Machine Learning-Based Automated Detection and Quantification of Geographic Atrophy and Hypertransmission Defects Using Spectral Domain Optical Coherence Tomography
Abstract
1. Introduction
2. Materials and Methods
2.1. Imaging and Data Collection
2.2. Retinal Layers Ground Truth
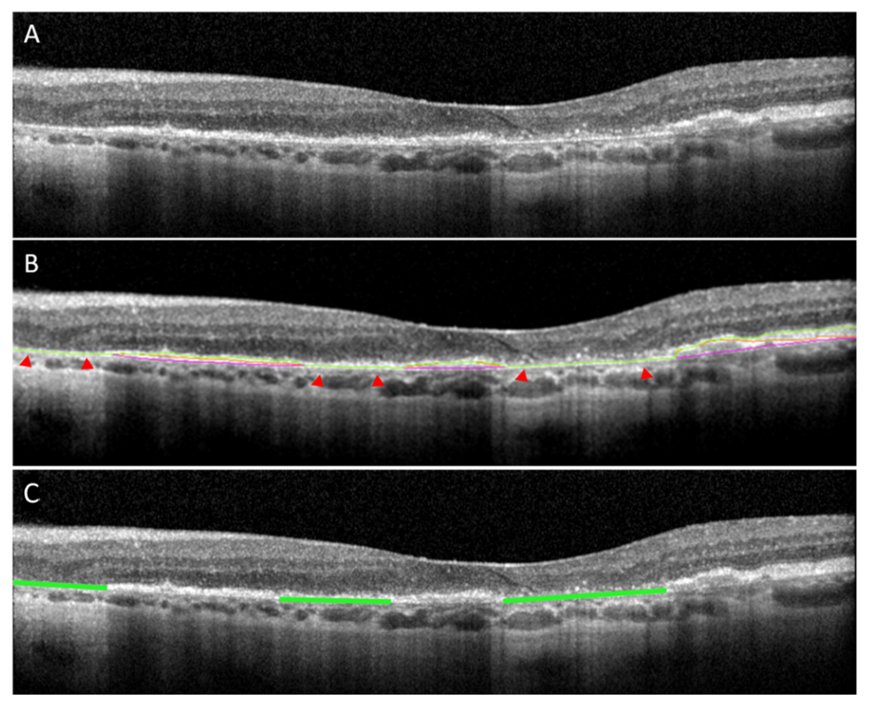
2.3. GA Ground Truth Mask Generation for B-Scan Model
2.4. GA Ground Truth Mask Generation for En Face Model
2.5. Training Data
2.6. Validation Data
2.7. Testing Data
2.8. Deep Learning Architecture
2.9. Automatic Retraining
2.10. Binary Detection of Presence of GA
2.11. GA Lesion Size Classifier
2.12. Statistical Analysis
3. Results
3.1. The B-Scan Cross-Sectional GA Detector and Quantifier
3.2. The En Face OCT-Based GA and Hypertransmission Defect Detector and Quantifier
3.3. GA Lesion Size Classifier
4. Discussion
5. Conclusions
Author Contributions
Funding
Institutional Review Board Statement
Informed Consent Statement
Data Availability Statement
Conflicts of Interest
References
- Bressler, N.M.; Bressler, S.B.; Congdon, N.G.; Ferris 3rd, F.L.; Friedman, D.S.; Klein, R.; Lindblad, A.S.; Milton, R.C.; Seddon, J.M. Potential public health impact of Age-Related Eye Disease Study results: AREDS report no. 11. Arch. Ophthalmol. 2003, 121, 1621–1624. [Google Scholar] [PubMed]
- Wong, W.L.; Su, X.; Li, X.; Cheung, C.M.G.; Klein, R.; Cheng, C.-Y.S. Global prevalence of age-related macular degeneration and disease burden projection for 2020 and 2040: A systematic review and meta-analysis. Lancet Glob. Health 2014, 2, e106–e116. [Google Scholar] [CrossRef] [PubMed]
- Colijn, J.M.; Buitendijk, G.H.; Prokofyeva, E.; Alves, D.; Cachulo, M.L.; Khawaja, A.P.; Cougnard-Gregoire, A.; Merle, B.M.; Korb, C.; Erke, M.G. Prevalence of age-related macular degeneration in Europe: The past and the future. Ophthalmology 2017, 124, 1753–1763. [Google Scholar] [CrossRef] [PubMed]
- Spaide, R.F.; Jaffe, G.J.; Sarraf, D.; Freund, K.B.; Sadda, S.R.; Staurenghi, G.; Waheed, N.K.; Chakravarthy, U.; Rosenfeld, P.J.; Holz, F.G. Consensus nomenclature for reporting neovascular age-related macular degeneration data: Consensus on neovascular age-related macular degeneration nomenclature study group. Ophthalmology 2020, 127, 616–636. [Google Scholar] [CrossRef]
- Flores-Moreno, I.; Arias-Barquet, L.; Rubio-Caso, M.J.; Ruiz-Moreno, J.M.; Duker, J.S.; Caminal, J.M. En face swept-source optical coherence tomography in neovascular age-related macular degeneration. Br. J. Ophthalmol. 2015, 99, 1260–1267. [Google Scholar] [CrossRef]
- Sunness, J.S.; Bressler, N.M.; Tian, Y.; Alexander, J.; Applegate, C.A. Measuring geographic atrophy in advanced age-related macular degeneration. Investig. Ophthalmol. Vis. Sci. 1999, 40, 1761–1769. [Google Scholar]
- Ehlers, J.P.; Clark, J.; Uchida, A.; Figueiredo, N.; Babiuch, A.; Talcott, K.E.; Lunasco, L.; Le, T.K.; Meng, X.; Hu, M.; et al. Longitudinal Higher-Order OCT Assessment of Quantitative Fluid Dynamics and the Total Retinal Fluid Index in Neovascular AMD. Transl. Vis. Sci. Technol. 2021, 10, 29. [Google Scholar] [CrossRef]
- Ehlers, J.P.; Uchida, A.; Hu, M.; Figueiredo, N.; Kaiser, P.K.; Heier, J.S.; Brown, D.M.; Boyer, D.S.; Do, D.V.; Gibson, A.; et al. Higher-Order Assessment of OCT in Diabetic Macular Edema from the VISTA Study: Ellipsoid Zone Dynamics and the Retinal Fluid Index. Ophthalmol. Retin. 2019, 3, 1056–1066. [Google Scholar] [CrossRef]
- Ehlers, J.P.; Zahid, R.; Kaiser, P.K.; Heier, J.S.; Brown, D.M.; Meng, X.; Reese, J.; Le, T.K.; Lunasco, L.; Hu, M.; et al. Longitudinal Assessment of Ellipsoid Zone Integrity, Subretinal Hyperreflective Material, and Subretinal Pigment Epithelium Disease in Neovascular Age-Related Macular Degeneration. Ophthalmol Retin. 2021, 5, 1204–1213. [Google Scholar] [CrossRef]
- Sadda, S.R.; Guymer, R.; Holz, F.G.; Schmitz-Valckenberg, S.; Curcio, C.A.; Bird, A.C.; Blodi, B.A.; Bottoni, F.; Chakravarthy, U.; Chew, E.Y.; et al. Consensus Definition for Atrophy Associated with Age-Related Macular Degeneration on OCT: Classification of Atrophy Report 3. Ophthalmology 2018, 125, 537–548. [Google Scholar] [CrossRef]
- Zhang, G.; Fu, D.J.; Liefers, B.; Faes, L.; Glinton, S.; Wagner, S.; Struyven, R.; Pontikos, N.; Keane, P.A.; Balaskas, K. Clinically relevant deep learning for detection and quantification of geographic atrophy from optical coherence tomography: A model development and external validation study. Lancet Digit. Health 2021, 3, e665–e675. [Google Scholar] [CrossRef] [PubMed]
- Szeskin, A.; Yehuda, R.; Shmueli, O.; Levy, J.; Joskowicz, L. A column-based deep learning method for the detection and quantification of atrophy associated with AMD in OCT scans. Med. Image Anal. 2021, 72, 102130. [Google Scholar] [CrossRef] [PubMed]
- Yehoshua, Z.; Filho, C.A.d.A.G.; Nunes, R.P.; Gregori, G.; Penha, F.M.; Moshfeghi, A.A.; Sadda, S.; Feuer, W.; Rosenfeld, P.J. Comparison of Geographic Atrophy Growth Rates Using Different Imaging Modalities in the COMPLETE Study. Ophthalmic Surg. Lasers Imaging Retin. 2015, 46, 413–422. [Google Scholar] [CrossRef] [PubMed]
- Yehoshua, Z.; Filho, C.A.A.G.; Penha, F.M.; Gregori, G.; Stetson, P.F.; Feuer, W.J.; Rosenfeld, P.J. Comparison of Geographic Atrophy Measurements from the OCT Fundus Image and the Sub-RPE Slab Image. Ophthalmic Surg. Lasers Imaging Retin. 2013, 44, 127–132. [Google Scholar] [CrossRef]
- Yehoshua, Z.; Rosenfeld, P.J.; Gregori, G.; Feuer, W.J.; Falcão, M.; Lujan, B.J.; Puliafito, C. Progression of Geographic Atrophy in Age-Related Macular Degeneration Imaged with Spectral Domain Optical Coherence Tomography. Ophthalmology 2011, 118, 679–686. [Google Scholar] [CrossRef] [PubMed]
- Feeny, A.K.; Tadarati, M.; Freund, D.E.; Bressler, N.M.; Burlina, P. Automated segmentation of geographic atrophy of the retinal epithelium via random forests in AREDS color fundus images. Comput. Biol. Med. 2015, 65, 124–136. [Google Scholar] [CrossRef] [PubMed]
- Liefers, B.; Colijn, J.M.; González-Gonzalo, C.; Verzijden, T.; Wang, J.J.; Joachim, N.; Mitchell, P.; Hoyng, C.B.; van Ginneken, B.; Klaver, C.C.W.; et al. A Deep Learning Model for Segmentation of Geographic Atrophy to Study Its Long-Term Natural History. Ophthalmology 2020, 127, 1086–1096. [Google Scholar] [CrossRef]
- Hu, Z.; Medioni, G.G.; Hernandez, M.; Hariri, A.; Wu, X.; Sadda, S.R. Segmentation of the Geographic Atrophy in Spectral-Domain Optical Coherence Tomography and Fundus Autofluorescence Images. Investig. Ophthalmol. Vis. Sci. 2013, 54, 8375–8383. [Google Scholar] [CrossRef]
- Chu, Z.; Wang, L.; Zhou, X.; Shi, Y.; Cheng, Y.; Laiginhas, R.; Zhou, H.; Shen, M.; Zhang, Q.; de Sisternes, L.; et al. Automatic geographic atrophy segmentation using optical attenuation in OCT scans with deep learning. Biomed Opt Express 2022, 13, 1328–1343. [Google Scholar] [CrossRef]
- Le, P.-H.; Sharma, S.; Baynes, K.; Le, T.K.; Sarici, K.; Lunasco, L.; Kalra, G.; Wise, K.; Calabrise, C.; LaMunyon, N.; et al. Geographic atrophy measured by machine learning and manual segmentation on optical coherence tomography in non-neovascular age-related macular degeneration. Investig. Ophthalmol. Vis. Sci. 2022, 63, 3022-F0292. [Google Scholar]
- Pramil, V.; de Sisternes, L.; Omlor, L.; Lewis, W.; Sheikh, H.; Chu, Z.; Manivannan, N.; Durbin, M.; Wang, R.K.; Rosenfeld, P.J.; et al. A Deep Learning Model for Automated Segmentation of Geographic Atrophy Imaged Using Swept-Source OCT. Ophthalmol Retin. 2022. [Google Scholar] [CrossRef] [PubMed]
- Guymer, R.H.; Rosenfeld, P.J.; Curcio, C.A.; Holz, F.G.; Staurenghi, G.; Freund, K.B.; Schmitz-Valckenberg, S.; Sparrow, J.; Spaide, R.F.; Tufail, A.; et al. Incomplete Retinal Pigment Epithelial and Outer Retinal Atrophy in Age-Related Macular Degeneration: Classification of Atrophy Meeting Report 4. Ophthalmology 2020, 127, 394–409. [Google Scholar] [CrossRef] [PubMed]
- Derradji, Y.; Mosinska, A.; Apostolopoulos, S.; Ciller, C.; De Zanet, S.; Mantel, I. Fully-automated atrophy segmentation in dry age-related macular degeneration in optical coherence tomography. Sci. Rep. 2021, 11, 21893. [Google Scholar] [CrossRef] [PubMed]







| GA Detection Performance | ||||
|---|---|---|---|---|
| Model | Accuracy | Sensitivity | Specificity | f-Score |
| OCT B-scan | 91% | 86% | 94% | 0.87 |
| en face OCT | 82% | 97% | 42% | 0.88 |
| Pixel-Wise GA Segmentation Performance | |||||
|---|---|---|---|---|---|
| Model | Accuracy | Sensitivity | Specificity | ICC (95% CI) | f-Score |
| OCT B-scan | 94% | 90% | 90% | 0.88 (0.82–0.92) | 0.71 |
| En face OCT | 96% | 95% | 93% | 0.95 (0.87–0.99) | 0.82 |
| Comparison of Pixel-Wise GA Segmentation Performance between Device-Manufacturers | |||
|---|---|---|---|
| OCT B-Scan Model | |||
| Model | Accuracy | Sensitivity | Specificity |
| Zeiss Cirrus | 92% | 88% | 87% |
| Heidelberg Spectralis | 97% | 96% | 94% |
| En face OCT model | |||
| Model | Accuracy | Sensitivity | Specificity |
| Zeiss Cirrus | 95% | 94% | 93% |
| Heidelberg Spectralis | 97% | 94% | 95% |
Disclaimer/Publisher’s Note: The statements, opinions and data contained in all publications are solely those of the individual author(s) and contributor(s) and not of MDPI and/or the editor(s). MDPI and/or the editor(s) disclaim responsibility for any injury to people or property resulting from any ideas, methods, instructions or products referred to in the content. |
© 2022 by the authors. Licensee MDPI, Basel, Switzerland. This article is an open access article distributed under the terms and conditions of the Creative Commons Attribution (CC BY) license (https://creativecommons.org/licenses/by/4.0/).
Share and Cite
Kalra, G.; Cetin, H.; Whitney, J.; Yordi, S.; Cakir, Y.; McConville, C.; Whitmore, V.; Bonnay, M.; Lunasco, L.; Sassine, A.; et al. Machine Learning-Based Automated Detection and Quantification of Geographic Atrophy and Hypertransmission Defects Using Spectral Domain Optical Coherence Tomography. J. Pers. Med. 2023, 13, 37. https://doi.org/10.3390/jpm13010037
Kalra G, Cetin H, Whitney J, Yordi S, Cakir Y, McConville C, Whitmore V, Bonnay M, Lunasco L, Sassine A, et al. Machine Learning-Based Automated Detection and Quantification of Geographic Atrophy and Hypertransmission Defects Using Spectral Domain Optical Coherence Tomography. Journal of Personalized Medicine. 2023; 13(1):37. https://doi.org/10.3390/jpm13010037
Chicago/Turabian StyleKalra, Gagan, Hasan Cetin, Jon Whitney, Sari Yordi, Yavuz Cakir, Conor McConville, Victoria Whitmore, Michelle Bonnay, Leina Lunasco, Antoine Sassine, and et al. 2023. "Machine Learning-Based Automated Detection and Quantification of Geographic Atrophy and Hypertransmission Defects Using Spectral Domain Optical Coherence Tomography" Journal of Personalized Medicine 13, no. 1: 37. https://doi.org/10.3390/jpm13010037
APA StyleKalra, G., Cetin, H., Whitney, J., Yordi, S., Cakir, Y., McConville, C., Whitmore, V., Bonnay, M., Lunasco, L., Sassine, A., Borisiak, K., Cohen, D., Reese, J., Srivastava, S. K., & Ehlers, J. P. (2023). Machine Learning-Based Automated Detection and Quantification of Geographic Atrophy and Hypertransmission Defects Using Spectral Domain Optical Coherence Tomography. Journal of Personalized Medicine, 13(1), 37. https://doi.org/10.3390/jpm13010037

