Insights into Personalised Medicine in Bronchiectasis
Abstract
1. Introduction
2. Phenotypes
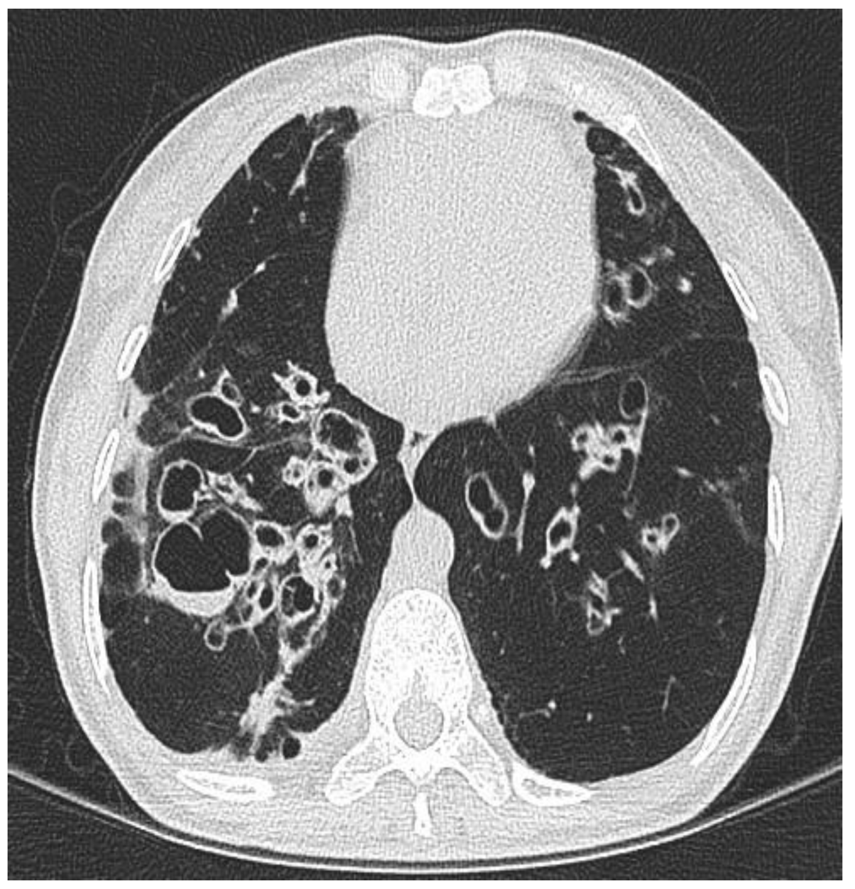
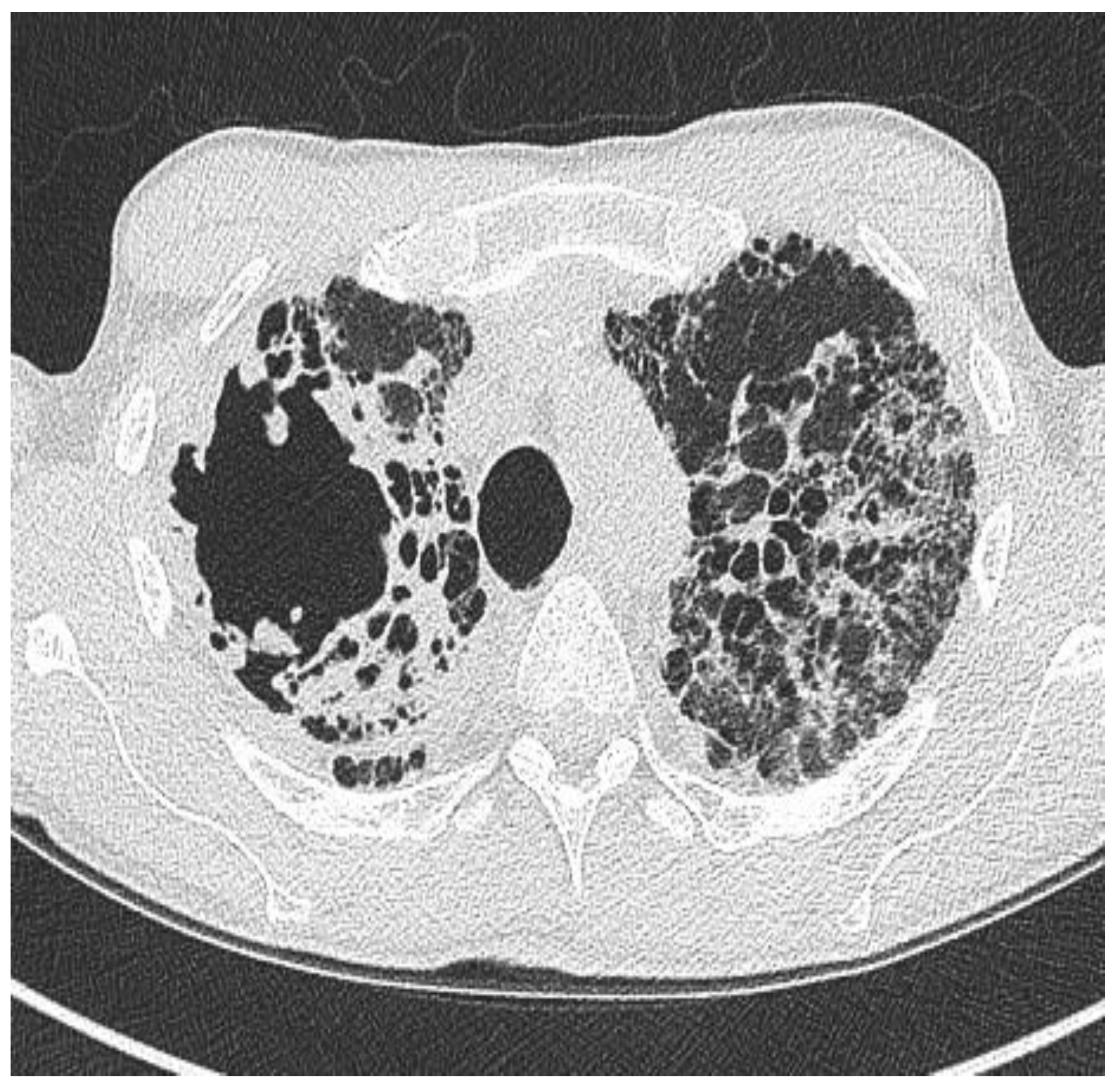
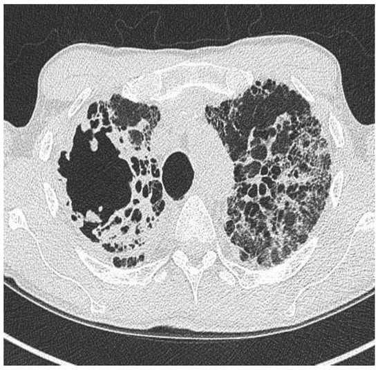
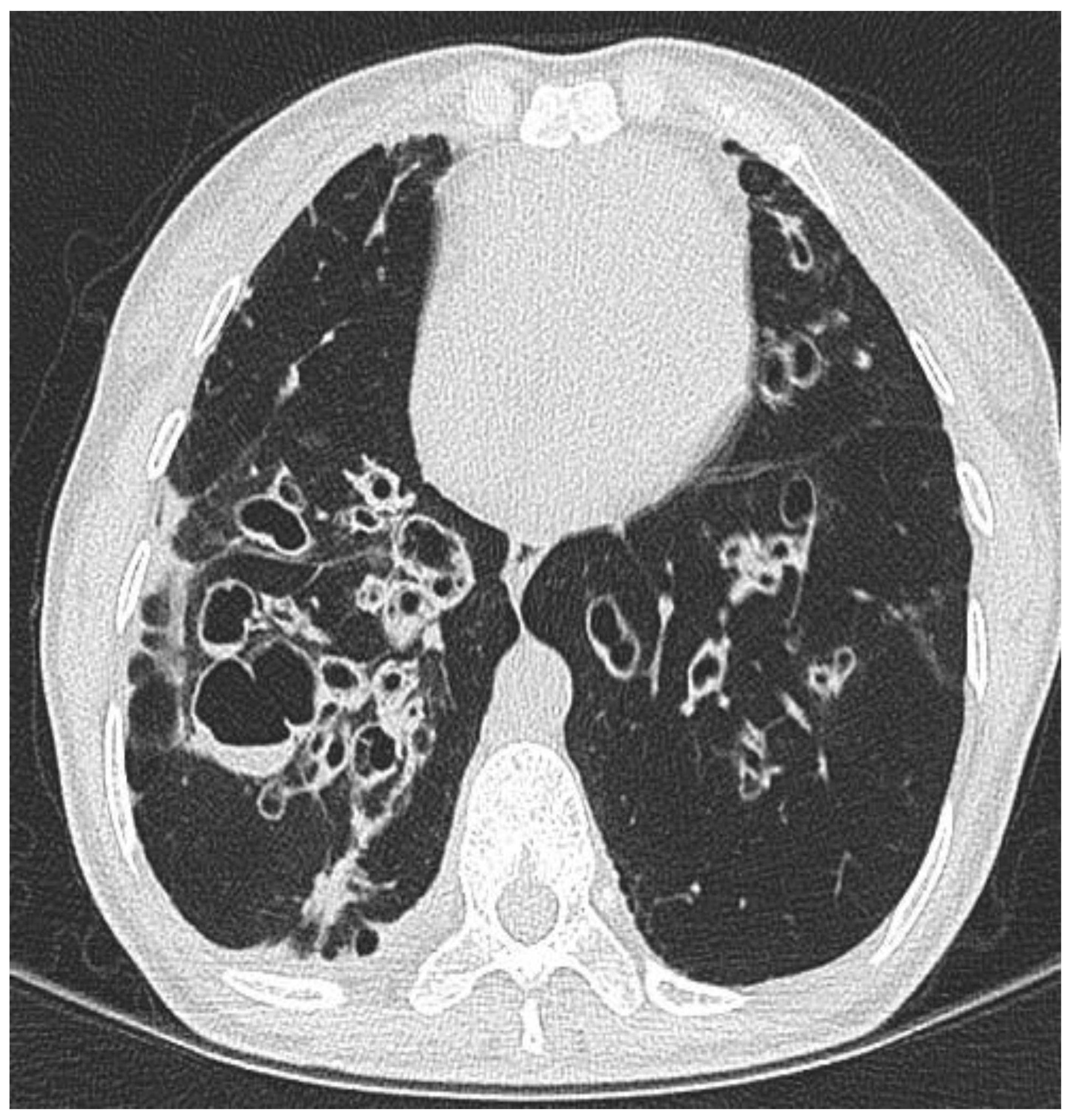
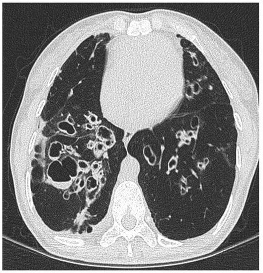
2.1. Clinical Phenotype by Radiology
2.2. Clinical Phenotype by Underlying Aetiology
2.2.1. Immunodeficiency Associated Bronchiectasis
2.2.2. Primary Ciliary Dyskinesia Associated Bronchiectasis
2.3. Clinical Phenotype and Overlap with Other Respiratory Conditions
2.3.1. COPD
2.3.2. Asthma
2.3.3. Allergic Bronchopulmonary Aspergillosis (ABPA)
2.4. Clinical Phenotype by Severity and Prognosis
2.5. Clinical Phenotype by Microbiology
3. Endotypes
3.1. Neutrophil Dysfunction
3.2. Neutrophil Extracellular Traps (NETs)
3.3. Eosinophilic/Type 2 Inflammatory Endotype
4. Treatments
4.1. Mucus Clearance
4.2. Antibiotics
4.3. Corticosteroids
4.4. Surgery
5. New Therapies
5.1. Brensocatib
5.2. Biologics
5.3. PCD-Specific Therapy
5.4. Phage Therapy
6. Conclusions
Author Contributions
Funding
Informed Consent Statement
Data Availability Statement
Conflicts of Interest
References
- Dhar, R.; Singh, S.; Talwar, D.; Mohan, M.; Tripathi, S.K.; Swarnakar, R.; Trivedi, S.; Rajagopalan, S.; Dsouza, G.; Padmanabhan, A.; et al. Bronchiectasis in India: Results from the European multicentre bronchiectasis audit and research collaboration (EMBARC) and respiratory research network of India registry. Lancet. Glob. Health 2019, 7, 1269–1279. [Google Scholar] [CrossRef] [PubMed]
- Ouedraogo, A.R.; Sanyu, I.; Nqwata, L.; Amare, E.; Gordon, S.; Ardrey, J.; Mortimer, K.; Meghji, J. Knowledge, attitudes, and practice about bronchiectasis among general practitioners in four African cities. J. Pan Afr. Thorac. Soc. 2021, 2, 94–100. [Google Scholar] [CrossRef]
- Aksamit, T.R.; O’Donnell, A.E.; Barker, A.; Olivier, K.N.; Winthrop, K.L.; Daniels, M.L.A.; Johnson, M.M.; Eden, E.; Griffith, D.; Knowles, M. Adult patients with bronchiectasis: A first look at the US bronchiectasis research registry. Chest 2017, 151, 982–992. [Google Scholar] [CrossRef]
- Aliberti, S.; Sotgiu, G.; Lapi, F.; Gramegna, A.; Cricelli, C.; Blasi, F. Prevalence and incidence of bronchiectasis in Italy. BMC Pulm. Med. 2020, 20, 15. [Google Scholar] [CrossRef]
- Quint, J.K.; Millett, E.R.C.; Joshi, M.; Navaratnam, V.; Thomas, S.L.; Hurst, J.R.; Smeeth, L.; Brown, J.S. Changes in the incidence, prevalence and mortality of bronchiectasis in the UK from 2004 to 2013: A population-based cohort study. Eur. Respir. J. 2016, 47, 186–193. [Google Scholar] [CrossRef]
- Park, D.I.; Kang, S.; Choi, S. Evaluating the prevalence and incidence of bronchiectasis and nontuberculous mycobacteria in south korea using the nationwide population data. Int. J. Environ. Res. Public Health 2021, 18, 9029. [Google Scholar] [CrossRef]
- Girón, R.M.; de Gracia Roldán, J.; Olveira, C.; Vendrell, M.; Martínez-García, M.Á.; de la Rosa, D.; Máiz, L.; Ancochea, J.; Vázquez, L.; Borderías, L.; et al. Sex bias in diagnostic delay in bronchiectasis: An analysis of the Spanish historical registry of bronchiectasis. Chron. Respir. Dis. 2017, 14, 360–369. [Google Scholar] [CrossRef]
- Naidich, D.P.; McCauley, D.I.; Khouri, N.F.; Stitik, F.P.; Siegelman, S.S. Computed tomography of bronchiectasis. J. Comput. Assist. Tomogr. 1982, 6, 437–444. [Google Scholar] [CrossRef]
- Habesoglu, M.A.; Ugurlu, A.O.; Eyuboglu, F.O. Clinical, radiologic, and functional evaluation of 304 patients with bronchiectasis. Ann. Thorac. Med. 2011, 6, 131–136. [Google Scholar] [CrossRef]
- Juliusson, G.; Gudmundsson, G. Diagnostic imaging in adult non-cystic fibrosis bronchiectasis. Breathe 2019, 15, 190–197. [Google Scholar] [CrossRef]
- Anwar, G.A.; McDonnell, M.J.; Worthy, S.A.; Bourke, S.C.; Afolabi, G.; Lordan, J.; Corris, P.; DeSoyza, A.; Middleton, P.; Ward, C.; et al. Phenotyping adults with non-cystic fibrosis bronchiectasis: A prospective observational cohort study. Respir. Med. 2013, 107, 1001–1007. [Google Scholar] [CrossRef] [PubMed]
- McShane, P.J.; Naureckas, E.T.; Strek, M.E. Bronchiectasis in a diverse US population: Effects of ethnicity on etiology and sputum culture. Chest 2012, 142, 159–167. [Google Scholar] [CrossRef] [PubMed]
- Chandrasekaran, R.; mac Aogáin, M.; Chalmers, J.D.; Elborn, S.J.; Chotirmall, S.H. Geographic variation in the aetiology, epidemiology and microbiology of bronchiectasis. BMC Pulm. Med. 2018, 18, 83. [Google Scholar] [CrossRef] [PubMed]
- Stubbs, A.; Bangs, C.; Shillitoe, B.; Edgar, J.D.; Burns, S.O.; Thomas, M.; Alachkar, H.; Buckland, M.; McDermott, E.; Arumugakani, G.; et al. Bronchiectasis and deteriorating lung function in agammaglobulinaemia despite immunoglobulin replacement therapy. Clin. Exp. Immunol. 2018, 191, 212–219. [Google Scholar] [CrossRef] [PubMed]
- Paff, T.; Loges, N.T.; Aprea, I.; Wu, K.; Bakey, Z.; Haarman, E.G.; Daniels, J.M.; Sistermans, E.A.; Bogunovic, N.; Dougherty, G.W.; et al. Mutations in PIH1D3 cause X-linked primary ciliary dyskinesia with outer and inner dynein arm defects. Am. J. Hum. Genet. 2017, 100, 160–168. [Google Scholar] [CrossRef] [PubMed]
- Wallmeier, J.; Frank, D.; Shoemark, A.; Nöthe-Menchen, T.; Cindric, S.; Olbrich, H.; Loges, N.T.; Aprea, I.; Dougherty, G.W.; Pennekamp, P.; et al. De novo mutations in FOXJ1 result in a motile ciliopathy with hydrocephalus and randomization of left/right body asymmetry. Am. J. Hum. Genet. 2019, 105, 1030–1039. [Google Scholar] [CrossRef] [PubMed]
- Shapiro, A.J.; Kaspy, K.; Daniels, M.L.A.; Stonebraker, J.R.; Nguyen, V.H.; Joyal, L.; Knowles, M.R.; Zariwala, M.A. Autosomal dominant variants in FOXJ1 causing primary ciliary dyskinesia in two patients with obstructive hydrocephalus. Mol. Genet. Genom. Med. 2021, 9, e1726. [Google Scholar] [CrossRef]
- Kuehni, C.E.; Frischer, T.; Strippoli, M.P.F.; Maurer, E.; Bush, A.; Nielsen, K.G.; Escribano, A.; Lucas, J.; Yiallouros, P.; Omran, H.; et al. Factors influencing age at diagnosis of primary ciliary dyskinesia in European children. Eur. Respir. J. 2010, 36, 1248–1258. [Google Scholar] [CrossRef] [PubMed]
- Amirav, I.; Wallmeier, J.; Loges, N.T.; Menchen, T.; Pennekamp, P.; Mussaffi, H.; Abitbul, R.; Avital, A.; Bentur, L.; Dougherty, G.W.; et al. Systematic analysis of CCNO variants in a defined population: Implications for clinical phenotype and differential diagnosis. Hum. Mutat. 2016, 37, 396–405. [Google Scholar] [CrossRef]
- Tan, W.C.; Sin, D.D.; Bourbeau, J.; Hernandez, P.; Chapman, K.R.; Cowie, R.; FitzGerald, J.M.; Marciniuk, D.D.; Maltais, F.; Buist, A.S.; et al. Characteristics of COPD in never-smokers and ever-smokers in the general population: Results from the CanCOLD study. Thorax 2015, 70, 822–829. [Google Scholar] [CrossRef]
- Martińez-García, M.A.; Carrillo, D.D.L.R.; Soler-Catalunã, J.J.; Donat-Sanz, Y.; Serra, P.C.; Lerma, M.; Ballestín, J.; Sánchez, I.V.; Ferrer, M.J.S.; Dalfo, A.R.; et al. Prognostic value of bronchiectasis in patients with moderate-to-severe chronic obstructive pulmonary disease. Am. J. Respir. Crit. Care Med. 2013, 187, 823–831. [Google Scholar] [CrossRef] [PubMed]
- Goeminne, P.C.; Nawrot, T.S.; Ruttens, D.; Seys, S.; Dupont, L.J. Mortality in non-cystic fibrosis bronchiectasis: A prospective cohort analysis. Respir. Med. 2014, 108, 287–296. [Google Scholar] [CrossRef] [PubMed]
- Mao, B.; Yang, J.W.; Lu, H.W.; Xu, J.F. Asthma and bronchiectasis exacerbation. Eur. Respir. J. 2016, 47, 1680–1686. [Google Scholar] [CrossRef] [PubMed]
- Venning, V.; Bartlett, J.; Jayaram, L. Patients hospitalized with an infective exacerbation of bronchiectasis unrelated to cystic fibrosis: Clinical, physiological and sputum characteristics. Respirology 2017, 22, 922–927. [Google Scholar] [CrossRef]
- Boyton, R.J.; Altmann, D.M. Bronchiectasis: Current concepts in pathogenesis, immunology, and microbiology. Annu. Rev. Pathol. Mech. Dis. 2016, 11, 523–554. [Google Scholar] [CrossRef]
- Chalmers, J.D.; Goeminne, P.; Aliberti, S.; McDonnell, M.J.; Lonni, S.; Davidson, J.; Poppelwell, L.; Salih, W.; Pesci, A.; Dupont, L.J.; et al. The bronchiectasis severity index an international derivation and validation study. Am. J. Respir. Crit. Care Med. 2014, 189, 576–585. [Google Scholar] [CrossRef]
- Martinez-Garcia, M.A.; Athanazio, R.A.; Girón, R.; Máiz-Carro, L.; de la Rosa, D.; Olveira, C.; De Gracia, J.; Vendrell, M.; Prados-Sánchez, C.; Gramblicka, G.; et al. Predicting high risk of exacerbations in bronchiectasis: The E-FACED score. Int. J. COPD 2017, 12, 275–284. [Google Scholar] [CrossRef]
- Martínez-García, M.A.; de Gracia, J.; Relat, M.V.; Girón, R.M.; Carro, L.M.; de La Rosa Carrillo, D.; Olveira, C. Multidimensional approach to non-cystic fibrosis bronchiectasis: The FACED score. Eur. Respir. J. 2014, 43, 1357–1367. [Google Scholar] [CrossRef]
- Minov, J.; Karadzinska-Bislimovska, J.; Vasilevska, K.; Stoleski, S.; Mijakoski, D. Assessment of the non-cystic fibrosis bronchiectasis severity: The FACED score vs. the bronchiectasis severity index. Open Respir. Med. J. 2015, 9, 46–51. [Google Scholar] [CrossRef]
- McDonnell, M.J.; Aliberti, S.; Goeminne, P.C.; Dimakou, K.; Zucchetti, S.C.; Davidson, J.; Ward, C.; Laffey, J.G.; Finch, S.; Pesci, A.; et al. Multidimensional severity assessment in bronchiectasis: An analysis of seven European cohorts. Thorax 2016, 71, 1110–1118. [Google Scholar] [CrossRef]
- Sin, S.; Yun, S.Y.; Kim, J.M.; Park, C.M.; Cho, J.; Choi, S.M.; Lee, J.; Park, Y.S.; Lee, S.-M.; Yoo, C.-G.; et al. Mortality risk and causes of death in patients with non-cystic fibrosis bronchiectasis. Respir. Res. 2019, 20, 271. [Google Scholar] [CrossRef]
- Loebinger, M.R.; Wells, A.U.; Hansell, D.M.; Chinyanganya, N.; Devaraj, A.; Meister, M.; Wilson, R. Mortality in bronchiectasis: A long-term study assessing the factors influencing survival. Eur. Respir. J. 2009, 34, 843–849. [Google Scholar] [CrossRef]
- Ellis, H.C.; Cowman, S.; Fernandes, M.; Wilson, R.; Loebinger, M.R. Predicting mortality in bronchiectasis using bronchiectasis severity index and FACED scores: A 19-year cohort study. Eur. Respir. J. 2016, 47, 482–489. [Google Scholar] [CrossRef] [PubMed]
- Choi, H.; Park, H.Y.; Han, K.; Yoo, J.; Shin, S.H.; Yang, B.; Kim, Y.; Park, T.S.; Park, D.W.; Moon, J.-Y.; et al. Non-cystic fibrosis bronchiectasis increases the risk of lung cancer independent of smoking status. Ann. Am. Thorac. Soc. 2022, 19, 1551–1560. [Google Scholar] [CrossRef]
- O’Callaghan, D.S.; O’Donnell, D.; O’Connell, F.; O’Byrne, K.J. The role of inflammation in the pathogenesis of non-small cell lung cancer. J. Thorac. Oncol. 2010, 5, 2024–2036. [Google Scholar] [CrossRef] [PubMed]
- Conway, E.M.; Pikor, L.A.; Kung, S.H.Y.; Hamilton, M.J.; Lam, S.; Lam, W.L.; Bennewith, K.L. Macrophages, inflammation, and lung cancer. Am. J. Respir. Crit. Care Med. 2016, 193, 116–130. [Google Scholar] [CrossRef] [PubMed]
- Wang, H.; Yang, L.; Zou, L.; Huang, N.; Guo, Y.; Pan, M.; Tan, Y.; Zhong, H.; Ji, W.; Ran, P.; et al. Association between chronic obstructive pulmonary disease and lung cancer: A case-control study in southern chinese and a meta-analysis. PLoS ONE 2012, 7, e46144. [Google Scholar] [CrossRef]
- King, P.T. Inflammation in chronic obstructive pulmonary disease and its role in cardiovascular disease and lung cancer. Clin. Transl. Med. 2015, 4, 68. [Google Scholar] [CrossRef]
- Ho, L.-J.; Yang, H.-Y.; Chung, C.-H.; Chang, W.-C.; Yang, S.-S.; Sun, C.-A.; Chien, W.-C.; Su, R.-Y. Increased risk of secondary lung cancer in patients with tuberculosis: A nationwide, population-based cohort study. PLoS ONE 2021, 16, e0250531. [Google Scholar] [CrossRef]
- Hwang, S.Y.; Kim, J.Y.; Lee, H.S.; Lee, S.; Kim, D.; Kim, S.; Hyun, J.H.; Shin, J.I.; Lee, K.H.; Han, S.H.; et al. Pulmonary tuberculosis and risk of lung cancer: A systematic review and meta-analysis. J. Clin. Med. 2022, 11, 765. [Google Scholar] [CrossRef]
- An, S.J.; Kim, Y.-J.; Han, S.-S.; Heo, J. Effects of age on the association between pulmonary tuberculosis and lung cancer in a South Korean cohort. J. Thorac. Dis. 2020, 12, 375–382. [Google Scholar] [CrossRef] [PubMed]
- Wang, H.; Ji, X.B.; Mao, B.; Li, C.W.; Lu, H.W.; Xu, J.F. Pseudomonas aeruginosa isolation in patients with non-cystic fibrosis bronchiectasis: A retrospective study. BMJ Open 2018, 8, e014613. [Google Scholar] [CrossRef] [PubMed]
- Martínez-García, M.A.; Soler-Cataluña, J.J.; Perpiñá-Tordera, M.; Román-Sánchez, P.; Soriano, J. Factors associated with lung function decline in adult patients with stable non-cystic fibrosis bronchiectasis. Chest 2007, 132, 1565–1572. [Google Scholar] [CrossRef] [PubMed]
- White, L.; Mirrani, G.; Grover, M.; Rollason, J.; Malin, A.; Suntharalingam, J. Outcomes of Pseudomonas eradication therapy in patients with non-cystic fibrosis bronchiectasis. Respir. Med. 2012, 106, 356–360. [Google Scholar] [CrossRef]
- King, P.T.; Holdsworth, S.R.; Freezer, N.J.; Villanueva, E.; Holmes, P.W. Microbiologic follow-up study in adult bronchiectasis. Respir. Med. 2007, 101, 1633–1638. [Google Scholar] [CrossRef] [PubMed]
- McDonnell, M.J.; Jary, H.R.; Perry, A.; MacFarlane, J.G.; Hester, K.L.; Small, T.; Molyneux, C.; Perry, J.D.; Walton, K.E.; De Soyza, A. Non cystic fibrosis bronchiectasis: A longitudinal retrospective observational cohort study of Pseudomonas persistence and resistance. Respir. Med. 2015, 109, 716–726. [Google Scholar] [CrossRef] [PubMed]
- Wickremasinghe, M.; Ozerovitch, L.J.; Davies, G.; Wodehouse, T.; Chadwick, M.V.; Abdallah, S.; Shah, P.; Wilson, R. Non-tuberculous mycobacteria in patients with bronchiectasis. Thorax 2005, 60, 1045–1051. [Google Scholar] [CrossRef] [PubMed]
- Máiz, L.; Girón, R.; Olveira, C.; Vendrell, M.; Nieto, R.; Martínez-García, M.A. Prevalence and factors associated with nontuberculous mycobacteria in non-cystic fibrosis bronchiectasis: A multicenter observational study. BMC Infect. Dis. 2016, 16, 437. [Google Scholar] [CrossRef]
- Fowler, S.J.; French, J.; Screaton, N.J.; Foweraker, J.; Condliffe, A.; Haworth, C.S.; Exley, A.R.; Bilton, D. Nontuberculous mycobacteria in bronchiectasis: Prevalence and patient characteristics. Eur. Respir. J. 2006, 28, 1204–1210. [Google Scholar] [CrossRef]
- Kwak, N.; Lee, J.H.; Kim, H.-J.; Kim, S.A.; Yim, J.-J. New-onset nontuberculous mycobacterial pulmonary disease in bronchiectasis: Tracking the clinical and radiographic changes. BMC Pulm. Med. 2020, 20, 293. [Google Scholar] [CrossRef]
- Kunst, H.; Wickremasinghe, M.; Wells, A.; Wilson, R. Nontuberculous mycobacterial disease and Aspergillus-related lung disease in bronchiectasis. Eur. Respir. J. 2006, 28, 352–357. [Google Scholar] [CrossRef] [PubMed]
- Sexton, P.; Harrison, A.C. Susceptibility to nontuberculous mycobacterial lung disease. Eur. Respir. J. 2008, 31, 1322–1333. [Google Scholar] [CrossRef] [PubMed]
- Reich, J.M.; Johnson, R.E. Mycobacterium avium complex pulmonary disease presenting as an isolated lingular or middle lobe pattern; The Lady Windermere syndrome. Chest 1992, 101, 1605–1609. [Google Scholar] [CrossRef]
- Bedi, P.; Davidson, D.J.; McHugh, B.J.; Rossi, A.G.; Hill, A.T. Blood neutrophils are reprogrammed in bronchiectasis. Am. J. Respir. Crit. Care Med. 2018, 198, 880–890. [Google Scholar] [CrossRef] [PubMed]
- Shoemark, A.; Smith, A.; Giam, A.; Dicker, A.; Richardson, H.; Huang, J.T.J.; Keir, H.R.; Finch, S.; Aliberti, S.; Sibila, O.; et al. Inflammatory molecular endotypes in bronchiectasis. Eur. Respir. J. 2019, 54, PA2170. [Google Scholar]
- Bottier, M.; Cant, E.; Delgado, L.; Cassidy, D.M.; Giam, Y.H.; Smith, A.; Richardson, H.; Dicker, A.J.; Huang, J.T.J.; Keir, H.R.; et al. Mapping inflammatory endotypes of bronchiectasis associated with impaired mucociliary clearance. Conf. ERS Int. Congr. 2021, 58, OA1311. [Google Scholar]
- Chalmers, J.D.; Moffitt, K.L.; Suarez-Cuartin, G.; Sibila, O.; Finch, S.; Furrie, E.; Dicker, A.; Wrobel, K.; Elborn, J.S.; Walker, B.; et al. Neutrophil elastase activity is associated with exacerbations and lung function decline in bronchiectasis. Am. J. Respir. Crit. Care Med. 2017, 195, 1384–1393. [Google Scholar] [CrossRef]
- Giam, Y.H.; Shoemark, A.; Chalmers, J.D. Neutrophil dysfunction in bronchiectasis: An emerging role for immunometabolism. Eur. Respir. J. 2021, 58, 2003157. [Google Scholar] [CrossRef] [PubMed]
- Giam, Y.; Smith, A.H.; Keir, H.R.; Cassidy, D.; Richardson, H.; Finch, S.M.; Long, M.B.; Aliberti, S.; Sibila, O.; Shoemarket, A. Validation of AMP-activated protein kinase as a therapeutic target in bronchiectasis. ERJ Open Res. 2020, 6, 27. [Google Scholar]
- Brinkmann, V.; Reichard, U.; Goosmann, C.; Fauler, B.; Uhlemann, Y.; Weiss, D.S.; Weinrauch, Y.; Zychlinsky, A. Neutrophil extracellular traps kill bacteria. Science 2004, 303, 1532–1535. [Google Scholar] [CrossRef]
- Ríos-López, A.; González, G.; Hernández-Bello, R.; Sánchez-González, A. Avoiding the trap: Mechanisms developed by pathogens to escape neutrophil extracellular traps. Microbiol. Res. 2021, 243, 126644. [Google Scholar] [CrossRef]
- Keir, H.R.; Shoemark, A.; Dicker, A.J.; Perea, L.; Pollock, J.; Giam, Y.H.; Suarez-Cuartin, G.; Crichton, M.L.; Lonergan, M.; Oriano, M.; et al. Neutrophil extracellular traps, disease severity, and antibiotic response in bronchiectasis: An international, observational, multicohort study. Lancet Respir. Med. 2021, 9, 873–884. [Google Scholar] [CrossRef]
- Liu, T.; Wang, F.-P.; Wang, G.; Mao, H. Role of neutrophil extracellular traps in asthma and chronic obstructive pulmonary disease. Chin. Med. J. 2017, 130, 730–736. [Google Scholar] [CrossRef] [PubMed]
- Dicker, A.J.; Crichton, M.L.; Pumphrey, E.G.; Cassidy, A.J.; Suarez-Cuartin, G.; Sibila, O.; Furrie, E.; Fong, C.J.; Ibrahim, W.; Brady, G.; et al. Neutrophil extracellular traps are associated with disease severity and microbiota diversity in patients with chronic obstructive pulmonary disease. J. Allergy Clin. Immunol. 2018, 141, 117–127. [Google Scholar] [CrossRef] [PubMed]
- Shoemark, A.; Shteinberg, M.; De Soyza, A.; Haworth, C.S.; Richardson, H.; Gao, Y.; Perea, L.; Dicker, A.J.; Goeminne, P.C.; Cant, E.; et al. Characterization of eosinophilic bronchiectasis a european multicohort study. Am. J. Respir. Crit. Care Med. 2022, 205, 894–902. [Google Scholar] [CrossRef]
- Abo-Leyah, H.; Finch, S.; Keir, H.; Fardon, T.; Chalmers, J. Peripheral blood eosinophilia and clinical phenotype in bronchiectasis. Eur. Respir. J. 2018, 52, PA2665. [Google Scholar]
- Oriano, M.; Gramegna, A.; Amati, F.; D’Adda, A.; Gaffuri, M.; Contoli, M.; Bindo, F.; Simonetta, E.; Di Francesco, C.; Santambrogio, M.; et al. T2-high endotype and response to biological treatments in patients with bronchiectasis. Biomedicines 2021, 9, 772. [Google Scholar] [CrossRef]
- Tsikrika, S.; Dimakou, K.; Papaioannou, A.I.; Hillas, G.; Thanos, L.; Kostikas, K.; Loukides, S.; Papiris, S.; Koulouris, N.; Bakakos, P. The role of non-invasive modalities for assessing inflammation in patients with non-cystic fibrosis bronchiectasis. Cytokine 2017, 99, 281–286. [Google Scholar] [CrossRef] [PubMed]
- Qi, Q.; Ailiyaer, Y.; Liu, R.; Zhang, Y.; Li, C.; Liu, M.; Wang, X.; Jing, L.; Li, Y. Effect of N-acetylcysteine on exacerbations of bronchiectasis (BENE): A randomized controlled trial. Respir. Res. 2019, 20, 73. [Google Scholar] [CrossRef]
- Bilton, D.; Tino, G.; Barker, A.F.; Chambers, D.C.; De Soyza, A.; A Dupont, L.J.A.; O’Dochartaigh, C.; Van Haren, E.H.J.; Vidal, L.O.; Welte, T.; et al. Inhaled mannitol for non-cystic fibrosis bronchiectasis: A randomised, controlled trial. Thorax 2014, 69, 1073–1079. [Google Scholar] [CrossRef]
- Cazzola, M.; Page, C.; Rogliani, P.; Calzetta, L.; Matera, M.G. Multifaceted beneficial effects of erdosteine: More than a mucolytic agent. Drugs 2020, 80, 1799–1809. [Google Scholar] [CrossRef] [PubMed]
- Hubbard, R.C.; McElvaney, N.G.; Birrer, P.; Shak, S.; Robinson, W.W.; Jolley, C.; Wu, M.; Chernick, M.S.; Crystal, R.G. A preliminary study of aerosolized recombinant human deoxyribonuclease I in the treatment of cystic fibrosis. N. Engl. J. Med. 1992, 326, 812–815. [Google Scholar] [CrossRef] [PubMed]
- Chalmers, J.D.; Aliberti, S.; Blasi, F. Management of bronchiectasis in adults. Eur. Respir. J. 2015, 45, 1446–1462. [Google Scholar] [CrossRef]
- Wilkinson, M.; Sugumar, K.; Milan, S.J.; Hart, A.; Crockett, A.; Crossingham, I. Mucolytics for bronchiectasis. Cochrane Database Syst. Rev. 2014, 2014, CD001289. [Google Scholar] [CrossRef]
- Tarrant, B.J.; Le Maitre, C.; Romero, L.; Steward, R.; Button, B.M.; Thompson, B.R.; Holland, A.E. Mucoactive agents for chronic, non-cystic fibrosis lung disease: A systematic review and meta-analysis. Respirology 2017, 22, 1084–1092. [Google Scholar] [CrossRef] [PubMed]
- O’Donnell, A.E.; Barker, A.F.; Ilowite, J.S.; Fick, R.B. Treatment of idiopathic bronchiectasis with aerosolized recombinant human DNase, I. rhDNase study group. Chest 1998, 113, 1329–1334. [Google Scholar] [CrossRef]
- Wills, P.J.; Wodehouse, T.; Corkery, K.; Mallon, K.; Wilson, R.; Cole, P.J. Short-term recombinant human DNase in bronchiectasis: Effect on clinical state and in vitro sputum transportability. Am. J. Respir. Crit. Care Med. 1996, 154, 413–417. [Google Scholar] [CrossRef]
- Martínez-García, M.A.; Perpiñá-Tordera, M.; Román-Sánchez, P.; Soler-Cataluña, J.J. Inhaled steroids improve quality of life in patients with steady-state bronchiectasis. Respir Med. 2006, 100, 1623–1632. [Google Scholar] [CrossRef]
- Tsang, K.W.; Tan, K.C.; Ho, P.L.; Ooi, G.C.; Ho, J.; Mak, J.; Tipoe, G.L.; Ko, C.; Yan, C.; Lam, W.K.; et al. Inhaled fluticasone in bronchiectasis: A 12 month study. Thorax 2005, 60, 239–243. [Google Scholar] [CrossRef]
- Aliberti, S.; Sotgiu, G.; Blasi, F.; Saderi, L.; Posadas, T.; Garcia, M.A.M. Blood eosinophils predict inhaled fluticasone response in bronchiectasis. Eur. Respir. J. 2020, 56, 2000453. [Google Scholar] [CrossRef]
- Martinez-Garcia, M.A.; Posadas, T.; Sotgiu, G.; Blasi, F.; Saderi, L.; Aliberti, S. Role of inhaled corticosteroids in reducing exacerbations in bronchiectasis patients with blood eosinophilia pooled post-hoc analysis of 2 randomized clinical trials. Respir. Med. 2020, 172, 106127. [Google Scholar] [CrossRef] [PubMed]
- Kapur, N.; Petsky, H.L.; Bell, S.; Kolbe, J.; Chang, A. Inhaled corticosteroids for bronchiectasis. Cochrane Database Syst. Rev. 2018, 2018, CD000996. [Google Scholar] [CrossRef]
- Polverino, E.; Goeminne, P.C.; McDonnell, M.J.; Aliberti, S.; Marshall, S.E.; Loebinger, M.R.; Murris, M.; Cantón, R.; Torres, A.; Dimakou, K.; et al. European respiratory society guidelines for the management of adult bronchiectasis. Eur. Respir. J. 2017, 50, 1700629. [Google Scholar] [CrossRef] [PubMed]
- Cobanoglu, U.; Yalcinkaya, I.; Er, M.; Işık, A.F.; Sayir, F.; Mergan, D. Surgery for bronchiectasis: The effect of morphological types to prognosis. Ann. Thorac. Med. 2011, 6, 25–32. [Google Scholar] [CrossRef] [PubMed]
- Prieto, D.; Bernardo, J.; Matos, M.J.; Eugénio, L.; Antunes, M. Surgery for bronchiectasis. Eur. J. Cardio. Thorac. Surg. 2001, 20, 19–23. [Google Scholar] [CrossRef]
- Chalmers, J.D.; Haworth, C.S.; Metersky, M.L.; Loebinger, M.R.; Blasi, F.; Sibila, O.; O’Donnell, A.E.; Sullivan, E.J.; Mange, K.C.; Fernandez, C.; et al. Phase 2 Trial of the DPP-1 Inhibitor Brensocatib in Bronchiectasis. N. Engl. J. Med. 2020, 383, 2127–2137. [Google Scholar] [CrossRef]
- FitzGerald, J.M.; Bleecker, E.R.; Nair, P.; Korn, S.; Ohta, K.; Lommatzsch, M.; Ferguson, G.T.; Busse, W.W.; Barker, P.; Sproule, S.; et al. Benralizumab, an anti-interleukin-5 receptor α monoclonal antibody, as add-on treatment for patients with severe, uncontrolled, eosinophilic asthma (CALIMA): A randomised, double-blind, placebo-controlled phase 3 trial. Lancet 2016, 388, 2128–2141. [Google Scholar] [CrossRef]
- Ortega, H.G.; Liu, M.C.; Pavord, I.D.; Brusselle, G.G.; Fitzgerald, J.M.; Chetta, A.; Humbert, M.; Katz, L.E.; Keene, O.N.; Yancey, S.W.; et al. Mepolizumab Treatment in Patients with Severe Eosinophilic Asthma. New Engl. J. Med. 2014, 371, 1198–1207. [Google Scholar] [CrossRef]
- Kudlaty, E.; Patel, G.B.; Prickett, M.L.; Yeh, C.; Peters, A.T. Efficacy of type 2-targeted biologics in patients with asthma and bronchiectasis. Ann. Allergy Asthma Immunol. 2021, 126, 302–304. [Google Scholar] [CrossRef]
- Zariwala, M.A.; Leigh, M.W.; Ceppa, F.; Kennedy, M.P.; Noone, P.G.; Carson, J.L.; Hazucha, M.J.; Lori, A.; Horvath , J.; Olbrich , H.; et al. Mutations of DNAI1 in primary ciliary dyskinesia: Evidence of founder effect in a common mutation. Am. J. Respir. Crit. Care Med. 2006, 174, 858–866. [Google Scholar] [CrossRef]
- Chhin, B.; Negre, D.; Merrot, O.; Pham, J.; Tourneur, Y.; Ressnikoff, D.; Jaspers, M.; Jorissen, M.; Cosset, F.-L.; Bouvagnet, P. Ciliary beating recovery in deficient human airway epithelial cells after lentivirus ex vivo gene therapy. PLoS Genet. 2009, 5, e1000422. [Google Scholar] [CrossRef]
- Bañuls, L.; Pellicer, D.; Castillo, S.; Navarro-García, M.M.; Magallón, M.; González, C.; Dasí, F. Gene therapy in rare respiratory diseases: What have we learned so far? J. Clin. Med. 2020, 9, 2577. [Google Scholar] [CrossRef]
- McIntyre, J.C.; Davis, E.; Joiner, A.; Williams, C.L.; Tsai, I.-C.; Jenkins, P.; McEwen, D.P.; Zhang, L.; Escobado, J.; Thomas, S.; et al. Gene therapy rescues cilia defects and restores olfactory function in a mammalian ciliopathy model. Nat. Med. 2012, 18, 1423–1428. [Google Scholar] [CrossRef]
- Ostrowski, L.E.; Yin, W.; Rogers, T.D.; Busalacchi, K.B.; Chua, M.; O’Neal, W.K.; Grubb, B.R. Conditional deletion of Dnaic1 in a murine model of primary ciliary dyskinesia causes chronic rhinosinusitis. Am. J. Respir. Cell Mol. Biol. 2010, 43, 55–63. [Google Scholar] [CrossRef] [PubMed]
- Lai, M.; Pifferi, M.; Bush, A.; Piras, M.; Michelucci, A.; Di Cicco, M.; del Grosso, A.; Quaranta, P.; Cursi, C.; Tantillo, E.; et al. Gene editing of DNAH11 restores normal cilia motility in primary ciliary dyskinesia. J. Med. Genet. 2016, 53, 242–249. [Google Scholar] [CrossRef] [PubMed]
- Paff, T.; Omran, H.; Nielsen, K.G.; Haarman, E.G. Current and future treatments in primary ciliary dyskinesia. Int. J. Mol. Sci. 2021, 22, 9834. [Google Scholar] [CrossRef] [PubMed]
- Lee, D.D.H.; Cardinale, D.; Nigro, E.; Butler, C.R.; Rutman, A.; Fassad, M.R.; Hirst, R.A.; Moulding, D.; Agrotis, A.; Forsythe, E.; et al. Higher throughput drug screening for rare respiratory diseases: Readthrough therapy in primary ciliary dyskinesia. Eur. Respir. J. 2021, 58, 2000455. [Google Scholar] [CrossRef] [PubMed]
- Chegini, Z.; Khoshbayan, A.; Moghadam, M.T.; Farahani, I.; Jazireian, P.; Shariati, A. Bacteriophage therapy against Pseudomonas aeruginosa biofilms: A review. Ann. Clin. Microbiol. Antimicrob. 2020, 19, 45. [Google Scholar] [CrossRef]
- Waters, E.M.; Neill, D.R.; Kaman, B.; Sahota, J.S.; Clokie, M.R.J.; Winstanley, C.; Kadioglu, A. Phage therapy is highly effective against chronic lung infections with Pseudomonas aeruginosa. Thorax 2017, 72, 666–667. [Google Scholar] [CrossRef]
- Cafora, M.; Deflorian, G.; Forti, F.; Ferrari, L.; Binelli, G.; Briani, F.; Ghisotti, D.; Pistocchi, A. Phage therapy against Pseudomonas aeruginosa infections in a cystic fibrosis zebrafish model. Sci Rep. 2019, 9, 1527. [Google Scholar] [CrossRef] [PubMed]
- Nebulized Bacteriophage Therapy in Cystic Fibrosis Patients with Chronic Pseudomonas Aeruginosa Pulmonary Infection. Drug Des. Dev. Ther. 2015, 9, 3653–3663. Available online: https://clinicaltrials.gov/ct2/show/NCT05010577 (accessed on 23 September 2022).



| Bronchiectasis Aetiologies | Examples |
|---|---|
| Idiopathic | |
| Post Infection | Mycobacterial infection. Bacterial pneumonia, e.g., Bordetella Pertussis (especially in childhood). Viral infections—measles, influenza, adenovirus (especially in childhood). Aspergillosis Swyer–James syndrome (secondary to childhood bronchiolitis obliterans). |
| Impaired immunity | Primary immunodeficiency disorder, e.g., common variable immunodeficiency (CVID), hypogammaglobulinaemia, chronic granulomatous disease, Waldenstrom macroglobulinemia. Acquired—e.g., 3e HIV, malignancy (haematological), chemotherapy, post-transplant. |
| Genetic/Congenital | Cystic fibrosis, primary ciliary dyskinesia, alpha-1-antitrypsin deficiency. Bronchial tree malformations (tracheomegaly (Mounier–Kuhn syndrome)), cartilage deficiency (Williams–Campbell syndrome), pulmonary sequestration, bronchial atresia. |
| Allergic/Autoimmune | ABPA, asthma, COPD. Connective tissue diseases—e.g., rheumatoid arthritis, systemic lupus erythematosus (SLE), Sjogren’s, relapsing polychondritis inflammatory bowel disease |
| Obstruction | Foreign body, malignancy, anatomical abnormality. |
| Inflammation | Aspiration, radiation induced, toxic inhalation (chlorine, ammonia, smoke). |
| Malignancy | Primary lung—bronchogenic carcinoma, bronchial carcinoid. Thymoma (via means of hypogammaglobulinaemia). |
| Chronic lung diseases | Granulomatous—sarcoidosis, interstitial pneumonias (often via means of traction bronchiectasis). Post lung transplant. |
| Other | Youngs disease. Yellow nail syndrome. |
Disclaimer/Publisher’s Note: The statements, opinions and data contained in all publications are solely those of the individual author(s) and contributor(s) and not of MDPI and/or the editor(s). MDPI and/or the editor(s) disclaim responsibility for any injury to people or property resulting from any ideas, methods, instructions or products referred to in the content. |
© 2023 by the authors. Licensee MDPI, Basel, Switzerland. This article is an open access article distributed under the terms and conditions of the Creative Commons Attribution (CC BY) license (https://creativecommons.org/licenses/by/4.0/).
Share and Cite
Fraser, C.S.; José, R.J. Insights into Personalised Medicine in Bronchiectasis. J. Pers. Med. 2023, 13, 133. https://doi.org/10.3390/jpm13010133
Fraser CS, José RJ. Insights into Personalised Medicine in Bronchiectasis. Journal of Personalized Medicine. 2023; 13(1):133. https://doi.org/10.3390/jpm13010133
Chicago/Turabian StyleFraser, Clementine S., and Ricardo J. José. 2023. "Insights into Personalised Medicine in Bronchiectasis" Journal of Personalized Medicine 13, no. 1: 133. https://doi.org/10.3390/jpm13010133
APA StyleFraser, C. S., & José, R. J. (2023). Insights into Personalised Medicine in Bronchiectasis. Journal of Personalized Medicine, 13(1), 133. https://doi.org/10.3390/jpm13010133

