: Microbiology Key Points for Clinical Practice. Int. J. Gen. Med. 2019, 12, 437–446. [Google Scholar] [CrossRef] [PubMed]
- Oueslati, S.; Tlili, L.; Exilie, C.; Bernabeu, S.; Iorga, B.; Bonnin, R.; Dortet, L.; Naas, T. Different phenotypic expression of KPC β-lactamase variants and challenges in their detection. J. Antimicrob. Chemother. 2020, 75, 769–771. [Google Scholar] [CrossRef] [PubMed]
- Wang, D.; Chen, J.; Yang, L.; Mou, Y.; Yang, Y. Phenotypic and enzymatic comparative analysis of the KPC variants, KPC-2 and its recently discovered variant KPC-15. PLoS ONE 2014, 31, e111491. [Google Scholar] [CrossRef] [PubMed]
- Wolter, D.J.; Kurpiel, P.M.; Woodford, N.; Palepou, M.F.; Goering, R.V.; Hanson, N.D. Phenotypic and Enzymatic Comparative Analysis of the Novel KPC Variant KPC-5 and Its Evolutionary Variants, KPC-2 and KPC-4. Antimicrob. Agents Chemother. 2009, 53, 557–562. [Google Scholar] [CrossRef] [PubMed]
- Cole, J.M.; Schuetz, A.N.; Hill, C.E.; Nolte, F.S. Development and evaluation of a real-time PCR assay for detection of Klebsiella pneumoniae carbapenemases genes. J. Clin. Microbiol. 2009, 47, 322–326. [Google Scholar] [CrossRef] [PubMed]
- Kayama, S.; Shigemoto, N.; Kuwahara, R.; Onodera, M.; Yokozaki, M.; Ohge, H.; Kato, F.; Hisatsune, J.; Sugai, M. Rapid detection of blaIMP-6 by amplification refractory mutation system. J. Microbiol. Methods 2012, 88, 182–184. [Google Scholar] [CrossRef] [PubMed]
- Kayama, S.; Yano, R.; Yamasaki, K.; Fukuda, C.; Nishimura, K.; Miyamoto, H.; Ohge, H.; Sugai, M. Rapid identification of carbapenemase-type blaGES and ESBL-type blaGES using multiplex PCR. J. Microbiol. Methods 2018, 148, 117–119. [Google Scholar] [CrossRef] [PubMed]
- Yigit, H.; Queenan, A.M.; Anderson, G.J.; Domenech-Sanchez, A.; Biddle, J.W.; Steward, C.D.; Alberti, S.; Bush, K.; Tenover, F.C. Novel carbapenem-hydrolyzing beta-lactamase, KPC-1, from a carbapenem-resistant strain of Klebsiella pneumoniae. Antimicrob. Agents Chemother. 2001, 45, 1151–1161. [Google Scholar] [CrossRef] [PubMed]
- Lomaestro, B.M.; Tobin, E.H.; Shang, W.; Gootz, T. The Spread of Klebsiella pneumoniae Carbapenemase–Producing K. pneumoniae to Upstate New York. Clin. Infect. Dis. 2006, 43, e26–e28. [Google Scholar] [CrossRef] [PubMed][Green Version]
- Newton, C.R.; Graham, A.; Heptinstall, L.E.; Powell, S.J.; Summers, C.; Kalsheker, N.; Smith, J.C.; Markham, A.F. Analysis of any point mutation in DNA. The amplification refractory mutation system (ARMS). Nucleic Acids Res. 1989, 11, 2503–2516. [Google Scholar] [CrossRef] [PubMed]
- Dang, R.K.; Anthony, R.S.; Craig, J.I.; Leonard, R.C.; Parker, A.C. Limitations of the use of single base changes in the p53 gene to detect minimal residual disease of breast cancer. Mol. Pathol. 2002, 55, 177–181. [Google Scholar] [CrossRef] [PubMed][Green Version]




Publisher’s Note: MDPI stays neutral with regard to jurisdictional claims in published maps and institutional affiliations. |
© 2021 by the authors. Licensee MDPI, Basel, Switzerland. This article is an open access article distributed under the terms and conditions of the Creative Commons Attribution (CC BY) license (https://creativecommons.org/licenses/by/4.0/).
Share and Cite
Gartzonika, K.; Bozidis, P.; Priavali, E.; Sakkas, H. Rapid Detection of blaKPC-9 Allele from Clinical Isolates. Pathogens 2021, 10, 487. https://doi.org/10.3390/pathogens10040487
Gartzonika K, Bozidis P, Priavali E, Sakkas H. Rapid Detection of blaKPC-9 Allele from Clinical Isolates. Pathogens. 2021; 10(4):487. https://doi.org/10.3390/pathogens10040487
Chicago/Turabian StyleGartzonika, Konstantina, Petros Bozidis, Ephthalia Priavali, and Hercules Sakkas. 2021. "Rapid Detection of blaKPC-9 Allele from Clinical Isolates" Pathogens 10, no. 4: 487. https://doi.org/10.3390/pathogens10040487
APA StyleGartzonika, K., Bozidis, P., Priavali, E., & Sakkas, H. (2021). Rapid Detection of blaKPC-9 Allele from Clinical Isolates. Pathogens, 10(4), 487. https://doi.org/10.3390/pathogens10040487

