Surface Morphology and Histopathological Aspects of Metallic Used Cardiovascular CoCr Stents
Abstract
:1. Introduction
2. Materials and Methods
2.1. Post Exploratory Evaluation of Stents’ Surface through Light Microscopy (LM), Scanning Electron Microscopy Coupled with Energy Dispersive X-ray Spectroscopy (SEM-EDS) and Transmission Electron Microscopy (TEM)
2.2. Measuring the Metallic Ion Quantity within the Stent’s Adjacent Tissue through ICP-MS
2.3. Evaluation of Tissue/Stents Interface by Histopathological Analysis of Surrounding Tissue
3. Results
3.1. Post Exploratory Evaluation of Stents’ Surface by Light Microscopy
3.2. ICP-MS Determination
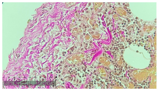
3.3. Evaluation of Tissue/Stents Interface by Histopathological Analysis of Surrounding Tissue
4. Discussion
5. Conclusions
Author Contributions
Funding
Conflicts of Interest
References
- Jang, S.H.; Lee, D.H.; Ha, J.Y.; Hanawa, T.; Kim, K.H.; Kwon, T.Y. Preliminary evaluation of mechanical properties of Co-Cr alloys fabricated by three new manufacturing processes. Int. J. Prosthodont. 2015, 28, 396–398. [Google Scholar]
- Andrei, M.; Galateanu, B.; Hudita, A.; Costache, M.; Osiceanu, P.; Moreno, J.M.C.; Demetrescu, I. Electrochemical comparison and biological performance of a new CoCrNbMoZr alloy with commercial CoCrMo alloy. Mater. Sci. Eng. C 2016, 59, 346–355. [Google Scholar]
- Song, S.H.; Min, B.K.; Hong, M.H.; Kwon, T.Y. Application of a novel CVD TiN coating on a biomedical Co–Cr Alloy: An evaluation of coating layer and substrate characteristics. Materials 2020, 13, 1145. [Google Scholar]
- Romonti, D.C.; Iskra, J.; Bele, M.; Demetrescu, I.; Milošev, I. Elaboration and characterization of fluorohydroxyapatite and fluoroapatite sol-gel coatings on CoCrMo alloy. J. Alloys Compd. 2016, 665, 355–364. [Google Scholar]
- Ionita, D.; Man, I.; Demetrescu, I. The behaviour of electrochemical deposition of phosphate coating on CoCr bio alloys. Key Eng. Mater. 2007, 330, 545–548. [Google Scholar]
- Palmaz, J.C. Intravascular stent in the last and the next 10 Years. J. Endovasc. Ther. 2004, 11, 200–206. [Google Scholar]
- He, D.; Liu, W.; Zhang, T. The development of carotid stent material. Interv. Neurol. 2015, 3, 67–77. [Google Scholar]
- Ionita, D.; Golgovici, F.; Demetrescu, I.; Sajin, M.; Pandelea-Dobrovicescu, G.-R. Effect of human albumin on corrosion and biological behavior of CoCrMo. Mater. Corr. 2017, 68, 876–882. [Google Scholar]
- Fukuhara, Y.; Kyuzo, M.; Tsutsumi, Y.; Nagai, A.; Chen, P.; Hanawa, T. Phospholipid polymer electrodeposited on titanium inhibits platelet adhesion. J. Biomed. Mater. Res. Part. B Appl. Biomater. 2016, 104, 554–560. [Google Scholar]
- Mindroiu, M.; Cicek, E.; Miculescu, F.; Demetrescu, I. The influence of thermal oxidation treatment on the electrochemical stability of TiAlV and TiAlFe alloys and their potential application as biomaterials. Rev. Chim. 2007, 58, 898–903. [Google Scholar]
- Golgovici, F.; Prodana, M.; Pandelea-Dobrovicescu, G.-R. About electrochemical stability of a CoCr alloy used as stents material in medicine. Sci. Bull. B Chem. Mater. Sci. UPB 2018, 80, 219–230. [Google Scholar]
- Popa, M.V.; Vasilescu, E.; Drob, P.; Demetrescu, I.; Popescu, B.; Ionescu, D.; Vasilescu, C. In vitro assessment and monitoring of the implant titanium materials–physiological environment interactions. Mater. Corr. 2003, 54, 215–221. [Google Scholar]
- Popa, M.V.; Demetrescu, I.; Iordachescu, D.; Cimpean, A.; Vasilescu, E.; Drob, P.; Vasilescu, C.; Istratescu, M. The relation between electrochemical tests and in vitro evaluation of titanium alloy biocompatibility. Mater. Corr. 2007, 58, 687–695. [Google Scholar]
- Shabalovskaya, S.; Anderegg, J.; Van Humbeeck, J. Critical overview of nitinol surfaces and their modifications for medical applications. Acta Biomater. 2008, 4, 447–467. [Google Scholar]
- Feng, C.C.; Li, L.; Zhang, C.S.; Zheng, G.M.; Bai, X.; Niu, Z.W. Surface characteristics and hydrophobicity of Ni-Ti Alloy through magnetic mixed electrical discharge machining. Materials 2019, 12, 388. [Google Scholar]
- Wang, Q.; Fang, G.; Zhao, Y.-H.; Zhou, J. Improvement of mechanical performance of bioresorbable magnesium alloy coronary artery stents through stent pattern redesign. Appl. Sci. 2018, 8, 2461. [Google Scholar]
- Lu, P.; Fan, H.; Liu, Y.; Cao, L.; Wu, X.; Xu, X. Controllable biodegradability, drug release behavior and hemocompatibility of PTX-eluting magnesium stents. Colloids Surf. B Biointerfaces 2011, 83, 23–28. [Google Scholar]
- Waksman, R. Update on bioabsorbable stents: From bench to clinical. J. Interv. Cardiol. 2006, 19, 414–421. [Google Scholar]
- Beshchasna, N.; Saqib, M.; Kraskiewicz, H.; Wasyluk, L.; Kuzmin, O.; Duta, O.C.; Ficai, D.; Ghizdavet, Z.; Marin, A.; Ficai, A.; et al. Recent advances in manufacturing innovative stents. Pharmaceutics 2020, 12, 349. [Google Scholar]
- Scheinert, D.; Scheinert, S.; Sax, J.; Piorkowski, C.; Braunlich, S.; Ulrich, M.; Biamino, G.; Schmidt, A. Prevalence and clinical impact of stent fractures after femoropopliteal stenting. J. Am. Coll. Cardiol. 2005, 45, 312–315. [Google Scholar]
- Huang, K.-H.; Yin, W.-H.; Lee, Y.-T.; Tsao, T.-P.; Lee, K.-C.; Hsiung, M.-C.; Wei, J. Quantification of stent creep by three-dimensional transesophageal echocardiography in patients undergoing transcatheter aortic valve-in-valve implantation for failed bioprostheses. Acta Cardiol. Sin. 2019, 35, 380–386. [Google Scholar]
- Paprottka, K.; Paprottka, P.; Reiser, M.; Waggershauser, T. Comparative study of the corrosion behavior of peripheral stents in an accelerated corrosion model: Experimental in vitro study of 28 metallic vascular endoprostheses. Diagn IntervRadiol. 2015, 21, 403–409. [Google Scholar]
- Maron, B. Surgery for Hypertrophic Obstructive Cardiomyopathy alive and quite well. Circulation 2005, 11, 2016–2018. [Google Scholar]
- Rabbat, M.G.; Bavry, A.A.; Bhatt, D.L.; Ellis, S.G. Understanding and minimizing late thrombosis of drug-eluting stents. Cleve Clin. J. Med. 2007, 74, 129–136. [Google Scholar]
- Hou, R.; Wu, L.; Wang, J.; Yang, Z.; Tu, Q.; Zhang, X.; Huang, N. Surface-degradable drug-eluting stent with anticoagulation, antiproliferation, and endothelialization functions. Biomolecules 2019, 9, 69. [Google Scholar]
- Lu, J.; Yao, C.; Yang, L.; Webster, T.J. Decreased platelet adhesion and enhanced endothelial cell functions on nano and submicron-rough titanium stents. Tissue Eng. A 2012, 18, 1389–1398. [Google Scholar]
- Nagai, A.; Suzuki, Y.; Tsutsumi, Y.; Nozaki, K.; Wada, N.; Katayama, K.; Hanawa, T.; Yamashit, K. Anodic oxidation of a Co–Ni–Cr–Mo alloyand its inhibitory effect on platelet activation. J. Biomed. Mater. Res. B. Appl. Biomater. 2014, 102, 659–666. [Google Scholar]
- ASTM F-86. Standard practice for surface preparation and marking of metallic surgical implants. In Annual Book of ASTM Standards: Medical Devices and Services Philadelphia: American Society for Testing and Materials; ASTM F-86: Philadelphia, PA, USA, 1995. [Google Scholar]
- Demetrescu, I.; Luca, D.; Ionita, D.; Prodana, M. Evaluating environmental impact factors as heavy metals on behaviour of temporary teeth. Mol. Cryst. Liq. Cryst. 2010, 523, 73–81. [Google Scholar]
- Totea, G.; Ioniţǎ, D.; Demetrescu, I. ICP-MS determinations in sustaining corrosion data of 316 stainless steels in bioliquids. Sci. Bull. B Chem. Mater. Sci. UPB 2014, 76, 57–66. [Google Scholar]
- ASTM-F561. Annual Book of ASTM Standards: Medical Devices and Services. Philadelphia: American Society for Testing and Materials; ASTM-F561: Philadelphia, PA, USA, 2002; pp. 97–101. [Google Scholar]
- Kapnisis, K. Multi-scale mechanical investigation of stainless steel and cobalt chromium stents. J. Mech. Behav. Biomed. 2014, 40, 240–251. [Google Scholar]
- Wagner, M.; Klein, C.L.; Van Kooten, T.G.; Kirkpatrick, C.J. Mechanisms of cell activation by heavy metal ions. J. Biomed. Mater. Res. 1998, 42, 443–452. [Google Scholar]
- Lundin, M.; Hedberg, Y.; Jiang, T.; Herting, G.; Wang, X.; Thormann, E.; Blomberg, E.; Odnevall Wallinder, I. Adsorption and protein-induced metal release from chromium metal and stainless steel. J. Colloid. Interface Sci. 2012, 366, 155–164. [Google Scholar]
- Kocijan, A.; Conradi, M.; Schon, P.M. Austenitic and duplex stainless steels in simulated physiological solution characterized by electrochemical and X-ray photoelectron spectroscopy studies. J. Biomed. Mater. Res. B 2012, 100B, 799–807. [Google Scholar]
- Wilbur, S.; Abadin, H.; Fay, M.; Yu, D.; Tencza, B.; Ingerman, L.; Klotzbach, J.; James, S. Toxicological Profile for Chromium; Toxicological Profiles; Agency for Toxic Substances and Disease Registry (ATSDR): Atlanta, GA, USA, 2012.
- Santin, M.; Mikhalovska, L.; Lloyd, A.W.; Mikhalovsky, S.; Sigfrid, L.; Denyer, S.P.; Field, S.; Teer, D. In vitro host response assessment of biomaterials for cardiovascular stent manufacture. J. Mater. Sci. Mater. Med. 2004, 15, 473–477. [Google Scholar]















© 2020 by the authors. Licensee MDPI, Basel, Switzerland. This article is an open access article distributed under the terms and conditions of the Creative Commons Attribution (CC BY) license (http://creativecommons.org/licenses/by/4.0/).
Share and Cite
Pandelea-Dobrovicescu, G.-R.; Prodana, M.; Golgovici, F.; Ionita, D.; Sajin, M.; Demetrescu, I. Surface Morphology and Histopathological Aspects of Metallic Used Cardiovascular CoCr Stents. Metals 2020, 10, 1112. https://doi.org/10.3390/met10091112
Pandelea-Dobrovicescu G-R, Prodana M, Golgovici F, Ionita D, Sajin M, Demetrescu I. Surface Morphology and Histopathological Aspects of Metallic Used Cardiovascular CoCr Stents. Metals. 2020; 10(9):1112. https://doi.org/10.3390/met10091112
Chicago/Turabian StylePandelea-Dobrovicescu, George-Razvan, Mariana Prodana, Florentina Golgovici, Daniela Ionita, Maria Sajin, and Ioana Demetrescu. 2020. "Surface Morphology and Histopathological Aspects of Metallic Used Cardiovascular CoCr Stents" Metals 10, no. 9: 1112. https://doi.org/10.3390/met10091112
APA StylePandelea-Dobrovicescu, G.-R., Prodana, M., Golgovici, F., Ionita, D., Sajin, M., & Demetrescu, I. (2020). Surface Morphology and Histopathological Aspects of Metallic Used Cardiovascular CoCr Stents. Metals, 10(9), 1112. https://doi.org/10.3390/met10091112

