Shear Wave Dispersion in Chronic Liver Disease: From Physical Principles to Clinical Usefulness
Abstract
1. Introduction
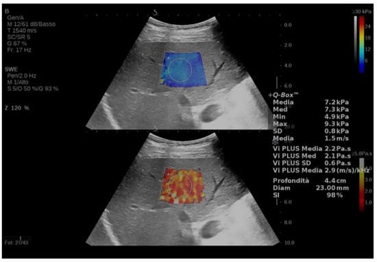
2. Physical Principles of SWD
3. Preclinical Studies
4. Clinical Studies
4.1. SWD in Healthy Subjects
4.2. SWD in Populations with Different CLD Aetiologies
4.3. SWD and NAFLD/NASH
4.4. SWD and Viral Hepatitis
4.5. SWD and Other Specific Aetiologies
4.6. SWD in Advanced CLD
5. Conclusions
Author Contributions
Funding
Institutional Review Board Statement
Informed Consent Statement
Data Availability Statement
Conflicts of Interest
References
- Berzigotti, A.; Tsochatzis, E.; Boursier, J.; Castera, L.; Cazzagon, N.; Friedrich-Rust, M.; Petta, S.; Thiele, M. EASL Clinical Practice Guidelines on Non-Invasive Tests for Evaluation of Liver Disease Severity and Prognosis—2021 Update. J. Hepatol. 2021, 75, 659–689. [Google Scholar] [CrossRef] [PubMed]
- Asrani, S.K.; Devarbhavi, H.; Eaton, J.; Kamath, P.S. Burden of Liver Diseases in the World. J. Hepatol. 2019, 70, 151–171. [Google Scholar] [CrossRef] [PubMed]
- Younossi, Z.M.; Blissett, D.; Blissett, R.; Henry, L.; Stepanova, M.; Younossi, Y.; Racila, A.; Hunt, S.; Beckerman, R. The Economic and Clinical Burden of Nonalcoholic Fatty Liver Disease in the United States and Europe. Hepatology 2016, 64, 1577–1586. [Google Scholar] [CrossRef] [PubMed]
- Younossi, Z.M.; Koenig, A.B.; Abdelatif, D.; Fazel, Y.; Henry, L.; Wymer, M. Global Epidemiology of Nonalcoholic Fatty Liver Disease-Meta-Analytic Assessment of Prevalence, Incidence, and Outcomes. Hepatology 2016, 64, 73–84. [Google Scholar] [CrossRef]
- Younossi, Z.; Anstee, Q.M.; Marietti, M.; Hardy, T.; Henry, L.; Eslam, M.; George, J.; Bugianesi, E. Global Burden of NAFLD and NASH: Trends, Predictions, Risk Factors and Prevention. Nat. Rev. Gastroenterol. Hepatol. 2018, 15, 11–20. [Google Scholar] [CrossRef]
- Zhou, J.; Zhou, F.; Wang, W.; Zhang, X.-J.; Ji, Y.-X.; Zhang, P.; She, Z.-G.; Zhu, L.; Cai, J.; Li, H. Epidemiological Features of NAFLD From 1999 to 2018 in China. Hepatology 2020, 71, 1851–1864. [Google Scholar] [CrossRef]
- Liu, Y.-B.; Chen, M.-K. Epidemiology of Liver Cirrhosis and Associated Complications: Current Knowledge and Future Directions. World J. Gastroenterol. 2022, 28, 5910–5930. [Google Scholar] [CrossRef]
- GBD 2017 Cirrhosis Collaborators The Global, Regional, and National Burden of Cirrhosis by Cause in 195 Countries and Territories, 1990-2017: A Systematic Analysis for the Global Burden of Disease Study 2017. Lancet Gastroenterol. Hepatol. 2020, 5, 245–266. [CrossRef]
- Khanam, A.; Saleeb, P.G.; Kottilil, S. Pathophysiology and Treatment Options for Hepatic Fibrosis: Can It Be Completely Cured? Cells 2021, 10, 1097. [Google Scholar] [CrossRef]
- Schuster, S.; Cabrera, D.; Arrese, M.; Feldstein, A.E. Triggering and Resolution of Inflammation in NASH. Nat. Rev. Gastroenterol. Hepatol. 2018, 15, 349–364. [Google Scholar] [CrossRef]
- Czaja, A.J. Hepatic Inflammation and Progressive Liver Fibrosis in Chronic Liver Disease. World J. Gastroenterol. 2014, 20, 2515–2532. [Google Scholar] [CrossRef] [PubMed]
- Caligiuri, A.; Gentilini, A.; Pastore, M.; Gitto, S.; Marra, F. Cellular and Molecular Mechanisms Underlying Liver Fibrosis Regression. Cells 2021, 10, 2759. [Google Scholar] [CrossRef] [PubMed]
- European Association for Study of Liver; Asociacion Latinoamericana para el Estudio del Higado EASL-ALEH Clinical Practice Guidelines: Non-Invasive Tests for Evaluation of Liver Disease Severity and Prognosis. J. Hepatol. 2015, 63, 237–264. [CrossRef] [PubMed]
- Kleiner, D.E.; Brunt, E.M.; Van Natta, M.; Behling, C.; Contos, M.J.; Cummings, O.W.; Ferrell, L.D.; Liu, Y.-C.; Torbenson, M.S.; Unalp-Arida, A.; et al. Design and Validation of a Histological Scoring System for Nonalcoholic Fatty Liver Disease. Hepatology 2005, 41, 1313–1321. [Google Scholar] [CrossRef]
- The French METAVIR Cooperative Study Group; Bedossa, P. Intraobserver and Interobserver Variations in Liver Biopsy Interpretation in Patients with Chronic Hepatitis C. Hepatology 1994, 20, 15–20. [Google Scholar] [CrossRef]
- Matteoni, C.A.; Younossi, Z.M.; Gramlich, T.; Boparai, N.; Liu, Y.C.; McCullough, A.J. Nonalcoholic Fatty Liver Disease: A Spectrum of Clinical and Pathological Severity. Gastroenterology 1999, 116, 1413–1419. [Google Scholar] [CrossRef]
- Sumida, Y. Limitations of Liver Biopsy and Non-Invasive Diagnostic Tests for the Diagnosis of Nonalcoholic Fatty Liver Disease/Nonalcoholic Steatohepatitis. WJG 2014, 20, 475. [Google Scholar] [CrossRef]
- Ferraioli, G.; Berzigotti, A.; Barr, R.G.; Choi, B.I.; Cui, X.W.; Dong, Y.; Gilja, O.H.; Lee, J.Y.; Lee, D.H.; Moriyasu, F.; et al. Quantification of Liver Fat Content with Ultrasound: A WFUMB Position Paper. Ultrasound Med. Biol. 2021, 47, 2803–2820. [Google Scholar] [CrossRef]
- Ferraioli, G.; Wong, V.W.-S.; Castera, L.; Berzigotti, A.; Sporea, I.; Dietrich, C.F.; Choi, B.I.; Wilson, S.R.; Kudo, M.; Barr, R.G. Liver Ultrasound Elastography: An Update to the World Federation for Ultrasound in Medicine and Biology Guidelines and Recommendations. Ultrasound Med. Biol. 2018, 44, 2419–2440. [Google Scholar] [CrossRef]
- Jeong, J.Y.; Cho, Y.S.; Sohn, J.H. Role of Two-Dimensional Shear Wave Elastography in Chronic Liver Diseases: A Narrative Review. World J. Gastroenterol. 2018, 24, 3849–3860. [Google Scholar] [CrossRef]
- Sugimoto, K.; Moriyasu, F.; Oshiro, H.; Takeuchi, H.; Yoshimasu, Y.; Kasai, Y.; Itoi, T. Clinical Utilization of Shear Wave Dispersion Imaging in Diffuse Liver Disease. Ultrasonography 2020, 39, 3–10. [Google Scholar] [CrossRef] [PubMed]
- Gennisson, J.-L.; Deffieux, T.; Fink, M.; Tanter, M. Ultrasound Elastography: Principles and Techniques. Diagn. Interv. Imaging 2013, 94, 487–495. [Google Scholar] [CrossRef] [PubMed]
- Yamakoshi, Y.; Sato, J.; Sato, T. Ultrasonic Imaging of Internal Vibration of Soft Tissue under Forced Vibration. IEEE Trans. Ultrason. Ferroelect. Freq. Control 1990, 37, 45–53. [Google Scholar] [CrossRef] [PubMed]
- Tang, A.; Cloutier, G.; Szeverenyi, N.M.; Sirlin, C.B. Ultrasound Elastography and MR Elastography for Assessing Liver Fibrosis: Part 1, Principles and Techniques. AJR Am. J. Roentgenol. 2015, 205, 22–32. [Google Scholar] [CrossRef]
- Chen, S.; Urban, M.W.; Pislaru, C.; Kinnick, R.; Zheng, Y.; Yao, A.; Greenleaf, J.F. Shearwave Dispersion Ultrasound Vibrometry (SDUV) for Measuring Tissue Elasticity and Viscosity. IEEE Trans. Ultrason. Ferroelectr. Freq. Control 2009, 56, 55–62. [Google Scholar] [CrossRef]
- Zhu, Y.; Zheng, Y.; Shen, Y.; Chen, X.; Zhang, X.; Lin, H.; Guo, Y.; Wang, T.; Chen, S. Analyzing and Modeling Rheological Behavior of Liver Fibrosis in Rats Using Shear Viscoelastic Moduli. J. Zhejiang Univ. Sci. B 2014, 15, 375–381. [Google Scholar] [CrossRef]
- Zhu, Y.; Chen, X.; Zhang, X.; Chen, S.; Shen, Y.; Song, L. Modeling the Mechanical Properties of Liver Fibrosis in Rats. J. Biomech. 2016, 49, 1461–1467. [Google Scholar] [CrossRef]
- Lin, H.; Shen, Y.; Chen, X.; Zhu, Y.; Zheng, Y.; Zhang, X.; Guo, Y.; Wang, T.; Chen, S. Viscoelastic Properties of Normal Rat Liver Measured by Ultrasound Elastography: Comparison with Oscillatory Rheometry. Biorheology 2016, 53, 193–207. [Google Scholar] [CrossRef]
- Sugimoto, K.; Moriyasu, F.; Oshiro, H.; Yoshimasu, Y.; Takeuchi, H.; Kasai, Y.; Furuichi, Y.; Itoi, T. Value of Viscosity and Viscoelasticity Measurement in Patients with NAFLD Using Shear Wave Ultrasound Elastography. Kanzo 2018, 59, 370–373. [Google Scholar] [CrossRef]
- Furuichi, Y.; Sugimoto, K.; Oshiro, H.; Abe, M.; Takeuchi, H.; Yoshimasu, Y.; Itoi, T. Elucidation of Spleen Elasticity and Viscosity in a Carbon Tetrachloride Rat Model of Liver Cirrhosis Using a New Ultrasound Elastography. J. Med. Ultrason. 2021, 48, 431–437. [Google Scholar] [CrossRef]
- Barry, C.T.; Hah, Z.; Partin, A.; Mooney, R.A.; Chuang, K.-H.; Augustine, A.; Almudevar, A.; Cao, W.; Rubens, D.J.; Parker, K.J. Mouse Liver Dispersion for the Diagnosis of Early-Stage Fatty Liver Disease: A 70-Sample Study. Ultrasound Med. Biol. 2014, 40, 704–713. [Google Scholar] [CrossRef] [PubMed]
- Wang, K.; Zhang, S.; Zhou, W.; Wen, L.; Zhang, S.; Yu, D. Clinical Application of Shear Wave Elastography With Shear Wave Dispersion Imaging in the Preoperative Evaluation of Hepatic Parenchyma in Patients With Liver Tumors. J. Ultrasound Med. 2023, 42, 797–807. [Google Scholar] [CrossRef] [PubMed]
- Cetinic, I.; de Lange, C.; Simrén, Y.; Ekvall, N.; Östling, M.; Stén, L.; Boström, H.; Lagerstrand, K.; Hebelka, H. Ultrasound Shear Wave Elastography, Shear Wave Dispersion and Attenuation Imaging of Pediatric Liver Disease with Histological Correlation. Children 2022, 9, 692. [Google Scholar] [CrossRef] [PubMed]
- Nagasawa, T.; Kuroda, H.; Abe, T.; Saiki, H.; Takikawa, Y. Shear Wave Dispersion to Assess Liver Disease Progression in Fontan-Associated Liver Disease. PLoS ONE 2022, 17, e0271223. [Google Scholar] [CrossRef] [PubMed]
- Schulz, M.; Wilde, A.-C.B.; Demir, M.; Müller, T.; Tacke, F.; Wree, A. Shear Wave Elastography and Shear Wave Dispersion Imaging in Primary Biliary Cholangitis—A Pilot Study. Quant. Imaging Med. Surg. 2022, 12, 1235–1242. [Google Scholar] [CrossRef] [PubMed]
- Sun, X.; Zhang, L.; Jiang, L.; Cui, L.; Li, X. Shear Wave Dispersion Slope Measured with Shear Wave Dispersion Imaging Is Associated with Variceal Hemorrhage in Cirrhotic Patients. Diagnostics 2022, 12, 2909. [Google Scholar] [CrossRef]
- Wang, K.; Yu, D.; Li, G.; Wen, L.; Zhang, S. Comparison of the Diagnostic Performance of Shear Wave Elastography with Shear Wave Dispersion for Pre-Operative Staging of Hepatic Fibrosis in Patients with Hepatocellular Carcinoma. Eur. J. Radiol. 2022, 154, 110459. [Google Scholar] [CrossRef]
- Zhang, X.; Zheng, R.; Jin, J.; Wang, J.; Zhang, T.; Zeng, J. US Shear-Wave Elastography Dispersion for Characterization of Chronic Liver Disease. Radiology 2022, 305, 597–605. [Google Scholar] [CrossRef]
- Schulz, M.; Kleinjans, M.; Strnad, P.; Demir, M.; Holtmann, T.M.; Tacke, F.; Wree, A. Shear Wave Elastography and Shear Wave Dispersion Imaging in the Assessment of Liver Disease in Alpha1-Antitrypsin Deficiency. Diagnostics 2021, 11, 629. [Google Scholar] [CrossRef]
- Ferraioli, G.; Maiocchi, L.; Dellafiore, C.; Tinelli, C.; Above, E.; Filice, C. Performance and Cutoffs for Liver Fibrosis Staging of a Two-Dimensional Shear Wave Elastography Technique. Eur. J. Gastroenterol. Hepatol. 2021, 33, 89–95. [Google Scholar] [CrossRef]
- Su, P.; Su, W.; Wu, L.; Hsu, P.; Huang, S.; Hsu, Y. Reduction of Shear Wave Elastography but Not Shear Wave Dispersion After Successful Hepatitis C Treatment with Direct-Acting Antiviral Agents. J. Ultrasound Med. 2021, 40, 1919–1926. [Google Scholar] [CrossRef] [PubMed]
- Lee, D.H.; Lee, J.Y.; Bae, J.S.; Yi, N.-J.; Lee, K.-W.; Suh, K.-S.; Kim, H.; Lee, K.B.; Han, J.K. Shear-Wave Dispersion Slope from US Shear-Wave Elastography: Detection of Allograft Damage after Liver Transplantation. Radiology 2019, 293, 327–333. [Google Scholar] [CrossRef] [PubMed]
- Deffieux, T.; Gennisson, J.-L.; Bousquet, L.; Corouge, M.; Cosconea, S.; Amroun, D.; Tripon, S.; Terris, B.; Mallet, V.; Sogni, P.; et al. Investigating Liver Stiffness and Viscosity for Fibrosis, Steatosis and Activity Staging Using Shear Wave Elastography. J. Hepatol. 2015, 62, 317–324. [Google Scholar] [CrossRef]
- Platz Batista da Silva, N.; Scharf, G.; Lürken, L.; Verloh, N.; Schleder, S.; Stroszczynski, C.; Jung, E.M.; Haimerl, M. Different Ultrasound Shear Wave Elastography Techniques as Novel Imaging-Based Approaches for Quantitative Evaluation of Hepatic Steatosis—Preliminary Findings. Tomography 2023, 9, 681–692. [Google Scholar] [CrossRef]
- Gao, J.; Lee, R.; Trujillo, M. Reliability of Performing Multiparametric Ultrasound in Adult Livers. J. Ultrasound Med. 2022, 41, 699–711. [Google Scholar] [CrossRef]
- Jang, J.K.; Lee, E.S.; Seo, J.W.; Kim, Y.R.; Kim, S.Y.; Cho, Y.Y.; Lee, D.H. Two-Dimensional Shear-Wave Elastography and US Attenuation Imaging for Nonalcoholic Steatohepatitis Diagnosis: A Cross-Sectional, Multicenter Study. Radiology 2022, 305, 118–126. [Google Scholar] [CrossRef] [PubMed]
- Popa, A.; Bende, F.; Șirli, R.; Popescu, A.; Bâldea, V.; Lupușoru, R.; Cotrău, R.; Fofiu, R.; Foncea, C.; Sporea, I. Quantification of Liver Fibrosis, Steatosis, and Viscosity Using Multiparametric Ultrasound in Patients with Non-Alcoholic Liver Disease: A “Real-Life” Cohort Study. Diagnostics 2021, 11, 783. [Google Scholar] [CrossRef]
- Sugimoto, K.; Lee, D.H.; Lee, J.Y.; Yu, S.J.; Moriyasu, F.; Sakamaki, K.; Oshiro, H.; Takahashi, H.; Kakegawa, T.; Tomita, Y.; et al. Multiparametric US for Identifying Patients with High-Risk NASH: A Derivation and Validation Study. Radiology 2021, 301, 625–634. [Google Scholar] [CrossRef]
- Sugimoto, K.; Moriyasu, F.; Oshiro, H.; Takeuchi, H.; Abe, M.; Yoshimasu, Y.; Kasai, Y.; Sakamaki, K.; Hara, T.; Itoi, T. The Role of Multiparametric US of the Liver for the Evaluation of Nonalcoholic Steatohepatitis. Radiology 2020, 296, 532–540. [Google Scholar] [CrossRef]
- Trout, A.T.; Xanthakos, S.A.; Bennett, P.S.; Dillman, J.R. Liver Shear Wave Speed and Other Quantitative Ultrasound Measures of Liver Parenchyma: Prospective Evaluation in Healthy Children and Adults. Am. J. Roentgenol. 2020, 214, 557–565. [Google Scholar] [CrossRef]
- Etchell, E.; Jugé, L.; Hatt, A.; Sinkus, R.; Bilston, L.E. Liver Stiffness Values Are Lower in Pediatric Subjects than in Adults and Increase with Age: A Multifrequency MR Elastography Study. Radiology 2017, 283, 222–230. [Google Scholar] [CrossRef] [PubMed]
- Popa, A.; Sporea, I.; Bende, F.; Popescu, A.; Fofiu, R.; Borlea, A.; Bâldea, V.; Pascu, A.; Foncea, C.G.; Cotrău, R.; et al. The Non-Invasive Ultrasound-Based Assessment of Liver Viscosity in a Healthy Cohort. Diagnostics 2022, 12, 1451. [Google Scholar] [CrossRef] [PubMed]
- Lee, J.; Lee, R.; Erpelding, T.; Siddoway, R.L.; Gao, J. The Effect of Water Intake on Ultrasound Tissuecharacteristics and Hemodynamics of Adult Livers. Clin. Exp. Hepatol. 2021, 7, 223–230. [Google Scholar] [CrossRef] [PubMed]
- Chen, S.; Sanchez, W.; Callstrom, M.R.; Gorman, B.; Lewis, J.T.; Sanderson, S.O.; Greenleaf, J.F.; Xie, H.; Shi, Y.; Pashley, M.; et al. Assessment of Liver Viscoelasticity by Using Shear Waves Induced by Ultrasound Radiation Force. Radiology 2013, 266, 964–970. [Google Scholar] [CrossRef]
- Barr, R.G.; Wilson, S.R.; Rubens, D.; Garcia-Tsao, G.; Ferraioli, G. Update to the Society of Radiologists in Ultrasound Liver Elastography Consensus Statement. Radiology 2020, 296, 263–274. [Google Scholar] [CrossRef]
- Millonig, G.; Friedrich, S.; Adolf, S.; Fonouni, H.; Golriz, M.; Mehrabi, A.; Stiefel, P.; Pöschl, G.; Büchler, M.W.; Seitz, H.K.; et al. Liver Stiffness Is Directly Influenced by Central Venous Pressure. J. Hepatol. 2010, 52, 206–210. [Google Scholar] [CrossRef]
- Angulo, P. Nonalcoholic Fatty Liver Disease. N. Engl. J. Med. 2002, 346, 1221–1231. [Google Scholar] [CrossRef]
- Newsome, P.N.; Sasso, M.; Deeks, J.J.; Paredes, A.; Boursier, J.; Chan, W.-K.; Yilmaz, Y.; Czernichow, S.; Zheng, M.-H.; Wong, V.W.-S.; et al. FibroScan-AST (FAST) Score for the Non-Invasive Identification of Patients with Non-Alcoholic Steatohepatitis with Significant Activity and Fibrosis: A Prospective Derivation and Global Validation Study. Lancet Gastroenterol. Hepatol. 2020, 5, 362–373. [Google Scholar] [CrossRef]
- Barry, C.T.; Mills, B.; Hah, Z.; Mooney, R.A.; Ryan, C.K.; Rubens, D.J.; Parker, K.J. Shear Wave Dispersion Measures Liver Steatosis. Ultrasound Med. Biol. 2012, 38, 175–182. [Google Scholar] [CrossRef]
- Nakayama, R.; Takaya, Y.; Nakamura, K.; Toh, N.; Ito, H. Efficacy of Shear Wave Elastography for Assessment of Liver Function in Patients with Heart Failure. ESC Heart Fail. 2021, 8, 1751–1758. [Google Scholar] [CrossRef]
- Ohara, H.; Yoshihisa, A.; Ishibashi, S.; Matsuda, M.; Yamadera, Y.; Sugawara, Y.; Ichijo, Y.; Hotsuki, Y.; Watanabe, K.; Anzai, F.; et al. Shear Wave Dispersion Predicts Liver Fibrosis and Adverse Outcomes in Patients with Heart Failure. J. Clin. Med. 2020, 9, 3953. [Google Scholar] [CrossRef] [PubMed]
- Asrani, S.K.; Asrani, N.S.; Freese, D.K.; Phillips, S.D.; Warnes, C.A.; Heimbach, J.; Kamath, P.S. Congenital Heart Disease and the Liver. Hepatology 2012, 56, 1160–1169. [Google Scholar] [CrossRef] [PubMed]
- Zhang, X.-Q.; Zeng, J.; Jin, J.-Y.; Wang, J.-F.; Chi, Y.-Y.; Zheng, R.-Q. Shear-Wave Dispersion Slope of the Liver: Effect of Study Protocol and Ascites on the Measurement Applicability. Ultrasound Med. Biol. 2022, 48, 59–67. [Google Scholar] [CrossRef]
- Hirooka, M.; Koizumi, Y.; Nakamura, Y.; Yano, R.; Okazaki, Y.; Sunago, K.; Imai, Y.; Watanabe, T.; Yoshida, O.; Tokumoto, Y.; et al. Spleen Stiffness in Patients with Chronic Liver Disease Evaluated by 2-D Shear Wave Elastography with Ultrasound Multiparametric Imaging. Hepatol. Res. 2023, 53, 93–103. [Google Scholar] [CrossRef] [PubMed]


| Author (Year) | Study Design (N) | Aetiology of CLD | Reference Method | Population | US Device | Parameter (Unit) | Mean SWD Values (SD) or Median [IQR] | Main Results |
|---|---|---|---|---|---|---|---|---|
| Wang et al. (2023) [32] | Prospective (174) | Mixed aetiologies | Histology | Patients undergoing hepatectomy for liver tumours | Canon, Aplio i900 | SWDS (m/s)/kHz | F0: 10.2 F1: 11.7 F2: 13.3 F3: 14.1 F4: 18.6 | SWDS was significantly higher in patients with primary liver cancer and showed good correlation with fibrosis stage (r = 0.87); moderate correlation with necro-inflammatory activity (r = 0.55); no correlation with steatosis (r = 0.13). |
| Cetinic et al. (2022) [33] | Prospective (32) | Mixed aetiologies | Histology | Children with known or suspected liver disease undergoing liver biopsy | Canon, Aplio i800 | SWDS (m/s)/kHz | A0: 13.1 [8.4–17.2] A1: 13.6 [11.3–17.2] A2:16.1 [10.7–24.2] A3: 15.8 [15.3–16.3] | SWDS was significantly different between grades of inflammation. |
| Nagasawa et al. (2022) [34] | Cross-sectional (30) | Fontan-associated liver disease | CT | Fontan-associated liver disease undergoing liver US and CT | Canon, Aplio i800 | SWDS (m/s)/kHz | Controls: 9.3 F01: 12.5 [10.3–14.9] F ≥ 2: 17.6 [15.5–20.7] | SWDS was significantly different between the three groups. SWDS significantly correlated with central venous pressure (r = 0.53). |
| Schulz et al. (2022) [35] | Cross-sectional (22) | Primary biliary cholangitis | - | Patients undergoing liver US | Canon, Aplio i800 | SWDS (m/s)/kHz | All patients: 13.9 [11.6–21] | SWDS was significantly correlated with ALP (r = 0.54) and γ-GT (r = 0.49). |
| Sun et al. (2022) [36] | Prospective (65) | Mixed aetiologies | - | Cirrhotic patients undergoing upper gastrointestinal endoscopy | Canon, Aplio i900 | SWDS (m/s)/kHz | Variceal haemorrhage group: 17.0 (1.45) Non-variceal haemorrhage group: 15.2 (1.88) | SWDS was an independent risk factor for variceal haemorrhage and was significantly higher in variceal haemorrhage group. |
| Wang et al. (2022) [37] | Prospective (210) | Mixed aetiologies | Histology | Patients undergoing hepatectomy for hepatocellular carcinoma | Canon, Aplio i900 | SWDS (m/s)/kHz | F0: 11.8 (0.39) F1: 12.3 (0.91) F2: 13.6 (0.32) F3: 15.2 (0.44) F4: 17.4 (0.34) | SWDS showed a good correlation with fibrosis stage (r = 0.58); weak correlation with necro-inflammatory activity (r = 0.28); no correlation with steatosis (r = 0.17). |
| Zhang et al. (2022) [38] | Prospective (159) | Mixed aetiologies | Histology | Patients undergoing liver biopsy for CLD evaluation | Canon, Aplio i900 | SWDS (m/s)/kHz | F0: 12.3 [11.3–13.9] F1: 13.1 [12–14.7] F2: 14.2 [12.4–16.6] F3: 15.7 [14.2–18.7] F4: 16.7 [13.6–18.4] A0: 12.3 [10.6–14.5] A1: 13.1 [12–15.4] A2: 14.1 [12.7–17] A3: 16.6 [13.4–17.5] S0: 13.9 [12.2–16] S1: 12.6 [11–15.2] S2: 12.6 [10.4–13.5] | SDWS was significantly different among necro-inflammatory stages and fibrosis stages and significantly higher in A2-3 vs. A0-1. |
| Schulz et al. (2021) [39] | Cross sectional (29) | Alpha1-antitrypsin deficiency | - | Patients undergoing liver US | Canon, Aplio i800 | SWDS (m/s)/kHz | All patients: 14.2 [10.3–18.5] | SWDS was significantly correlated with spleen diameter and platelet count, while no correlation was found with ALT and AST. |
| Ferraioli et al. (2021) [40] | Cross-sectional (367) | Mixed aetiologies | Transient elastography | Patients underwent liver stiffness measurement | Canon, Aplio i800 | SWDS (m/s)/kHz | F0-1: 9.8 [8.8–10.8] F2: 13.6 [12–14.8] F3-4: 17.5 [13.7–20.5] | SWDS was significantly different between F0-1 vs. F2 and F0-1 vs. F3-4. SWDS showed poor correlation with ALT (r = 0.18). |
| Su et al. (2020) [41] | Retrospective (122) | Viral hepatitis | - | Patients with chronic C hepatitis treated with direct antiviral agents | Canon Aplio i800 | SWDS (m/s)/kHz | Baseline: 11.6 [9.3–13.9] 12 weeks after end of therapy: 11.2 [9.2–13.3] | SWDS showed no significant modification after antiviral therapy. |
| Lee et al. (2019) [42] | Prospective (104) | Mixed aetiologies | Histology | Liver transplanted patients undergoing biopsy for allograft evaluation | Canon, Aplio i900 | SWDS (m/s)/kHz | Allograft damaged: 14.4 [12.3–16.5] Allograft without damage: 10.4 [8.9–13] | SWDS was significantly higher in patients with allograft damage. Fibrosis and inflammatory activity were independently related to SWDS. |
| Deffieux et al. (2015) [43] | Prospective (120) | Mixed aetiologies and subgroup analysis in viral hepatitis | Histology | Patients with CLD undergoing liver biopsy | Supersonic Imagine, Aixplorer | Viscosity (Pa·s) | F0: 2 [0.8] F1: 2.3 [0.7] F2: 2.6 [0.5] F3: 2.7 [1.9] F4: 3.7 [2.5] A0: 2.2 [0.9] A1: 2.2 [0.8] A2: 3 [1.3] A3: 4.1 [2.4] S0: 2.2 [0.9] S1: 2.7 [1.3] S2: 2.7 [1.5] S3: 1.9 [0.3] | Viscosity showedfor F4 an AUC of 0.81 in all patients and 0.87 in viral hepatitis; for A ≥ 2 an AUC of 0.72 in all patients and 0.83 in viral hepatitis; for S ≥ 1 an AUC of 0.63 in all patients and 0.64 in viral hepatitis. |
| Author (Year) | Study Design (N) | Reference Method | Population | US Device | Parameter (Unit) | Mean SWD Values (SD) or Median [IQR] | Main Results |
|---|---|---|---|---|---|---|---|
| Platz Batista da Silva et al. (2023) [44] | Retrospective (15) | MRI-PDFF | Patients undergoing US and MRI-PDFF for hepatic steatosis | Canon, Aplio i800 | SWDS (m/s)/kHz | All patients: 16.5 (4.58) | SWDS showed moderate correlation with MRI-PDFF steatosis (r = 0.55) and good accuracy to diagnose steatosis (AUC 0.73, cut-off 18.5). |
| Gao et al. (2022) [45] | Prospective (21) | MRI-PDFF | Patients undergoing US and MRI-PDFF for hepatic steatosis | Canon, Aplio i800 | SWDS (m/s)/kHz | Steatosis group: 12.33 (0.87) No steatosis group: 10 (1.53) | SWDS was significantly higher in patients with liver steatosis compared to patients with normal liver. |
| Jang et al. (2022) [46] | Prospective (132) | Histology | Patients undergoing biopsy for suspected NASH | Canon, Aplio i800 | SWDS (m/s)/kHz | - | SWDS showed for A ≥ 1 an AUC of 0.86, cut-off 10.8; for A ≥ 2 an AUC of 0.86, cut-off 11.4; for A3 an AUC of 0.79, cut-off 11.6. |
| Popa et al. (2021) [47] | Cross-sectional (204) | - | Patients undergoing liver US | Supersonic MACH 30 with Vi.Plus | Viscosity (Pa·s) | All patients: 1.8 (0.83) | BMI and liver stiffness measured with 2D shear wave elastography were independently associated with Vi.Plus. |
| Sugimoto et al. (2021) [48] | Retrospective (111 (derivation cohort) and 102 (validation cohort)) | Histology | Patients undergoing biopsy for suspected NAFLD | Canon, Aplio i800 | SWDS (m/s)/kHz | Derivation cohort: 11.17 (2.24) Validation cohort: 11.53 (2.62) | A model based on stiffness, dispersion, and attenuation (LAD-NASH score) was able to identify high-risk NASH patients with high accuracy (AUC 0.86). |
| Sugimoto et al. (2020) [49] | Prospective (111) | Histology | Patients undergoing biopsy for suspected NAFLD | Canon, Aplio i800 | SWDS (m/s)/kHz | All patients: 11.17 (2.24) | SWDS showed for A ≥ 1 an AUC of 0.95, cut-off 8.5; for A ≥ 2 an AUC of 0.81, cut-off 9.9; for A3 an AUC of 0.85, cut-off 12.5. |
Disclaimer/Publisher’s Note: The statements, opinions and data contained in all publications are solely those of the individual author(s) and contributor(s) and not of MDPI and/or the editor(s). MDPI and/or the editor(s) disclaim responsibility for any injury to people or property resulting from any ideas, methods, instructions or products referred to in the content. |
© 2023 by the authors. Licensee MDPI, Basel, Switzerland. This article is an open access article distributed under the terms and conditions of the Creative Commons Attribution (CC BY) license (https://creativecommons.org/licenses/by/4.0/).
Share and Cite
Garcovich, M.; Paratore, M.; Ainora, M.E.; Riccardi, L.; Pompili, M.; Gasbarrini, A.; Zocco, M.A. Shear Wave Dispersion in Chronic Liver Disease: From Physical Principles to Clinical Usefulness. J. Pers. Med. 2023, 13, 945. https://doi.org/10.3390/jpm13060945
Garcovich M, Paratore M, Ainora ME, Riccardi L, Pompili M, Gasbarrini A, Zocco MA. Shear Wave Dispersion in Chronic Liver Disease: From Physical Principles to Clinical Usefulness. Journal of Personalized Medicine. 2023; 13(6):945. https://doi.org/10.3390/jpm13060945
Chicago/Turabian StyleGarcovich, Matteo, Mattia Paratore, Maria Elena Ainora, Laura Riccardi, Maurizio Pompili, Antonio Gasbarrini, and Maria Assunta Zocco. 2023. "Shear Wave Dispersion in Chronic Liver Disease: From Physical Principles to Clinical Usefulness" Journal of Personalized Medicine 13, no. 6: 945. https://doi.org/10.3390/jpm13060945
APA StyleGarcovich, M., Paratore, M., Ainora, M. E., Riccardi, L., Pompili, M., Gasbarrini, A., & Zocco, M. A. (2023). Shear Wave Dispersion in Chronic Liver Disease: From Physical Principles to Clinical Usefulness. Journal of Personalized Medicine, 13(6), 945. https://doi.org/10.3390/jpm13060945

