Evaluation of Immunohistochemical Biomarkers in Diabetic Wistar Rats with Periodontal Disease
Abstract
1. Introduction
2. Materials and Methods
2.1. Substances
2.2. Animals
2.3. Diabetes Mellitus and Periodontal Disease Induction
2.4. Treatment Protocol
2.5. Immunohistochemistry
2.6. Statistical Analysis
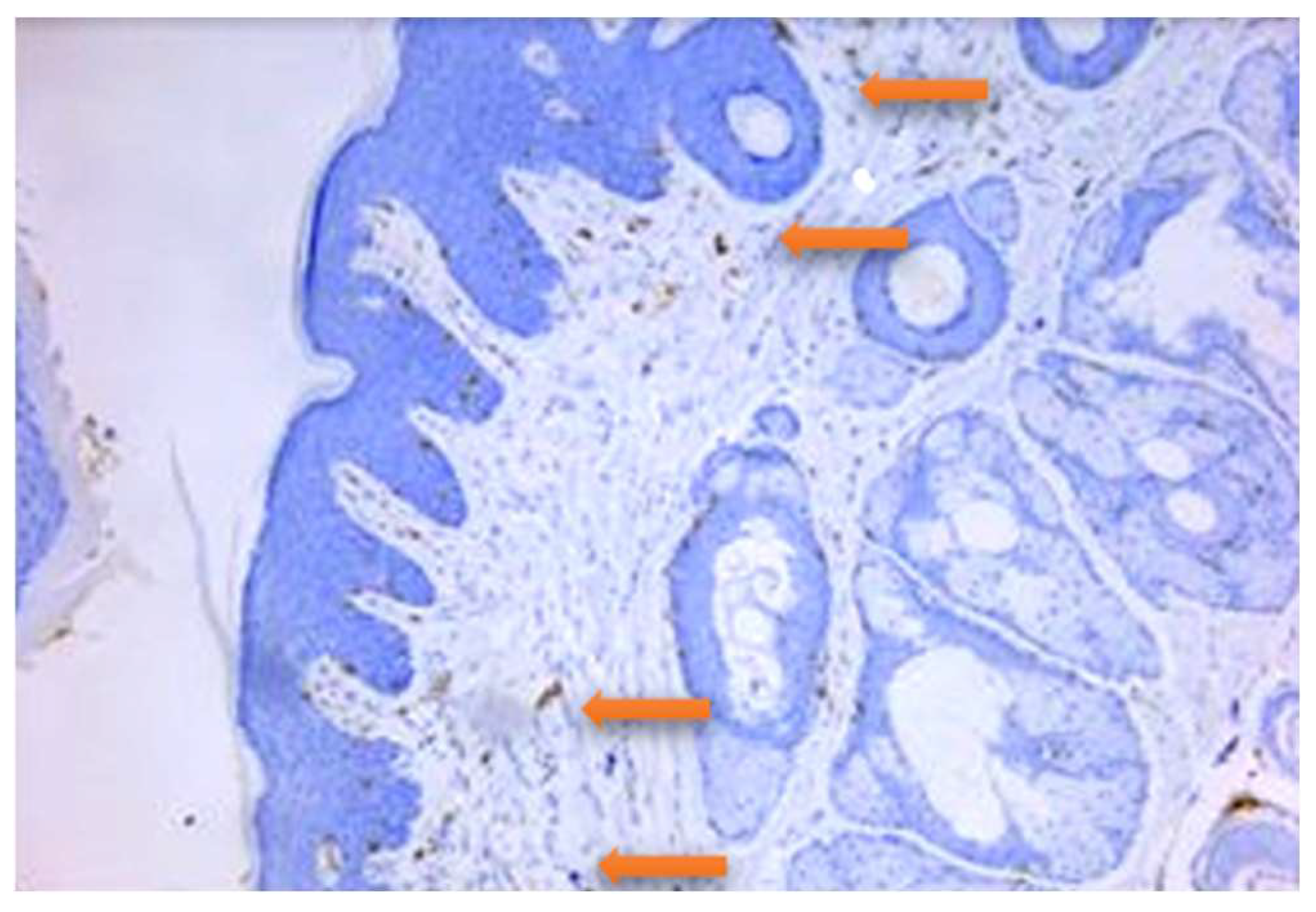
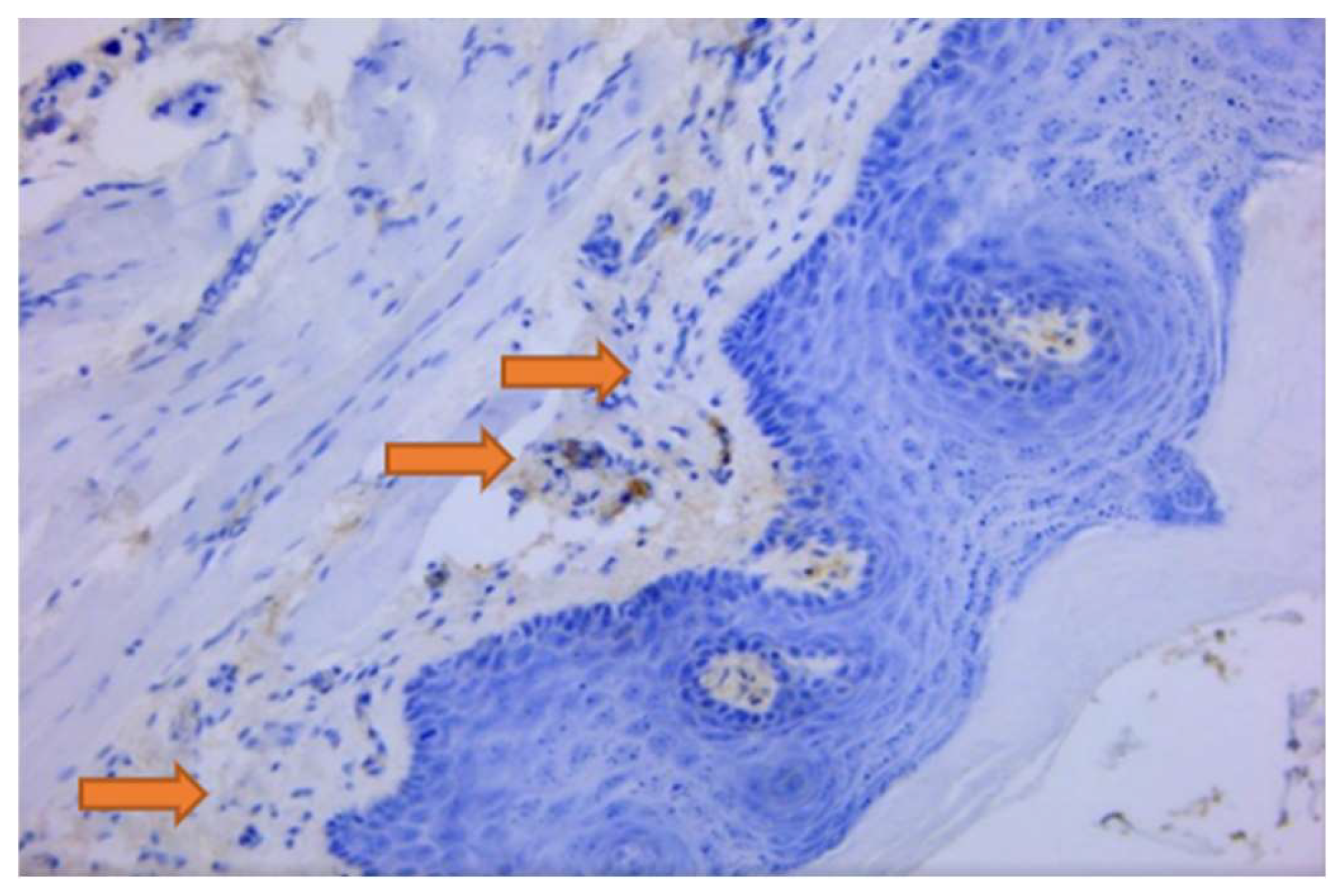
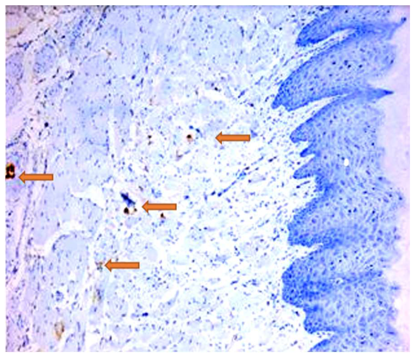
3. Results
4. Discussion
5. Conclusions
Author Contributions
Funding
Institutional Review Board Statement
Informed Consent Statement
Data Availability Statement
Acknowledgments
Conflicts of Interest
References
- Bascones-Martinez, A.; Matesanz-Perez, P.; Escribano-Bermejo, M.; Gonzalez-Moles, M.A.; Bascones-Ilundain, J.; Meurman, J.H. Periodontal disease and diabetes: Review of the literature. Med. Oral Patol. Oral Cir. Bucal 2011, 16, e722–e729. [Google Scholar] [CrossRef] [PubMed]
- Mealey, B.L.; Oates, T.W. Diabetes Mellitus and Periodontal Diseases. J Periodontol. 2006, 77, 1289–1303. [Google Scholar] [CrossRef]
- Brem, H.; Tomic-Canic, M. Cellular and molecular basis of wound healing in diabetes. J. Clin. Investig. 2007, 117, 1219–1222. [Google Scholar] [CrossRef] [PubMed]
- Iova, G.; Babes, A.; Ciavoi, G.; Todor, L.; Scrobota, I. The relationship between diabetes mellitus and periodontal health status. Med. Evol. 2020, 26, 339–344. [Google Scholar]
- Cai, Z.; Du, S.; Zhao, N.; Huang, N.; Yang, K.; Qi, L. Periodontitis promotes the progression of diabetes mellitus by enhancing autophagy. Heliyon 2024, 10, e24366. [Google Scholar] [CrossRef] [PubMed]
- Tsalamandris, S.; Antonopoulos, A.S.; Oikonomou, E.; Papamikroulis, G.A.; Vogiatzi, G.; Papaioannou, S.; Deftereos, S.; Tousoulis, D. The Role of Inflammation in Diabetes: Current Concepts and Future Perspectives. Eur. Cardiol. 2019, 14, 50–59. [Google Scholar] [CrossRef]
- Martínez-García, M.; Hernández-Lemus, E. Periodontal Inflammation and Systemic Diseases: An Overview. Front. Physiol. 2021, 12, 709438. [Google Scholar] [CrossRef]
- Taubman, M.A.; Kawai, T. Involvement of T-lymphocytes in periodontal disease and in direct and indirect induction of bone resorption. Crit. Rev. Oral Biol. Med. 2001, 12, 125–135. [Google Scholar] [CrossRef]
- Figueredo, C.M.; Lira-Junior, R.; Love, R.M. T and B Cells in Periodontal Disease: New Functions in A Complex Scenario. Int. J. Mol. Sci. 2019, 20, 3949. [Google Scholar] [CrossRef]
- Abdulkareem, A.A.; Al-Taweel, F.B.; Al-Sharqi, A.J.B.; Gul, S.S.; Sha, A.; Chapple, I.L.C. Current concepts in the pathogenesis of periodontitis: From symbiosis to dysbiosis. J. Oral Microbiol. 2023, 15, 2197779. [Google Scholar] [CrossRef]
- Luis Muñoz-Carrillo, J.; Elizabeth Hernández-Reyes, V.; Eduardo García-Huerta, O.; Chávez-Ruvalcaba, F.; Isabel Chávez-Ruvalcaba, M.; Mariana Chávez-Ruvalcaba, K.; Díaz-Alfaro, L. Pathogenesis of Periodontal Disease; IntechOpen: London, UK, 2020. [Google Scholar] [CrossRef]
- Balaji, S.; Cholan, P.K.; Victor, D.J. An emphasis of T-cell subsets as regulators of periodontal health and disease. J. Clin. Transl. Res. 2021, 7, 648–656. [Google Scholar] [CrossRef]
- Rusu, D.; Boariu, M.; Stratul, Ș.; Bojin, F.; Paunescu, V.; Calniceanu, H.; Surlin, P.; Roman, A.; Milicescu, Ș.; Caruntu, C.; et al. Interaction between a 3D collagen matrix used for periodontal soft tissue regeneration and T-lymphocytes: An in vitro pilot study. Exp. Ther. Med. 2019, 17, 990–996. [Google Scholar] [CrossRef]
- Boyce, B.F.; Li, J.; Yao, Z.; Xing, L. Nuclear Factor-Kappa B Regulation of Osteoclastogenesis and Osteoblastogenesis. Endocrinol. Metab. 2013, 38, 504–521. [Google Scholar] [CrossRef] [PubMed]
- Lin, B.; Ser, H.L.; Wang, L.; Li, J.; Chan, K.G.; Lee, L.H.; Tan, L.T.H. The Emerging Role of MMP12 in the Oral Environment. Int. J. Mol. Sci. 2023, 24, 4648. [Google Scholar] [CrossRef]
- Zhu, L.; Tang, Y.; Li, X.-Y.; Keller, E.T.; Yang, J.; Cho, J.-S.; Feinberg, T.Y.; Weiss, S.J. Osteoclast-mediated bone resorption is controlled by a compensatory network of secreted and membrane-tethered metalloproteinases. Sci. Transl. Med. 2020, 12, eaaw6143. [Google Scholar] [CrossRef] [PubMed]
- Iacopino, A.M.; Cutler, C.W. Pathophysiological relationships between periodontitis and systemic disease: Recent concepts involving serum lipids. J. Periodontol. 2000, 71, 1375–1384. [Google Scholar] [CrossRef]
- Shinjo, T.; Nishimura, F. The bidirectional association between diabetes and periodontitis, from basic to clinical. Jpn. Dent. Sci. Rev. 2024, 60, 15–21. [Google Scholar] [CrossRef]
- Luchian, I.; Goriuc, A.; Sandu, D.; Covasa, M. The Role of Matrix Metalloproteinases (MMP-8, MMP-9, MMP-13) in Periodontal and Peri-Implant Pathological Processes. Int. J. Mol. Sci. 2022, 23, 1806. [Google Scholar] [CrossRef]
- Shamsnia, H.S.; Roustaei, M.; Ahmadvand, D.; Butler, A.E.; Amirlou, D.; Soltani, S.; Momtaz, S.; Jamialahmadi, T.; Abdolghaffari, A.H.; Sahebkar, A. Impact of curcumin on p38 MAPK: Therapeutic implications. Inflammopharmacology 2023, 31, 2201–2212. [Google Scholar] [CrossRef] [PubMed]
- Golub, L.M.; Lee, H.M. Periodontal therapeutics: Current host-modulation agents and future directions. Periodontology 2000 2020, 82, 186–204. [Google Scholar] [CrossRef]
- Hewlings, S.J.; Kalman, D.S. Curcumin: A Review of Its Effects on Human Health. Foods 2017, 6, 92. [Google Scholar] [CrossRef] [PubMed]
- Zambrano, L.M.G.; Brandao, D.A.; Rocha, F.R.G.; Marsiglio, R.P.; Longo, I.B.; Primo, F.L.; Tedesco, A.C.; Guimaraes-Stabili, M.R.; Rossa Junior, C. Local administration of curcumin-loaded nanoparticles effectively inhibits inflammation and bone resorption associated with experimental periodontal disease. Sci. Rep. 2018, 8, 6652. [Google Scholar] [CrossRef] [PubMed]
- Bhatt, H.D.; Golub, L.M.; Lee, H.M.; Kim, J.; Zimmerman, T.; Deng, J.; Hong, H.; Johnson, F.; Gu, Y. Efficacy of a Novel Pleiotropic MMP-Inhibitor, CMC2.24, in a Long-Term Diabetes Rat Model with Severe Hyperglycemia-Induced Oral Bone Loss. J. Inflamm. Res. 2023, 16, 779–792. [Google Scholar] [CrossRef] [PubMed]
- Mohammad, C.A.; Ali, K.M.; Sha, A.M.; Gul, S.S. Antioxidant Effects of Curcumin Gel in Experimental Induced Diabetes and Periodontitis in Rats. BioMed. Res. Int. 2022, 2022, 7278064. [Google Scholar] [CrossRef] [PubMed]
- Liu, C.; Chen, Y.; Bai, H.; Niu, Y.; Wu, Y. Characterization and application of in situ curcumin/ZNP hydrogels for periodontitis treatment. BMC Oral Health 2024, 24, 395. [Google Scholar] [CrossRef] [PubMed]
- Izui, S.; Sekine, S.; Maeda, K.; Kuboniwa, M.; Takada, A.; Amano, A.; Nagata, H. Antibacterial activity of curcumin against periodontopathic bacteria. J. Periodontol. 2016, 87, 83–90. [Google Scholar] [CrossRef] [PubMed]
- Jalaluddin, M.; Jayanti, I.; Gowdar, I.M.; Roshan, R.; Varkey, R.R.; Thirutheri, A. Antimicrobial Activity of Curcuma longa L. Extract on Periodontal Pathogens. J. Pharm. Bioallied Sci. 2019, 11, S203–S207. [Google Scholar] [CrossRef]
- Roohi, T.F.; Mehdi, S.; Aarfi, S.; Krishna, K.L.; Pathak, S.; Suhail, S.M.; Faizan, S. Biomarkers and signaling pathways of diabetic nephropathy and peripheral neuropathy: Possible therapeutic intervention of rutin and quercetin. Diabetol. Int. 2023, 15, 145–169. [Google Scholar] [CrossRef] [PubMed]
- Iova, G.M.; Calniceanu, H.; Popa, A.; Szuhanek, C.A.; Marcu, O.; Ciavoi, G.; Scrobota, I. The Antioxidant Effect of Curcumin and Rutin on Oxidative Stress Biomarkers in Experimentally Induced Periodontitis in Hyperglycemic Wistar Rats. Molecules 2021, 26, 1332. [Google Scholar] [CrossRef]
- Bazyar, H.; Moradi, L.; Zaman, F.; Zare Javid, A. The effects of rutin flavonoid supplement on glycemic status, lipid profile, atherogenic index of plasma, brain-derived neurotrophic factor (BDNF), some serum inflammatory, and oxidative stress factors in patients with type 2 diabetes mellitus: A double-blind, placebo-controlled trial. Phytother. Res. 2023, 37, 271–284. [Google Scholar] [CrossRef]
- Smith-Garvin, J.E.; Koretzky, G.A.; Jordan, M.S. T cell activation. Annu. Rev. Immunol. 2009, 27, 591–619. [Google Scholar] [CrossRef]
- Kläsener, K.; Jellusova, J.; Andrieux, G.; Salzer, U.; Böhler, C.; Steiner, S.N.; Albinus, J.B.; Cavallari, M.; Süß, B.; Voll, R.E.; et al. CD20 as a gatekeeper of the resting state of human B cells. Proc. Natl. Acad. Sci. USA 2021, 118, e2021342118. [Google Scholar] [CrossRef] [PubMed]
- Percie du Sert, N.; Ahluwalia, A.; Alam, S.; Avey, M.T.; Baker, M.; Browne, W.J.; Clark, A.; Cuthill, I.C.; Dirnagl, U.; Emerson, M.; et al. Reporting animal research: Explanation and elaboration for the ARRIVE guidelines 2.0. PLoS Biol. 2020, 18, e3000411. [Google Scholar] [CrossRef] [PubMed]
- Xue, C.; Chen, K.; Gao, Z.; Bao, T.; Dong, L.; Zhao, L.; Tong, X.; Li, X. Common mechanisms underlying diabetic vascular complications: Focus on the interaction of metabolic disorders, immuno-inflammation, and endothelial dysfunction. Cell Commun. Signal. 2023, 21, 298. [Google Scholar] [CrossRef]
- Nielsen, J.S.; McNagny, K.M. Novel functions of the CD34 family. J. Cell Sci. 2008, 121, 3683–3692. [Google Scholar] [CrossRef]
- Rolls, G. An Introduction to Specimen Processing. Leica Biosystems website, 2024. Available online: https://www.leicabiosystems.com/knowledge-pathway/an-introduction-to-specimen-processing/ (accessed on 7 February 2024).
- Gee, M.S.; Procopio, W.N.; Makonnen, S.; Feldman, M.D.; Yeilding, N.M.; Lee, W.M. Tumor vessel development and maturation impose limits on the effectiveness of anti-vascular therapy. Am. J. Pathol. 2003, 162, 183–193. [Google Scholar] [CrossRef]
- Aspriello, S.D.; Zizzi, A.; Lucarini, G.; Rubini, C.; Faloia, E.; Boscaro, M.; Tirabassi, G.; Piemontese, M. Vascular endothelial growth factor and microvessel density in periodontitis patients with and without diabetes. J. Periodontol. 2009, 80, 1783–1789. [Google Scholar] [CrossRef]
- Penmetsa, G.S.; Baddam, S.; Manyam, R.; Dwarakanath, C.D. Comparison of the number of gingival blood vessels between type 2 diabetes mellitus and chronic periodontitis patients: An immunohistological study. J. Indian Soc. Periodontol. 2015, 19, 164–168. [Google Scholar] [CrossRef] [PubMed]
- Bezega, M.; Zachepylo, S.; Polianska, V.; Podovzhnii, O. Current views on the functional status of the palatine tonsils in chronic tonsillitis and alternatives in treatment strategies (literature review). Pol. Otorhinolaryngol. Rev. 2023, 12, 26–34. [Google Scholar] [CrossRef]
- Baekkevold, E.S.; Roussigné, M.; Yamanaka, T.; Johansen, F.E.; Jahnsen, F.L.; Amalric, F.; Brandtzaeg, P.; Erard, M.; Haraldsen, G.; Girard, J.P. Molecular characterization of NF-HEV, a nuclear factor preferentially expressed in human high endothelial venules. Am. J. Pathol. 2023, 163, 69–79. [Google Scholar] [CrossRef]
- Jović, M.; Avramović, V.; Vlahović, P.; Veličkov, A.; Petrović, V. Expression of CD34 and CD146 vascular markers contributes to the immunological function of the human palatine tonsil. Histol. Histopathol. 2018, 33, 261–268. [Google Scholar] [CrossRef] [PubMed]
- Wu, Y.-Y.; Xiao, E.; Graves, D.T. Diabetes mellitus related bone metabolism and periodontal disease. Int. J. Oral Sci. 2015, 7, 63–72. [Google Scholar] [CrossRef] [PubMed]
- Chinnasamy, A.; Moodie, M. Prevalence of Undiagnosed Diabetes and Prediabetes in the Dental Setting: A Systematic Review and Meta-Analysis. Int. J. Dent. 2020, 2020, 2964020. [Google Scholar] [CrossRef] [PubMed]
- Lalla, E.; Papapanou, P.N. Diabetes mellitus and periodontitis: A tale of two common interrelated diseases. Nat. Rev. Endocrinol. 2011, 7, 738–748. [Google Scholar] [CrossRef]
- Nishimura, F.; Iwamoto, Y.; Soga, Y. The periodontal host response with diabetes. Periodontology 2000 2007, 43, 245–253. [Google Scholar] [CrossRef] [PubMed]
- Obulareddy, V.T.; Nagarakanti, S.; Chava, V.K. Knowledge, attitudes, and practice behaviors of medical specialists for the relationship between diabetes and periodontal disease: A questionnaire survey. J. Fam. Med. Prim. Care 2018, 7, 175–178. [Google Scholar] [CrossRef] [PubMed]
- Cardoso, E.M.; Arosa, F.A. CD8+ T Cells in Chronic Periodontitis: Roles and Rules. Front. Immunol. 2017, 8, 145. [Google Scholar] [CrossRef] [PubMed]
- Teng, Y.-T.A. The role of acquired immunity and periodontal disease progression. Crit. Rev. Oral Boil. Med. 2003, 14, 237–252. [Google Scholar] [CrossRef] [PubMed]
- Han, X.; Lin, X.; Yu, X.; Lin, J.; Kawai, T.; LaRosa, K.B.; Taubman, M.A. Porphyromonas gingivalis Infection-Associated Periodontal Bone Resorption Is Dependent on Receptor Activator of NF-κB Ligand. Infect. Immun. 2013, 81, 1502–1509. [Google Scholar] [CrossRef]
- Demoersman, J.; Pers, J.O. Update on B Cell Response in Periodontitis. Adv. Exp. Med. Biol. 2022, 1373, 175–193. [Google Scholar] [CrossRef]
- Page, R.C.; Schroeder, H.E. Pathogenesis of inflammatory periodontal disease. A summary of current work. Lab. Investig. 1976, 33, 235–249. [Google Scholar]
- Demoersman, J.; Pochard, P.; Framery, C.; Simon, Q.; Boisramé, S.; Soueidan, A.; Pers, J.O. B cell subset distribution is altered in patients with severe periodontitis. PLoS ONE 2018, 13, e0192986. [Google Scholar] [CrossRef]
- Ateeq, M.; Broadwin, M.; Sellke, F.W.; Abid, M.R. Extracellular Vesicles’ Role in Angiogenesis and Altering Angiogenic Signaling. Med. Sci. 2024, 12, 4. [Google Scholar] [CrossRef]
- Mahanonda, R.; Champaiboon, C.; Subbalekha, K.; Sa-Ard-Iam, N.; Rattanathammatada, W.; Thawanaphong, S.; Rerkyen, P.; Yoshimura, F.; Nagano, K.; Lang, N.P.; et al. Human Memory B Cells in Healthy Gingiva, Gingivitis, and Periodontitis. J. Immunol. 2016, 197, 715. [Google Scholar] [CrossRef]
- Roi, C.; Gaje, P.N.; Ceaușu, R.A.; Roi, A.; Rusu, L.C.; Boia, E.R.; Boia, S.; Luca, R.E.; Riviș, M. Heterogeneity of Blood Vessels and Assessment of Microvessel Density-MVD in Gingivitis. J. Clin. Med. 2022, 11, 2758. [Google Scholar] [CrossRef]
- Celik, D.; Kantarci, A. Vascular Changes and Hypoxia in Periodontal Disease as a Link to Systemic Complications. Pathogens 2021, 10, 1280. [Google Scholar] [CrossRef]
- Shukla, M.K.; Singh, S.K.; Pandey, S.; Gupta, P.K.; Choudhary, A.; Jindal, D.K.; Dua, K.; Kumar, D. Potential Immunomodulatory Activities of Plant Products. S. Afr. J. Bot. 2022, 149, 937–943. [Google Scholar] [CrossRef]
- Potra Cicalău, G.I.; Ciavoi, G.; Scrobotă, I.; Marcu, A.O.; Romanul, I.; Marian, E.; Vicaș, L.G.; Ganea, M. Assessing the Antioxidant Benefits of Topical Carvacrol and Magnolol Periodontal Hydrogel Therapy in Periodontitis Associated with Diabetes in Wistar Rats. Dent. J. 2023, 11, 284. [Google Scholar] [CrossRef]
- Cicalău, G.I.P.; Babes, P.A.; Calniceanu, H.; Popa, A.; Ciavoi, G.; Iova, G.M.; Ganea, M.; Scrobotă, I. Anti-Inflammatory and Antioxidant Properties of Carvacrol and Magnolol, in Periodontal Disease and Diabetes Mellitus. Molecules 2021, 26, 6899. [Google Scholar] [CrossRef]
- Mirzaei, H.; Shakeri, A.; Rashidi, B.; Jalili, A.; Banikazemi, Z.; Sahebkar, A. Phytosomal curcumin: A review of pharmacokinetic, experimental and clinical studies. Biomed. Pharmacother. 2017, 85, 102–112. [Google Scholar] [CrossRef]
- Shafabakhsh, R.; Pourhanifeh, M.H.; Mirzaei, H.R.; Sahebkar, A.; Asemi, Z.; Mirzaei, H. Targeting regulatory T cells by curcumin: A potential for cancer immunotherapy. Pharmacol. Res. 2019, 147, 104353. [Google Scholar] [CrossRef]
- Srivastava, R.M.; Singh, S.; Dubey, S.K.; Misra, K.; Khar, A. Immunomodulatory and Therapeutic Activity of Curcumin. Int. Immunopharmacol. 2011, 11, 331–341. [Google Scholar] [CrossRef]
- Paul, S.; Sa, G. Curcumin as an Adjuvant to Cancer Immunotherapy. Front. Oncol. 2021, 11, 675923. [Google Scholar] [CrossRef]
- de Almeida Brandao, D.; Spolidorio, L.C.; Johnson, F.; Golub, L.M.; Guimaraes-Stabili, M.R.; Rossa, C., Jr. Dose–response assessment of chemically modified curcumin in experimental periodontitis. J. Periodontol. 2019, 90, 535–545. [Google Scholar] [CrossRef]
- Elburki, M.S.; Rossa, C., Jr.; Guimarães-Stabili, M.R.; Lee, H.M.; Curylofo-Zotti, F.A.; Johnson, F.; Golub, L.M. A chemically modified curcumin (cmc 2.24) inhibits nuclear factor κb activation and inflammatory bone loss in murine models of lps-induced experimental periodontitis and diabetes-associated natural periodontitis. Inflammation 2017, 40, 1436–1449. [Google Scholar] [CrossRef]
- Yin, Y.; Chen, F.; Wang, W.; Wang, H.; Zhang, X. Resolvin d1 inhibits inflammatory response in stz-induced diabetic retinopathy rats: Possible involvement of nlrp3 inflammasome and nf-κb signaling pathway. Mol. Vis. 2017, 23, 242–250. [Google Scholar]
- Mohammadi, A.; Mashayekhi, K.; Navashenaq, J.G.; Haftcheshmeh, S.M. Curcumin as a Natural Modulator of B Lymphocytes: Evidence from In Vitro and In Vivo Studies. Mini Rev. Med. Chem. 2022, 22, 2361–2370. [Google Scholar] [CrossRef]
- Pavlasova, G.; Mraz, M. The regulation and function of CD20: An “enigma” of B-cell biology and targeted therapy. Haematologica 2020, 505, 1494. [Google Scholar] [CrossRef]
- Kim, G.; Jang, M.S.; Son, Y.M.; Seo, M.J.; Ji, S.Y.; Han, S.H.; Jung, I.D.; Park, Y.-M.; Jung, H.J.; Yun, C.-H. Curcumin inhibits CD4+ T cell activation, but augments CD69 expression and TGF-β1-mediated generation of regulatory T cells at late phase. PLoS ONE 2013, 8, e62300. [Google Scholar] [CrossRef]
- Fadini, G.P.; Baesso, I.; Albiero, M.; Sartore, S.; Agostini, C.; Avogaro, A. Technical notes on endothelial progenitor cells: Ways to escape from the knowledge plateau. Atherosclerosis 2008, 197, 496–503. [Google Scholar] [CrossRef]
- Kanji, S.; Das, M.; Aggarwal, R.; Lu, J.; Joseph, M.; Basu, S.; Pompili, V.J.; Das, H. Nanofiber-expanded human umbilical cord blood-derived CD34+ cell therapy accelerates murine cutaneous wound closure by attenuating pro-inflammatory factors and secreting IL-10. Stem Cell Res. 2014, 12, 275–288. [Google Scholar] [CrossRef]
- Hassanpour, M.; Salybekov, A.A.; Kobayashi, S.; Asahara, T. CD34 positive cells as endothelial progenitor cells in biology and medicine. Front. Cell Dev. Biol. 2023, 11, 1128134. [Google Scholar] [CrossRef]
- Attari, F.; Zahmatkesh, M.; Aligholi, H.; Mehr, S.E.; Sharifzadeh, M.; Gorji, A.; Mokhtari, T.; Khaksarian, M.; Hassanzadeh, G. Curcumin as a double-edged sword for stem cells: Dose, time and cell type-specific responses to curcumin. DARU J. Pharm. Sci. 2015, 23, 33. [Google Scholar] [CrossRef]
- Wang, Y.-B.; Ge, Z.-M.; Kang, W.-Q.; Lian, Z.-X.; Yao, J.; Zhou, C.-Y. Rutin alleviates diabetic cardiomyopathy in a rat model of type 2 diabetes. Exp. Ther. Med. 2015, 9, 451–455. [Google Scholar] [CrossRef]
- Ganeshpurkar, A.; Saluja, A.K. The Pharmacological Potential of Rutin. Saudi Pharm. J. 2017, 25, 149–164. [Google Scholar] [CrossRef]
- Butera, A.; Maiorani, C.; Gallo, S.; Pascadopoli, M.; Venugopal, A.; Marya, A.; Scribante, A. Evaluation of Adjuvant Systems in Non-Surgical Peri-Implant Treatment: A Literature Review. Healthcare 2022, 10, 886. [Google Scholar] [CrossRef]
- Muvhulawa, N.; Dludla, P.V.; Ziqubu, K.; Mthembu, S.X.H.; Mthiyane, F.; Nkambule, B.B.; Mazibuko-Mbeje, S.E. Rutin ameliorates inflammation and improves metabolic function: A comprehensive analysis of scientific literature. Pharmacol. Res. 2022, 178, 106163. [Google Scholar] [CrossRef]
- Pan, D.; Xu, M.; Chang, X.; Xia, M.; Fang, Y.; Fu, Y.; Shen, W.; Wang, Y.; Sun, X. Laser Capture Microdissection-Based RNA Microsequencing Reveals Optic Nerve Crush-Related Early mRNA Alterations in Retinal Ganglion Cell Layer. Transl. Vis. Sci. Technol. 2020, 9, 30. [Google Scholar] [CrossRef]
- Mehta, A.K.; Gracias, D.T.; Croft, M. TNF activity and T cells. Cytokine 2018, 101, 14–18. [Google Scholar] [CrossRef]
- Mihara, M.; Hashizume, M.; Yoshida, H.; Suzuki, M.; Shiina, M. IL-6/IL-6 receptor system and its role in physiological and pathological conditions. Clin. Sci. 2012, 122, 143–159. [Google Scholar] [CrossRef]
- Cacheiro-Llaguno, C.; Hernández-Subirá, E.; Díaz-Muñoz, M.D.; Fresno, M.; Serrador, J.M.; Íñiguez, M.A. Regulation of Cyclooxygenase-2 Expression in Human T Cells by Glucocorticoid Receptor-Mediated Transrepression of Nuclear Factor of Activated T Cells. Int. J. Mol. Sci. 2022, 23, 13275. [Google Scholar] [CrossRef]
- Ben-Sasson, S.Z.; Wang, K.; Cohen, J.; Paul, W.E. IL-1β strikingly enhances antigen-driven CD4 and CD8 T-cell responses. Cold Spring Harb. Symp. Quant. Biol. 2013, 78, 117–124. [Google Scholar] [CrossRef]
- Zhao, B.; Zhang, Y.; Xiong, Y.; Xu, X. Rutin promotes the formation and osteogenic differentiation of human periodontal ligament stem cell sheets in vitro. Int. J. Mol. Med. 2019, 44, 2289–2297. [Google Scholar] [CrossRef]
- Zhao, B.; Zhang, W.; Xiong, Y.; Zhang, Y.; Zhang, D.; Xu, X. Effects of rutin on the oxidative stress, proliferation and osteogenic differentiation of periodontal ligament stem cells in LPS-induced inflammatory environment and the underlying mechanism. J. Mol. Histol. 2020, 51, 161–171. [Google Scholar] [CrossRef]
- Al-Dhabi, N.A.; Arasu, M.V.; Park, C.H.; Park, S.U. An up-to-date review of rutin and its biological and pharmacological activities. EXCLI J. 2015, 14, 59–63. [Google Scholar] [CrossRef]
- Scribante, A.; Gallo, S.; Pascadopoli, M.; Frani, M.; Butera, A. Ozonized gels vs chlorhexidine in non-surgical periodontal treatment: A randomized clinical trial. Oral Dis. 2023, 1–8. [Google Scholar] [CrossRef]
- Elbay, M.; Elbay, Ü.Ş.; Kaya, E.; Kalkan, Ö.P. Effects of photobiomodulation with different application parameters on injection pain in children: A randomized clinical trial. J. Clin. Pediatr. Dent. 2023, 47, 54–62. [Google Scholar] [CrossRef]
- Anand, P.; Kunnumakkara, A.B.; Newman, R.A.; Aggarwal, B.B. Bioavailability of Curcumin: Problems and Promises. Mol. Pharm. 2007, 4, 807–818. [Google Scholar] [CrossRef]
- Gullón, B.; Lu-Chau, T.A.; Moreira, M.T.; Lema, J.M.; Eibes, G. Rutin: A review on extraction, identification and purification methods, biological activities and approaches to enhance its bioavailability. Trends Food Sci. Technol. 2017, 67, 220–235. [Google Scholar] [CrossRef]
- Joshi, S.D.; Chavan, R.R.; Jadhav, A.S.; Thorat, V.H.; Gaikwad, K.V. A Review of Different Approaches for Improving Curcumin Bioavailability. J. Drug Deliv. Ther. 2023, 13, 238–244. [Google Scholar] [CrossRef]
- Jayusman, P.A.; Nasruddin, N.S.; Mahamad Apandi, N.I.; Ibrahim, N.; Budin, S.B. Therapeutic Potential of Polyphenol and Nanoparticles Mediated Delivery in Periodontal Inflammation: A Review of Current Trends and Future Perspectives. Front. Pharmacol. 2022, 13, 847702. [Google Scholar] [CrossRef]
- Ravi, G.S.; Charyulu, R.N.; Dubey, A.; Prabhu, P.; Hebbar, S.; Mathias, A.C. Nano-lipid Complex of Rutin: Development, Characterisation and In Vivo Investigation of Hepatoprotective, Antioxidant Activity and Bioavailability Study in Rats. AAPS PharmSciTech 2018, 19, 3631–3649. [Google Scholar] [CrossRef]






| Antibody | Epitop/Marker | Manufacturer | Antigenic Unmasking | Dilution |
|---|---|---|---|---|
| CD3 | T lymphocytes | DAKO | Citrate buffer pH = 6 | 1:100 |
| CD20 | B lymphocytes | DAKO | Citrate buffer pH = 6 | 1:50 |
| CD34 | Endothelial cells | DAKO | Citrate buffer pH = 6 | 1:50 |
| Group | T CD3+ Cells | B CD20+ Cells | Total CD34+ Cells | Mature CD34+ Cells | Imature CD34+ Cells |
|---|---|---|---|---|---|
| Control | 3 | 2.5 | 17.5 | 7 | 10.5 |
| DP | 55.5 | 6 | 13.5 | 4 | 9.5 |
| DPCu | 41 | 3.5 | 25 | 4.5 | 20.5 |
| DPR | 15 | 6.5 | 7 | 2.5 | 4.5 |
| DPCuR | 2 | 0.5 | 8 | 3 | 5 |
| Control Group | Mean | SD | t | p Value |
|---|---|---|---|---|
| T CD3+ cells | 3 | 0.001 | 11.7611 | ˂0.0001 |
| B CD20+ cells | 2.35 | 0.231 | ||
| DP | Mean | SD | t | p value |
| T CD3+ cells | 54.4 | 0.83 | 199.20 | ˂0.0001 |
| B CD20+ cells | 5.73 | 0.46 | ||
| DPCu | Mean | SD | t | p value |
| T CD3+ cells | 40.6 | 0.50 | 275.09 | ˂0.0001 |
| B CD20+ cells | 3.4 | 0.13 | ||
| DPR | Mean | SD | t | p value |
| T CD3+ cells | 14.4 | 0.5 | 59.2915 | ˂0.0001 |
| B CD20+ cells | 6.4 | 0.12 | ||
| DPCuR | Mean | SD | t | p value |
| T CD3+ cells | 1.894 | 0.119 | 45.0619 | ˂0.0001 |
| B CD20+ cells | 0.49 | 0.012 |
Disclaimer/Publisher’s Note: The statements, opinions and data contained in all publications are solely those of the individual author(s) and contributor(s) and not of MDPI and/or the editor(s). MDPI and/or the editor(s) disclaim responsibility for any injury to people or property resulting from any ideas, methods, instructions or products referred to in the content. |
© 2024 by the authors. Licensee MDPI, Basel, Switzerland. This article is an open access article distributed under the terms and conditions of the Creative Commons Attribution (CC BY) license (https://creativecommons.org/licenses/by/4.0/).
Share and Cite
Scrobota, I.; Tig, I.A.; Marcu, A.O.; Potra Cicalau, G.I.; Sachelarie, L.; Iova, G. Evaluation of Immunohistochemical Biomarkers in Diabetic Wistar Rats with Periodontal Disease. J. Pers. Med. 2024, 14, 527. https://doi.org/10.3390/jpm14050527
Scrobota I, Tig IA, Marcu AO, Potra Cicalau GI, Sachelarie L, Iova G. Evaluation of Immunohistochemical Biomarkers in Diabetic Wistar Rats with Periodontal Disease. Journal of Personalized Medicine. 2024; 14(5):527. https://doi.org/10.3390/jpm14050527
Chicago/Turabian StyleScrobota, Ioana, Ioan Andrei Tig, Andrea Olivia Marcu, Georgiana Ioana Potra Cicalau, Liliana Sachelarie, and Gilda Iova. 2024. "Evaluation of Immunohistochemical Biomarkers in Diabetic Wistar Rats with Periodontal Disease" Journal of Personalized Medicine 14, no. 5: 527. https://doi.org/10.3390/jpm14050527
APA StyleScrobota, I., Tig, I. A., Marcu, A. O., Potra Cicalau, G. I., Sachelarie, L., & Iova, G. (2024). Evaluation of Immunohistochemical Biomarkers in Diabetic Wistar Rats with Periodontal Disease. Journal of Personalized Medicine, 14(5), 527. https://doi.org/10.3390/jpm14050527

