AKT and PERP Show Higher Expression in Precancerous than in Malignant Skin Neoplasms: Profiling in an Animal Model of Sequential Skin Carcinogenesis
Abstract
1. Introduction
2. Materials and Methods
2.1. Institutional Review Board Statement
2.2. Animals
2.3. Two-Stage Carcinogenesis Protocol
2.4. Histopathological Analysis
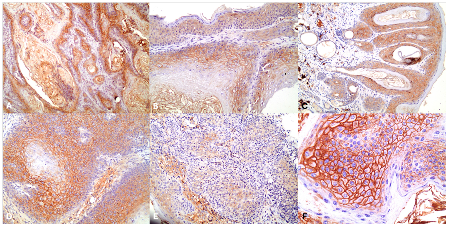
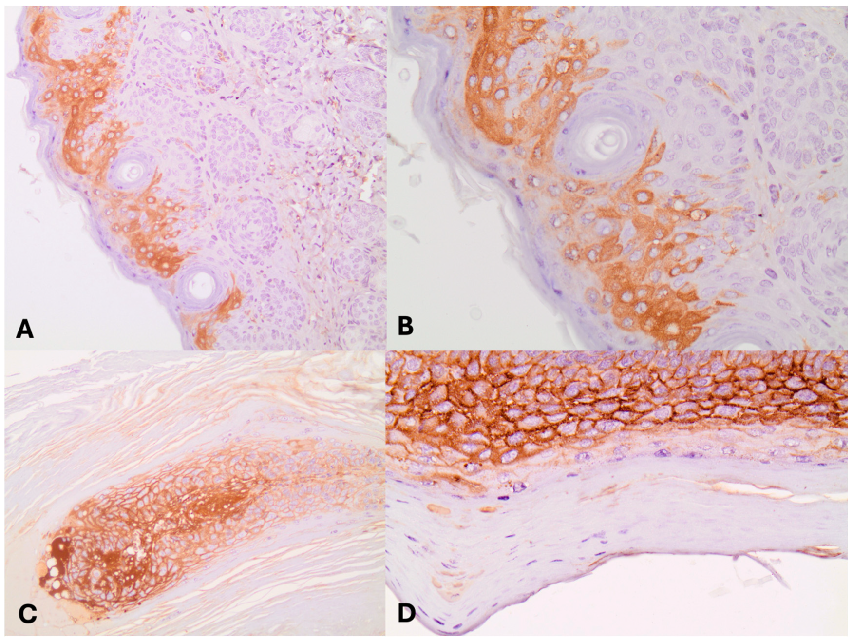
2.5. Immunohistochemical Analysis
2.6. Statistical Analysis
3. Results
4. Discussion
5. Conclusions
Author Contributions
Funding
Institutional Review Board Statement
Informed Consent Statement
Data Availability Statement
Conflicts of Interest
References
- Lomas, A.; Leonardi-Bee, J.; Bath-Hextall, F. A Systematic Review of Worldwide Incidence of Nonmelanoma Skin Cancer. Br. J. Dermatol. 2012, 166, 1069–1080. [Google Scholar] [CrossRef] [PubMed]
- De Vries, E.; Trakatelli, M.; Kalabalikis, D.; Ferrandiz, L.; Ruiz-de-Casas, A.; Moreno-Ramirez, D.; Sotiriadis, D.; Ioannides, D.; Aquilina, S.; Apap, C.; et al. Known and Potential New Risk Factors for Skin Cancer in European Populations: A Multicentre Case-Control Study: Risk Factors for Skin Cancer in European Populations. Br. J. Dermatol. 2012, 167, 1–13. [Google Scholar] [CrossRef] [PubMed]
- Apalla, Z.; Nashan, D.; Weller, R.B.; Castellsagué, X. Skin Cancer: Epidemiology, Disease Burden, Pathophysiology, Diagnosis, and Therapeutic Approaches. Dermatol. Ther. 2017, 7, 5–19. [Google Scholar] [CrossRef]
- Losquadro, W.D. Anatomy of the Skin and the Pathogenesis of Nonmelanoma Skin Cancer. Facial Plast. Surg. Clin. N. Am. 2017, 25, 283–289. [Google Scholar] [CrossRef] [PubMed]
- Caudill, J.; Thomas, J.E.; Burkhart, C.G. The Risk of Metastases from Squamous Cell Carcinoma of the Skin. Int. J. Dermatol. 2023, 62, 483–486. [Google Scholar] [CrossRef]
- Yapijakis, C.; Kalogera, S.; Papakosta, V.; Vassiliou, S. The Hamster Model of Sequential Oral Carcinogenesis: An Update. Vivo 2019, 33, 1751–1755. [Google Scholar] [CrossRef] [PubMed]
- Jung, G.W.; Metelitsa, A.I.; Dover, D.C.; Salopek, T.G. Trends in Incidence of Nonmelanoma Skin Cancers in Alberta, Canada, 1988–2007: Trends of Nonmelanoma Skin Cancers. Br. J. Dermatol. 2010, 163, 146–154. [Google Scholar] [CrossRef] [PubMed]
- Ramos, J.; Villa, J.; Ruiz, A.; Armstrong, R.; Matta, J. UV Dose Determines Key Characteristics of Nonmelanoma Skin Cancer. Cancer Epidemiol. Biomark. Prev. 2004, 13, 2006–2011. [Google Scholar] [CrossRef]
- Burton, K.A.; Ashack, K.A.; Khachemoune, A. Cutaneous Squamous Cell Carcinoma: A Review of High-Risk and Metastatic Disease. Am. J. Clin. Dermatol. 2016, 17, 491–508. [Google Scholar] [CrossRef]
- Yapijakis, C.; Gintoni, I.; Charalampidou, S.; Angelopoulou, A.; Papakosta, V.; Vassiliou, S.; Chrousos, G.P. Angiotensinogen, Angiotensin-Converting Enzyme, and Chymase Gene Polymorphisms as Biomarkers for Basal Cell Carcinoma Susceptibility. In GeNeDis 2022; Vlamos, P., Ed.; Advances in Experimental Medicine and Biology; Springer International Publishing: Cham, Switzerland, 2023; Volume 1423, pp. 175–180. ISBN 978-3-031-31977-8. [Google Scholar]
- Paolino, G.; Donati, M.; Didona, D.; Mercuri, S.; Cantisani, C. Histology of Non-Melanoma Skin Cancers: An Update. Biomedicines 2017, 5, 71. [Google Scholar] [CrossRef]
- Jhappan, C.; Noonan, F.P.; Merlino, G. Ultraviolet Radiation and Cutaneous Malignant Melanoma. Oncogene 2003, 22, 3099–3112. [Google Scholar] [CrossRef] [PubMed]
- Attardi, L.D.; Reczek, E.E.; Cosmas, C.; Demicco, E.G.; McCurrach, M.E.; Lowe, S.W.; Jacks, T. PERP, an Apoptosis-Associated Target of P53, Is a Novel Member of the PMP-22/Gas3 Family. Genes Dev. 2000, 14, 704–718. [Google Scholar] [CrossRef] [PubMed]
- Khan, I.A.; Yoo, B.H.; Masson, O.; Baron, S.; Corkery, D.; Dellaire, G.; Attardi, L.D.; Rosen, K.V. ErbB2-Dependent Downregulation of a pro-Apoptotic Protein Perp Is Required for Oncogenic Transformation of Breast Epithelial Cells. Oncogene 2016, 35, 5759–5769. [Google Scholar] [CrossRef] [PubMed]
- Kong, C.S.; Cao, H.; Kwok, S.; Nguyen, C.M.; Jordan, R.C.; Beaudry, V.G.; Attardi, L.D.; Le, Q.-T. Loss of the P53/P63 Target PERP Is an Early Event in Oral Carcinogenesis and Correlates with Higher Rate of Local Relapse. Oral Surg. Oral Med. Oral Pathol. Oral Radiol. 2013, 115, 95–103. [Google Scholar] [CrossRef]
- Zhai, T.; Muhanhali, D.; Jia, X.; Wu, Z.; Cai, Z.; Ling, Y. Identification of Gene Co-Expression Modules and Hub Genes Associated with Lymph Node Metastasis of Papillary Thyroid Cancer. Endocrine 2019, 66, 573–584. [Google Scholar] [CrossRef] [PubMed]
- Paraoan, L.; Gray, D.; Hiscott, P.; Ebrahimi, B.; Damato, B.; Grierson, I. Expression of P53-Induced Apoptosis Effector PERP in Primary Uveal Melanomas: Downregulation Is Associated with Aggressive Type. Exp. Eye Res. 2006, 83, 911–919. [Google Scholar] [CrossRef] [PubMed]
- Xu, D. Ets1 Is Required for P53 Transcriptional Activity in UV-Induced Apoptosis in Embryonic Stem Cells. EMBO J. 2002, 21, 4081–4093. [Google Scholar] [CrossRef] [PubMed]
- Ihrie, R.A.; Reczek, E.; Horner, J.S.; Khachatrian, L.; Sage, J.; Jacks, T.; Attardi, L.D. Perp Is a Mediator of P53-Dependent Apoptosis in Diverse Cell Types. Curr. Biol. 2003, 13, 1985–1990. [Google Scholar] [CrossRef]
- Kiseljak-Vassiliades, K.; Mills, T.S.; Zhang, Y.; Xu, M.; Lillehei, K.O.; Kleinschmidt-DeMasters, B.K.; Wierman, M.E. Elucidating the Role of the Desmosome Protein P53 Apoptosis Effector Related to PMP-22 in Growth Hormone Tumors. Endocrinology 2017, 158, 1450–1460. [Google Scholar] [CrossRef]
- Beaudry, V.G.; Ihrie, R.A.; Jacobs, S.B.R.; Nguyen, B.; Pathak, N.; Park, E.; Attardi, L.D. Loss of the Desmosomal Component Perp Impairs Wound Healing in vivo. Dermatol. Res. Pract. 2010, 2010, 759731. [Google Scholar] [CrossRef]
- Bellacosa, A.; De Feo, D.; Godwin, A.K.; Bell, D.W.; Cheng, J.Q.; Altomare, D.A.; Wan, M.; Dubeau, L.; Scambia, G.; Masciullo, V.; et al. Molecular Alterations of the AKT 2 Oncogene in Ovarian and Breast Carcinomas. Int. J. Cancer 1995, 64, 280–285. [Google Scholar] [CrossRef] [PubMed]
- Bellacosa, A.; Kumar, C.C.; Cristofano, A.D.; Testa, J.R. Activation of AKT Kinases in Cancer: Implications for Therapeutic Targeting. In Advances in Cancer Research; Elsevier: Amsterdam, The Netherlands, 2005; Volume 94, pp. 29–86. ISBN 978-0-12-006694-0. [Google Scholar]
- Zhao, G.-X.; Pan, H.; Ouyang, D.-Y.; He, X.-H. The Critical Molecular Interconnections in Regulating Apoptosis and Autophagy. Ann. Med. 2015, 47, 305–315. [Google Scholar] [CrossRef] [PubMed]
- Scheid, M.P.; Woodgett, J.R. Unravelling the Activation Mechanisms of Protein Kinase B/Akt. FEBS Lett. 2003, 546, 108–112. [Google Scholar] [CrossRef] [PubMed]
- Brazil, D.P.; Yang, Z.-Z.; Hemmings, B.A. Advances in Protein Kinase B Signalling: AKTion on Multiple Fronts. Trends Biochem. Sci. 2004, 29, 233–242. [Google Scholar] [CrossRef] [PubMed]
- Rodgers, S.J.; Ferguson, D.T.; Mitchell, C.A.; Ooms, L.M. Regulation of PI3K Effector Signalling in Cancer by the Phosphoinositide Phosphatases. Biosci. Rep. 2017, 37, BSR20160432. [Google Scholar] [CrossRef] [PubMed]
- Wang, Q.; Chen, X.; Hay, N. Akt as a Target for Cancer Therapy: More Is Not Always Better (Lessons from Studies in Mice). Br. J. Cancer 2017, 117, 159–163. [Google Scholar] [CrossRef] [PubMed]
- Chalhoub, N.; Baker, S.J. PTEN and the PI3-Kinase Pathway in Cancer. Annu. Rev. Pathol. Mech. Dis. 2009, 4, 127–150. [Google Scholar] [CrossRef] [PubMed]
- Hers, I.; Vincent, E.E.; Tavaré, J.M. Akt Signalling in Health and Disease. Cell. Signal. 2011, 23, 1515–1527. [Google Scholar] [CrossRef]
- Liu, P.; Cheng, H.; Roberts, T.M.; Zhao, J.J. Targeting the Phosphoinositide 3-Kinase Pathway in Cancer. Nat. Rev. Drug Discov. 2009, 8, 627–644. [Google Scholar] [CrossRef]
- Marques, M.R.; Horner, J.S.; Ihrie, R.A.; Bronson, R.T.; Attardi, L.D. Mice Lacking the P53/P63 Target Gene Perp Are Resistant to Papilloma Development. Cancer Res. 2005, 65, 6551–6556. [Google Scholar] [CrossRef][Green Version]
- Beaudry, V.G.; Jiang, D.; Dusek, R.L.; Park, E.J.; Knezevich, S.; Ridd, K.; Vogel, H.; Bastian, B.C.; Attardi, L.D. Loss of the P53/P63 Regulated Desmosomal Protein Perp Promotes Tumorigenesis. PLoS Genet. 2010, 6, e1001168. [Google Scholar] [CrossRef] [PubMed]
- Derka, S.; Vairaktaris, E.; Papakosta, V.; Vassiliou, S.; Acil, Y.; Vylliotis, A.; Spyridonidou, S.; Lazaris, A.C.; Mourouzis, C.; Kokkori, A.; et al. Cell proliferation and apoptosis culminate in early stages of oral oncogenesis. Oral Oncol. 2006, 42, 540–550. [Google Scholar] [CrossRef] [PubMed]


| Group | ||||||
|---|---|---|---|---|---|---|
| Control | A | B | ||||
| Ν | % | Ν | % | Ν | % | |
| Normal | 8 | 100.0 | 6 | 2.8 | 2 | 0.8 |
| Precancerous | 0 | 0.0 | 162 | 76.8 | 151 | 62.9 |
| Benign tumors | 0 | 0.0 | 34 | 16.1 | 79 | 32.9 |
| Malignant tumors | 0 | 0.0 | 9 | 4.3 | 8 | 3.3 |
| PERP | Akt | |||||||
|---|---|---|---|---|---|---|---|---|
| Control Group | Group A | Group Β | p-Value + (Group A vs. Group B) | Control Group | Group A | Group Β | p-Value + (Group A vs. Group B) | |
| Mice 1 | 0.0% | 61.9% | 36.4% | 0.0% | 42.9% | 36.4% | ||
| Mice 2 | 0.0% | 53.8% | 23.5% | 0.0% | 53.8% | 23.5% | ||
| Mice 3 | 0.0% | 56.3% | 60.0% | 0.0% | 25.0% | 0.0% | ||
| Mice 4 | 100.0% | 73.3% | 66.7% | 0.0% | 40.0% | 11.1% | ||
| Mice 5 | 0.0% | 50.0% | 72.0% | 0.0% | 22.7% | 32.0% | ||
| Mice 6 | 0.0% | 50.0% | 57.1% | 0.0% | 21.4% | 25.7% | ||
| Mice 7 | 0.0% | 68.8% | 33.3% | 0.0% | 31.3% | 26.7% | ||
| Mice 8 | 0.0% | 62.5% | 52.0% | 0.0% | 50.0% | 20.0% | ||
| Mice 9 | 37.5% | 75.0% | 12.5% | 25.0% | ||||
| Mice 10 | 52.9% | 66.7% | 29.4% | 8.3% | ||||
| Mice 11 | 88.9% | 75.0% | 22.2% | 12.5% | ||||
| Mice 12 | 55.6% | 58.3% | 16.7% | 16.7% | ||||
| Mice 13 | 40.0% | 87.5% | 20.0% | 37.5% | ||||
| Mice 14 | 50.0% | 68.8% | 25.0% | 37.5% | ||||
| Mice 15 | 57.1% | 75.0% | 14.3% | 33.3% | ||||
| Mice 16 | 44.4% | 64.3% | 22.2% | 28.6% | ||||
| Mean% (SD) | 12.5 (35.3) | 56.4 (12.8) | 60.7 (17.2) | 0.0 (0.0) | 28.1 (12.4) | 23.4 (11.2) | ||
| Median% (IQR) | 0.0 (0.0–0.0) | 54.7 (50–62.2) | 65.5 (54.6–73.5) | 0.431 | 0.0 (0.0–0.0) | 23.8 (20.7–35.6) | 25.4 (14.6–32.7) | 0.584 |
| p + (comparison with control group) | - | 0.003 | 0.003 | - | <0.001 | <0.001 | ||
| PERP Positive Cells | Akt Positive Cells | ||||
|---|---|---|---|---|---|
| N (%) | p-Value + | N (%) | p-Value + | p-Value * (PERP vs. Akt) | |
| Normal | 3/16 (18.8%) | 0/16 (0.0%) | 0.083 | ||
| Precancerous | 228/313 (72.8%) | 0.001 | 118/313 (37.7%) | 0.001 | 0.001 |
| Benign tumors | 30/113 (26.6%) | 0.503 | 1/113 (0.9%) | 0.706 | 0.001 |
| Malignant tumors | 2/17 (11.8%) | 0.656 | 2/17 (11.8%) | 0.485 | 0.654 |
| Total Sample | 263/459 (57.3%) | 121/459 (26.4%) | <0.001 | ||
Disclaimer/Publisher’s Note: The statements, opinions and data contained in all publications are solely those of the individual author(s) and contributor(s) and not of MDPI and/or the editor(s). MDPI and/or the editor(s) disclaim responsibility for any injury to people or property resulting from any ideas, methods, instructions or products referred to in the content. |
© 2024 by the authors. Licensee MDPI, Basel, Switzerland. This article is an open access article distributed under the terms and conditions of the Creative Commons Attribution (CC BY) license (https://creativecommons.org/licenses/by/4.0/).
Share and Cite
Vairaktari, E.; Schramm, A.; Vairaktari, G.; Derka, S.; Wilde, F.; Sakkas, A.; Yapijakis, C.; Kouri, M.; Balakas, A.; Lazaris, A.; et al. AKT and PERP Show Higher Expression in Precancerous than in Malignant Skin Neoplasms: Profiling in an Animal Model of Sequential Skin Carcinogenesis. J. Pers. Med. 2024, 14, 790. https://doi.org/10.3390/jpm14080790
Vairaktari E, Schramm A, Vairaktari G, Derka S, Wilde F, Sakkas A, Yapijakis C, Kouri M, Balakas A, Lazaris A, et al. AKT and PERP Show Higher Expression in Precancerous than in Malignant Skin Neoplasms: Profiling in an Animal Model of Sequential Skin Carcinogenesis. Journal of Personalized Medicine. 2024; 14(8):790. https://doi.org/10.3390/jpm14080790
Chicago/Turabian StyleVairaktari, Efstathia, Alexander Schramm, Georgia Vairaktari, Spyridoula Derka, Frank Wilde, Andreas Sakkas, Christos Yapijakis, Maria Kouri, Athanasios Balakas, Andreas Lazaris, and et al. 2024. "AKT and PERP Show Higher Expression in Precancerous than in Malignant Skin Neoplasms: Profiling in an Animal Model of Sequential Skin Carcinogenesis" Journal of Personalized Medicine 14, no. 8: 790. https://doi.org/10.3390/jpm14080790
APA StyleVairaktari, E., Schramm, A., Vairaktari, G., Derka, S., Wilde, F., Sakkas, A., Yapijakis, C., Kouri, M., Balakas, A., Lazaris, A., Ebeling, M., & Vassiliou, S. (2024). AKT and PERP Show Higher Expression in Precancerous than in Malignant Skin Neoplasms: Profiling in an Animal Model of Sequential Skin Carcinogenesis. Journal of Personalized Medicine, 14(8), 790. https://doi.org/10.3390/jpm14080790

