Reliability of the Garden Alignment Index and Valgus Tilt Measurement for Nondisplaced Femoral Neck Fractures
Abstract
1. Introduction
2. Materials and Methods
2.1. Study Design and Setting
2.2. Patient Selection
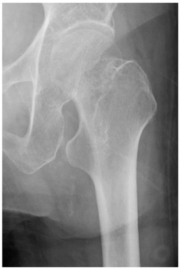
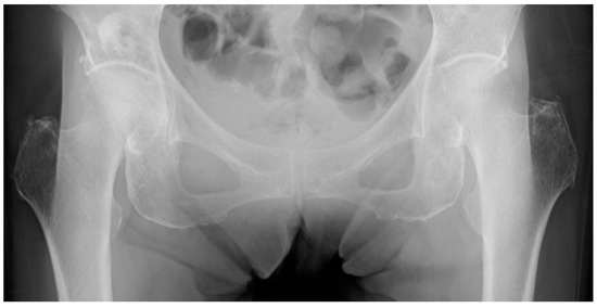
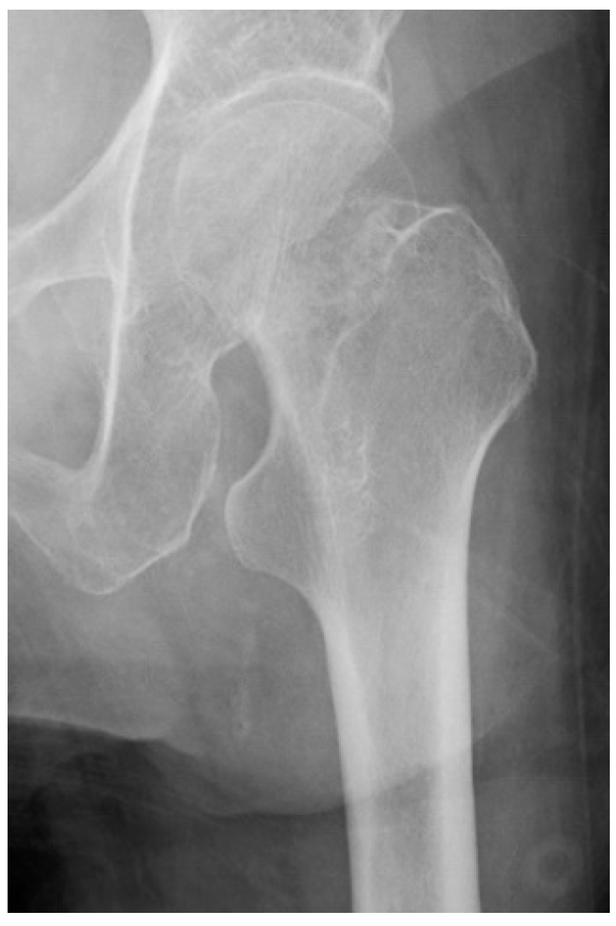
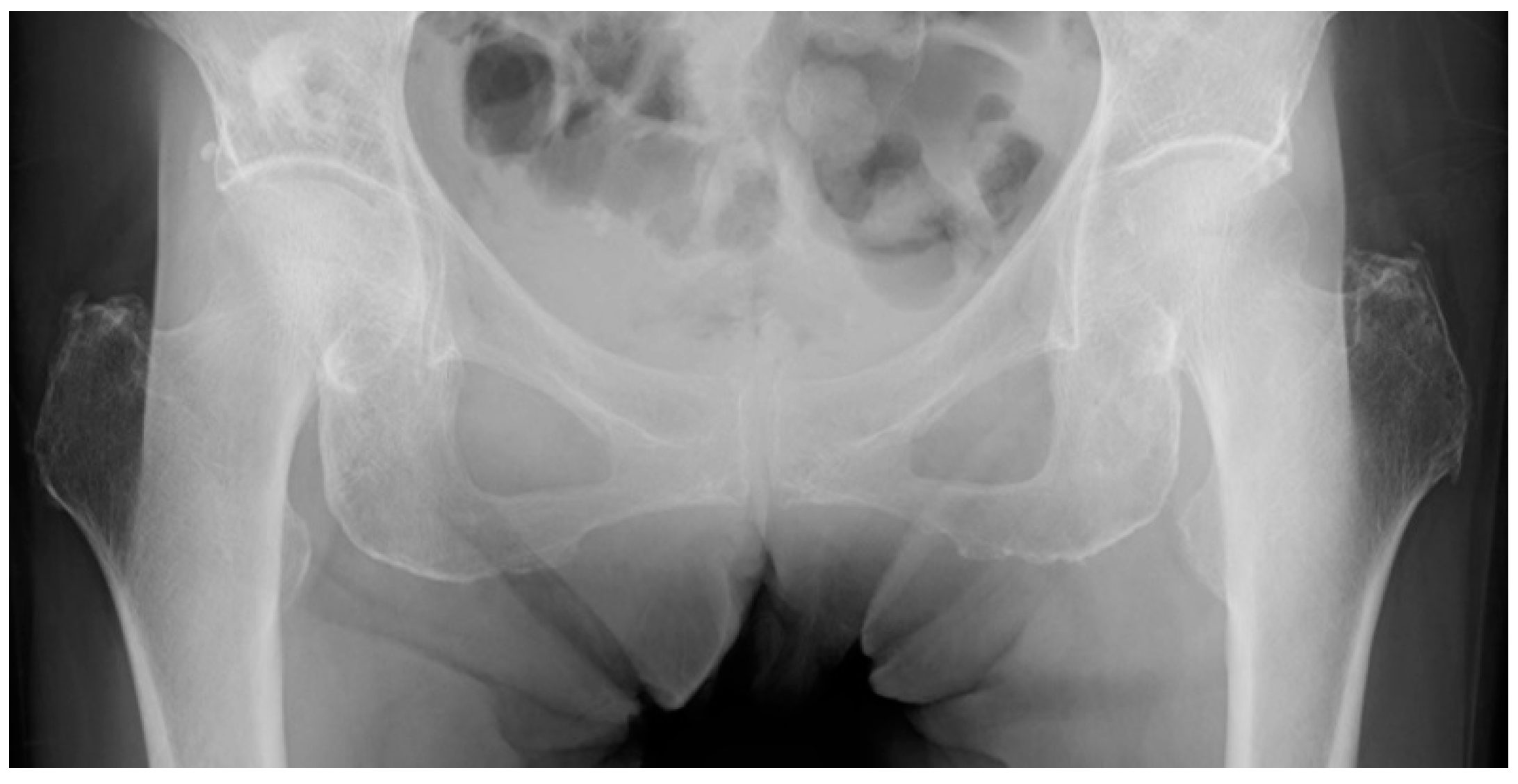
2.3. AP Hip Radiographs
2.4. Radiographic Measurements
2.5. Garden Alignment Index
2.6. Valgus Tilt Measurement
2.7. Statistical Analysis
3. Results
3.1. Intra-Rater Reliability
3.2. Inter-Rater Reliability
3.3. Subgroup Analysis
4. Discussion
4.1. Strengths
4.2. Limitations
5. Conclusions
Author Contributions
Funding
Institutional Review Board Statement
Informed Consent Statement
Data Availability Statement
Acknowledgments
Conflicts of Interest
References
- Takusari, E.; Sakata, K.; Hashimoto, T.; Fukushima, Y.; Nakamura, T.; Orimo, H. Trends in hip fracture incidence in Japan: Estimates based on nationwide hip fracture surveys from 1992 to 2017. JBMR Plus 2021, 5, e10428. [Google Scholar] [CrossRef]
- Do, L.N.D.; Kruke, T.M.; Foss, O.A.; Basso, T. Reoperations and mortality in 383 patients operated with parallel screws for Garden I-II femoral neck fractures with up to ten years follow-up. Injury 2016, 47, 2739–2742. [Google Scholar] [CrossRef]
- van der List, J.P.; El Saddy, S.; Vos, S.J.; Temmerman, O.P.P. Role of preoperative posterior tilt on the outcomes of internal fixation of non-displaced femoral neck fractures: A systematic review and meta-analysis. Injury 2021, 52, 316–323. [Google Scholar] [CrossRef]
- Papadelis, E.; Chaudhry, Y.P.; Hayes, H.; Talone, C.; Shah, M.P. Evaluation of the posterior tilt angle in predicting failure of nondisplaced femoral neck fractures after internal fixation: A systematic review. J. Orthop. Trauma. 2022. ahead of print. [Google Scholar] [CrossRef]
- Song, H.K.; Choi, H.J.; Yang, K.H. Risk factors of avascular necrosis of the femoral head and fixation failure in patients with valgus angulated femoral neck fractures over the age of 50 years. Injury 2016, 47, 2743–2748. [Google Scholar] [CrossRef]
- Qiu, L.; Huang, Y.; Li, G.; Wu, H.; Zhang, Y.; Zhang, Z. Essential role of reliable reduction quality in internal fixation of femoral neck fractures in the non-elderly patients-a propensity score matching analysis. BMC Musculoskelet. Disord. 2022, 23, 346. [Google Scholar] [CrossRef]
- Park, Y.C.; Um, K.S.; Kim, D.J.; Byun, J.; Yang, K.H. Comparison of femoral neck shortening and outcomes between in situ fixation and fixation after reduction for severe valgus-impacted femoral neck fractures. Injury 2021, 52, 569–574. [Google Scholar] [CrossRef]
- Palm, H.; Gosvig, K.; Krasheninnikoff, M.; Jacobsen, S.; Gebuhr, P. A new measurement for posterior tilt predicts reoperation in undisplaced femoral neck fractures: 113 Consecutive patients treated by internal fixation and followed for 1 year. Acta Orthop. 2009, 80, 303–307. [Google Scholar] [CrossRef] [PubMed]
- Dolatowski, F.C.; Hoelsbrekken, S.E. Eight orthopedic surgeons achieved moderate to excellent reliability measuring the preoperative posterior tilt angle in 50 Garden-I and Garden-II femoral neck fractures. J. Orthop. Surg. Res. 2017, 12, 133. [Google Scholar] [CrossRef]
- Dolatowski, F.C.; Adampour, M.; Frihagen, F.; Stavem, K.; Erik Utvåg, S.; Hoelsbrekken, S.E. Preoperative posterior tilt of at least 20° increased the risk of fixation failure in Garden-I and -II femoral neck fractures. Acta Orthop. 2016, 87, 252–256. [Google Scholar] [CrossRef]
- Kalsbeek, J.H.; van Walsum, A.D.P.; Roerdink, W.H.; van Vugt, A.B.; van de Krol, H.; Schipper, I.B. Validation of two methods to measure posterior tilt in femoral neck fractures. Injury 2020, 51, 380–383. [Google Scholar] [CrossRef] [PubMed]
- Garden, R.S. Malreduction and avascular necrosis in subcapital fractures of the femur. J. Bone Jt. Surg. Br. 1971, 53, 183–197. [Google Scholar] [CrossRef]
- Carreira, D.S.; Emmons, B.R. The reliability of commonly used radiographic parameters in the evaluation of the pre-arthritic hip: A systematic review. JBJS Rev. 2019, 7, e3. [Google Scholar] [CrossRef] [PubMed]
- Audigé, L.; Bhandari, M.; Kellam, J. How reliable are reliability studies of fracture classifications? A systematic review of their methodologies. Acta Orthop. Scand. 2004, 75, 184–194. [Google Scholar] [CrossRef] [PubMed]
- Koo, T.K.; Li, M.Y. A guideline of selecting and reporting intraclass correlation coefficients for reliability research. J. Chiropr. Med. 2016, 15, 155–163. [Google Scholar] [CrossRef]
- Arifin, W.N. Sample Size Calculator. 2022. Available online: wnarifin.github.io (accessed on 11 December 2022).
- Bonett, D.G. Sample size requirements for estimating intraclass correlations with desired precision. Stat. Med. 2002, 21, 1331–1335. [Google Scholar] [CrossRef]
- Song, H.K.; Lee, J.J.; Oh, H.C.; Yang, K.H. Clinical implication of subgrouping in valgus femoral neck fractures: Comparison of 31-B1.1 with 31-B1.2 fractures using the OTA/AO classification. J. Orthop. Trauma. 2013, 27, 677–682. [Google Scholar] [CrossRef]
- Cicchetti, D.V. Guidelines, criteria, and rules of thumb for evaluating normed and standardized assessment instruments in psychology. Psychol. Assess. 1994, 6, 284–290. [Google Scholar] [CrossRef]
- de Vet, H.C.W.; Terwee, C.B.; Knol, D.L.; Bouter, L.M. When to use agreement versus reliability measures. J. Clin. Epidemiol. 2006, 59, 1033–1039. [Google Scholar] [CrossRef]
- Bland, J.M.; Altman, D.G. Measurement error. BMJ 1996, 312, 1654. [Google Scholar] [CrossRef]
- Hoelsbrekken, S.E.; Dolatowski, F.C. The influence of the hips position on measurements of posterior tilt in a valgus-impacted femoral neck fracture. Injury 2017, 48, 2184–2188. [Google Scholar] [CrossRef] [PubMed]




| Garden Alignment Index | Valgus Tilt Measurement | Difference | |
|---|---|---|---|
| ICC (95% CI) | ICC (95% CI) | Point Estimate (95% CI) | |
| Four raters | 0.92 (0.89–0.94) | 0.86 (0.82–0.89) | 0.08 (0.03–0.14) |
| Two senior surgeons | 0.94 (0.90–0.97) | 0.88 (0.82–0.93) | |
| Two junior surgeons | 0.94 (0.90–0.97) | 0.94 (0.90–0.97) |
| Garden Alignment Index | Valgus Tilt Measurement | Difference | |
|---|---|---|---|
| ICC (95% CI) | ICC (95% CI) | Point Estimate (95% CI) | |
| Four raters | 0.92 (0.89–0.95) | 0.85 (0.81–0.88) | 0.08 (0.03–0.13) |
| Two senior surgeons | 0.95 (0.91–0.98) | 0.90 (0.83–0.94) | |
| Two junior surgeons | 0.95 (0.91–0.97) | 0.95 (0.91–0.97) |
| Patients | Measurement | Intra-Rater Reliability ICC (95% CI) | Inter-Rater Reliability ICC (95% CI) |
|---|---|---|---|
| Patients aged <80 years | GAI | 0.93 (0.91–0.95) | 0.95 (0.92–0.98) |
| VTM | 0.87 (0.82–0.91) | 0.88 (0.82–0.92) | |
| Patients aged ≥80 years | GAI | 0.88 (0.82–0.93) | 0.90 (0.84–0.95) |
| VTM | 0.83 (0.77–0.88) | 0.80 (0.73–0.85) |
Disclaimer/Publisher’s Note: The statements, opinions and data contained in all publications are solely those of the individual author(s) and contributor(s) and not of MDPI and/or the editor(s). MDPI and/or the editor(s) disclaim responsibility for any injury to people or property resulting from any ideas, methods, instructions or products referred to in the content. |
© 2022 by the authors. Licensee MDPI, Basel, Switzerland. This article is an open access article distributed under the terms and conditions of the Creative Commons Attribution (CC BY) license (https://creativecommons.org/licenses/by/4.0/).
Share and Cite
Yamakawa, Y.; Yamamoto, N.; Tomita, Y.; Okuda, R.; Masada, Y.; Shiroshita, A.; Matsumoto, T. Reliability of the Garden Alignment Index and Valgus Tilt Measurement for Nondisplaced Femoral Neck Fractures. J. Pers. Med. 2023, 13, 53. https://doi.org/10.3390/jpm13010053
Yamakawa Y, Yamamoto N, Tomita Y, Okuda R, Masada Y, Shiroshita A, Matsumoto T. Reliability of the Garden Alignment Index and Valgus Tilt Measurement for Nondisplaced Femoral Neck Fractures. Journal of Personalized Medicine. 2023; 13(1):53. https://doi.org/10.3390/jpm13010053
Chicago/Turabian StyleYamakawa, Yasuaki, Norio Yamamoto, Yosuke Tomita, Ryuichiro Okuda, Yasutaka Masada, Akihiro Shiroshita, and Toshiyuki Matsumoto. 2023. "Reliability of the Garden Alignment Index and Valgus Tilt Measurement for Nondisplaced Femoral Neck Fractures" Journal of Personalized Medicine 13, no. 1: 53. https://doi.org/10.3390/jpm13010053
APA StyleYamakawa, Y., Yamamoto, N., Tomita, Y., Okuda, R., Masada, Y., Shiroshita, A., & Matsumoto, T. (2023). Reliability of the Garden Alignment Index and Valgus Tilt Measurement for Nondisplaced Femoral Neck Fractures. Journal of Personalized Medicine, 13(1), 53. https://doi.org/10.3390/jpm13010053

