Ovarian Morphometric and Histologic Characteristics and Correlation with Clinical Factors: A Cross-Sectional Study
Abstract
1. Introduction
2. Materials and Methods
2.1. Macroscopic Observation
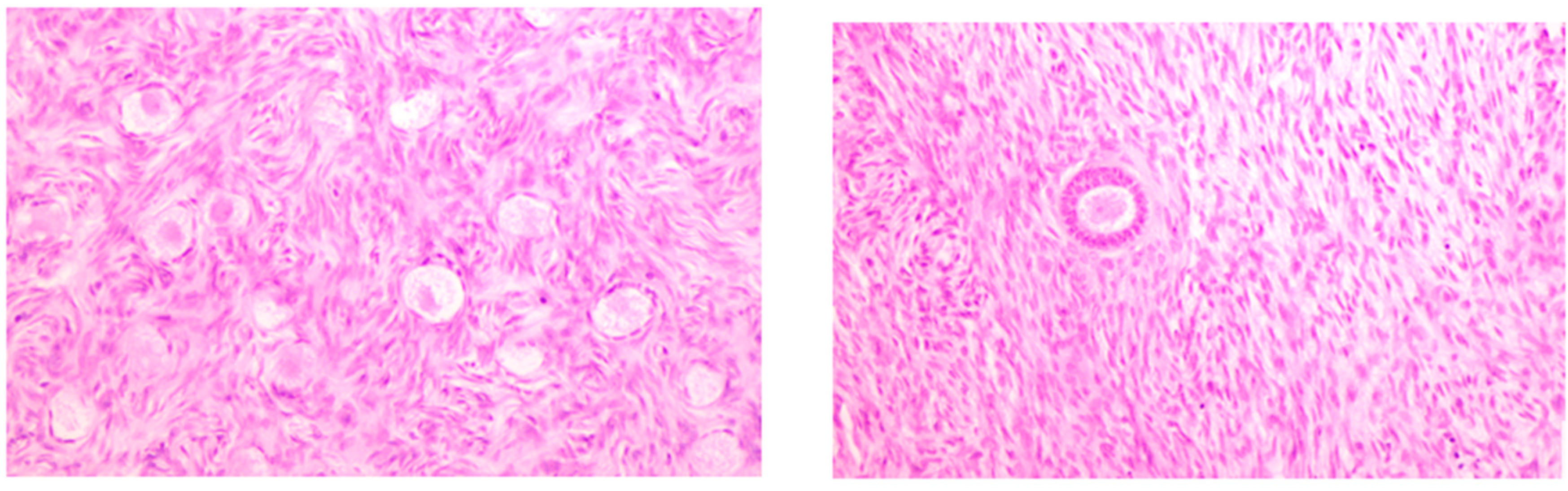
2.2. Histopathologic Evaluation
2.3. Statistical Analysis
3. Results
4. Discussion
5. Conclusions
Strengths and Limitations
Author Contributions
Funding
Institutional Review Board Statement
Informed Consent Statement
Data Availability Statement
Acknowledgments
Conflicts of Interest
References
- Richards, J.S.; Pangas, S.A. The ovary: Basic biology and clinical implications. J. Clin. Investig. 2010, 120, 963–972. [Google Scholar] [CrossRef] [PubMed]
- Clement, P.B. Histology for Pathologists; Sternberg, S.S., Ed.; Raven Press: New York, NY, USA, 1991; pp. 765–795. [Google Scholar]
- Lass, A.; Brinsden, P. The role of ovarian volume in reproductive medicine. Hum. Reprod. Update 1999, 5, 256–266. [Google Scholar] [CrossRef] [PubMed]
- Gleicher, N.; Weghofer, A.; Barad, D.H. Defining ovarian reserve to better understand ovarian aging. Reprod. Biol. Endocrinol. 2011, 9, 23. [Google Scholar] [CrossRef]
- Practice Committee of the American Society for Reproductive Medicine. Testing and interpreting measures of ovarian reserve: A committee opinion. Fertil. Steril. 2015, 103, e9–e17. [Google Scholar] [CrossRef]
- Hviid, M.M.; Skovlund, C.W.; Mørch, L.S.; Lidegaard, Ø. Maternal age and child morbidity: A Danish national cohort study. PLoS ONE 2017, 12, e0174770. [Google Scholar] [CrossRef]
- Practice Committee of the American Society for Reproductive Medicine; Practice Committee of the Society for Assisted Reproductive Technology. Guidance on the limits to the number of embryos to transfer: A committee opinion. Fertil. Steril. 2017, 107, 901–903. [Google Scholar] [CrossRef] [PubMed]
- Sunderam, S.; Kissin, D.M.; Zhang, Y.; Jewett, A.; Boulet, S.L.; Warner, L.; Kroelinger, C.D.; Barfield, W.D. Assisted Reproductive Technology Surveillance—United States, 2018. MMWR Surveill. Summ. 2022, 71, 1–19. [Google Scholar] [CrossRef]
- Iwase, A.; Nakamura, T.; Nakahara, T.; Goto, M.; Kikkawa, F. Assessment of ovarian reserve using anti-Müllerian hormone levels in benign gynecologic conditions and surgical interventions: A systematic narrative review. Reprod. Biol. Endocrinol. 2014, 12, 125. [Google Scholar] [CrossRef]
- Dewailly, D.; Laven, J. AMH as the primary marker for fertility. Eur. J. Endocrinol. 2019, 181, D45–D51. [Google Scholar] [CrossRef]
- ESHRE Guideline Group on Female Fertility Preservation; Anderson, R.A.; Amant, F.; Braat, D.; D’Angelo, A.; Chuva de Sousa Lopes, S.M.; Demeestere, I.; Dwek, S.; Frith, L.; Lambertini, M.; et al. ESHRE guideline: Female fertility preservation. Hum. Reprod. Open 2020, 2020, hoaa052. [Google Scholar]
- Kelsey, T.W.; Wallace, W.H. Ovarian volume correlates strongly with the number of nongrowing follicles in the human ovary. Obstet. Gynecol. Int. 2012, 2012, 305025. [Google Scholar] [CrossRef] [PubMed]
- Lass, A.; Skull, J.; McVeigh, E.; Margara, R.; Winston, R.M. Measurement of ovarian volume by transvaginal sonography before ovulation induction with human menopausal gonadotrophin for in-vitro fertilization can predict poor response. Hum. Reprod. 1997, 12, 294–297. [Google Scholar] [CrossRef] [PubMed]
- Korsholm, A.S.; Hvidman, H.W.; Bentzen, J.G.; Nyboe Andersen, A.; Birch Petersen, K. Left-right differences in ovarian volume and antral follicle count in 1423 women of reproductive age. Gynecol. Endocrinol. 2017, 33, 320–323. [Google Scholar] [CrossRef] [PubMed]
- Gray, H. Anatomy of the Human Body; Lea & Febiger: Philadelphia, PA, USA, 1918. [Google Scholar]
- Moore, K.L.; Persaud, T.V.N.; Torchia, M.G. The Developing Human: Clinically Oriented Embryology; Saunders: Philadelphia, PA, USA, 2019. [Google Scholar]
- Pavlik, E.J.; DePriest, P.D.; Gallion, H.H.; Ueland, F.R.; Reedy, M.B.; Kryscio, R.J.; van Nagell, J.R., Jr. Ovarian volume related to age. Gynecol. Oncol. 2000, 77, 410–412. [Google Scholar] [CrossRef] [PubMed]
- Kelsey, T.W.; Dodwell, S.K.; Wilkinson, A.G.; Greve, T.; Andersen, C.Y.; Anderson, R.A.; Wallace, W.H. Ovarian volume throughout life: A validated normative model. PLoS ONE 2013, 8, e71465. [Google Scholar] [CrossRef]
- Chun, S. Inter-ovarian differences in ultrasound markers of ovarian size in women with polycystic ovary syndrome. Clin. Exp. Reprod. Med. 2019, 46, 197. [Google Scholar] [CrossRef]
- Forabosco, A.; Sforza, C.; De Pol, A.; Vizzotto, L.; Marzona, L.; Ferrario, V.F. Morphometric study of the human neonatal ovary. Anat. Rec. 1991, 231, 201–208. [Google Scholar] [CrossRef]
- Perven, H.A.; Sadat, A.; Nurunnabi, M.; Ara, S.; Siddiqua, D. Cadaver Study if the Morphometry of the Ovary in Bangladeshi Women. Anwer Khan Mod. Med. Coll. J. 2012, 3, 19–22. [Google Scholar] [CrossRef]
- Baker, T.G. A quantitative and cytological study of germ cells in human ovaries. Proc. R. Soc. Lond. B Biol. Sci. 1963, 158, 417–433. [Google Scholar] [CrossRef]
- Oktem, O.; Oktay, K. Quantitative assessment of the impact of chemotherapy on ovarian follicle reserve and stromal function. Cancer 2007, 110, 2222–2229. [Google Scholar] [CrossRef]
- Hovatta, O.; Silye, R.; Krausz, T.; Abir, R.; Margara, R.; Trew, G.; Lass, A.; Winston, R.M. Cryopreservation of human ovarian tissue using dimethylsulphoxide and propanediol-sucrose as cryoprotectants. Hum. Reprod. 1996, 11, 1268–1272. [Google Scholar] [CrossRef] [PubMed]
- Lass, A.; Silye, R.; Abrams, D.C.; Krausz, T.; Hovatta, O.; Margara, R.; Winston, R.M. Follicular density in ovarian biopsy of infertile women: A novel method to assess ovarian reserve. Hum. Reprod. 1997, 12, 1028–1031. [Google Scholar] [CrossRef] [PubMed]
- Tilly, J.L. Ovarian follicle counts—Not as simple as 1, 2, 3. Reprod. Biol. Endocrinol. 2003, 1, 11. [Google Scholar] [CrossRef] [PubMed]
- Bucci, T.J.; Bolon, B.; Warbritton, A.R.; Chen, J.J.; Heindel, J.J. Influence of sampling on the reproducibility of ovarian follicle counts in mouse toxicity studies. Reprod. Toxicol. 1997, 11, 689–696. [Google Scholar] [CrossRef]
- Gougeon, A. Dynamics of follicular growth in the human: A model from preliminary results. Hum. Reprod. 1986, 1, 81–87. [Google Scholar] [CrossRef]
- Rani, V.U.; Devi, V.S. Morphological and morphometric parameters of human ovaries from embryonic to menopausal age. Int. J. Appl. Basic Med. Res. 2011, 1, 89–92. [Google Scholar]
- Perven, H.A.; Nurunnabi, A.S.; Ara, S.; Jahan, M.U. Cadaver study of the volume of the ovary in Bangladeshi women. Bangladesh Med. Res. Counc. Bull. 2014, 40, 15–17. [Google Scholar] [CrossRef]
- Ahmed, M.S.; Khalil, M.; Rahman, M.B.; Mannan, S.; Sultana, S.Z.; Ara, Z.G.; Rahman, M.M. Morphological Study of Length, Breadth and Thickness of the Ovary at Different Age Group in Bangladeshi People. J. Bangladesh Soc. Physiol. 2009, 2, 24–27. [Google Scholar] [CrossRef]
- Deb, S.; Kannamannadiar, J.; Campbell, B.K.; Clewes, J.S.; Raine-Fenning, N.J. The interovarian variation in three-dimensional ultrasound markers of ovarian reserve in women undergoing baseline investigation for subfertility. Fertil. Steril. 2011, 95, 667–672. [Google Scholar] [CrossRef]
- Sills, E.S.; Alper, M.M.; Walsh, A.P. Ovarian reserve screening in infertility: Practical applications and theoretical directions for research. Eur. J. Obstet. Gynecol. Reprod. Biol. 2009, 146, 30–36. [Google Scholar] [CrossRef]
- Broer, S.L.; Dólleman, M.; van Disseldorp, J.; Broeze, K.A.; Opmeer, B.C.; Bossuyt, P.M.; Eijkemans, M.J.; Mol, B.W.; Broekmans, F.J.; IPD-EXPORT Study Group. Prediction of an excessive response in in vitro fertilization from patient characteristics and ovarian reserve tests and comparison in subgroups: An individual patient data meta-analysis. Fertil. Steril. 2013, 100, 420–429. [Google Scholar] [CrossRef]
- Alserri, A.; Kuriya, A.; Holzer, H.; Tulandi, T. Lateralization of ovarian follicles. Gynecol. Obstet. Investig. 2014, 77, 117–120. [Google Scholar] [CrossRef] [PubMed]
- Jokubkiene, L.; Sladkevicius, P.; Valentin, L. Ovarian size and vascularization as assessed by three-dimensional grayscale and power Doppler ultrasound in asymptomatic women 20-39 years old using combined oral contraceptives. Contraception 2012, 86, 257–267. [Google Scholar] [CrossRef] [PubMed]
- Jokubkiene, L.; Sladkevicius, P.; Valentin, L. Number of antral follicles, ovarian volume, and vascular indices in asymptomatic women 20 to 39 years old as assessed by 3-dimensional sonography: A prospective cross-sectional study. J. Ultrasound Med. 2012, 31, 1635–1649. [Google Scholar] [CrossRef] [PubMed]
- Gupta, R.; Gupta, A.; Aggarwal, N. Variations of gonadal veins: Embryological prospective and clinical significance. J. Clin. Diagn. Res. 2015, 9, AC08–AC10. [Google Scholar] [CrossRef]
- Ghosh, A.; Chaudhury, S. A cadaveric study of ovarian veins: Variations, measurements and clinical significance. Anat. Cell Biol. 2019, 52, 385–389. [Google Scholar] [CrossRef]
- Karaosmanoglu, D.; Karcaaltincaba, M.; Karcaaltincaba, D.; Akata, D.; Ozmen, M. MDCT of the ovarian vein: Normal anatomy and pathology. AJR Am. J. Roentgenol. 2009, 192, 295–299. [Google Scholar] [CrossRef]
- Kurklinsky, A.K.; Rooke, T.W. Nutcracker phenomenon and nutcracker syndrome. Mayo Clin. Proc. 2010, 85, 552–559. [Google Scholar] [CrossRef]
- Orczyk, K.; Łabetowicz, P.; Lodziński, S.; Stefańczyk, L.; Topol, M.; Polguj, M. The nutcracker syndrome. Morphology and clinical aspects of the important vascular variations: A systematic study of 112 cases. Int. Angiol. 2016, 35, 71–77. [Google Scholar]
- Orczyk, K.; Wysiadecki, G.; Majos, A.; Stefańczyk, L.; Topol, M.; Polguj, M. What Each Clinical Anatomist Has to Know about Left Renal Vein Entrapment Syndrome (Nutcracker Syndrome): A Review of the Most Important Findings. BioMed Res. Int. 2017, 2017, 1746570. [Google Scholar] [CrossRef]
- Practice Committee of the American Society for Reproductive Medicine; Society for Male Reproduction and Urology. Report on varicocele and infertility: A committee opinion. Fertil. Steril. 2014, 102, 1556–1560. [Google Scholar] [CrossRef]
- Köninger, A.; Koch, L.; Edimiris, P.; Nießen, S.; Kasimir-Bauer, S.; Kimmig, R.; Strowitzki, T.; Schmidt, B. Intraindividual right-left comparison of sonographic features in polycystic ovary syndrome (PCOS) diagnosis. Eur. J. Obstet. Gynecol. Reprod. Biol. 2014, 181, 124–129. [Google Scholar] [CrossRef] [PubMed]
- Rae, G.; Newman, W.P., III; McGoey, R.; Donthamsetty, S.; Karpinski, A.C.; Green, J. The histopathologic reliability of tissue taken from cadavers within the gross anatomy laboratory. Anat. Sci. Educ. 2018, 11, 207–214. [Google Scholar] [CrossRef] [PubMed]


| Variables | N (%) | |
|---|---|---|
| Age, mean (SD) | 43.3 (7.5) | |
| Age (years) | ||
| <45 | 9 (47.4) | |
| ≥45 | 10 (52.6) | |
| ΒΜΙ, mean (SD) | 26.0 (3.7) | |
| ΒΜΙ | ||
| Normal | 5 (26.3) | |
| Overweight | 12 (63.2) | |
| Obese | 2 (10.5) | |
| Smoking | ||
| No | 10 (52.6) | |
| Yes | 7 (36.8) | |
| Former | 2 (10.5) | |
| Vaginal deliveries | 14 (77.8) | |
| Caesarian deliveries | 5 (27.8) | |
| Spontaneous abortion | 2 (11.1) | |
| Induced abortion | 5 (27.8) | |
| History of malignancy | 1 (5.3) | |
| Previous adnexal surgeries | 3 (15.8) | |
| Macroscopically evident cyst | 7 (36.8) | |
| Primary indication for surgery benign adnexal pathology | ||
| No | 13 (68.4) | |
| Yes | 4 (21.1) | |
| N/A 1 | 2 (10.5) | |
| Type of surgery confined to adnexectomy | ||
| No | 15 (78.9) | |
| Yes | 2 (10.5) | |
| N/A 1 | 2 (10.5) | |
| Right Ovary (Ν = 12, 94.7%) | Left Ovary (Ν = 12, 68.4%) | p + | |||
|---|---|---|---|---|---|
| Mean (SD) | Median (IQR) | Mean (SD) | Median (IQR) | ||
| Length(mm) | 34.4 (12.2) | 33.1 (29.5–35) | 29.4 (5.9) | 28 (24.5–33.5) | 0.018 |
| Width (mm) | 23.1 (9.5) | 20.5 (17.4–24.5) | 19.1 (5.2) | 17.5 (15.5–20) | 0.040 |
| Thickness (mm) | 15 (13.2) | 10 (8.5–16) | 11.1 (3.7) | 10.6 (8.5–13) | 0.309 |
| Volume (mL) | 12.2 (28) | 3 (2.5–7.6) | 3.7 (2.6) | 2.7 (1.7–4.6) | 0.050 |
| Primary follicles | 6.3 (8.2) | 4 (2–6.5) | 7.3 (4.9) | 7 (3.5–11) | 0.099 |
| Secondary follicles | 1.7 (1.7) | 1 (0.5–2) | 2.6 (2.7) | 2 (0–3.5) | 0.198 |
| Atretic | 10.8 (7.7) | 8.5 (6–14.5) | 9.3 (6.9) | 7.5 (4.5–12) | 0.246 |
| Ovarian Follicles | Both Ovaries | |
|---|---|---|
| Primary/primordial | rho | 0.50 |
| p | 0.004 | |
| Secondary | rho | 0.37 |
| p | 0.046 | |
| Atretic | rho | 0.19 |
| p | 0.297 | |
| Volume (mL) | p Mann-Whitney Test | |||
|---|---|---|---|---|
| Mean (SD) | Median (IQR) | |||
| Age, rho | −0.45 | 0.011 | ||
| Age (years) | ||||
| <45 | 13.9 (26.6) | 4.5 (3.1–10.1) | 0.045 | |
| ≥45 | 4.6 (5.6) | 2.6 (1.7–4.8) | ||
| ΒΜΙ | ||||
| Normal | 8.3 (10.1) | 3.1 (1.7–20.7) | 0.887 | |
| Overweight/Obese | 8.5 (19.9) | 3.4 (2.3–7.8) | ||
| Smoking | ||||
| No/Former | 10.2 (22.2) | 2.9 (2.3–6.6) | 0.804 | |
| Yes | 5.3 (3.8) | 4.1 (1.7–9.1) | ||
| Primary indication for surgery benign adnexal pathology | ||||
| No | 4.5 (3) | 3.1 (2.4–6) | 0.027 | |
| Yes | 27 (37.2) | 14.6 (4.5–25.1) | ||
| Type of surgery confined to adnexectomy | ||||
| No | 8.4 (19.4) | 3.8 (2.5– 7.1) | 0.033 | |
| Yes | 22.9 (3.1) | 22.9 (20.7–25.1) | ||
| Vaginal deliveries | ||||
| No | 4 (2.5) | 2.5 (2.2–6) | 0.646 | |
| Yes | 10.4 (21.1) | 3.9 (2–9.1) | ||
| Caesarian deliveries | ||||
| No | 11 (21.5) | 4.5 (2.4–9.1) | 0.118 | |
| Yes | 3.2 (2.3) | 2.5 (2–3.3) | ||
| Spontaneous abortion | ||||
| No | 8.7 (19.3) | 3.6 (2.2–8.5) | 0.886 | |
| Yes | 10.1 (13) | 3.8 (1.5–25.1) | ||
| Induced abortion | ||||
| No | 10 (21.7) | 2.7 (2– 6) | 0.435 | |
| Yes | 5.8 (3.4) | 5.9 (2.7–8.8) | ||
| History of malignancy | ||||
| No | 8.7 (18.6) | 3 (2.2–8.5) | 0.469 | |
| Yes | 5.2 (1.2) | 5.2 (4.4–6) | ||
| Previous adnexal surgeries | ||||
| No | 9.4 (19.1) | 4.1 (2.2–8.6) | 0.112 | |
| Yes | 2.3 (0.9) | 2.4 (1.7–2.8) | ||
| Macroscopically evident cyst | ||||
| No | 3.9 (3.1) | 2.6 (1.7– 5.2) | 0.013 | |
| Yes | 16.9 (28.8) | 4.8 (3.1–20.7) | ||
| Dependent Variable | Independent Variable | β + | SE + + | p | |
|---|---|---|---|---|---|
| Volume (mL) | Age | −0.03 | 0.01 | 0.025 | |
| Macroscopically evident cyst | No (reference) | ||||
| Yes | 0.33 | 0.16 | 0.047 | ||
| Primary follicles | Age | −0.05 | 0.01 | <0.001 | |
| Caesarian section | No (reference) | ||||
| Yes | −0.42 | 0.15 | 0.008 | ||
| Volume (mL) | 0.45 | 0.22 | 0.050 | ||
Disclaimer/Publisher’s Note: The statements, opinions and data contained in all publications are solely those of the individual author(s) and contributor(s) and not of MDPI and/or the editor(s). MDPI and/or the editor(s) disclaim responsibility for any injury to people or property resulting from any ideas, methods, instructions or products referred to in the content. |
© 2023 by the authors. Licensee MDPI, Basel, Switzerland. This article is an open access article distributed under the terms and conditions of the Creative Commons Attribution (CC BY) license (https://creativecommons.org/licenses/by/4.0/).
Share and Cite
Giovannopoulou, E.; Karakasi, M.-V.; Kouroupi, M.; Ieronimaki, A.-I.; Papakonstantinou, E.; Giatromanolaki, A.; Tsikouras, P.; Pavlidis, P. Ovarian Morphometric and Histologic Characteristics and Correlation with Clinical Factors: A Cross-Sectional Study. J. Pers. Med. 2023, 13, 232. https://doi.org/10.3390/jpm13020232
Giovannopoulou E, Karakasi M-V, Kouroupi M, Ieronimaki A-I, Papakonstantinou E, Giatromanolaki A, Tsikouras P, Pavlidis P. Ovarian Morphometric and Histologic Characteristics and Correlation with Clinical Factors: A Cross-Sectional Study. Journal of Personalized Medicine. 2023; 13(2):232. https://doi.org/10.3390/jpm13020232
Chicago/Turabian StyleGiovannopoulou, Eirini, Maria-Valeria Karakasi, Maria Kouroupi, Argyro-Ioanna Ieronimaki, Eleni Papakonstantinou, Alexandra Giatromanolaki, Panagiotis Tsikouras, and Pavlos Pavlidis. 2023. "Ovarian Morphometric and Histologic Characteristics and Correlation with Clinical Factors: A Cross-Sectional Study" Journal of Personalized Medicine 13, no. 2: 232. https://doi.org/10.3390/jpm13020232
APA StyleGiovannopoulou, E., Karakasi, M.-V., Kouroupi, M., Ieronimaki, A.-I., Papakonstantinou, E., Giatromanolaki, A., Tsikouras, P., & Pavlidis, P. (2023). Ovarian Morphometric and Histologic Characteristics and Correlation with Clinical Factors: A Cross-Sectional Study. Journal of Personalized Medicine, 13(2), 232. https://doi.org/10.3390/jpm13020232

