Next Article in Journal
Airborne Particulate Matter Size and Chronic Obstructive Pulmonary Disease Exacerbations: A Prospective, Risk-Factor Analysis Comparing Global Initiative for Obstructive Lung Disease 3 and 4 Categories
Previous Article in Journal
Correlation between Degenerative Thoracolumbar Kyphosis and Lumbar Posterior Muscle
Previous Article in Special Issue
Expression, Prognostic Value and Correlation with HPV Status of Hypoxia-Induced Markers in Sinonasal Squamous Cell Carcinoma
 
 
Font Type:
Arial Georgia Verdana
Font Size:
Aa Aa Aa
Line Spacing:
Column Width:
Background:
Article

Sox2 and βIII-Tubulin as Biomarkers of Drug Resistance in Poorly Differentiated Sinonasal Carcinomas

by
Luis López
1,
Laura Fernández-Vañes
1,
Virginia N. Cabal
2,
Rocío García-Marín
2,
Laura Suárez-Fernández
2,
Helena Codina-Martínez
2,
Sara L. Lorenzo-Guerra
2,
Blanca Vivanco
3,
Verónica Blanco-Lorenzo
3,
José L. Llorente
1,
Fernando López
1,* and
Mario A. Hermsen
2
1
Department of Otolaryngology, Hospital Universitario Central de Asturias, 33011 Oviedo, Spain
2
Department of Head and Neck Cancer, Instituto de Investigación Sanitaria del Principado de Asturias (ISPA), 33011 Oviedo, Spain
3
Department of Pathology, Hospital Universitario Central de Asturias, 33011 Oviedo, Spain
*
Author to whom correspondence should be addressed.
J. Pers. Med. 2023, 13(10), 1504; https://doi.org/10.3390/jpm13101504
Submission received: 14 September 2023 / Revised: 10 October 2023 / Accepted: 14 October 2023 / Published: 18 October 2023
(This article belongs to the Special Issue Personalized Medicine in Skull Base and Sinonasal Tumors)

Abstract

:
Poorly differentiated sinonasal carcinomas (PDCs) are tumors that have a poor prognosis despite advances in classical treatment. Predictive and prognostic markers and new personalized treatments could improve the oncological outcomes of patients. In this study, we analyzed SOX2 and βIII-tubulin as biomarkers that could have prognostic and therapeutic impacts on these tumors. The cohort included 57 cases of PDCs: 36 sinonasal undifferentiated carcinoma (SNUC) cases, 13 olfactory neuroblastoma (ONB) cases, and 8 sinonasal neuroendocrine carcinoma (SNEC) cases. Clinical follow-up data were available for 26 of these cases. Sox2 expression was detected using immunohistochemistry in 6 (75%) SNEC cases, 19 (53%) SNUC cases, and 6 (46%) ONB cases. The absence of Sox2 staining correlated with a higher rate of recurrence (p = 0.015), especially distant recurrence. The majority of cases showed βIII-tubulin expression, with strong positivity in 85%, 75%, and 64% of SNEC, ONB, and SNUC cases, respectively. Tumors with stronger βIII-tubulin expression demonstrated longer disease-free survival than those with no expression or low expression (p = 0.049). Sox2 and βIII-tubulin expression is common in poorly differentiated sinonasal tumors and has prognostic and therapeutic utility.

1. Introduction

Poorly differentiated sinonasal carcinomas (PDCs) are a heterogeneous group of neoplasms that can be divided into several subtypes. Tumors with a neuroectodermal origin, like olfactory neuroblastoma (ONB), and those with an epithelial origin, like sinonasal neuroendocrine carcinomas (SNECs) and sinonasal undifferentiated carcinomas (SNUCs), are included in the PDC group [1,2]. However, the classification of PDCs is often difficult due to overlapping histological features [3]; for example, the term “olfactory carcinoma” was recently created in order to classify a high-grade tumor that presents both neuroendocrine and epithelial characteristics [4]. In addition, the fifth edition of the WHO classification considers SNEC as equal to other poorly differentiated neuroendocrine tumors located in other anatomic regions [3,5]. Furthermore, new tumor subtypes are defined by characteristic molecular genetic changes affecting IDH2, NUT, or genes in the SWI/SNF pathway in SNUC, which may also have therapeutic implications [3,6,7]. Investigations into molecular profiling continue to improve and refine classification and discover optimal therapeutical approaches for each of them [8,9].
In clinical terms, PDCs have moderate-to-poor outcomes owing to aggressive tumor biology. Although multimodal treatment is recognized as the most effective, patients treated with surgery, chemotherapy (CT), and radiotherapy (RT) frequently experience tumor progression and poor survival [10,11,12,13]. PDCs arise in the tops of the nasal cavities, with anatomical and radiological evidence supporting their origin in the olfactory epithelium. A recent study yielded the first molecular evidence demonstrating that ONB derives from the globose stem cells of the olfactory epithelium [4]. These progenitor cells are located in the basal layer, and during their differentiation process, the expression patterns of various proteins change [4,14]. Aside from their roles as cancer-related genes, both SOX2 and TUBB3, encoding Sox2 (Sex-determining region Y-box 2) and βIII-tubulin, respectively, play a role in the differentiation from basal cells to committed progenitor cells and, finally, adult cells [4,15].
Sox2 is a transcription factor expressed in pluripotent cells during embryonic development as well as in somatic stem cells in adult tissue, including the olfactory epithelium [15,16,17]. It regulates, in association with other factors, the reprogramming of terminally differentiated somatic cells back to a pluripotent stem cell state when co-expressed with other embryonic stem cell factors [18,19,20]. In addition, SOX2 also plays an important role as an oncogene involved in the growth capacity of tumor stem cells. The loss of expression of Sox2 significantly reduces the ability of tumor cells to grow and expand. Conversely, the overexpression of Sox2 results in a greater capacity for tumor progression [21]. Sox2 expression has been shown in several tumor types, such as lung, esophagus, breast, skin, prostate, and ovarian tumors, as well as in squamous carcinomas of various localizations and sarcomas [21,22,23,24,25,26,27,28,29]. In the head and neck region, Sox2 expression and gene amplification have been identified as common events [30,31]. Among the tumors that originate in the sinonasal cavities, the amplification and/or overexpression of Sox2 was demonstrated in squamous sinonasal carcinoma (SNSCC), SNUC, adenoid cystic carcinomas (ACCs), and ITAC [29,32]. The relation of Sox2 expression (and SOX2 gene copy number gain) with clinical outcomes is still a matter of debate, suggesting distinct roles for SOX2 depending on the tumor localization and histology. However, in a recent meta-analysis [33], a high expression level of Sox2 was significantly associated with poor outcomes in patients with solid tumors, which is consistent with a role as a transcription factor that induces stemness [34]. Sox2 expression is also associated with resistance to chemotherapy through a plethora of mechanisms and, as such, is a promising target for anticancer therapy [17,34].
Microtubules are multifunctional cytoskeletal proteins involved in critical cellular processes, such as mitosis, cell motility, and intracellular transport. Microtubules are composed of polymers of α- and β-tubulin heterodimers. Class III β-tubulin (βIII-tubulin) is one kind of β-tubulin and is typically expressed in cells of neuronal origin [15]. It contributes to the formation of dynamic microtubules essential for neurite formation and maintenance. An abnormal βIII-tubulin content may also be relevant in the development of chromosomal instability, as it is believed to contribute to centrosomal amplification, multipolar spindle poles, and the missegregation of chromosomes [35]. This is why several lines of evidence suggest that βIII-tubulin plays a role in tumor development. The overexpression of βIII-tubulin has been associated with adverse clinical features and poor outcomes in many epithelial tumor types, such as non-small-cell lung, gastric, breast, colon, bladder, prostate, and ovarian cancers [36,37,38,39,40,41,42]. This is also true for head and neck cancer, where βIII-tubulin overexpression has been linked to a shortened survival of patients [43,44]. Nevertheless, some studies have found a high prevalence of βIII-tubulin expression without an association with clinical outcomes [45].
The effects of βIII-tubulin overexpression on taxane and other anti-microtubule agent (MTA)-based chemotherapies have been investigated in various tumors [46]. A recent study by Topcagic et al. demonstrated an association between high βIII-tubulin expression and resistance to vincristine in ONB [47]. This could be related to the fact that most anti-microtubule agents act by binding to the β-subunit [48]. New strategies to target βIII-tubulin that comprise inhibiting its expression using small molecules and using MTAs that evade drug efflux pumps or bind the colchicine site of tubulin instead of the taxane site are under investigation [35].
To better understand their role as prognostic or therapy-response-predictive factors in PDCs, we studied Sox2 and βIII-tubulin protein expression in a series of 57 tumors of three different histologies, namely, SNUC, ONB, and SNEC, and we correlated the results with clinicopathological and follow-up data. In addition, we discuss the role of these markers in the response to CT.

2. Materials and Methods

2.1. Patients and Methods

A total of 57 cases (36 SNUC cases, 13 ONB cases, and 8 SNEC cases) treated between 1998 and 2017 were included in our study after receiving informed consent and approval by the Ethics Committee of the Hospital Universitario Central de Asturias Hospital. This study was conducted according to the guidelines of the Declaration of Helsinki. Tumors of similar lineages such as NUT carcinoma and SMARCA4-deficient and SMARCB1-deficient carcinoma were excluded from this study. All patients had a single primary tumor and had received no treatment prior to surgery. The clinical features of the three groups of patients are shown in Table 1. Most tumors were located in the ethmoid sinus (89%). According to the 8th edition of the International Union Against Cancer TNM classification [48], 75% of the cases were in the advanced stages (stages III and IV). No patient had distant metastases at the time of diagnosis. Ninety-five percent (54/57) of the patients received postoperative RT. Follow-up information was obtained for 26 patients until the last occurrence for patients still alive, until the time of death, or until the time of lost contact. The median follow-up time for the entire group was 16 months (range: 1–172).

2.2. Histological Classification of Sinonasal Tumors

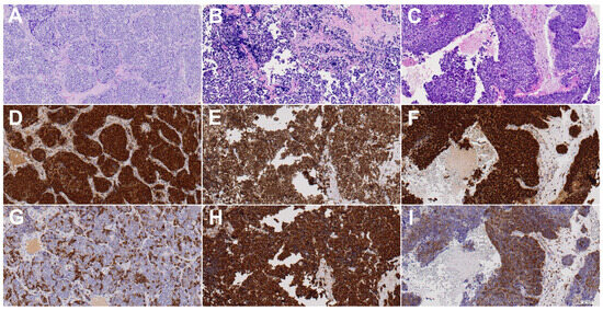
As the cases were collected over a long period of time and at different institutions, the initial diagnoses were reviewed by two experienced pathologists (BV and VBL). All available slides were reviewed in each case, and tumors were diagnosed according to the diagnostic criteria of the 5th edition of the WHO classification [49]. Additional immunohistochemical staining of cytokeratin 5/6, p40, p16, synaptophysin, chromogranin, NUT, SMARCB1, and SMARCA4 were applied when necessary. Cases positive for p16 were further tested for HPV using DNA-PCR (see below). As a result of these diagnostic analyses, none of the cases were reclassified as NUT carcinoma or SMARCB1-deficient or SMARCA4-deficient carcinoma, and all tumors with diffuse and nuclear p16 staining were found to be HPV-negative. The immunohistochemical and genetic diagnostic results are included in Table 2. Representative H&E staining images of the three tumor types (SNUC, ONB, and SNEC) are shown in Figure 1.

2.3. Immunohistochemistry

Tissue microarray (TMA) blocks were prepared from formalin-fixed, paraffin-embedded tumor tissues using a Beecher Tissue Microarray (Beecher Instruments, Silver Spring, MD, USA). The TMA blocks contained three 1 mm cores from different areas of each tumor. Normal sinonasal mucosa samples were included in each block as an internal control. Tumors not included in the TMAs were stained separately. Immunohistochemistry was performed with an automated staining workstation (Dako Autostainer Plus; DakoCytomation, Glostrup, Denmark) with antigen retrieval using EnVision FLEX + Mouse (DakoCytomation, Glostrup, Denmark) for 20 min.
The following antibodies were applied when necessary for tumor classification: mouse anti-Cytokeratin clone AE1/AE3, mouse anti-Synaptophysin clone SY38, mouse anti-Chromogranin A clone DAK-A3, mouse anti-CK 5/6 clone D5/16 B4, mouse anti-p63 clone DAK-p63 (DAKO, Glostrup, Denmark), mouse anti-p40 clone BC-28, mouse CINtec® anti-p16 clone E6H4 (Roche, Mannheim, Germany), rabbit anti-BRG1 clone ab70558 (Abcam, Cambridge, UK), rabbit anti-SMARCB1/BAF47 clone D8M1X, and rabbit anti-NUT clone C52B1 (Cell Signaling Technology, MA, USA).
The antibodies for the Sox2 and βIII-tubulin expression analysis were rabbit anti-Sox2 AB5603 (Millipore Ibérica SA Madrid, Spain) and mouse anti-Btub-III G712A (Promega, Madison, WI, USA), both applied at a dilution of 1:1000, with an antigen retrieval incubation time of 20 min at 95 °C in a citrate buffer (pH 9.0). Negative controls were prepared by omitting the primary antibody. The immunohistochemical results were evaluated independently by three observers (L.F-V., B.V., and V.B.L.) without knowledge of the clinicopathological outcomes of the patients. In samples where there were discrepancies, they were solved afterwards by looking together using a multi-head microscope, and a consensus was reached. Sox2 expression was scored as positive when >5% of cells showed nuclear expression [50,51,52]. βIII-tubulin was scored by intensity (0, 1, 2, or 3) and percentage of positivity (1 as <30%, 2 as 30–70%, and 3 as >70%); the multiplication factor of both scores produced negative staining when 0, weak staining when 1–2, moderate staining when 3–4, and strong staining when 6–9 [40]. Representative Sox2 and βIII-tubulin staining images of the three tumor types (SNUC, ONB, and SNEC) are shown in Figure 1.

2.4. HPV DNA and IDH2 Mutation Detection

The quality of the extracted DNA was checked via PCR amplification of β-globin (forward primer 5′-ACACAACTTGTGTGTTCACTAGC-3′ and reverse primer 5′-CAAACTTCATCCACGTTCACC-3′). PCR with MY11/GP6+ primers (site-directed L1 fragment of HPV) was performed on 9 cases of p16-positive SNUC in order to detect a broad spectrum of HPV genotypes [53]. Briefly, the PCR was performed in 25 µL of a reaction mixture containing 1x PCR buffer, 2 mmol/L MgCl2, 50 µmol/L of each deoxynucleoside, 0.5 µmol/L of sense and antisense primers, 10 µL of a DNA sample, and 1 U of Taq DNA polymerase (Promega Biotech Iberica S.L., Madrid, Spain) with a thermal profile of 35 cycles of denaturation at 94 °C for 30 sec, annealing at 55 °C for 30 sec, and extension at 72 °C for 1 min, with an initial denaturation at 94 °C for 5 min and a final extension at 72 °C for 10 min. Amplified DNA fragments of approximately 200 bp were identified via electrophoresis in 1.5% agarose gel with ethidium bromide.
IDH2 mutations in SNUC identified via Sanger PCR sequencing and immunohistochemistry with the multi-specific antibody mouse anti-IDH1/2 mutant R132/172 clone MsMab-1 at a 1:100 dilution (Millipore, Darmstadt, Germany) were studied previously [53].

2.5. Statistical Analysis

A univariate analysis using Pearson χ2 and Fisher’s exact tests was used for comparisons between categorical variables using SPSS 19.0 software for Windows (SPSS Inc., Chicago, IL, USA). For the time-to-event analysis, Kaplan–Meier curves were plotted. Differences between survival times were analyzed using the log-rank method. Values of p ≤ 0.05 were considered statistically significant.

3. Results

3.1. Clinicopathological Data and Follow-Up

Follow-up information, including local recurrence and patient status, was available for 26 cases (Table 1). Local recurrence was found in 5/16 (31%) SNUC patients, 3/7 (43%) ONB patients, and 2/3 (67%) SNEC patients. Distant metastasis occurred in 5/16 (31%) SNUC patients, 3/7 (43%) ONB patients, and 3/3 (100%) SNEC patients. Six patients (three SNUC patients, two SNEC patients, and one ONB patient) presented local recurrence as well as distant metastasis.
The 5-year overall survival (5-yr OS) rates were 86%, 40%, and 0% for all ONB, SNUC, and SNEC cancer patients, respectively (Figure 2). Similar figures were observed for the 5-year disease-specific survival (5-yr DSS) (Figure 2). The median disease-free times were 14 months (95% CI: 7–21) for ONB, 16 months (95% CI: 1–40) for SNEC, and 48 months (95% CI: 1–104) for SNUC. The 5-year disease-free survival (5-yr DFS) rates were 34%, 48%, and 0% for all ONB, SNUC, and SNEC patients, respectively (Figure 2). The main causes of death were local recurrences and distant metastases. At the time of writing, a total of 15 of 26 patients (57%) remained alive without disease. We observed no significant relations between OS, DSS, or DFS and clinical parameters such as gender, age, location, or tumor stage.

3.2. SOX2 Expression

In normal sinonasal mucosa, nuclear Sox2 staining was found in stem cells in the basal layer and especially in sustentacular cells in a layer closer to the surface of the mucosa, thus creating a characteristic “sandwich” staining pattern. Examples of tumoral positive staining for Sox2 are shown in Figure 1. SNEC showed more positive cases than SNUC and ONB, at 6/8 (75%), 19/36 (53%), and 6/13 (46%), respectively (Table 3), but the difference was not significant (Fisher exact chi square test, p = 0.414). When all histological subtypes were analyzed together, we found that the absence of Sox2 expression correlated significantly with a higher rate of relapse (11/13 patients (85%) without expression versus 4/13 patients (31%) with Sox2 expression; Fisher exact chi square test, p = 0.015). Accordingly, the 5-yr DFS was higher in patients with Sox2 expression (68%) than in patients without Sox2 expression (13%) (log rank 6.022, p = 0.014) (Figure 3). In addition, patients without Sox2 expression tended to develop more distant metastases (9/13 patients (70%) without expression versus 2/13 patients (15%) with Sox2 expression; Fisher exact chi square test, p = 0.015). Sox2 expression showed no correlation with local recurrences (10/13 patients (77%) with expression versus 6/13 patients (46%) without Sox2 expression; Fisher exact chi square test, p = 0.113). No correlations were observed with other clinicopathological parameters, including localization and stage. We did not observe a significant correlation between Sox2 expression levels and OS or DSS (respectively, p = 0.851 and p = 0.720). A survival analysis for each tumor subtype was not feasible due to the low number of cases with follow-up information.

3.3. βIII-Tubulin Expression

The immunohistochemical staining of βIII-tubulin was exclusively positive in mature and immature neurons present in normal olfactory mucosa but not in sinonasal respiratory mucosa. Examples of tumoral staining for βIII-tubulin are shown in Figure 1. Positive staining for βIII-tubulin was detected in 52/57 (91%) cases (Table 3). βIII-tubulin staining in ONB was considered strong in 11/13 (85%) cases and moderate in 1/13 (8%) cases. Strong, moderate, and weak βIII-tubulin staining were observed in 6/8 (75%), 1/8 (12%), and 1/8 (12%) SNEC samples. In SNUC, staining for βIII-tubulin was rated strong in 23/36 (64%) samples, moderate in 3/36 (8%) samples, and weak in 6/36 (17%) samples (Table 3). Thirty cases (58%) with positive staining for βIII-tubulin also showed Sox2 overexpression.
Cases with moderate/strong βIII-tubulin staining demonstrated a significant association with longer DFS tumors (p = 0.010) (Figure 3). However, βIII-tubulin expression did not correlate with the development of a recurrence or a distant metastasis during follow-up. Advanced-stage tumors tended to have more frequent βIII-tubulin expression (32/33 advanced-stage patients (97%) showed βIII-tubulin expression versus 20/24 early-stage patients (93%); Fisher exact chi square test, p = 0.094). There were no significant variations in OS or DSS regarding βIII-tubulin expression. No correlation was found when analyzing each tumor type separately.

4. Discussion

Sinonasal tumors are among the most difficult malignancies to treat. As we are beginning to know more of the molecular pathways involved, a new range of possibilities for adjuvant treatments and conservative protocols is coming into view. In the present study, we analyzed the expression of βIII-tubulin and Sox2 as potential biomarkers for prognosis and treatment.
Sox2 is a critical transcription regulator and has been postulated as a driver oncogene [54,55]. Although epigenetic silencing has been observed [56], several publications have reported overexpression of Sox2, supporting its role as an oncogene [57,58]. Our findings demonstrate that Sox2 expression is a frequent event in PDC tumorigenesis (54% of samples). Schröck et al. [32] assessed SOX2 gene amplification and protein expression using fluorescence in situ hybridization and immunohistochemistry, respectively, in 159 sinonasal tumors, including 59 squamous cell carcinomas (SCCs), 18 SNUCs, 10 carcinomas associated with an inverted papilloma (INVCs), 19 adenocarcinomas, and 13 adenoid cystic carcinomas. They found SOX2 amplifications and its associated overexpression in more than a third of all SCCs, SNUCs, and INVCs. Hence, Sox2 expression appears to be a frequent event in sinonasal tumors. Most studies on SOX2 have concluded that protein overexpression is significantly correlated with tumor recurrence and poor prognosis [59,60], which is compatible with its function as a transcription factor linked to stemness [34]. However, the role of SOX2 is still controversial, as there have been other studies that did not reach the same conclusions [22,29]. Specifically in sinonasal tumors, the results are less convincing with respect to prognosis; a significant correlation between Sox2 expression levels and tumor recurrence was not observed [29,32]. In contrast, our results showed that positive expression of Sox2 was correlated with a lower rate of distant metastasis and better DFS. These results are similar to those reported by Bayo et al. in head and neck squamous cell carcinoma. They hypothesized that Sox2 inhibits tumor cell motility in cancer cells and that low Sox2 expression serves as a prognosticator to identify patients at high risk of relapse [61]. It is also possible that these contradictory results are related to methodological differences in Sox2 immunoscoring; three different approaches have been used in the literature to evaluate its staining [29]. Another explanation for these contradictory results may be that SOX2 expression is an early tumor-initiating event and is therefore important for tumor development but is not involved in conveying an aggressive or metastasizing phenotype [30].
βIII-tubulin upregulation is a common feature that occurs with different frequencies in almost every type of cancer [62]. To our knowledge, this is the first study of βIII-tubulin expression in PDC. A high expression of βIII-tubulin was observed in most of our samples (91%). Nienstedt et al. studied the expression of βIII-tubulin in samples from 667 cancers of the oral cavity, oro- and hypopharynx, and larynx, and over 90% of the analyzed cancers showed cytoplasmic βIII-tubulin expression [45]. Thus, PDC shares this characteristic with head and neck tumors. βIII-tubulin may have an important role in oncogenesis due to its function as a part of the microtubules. However, the role of βIII-tubulin as a prognostic marker is not well established. While increased βIII-tubulin has been associated with aggressiveness, resistance to chemotherapy, and poor clinical outcomes in some solid tumors [38,44,63,64], other studies have failed to identify an association between βIII-tubulin expression and clinicopathological data [37,45]. In our study, no significant correlations between βIII-tubulin and clinicopathological parameters were observed, in spite of high expression levels. We did observe a significant association between higher βIII-tubulin expression and longer DFS, similar to Lobert et al. [65], who reported a trend of increased βIII-tubulin mRNA in cases with longer DFS. The controversial prognostic value of βIII-tubulin has been pointed out by other authors, suggesting that βIII-tubulin is a pure prognostic biomarker only when its expression is conditioned by a toxic microenvironment. However, when its expression is driven by other factors, the role of βIII-tubulin can be neutral or even opposite, acting as a marker of a more differentiated and less aggressive disease [66]. On the other hand, the discrepant conclusions between studies could be due to variances in methodology, study design, and patient selection or the small cohort sizes of the studies.
CT is often used to treat PDC. Both βIII-tubulin and SOX2 have been implicated in mechanisms of chemoresistance [44,67]. High levels of βIII-tubulin have been associated with resistance to anti-microtubule agents, so testing for this marker could be helpful to identify patients who might benefit the most from these treatments [47,64,68]. Nevertheless, some authors state that βIII-tubulin overexpression does not affect anti-microtubule-based CT [69]. Moreover, βIII-tubulin expression may present different biological characteristics in different tumors. Our patient data did not include CT information, and further studies are needed to clarify the role of this marker in chemotherapeutic resistance in PDC. Also, SOX2 has been linked with chemoresistance. There are a plethora of different mechanisms contributing to SOX2-induced resistance to therapy as part of its role in inducing stemness [34,67]. Moreover, SOX2 can induce protective autophagy and repress apoptosis, which are also linked to drug resistance. SOX2 is, therefore, an attractive therapeutic target to overcome drug resistance. Because SOX2 is still an undruggable transcription factor, the discovery of selective inhibitors is very limited, although some SOX2-targeting approaches have been undertaken [67]. In addition to SOX2, other stemness-targeting factors [20] have been associated with better responses to CT [70].
Another candidate treatment option for PDC is immunotherapy, although few studies have studied immune checkpoint inhibitors in these tumors. Recent immunotherapeutic biomarker studies have reported CD8+ TILs in up to 20% of ONBs, which were associated with a more favorable prognosis [71,72,73]. PD-L1 expression occurred in 14–20% of ONBs. CD8+ TILs and PD-L1 expression have also been observed in 17% and 33% of SNECs, respectively, and in 33% and 16% of SNUCs, respectively [73]. Other biomarkers include the tumor mutation burden and microsatellite instability, but few data on PDC are available. Using an immunohistochemical analysis of PMS2, MLH1, MSH2, and MSH6, Villanueva et al. [73] identified MSI in 2/25 SNUCs, 2/6 SNECs, and 0/14 ONBs, while in a large study of different sinonasal cancer types Hieggelke et al. [74] found MSI in only 4/125 squamous cell carcinomas but not in SNUCs or SNECs. These first studies indicate that a considerable subset of PDC patients could benefit from immunotherapy.
Most PDCs arise in the top of the nasal fossa, near the area of the olfactory groove, showing variable degrees of neuroendocrine differentiation [75]. Due to these features, we hypothesize that they have a shared origin with different hits during their evolution that would mark the differences in their histopathology and clinical behavior. Following injury, quiescent olfactory stem cells rapidly shift to activated, transient states that are unique to regeneration and are tailored to meet the demands of injury-induced repair. Multiple cell fates, including renewed stem cells, committed differentiating progenitors, and cancer stem cells, have been specified during this early window of activation [4,14,76]. Human neural stem/progenitor cells derived from the olfactory epithelium express the protein markers Sox2 and βIII-tubulin [77]. We found frequent Sox2 expression in a series of PDCs, possibly in line with the role of Sox2 in cancer stem cells. SOX2 cross-talks with multiple signaling pathways. The EGFR/MAPK/PI3K-mTOR-AKT and Wnt/β-catenin signaling pathways are implicated in some sinonasal carcinomas [2,78]. Sox2 overexpression promotes cell proliferation and migration by activating these pathways, which at the same time can affect Sox2 expression [67]. Sox2 also induces the expression of some epithelium-specific genes, including βIII-tubulin [79]. In our study, 30/57 samples were Sox2+/βIII-tubulin+. Over 90% of our analyzed cancers showed cytoplasmic βIII-tubulin expression, and 70% showed a strong staining intensity. The high and persistent expression of Sox2 and βIII-tubulin in PDC support their common origin on a neural progenitor.
The limitations of our study include its small sample size and retrospective nature. The limited number of patients and missing follow-up information may have affected the significance of our results. We analyzed all histological subtypes together due to the small number of individual cases with follow-up data. Thus, it remains to be seen whether the value of βIII-tubulin and Sox2 expression in PDC can be validated in a prospective study.

5. Conclusions

The remarkable high prevalence of Sox2 and βIII-tubulin expression in PDC emphasizes the putative relevance of these markers in these tumors. The absence of significant differences in the expression of these markers among different subtypes of PDC supports the hypothesis of their common origin from a neural stem/progenitor cell. Sox2 overexpression correlated with longer DFS and less distant metastasis, while high βIII-tubulin expression also correlated with longer DFS. More studies evaluating these markers in PDC should be carried out to further determine their clinical potential.

Author Contributions

Conceptualization, L.L. and L.F.-V.; validation, F.L. and M.A.H.; formal analysis, L.L., F.L. and M.A.H.; investigation, L.L., L.F.-V., V.N.C., R.G.-M., L.S.-F., H.C.-M., S.L.L.-G., B.V. and V.B.-L.; data curation, L.L. and F.L.; writing—original draft preparation, L.L.; writing—review and editing, F.L. and M.A.H.; supervision, F.L. and M.A.H.; project administration, J.L.L. and M.A.H.; funding acquisition, J.L.L. and M.A.H. All authors have read and agreed to the published version of the manuscript.

Funding

This study was funded by Instituto de Salud Carlos III (ISCIII) through the projects “PI19/00191” (F.L. and M.H.), “PI20/00383” (J.L.L.), and “PI22/00506” (F.L. and M.H.) and co-funded by the European Union, grant CB16/12/00390 from the Centro de Investigación Biomédica en Red de Cancer (CIBERONC), and grant IDI2018/155 from Ayudas a Grupos PCTI Principado de Asturias. Helena Codina-Martínez was supported by Centro de Investigación Biomédica en Red de Cáncer grant CB16/12/00390, and Sara Lucila Lorenzo-Guerra was supported by Instituto de Salud Carlos III (ISCIII) grant FI20/00137.

Institutional Review Board Statement

This study was conducted in accordance with the Declaration of Helsinki and was approved by the Ethics Committee of the Hospital Universitario Central de Asturias (approval number 2020.048).

Informed Consent Statement

Informed consent was obtained from all subjects involved in this study.

Data Availability Statement

All the data are available in the text.

Conflicts of Interest

The authors declare no conflict of interest.

References

  1. Su, S.Y.; Bell, D.; Hanna, E.Y. Esthesioneuroblastoma, Neuroendocrine Carcinoma, and Sinonasal Undifferentiated Carcinoma: Differentiation in Diagnosis and Treatment. Int. Arch. Otorhinolaryngol. 2014, 18, S149–S156. [Google Scholar] [CrossRef]
  2. López-Hernández, A.; Vivanco, B.; Franchi, A.; Bloemena, E.; Cabal, V.N.; Potes, S.; Riobello, C.; García-Inclán, C.; López, F.; Llorente, J.L.; et al. Genetic Profiling of Poorly Differentiated Sinonasal Tumours. Sci. Rep. 2018, 8, 3998. [Google Scholar] [CrossRef]
  3. Rooper, L.M. Proceedings of the 2023 North American Society of Head and Neck Pathology Companion Meeting, New Orleans, LA, March 12, 2023: Navigating New Developments in High Grade Sinonasal Neuroendocrine and Neuroectodermal Neoplasms. Head Neck Pathol. 2023, 17, 299–312. [Google Scholar] [CrossRef] [PubMed]
  4. Zunitch, M.J.; Fisch, A.S.; Lin, B.; Barrios-Camacho, C.M.; Faquin, W.C.; Tachie-Baffour, Y.; Louie, J.D.; Jang, W.; Curry, W.T.; Gray, S.T.; et al. Molecular Evidence for Olfactory Neuroblastoma as a Tumor of Malignant Globose Basal Cells. Mod. Pathol. 2023, 36, 100122. [Google Scholar] [CrossRef] [PubMed]
  5. Ferrari, M.; Taboni, S.; Contro, G.; Nicolai, P. Precision Medicine in the Treatment of Malignancies Involving the Ventral Skull Base: Present and Future. In Critical Issues in Head and Neck Oncology, Proceedings of the Eighth THNO Meeting, Amsterdam, The Netherlands, 11–13 November 2021; Vermorken, J.B., Budach, V., Leemans, C.R., Machiels, J.-P., Nicolai, P., O’Sullivan, B., Eds.; Springer International Publishing: Cham, Switzerland, 2023; pp. 237–291. [Google Scholar]
  6. Lopez, D.C.; Wadley, A.E.; London, N.R. Emerging Concepts in Sinonasal Tumor Research. Curr. Opin. Otolaryngol. Head Neck Surg. 2022, 30, 33–39. [Google Scholar] [CrossRef]
  7. Guilmette, J.; Sadow, P.M. High-Grade Sinonasal Carcinoma: Classification Through Molecular Profiling. Arch. Pathol. Lab. Med. 2019, 143, 1416–1419. [Google Scholar] [CrossRef] [PubMed]
  8. Hermsen, M.A.; Riobello, C.; García-Marín, R.; Cabal, V.N.; Suárez-Fernández, L.; López, F.; Llorente, J.L. Translational Genomics of Sinonasal Cancers. Semin. Cancer Biol. 2020, 61, 101–109. [Google Scholar] [CrossRef] [PubMed]
  9. Romani, C.; Bignotti, E.; Mattavelli, D.; Bozzola, A.; Lorini, L.; Tomasoni, M.; Ardighieri, L.; Rampinelli, V.; Paderno, A.; Battocchio, S.; et al. Gene Expression Profiling of Olfactory Neuroblastoma Helps Identify Prognostic Pathways and Define Potentially Therapeutic Targets. Cancers 2021, 13, 2527. [Google Scholar] [CrossRef]
  10. Mody, M.D.; Saba, N.F. Multimodal Therapy for Sinonasal Malignancies: Updates and Review of Current Treatment. Curr. Treat. Options Oncol. 2020, 21, 4. [Google Scholar] [CrossRef]
  11. Chen, M.Y.; Wen, X.; Wei, Y.; Chen, L.; Huang, Z.X.; Lu, T.; Zheng, N.Z.; Li, J.; Wen, W.P.; Wen, Y.H. Oncologic outcome of multimodality treatment for sinonasal malignancies: An 18-year experience. Front. Oncol. 2022, 12, 958142. [Google Scholar] [CrossRef] [PubMed]
  12. Llorente, J.L.; López, F.; Suárez, C.; Hermsen, M.A. Sinonasal Carcinoma: Clinical, Pathological, Genetic and Therapeutic Advances. Nat. Rev. Clin. Oncol. 2014, 11, 460–472. [Google Scholar] [CrossRef]
  13. Thawani, R.; Kim, M.S.; Arastu, A.; Feng, Z.; West, M.T.; Taflin, N.F.; Thein, K.Z.; Li, R.; Geltzeiler, M.; Lee, N.; et al. The contemporary management of cancers of the sinonasal tract in adults. CA Cancer J. Clin. 2023, 73, 72–112. [Google Scholar] [CrossRef] [PubMed]
  14. Lin, B.; Coleman, J.H.; Peterson, J.N.; Zunitch, M.J.; Jang, W.; Herrick, D.B.; Schwob, J.E. Injury Induces Endogenous Reprogramming and Dedifferentiation of Neuronal Progenitors to Multipotency. Cell Stem Cell 2017, 21, 761–774.e5. [Google Scholar] [CrossRef] [PubMed]
  15. Chen, M.; Reed, R.R.; Lane, A.P. Chronic Inflammation Directs an Olfactory Stem Cell Functional Switch from Neuroregeneration to Immune Defense. Cell Stem Cell 2019, 25, 501–513.e5. [Google Scholar] [CrossRef]
  16. Alqadah, A.; Hsieh, Y.-W.; Xiong, R.; Lesch, B.; Chang, C.; Chuang, C.-F. A Universal Transportin Protein Drives Stochastic Choice of Olfactory Neurons via Specific Nuclear Import of a Sox-2-Activating Factor. Proc. Natl. Acad. Sci. USA 2019, 116, 201908168. [Google Scholar] [CrossRef]
  17. Balachandran, S.; Narendran, A. The Developmental Origins of Cancer: A Review of the Genes Expressed in Embryonic Cells with Implications for Tumorigenesis. Genes 2023, 14, 604. [Google Scholar] [CrossRef] [PubMed]
  18. Holmes, Z.E.; Hamilton, D.J.; Hwang, T.; Parsonnet, N.V.; Rinn, J.L.; Wuttke, D.S.; Batey, R.T. The Sox2 Transcription Factor Binds RNA. Nat. Commun. 2020, 11, 1805. [Google Scholar] [CrossRef]
  19. Varzideh, F.; Gambardella, J.; Kansakar, U.; Jankauskas, S.S.; Santulli, G. Molecular mechanisms underlying pluripotency and self-renewal of embryonic stem cells. Int. J. Mol. Sci. 2023, 24, 8386. [Google Scholar] [CrossRef] [PubMed]
  20. Horisawa, K.; Suzuki, A. The role of pioneer transcription factors in the induction of direct cellular reprogramming. Regen. Ther. 2023, 24, 112–116. [Google Scholar] [CrossRef]
  21. Menendez, S.T.; Rey, V.; Martinez-Cruzado, L.; Gonzalez, M.V.; Morales-Molina, A.; Santos, L.; Blanco, V.; Alvarez, C.; Estupiñan, O.; Allonca, E.; et al. SOX2 Expression and Transcriptional Activity Identifies a Subpopulation of Cancer Stem Cells in Sarcoma with Prognostic Implications. Cancers 2020, 12, 964. [Google Scholar] [CrossRef]
  22. Liang, Y.; Wang, N.; Zhang, Y.; Jiang, W.; Fang, C.; Feng, Y.; Ma, H.; Jiang, F.; Dong, G. Self-restricted circular RNA circSOX2 suppressed the malignant progression in SOX2-amplified LUSC. Cell Death Dis. 2022, 13, 873. [Google Scholar] [CrossRef] [PubMed]
  23. Bensen, R.; Brognard, J. New therapeutic opportunities for the treatment of squamous cell carcinomas: A focus on novel driver kinases. Int. J. Mol. Sci. 2021, 22, 2831. [Google Scholar] [CrossRef] [PubMed]
  24. Wang, L.; Jin, Z.; Master, R.P.; Maharjan, C.K.; Carelock, M.E.; Reccoppa, T.B.A.; Kim, M.C.; Kolb, R.; Zhang, W. Breast cancer stem cells: Signaling pathways, cellular interactions, and therapeutic implications. Cancers 2022, 14, 3287. [Google Scholar] [CrossRef] [PubMed]
  25. Oria, V.O.; Zhang, H.; Zito, C.R.; Rane, C.K.; Ma, X.Y.; Provance, O.K.; Tran, T.T.; Adeniran, A.; Kluger, Y.; Sznol, M.; et al. Coupled fibromodulin and SOX2 signaling as a critical regulator of metastatic outgrowth in melanoma. Cell Mol. Life Sci. 2022, 23, 377. [Google Scholar] [CrossRef]
  26. Williams, A.; Gutgesell, L.; de Wet, L.; Selman, P.; Dey, A.; Avineni, M.; Kapoor, I.; Mendez, M.; Brown, R.; Lamperis, S.; et al. SOX2 expression in prostate cancer drives resistance to nuclear hormone receptor signaling inhibition through the WEE1/CDK1 signaling axis. Cancer Lett. 2023, 565, 216209. [Google Scholar] [CrossRef]
  27. Robinson, M.; Gilbert, S.F.; Waters, J.A.; Lujano-Olazaba, O.; Lara, J.; Alexander, L.J.; Green, S.E.; Burkeen, G.A.; Patrus, O.; Sarwar, Z.; et al. Characterization of SOX2, OCT4 and NANOG in ovarian cancer tumor-initiating cells. Cancers 2021, 12, 262. [Google Scholar] [CrossRef]
  28. Schaefer, T.; Lengerke, C. SOX2 protein biochemistry in stemness, reprogramming, and cancer: The PI3K/AKT/SOX2 axis and beyond. Oncogene 2020, 39, 278–292. [Google Scholar] [CrossRef]
  29. González-Márquez, R.; Llorente, J.L.; Rodrigo, J.P.; García-Pedrero, J.M.; Álvarez-Marcos, C.; Suárez, C.; Hermsen, M.A. SOX2 expression in hypopharyngeal, laryngeal, and sinonasal squamous cell carcinoma. Hum. Pathol. 2014, 45, 851–857. [Google Scholar] [CrossRef]
  30. Freier, K.; Knoepfle, K.; Flechtenmacher, C.; Pungs, S.; Devens, F.; Toedt, G.; Hofele, C.; Joos, S.; Lichter, P.; Radlwimmer, B. Recurrent Copy Number Gain of Transcription Factor SOX2 and Corresponding High Protein Expression in Oral Squamous Cell Carcinoma. Genes Chromosomes Cancer 2010, 49, 9–16. [Google Scholar] [CrossRef]
  31. Granda-Díaz, R.; Menéndez, S.T.; Pedregal Mallo, D.; Hermida-Prado, F.; Rodríguez, R.; Suárez-Fernández, L.; Vallina, A.; Sánchez-Canteli, M.; Rodríguez, A.; Fernández-García, M.S.; et al. The Novel Role of SOX2 as an Early Predictor of Cancer Risk in Patients with Laryngeal Precancerous Lesions. Cancers 2019, 11, 286. [Google Scholar] [CrossRef]
  32. Schröck, A.; Göke, F.; Wagner, P.; Bode, M.; Franzen, A.; Braun, M.; Huss, S.; Agaimy, A.; Ihrler, S.; Menon, R.; et al. Sex Determining Region Y-Box 2 (SOX2) Amplification Is an Independent Indicator of Disease Recurrence in Sinonasal Cancer. PLoS ONE 2013, 8, e59201. [Google Scholar] [CrossRef] [PubMed]
  33. Wang, S.; Liu, X.; Chen, Y.; Zhan, X.; Wu, T.; Chen, B.; Sun, G.; Yan, S.; Xu, L. The Role of SOX2 Overexpression in Prognosis of Patients with Solid Tumors: A Meta-Analysis and System Review. Medicine 2020, 99, e19604. [Google Scholar] [CrossRef] [PubMed]
  34. Dorna, D.; Paluszczak, J. Targeting Cancer Stem Cells as a Strategy for Reducing Chemotherapy Resistance in Head and Neck Cancers. J. Cancer Res. Clin. Oncol. 2023. [Google Scholar] [CrossRef] [PubMed]
  35. Kanakkanthara, A.; Miller, J.H. βIII-tubulin overexpression in cancer: Causes, consequences, and potential therapies. Biochim. Biophys. Acta Rev. Cancer 2021, 1876, 188607. [Google Scholar] [CrossRef]
  36. Yang, Y.-L.; Luo, X.-P.; Xian, L. The Prognostic Role of the Class III β-Tubulin in Non-Small Cell Lung Cancer (NSCLC) Patients Receiving the Taxane/Vinorebine-Based Chemotherapy: A Meta-Analysis. PLoS ONE 2014, 9, e93997. [Google Scholar] [CrossRef]
  37. Höflmayer, D.; Öztürk, E.; Schroeder, C.; Hube-Magg, C.; Blessin, N.C.; Simon, R.; Lang, D.S.; Neubauer, E.; Göbel, C.; Heinrich, M.-C.; et al. High Expression of Class III β-Tubulin in Upper Gastrointestinal Cancer Types. Oncol. Lett. 2018, 16, 7139–7145. [Google Scholar] [CrossRef]
  38. Lebok, P.; Öztürk, M.; Heilenkötter, U.; Jaenicke, F.; Müller, V.; Paluchowski, P.; Geist, S.; Wilke, C.; Burandt, E.; Lebeau, A.; et al. High Levels of Class III β-Tubulin Expression Are Associated with Aggressive Tumor Features in Breast Cancer. Oncol. Lett. 2016, 11, 1987–1994. [Google Scholar] [CrossRef]
  39. Öztop, S.; Işik, A.; Güner, G.; Gürdal, H.; Karabulut, E.; Yilmaz, E.; Akyol, A. Class III β-Tubulin Expression in Colorectal Neoplasms Is a Potential Predictive Biomarker for Paclitaxel Response. Anticancer Res. 2019, 39, 655–662. [Google Scholar] [CrossRef]
  40. Hinsch, A.; Chaker, A.; Burdelski, C.; Koop, C.; Tsourlakis, M.C.; Steurer, S.; Rink, M.; Eichenauer, T.S.; Wilczak, W.; Wittmer, C.; et al. βIII-Tubulin Overexpression Is Linked to Aggressive Tumor Features and Genetic Instability in Urinary Bladder Cancer. Hum. Pathol. 2017, 61, 210–220. [Google Scholar] [CrossRef]
  41. Nawara, H.M.; Afify, S.M.; Hassan, G.; Zahra, M.H.; Seno, A.; Seno, M. Paclitaxel-based chemotherapy targeting cancer stem cells from mono- to combination therapy. Biomedicines 2021, 9, 500. [Google Scholar] [CrossRef]
  42. Pernar Kovač, M.; Tadić, V.; Kralj, J.; Duran, G.E.; Stefanelli, A.; Stupin Polančec, D.; Dabelić, S.; Bačić, N.; Tomicic, M.T.; Heffeter, P.; et al. Carboplatin-induced upregulation of pan β-tubulin and class III β-tubulin is implicated in acquired resistance and cross-resistance of ovarian cancer. Cell Mol. Life Sci. 2023, 80, 294. [Google Scholar] [CrossRef] [PubMed]
  43. Kim, M.-J.; Ki, M.-S.; Kim, K.; Shim, H.-J.; Hwang, J.-E.; Bae, W.-K.; Chung, I.-J.; Lee, D.-H.; Lee, J.-K.; Yoon, T.-M.; et al. Different Protein Expression Associated with Chemotherapy Response in Oropharyngeal Cancer According to HPV Status. BMC Cancer 2014, 14, 824. [Google Scholar] [CrossRef] [PubMed]
  44. Koh, Y.; Kim, T.M.; Jeon, Y.K.; Kwon, T.-K.; Hah, J.H.; Lee, S.-H.; Kim, D.-W.; Wu, H.-G.; Rhee, C.-S.; Sung, M.-W.; et al. Class III Beta-Tubulin, but Not ERCC1, Is a Strong Predictive and Prognostic Marker in Locally Advanced Head and Neck Squamous Cell Carcinoma. Ann. Oncol. Off. J. Eur. Soc. Med. Oncol. 2009, 20, 1414–1419. [Google Scholar] [CrossRef] [PubMed]
  45. Nienstedt, J.C.; Gröbe, A.; Clauditz, T.; Simon, R.; Muenscher, A.; Knecht, R.; Sauter, G.; Moebius, C.; Blessmann, M.; Heiland, M.; et al. High-Level βIII-Tubulin Overexpression Occurs in Most Head and Neck Cancers but Is Unrelated to Clinical Outcome. J. Oral. Pathol. Med. 2017, 46, 986–990. [Google Scholar] [CrossRef]
  46. Parker, A.L.; Teo, W.S.; McCarroll, J.A.; Kavallaris, M. An Emerging Role for Tubulin Isotypes in Modulating Cancer Biology and Chemotherapy Resistance. Int. J. Mol. Sci. 2017, 18, 1434. [Google Scholar] [CrossRef]
  47. Topcagic, J.; Feldman, R.; Ghazalpour, A.; Swensen, J.; Gatalica, Z.; Vranic, S. Comprehensive Molecular Profiling of Advanced/Metastatic Olfactory Neuroblastomas. PLoS ONE 2018, 13, e0191244. [Google Scholar] [CrossRef]
  48. Amin, M.B.; Greene, F.L.; Edge, S.B.; Compton, C.C.; Gershenwald, J.E.; Brookland, R.K.; Meyer, L.; Gress, D.M.; Byrd, D.R.; Winchester, D.P. The Eighth Edition AJCC Cancer Staging Manual: Continuing to Build a Bridge from a Population-Based to a More “Personalized” Approach to Cancer Staging. CA. Cancer J. Clin. 2017, 67, 93–99. [Google Scholar] [CrossRef]
  49. Thompson, L.D.R.; Bishop, J.A. Update from the 5th Edition of the World Health Organization Classification of Head and Neck Tumors: Nasal Cavity, Paranasal Sinuses and Skull Base. Head Neck Pathol. 2022, 16, 1–18. [Google Scholar] [CrossRef]
  50. Brcic, L.; Sherer, C.K.; Shuai, Y.; Hornick, J.L.; Chirieac, L.R.; Dacic, S. Morphologic and Clinicopathologic Features of Lung Squamous Cell Carcinomas Expressing Sox2. Am. J. Clin. Pathol. 2012, 138, 712–718. [Google Scholar] [CrossRef]
  51. Lu, Y.; Futtner, C.; Rock, J.R.; Xu, X.; Whitworth, W.; Hogan, B.L.M.; Onaitis, M.W. Evidence That SOX2 Overexpression Is Oncogenic in the Lung. PLoS ONE 2010, 5, e11022. [Google Scholar] [CrossRef]
  52. Sholl, L.M.; Barletta, J.A.; Yeap, B.Y.; Chirieac, L.R.; Hornick, J.L. Sox2 Protein Expression Is an Independent Poor Prognostic Indicator in Stage I Lung Adenocarcinoma. Am. J. Surg. Pathol. 2010, 34, 1193–1198. [Google Scholar] [CrossRef]
  53. Riobello, C.; López-Hernández, A.; Cabal, V.N.; García-Marín, R.; Suárez-Fernández, L.; Sánchez-Fernández, P.; Vivanco, B.; Blanco, V.; López, F.; Franchi, A.; et al. IDH2 Mutation Analysis in Undifferentiated and Poorly Differentiated Sinonasal Carcinomas for Diagnosis and Clinical Management. Am. J. Surg. Pathol. 2020, 44, 396–405. [Google Scholar] [CrossRef] [PubMed]
  54. Gen, Y.; Yasui, K.; Zen, Y.; Zen, K.; Dohi, O.; Endo, M.; Tsuji, K.; Wakabayashi, N.; Itoh, Y.; Naito, Y.; et al. SOX2 Identified as a Target Gene for the Amplification at 3q26 That Is Frequently Detected in Esophageal Squamous Cell Carcinoma. Cancer Genet. Cytogenet. 2010, 202, 82–93. [Google Scholar] [CrossRef] [PubMed]
  55. Hussenet, T.; Dali, S.; Exinger, J.; Monga, B.; Jost, B.; Dembelé, D.; Martinet, N.; Thibault, C.; Huelsken, J.; Brambilla, E.; et al. SOX2 Is an Oncogene Activated by Recurrent 3q26.3 Amplifications in Human Lung Squamous Cell Carcinomas. PLoS ONE 2010, 5, e8960. [Google Scholar] [CrossRef]
  56. Li, X.-L.; Eishi, Y.; Bai, Y.-Q.; Sakai, H.; Akiyama, Y.; Tani, M.; Takizawa, T.; Koike, M.; Yuasa, Y. Expression of the SRY-Related HMG Box Protein SOX2 in Human Gastric Carcinoma. Int. J. Oncol. 2004, 24, 257–263. [Google Scholar] [CrossRef] [PubMed]
  57. Rudin, C.M.; Durinck, S.; Stawiski, E.W.; Poirier, J.T.; Modrusan, Z.; Shames, D.S.; Bergbower, E.A.; Guan, Y.; Shin, J.; Guillory, J.; et al. Comprehensive Genomic Analysis Identifies SOX2 as a Frequently Amplified Gene in Small-Cell Lung Cancer. Nat. Genet. 2012, 44, 1111–1116. [Google Scholar] [CrossRef] [PubMed]
  58. Bae, K.-M.; Su, Z.; Frye, C.; McClellan, S.; Allan, R.W.; Andrejewski, J.T.; Kelley, V.; Jorgensen, M.; Steindler, D.A.; Vieweg, J.; et al. Expression of Pluripotent Stem Cell Reprogramming Factors by Prostate Tumor Initiating Cells. J. Urol. 2010, 183, 2045–2053. [Google Scholar] [CrossRef]
  59. Wang, X.; Liang, Y.; Chen, Q.; Xu, H.-M.; Ge, N.; Luo, R.-Z.; Shao, J.-Y.; He, Z.; Zeng, Y.-X.; Kang, T.; et al. Prognostic Significance of SOX2 Expression in Nasopharyngeal Carcinoma. Cancer Investig. 2012, 30, 79–85. [Google Scholar] [CrossRef]
  60. Lundberg, I.V.; Löfgren Burström, A.; Edin, S.; Eklöf, V.; Öberg, Å.; Stenling, R.; Palmqvist, R.; Wikberg, M.L. SOX2 Expression Is Regulated by BRAF and Contributes to Poor Patient Prognosis in Colorectal Cancer. PLoS ONE 2014, 9, e101957. [Google Scholar] [CrossRef]
  61. Bayo, P.; Jou, A.; Stenzinger, A.; Shao, C.; Gross, M.; Jensen, A.; Grabe, N.; Mende, C.H.; Rados, P.V.; Debus, J.; et al. Loss of SOX2 Expression Induces Cell Motility via Vimentin Up-Regulation and Is an Unfavorable Risk Factor for Survival of Head and Neck Squamous Cell Carcinoma. Mol. Oncol. 2015, 9, 1704–1719. [Google Scholar] [CrossRef]
  62. Person, F.; Wilczak, W.; Hube-Magg, C.; Burdelski, C.; Möller-Koop, C.; Simon, R.; Noriega, M.; Sauter, G.; Steurer, S.; Burdak-Rothkamm, S.; et al. Prevalence of βIII-Tubulin (TUBB3) Expression in Human Normal Tissues and Cancers. Tumour Biol. 2017, 39, 1010428317712166. [Google Scholar] [CrossRef]
  63. Reiman, T.; Lai, R.; Veillard, A.S.; Paris, E.; Soria, J.C.; Rosell, R.; Taron, M.; Graziano, S.; Kratzke, R.; Seymour, L.; et al. Cross-Validation Study of Class III Beta-Tubulin as a Predictive Marker for Benefit from Adjuvant Chemotherapy in Resected Non-Small-Cell Lung Cancer: Analysis of Four Randomized Trials. Ann. Oncol. 2012, 23, 86–93. [Google Scholar] [CrossRef]
  64. Zhang, H.-L.; Ruan, L.; Zheng, L.-M.; Whyte, D.; Tzeng, C.-M.; Zhou, X.-W. Association between Class III β-Tubulin Expression and Response to Paclitaxel/Vinorebine-Based Chemotherapy for Non-Small Cell Lung Cancer: A Meta-Analysis. Lung Cancer Amst. Neth. 2012, 77, 9–15. [Google Scholar] [CrossRef]
  65. Lobert, S.; Graichen, M.E.; Hamilton, R.D.; Pitman, K.T.; Garrett, M.R.; Hicks, C.; Koganti, T. Prognostic Biomarkers for HNSCC Using Quantitative Real-Time PCR and Microarray Analysis: β-Tubulin Isotypes and the P53 Interactome. Cytoskeleton 2014, 71, 628–637. [Google Scholar] [CrossRef]
  66. Mariani, M.; Karki, R.; Spennato, M.; Pandya, D.; He, S.; Andreoli, M.; Fiedler, P.; Ferlini, C. Class III β-Tubulin in Normal and Cancer Tissues. Gene 2015, 563, 109–114. [Google Scholar] [CrossRef] [PubMed]
  67. Zhang, S.; Xiong, X.; Sun, Y. Functional Characterization of SOX2 as an Anticancer Target. Signal Transduct. Target. Ther. 2020, 5, 135. [Google Scholar] [CrossRef]
  68. Karki, R.; Mariani, M.; Andreoli, M.; He, S.; Scambia, G.; Shahabi, S.; Ferlini, C. βIII-Tubulin: Biomarker of Taxane Resistance or Drug Target? Expert. Opin. Ther. Targets 2013, 17, 461–472. [Google Scholar] [CrossRef]
  69. Ferrandina, G.; Zannoni, G.F.; Martinelli, E.; Paglia, A.; Gallotta, V.; Mozzetti, S.; Scambia, G.; Ferlini, C. Class III Beta-Tubulin Overexpression Is a Marker of Poor Clinical Outcome in Advanced Ovarian Cancer Patients. Clin. Cancer Res. 2006, 12, 2774–2779. [Google Scholar] [CrossRef]
  70. Vasefifar, P.; Najafi, S.; Motafakkerazad, R.; Amini, M.; Safaei, S.; Najafzadeh, B.; Alemohammad, H.; Jafarlou, M.; Baradaran, B. Targeting Nanog Expression Increased Cisplatin Chemosensitivity and Inhibited Cell Migration in Gastric Cancer Cells. Exp. Cell Res. 2023, 429, 113681. [Google Scholar] [CrossRef] [PubMed]
  71. Classe, M.; Burgess, A.; El Zein, S.; Wassef, M.; Herman, P.; Mortuaire, G.; Leroy, X.; Malouf, G.G.; Verillaud, B. Evaluating the prognostic potential of the Ki67 proliferation index and tumor-infiltrating lymphocytes in olfactory neuroblastoma. Histopathology 2019, 75, 853–864. [Google Scholar] [CrossRef] [PubMed]
  72. London, N.R., Jr.; Rooper, L.M.; Bishop, J.A.; Xu, H.; Bernhardt, L.J.; Ishii, M.; Hann, C.L.; Taube, J.M.; Izumchenko, E.; Gaykalova, D.A.; et al. Expression of programmed cell death ligand 1 and associated lymphocyte infiltration in olfactory neuroblastoma. World Neurosurg. 2020, 135, e187–e193. [Google Scholar] [CrossRef] [PubMed]
  73. Villanueva-Fernández, E.; Hermsen, M.A.; Suárez-Fernández, L.; Vivanco, B.; Franchi, A.; García-Marín, R.; Cabal, V.N.; Codina-Martínez, H.; Lorenzo-Guerra, S.L.; Llorente, J.L.; et al. Biomarkers for Immunotherapy in poorly differentiated sinonasal tumors. Biomedicines 2022, 10, 2205. [Google Scholar] [CrossRef] [PubMed]
  74. Hieggelke, L.; Heydt, C.; Castiglione, R.; Rehker, J.; Merkelbach-Bruse, S.; Riobello, C.; Llorente, J.L.; Hermsen, M.A.; Buettner, R. Mismatch repair deficiency and somatic mutations in human sinonasal tumors. Cancers 2021, 13, 6081. [Google Scholar] [CrossRef] [PubMed]
  75. Abdelmeguid, A.S.; Bell, D.; Hanna, E.Y. Neuroendocrine Carcinoma and Sinonasal Undifferentiated Carcinoma. Adv. Otorhinolaryngol. 2020, 84, 168–184. [Google Scholar] [CrossRef] [PubMed]
  76. Gadye, L.; Das, D.; Sanchez, M.A.; Street, K.; Baudhuin, A.; Wagner, A.; Cole, M.B.; Choi, Y.G.; Yosef, N.; Purdom, E.; et al. Injury Activates Transient Olfactory Stem Cell States with Diverse Lineage Capacities. Cell Stem Cell 2017, 21, 775–790.e9. [Google Scholar] [CrossRef]
  77. Ortiz-López, L.; González-Olvera, J.J.; Vega-Rivera, N.M.; García-Anaya, M.; Carapia-Hernández, A.K.; Velázquez-Escobar, J.C.; Ramírez-Rodríguez, G.B. Human Neural Stem/Progenitor Cells Derived from the Olfactory Epithelium Express the TrkB Receptor and Migrate in Response to BDNF. Neuroscience 2017, 355, 84–100. [Google Scholar] [CrossRef]
  78. Gay, L.M.; Kim, S.; Fedorchak, K.; Kundranda, M.; Odia, Y.; Nangia, C.; Battiste, J.; Colon-Otero, G.; Powell, S.; Russell, J.; et al. Comprehensive Genomic Profiling of Esthesioneuroblastoma Reveals Additional Treatment Options. Oncologist 2017, 22, 834–842. [Google Scholar] [CrossRef]
  79. Tompkins, D.H.; Besnard, V.; Lange, A.W.; Keiser, A.R.; Wert, S.E.; Bruno, M.D.; Whitsett, J.A. Sox2 Activates Cell Proliferation and Differentiation in the Respiratory Epithelium. Am. J. Respir. Cell Mol. Biol. 2011, 45, 101–110. [Google Scholar] [CrossRef]
Figure 1. H&E, Sox2, and βIII-tubulin staining images of one representative case each of sinonasal undifferentiated carcinoma (A,D,G), olfactory neuroblastoma (B,E,H), and sinonasal neuroendocrine carcinoma (C,F,I). Sox2 was positive in all three cases, while βIII-tubulin was determined to be moderate in (G,I) and strong in (H). All images show 20× magnification.
Figure 1. H&E, Sox2, and βIII-tubulin staining images of one representative case each of sinonasal undifferentiated carcinoma (A,D,G), olfactory neuroblastoma (B,E,H), and sinonasal neuroendocrine carcinoma (C,F,I). Sox2 was positive in all three cases, while βIII-tubulin was determined to be moderate in (G,I) and strong in (H). All images show 20× magnification.
Jpm 13 01504 g001
Figure 2. Kaplan–Meier overall (A), disease-specific (B), and disease-free (C) survival curves according to tumor type.
Figure 2. Kaplan–Meier overall (A), disease-specific (B), and disease-free (C) survival curves according to tumor type.
Jpm 13 01504 g002
Figure 3. Kaplan–Meier plots of disease-free survival curves according to Sox2 (A) and βIII-tubulin (B) expression.
Figure 3. Kaplan–Meier plots of disease-free survival curves according to Sox2 (A) and βIII-tubulin (B) expression.
Jpm 13 01504 g003
Table 1. Clinical data of patients according to tumor histology.
Table 1. Clinical data of patients according to tumor histology.
SNUCSNECONB
Total Patients36813
Gender
Male1934
Female1759
Age
Average575847
Range31–8540–7720–69
Location
Maxillary sinus600
Ethmoid sinus30813
T classification
T21446
T3212
T4a1925
T4b110
Disease stage
I-II1446
III-IV3247
Radiotherapy
No300
Yes33813
Follow-up
Mean292256
Median132529
Range1–9715–261–172
Local Recurrence
No1114
Yes523
Distant metastasis
No1104
Yes533
Patient status
Alive816
Died of disease621
Died of other causes200
Lost2056
Table 2. Diagnostic immunohistochemical staining results.
Table 2. Diagnostic immunohistochemical staining results.
SNUCSNECONB
n = 36n = 8n = 13
Pancytokeratin97%100%38%
CK 5/60%NDND
P400%NDND
P1627%0%0%
HPV0%0%0%
Synaptophysin/Chromogranin39%100%100%
NUT3%0%0%
SMARCB1 (INI-1)3%0%0%
SMARCA4 (BRG1)0%12.5%0%
IDH2 mut28%25%0%
Table 3. Sox2 and βIII-tubulin staining results.
Table 3. Sox2 and βIII-tubulin staining results.
SNUCSNECONB
n = 36n = 8n = 13
Sox2
nuclear
53%75%46%
βIII-tubulin
strong
64%75%85%
moderate8%12.5%8%
weak17%12.5%0%
negative11%0%0%
Disclaimer/Publisher’s Note: The statements, opinions and data contained in all publications are solely those of the individual author(s) and contributor(s) and not of MDPI and/or the editor(s). MDPI and/or the editor(s) disclaim responsibility for any injury to people or property resulting from any ideas, methods, instructions or products referred to in the content.

Share and Cite

MDPI and ACS Style

López, L.; Fernández-Vañes, L.; Cabal, V.N.; García-Marín, R.; Suárez-Fernández, L.; Codina-Martínez, H.; Lorenzo-Guerra, S.L.; Vivanco, B.; Blanco-Lorenzo, V.; Llorente, J.L.; et al. Sox2 and βIII-Tubulin as Biomarkers of Drug Resistance in Poorly Differentiated Sinonasal Carcinomas. J. Pers. Med. 2023, 13, 1504. https://doi.org/10.3390/jpm13101504

AMA Style

López L, Fernández-Vañes L, Cabal VN, García-Marín R, Suárez-Fernández L, Codina-Martínez H, Lorenzo-Guerra SL, Vivanco B, Blanco-Lorenzo V, Llorente JL, et al. Sox2 and βIII-Tubulin as Biomarkers of Drug Resistance in Poorly Differentiated Sinonasal Carcinomas. Journal of Personalized Medicine. 2023; 13(10):1504. https://doi.org/10.3390/jpm13101504

Chicago/Turabian Style

López, Luis, Laura Fernández-Vañes, Virginia N. Cabal, Rocío García-Marín, Laura Suárez-Fernández, Helena Codina-Martínez, Sara L. Lorenzo-Guerra, Blanca Vivanco, Verónica Blanco-Lorenzo, José L. Llorente, and et al. 2023. "Sox2 and βIII-Tubulin as Biomarkers of Drug Resistance in Poorly Differentiated Sinonasal Carcinomas" Journal of Personalized Medicine 13, no. 10: 1504. https://doi.org/10.3390/jpm13101504

APA Style

López, L., Fernández-Vañes, L., Cabal, V. N., García-Marín, R., Suárez-Fernández, L., Codina-Martínez, H., Lorenzo-Guerra, S. L., Vivanco, B., Blanco-Lorenzo, V., Llorente, J. L., López, F., & Hermsen, M. A. (2023). Sox2 and βIII-Tubulin as Biomarkers of Drug Resistance in Poorly Differentiated Sinonasal Carcinomas. Journal of Personalized Medicine, 13(10), 1504. https://doi.org/10.3390/jpm13101504

Note that from the first issue of 2016, this journal uses article numbers instead of page numbers. See further details here.

Article Metrics

Back to TopTop