Proposed Radiographic Parameters to Optimize Clinical Outcomes in Trapezio-Metacarpal Prosthesis Placement Using CT Imaging, with 1-Year Follow-Up
Abstract
1. Introduction
2. Materials and Methods
2.1. Study Design
2.2. Prosthesis Design
2.3. Surgical Technique
2.4. Postoperative Management and Follow-Up
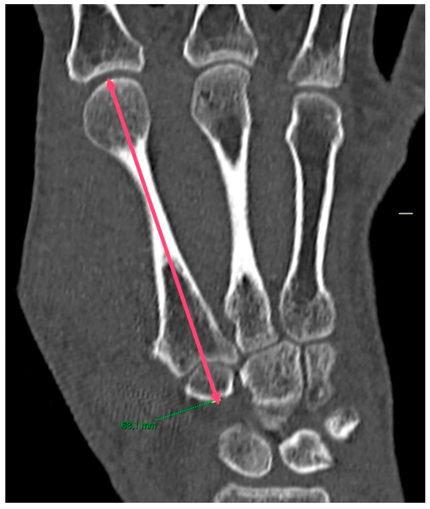
2.5. Imaging Analysis
2.6. Statistical Analysis
3. Results
3.1. CT Results
3.2. Correlation with Clinical Results
4. Discussion
Author Contributions
Funding
Institutional Review Board Statement
Informed Consent Statement
Data Availability Statement
Conflicts of Interest
References
- Becker, S.J.M.M.A.J. Current concepts in the treatment of thumb carpometacarpal joint arthritis. J. Hand Surg. Am. 2017, 42, 849–859. [Google Scholar] [CrossRef] [PubMed]
- Eltorai, A.E.M.; Han, A. Current trends in the management of trapeziometacarpal arthritis. Orthop. Rev. 2017, 9, 7195. [Google Scholar] [CrossRef] [PubMed]
- Tchurukdichian, A.; Guillier, D.; Moris, V.; See, L.A.; Macheboeuf, Y. Results of 110 IVORY® prostheses for trapeziometacarpal osteoarthritis with a minimum follow-up of 10 years. J. Hand Surg. (Eur. Vol.) 2020, 45, 458–464. [Google Scholar] [CrossRef] [PubMed]
- Dias, R.; Chandrasenan, J.; Rajaratnam, V.; Burke, F.D. Basal thumb arthritis. Postgrad. Med. J. 2007, 83, 40–43. [Google Scholar] [CrossRef] [PubMed]
- Herren, D.B.; Marks, M.; Neumeister, S.; Schindele, S. Low complication rate and high implant survival at 2 years after Touch©©® trapeziometacarpal joint arthroplasty. J. Hand Surg. (Eur. Vol.) 2023, 48, 877–883. [Google Scholar] [CrossRef] [PubMed]
- Tchurukdichian, A.; Gerenton, B.; Moris, V.; See, L.A.; Stivala, A.; Guillier, D. Outcomes of Double-Mobility Prosthesis in Trapeziometacarpal Joint Arthritis with a Minimal 3 Years of Follow-Up: An Advantage for Implant Stability. Hand (N. Y.) 2021, 16, 368–374. [Google Scholar] [CrossRef] [PubMed]
- Martins, A.; Charbonnel, S.; Lecomte, F.; Athlani, L. The Moovis® implant for trapeziometacarpal osteoarthritis: Results after 2 to 6 years. J. Hand Surg. (Eur. Vol.) 2020, 45, 477–482. [Google Scholar] [CrossRef] [PubMed]
- Lerebours, A.; Marin, F.; Bouvier, S.; Egles, C.; Rassineux, A.; Masquelet, A.C. Trends in Trapeziometacarpal Implant Design: A Systematic Survey Based on Patents and Administrative Databases. J. Hand Surg. 2020, 45, 223–238. [Google Scholar] [CrossRef]
- Ledoux, P. M1/M2 ratio for radiological follow-up of trapeziometacarpal surgery. Hand Surg. Rehabil. 2017, 36, 146–147. [Google Scholar] [CrossRef]
- Van Vliet, A.; Léon, M.; Rattier, S.; Haddad, B.; David, E. New radiographic monitoring indices for total trapeziometacarpal prostheses. Hand Surg. Rehabil. 2023, 42, 310–317. [Google Scholar] [CrossRef]
- Jager, T.; Barbary, S.; Dap, F.; Dautel, G. Analyse de la douleur postopératoire et des résultats fonctionnels précoces dans le traitement de la rhizarthrose. Étude prospective comparative de 74 patientes trapézectomie-interposition vs. prothèse MAIA(®) [Evaluation of postoperative pain and early functional results in the treatment of carpometacarpal joint arthritis. Comparative prospective study of trapeziectomy vs. MAIA(®) prosthesis in 74 female patients]. Chir. Main. 2013, 32, 55–62. (In French) [Google Scholar]
- Sánchez-Crespo, M.R.; de la Red-Gallego, M.A.; Ayala-Gutiérrez, H.; Couceiro-Otero, J.; Rodríguez-Fernández, J.; Del Canto-Alvarez, F.J. Initial survival of the Isis® total trapeziometacarpal prosthesis with conical trunk threaded cups. Rev. Esp. Cir. Ortop. Traumatol. (Engl. Ed.) 2021, 65, 417–424. [Google Scholar] [CrossRef]
- Duché, R.; Trabelsi, A. The concept of first metacarpal M1-M2 arch. New interest in trapeziometacarpal prostheses. Hand Surg. Rehabil. 2022, 41, 163–170. [Google Scholar] [CrossRef]
- Goubau, J.F.; Goubau, L.; Goorens, C.K.; van Hoonacker, P.; Kerckhove, D.; Vanmierlo, B.; Berghs, B. De Quervain Tenosynovitis Following Trapeziometacarpal Ball-and-Socket Joint Replacement. J. Wrist Surg. 2015, 4, 35–42. [Google Scholar] [CrossRef] [PubMed]
- Athlani, L.; Motte, D.; Bergere, M.; Mottet, J.; Beaulieu, J.Y.; Moissenet, F. Assessment of trapezial prosthetic cup migration: A biomechanical study. Hand Surg. Rehabil. 2021, 40, 754–759. [Google Scholar] [CrossRef] [PubMed]
- Bruyère Garnier, K.; Dumas, R.; Rumelhart, C.; Comtet, J.J. Comparaison de l’ancrage primaire de cupules trapézométacarpiennes par tests mécaniques [Comparison of primary anchorage of trapeziometacarpal cups by mechanical tests]. Chir. Main 2001, 20, 55–62. [Google Scholar] [CrossRef] [PubMed]
- Toffoli, A.; Teissier, J. MAÏA Trapeziometacarpal Joint Arthroplasty: Clinical and Radiological Outcomes of 80 Patients with More than 6 Years of Follow-Up. J. Hand Surg. Am. 2017, 42, e1–e838. [Google Scholar] [CrossRef] [PubMed]
- Andrzejewski, A.; Ledoux, P. Maïa® trapeziometacarpal joint arthroplasty: Survival and clinical outcomes at 5 years’ follow-up. Hand Surg. Rehabil. 2019, 38, 169–173. [Google Scholar] [CrossRef] [PubMed]
- Duerinckx, J.; Caekebeke, P. Trapezium anatomy as a radiographic reference for optimal cup orientation in total trapeziometacarpal joint arthroplasty. J. Hand Surg. (Eur. Vol.) 2016, 41, 939–943. [Google Scholar] [CrossRef] [PubMed]







| N | Average | Standard Deviation | |
|---|---|---|---|
| W | 17 | ||
| M | 13 | ||
| AGE | - | 59.2 | 10.8 |
| Right side affected | 18 | ||
| Left side affected | 12 |
| Parameter | Average | Standard Deviation |
|---|---|---|
| PreOP trapezium height | 11.0 mm | ±2.8 mm |
| PostOP trapezium height | 10.1 mm | ±1.7 mm |
| PreOP M1 height | 54.9 mm | ±4.5 mm |
| PostOP M1 height | 57.9 mm | ±3.9 mm |
| PostOP M2 height | 74.0 mm | ±5.2 mm |
| PreOP M1-M2 ratio | 0.74 | 0.06 |
| PostOP M1-M2 ratio | 0.78 | 0.02 |
| Difference between Pre and PostOP M1-M2 ratio | 0.04 | 0.04 |
| M1 height difference PreOP and PostOP | 2.9 mm | ±3.2 mm |
| Angle between the prosthesis axis and the M1 axis | 2.8° | ±1.3° |
| Metacarpal index | 11.3 | ±3.3 |
| Trapezium index | 4.5 | ±0.1 |
| Angle between the cup distal surface and the trapezium | 2.0° | ±3.7° |
| Distance between the center of the trapezium and the center of the cup | 2.2 mm | ±1.3 mm |
| Parameter | Average | Standard Deviation |
|---|---|---|
| PreOP VAS | 7.4 | ±1.3 |
| PostOP VAS at 1 month | 5.2 | ±0.8 |
| PostOP VAS at 2 months | 2.1 | ±0.5 |
| PostOP VAS at 6 months | 0.5 | ±1.0 |
| PostOP VASat 1 year | 0.5 | ±0.3 |
| PreOP QuickDASH | 72.3 | ±15.1 |
| QuickDASH at 1 month | 45.8 | ±5.5 |
| QuickDASH at 3 months | 10.5 | ±14.8 |
| QuickDASH at 6 months | 1.8 | ±4.3 |
| QuickDASH at 1 year | 1.9 | ±1.8 |
| PreOP Kapandji score | 6 | ±0.8 |
| Kapandji score at 1 month | 7.7 | ±1.1 |
| Kapandji score at 3 months | 8.1 | ±0.3 |
| Kapandji score at 6 months | 9.8 | ±0.4 |
| Kapandji score at 1 year | 9.8 | ±0.3 |
Disclaimer/Publisher’s Note: The statements, opinions and data contained in all publications are solely those of the individual author(s) and contributor(s) and not of MDPI and/or the editor(s). MDPI and/or the editor(s) disclaim responsibility for any injury to people or property resulting from any ideas, methods, instructions or products referred to in the content. |
© 2024 by the authors. Licensee MDPI, Basel, Switzerland. This article is an open access article distributed under the terms and conditions of the Creative Commons Attribution (CC BY) license (https://creativecommons.org/licenses/by/4.0/).
Share and Cite
Piccirilli, E.; Primavera, M.; Salvati, C.; Oliva, F.; Tarantino, U. Proposed Radiographic Parameters to Optimize Clinical Outcomes in Trapezio-Metacarpal Prosthesis Placement Using CT Imaging, with 1-Year Follow-Up. J. Pers. Med. 2024, 14, 585. https://doi.org/10.3390/jpm14060585
Piccirilli E, Primavera M, Salvati C, Oliva F, Tarantino U. Proposed Radiographic Parameters to Optimize Clinical Outcomes in Trapezio-Metacarpal Prosthesis Placement Using CT Imaging, with 1-Year Follow-Up. Journal of Personalized Medicine. 2024; 14(6):585. https://doi.org/10.3390/jpm14060585
Chicago/Turabian StylePiccirilli, Eleonora, Matteo Primavera, Chiara Salvati, Francesco Oliva, and Umberto Tarantino. 2024. "Proposed Radiographic Parameters to Optimize Clinical Outcomes in Trapezio-Metacarpal Prosthesis Placement Using CT Imaging, with 1-Year Follow-Up" Journal of Personalized Medicine 14, no. 6: 585. https://doi.org/10.3390/jpm14060585
APA StylePiccirilli, E., Primavera, M., Salvati, C., Oliva, F., & Tarantino, U. (2024). Proposed Radiographic Parameters to Optimize Clinical Outcomes in Trapezio-Metacarpal Prosthesis Placement Using CT Imaging, with 1-Year Follow-Up. Journal of Personalized Medicine, 14(6), 585. https://doi.org/10.3390/jpm14060585

