Clinical and Radiological Outcome of Disc Arthroplasty for the Treatment of Cervical Spondylotic Myelopathy
Abstract
1. Introduction
2. Materials and Methods
Implant and Surgical Technique
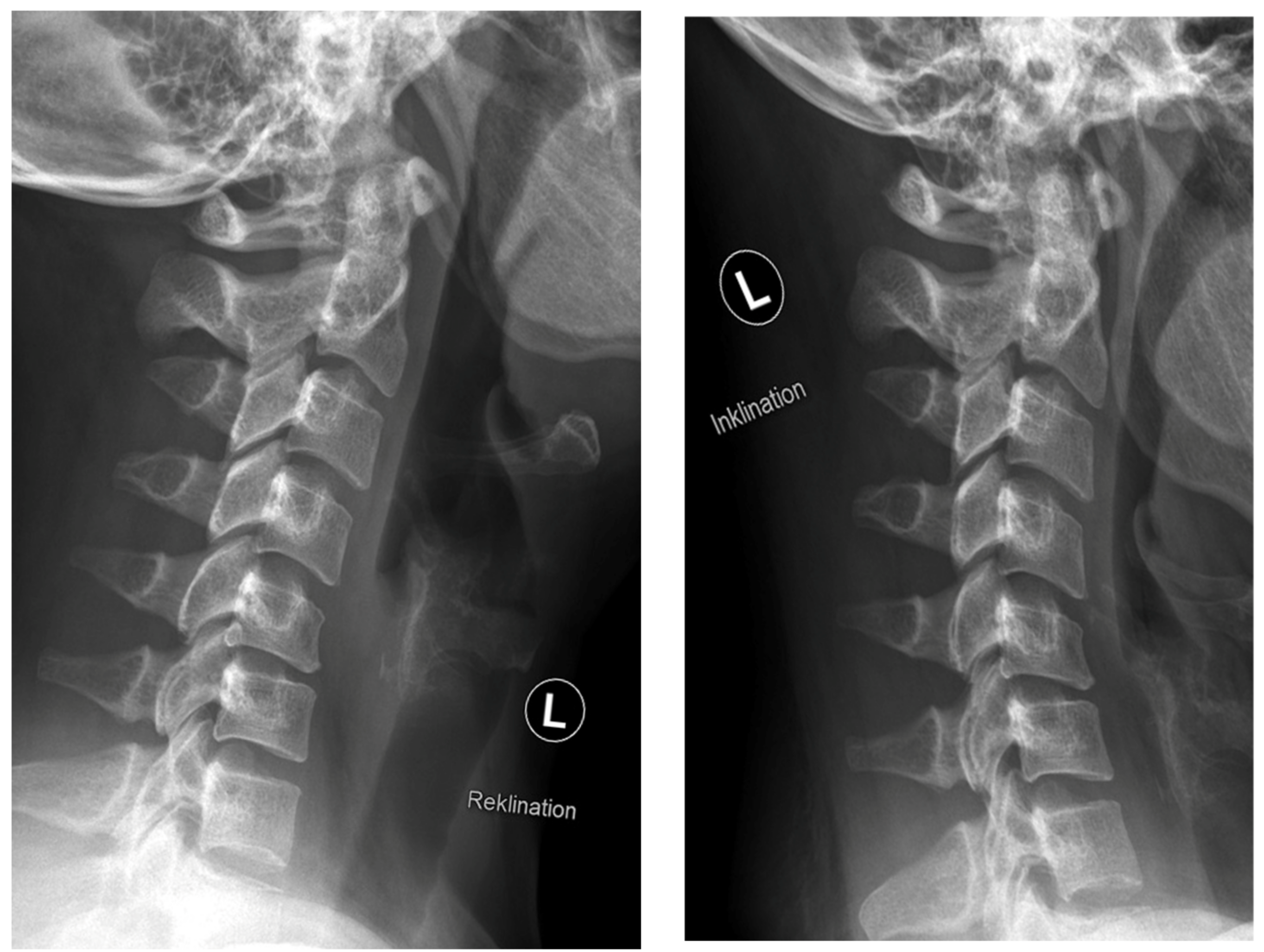
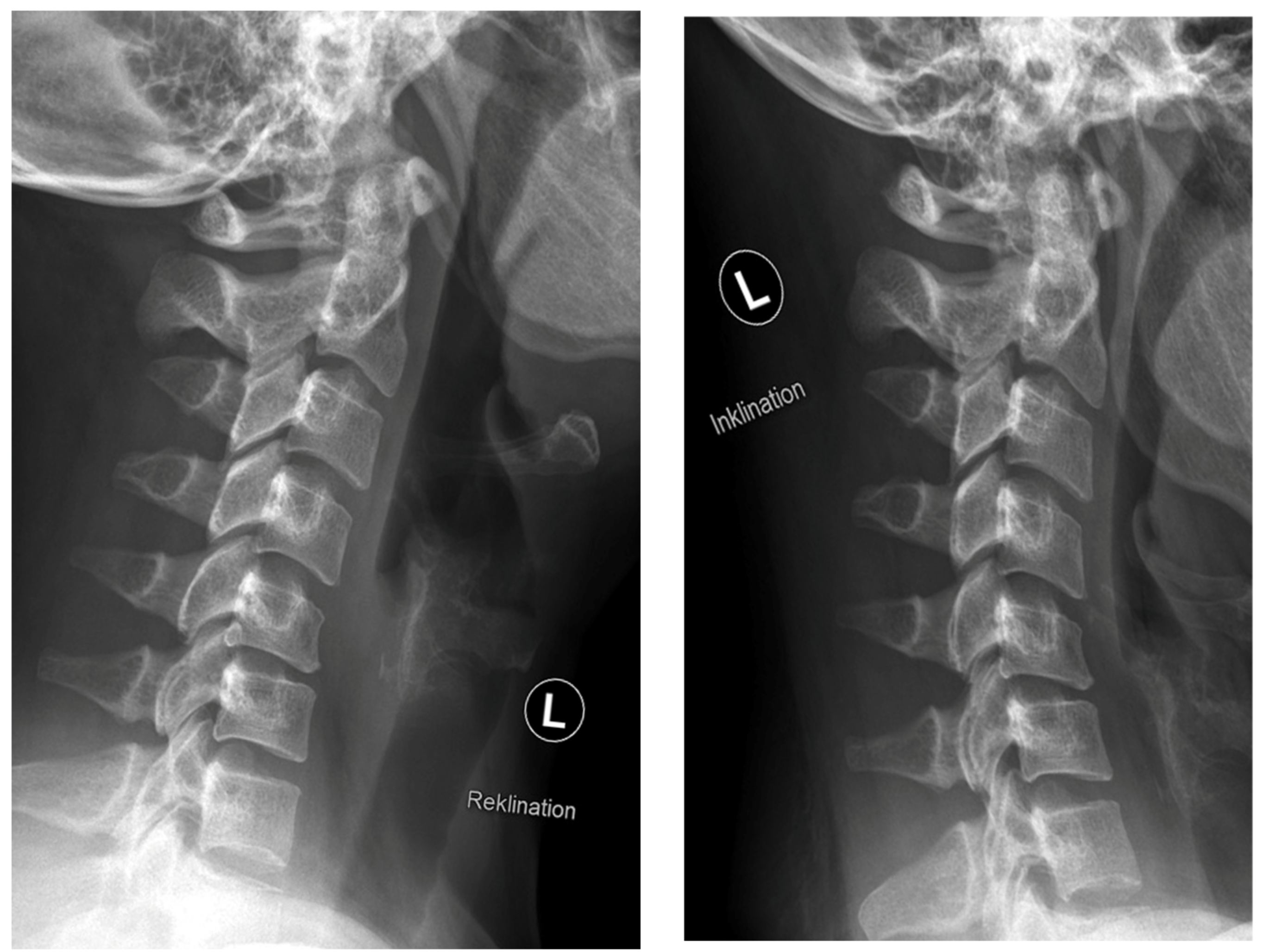
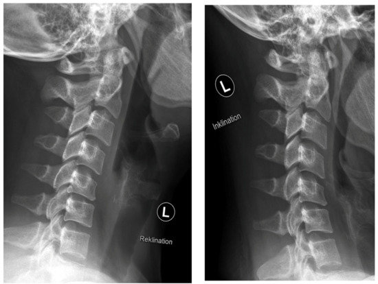
3. Results
4. Discussion
Limitations
Author Contributions
Funding
Institutional Review Board Statement
Informed Consent Statement
Data Availability Statement
Conflicts of Interest
References
- Klineberg, E. Cervical Spondylotic Myelopathy: A Review of the Evidence. Orthop. Clin. N. Am. 2010, 41, 193–202. [Google Scholar] [CrossRef] [PubMed]
- Nouri, A.; Tetreault, L.; Singh, A.; Karadimas, S.K.; Fehlings, M.G. Degenerative cervical myelopathy: Epidemiology, genetics, and pathogenesis. Spine 2015, 40, E675–E693. [Google Scholar] [CrossRef] [PubMed]
- De Oliveira Vilaça, C.; Orsini, M.; Leite, M.A.A.; de Freitas, M.R.; Davidovich, E.; Fiorelli, R.; Pessoa, B.L. Cervical spondylotic myelopathy: What the neurologist should know. Neurol. Int. 2016, 8, 6330. [Google Scholar]
- Oshima, Y.; Seichi, A.; Takeshita, K.; Chikuda, H.; Ono, T.; Baba, S.; Morii, J.; Oka, H.; Kawaguchi, H.; Nakamura, K.; et al. Natural course and prognostic factors in patients with mild cervical spondylotic myelopathy with increased signal intensity on T2-weighted magnetic resonance imaging. Spine 2012, 37, 1909–1913. [Google Scholar] [CrossRef] [PubMed]
- Tetreault, L.; Kopjar, B.; Nouri, A.; Arnold, P.; Barbagallo, G.; Bartels, R.; Qiang, Z.; Singh, A.; Zileli, M.; Vaccaro, A.; et al. The modified Japanese Orthopaedic Association scale: Establishing criteria for mild, moderate and severe impairment in patients with degenerative cervical myelopathy. Eur. Spine J. 2016, 26, 78–84. [Google Scholar] [CrossRef]
- Badhiwala, J.H.; Witiw, C.D.; Nassiri, F.; A Akbar, M.; Mansouri, A.; Wilson, J.R.; Fehlings, M.G. Efficacy and safety of surgery for mild degenerative cervical myelopathy: Results of the aospine North America and international prospective multicenter studies. Neurosurgery 2019, 84, 890–897. [Google Scholar] [CrossRef]
- Matz, P.G.; Anderson, P.A.; Holly, L.T.; Groff, M.W.; Heary, R.F.; Kaiser, M.G.; Resnick, D.K. The natural history of cervical spondylotic myelopathy. J. Neurosurg. Spine 2009, 11, 104–111. [Google Scholar] [CrossRef]
- Karadimas, S.K.; Erwin, W.M.; Ely, C.G.; Dettori, J.R.; Fehlings, M.G. Pathophysiology and natural history of cervical spondylotic myelopathy. Spine 2013, 38, 21–36. [Google Scholar] [CrossRef]
- Fehlings, M.G.; Ibrahim, A.; Tetreault, L.; Albanese, V.; Alvarado, M.; Arnold, P.; Kopjar, B. A global perspective on the outcomes of surgical decompression in patients with cervical spondylotic myelopathy: Results from the prospective multicenter aospine international study on 479 patients. Spine 2015, 40, 1322–1328. [Google Scholar] [CrossRef]
- Eck, J.C.; Humphreys, S.C.; Lim, T.H.; Jeong, S.T.; Kim, J.G.; Hodges, S.D.; An, H.S. Biomechanical study on the effect of cervical spine fusion on adjacent-level intradiscal pressure and segmental motion. Spine 2002, 27, 2431–2434. [Google Scholar] [CrossRef]
- Sasso, R.C.; Anderson, P.A.; Riew, K.D.; Heller, J.G. Results of cervical arthroplasty compared with anterior discectomy and fusion: Four-year clinical outcomes in a prospective, randomized controlled trial. J. Bone Jt. Surg.-Ser. A 2011, 93, 1684–1692. [Google Scholar] [CrossRef]
- Sasso, W.R.; Smucker, J.D.; Sasso, M.P.; Sasso, R.C. Long-term Clinical Outcomes of Cervical Disc Arthroplasty: A Prospective, Randomized, Controlled Trial. Spine 2017, 42, 209–216. [Google Scholar] [CrossRef]
- Boselie, T.F.M.; van Santbrink, H. Arthroplasty in cervical degenerative disc disease: Fulfilling its long-term promise? J. Spine Surg. 2016, 2, 359. [Google Scholar] [CrossRef]
- Buchowski, J.M.; Anderson, P.A.; Sekhon, L.; Riew, K.D. Cervical disc arthroplasty compared with arthrodesis for the treatment of myelopathy. Surgical technique. J. Bone Jt. Surg. 2009, 9, 223–232. [Google Scholar] [CrossRef]
- Pehlivanoglu, T.; Wuertz-Kozak, K.; Heider, F.; Sauer, D.; Wanke-Jellinek, L.; Mayer, M.; Mehren, C. Clinical and Radiographic Outcome of Patients with Cervical Spondylotic Myelopathy Undergoing Total Disc Replacement. Spine 2019, 44, 1403–1411. [Google Scholar] [CrossRef]
- Wang, B.; Liu, H.; Wang, H.; Zhou, D. Segmental instability in cervical spondylotic myelopathy with severe disc degeneration. Spine 2006, 31, 1327–1331. [Google Scholar] [CrossRef]
- Lazennec, J.-Y.; Aaron, A.; Ricart, O.; Rakover, J.P. The innovative viscoelastic CP ESP cervical disk prosthesis with six degrees of freedom: Biomechanical concepts, development program and preliminary clinical experience. Eur. J. Orthop. Surg. Traumatol. 2016, 26, 9–19. [Google Scholar] [CrossRef]
- Mehren, C.; Suchomel, P.; Grochulla, F.; Barsa, P.; Sourkova, P.; Hradil, J.; Korge, A.; Mayer, H.M. Heterotopic ossification in total cervical artificial disc replacement. Spine 2006, 31, 2802–2806. [Google Scholar] [CrossRef]
- Murtagh, R.; Castellvi, A.E. Motion preservation surgery in the spine. Neuroimaging Clin. N. Am. 2014, 24, 287–294. [Google Scholar] [CrossRef]
- Gao, F.; Mao, T.; Sun, W.; Guo, W.; Wang, Y.; Tianli, M.; Abhinav, P. An Updated Meta-Analysis Comparing Artificial Cervical Disc Arthroplasty (CDA) Versus Anterior Cervical Discectomy and Fusion (ACDF) for the Treatment of Cervical Degenerative Disc Disease (CDDD). Spine 2015, 40, 1816–1823. [Google Scholar] [CrossRef]
- Khong, P.; Bogduk, N.; Ghahreman, A.; Davies, M. Cervical disc arthroplasty for the treatment of spondylotic myelopathy and radiculopathy. J. Clin. Neurosci. 2013, 20, 1411–1416. [Google Scholar] [CrossRef] [PubMed]
- Bakhsheshian, J.; Mehta, V.A.; Liu, J.C. Current Diagnosis and Management of Cervical Spondylotic Myelopathy. Glob. Spine J. 2017, 7, 572–586. [Google Scholar] [CrossRef] [PubMed]
- Bhansali, A.; Musacchio, M.; Stadlan, N. Myelopathy after cervical disc arthroplasty due to progression of spondylosis at the index level: Case report. J. Neurosurg. Spine 2018, 28, 467–471. [Google Scholar] [CrossRef] [PubMed]
- Tracey, R.W.; Kang, D.G.; Cody, J.P.; Wagner, S.C.; Rosner, M.K.; Lehman, R.A. Outcomes of single-level cervical disc arthroplasty versus anterior cervical discectomy and fusion. J. Clin. Neurosci. 2014, 21, 1905–1908. [Google Scholar] [CrossRef]
- Gendreau, J.L.; Kim, L.H.; Prins, P.N.; D’Souza, M.; Rezaii, P.; Pendharkar, A.V.; Desai, A.M. Outcomes After Cervical Disc Arthroplasty Versus Stand-Alone Anterior Cervical Discectomy and Fusion: A Meta-Analysis. Glob. Spine J. 2020, 10, 1046–1056. [Google Scholar] [CrossRef]
- Nabhan, A.; Ahlhelm, F.; Pitzen, T.; Steudel, W.I.; Jung, J.; Shariat, K.; Steimer, O.; Bachelier, F.; Pape, D. Disc replacement using Pro-Disc C versus fusion: A prospective randomised and controlled radiographic and clinical study. Eur. Spine J. 2006, 16, 423–430. [Google Scholar] [CrossRef]
- Chang, N.; Mobbs, R.; Hui, N.; Lin, H. Comparison of in vivo kinematic and radiological parameters of three cervical disc prostheses. J. Craniovertebral Junction Spine 2022, 13, 55–61. [Google Scholar]
- Protopsaltis, T.; Terran, J.; Soroceanu, A.; Moses, M.J.; Bronsard, N.; Smith, J.; Klineberg, E.; Mundis, G.; Kim, H.-J.; Hostin, R.; et al. T1 Slope Minus Cervical Lordosis (TS-CL), the Cervical Answer to PI-LL, Defines Cervical Sagittal Deformity in Patients Undergoing Thoracolumbar Osteotomy. Int. J. Spine Surg. 2018, 12, 362–370. [Google Scholar] [CrossRef]
- Staub, B.N.; Lafage, R.; Kim, H.J.; Shaffrey, C.I.; Mundis, G.M.; Hostin, R.; Lafage, V. Cervical mismatch: The normative value of T1 slope minus cervical lordosis and its ability to predict ideal cervical lordosis. J. Neurosurg. Spine 2018, 30, 31–37. [Google Scholar] [CrossRef]



| Neurological Findings | Number of Patients (n, %) |
|---|---|
| Sensory disorders | n = 56, 100% |
| Radiculopathy | n = 29, 51.8% |
| Paresis | n = 24, 42.8% |
| Increased reflexes | n = 23, 41.1% |
| Lhermitte’s sign | n = 21, 37.5% |
| Gait ataxia | n = 20, 35.7% |
| Pathologic reflexes | n = 19, 33.9% |
| Clonus of lower extremities | n = 11, 19.6% |
| Paraspastic | n = 9, 16.1% |
| Atrophy of hand muscles | n = 2, 3.6% |
| Osteoporosis (t-score < −2.5) |
| Rheumatoid arthritis |
| Ankylosing spondylitis, diffuse idiopathic skeletal hyperostosis |
| Bridging osteophytes or absence of movement on flexion/extension radiographs |
| Segmental instability |
| Severe loss of disc height (>50%) |
| Previous trauma or surgery of the index segment |
| mJOA Score | Number of Patients Preoperatively | Number of Patients at Last Follow-Up |
|---|---|---|
| 15–17 (mild myelopathy) | n = 25 (44.7%) | n = 38 (67.8%) |
| 12–14 (moderate myelopathy) | n = 18 (32.1%) | n = 13 (23.3%) |
| ≤11 (severe myelopathy) | n = 13 (23.2%) | n = 5 (8.9%) |
| Preoperatively | Last Follow-Up | p Value | |
|---|---|---|---|
| Mean ROM [°] index levels | 5.2 (±3.0) | 7.3 (±3.2) | <0.05 |
| Mean ROM [°] upper adjacent level | 6.8 (±3.6) | 7.7 (±4.1) | <0.05 |
| Mean ROM [°] lower adjacent level | 6.1 (±3.2) | 8.2 (±4.3) | <0.05 |
| Mean SVA [mm] | 15.6 (±7.6) | 15.7 (±6.1) | >0.05 |
| Mean CL [°] | 7.9 (±9.3) | 11.5 (±7.3) | <0.05 |
| Mean T1s-CL [°] | 14.8 (±8.6) | 8.8 (±11.2) | <0.05 |
Disclaimer/Publisher’s Note: The statements, opinions and data contained in all publications are solely those of the individual author(s) and contributor(s) and not of MDPI and/or the editor(s). MDPI and/or the editor(s) disclaim responsibility for any injury to people or property resulting from any ideas, methods, instructions or products referred to in the content. |
© 2023 by the authors. Licensee MDPI, Basel, Switzerland. This article is an open access article distributed under the terms and conditions of the Creative Commons Attribution (CC BY) license (https://creativecommons.org/licenses/by/4.0/).
Share and Cite
Obid, P.; Rakow, A.; Lang, G.M.; Marx, W.; Niemeyer, T.; Rahim, T. Clinical and Radiological Outcome of Disc Arthroplasty for the Treatment of Cervical Spondylotic Myelopathy. J. Pers. Med. 2023, 13, 592. https://doi.org/10.3390/jpm13040592
Obid P, Rakow A, Lang GM, Marx W, Niemeyer T, Rahim T. Clinical and Radiological Outcome of Disc Arthroplasty for the Treatment of Cervical Spondylotic Myelopathy. Journal of Personalized Medicine. 2023; 13(4):592. https://doi.org/10.3390/jpm13040592
Chicago/Turabian StyleObid, Peter, Anastasia Rakow, Gernot Michael Lang, Wolfgang Marx, Thomas Niemeyer, and Tamim Rahim. 2023. "Clinical and Radiological Outcome of Disc Arthroplasty for the Treatment of Cervical Spondylotic Myelopathy" Journal of Personalized Medicine 13, no. 4: 592. https://doi.org/10.3390/jpm13040592
APA StyleObid, P., Rakow, A., Lang, G. M., Marx, W., Niemeyer, T., & Rahim, T. (2023). Clinical and Radiological Outcome of Disc Arthroplasty for the Treatment of Cervical Spondylotic Myelopathy. Journal of Personalized Medicine, 13(4), 592. https://doi.org/10.3390/jpm13040592

