Clinical Factors Affecting the Rate of Liver Regeneration in Living Donors after Right Hepatectomy
Abstract
1. Introduction
2. Patients and Methods
2.1. Patients
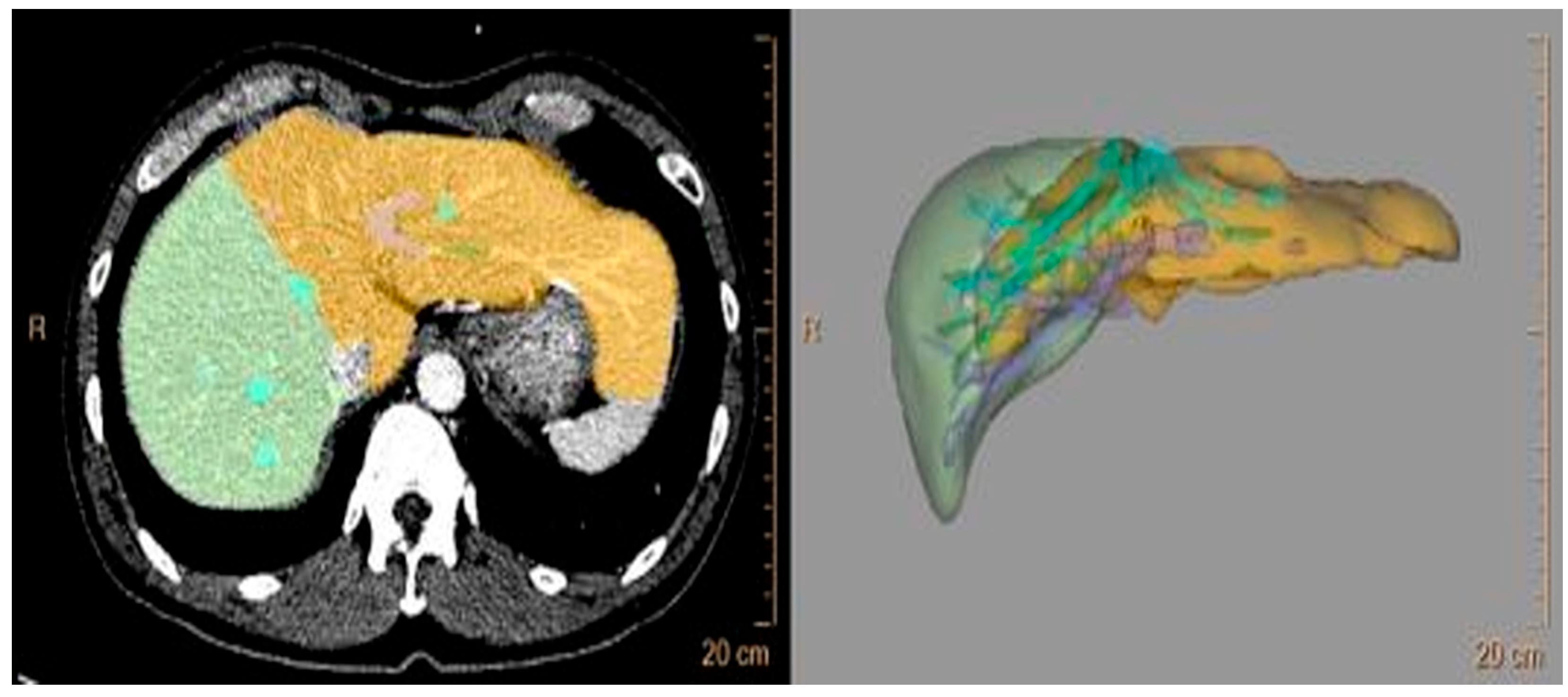
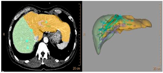
2.2. Data Collection

2.3. Anesthetic and Surgical Techniques
2.4. Statistical Analysis
3. Results
3.1. Correlation between the Estimated GV and Actual Graft Weight
3.2. Demographics
3.3. Operative Outcomes
3.4. Postoperative Complications
3.5. Rate of RLV Growth and Liver Volumetric Recovery following Donor Hepatectomy
3.6. Factors Predictive of Liver Regeneration at POW 1
4. Discussion
5. Conclusions
Author Contributions
Funding
Institutional Review Board Statement
Informed Consent Statement
Data Availability Statement
Conflicts of Interest
Abbreviations
| ALT | alanine aminotransferase |
| AST | aspartate aminotransferase |
| BMI | body mass index |
| CT | computed tomography |
| DM | diabetes mellitus |
| ESLD | end-stage liver disease |
| GV | graft volume |
| INR | international normalized ratio |
| LDLT | living donor liver transplantation |
| LT | liver transplantation |
| POM | postoperative month |
| POW | postoperative week |
| RLV | residual liver volume |
| RTVR | remnant/total volume ratio |
| TB | total bilirubin |
| TLV | total liver volume |
| VIF | variance inflation factor |
References
- Kwong, A.J.; Kim, W.R.; Lake, J.R.; Schladt, D.P.; Schnellinger, E.M.; Gauntt, K.; McDermott, M.; Weiss, S.; Handarova, D.K.; Snyder, J.J.; et al. OPTN/SRTR 2022 Annual Data Report: Liver. Am. J. Transpl. 2024, 24, S176–S265. [Google Scholar] [CrossRef] [PubMed]
- Hong, Y.M.; Cho, M.; Yoon, K.T.; Ryu, J.H.; Yang, K.H.; Hwang, T.H. Preoperative blood neutrophil count predicts survival in hepatocellular carcinoma patients with living donor liver transplantation. Korean J. Transpl. 2020, 34, 92–99. [Google Scholar] [CrossRef] [PubMed]
- Suh, K.S.; Suh, S.W.; Lee, J.M.; Choi, Y.; Yi, N.J.; Lee, K.W. Recent advancements in and views on the donor operation in living donor liver transplantation: A single-center study of 886 patients over 13 years. Liver Transpl. 2015, 21, 329–338. [Google Scholar] [CrossRef] [PubMed]
- Liu, H.; Ashwat, E.; Humar, A. Current Status of Living Donor Liver Transplantation: Impact, Advantages, and Challenges. Curr. Gastroenterol. Rep. 2023, 25, 225–231. [Google Scholar] [CrossRef]
- Mu, C.; Chen., C.; Wan, J.; Chen, G.; Hu, J.; Wen, T. Minimally Invasive Donors Right Hepatectomy versus Open Donors Right Hepatectomy: A Meta-Analysis. J. Clin. Med. 2023, 12, 2904. [Google Scholar] [CrossRef] [PubMed]
- Kim, S.H.; Kim, K.H.; Cho, H.D. Donor safety of remnant liver volumes of less than 30% in living donor liver transplantation: A systematic review and meta-analysis. Clin. Transpl. 2023, 37, e15080. [Google Scholar] [CrossRef] [PubMed]
- Yagi, S.; Hirata, M.; Miyachi, Y.; Uemoto, S. Liver Regeneration after Hepatectomy and Partial Liver Transplantation. Int. J. Mol. Sci. 2020, 21, 8414. [Google Scholar] [CrossRef] [PubMed]
- Mohapatra, N.; Sinha, P.K.; Sasturkar, S.V.; Patidar, Y.; Pamecha, V. Preoperative Alanine Aminotransferase and Remnant Liver Volume Predict Liver Regeneration After Live Donor Hepatectomy. J. Gastrointest. Surg. 2020, 24, 1818–1826. [Google Scholar] [CrossRef] [PubMed]
- Hou, C.T.; Chen, Y.L.; Lin, C.C.; Chou, C.T.; Lin, K.H.; Lin, P.Y.; Hsu, Y.L.; Chen, C.B.; Lin, H.C.; Ko, C.J.; et al. Portal venous velocity affects liver regeneration after right lobe living donor hepatectomy. PLoS ONE 2018, 13, e0204163. [Google Scholar] [CrossRef] [PubMed]
- Merath, K.; Tiwari, A.; Court, C.; Parikh, A.; Dillhoff, M.; Cloyd, J.; Ejaz, A.; Pawlik, T.M. Postoperative Liver Failure: Definitions, Risk factors, Prediction Models and Prevention Strategies. J. Gastrointest. Surg. 2023, 27, 2640–2649. [Google Scholar] [CrossRef] [PubMed]
- Lee, B.; Cho, J.Y.; Han, H.S.; Yoon, Y.S.; Lee, H.W.; Lee, J.S.; Kim, M.; Jo, Y. A scoring system to predict the risk of major complications after laparoscopic liver resection in elderly patients with hepatocellular carcinoma. Surg. Endosc. 2022, 36, 7756–7763. [Google Scholar] [CrossRef] [PubMed]
- Shin, J.; Suh, S.W. Influence of fluid balance on postoperative outcomes after hepatic resection in patients with left ventricular diastolic dysfunction. Front. Surg. 2022, 9, 1036850. [Google Scholar] [CrossRef] [PubMed]
- Hsieh, C.E.; Lin, K.H.; Hsu, Y.L.; Chou, C.T.; Chen, C.B.; Lin, P.Y.; Lin, C.C.; Hung, Y.J.; Weng, L.C.; Chen, Y.L. Clinical Outcome of Residual Liver Volume and Hepatic Steatosis After Right-Lobe Living-Donor Hepatectomy. Ann. Transpl. 2020, 25, e919502. [Google Scholar] [CrossRef] [PubMed]
- Han, E.S.; Hong, S.K.; Hong, K.; Hong, S.Y.; Lee, J.M.; Choi, Y.; Yi, N.J.; Lee, K.W.; Suh, K.S. Pure laparoscopic donor right hepatectomy in patients over 50 years old: Why age should not be a barrier. Clin. Transpl. 2023, 37, e15117. [Google Scholar] [CrossRef]
- Sasturkar, S.V.; David, P.; Sharma, S.; Sarin, S.K.; Trehanpati, N.; Pamecha, V. Serial changes of cytokines and growth factors in peripheral circulation after right lobe donor hepatectomy. Liver Transpl. 2016, 22, 344–351. [Google Scholar] [CrossRef] [PubMed]
- Suh, S.W.; Choi, Y.S.; Hong, S.A.; Kang, H.; Lee, D.; Kim, H.R. Preoperative erythropoietin treatment improves survival following major hepatic resection in a cirrhotic rat model. Clin. Res. Hepatol. Gastroenterol. 2018, 42, 347–352. [Google Scholar] [CrossRef] [PubMed]
- Kim, J.Y.; Choi, D.; Kim, J.; Kim, Y.M.; Lim, H.; Sung, J.M.; Lee, M.K.; Choung, Y.J.; Chang, J.H.; Jeong, M.A. Co-administration of erythropoietin and iron complex improves late-phase liver regeneration. BMB Rep. 2020, 53, 148–153. [Google Scholar] [CrossRef] [PubMed]



| Living Donor | Recipient |
|---|---|
| Age < 50 | MELD < 38 |
| Hepatic steatosis < 10% | GRWR > 0.8 |
| No past medical or operative history |
| Group A (n = 9) (RTVR < 30%) | Group B (n = 45) (RTVR ≥ 30%) | p | |
|---|---|---|---|
| Age (years) | 37.5 (22–46) | 38.7 (22–65) | 0.559 |
| Sex (male) | 5 (55.6%) | 26 (57.8%) | 0.902 |
| BMI (kg/m2) | 24.2 (±2.1) | 23.7 (±3.1) | 0.688 |
| DM | 0 | 3 (6.7%) | 0.425 |
| HTN | 0 | 2 (4.4%) | 0.519 |
| Preoperative TB (mg/dL) | 0.4 (±0.2) | 0.6 (±0.2) | 0.030 |
| Preoperative INR | 1.03 (±0.06) | 1.04 (±0.06) | 0.690 |
| Preoperative albumin (mg/dL) | 4.4 (±0.5) | 4.5 (±0.3) | 0.354 |
| Preoperative AST (IU/L) | 19 (±3) | 23 (±10) | 0.350 |
| Preoperative ALT (IU/L) | 14 (±2) | 21 (±14) | 0.154 |
| Hepatic steatosis (%) | 2 (0–9) | 2 (0–10) | 0.960 |
| TLV (cm3) | 1270 (±289) | 1391 (±300) | 0.274 |
| RLV (cm3) | 379 (±95) | 515 (±116) | 0.002 |
| RTVR (%) | 29.6 (27.8–29.9) | 36.7 (31.9–46.1) | <0.001 |
| Group A (n = 9) (RTVR < 30%) | Group B (n = 45) (RTVR ≥ 30%) | p | |
|---|---|---|---|
| Operative duration (min) | 335 (±62) | 310 (±46) | 0.665 |
| Intraoperative blood loss (mL) | 467 (±255) | 343 (±160) | 0.062 |
| Blood transfusion | 0 | 0 | NS |
| Postoperative laboratory results | |||
| Peak TB (mg/dL) | 3.0 (±1.1) | 2.3 (±0.8) | 0.046 |
| Peak INR | 1.57 (±0.14) | 1.47 (±0.15) | 0.065 |
| Lowest albumin (mg/dL) | 2.9 (±0.2) | 3.1 (±0.3) | 0.144 |
| Peak AST (IU/L) | 173 (±80) | 171 (±53) | 0.920 |
| Peak ALT (IU/L) | 162 (±98) | 168 (±56) | 0.807 |
| Postoperative hepatic insufficiency | 0 | 0 | NS |
| Intensive care unit admission (%) | 0 | 0 | NS |
| Postoperative hospital stay (days) | 10.2 (±1.9) | 10.7 (±3.4) | 0.158 |
| Rehospitalization (%) | 0 | 1 (2.2%) | 0.652 |
| Group A (n = 9) (RTVR < 30%) | Group B (n = 45) (RTVR ≥ 30%) | p | |
|---|---|---|---|
| Postoperative complications (%) | 3 (26.4%) | 14 (31.1%) | 0.896 |
| Grade 1 | |||
| Transient bile leakage | 0 | 1 (2.2%) | 0.652 |
| Pleural effusion | 1 (11.1%) | 3 (7.3%) | 0.704 |
| Paralytic ileus | 1 (11.1%) | 6 (13.3%) | 0.856 |
| Grade 2 | |||
| Wound infection | 1 (11.1%) | 4 (8.9%) | 0.652 |
| Prolonged ascites (>7 days) | 1 (11.1%) | 1 (2.2%) | 0.197 |
| Grade 3 | 0 | 0 | NS |
| Grade 4 | 0 | 0 | NS |
| Grade 5 | 0 | 0 | NS |
| Univariate Analysis | Multivariate Analysis | ||||
|---|---|---|---|---|---|
| Variable | β | p | β | p | VIF |
| Age (year) | 0.057 | 0.680 | |||
| Sex (male) | 0.082 | 0.556 | |||
| BMI (kg/m2) | 0.054 | 0.696 | |||
| Diabetes mellitus | −0.218 | 0.114 | |||
| Hypertension | 0.003 | 0.980 | |||
| Preoperative TB (mg/dL) | −0.303 | 0.026 | |||
| Preoperative INR | −0.146 | 0.293 | |||
| Preoperative albumin (mg/dL) | 0.090 | 0.519 | |||
| Preoperative AST (IU/L) | −0.103 | 0.456 | |||
| Preoperative ALT (IU/L) | −0.126 | 0.364 | |||
| Hepatic steatosis (%) | −0.196 | 0.154 | |||
| RTVR (%) | −0.599 | <0.001 | −0.478 | <0.001 | 1.188 |
| Operation time (min) | 0.197 | 0.154 | |||
| Intraoperative blood loss (mL) | 0.435 | 0.001 | 0.247 | 0.038 | 1.182 |
| Postoperative peak TB (mg/dL) | −0.070 | 0.616 | |||
| Postoperative peak INR | −0.120 | 0.387 | |||
| Postoperative lowest albumin (mg/dL) | 0.044 | 0.753 | |||
| Postoperative peak AST (IU/L) | 0.337 | 0.013 | |||
| Postoperative peak ALT (IU/L) | 0.180 | 0.193 | |||
| Postoperative complications | −0.129 | 0.352 | |||
Disclaimer/Publisher’s Note: The statements, opinions and data contained in all publications are solely those of the individual author(s) and contributor(s) and not of MDPI and/or the editor(s). MDPI and/or the editor(s) disclaim responsibility for any injury to people or property resulting from any ideas, methods, instructions or products referred to in the content. |
© 2024 by the authors. Licensee MDPI, Basel, Switzerland. This article is an open access article distributed under the terms and conditions of the Creative Commons Attribution (CC BY) license (https://creativecommons.org/licenses/by/4.0/).
Share and Cite
Kim, M.; Suh, S.-W.; Lee, E.S.; Suh, S.; Lee, S.E.; Choi, Y.S. Clinical Factors Affecting the Rate of Liver Regeneration in Living Donors after Right Hepatectomy. J. Pers. Med. 2024, 14, 458. https://doi.org/10.3390/jpm14050458
Kim M, Suh S-W, Lee ES, Suh S, Lee SE, Choi YS. Clinical Factors Affecting the Rate of Liver Regeneration in Living Donors after Right Hepatectomy. Journal of Personalized Medicine. 2024; 14(5):458. https://doi.org/10.3390/jpm14050458
Chicago/Turabian StyleKim, Minkyoung, Suk-Won Suh, Eun Sun Lee, Sanggyun Suh, Seung Eun Lee, and Yoo Shin Choi. 2024. "Clinical Factors Affecting the Rate of Liver Regeneration in Living Donors after Right Hepatectomy" Journal of Personalized Medicine 14, no. 5: 458. https://doi.org/10.3390/jpm14050458
APA StyleKim, M., Suh, S.-W., Lee, E. S., Suh, S., Lee, S. E., & Choi, Y. S. (2024). Clinical Factors Affecting the Rate of Liver Regeneration in Living Donors after Right Hepatectomy. Journal of Personalized Medicine, 14(5), 458. https://doi.org/10.3390/jpm14050458

