Patellofemoral Arthroplasty Is an Efficient Strategy for Isolated Patellofemoral Osteoarthritis with or without Robotic-Assisted System
Abstract
1. Introduction
2. Materials and Methods
2.1. Study Population
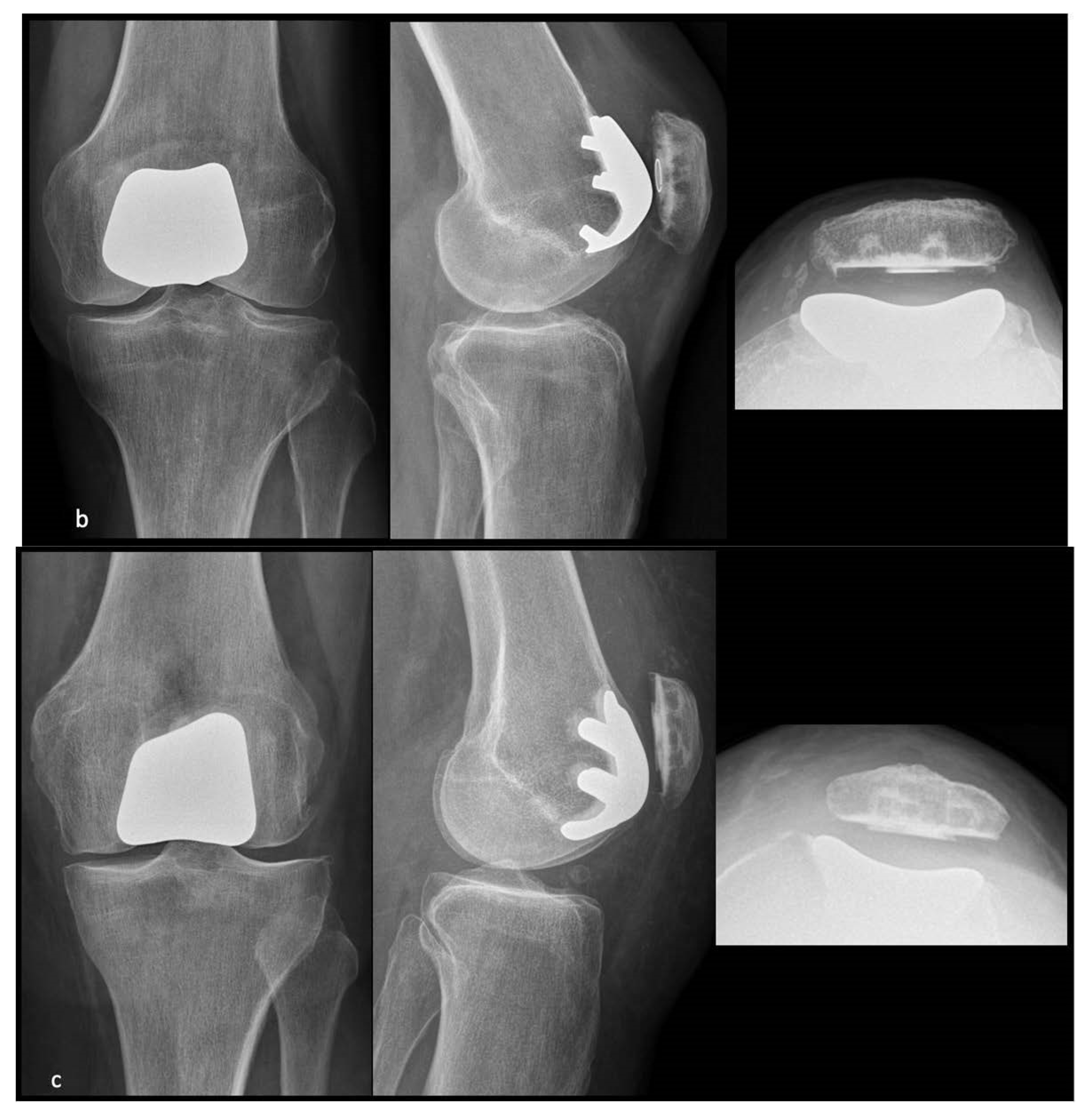
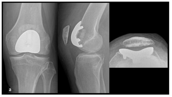
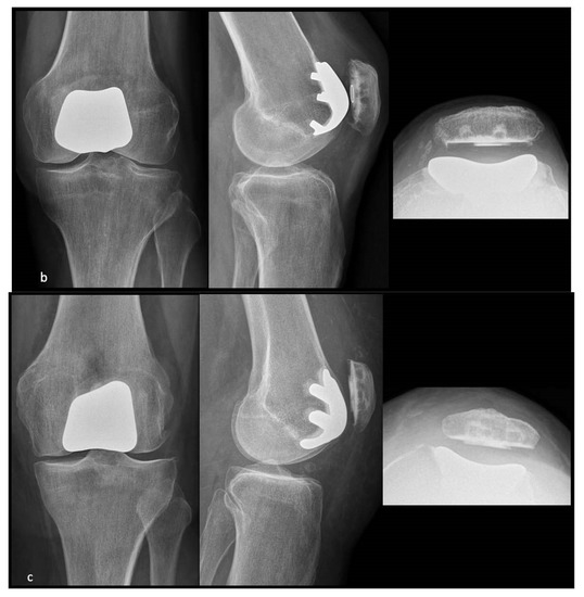
2.2. Implants
2.3. Data Assessment
2.4. Statistical Analysis
2.5. Ethical Approval
3. Results
4. Discussion
5. Conclusions
Author Contributions
Funding
Institutional Review Board Statement
Informed Consent Statement
Data Availability Statement
Conflicts of Interest
References
- Davies, A.P.; Vince, A.S.; Shepstone, L.; Donell, S.T.; Glasgow, M.M. The radiologic prevalence of patellofemoral osteoarthritis. Clin. Orthop. Relat. Res. 2002, 402, 206–212. [Google Scholar] [CrossRef] [PubMed]
- Kamikovski, I.; Dobransky, J.; Dervin, G.F. The Clinical Outcome of Patellofemoral Arthroplasty vs. Total Knee Arthroplasty in Patients Younger Than 55 Years. J. Arthroplast. 2019, 34, 2914–2917. [Google Scholar] [CrossRef] [PubMed]
- McAlindon, T.E.; Snow, S.; Cooper, C.; Dieppe, P.A. Radiographic patterns of osteoarthritis of the knee joint in the community: The importance of the patellofemoral joint. Ann. Rheum. Dis. 1992, 51, 844–849. [Google Scholar] [CrossRef] [PubMed]
- Dejour, D.; Saffarini, M.; Malemo, Y.; Pungitore, M.; Valluy, J.; Nover, L.; Demey, G. Early outcomes of an anatomic trochlear-cutting patellofemoral arthroplasty: Patient selection is key. Knee Surg. Sport. Traumatol. Arthrosc. Off. J. ESSKA 2019, 27, 2297–2302. [Google Scholar] [CrossRef]
- Feucht, M.J.; Cotic, M.; Beitzel, K.; Baldini, J.F.; Meidinger, G.; Schottle, P.B.; Imhoff, A.B. A matched-pair comparison of inlay and onlay trochlear designs for patellofemoral arthroplasty: No differences in clinical outcome but less progression of osteoarthritis with inlay designs. Knee Surg. Sport. Traumatol. Arthrosc. Off. J. ESSKA 2017, 25, 2784–2791. [Google Scholar] [CrossRef]
- Board, T.N.; Mahmood, A.; Ryan, W.G.; Banks, A.J. The Lubinus patellofemoral arthroplasty: A series of 17 cases. Arch. Orthop. Trauma Surg. 2004, 124, 285–287. [Google Scholar] [CrossRef]
- Krajca-Radcliffe, J.B.; Coker, T.P. Patellofemoral arthroplasty. A 2- to 18-year followup study. Clin. Orthop. Relat. Res. 1996, 330, 143–151. [Google Scholar] [CrossRef]
- Tauro, B.; Ackroyd, C.E.; Newman, J.H.; Shah, N.A. The Lubinus patellofemoral arthroplasty. A five- to ten-year prospective study. J. Bone Jt. Surg. Br. Vol. 2001, 83, 696–701. [Google Scholar] [CrossRef]
- Lonner, J.H. Patellofemoral arthroplasty. J. Am. Acad. Orthop. Surg. 2007, 15, 495–506. [Google Scholar] [CrossRef]
- Lustig, S. Patellofemoral arthroplasty. Orthop. Traumatol. Surg. Res. 2014, 100, S35–S43. [Google Scholar] [CrossRef]
- Foissey, C.; Batailler, C.; Vahabi, A.; Fontalis, A.; Servien, E.; Lustig, S. Better accuracy and implant survival in medial imageless robotic-assisted unicompartmental knee arthroplasty compared to conventional unicompartmental knee arthroplasty: Two- to eleven-year follow-up of three hundred fifty-six consecutive knees. Int. Orthop. 2023, 47, 533–541. [Google Scholar] [CrossRef]
- Deckey, D.G.; Rosenow, C.S.; Verhey, J.T.; Brinkman, J.C.; Mayfield, C.K.; Clarke, H.D.; Bingham, J.S. Robotic-assisted total knee arthroplasty improves accuracy and precision compared to conventional techniques. Bone Jt. J. 2021, 103-B, 74–80. [Google Scholar] [CrossRef] [PubMed]
- Doan, G.W.; Courtis, R.P.; Wyss, J.G.; Green, E.W.; Clary, C.W. Image-Free Robotic-Assisted Total Knee Arthroplasty Improves Implant Alignment Accuracy: A Cadaveric Study. J. Arthroplast. 2022, 37, 795–801. [Google Scholar] [CrossRef] [PubMed]
- Batailler, C.; Bordes, M.; Lording, T.; Nigues, A.; Servien, E.; Calliess, T.; Lustig, S. Improved sizing with image-based robotic-assisted system compared to image-free and conventional techniques in medial unicompartmental knee arthroplasty. Bone Jt. J. 2021, 103-B, 610–618. [Google Scholar] [CrossRef] [PubMed]
- Kayani, B.; Konan, S.; Pietrzak, J.R.T.; Haddad, F.S. Iatrogenic Bone and Soft Tissue Trauma in Robotic-Arm Assisted Total Knee Arthroplasty Compared with Conventional Jig-Based Total Knee Arthroplasty: A Prospective Cohort Study and Validation of a New Classification System. J. Arthroplast. 2018, 33, 2496–2501. [Google Scholar] [CrossRef]
- Fontalis, A.; Kayani, B.; Asokan, A.; Haddad, I.C.; Tahmassebi, J.; Konan, S.; Oussedik, S.; Haddad, F.S. Inflammatory Response in Robotic-Arm-Assisted Versus Conventional Jig-Based TKA and the Correlation with Early Functional Outcomes: Results of a Prospective Randomized Controlled Trial. J. Bone Jt. Surg. 2022, 104, 1905–1914. [Google Scholar] [CrossRef]
- Iwano, T.; Kurosawa, H.; Tokuyama, H.; Hoshikawa, Y. Roentgenographic and clinical findings of patellofemoral osteoarthrosis. With special reference to its relationship to femorotibial osteoarthrosis and etiologic factors. Clin. Orthop. Relat. Res. 1990, 252, 190–197. [Google Scholar] [CrossRef]
- Caton, J.; Deschamps, G.; Chambat, P.; Lerat, J.L.; Dejour, H. Patella infera. Apropos of 128 cases. Rev. Chir. Orthop. Reparatrice Appar. Mot. 1982, 68, 317–325. [Google Scholar]
- Chia, S.L.; Merican, A.M.; Devadasan, B.; Strachan, R.K.; Amis, A.A. Radiographic features predictive of patellar maltracking during total knee arthroplasty. Knee Surg. Sport. Traumatol. Arthrosc. 2009, 17, 1217–1224. [Google Scholar] [CrossRef]
- Gomes, L.S.; Bechtold, J.E.; Gustilo, R.B. Patellar prosthesis positioning in total knee arthroplasty. A roentgenographic study. Clin. Orthop. Relat. Res. 1988, 236, 72–81. [Google Scholar] [CrossRef]
- Thienpont, E.; Lonner, J.H. Coronal alignment of patellofemoral arthroplasty. Knee 2014, 21 (Suppl. 1), S51–S57. [Google Scholar] [CrossRef] [PubMed]
- Borus, T.; Brilhault, J.; Confalonieri, N.; Johnson, D.; Thienpont, E. Patellofemoral joint replacement, an evolving concept. Knee 2014, 21 (Suppl. 1), S47–S50. [Google Scholar] [CrossRef] [PubMed]
- Selvaratnam, V.; Cattell, A.; Eyres, K.S.; Toms, A.D.; Phillips, J.R.P.; Mandalia, V.I. Robotic-Assisted Patellofemoral Replacement-Correlation of Preoperative Planning with Intraoperative Implant Position and Early Clinical Experience: A Minimum 2-Year Follow-up. J. Knee Surg. 2022, 35, 731–738. [Google Scholar] [CrossRef] [PubMed]
- Leadbetter, W.B.; Ragland, P.S.; Mont, M.A. The appropriate use of patellofemoral arthroplasty: An analysis of reported indications, contraindications, and failures. Clin. Orthop. Relat. Res. 2005, 436, 91–99. [Google Scholar] [CrossRef]
- Villa, J.C.; Paoli, A.R.; Nelson-Williams, H.W.; Badr, R.N.; Harper, K.D. Onlay Patellofemoral Arthroplasty in Patients with Isolated Patellofemoral Arthritis: A Systematic Review. J. Arthroplast. 2021, 36, 2642–2649. [Google Scholar] [CrossRef]
- Turktas, U.; Piskin, A.; Poehling, G.G. Short-term outcomes of robotically assisted patello-femoral arthroplasty. Int. Orthop. 2016, 40, 919–924. [Google Scholar] [CrossRef]
- Dy, C.J.; Franco, N.; Ma, Y.; Mazumdar, M.; McCarthy, M.M.; Gonzalez Della Valle, A. Complications after patello-femoral versus total knee replacement in the treatment of isolated patello-femoral osteoarthritis. A meta-analysis. Knee Surg. Sport. Traumatol. Arthrosc. Off. J. ESSKA 2012, 20, 2174–2190. [Google Scholar] [CrossRef]
- Parratte, S.; Lunebourg, A.; Ollivier, M.; Abdel, M.P.; Argenson, J.N. Are revisions of patellofemoral arthroplasties more like primary or revision TKAs. Clin. Orthop. Relat. Res. 2015, 473, 213–219. [Google Scholar] [CrossRef]
- Pearle, A.D.; van der List, J.P.; Lee, L.; Coon, T.M.; Borus, T.A.; Roche, M.W. Survivorship and patient satisfaction of robotic-assisted medial unicompartmental knee arthroplasty at a minimum two-year follow-up. Knee 2017, 24, 419–428. [Google Scholar] [CrossRef]
- Dahlmann, S.; Ziegeler, K.; Mau-Moller, A.; Mittelmeier, W.; Bergschmidt, P. Patellar Tracking in Total Knee Arthroplasty-Influence on Clinical and Functional Outcome. Diagnostics 2022, 12, 1082. [Google Scholar] [CrossRef]
- Parikh, S.N.; Lykissas, M.G.; Gkiatas, I. Predicting Risk of Recurrent Patellar Dislocation. Curr. Rev. Musculoskelet. Med. 2018, 11, 253–260. [Google Scholar] [CrossRef] [PubMed]


| Whole Cohort N = 77 Knees | Inlay PFA N = 42 | Onlay PFA N = 35 | p-Value | Mechanical N = 18 | Image Free N = 17 | Image Based N = 42 | p-Value | |
|---|---|---|---|---|---|---|---|---|
| Age (years) | 61.4 ± 12.2 | 62.7 ± 11.4 | 59.7 ± 13 | 0.29 | 61.0 ± 13.7 | 58.4 ± 12.4 | 62.7 ± 11.4 | 0.21 |
| mean ± SD [Min; Max] | [24; 88] | [45; 88] | [24; 83] | [24; 83] | [34; 78] | [45; 88] | ||
| BMI (kg/m2) | 27.5 ± 5.5 | 28.7 ± 5.7 | 26.0 ± 5.0 | 0.032 * | 25.9 ± 5.6 | 26.1 ± 4.5 | 28.7 ± 5.7 | 0.097 |
| mean ± SD [Min; Max] | [18; 45] | [19; 45] | [18; 38] | [18; 36] | [19; 38] | [19; 45] | ||
| Gender (Female) (%) | 60 (78%) | 32 (76%) | 28 (80%) | 0.79 | 12 (67%) | 16 (94%) | 32 (76%) | 0.12 |
| Caton Deschamps Index | 1.0 ± 0.15 | 1.0 ± 0.14 | 1.0 ± 0.17 | 0.94 | 0.9 ± 0.17 | 1.1 ± 0.14 | 1.0 ± 0.14 | 0.073 |
| mean ± SD [Min; Max] | [0.63; 1.4] | [0.67; 1.4] | [0.63; 1.3] | [0.63; 1.3] | [0.8; 1.3] | [0.67; 1.4] | ||
| Patellar tilt (°) | 8.9 ± 7.0 | 9.2 ± 7.0 | 8.5 ± 7.1 | 0.78 | 5.2 ± 7.1 | 11.6 ± 5.8 | 9.2 ± 7.0 | 0.055 |
| mean ± SD [Min; Max] | [−16; 28] | [−4; 28] | [−16; 24] | [−16; 13] | [2; 24] | [−3.6; 28] | ||
| HKA angle (°) | 180.9 ± 3.6 | 180.6 ± 3.4 | 181.3 ± 3.8 | 0.46 | 179.2 ± 3.0 | 182.8 ± 3.7 | 180.6 ± 3.4 | 0.021 * |
| mean ± SD [Min; Max] | [173; 191] | [175; 189] | [173; 191] | [173; 185] | [177; 191] | [175; 189] | ||
| TT−TG (mm) | 11.5 ± 5.5 | 10.8 ± 5.2 | 13.8 ± 6.1 | 0.092 | 13.8 ± 6.1 | NR | 10.8 ± 5.2 | 0.092 |
| mean ± SD [Min; Max] | [2; 23] | [2; 22] | [5; 23] | [5; 23] | [2; 22] | |||
| Osteoarthritis stage (Iwano) | ||||||||
| 1 | 8 | 2 | 6 | 0.107 | 2 | 4 | 2 | 0.14 |
| 2 | 12 | 7 | 5 | 2 | 3 | 7 | ||
| 3 | 34 | 17 | 17 | 7 | 10 | 17 | ||
| 4 | 17 | 12 | 5 | 5 | 0 | 12 |
| Whole Cohort N = 77 Knees | Inlay PFA N = 42 | Onlay PFA N = 35 | p-Value | |
|---|---|---|---|---|
| KSS Knee score | 87.8 ± 13.2 | 86.8 ± 10.8 | 88.8 ± 15.2 | 0.55 |
| mean ± SD [Min; Max] | [30; 100] | [62; 100] | [30; 100] | |
| KSS Function score | 83.7 ± 16.8 | 84.0 ± 14.9 | 83.5 ± 18.5 | 0.90 |
| mean ± SD [Min; Max] | [20; 100] | [33; 100] | [20; 100] | |
| Kujala score | 85.5 ± 17.9 | 88.0 ± 15 | 83.2 ± 20.1 | 0.28 |
| mean ± SD [Min; Max] | [0; 100] | [37; 100] | [0; 100] | |
| Satisfaction | 57.6% | 48.4% | 65.7% | 0.24 |
| (Very satisfied or satisfied) | ||||
| VAS | 1.7 ± 1.7 | 1.8 ± 1.7 | 1.5 ± 1.7 | 0.45 |
| mean ± SD [Min; Max] | [0; 7] | [0; 7] | [0; 6] | |
| Caton Deschamps Index | 0.9 ± 0.19 | 0.94 ± 0.18 | 0.96 ± 0.2 | 0.65 |
| mean ± SD [Min; Max] | [0.47; 1.78] | [0.57; 1.4] | [0.47; 1.78] | |
| Patellar tilt (°) | 3.1 ± 4.1 | 2.7 ± 4.4 | 3.7 ± 3.9 | 0.32 |
| mean ± SD [Min; Max] | [−8.4; 14] | [−8.4; 12] | [−2.2; 14] | |
| Improvement of Patellar tilt (°) | 5.2 ± 7.0 | 5.6 ± 6.1 | 4.8 ± 8.0 | 0.64 |
| mean ± SD [Min; Max] | [−17.4; 19.8] | [−3.6; 19.8] | [−17.4; 19] | |
| Frontal alignment of trochlea (°) | 90.8 ± 3.6 | 90.1 ± 2.4 | 91.5 ± 4.4 | 0.11 |
| mean ± SD [Min; Max] | [82; 103] | [86; 96.7] | [82; 103] |
| Whole Cohort N = 77 Knees | Mechanical N = 18 | Image Free N = 17 | Image Based N = 42 | p-Value Mechanical vs. Image Free | p-Value Mechanical vs. Image Based | p-Value Image Free vs. Image Based | p-Value Global | |
|---|---|---|---|---|---|---|---|---|
| KKS Knee score | 87.8 ± 13.2 | 89.3 ± 11.8 | 88.2 ± 18.5 | 86.8 ± 10.8 | 0.97 | 0.81 | 0.93 | 0.82 |
| mean ± SD [Min; Max] | [30; 100] | [55; 100] | [30; 100] | [62; 100] | ||||
| KSS Function score | 83.7 ± 16.8 | 86.4 ± 19.6 | 80.4 ± 17.2 | 84 ± 14.9 | 0.54 | 0.88 | 0.76 | 0.57 |
| mean ± SD [Min; Max] | [20; 100] | [20; 100] | [36; 95] | [33; 100] | ||||
| Kujala score | 85.5 ± 17.9 | 83.5 ± 24.2 | 82.8 ± 15.3 | 88.0 ± 15 | 0.99 | 0.67 | 0.61 | 0.55 |
| mean ± SD [Min; Max] | [0; 100] | [0; 100] | [31; 98] | [37; 100] | ||||
| Satisfaction | 57.6% | 61% | 70.6% | 48.4% | NR | NR | NR | 0.35 |
| (% of satisfied) | ||||||||
| VAS | 1.7 ± 1.7 | 1.1 ± 1.5 | 1.9 ± 1.8 | 1.8 ± 1.7 | 0.33 | 0.33 | 0.98 | 0.27 |
| mean ± SD [Min; Max] | [0; 7] | [0; 6] | [0; 6] | [0; 7] | ||||
| Caton Deschamps Index | 0.9 ± 0.19 | 0.96 ± 0.26 | 0.96 ± 0.12 | 0.94 ± 0.18 | 1 | 0.94 | 0.92 | 0.90 |
| mean ± SD [Min; Max] | [0.47; 1.78] | [0.47; 1.78] | [0.7; 1.2] | [0.57; 1.4] | ||||
| Patellar tilt (°) | 3.1 ± 4.1 | 4.5 ± 4.8 | 3 ± 2.8 | 2.7 ± 4.4 | 0.53 | 0.35 | 0.98 | 0.37 |
| mean ± SD [Min; Max] | [−8.4; 14] | [−2.2; 14] | [0; 10] | [−8.4; 12] | ||||
| Improvement of Patellar tilt (°) | 5.2 ± 7.0 | −0.09 ± 7.7 | 8.2 ± 6.5 | 5.6 ± 6.1 | 0.004 * | 0.033 * | 0.4 | 0.87 |
| mean ± SD [Min; Max] | [−17.4; 19.8] | [−17.4; 11.5] | [−6; 19] | [−3.6; 19.8] | ||||
| Frontal alignment of trochlea (°) | 90.8 ± 3.6 | 91.3 ± 2.5 | 91.7 ± 5.8 | 90.1 ± 2.4 | 0.94 | 0.52 | 0.29 | 0.26 |
| mean ± SD [Min; Max] | [82; 103] | [87; 96] | [82; 103] | [86; 96.7] |
| Odds Ratio | p-Value | |
|---|---|---|
| Gender (Female) | 0.79 [0.09–7.2] | 0.84 |
| Age | 1.0 [0.94–1.1] | 0.97 |
| BMI | 1.1 [0.99–1.3] | 0.062 |
| Patellar Tilt | 0.93 [0.82–1.0] | 0.22 |
| HKA | 0.99 [0.78–1.3] | 0.93 |
| Surgical Technique (Conventional) | 1.8 [0.17–20.4] | 0.62 |
| Implants (Inlay) | 1.0 [0.99–1.0] | 1 |
Disclaimer/Publisher’s Note: The statements, opinions and data contained in all publications are solely those of the individual author(s) and contributor(s) and not of MDPI and/or the editor(s). MDPI and/or the editor(s) disclaim responsibility for any injury to people or property resulting from any ideas, methods, instructions or products referred to in the content. |
© 2023 by the authors. Licensee MDPI, Basel, Switzerland. This article is an open access article distributed under the terms and conditions of the Creative Commons Attribution (CC BY) license (https://creativecommons.org/licenses/by/4.0/).
Share and Cite
Batailler, C.; Putzeys, P.; Lacaze, F.; Vincelot-Chainard, C.; Fontalis, A.; Servien, E.; Lustig, S. Patellofemoral Arthroplasty Is an Efficient Strategy for Isolated Patellofemoral Osteoarthritis with or without Robotic-Assisted System. J. Pers. Med. 2023, 13, 625. https://doi.org/10.3390/jpm13040625
Batailler C, Putzeys P, Lacaze F, Vincelot-Chainard C, Fontalis A, Servien E, Lustig S. Patellofemoral Arthroplasty Is an Efficient Strategy for Isolated Patellofemoral Osteoarthritis with or without Robotic-Assisted System. Journal of Personalized Medicine. 2023; 13(4):625. https://doi.org/10.3390/jpm13040625
Chicago/Turabian StyleBatailler, Cécile, Pit Putzeys, Franck Lacaze, Caroline Vincelot-Chainard, Andreas Fontalis, Elvire Servien, and Sébastien Lustig. 2023. "Patellofemoral Arthroplasty Is an Efficient Strategy for Isolated Patellofemoral Osteoarthritis with or without Robotic-Assisted System" Journal of Personalized Medicine 13, no. 4: 625. https://doi.org/10.3390/jpm13040625
APA StyleBatailler, C., Putzeys, P., Lacaze, F., Vincelot-Chainard, C., Fontalis, A., Servien, E., & Lustig, S. (2023). Patellofemoral Arthroplasty Is an Efficient Strategy for Isolated Patellofemoral Osteoarthritis with or without Robotic-Assisted System. Journal of Personalized Medicine, 13(4), 625. https://doi.org/10.3390/jpm13040625

