The Weight of Bariatric Surgery: Wernicke–Korsakoff Syndrome after Vertical Sleeve Gastrectomy—A Case Series
Abstract
1. Introduction
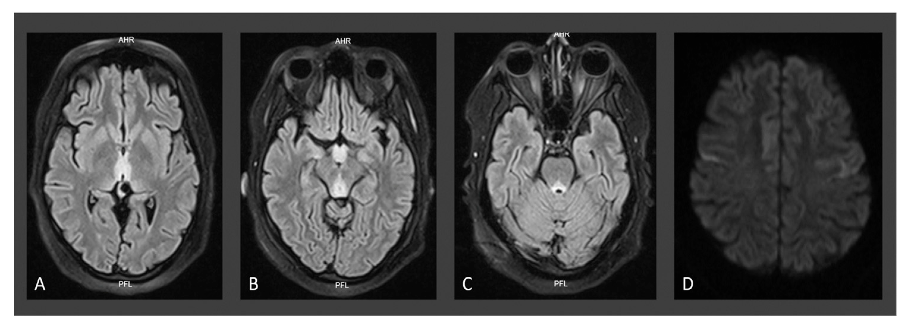
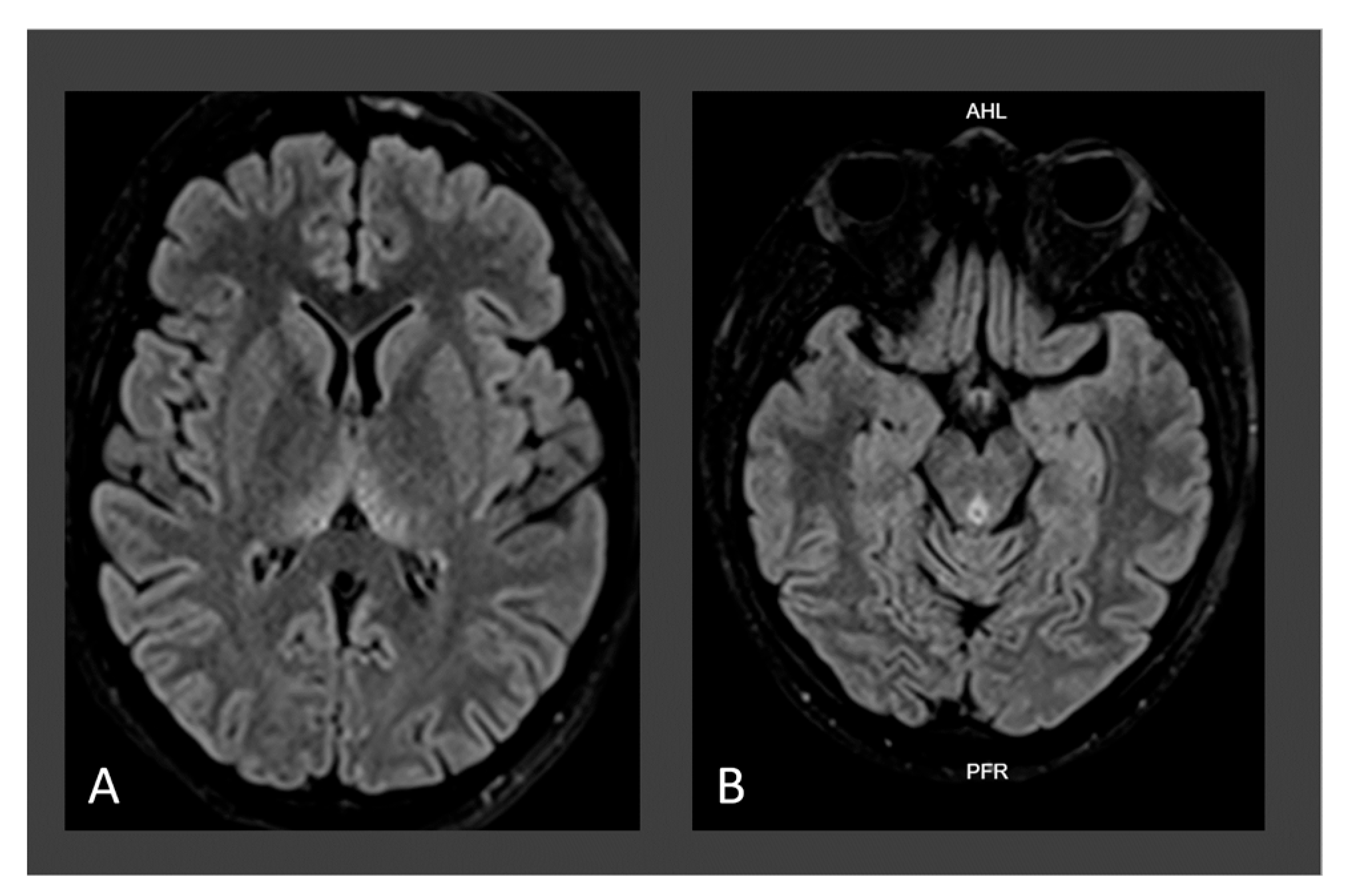
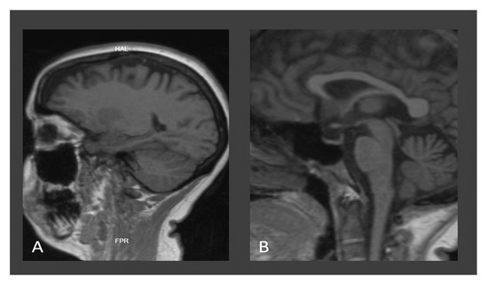
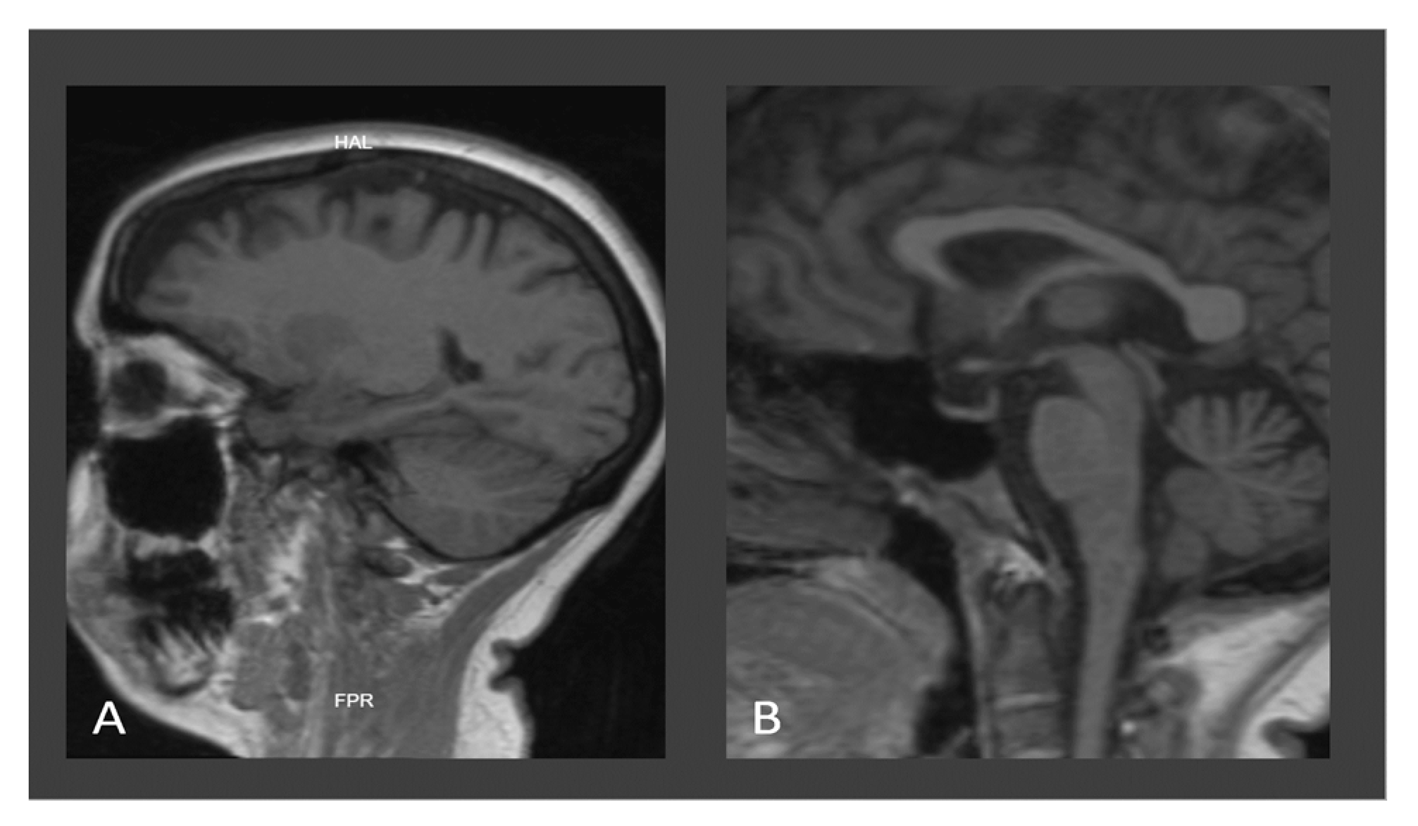
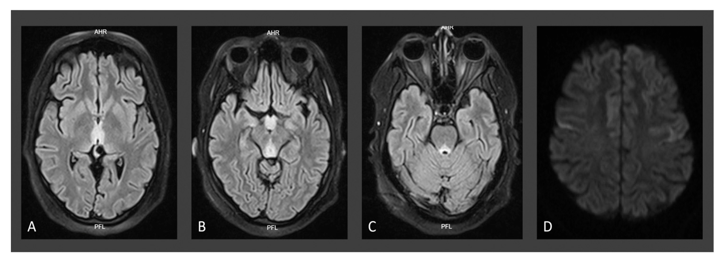
2. Case 1
3. Case 2
4. Case 3
5. Discussion
6. Conclusions
Author Contributions
Funding
Institutional Review Board Statement
Informed Consent Statement
Data Availability Statement
Acknowledgments
Conflicts of Interest
References
- Semba, R.D. The discovery of the vitamins. Int. J. Vitam. Nutr. Res. 2012, 82, 310–315. [Google Scholar] [CrossRef] [PubMed]
- Nebel, J.F.K. The Discovery of Vitamins: A History; Oxford University Press: Oxford, UK, 2018. [Google Scholar]
- Shoemaker, D.J. The Story of Vitamins: A History of the Quest to Understand and Fight Disease; Springer Nature: Berlin/Heidelberg, Germany, 2019. [Google Scholar]
- Uschner, W.O.; Noeske, J.; Tanner, M. Deficiency diseases from a global perspective. Bull. World Health Organ. 2009, 87, 146–152. [Google Scholar]
- McCormick, W.J. The conquest of beriberi. Lancet 1974, 1, 761–766. [Google Scholar]
- Klein, R.I.; Mitchell, S.L. Rickets in the United States: A century of progress. Pediatrics 2004, 114, 1491–1502. [Google Scholar]
- Jiang, Z.; Pu, R.; Li, N.; Chen, C.; Li, J.; Dai, W.; Yang, G. High prevalence of vitamin D deficiency in Asia: A systematic review and meta-analysis. Crit. Rev. Food Sci. Nutr. 2023, 63, 3602–3611. [Google Scholar] [CrossRef] [PubMed]
- Pérez-López, F.R.; Pasupuleti, V.; Mezones-Holguin, E.; Benites-Zapata, V.A.; Thota, P.; Deshpande, A.; Hernandez, A.V. Effect of vitamin D supplementation during pregnancy on maternal and neonatal outcomes: A systematic review and meta-analysis of randomized controlled trials. Fertil. Steril. 2015, 103, 1278–1288. [Google Scholar] [CrossRef] [PubMed]
- Cai, H.; Wang, X.; Li, J.; Wang, S.; Wang, L. Diuretics and micronutrients: A review of the evidence. Nutrients 2021, 13, 2753. [Google Scholar]
- Gómez-Martínez, L.; García-Rodríguez, C.; García-Hernández, A.; Soriano-Gómez, J.; López-Mármol, A.; Rodríguez-Rodríguez, J.M. Micronutrient deficiencies in patients receiving parenteral nutrition: A systematic review and meta-analysis. Nutrients 2019, 11, 2973. [Google Scholar]
- Deng, Z.; Zhang, Z.; Li, J.; Li, S.; Wang, L. Micronutrient deficiencies in patients with chronic kidney disease taking diuretics: A systematic review and meta-analysis. Nutrients 2022, 14, 527. [Google Scholar]
- Csendes; Araya, J.; Diaz, E.; de Valdes, O.D.; Smok, G.; Lopez, F. Dietary and nutritional aspects of bariatric surgery: A review of the literature. Obes. Surg. 2013, 23, 1506–1513. [Google Scholar]
- Phelps, S.; Whitlock, K.D.; Johnson, C.D.; Kahan, S.; Peterson, K.M.; Miller, K.K. The association between bariatric surgery and thiamine deficiency: A systematic review and meta-analysis. Obes. Surg. 2015, 25, 980–986. [Google Scholar]
- Oliveira; Ribeiro, A.B.; Silva, A.A.; Cardoso, M.A.; Silva, A.P.; Moura, A.A. Prevalence of thiamine deficiency after Roux-en-Y gastric bypass: A systematic review and meta-analysis. Obes. Surg. 2020, 30, 190–200. [Google Scholar]
- Tang, L.; Alsulaim, H.A.; Canner, J.K.; Prokopowicz, G.P.; Steele, K.E. Prevalence and predictors of postoperative thiamine deficiency after vertical sleeve gastrectomy. Surg. Obes. Relat. Dis. 2018, 14, 943–950. [Google Scholar] [CrossRef] [PubMed]
- Behnagh, K.; Eghbali, M.; Abdolmaleki, F.; Abbasi, M.; Mottaghi, A. Pre-and Post-Surgical Prevalence of Thiamine Deficiency in Patients Undergoing Bariatric Surgery: A Systematic Review and Meta-Analysis. Obes. Surg. 2024, 34, 653–665. [Google Scholar] [CrossRef] [PubMed]
- Guillerme, S.; Delarue, J.; Thereaux, J. Clinical pathways in the management of the obese: Pre- and postoperative aspects. J. Visc. Surg. (JVS) 2023, 160, S15–S21. [Google Scholar] [CrossRef] [PubMed]
- Hsu, J.L.; Farrell, T. Updates in Bariatric Surgery. Am. J. Surg. 2024, 90, 925–933. [Google Scholar] [CrossRef]
- Verras, G.I.; Mulita, F.; Parmar, C.; Drakos, N.; Bouchagier, K.; Kaplanis, C.; Skroubis, G. Outcomes at 10-Year Follow-Up after Roux-en-Y Gastric Bypass, Biliopancreatic Diversion, and Sleeve Gastrectomy. J. Clin. Med. 2023, 12, 4973. [Google Scholar] [CrossRef] [PubMed]
- Najah, H.; Duffillot, C.; Gronnier, C.; Lescarret, B.; Saubusse, E.; Collet, D.; Gatta-Cherifi, B.; Montsaingeon-Henry, M. Guideline compliance in bariatric surgery: A French nationwide study. Surg. Obes. Relat. Dis. 2022, 18, 620–627. [Google Scholar] [CrossRef] [PubMed]
- Spetz, K.; Hult, M.; Olbers, T.; Bonn, S.; Svedjeholm, S.; Lagerros, Y.T.; Andersson, E. A smartphone application to improve adherence to vitamin and mineral supplementation after bariatric surgery. Obesity 2022, 30, 1973–1982. [Google Scholar] [CrossRef]
- Nguyen, N.T.; Varela, J.E. Bariatric surgery for obesity and metabolic disorders: State of the art. Nat. Rev. Gastroenterol. Hepatol. 2017, 14, 160–169. [Google Scholar] [CrossRef]
- Vecino-Ortiz, A.I.; Arroyo-Ariza, D. A tax on sugar sweetened beverages in Colombia: Estimating the impact on overweight and obesity prevalence across socio economic levels. Soc. Sci. Med. 2018, 209, 111–116. [Google Scholar] [CrossRef] [PubMed]
- Jimenez-Mora, M.A.; Nieves-Barreto, L.D.; Montaño-Rodríguez, A.; Betancourt-Villamizar, E.C.; Mendivil, C.O. Association of Overweight, Obesity and Abdominal Obesity with Socioeconomic Status and Educational Level in Colombia. Diabetes Metab. Syndr. Obes. 2020, 13, 1887–1898. [Google Scholar] [CrossRef] [PubMed]
- Fruh, S.M. Obesity: Risk factors; complications, and strategies for sustainable long-term weight management. J. Am. Assoc. Nurse Pract. 2017, 29 (Suppl. S1), S3–S14. [Google Scholar] [CrossRef] [PubMed]
- Maciejewski, M.L.; Arterburn, D.; Van Scoyoc, L.; Smith, V.A.; Yancy, W.S.; Weidenbacher, H.J.; Livingston, E.H.; Olsen, M.K. Bariatric surgery and long-term durability of weight loss. JAMA Surg. 2016, 151, 1046–1055. [Google Scholar] [CrossRef] [PubMed]
- Nguyen, N.T.; Slone, J.A.; Nguyen, X.M.T.; Hartman, J.S.; Hoyt, D.B. A prospective randomized trial of laparoscopic gastric bypass versus laparoscopic adjustable gastric banding for the treatment of morbid obesity: Outcomes, quality of life, and costs. Ann. Surg. 2009, 250, 631–641. [Google Scholar] [CrossRef] [PubMed]
- Ballantyne, G.H. Measuring outcomes following bariatric surgery: Weight loss parameters, improvement in co-morbid conditions, change in quality of life and patient satisfaction. Obes. Surg. 2003, 13, 954–964. [Google Scholar] [CrossRef]
- Wilhelm, S.M.; Young, J.; Kale-Pradhan, P.B. Effect of bariatric surgery on hypertension: A meta-analysis. Ann. Pharmacother. 2014, 48, 674–682. [Google Scholar] [CrossRef] [PubMed]
- Kuno, T.; Tanimoto, E.; Morita, S.; Shimada, Y.J. Effects of bariatric surgery on cardiovascular disease: A concise update of recent advances. Front. Cardiovasc. Med. 2019, 10, 64. [Google Scholar] [CrossRef] [PubMed]
- Boido, A.; Ceriani, V.; Cetta, F.; Lombardi, F.; Pontiroli, A.E. Bariatric surgery and prevention of cardiovascular events and mortality in morbid obesity: Mechanisms of action and choice of surgery. Nutr. Metab. Cardiovasc. Dis. 2015, 25, 437–443. [Google Scholar] [CrossRef]
- Khorgami, Z.; Shoar, S.; Saber, A.A.; Howard, C.A.; Danaei, G.; Sclabas, G.M. Outcomes of bariatric surgery versus medical management for type 2 diabetes mellitus: A meta-analysis of randomized controlled trials. Obes. Surg. 2019, 29, 964–974. [Google Scholar] [CrossRef]
- Wu, T.; Wong, S.K.H.; Law, B.T.T.; Grieve, E.; Wu, O.; Tong, D.K.H.; Wong, C.K.H. Five-year effectiveness of bariatric surgery on disease remission, weight loss, and changes of metabolic parameters in obese patients with type 2 diabetes: A population-based propensity score-matched cohort study. Diabetes/Metab. Res. Rev. 2020, 36, e3236. [Google Scholar] [CrossRef] [PubMed]
- Inabnet, W.B., III; Winegar, D.A.; Sherif, B.; Sarr, M.G. Early outcomes of bariatric surgery in patients with metabolic syndrome: An analysis of the bariatric outcomes longitudinal database. J. Am. Coll. Surg. 2012, 214, 550–556. [Google Scholar] [CrossRef] [PubMed]
- Möller, F.; Hedberg, J.; Skogar, M.; Sundbom, M. Long-term follow-up 15 years after duodenal switch or gastric bypass for super obesity: A randomized controlled trial. Obes. Surg. 2023, 22, 2981–2990. [Google Scholar] [CrossRef] [PubMed]
- Li, M.; Song, J.R.; Zhao, J.; Wang, C.F.; Zhang, C.S.; Wang, H.D.; Dong, J. The effects of bariatric surgery on cognition in patients with obesity: A systematic review and meta-analysis. Surg. Obes. Relat. Dis. Off. J. Am. Soc. Bariatr. Surg. 2022, 18, 1323–1338. [Google Scholar] [CrossRef] [PubMed]
- Ota, Y.; Capizzano, A.A.; Moritani, T.; Naganawa, S.; Kurokawa, R.; Srinivasan, A. Comprehensive review of Wernicke encephalopathy: Pathophysiology, clinical symptoms and imaging findings. Jpn. J. Radiol. 2020, 38, 809–820. [Google Scholar] [CrossRef] [PubMed]
- Piché, M.E.; Tchernof, A.; Després, J.P. Obesity phenotypes, diabetes, and cardiovascular diseases. Circ. Res. 2020, 126, 1477–1500. [Google Scholar] [CrossRef] [PubMed]
- Alabduljabbar, K.; Bonanos, E.; Miras, A.D.; le Roux, C.W. Mechanisms of Action of Bariatric Surgery on Body Weight Regulation. Gastroenterol. Clin. 2023, 52, 691–705. [Google Scholar] [CrossRef] [PubMed]
- Lefere, S.; Onghena, L.; Vanlander, A.; Van Nieuwenhove, Y.; Devisscher, L.; Geerts, A. Bariatric surgery and the liver—Mechanisms, benefits, and risks. Obes. Rev. 2021, 22, e13294. [Google Scholar] [CrossRef]
- Lupoli, R.; Lembo, E.; Saldalamacchia, G.; Avola, C.K.; Angrisani, L.; Capaldo, B. Bariatric surgery and long-term nutritional issues. World J. Diabetes 2017, 8, 464. [Google Scholar] [CrossRef]
- Elder, K.A.; Wolfe, B.M. Bariatric surgery: A review of procedures and outcomes. Gastroenterology 2007, 132, 2253–2271. [Google Scholar] [CrossRef]
- Dagan, S.S.; Goldenshluger, A.; Globus, I.; Schweiger, C.; Kessler, Y.; Kowen Sandbank, G.; Sinai, T. Nutritional recommendations for adult bariatric surgery patients: Clinical practice. Adv. Nutr. 2017, 8, 382–394. [Google Scholar] [CrossRef] [PubMed]
- Pellegrini, M.; Rahimi, F.; Boschetti, S.; Devecchi, A.; De Francesco, A.; Mancino, M.V.; Bo, S. Pre-operative micronutrient deficiencies in patients with severe obesity candidates for bariatric surgery. J. Endocrinol. Investig. 2021, 44, 1413–1423. [Google Scholar] [CrossRef] [PubMed]
- Patel, R.; Saumoy, M. Treatment of Micronutrient Deficiencies Pre and Post Bariatric Surgery. Curr. Treat. Options Gastroenterol. 2021, 19, 169–182. [Google Scholar] [CrossRef]
- Aasheim, T.; Björkman, S.; Søvik, T.T.; Engström, M.; Hanvold, S.E.; Mala, T.; Bøhmer, T. Vitamin status after bariatric surgery: A randomized study of gastric bypass and duodenal switch. Am. J. Clin. Nutr. 2009, 90, 15–22. [Google Scholar] [CrossRef] [PubMed]
- Zhang, J.; Liu, Y. Theoretical study of the catalytic mechanism of glyoxylate carboligase and its mutant V51E. Theor. Chem. Acc. 2017, 136, 1–15. [Google Scholar] [CrossRef]
- Moreland, J.L. The role of transketolase in cellular metabolism. Am. J. Clin. Nutr. 1980, 33, 1024–1031. [Google Scholar]
- Utter, M.F.; Scrutton, M.C. The regulation of phosphoenolpyruvate carboxylase by magnesium and other divalent metal ions. J. Biol. Chem. 1967, 242, 2470–2475. [Google Scholar]
- Chou, A.; Clomburg, J.M.; Qian, S.; Gonzalez, R. 2-Hydroxyacyl-CoA lyase catalyzes acyloin condensation for one-carbon bioconversion. Nat. Chem. Biol. 2019, 15, 900–906. [Google Scholar] [CrossRef]
- Foulon, V.; Antonenkov, V.D.; Croes, K.; Waelkens, E.; Mannaerts, G.P.; Van Veldhoven, P.P.; Casteels, M. Purification, molecular cloning, and expression of 2-hydroxyphytanoyl-CoA lyase, a peroxisomal thiamine pyrophosphate-dependent enzyme that catalyzes the carbon–carbon bond cleavage during α-oxidation of 3-methyl-branched fatty acids. Proc. Natl. Acad. Sci. USA 1999, 96, 10039–10044. [Google Scholar] [CrossRef]
- Brosnan, J.T.; Brosnan, M.E. Branched-chain amino acids: Metabolism and the brain. J. Nutr. 2006, 136 (Suppl. S1), 273S–277S. [Google Scholar] [CrossRef]
- Nakata, K.; Kashiwagi, T.; Kunishima, N.; Naitow, H.; Matsuura, Y.; Miyano, H.; Iwata, S. Ambient temperature structure of phosphoketolase from Bifidobacterium longum determined by serial femtosecond X-ray crystallography. Acta Crystallogr. Sect. D Struct. Biol. 2023, 79, 290–303. [Google Scholar] [CrossRef]
- Chipman, D.; Barak, Z.E.; Schloss, J.V. Biosynthesis of 2-aceto-2-hydroxy acids: Acetolactate synthases and acetohydroxyacid synthases. Biochim. Biophys. Acta (BBA)-Protein Struct. Mol. Enzymol. 1998, 1385, 401–419. [Google Scholar] [CrossRef]
- Paulikat, M.; Wechsler, C.; Tittmann, K.; Mata, R.A. Theoretical studies of the electronic absorption spectra of thiamin diphosphate in pyruvate decarboxylase. Biochemistry 2017, 56, 1854–1864. [Google Scholar] [CrossRef] [PubMed]
- Mkrtchyan, G.; Graf, A.; Bettendorff, L.; Bunik, V. Cellular thiamine status is coupled to function of mitochondrial 2-oxoglutarate dehydrogenase. Neurochem. Int. 2016, 101, 66–76. [Google Scholar] [CrossRef]
- Graupner, M.; Xu, H.; White, R. Identification of the gene encoding sulfopyruvate decarboxylase, an enzyme involved in biosynthesis of coenzyme M. J. Bacteriol. 2000, 182, 4862–4867. [Google Scholar] [CrossRef] [PubMed]
- Chen, P.Y.T.; Aman, H.; Can, M.; Ragsdale, S.W.; Drennan, C.L. Binding site for coenzyme A revealed in the structure of pyruvate: Ferredoxin oxidoreductase from Moorella thermoacetica. Proc. Natl. Acad. Sci. USA 2018, 115, 3846–3851. [Google Scholar] [CrossRef] [PubMed]
- Asakawa, T.; Wada, H.; Yamano, T. Enzymatic conversion of phenylpyruvate to phenylacetate. Biochim. Biophys. Acta (BBA)-Gen. Subj. 1968, 170, 375–391. [Google Scholar] [CrossRef]
- Begley, T.P.; Downs, D.M.; Ealick, S.E.; McLafferty, F.W.; Van Loon, A.P.; Taylor, S.; Xi, J. Thiamin biosynthesis in prokaryotes. Arch. Microbiol. 1999, 171, 293–300. [Google Scholar] [CrossRef] [PubMed]
- Kritikos, G.; Parr, J.M.; Verbrugghe, A. The role of thiamine and effects of deficiency in dogs and cats. Vet. Sci. 2017, 4, 59. [Google Scholar] [CrossRef]
- Tylicki, A.; Łotowski, Z.; Siemieniuk, M.; Ratkiewicz, A. Thiamine and selected thiamine antivitamins—Biological activity and methods of synthesis. Biosci. Rep. 2018, 38, BSR20171148. [Google Scholar] [CrossRef]
- Gangolf, M.; Czerniecki, J.; Radermecker, M.; Detry, O.; Nisolle, M.; Jouan, C.; Bettendorff, L. Thiamine status in humans and content of phosphorylated thiamine derivatives in biopsies and cultured cells. PLoS ONE 2010, 5, e13616. [Google Scholar] [CrossRef]
- Bijarnia-Mahay, S.; Saini, A.G.; Mahay, H.S. Thiamine, transporters, and epilepsy. In Vitamins and Minerals in Neurological Disorders; Academic Press: Cambridge, MA, USA, 2023; pp. 275–293. [Google Scholar]
- Said, M.; Balamurugan, K.; Subramanian, V.S.; Marchant, J.S. Expression and functional contribution of hTHTR-2 in thiamin absorption in human intestine. Am. J. Physiol.-Gastrointest. Liver Physiol. 2004, 286, G491–G498. [Google Scholar] [CrossRef] [PubMed]
- Mrowicka, M.; Mrowicki, J.; Dragan, G.; Majsterek, I. The importance of thiamine (vitamin B1) in humans. Biosci. Rep. 2023, 43, BSR20230374. [Google Scholar] [CrossRef] [PubMed]
- Tallaksen, M.E.; Sande, A.; Bøhmer, T.; Bell, H.; Karlsen, J. Kinetics of thiamin and thiamin phosphate esters in human blood, plasma and urine after 50 mg intravenously or orally. Eur. J. Clin. Pharmacol. 1993, 44, 73–78. [Google Scholar] [CrossRef] [PubMed]
- Bunik, V.I.; Tylicki, A.; Lukashev, N.V. Thiamin diphosphate-dependent enzymes: From enzymology to metabolic regulation, drug design and disease models. FEBS J. 2013, 280, 6412–6442. [Google Scholar] [CrossRef]
- Strumilo, S. Often ignored facts about the control of the 2-oxoglutarate dehydrogenase complex. BAMBED 2005, 33, 284–287. [Google Scholar] [CrossRef]
- Zhao, J.; Zhong, C.J. A reviev on research progress of transketolase. Neurosci. Bull. 2009, 25, 94–99. [Google Scholar] [CrossRef]
- Bunik, V.I.; Strumilo, S. Regulation of catalysis within cellular network: Metabolic and signaling implications of the 2-oxoglutarate oxidative decarboxylation. Curr. Chem. Biol. 2009, 3, 279–290. [Google Scholar]
- Bettendorff, L.; Wins, P. Thiamin diphosphate in biological chemistry: New aspects of thiamin metabolism, especially triphosphate derivatives acting other than as cofactors. FEBS J. 2009, 276, 2917–2925. [Google Scholar] [CrossRef]
- Lukienko, P.I.; Mel, N.G.; Zverinskii, I.V.; Zabrodskaya, S.V. Antioxidant properties of thiamine. Bull. Exp. Biol. Med. 2000, 130, 874–876. [Google Scholar] [CrossRef]
- Wang, C.; Liang, J.; Zhang, C.; Bi, Y.; Shi, X.; Shi, Q. Effect of ascorbic acid and thiamine supplementation at different concentrations on lead toxicity in liver. Ann. Occup. Hyg. 2007, 51, 563–569. [Google Scholar] [PubMed]
- Whitfield, C.; Bourassa, M.W.; Adamolekun, B.; Bergeron, G.; Bettendorff, L.; Brown, K.H.; Combs, G.F. Thiamine deficiency disorders: Diagnosis; prevalence, and a roadmap for global control programs. Ann. N. Y. Acad. Sci. 2018, 1430, 3–43. [Google Scholar] [CrossRef] [PubMed]
- Dhir, S.; Tarasenko, M.; Napoli, E.; Giulivi, C. Neurological; psychiatric, and biochemical aspects of thiamine deficiency in children and adults. Front. Psychiatry 2019, 10, 207. [Google Scholar] [CrossRef] [PubMed]
- Sechi, G.; Serra, A. Wernicke’s encephalopathy: New clinical settings and recent advances in diagnosis and management. Lancet Neurol. 2007, 6, 442–455. [Google Scholar] [CrossRef] [PubMed]
- Kröll, D.; Laimer, M.; Borbély, Y.M.; Laederach, K.; Candinas, D.; Nett, P.C. Wernicke encephalopathy: A future problem even after sleeve gastrectomy? A systematic literature review. Obes. Surg. 2016, 26, 205–212. [Google Scholar] [CrossRef] [PubMed]
- Gomes, F.; Bergeron, G.; Bourassa, M.W.; Fischer, P.R. Thiamine deficiency unrelated to alcohol consumption in high-income countries: A literature review. Ann. N. Y. Acad. Sci. 2021, 1498, 46–56. [Google Scholar] [CrossRef] [PubMed]
- Sinha, S.; Kataria, A.; Kolla, B.P.; Thusius, N.; Loukianova, L.L. Wernicke encephalopathy—Clinical pearls. Mayo Clin. Proc. 2019, 94, 1065–1072. [Google Scholar] [CrossRef] [PubMed]
- Williams, R.D.; Mason, H.L.; Wilder, R.M.; Smith, B.F. Observations on induced thiamine (vitamin B1) deficiency in man. Arch. Intern. Med. 1940, 66, 785–799. [Google Scholar] [CrossRef]
- Prakash, S. Gastrointestinal beriberi: A forme fruste of Wernicke’s encephalopathy? Case Rep. 2018, 2018, bcr-2018. [Google Scholar] [CrossRef]
- Kohnke, S.; Meek, C.L. Don’t seek, don’t find: The diagnostic challenge of Wernicke’s encephalopathy. Ann. Clin. Biochem. 2021, 58, 38–46. [Google Scholar] [CrossRef]
- Habas, E.; Farfar, K.; Errayes, N.; Rayani, A.; Elzouki, A.N. Wernicke Encephalopathy: An Updated Narrative Review. Saudi J. Med. Med. Sci. 2023, 11, 193–200. [Google Scholar] [PubMed]
- Chandrakumar, A.; Bhardwaj, A.; Jong, G.W.T. Review of thiamine deficiency disorders: Wernicke encephalopathy and Korsakoff psychosis. J. Basic Clin. Physiol. Pharmacol. 2019, 30, 153–162. [Google Scholar] [CrossRef] [PubMed]
- Marrs, C.; Lonsdale, D. Hiding in plain sight: Modern thiamine deficiency. Cells 2021, 10, 2595. [Google Scholar] [CrossRef] [PubMed]
- Harper, G.; Giles, M.; Finlay-Jones, R. Clinical signs in the Wernicke-Korsakoff complex: A retrospective analysis of 131 cases diagnosed at necropsy. J. Neurol. Neurosurg. Psychiatry 1986, 49, 341–345. [Google Scholar] [CrossRef] [PubMed]
- Caine, D.; Halliday, G.M.; Kril, J.J.; Harper, C. Operational criteria for the classification of chronic alcoholics: Identification of Wernicke’s encephalopathy. J. Neurol. Neurosurg. Psychiatry 1997, 62, 51–60. [Google Scholar] [CrossRef] [PubMed]
- Arts, N.J.; Walvoort, S.J.; Kessels, R.P. Korsakoff’s syndrome: A critical review. Neuropsychiatr. Dis. Treat. 2017, 13, 2875–2890. [Google Scholar] [CrossRef] [PubMed]
- Sharp, S.; Wilson, M.P.; Nordstrom, K. Psychiatric Emergencies for Clinicians: Emergency Department Management of Wernicke-Korsakoff Syndrome. J. Emerg. Med. 2016, 51, 401–404. [Google Scholar] [CrossRef] [PubMed]
- Lewis, A.; de Jersey, S.; Hopkins, G.; Hickman, I.; Osland, E. Does bariatric surgery cause vitamin A, B1, C or E deficiency? A systematic review. Obes. Surg. 2018, 28, 3640–3657. [Google Scholar] [CrossRef]
- Roust, R.; DiBaise, J.K. Nutrient deficiencies prior to bariatric surgery. Curr. Opin. Clin. Nutr. Metab. Care 2017, 20, 138–144. [Google Scholar] [CrossRef]
- Kerns, J.C.; Arundel, C.; Chawla, L.S. Thiamin deficiency in people with obesity. Adv. Nutr. 2015, 6, 147–153. [Google Scholar] [CrossRef]
- Edwards, A.; Tu-Maung, N.; Cheng, K.; Wang, B.; Baeumner, A.J.; Kraft, C.E. Thiamine assays—Advances, challenges, and caveats. ChemistryOpen 2017, 6, 178–191. [Google Scholar] [CrossRef]
- Jung, Y.C.; Chanraud, S.; Sullivan, E.V. Neuroimaging of Wernicke’s encephalopathy and Korsakoff’s syndrome. Neuropsychol. Rev. 2012, 22, 170–180. [Google Scholar] [CrossRef]
- Wijnia, J.W. A Clinician’s View of Wernicke-Korsakoff Syndrome. J. Clin. Med. 2022, 11, 6755. [Google Scholar] [CrossRef]
- Johnson, J.M.; Fox, V. Beyond thiamine: Treatment for cognitive impairment in Korsakoff’s syndrome. Psychosomatics 2018, 59, 311–317. [Google Scholar] [CrossRef]
- Nishimoto, A.; Usery, J.; Winton, J.C.; Twilla, J. High-dose parenteral thiamine in treatment of Wernicke’s encephalopathy: Case series and review of the literature. In Vivo 2017, 31, 121–124. [Google Scholar] [CrossRef]
- Ciobârcă, M.; Cătoi, A.F.; Copăescu, C.; Miere, D.; Crişan, G. Nutritional status prior to bariatric surgery for severe obesity: A review. Med. Pharm. Rep. 2022, 95, 24–30. [Google Scholar]
- Lorenzo, D.; Antoniou, S.A.; Batterham, R.L.; Busetto, L.; Godoroja, D.; Iossa, A.; Carrano, F.M.; Agresta, F.; Alarçon, I.; Azran, C.; et al. Clinical practice guidelines of the European Association for Endoscopic Surgery (EAES) on bariatric surgery: Update 2020 endorsed by IFSO-EC, EASO and ESPCOP. Surg. Endosc. 2020, 34, 2332–2358. [Google Scholar] [CrossRef]
- Mechanick, J.I.; Apovian, C.; Brethauer, S.; Garvey, W.T.; Joffe, A.M.; Kim, J.; Kushner, R.F.; Lindquist, R.; Pessah-Pollack, R.; Seger, J.; et al. Clinical practice guidelines for the perioperative nutrition, metabolic, and nonsurgical support of patients undergoing bariatric procedures—2019 update: Cosponsored by american association of clinical endocrinologists. Endocr. Pract. 2019, 25, 1346–1359. [Google Scholar] [CrossRef]
- Van Wissen, J.; Bakker, N.; Doodeman, H.J.; Jansma, E.P.; Bonjer, H.J.; Houdijk, A.P. Preoperative Methods to Reduce Liver Volume in Bariatric Surgery: A Systematic Review. Obes. Surg. 2016, 26, 251–256. [Google Scholar] [CrossRef]
- Gómez, L.E.L.; Báez, G.A.S.; Ramirez Leal, M.P.; Domínguez-Alvarado, G.A. Bariatric and metabolic surgery—In the health benefits plan in Colombia. Obes. Surg. 2023, 33, 364–365. [Google Scholar] [CrossRef]
- Oudman, E.; Wijnia, J.W.; van Dam, M.; Biter, L.U.; Postma, A. Preventing Wernicke encephalopathy after bariatric surgery. Obes. Surg. 2018, 28, 2060–2068. [Google Scholar] [CrossRef]
- Bettini, S.; Belligoli, A.; Fabris, R.; Busetto, L. Diet approach before and after bariatric surgery. Rev. Endocr. Metab. Disord. 2020, 21, 297–306. [Google Scholar] [CrossRef]
- Martínez-Ortega, J.; Olveira, G.; Pereira-Cunill, J.L.; Arraiza-Irigoyen, C.; García-Almeida, J.M.; Rocamora, J.A.I.; Molina-Puerta, M.J.; Soria, J.B.M.; Rabat-Restrepo, J.M.; Rebollo-Pérez, M.I.; et al. Recommendations Based on Evidence by the Andalusian Group for Nutrition Reflection and Investigation (GARIN) for the Pre- and Postoperative Management of Patients Undergoing Obesity Surgery. Nutrients 2020, 12, 2002. [Google Scholar] [CrossRef]
- O’Kane, M.; Parretti, H.M.; Pinkney, J.; Welbourn, R.; Hughes, C.A.; Mok, J.; Walker, N.; Thomas, D.; Devin, J.; Coulman, K.D.; et al. British Obesity and Metabolic Surgery Society Guidelines on perioperative and postoperative biochemical monitoring and micronutrient replacement for patients undergoing bariatric surgery-2020 update. Obes. Rev. Off. J. Int. Assoc. Study Obes. 2020, 21, e13087. [Google Scholar] [CrossRef]
- Armada, F.; Muntaner, C.; Navarro, V. Health and social security reforms in Latin America: The convergence of the World Health Organization, the World Bank, and Transnacional Corporations. Int. J. Health Serv. 2001, 31, 729–768. [Google Scholar] [CrossRef]
- Londoño, J.L.; Nieto, L.E. Factores socio económicos y aseguramiento en salud en el área urbana de Colombia. Rev. Fac. Nac. Salud Pública 2001, 19, 25–40. [Google Scholar]
- World Health Organization. A Conceptual Framework for Action on the Social Determinants of Health; World Health Organization: Geneva, Switzerland, 2010. [Google Scholar]
- Lillie-Blanton, M.; Hoffman, C. The role of health insurance coverage in reducing racial/ethnic disparities in health care. Health Aff. 2005, 24, 398–408. [Google Scholar] [CrossRef]
- Houghton, N.; Bascolo, E.; Del Riego, A. Socioeconomic inequalities in access barriers to seeking health services in four Latin American countries. Rev. Panam. Salud Publica 2020, 4, e11. [Google Scholar]



| Characteristics | Patient 1 | Patient 2 | Patient 3 |
|---|---|---|---|
| Sex | Female | Female | Female |
| Age | 30 | 22 | 28 |
| Profession | Hairdresser | Lawyer | None |
| Comorbidities | Amenorrhea | No | No |
| History of alcoholism | No | No | No |
| History of psychiatric disorders | No | No | Personality disorder |
| Baseline body mass index (kg/m2) | 43 | 43.3 | 34.9 |
| Clinical Features | Initial Findings | On Discharge from the Hospital | >1 Year after Diagnosis | ||||||
|---|---|---|---|---|---|---|---|---|---|
| Case 1 | Case 2 | Case 3 | Case 1 | Case 2 | Case 3 | Case 1 | Case 2 | Case 3 | |
| Encephalopathy | ✓ | ✓ | ✓ | --- | --- | --- | --- | --- | --- |
| Anterograde amnesia | Severe | Severe | Severe | Severe | Severe | Severe | Slight | Severe | Severe |
| Ophthalmoplegia | ✓ | --- | --- | --- | --- | --- | --- | --- | --- |
| Nystagmus | Multidirectional | Vertical | Multidirectional | Multidirectional | Vertical | Multidirectional | Multidirectional | Vertical | Multidirectional |
| Weakness | UEs 3/5 | UEs 5/5 | UEs 5/5 | UEs 3/5 | UEs 5/5 | UEs 5/5 | UEs 5/5 | UEs 5/5 | MMSS 5/5 MMII 4/5 proximal, 3/5 distal |
| LEs 2/5 | LEs 1/5 | LEs 2/5 | ILE 2/5 | LEs 1/5 | LEs 3/5 | LEs 4/5 | LEs 4+/5 | ||
| Positive sensory symptoms | Allodynia | Allodynia | --- | --- | Allodynia | --- | --- | Continuous urgent pain | --- |
| Negative sensory symptoms | --- | --- | Appalesthesia | --- | --- | Appalesthesia | --- | --- | --- |
| Reduced reflexes | Areflexia | Areflexia | Areflexia | Areflexia | Areflexia | Areflexia | Areflexia | Areflexia | Areflexia |
| Other symptoms | --- | Significant hearing loss, vertigo, and tinnitus | Tinnitus | --- | Significant hearing loss, vertigo, and tinnitus | --- | --- | Moderate hearing loss, vertigo, and tinnitus | --- |
| Clinical Information | Patient 1 | Patient 2 | Patient 3 |
|---|---|---|---|
| Treatment | Thiamine, 500 mg diluted in 100 mL of dextrose 5% in water to be administered intravenously every 8 h over 30 min for three days, followed by 250 mg every 8 h for five days, then 100 mg orally every 8 h for 15 days, and finally continue 100 mg P.O. every 24 h for one year. | Thiamine, 500 mg diluted in 100 mL of 5% in water, to be administered intravenously every 8 h in 30 min for two weeks and continue 100 mg P.O. every day for one year. | Thiamine 500 mg diluted in 100 mL of 0.9% sodium chloride solution to be given IV every 8 h for 30 min for five days, followed by 300 mg every 3 h for two months and then indefinitely. |
| Neuroimaging for W.D. | Typical | Typical | Typical |
| Serum thiamine levels by high-performance liquid chromatography DV: 2.8–8.5 | 19 (12 September 2021, on day nine of thiamine treatment) | 28 | 3.6 |
| Nerve conduction studies | Sensory–motor polyneuropathy with myelin and axonal involvement of moderate to severe intensity in all four extremities. | Sensory–motor polyneuropathy with severe myelin and axonal involvement of the lower limbs. | Sensory–motor polyneuropathy with severe myelin and axonal involvement of the lower limbs. |
| CASE 1 | CASE 2 | CASE 3 | |||||||
|---|---|---|---|---|---|---|---|---|---|
| TEST | PD | PER | PT | PD | PER | PT | PD | PER | PT |
| HVLT-A | 16 | 25 | 44–45 | 11 | 5 | 34–37 | 18 | 40 | 48–49 |
| HVLT-B | 7 | 55 | 52–55 | 0 | 0 | 0 | 0 | 0 | 0 |
| TMT-A | 34 | 95 | 61 | 31 | 95 | 61 | 60 | 65 | 48–49 |
| TMT-B | 134 | 60 | 46–47 | 0 | 0 | 0 | 140 | 55 | 45 |
| STROOP P | 107 | 80 | 59 | 0 | 0 | 0 | 102 | 80 | 59 |
| STROOP C | 77 | 85 | 60–62 | 60 | 55 | 52 | 72 | 80 | 58–59 |
| STROOP P-C | 50 | 90 | 63–67 | 0 | 0 | 0 | 36 | 60 | 52 |
| FVS-S | 19 | 75 | 57–58 | 22 | 90 | 63–66 | 17 | 60 | 53–54 |
| FAS-F | 14 | 80 | 60–63 | 14 | 80 | 60–63 | 12 | 70 | 55–56 |
| FAS-A | 11 | 55 | 51–52 | 16 | 80 | 60–63 | 6 | 15 | 40–41 |
| FAS-S | 9 | 45 | 48–49 | 12 | 70 | 55–56 | 12 | 70 | 55–56 |
| BVRT | 60 | >95 | 65–68 | 60 | >95 | 65–68 | 60 | >95 | 65–68 |
| SDMT | 62 | >95 | 69–77 | 58 | 95 | 68 | 27 | 50 | 48–49 |
| RCFT-A | 36 | 85 | 60 | 36 | 85 | 60 | 30 | 45 | 52 |
| RCFT-B | 28 | 90 | 64–67 | 12 | 40 | 46–47 | 8 | 20 | 40–42 |
| Symptom or Sign | As Evidenced by One or More of the Following |
|---|---|
| Dietary deficiencies | Undernutrition (body mass index < 2 S.D. below normal) A history of grossly impaired dietary intake An abnormal thiamine status |
| Oculomotor abnormalities | Ophthalmoplegia Nystagmus Gaze palsy |
| Cerebellar dysfunction | Unsteadiness or ataxia Abnormalities of past pointing Dysdiadokokinesia Impaired heel-to-shin test |
| Either an altered mental state or mild memory impairment | Disorientation in two of three fields: Confusion An abnormal digit span test Comatose Or
|
Disclaimer/Publisher’s Note: The statements, opinions and data contained in all publications are solely those of the individual author(s) and contributor(s) and not of MDPI and/or the editor(s). MDPI and/or the editor(s) disclaim responsibility for any injury to people or property resulting from any ideas, methods, instructions or products referred to in the content. |
© 2024 by the authors. Licensee MDPI, Basel, Switzerland. This article is an open access article distributed under the terms and conditions of the Creative Commons Attribution (CC BY) license (https://creativecommons.org/licenses/by/4.0/).
Share and Cite
Gutiérrez-Rey, M.; Castellar-Visbal, L.; Acevedo-Vergara, K.; Vargas-Manotas, J.; Rivera-Porras, D.; Londoño-Juliao, G.; Castillo-Guerrero, B.; Perdomo-Jiménez, M.-C.; Bermúdez, V. The Weight of Bariatric Surgery: Wernicke–Korsakoff Syndrome after Vertical Sleeve Gastrectomy—A Case Series. J. Pers. Med. 2024, 14, 638. https://doi.org/10.3390/jpm14060638
Gutiérrez-Rey M, Castellar-Visbal L, Acevedo-Vergara K, Vargas-Manotas J, Rivera-Porras D, Londoño-Juliao G, Castillo-Guerrero B, Perdomo-Jiménez M-C, Bermúdez V. The Weight of Bariatric Surgery: Wernicke–Korsakoff Syndrome after Vertical Sleeve Gastrectomy—A Case Series. Journal of Personalized Medicine. 2024; 14(6):638. https://doi.org/10.3390/jpm14060638
Chicago/Turabian StyleGutiérrez-Rey, Melissa, Lily Castellar-Visbal, Kaleb Acevedo-Vergara, José Vargas-Manotas, Diego Rivera-Porras, Gloria Londoño-Juliao, Brenda Castillo-Guerrero, María-Camila Perdomo-Jiménez, and Valmore Bermúdez. 2024. "The Weight of Bariatric Surgery: Wernicke–Korsakoff Syndrome after Vertical Sleeve Gastrectomy—A Case Series" Journal of Personalized Medicine 14, no. 6: 638. https://doi.org/10.3390/jpm14060638
APA StyleGutiérrez-Rey, M., Castellar-Visbal, L., Acevedo-Vergara, K., Vargas-Manotas, J., Rivera-Porras, D., Londoño-Juliao, G., Castillo-Guerrero, B., Perdomo-Jiménez, M.-C., & Bermúdez, V. (2024). The Weight of Bariatric Surgery: Wernicke–Korsakoff Syndrome after Vertical Sleeve Gastrectomy—A Case Series. Journal of Personalized Medicine, 14(6), 638. https://doi.org/10.3390/jpm14060638

