Open-Heart Cardio-Thoracic Biological Valve Replacement Following Complicated Transcatheter Aortic Valve Implantation
Abstract
1. Introduction
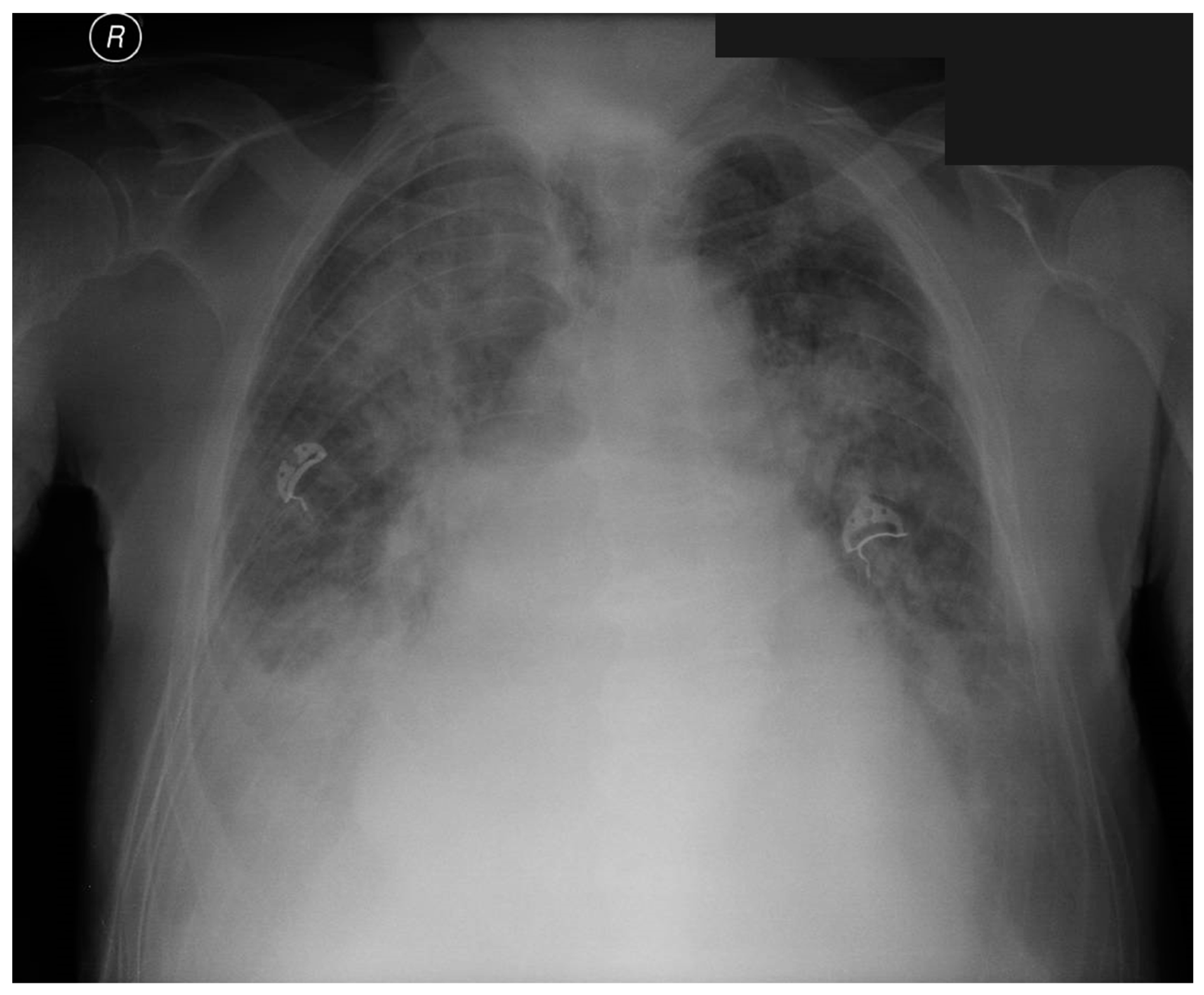
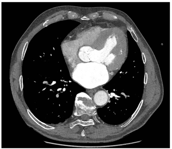
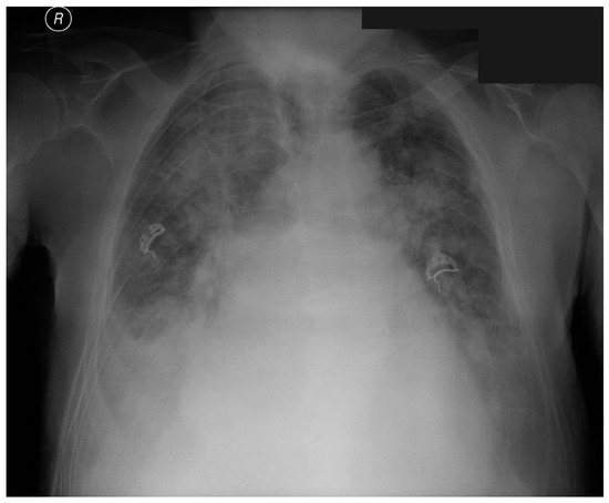
2. Case Report
3. Discussion
4. Conclusions
Author Contributions
Funding
Institutional Review Board Statement
Informed Consent Statement
Data Availability Statement
Conflicts of Interest
References
- Coffey, S.; Cox, B.; Williams, M.J.A. The Prevalence, Incidence, Progression, and Risks of Aortic Valve Sclerosis: A Systematic Review and Meta-Analysis. J. Am. Coll. Cardiol. 2014, 63, 2852–2861. [Google Scholar] [CrossRef] [PubMed]
- Lindroos, M.; Kupari, M.; Heikkilä, J.; Tilvis, R. Prevalence of aortic valve abnormalities in the elderly: An echocardiographic study of a random population sample. J. Am. Coll. Cardiol. 1993, 21, 1220–1225. [Google Scholar] [CrossRef] [PubMed]
- Gharacholou, S.M.; Karon, B.L.; Shub, C.; Pellikka, P.A. Aortic Valve Sclerosis and Clinical Outcomes: Moving toward a Definition. Am. J. Med. 2011, 124, 103–110. [Google Scholar] [CrossRef] [PubMed]
- Stewart, B.; Siscovick, D.; Lind, B.K.; Gardin, J.M.; Gottdiener, J.S.; Smith, V.E.; Kitzman, D.W.; Otto, C.M. Clinical Factors Associated With Calcific Aortic Valve Disease. J. Am. Coll. Cardiol. 1997, 29, 630–634. [Google Scholar] [CrossRef] [PubMed]
- Czarny, M.J.; Resar, J.R. Diagnosis and Management of Valvular Aortic Stenosis. Clin. Med. Insights Cardiol. 2014, 8, 15. [Google Scholar] [CrossRef] [PubMed]
- Grygier, M.; Olasińska-Wiśniewska, A.; Misterski, M.; Perek, B.; Urbanowicz, T.; Markiewicz, A.; Jemielity, M.; Lesiak, M. Navitor valve—A new TAVI solution for patients with aortic stenosis. Kardiol. Pol. 2021, 79, 1278–1279. [Google Scholar] [CrossRef] [PubMed]
- Steinvil, A.; Weissman, G.; Ertel, A.W.; Weigold, G.; Rogers, T.; Koifman, E.; Buchanan, K.D.; Shults, C.; Torguson, R.; Okubagzi, P.G.; et al. Accuracy of predicted orthogonal projection angles for valve deployment during transcatheter aortic valve replacement. J. Cardiovasc. Comput. Tomogr. 2018, 12, 398–403. [Google Scholar] [CrossRef] [PubMed]
- Bhushan, S.; Huang, X.; Li, Y.; He, S.; Mao, L.; Hong, W.; Xiao, Z. Paravalvular Leak After Transcatheter Aortic Valve Implantation Its Incidence, Diagnosis, Clinical Implications, Prevention, Management, and Future Perspectives: A Review Article. Curr. Probl. Cardiol. 2022, 47, 100957. [Google Scholar] [CrossRef] [PubMed]
- Leveille, L.; Jaussaud, N.; Theron, A.; Riberi, A.; Collart, F. Open-heart transcatheter aortic valve replacement in complex aortic valve reoperation: About a case series. Eur. Heart J. Case Rep. 2018, 2, yty064. [Google Scholar] [CrossRef] [PubMed]
- Hagar, A.; Li, Y.; Wei, X.; Peng, Y.; Xu, Y.; Ou, Y.; Wang, Z.; Wang, X.; Shah, J.-P.; Sihag, V.; et al. Incidence, Predictors, and Outcome of Paravalvular Leak after Transcatheter Aortic Valve Implantation. J. Interv. Cardiol. 2020, 2020, 1–11. [Google Scholar] [CrossRef] [PubMed]
- Eleid, M.F.; Nishimura, R.A.; Sorajja, P.; Borlaug, B.A. Systemic Hypertension in Low-Gradient Severe Aortic Stenosis With Preserved Ejection Fraction. Circulation 2013, 128, 1349–1353. [Google Scholar] [CrossRef] [PubMed]
- Pibarot, P.; Weissman, N.J.; Stewart, W.J.; Hahn, R.T.; Lindman, B.R.; McAndrew, T.; Kodali, S.K.; Mack, M.J.; Thourani, V.H.; Miller, D.C.; et al. Incidence and sequelae of prosthesis-patient mismatch in transcatheter versus surgical valve replacement in high-risk patients with severe aortic stenosis: A PARTNER trial cohort—A analysis. J. Am. Coll. Cardiol. 2014, 64, 1323–1334. [Google Scholar] [CrossRef] [PubMed]
- Musallam, A.; Buchanan, K.D.; Yerasi, C.; Dheendsa, A.; Zhang, C.; Shea, C.; Case, B.C.; Forrestal, B.J.; Satler, L.F.; Ben-Dor, I.; et al. Impact of Left Ventricular Outflow Tract Calcification on Outcomes Following Transcatheter Aortic Valve Replacement. Cardiovasc. Revasc. Med. 2022, 35, 1–7. [Google Scholar] [CrossRef] [PubMed]
- Ewe, S.H.; Ng, A.; Schuijf, J.; van der Kley, F.; Colli, A.; Palmen, M.; de Weger, A.; Marsan, N.A.; Holman, E.R.; de Roos, A.; et al. Location and severity of aortic valve calcium and implications for aortic regurgitation after transcatheter aortic valve implantation. Am. J. Cardiol. 2011, 108, 1470–1477. [Google Scholar] [CrossRef] [PubMed]
- Wilczek, K.; Bujak, K.; Reguła, R.; Chodór, P.; Osadnik, T. CARDIAC SURGERY Risk factors for paravalvular leak after transcatheter aortic valve implantation. Pol. J. Cardio-Thorac. Surg. 2015, 2, 89–94. [Google Scholar] [CrossRef] [PubMed]
- Kumar, A.; Sato, K.; Jobanputra, Y.; Betancor, J.; Halane, M.; George, R.; Banerjee, K.; Mohananey, D.; Menon, V.; Sammour, Y.M.; et al. Time-Integrated Aortic Regurgitation Index Helps Guide Balloon Postdilation During Transcatheter Aortic Valve Replacement and Predicts Survival. J. Am. Heart Assoc. 2019, 8, e012430. [Google Scholar] [CrossRef] [PubMed]
- Hovasse, T.; Tchétché, D. TAVR and bicuspid aortic valve. Ann. Cardiol. Angeiol. 2019, 68, 450–452. [Google Scholar] [CrossRef] [PubMed]
- Kleczyński, P.; Dziewierz, A.; Daniec, M.; Bagieński, M.; Rzeszutko, Ł.; Sorysz, D.; Trębacz, J.; Sobczyński, R.; Tomala, M.; Dudek, D. Impact of post-dilatation on the reduction of paravalvular leak and mortality after transcatheter aortic valve implantation. Kardiol. Pol. 2017, 75, 742–748. [Google Scholar] [CrossRef] [PubMed]
- Nalluri, N.; Atti, V.; Munir, A.B.; Karam, B.; Patel, N.J.; Kumar, V.; Vemula, P.; Edla, S.; Asti, D.; Paturu, A.; et al. Valve in valve transcatheter aortic valve implantation (ViV-TAVI) versus redo-Surgical aortic valve replacement (redo-SAVR): A systematic review and meta-analysis. J. Interv. Cardiol. 2018, 31, 661–671. [Google Scholar] [CrossRef] [PubMed]
- Al-Abcha, A.; Saleh, Y.; Boumegouas, M.; Prasad, R.; Herzallah, K.; Baloch, Z.Q.; Abdelkarim, O.; Rayamajhi, S.; Abela, G.S. Meta-Analysis of Valve-in-Valve Transcatheter Aortic Valve Implantation Versus Redo-surgical Aortic Valve Replacement in Failed Bioprosthetic Aortic Valve. Am. J. Cardiol. 2021, 146, 74–81. [Google Scholar] [CrossRef] [PubMed]





Disclaimer/Publisher’s Note: The statements, opinions and data contained in all publications are solely those of the individual author(s) and contributor(s) and not of MDPI and/or the editor(s). MDPI and/or the editor(s) disclaim responsibility for any injury to people or property resulting from any ideas, methods, instructions or products referred to in the content. |
© 2023 by the authors. Licensee MDPI, Basel, Switzerland. This article is an open access article distributed under the terms and conditions of the Creative Commons Attribution (CC BY) license (https://creativecommons.org/licenses/by/4.0/).
Share and Cite
Klotzka, A.; Woźniak, P.; Misterski, M.; Rodzki, M.; Puślecki, M.; Jemielity, M.; Grygier, M.; Araszkiewicz, A.; Iwańczyk, S.; Buczkowski, P. Open-Heart Cardio-Thoracic Biological Valve Replacement Following Complicated Transcatheter Aortic Valve Implantation. J. Pers. Med. 2023, 13, 838. https://doi.org/10.3390/jpm13050838
Klotzka A, Woźniak P, Misterski M, Rodzki M, Puślecki M, Jemielity M, Grygier M, Araszkiewicz A, Iwańczyk S, Buczkowski P. Open-Heart Cardio-Thoracic Biological Valve Replacement Following Complicated Transcatheter Aortic Valve Implantation. Journal of Personalized Medicine. 2023; 13(5):838. https://doi.org/10.3390/jpm13050838
Chicago/Turabian StyleKlotzka, Aneta, Patrycja Woźniak, Marcin Misterski, Michał Rodzki, Mateusz Puślecki, Marek Jemielity, Marek Grygier, Aleksander Araszkiewicz, Sylwia Iwańczyk, and Piotr Buczkowski. 2023. "Open-Heart Cardio-Thoracic Biological Valve Replacement Following Complicated Transcatheter Aortic Valve Implantation" Journal of Personalized Medicine 13, no. 5: 838. https://doi.org/10.3390/jpm13050838
APA StyleKlotzka, A., Woźniak, P., Misterski, M., Rodzki, M., Puślecki, M., Jemielity, M., Grygier, M., Araszkiewicz, A., Iwańczyk, S., & Buczkowski, P. (2023). Open-Heart Cardio-Thoracic Biological Valve Replacement Following Complicated Transcatheter Aortic Valve Implantation. Journal of Personalized Medicine, 13(5), 838. https://doi.org/10.3390/jpm13050838

