Neck Lymph Node Recurrence in HNC Patients Might Be Predicted before Radiotherapy Using Radiomics Extracted from CT Images and XGBoost Algorithm
Abstract
:1. Introduction
2. Materials and Methods
2.1. Patient Population
2.2. PET/CT Images
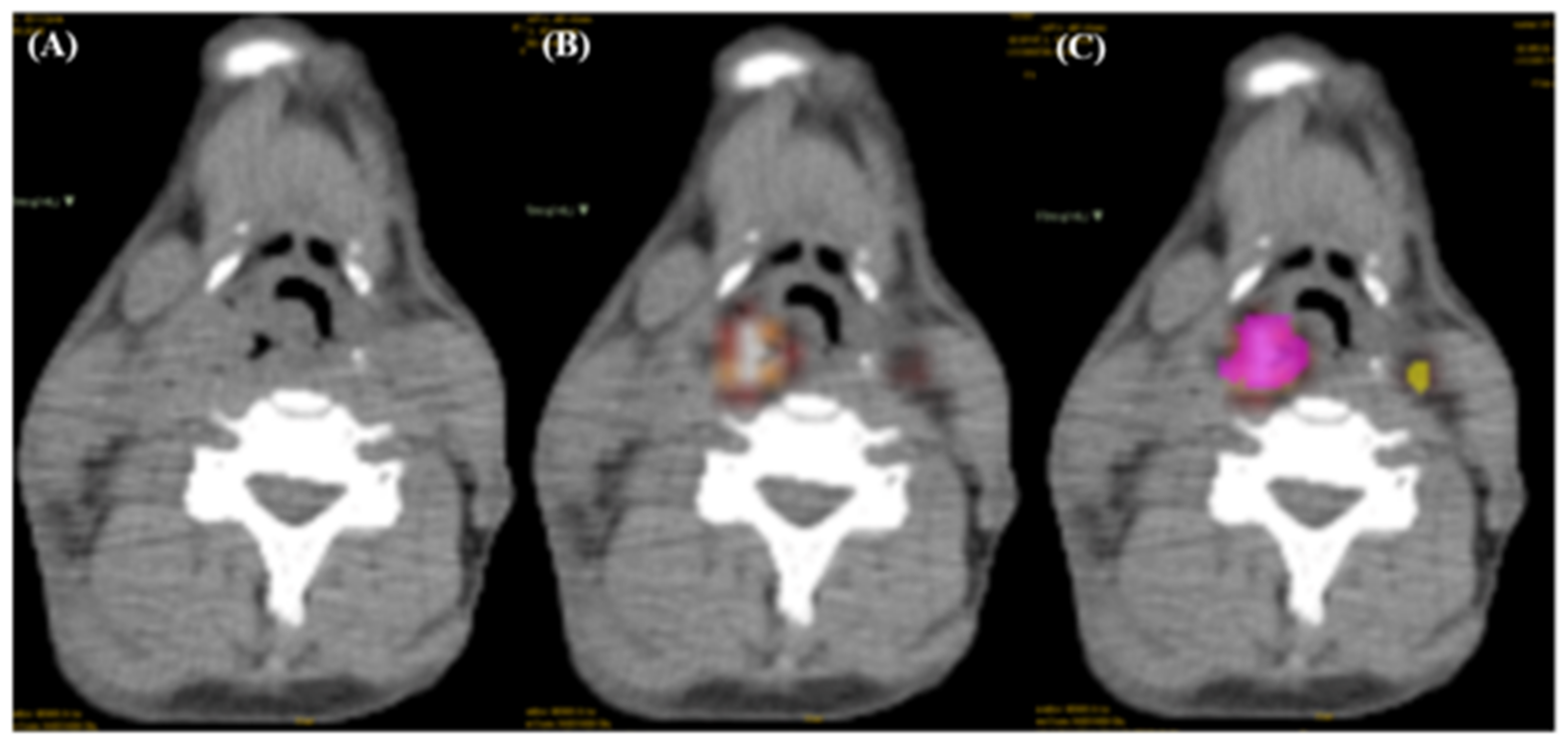
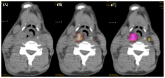
2.3. Tumor Region Delineation
2.4. Radiomics Extractor Selection
2.5. Imbalanced Dataset
2.6. XGBoost Algorithm
3. Results
3.1. Selection of Radiomics Extractors
3.2. Machine Learning Algorithms: Random Forest and XGBoost with Hyperparameter Selection
3.3. Over-Sampling and Under-Sampling
3.4. Predicting Ability of Different Combinations of Data
3.5. The Important Features of Predicting Neck Recurrence
4. Discussion
5. Conclusions
Author Contributions
Funding
Institutional Review Board Statement
Informed Consent Statement
Data Availability Statement
Conflicts of Interest
Appendix A



| Table A1 (A) | Top 10 Features of Figure 8A,B |
| Feature 531 | original_firstorder_Median |
| Feature 1037 | wavelet-LHH_glszm_GrayLevelNonUniformityNormalized |
| Feature 715 | wavelet-HHL_firstorder_Mean |
| Feature 787 | wavelet-HHL_glszm_SizeZoneNonUniformityNormalized |
| Feature 87 | diagnostics_Mask-interpolated_Mean |
| Feature 717 | wavelet-HHL_firstorder_Median |
| Feature 529 | original_firstorder_Mean |
| Feature 12 | N-SUVmax > 4.9 |
| Feature 778 | wavelet-HHL_glszm_GrayLevelNonUniformity |
| Feature 308 | log-sigma-3-0-mm-3D_gldm_DependenceVariance |
| Table A1 (B) | Top 10 Features of Figure 8C,D |
| Feature 8 | lesion site (1) Opx (2) HPx |
| Feature 203 | log-sigma-2-0-mm-3D_glcm_DifferenceAverage |
| Feature 1037 | wavelet-LHH_glszm_GrayLevelNonUniformityNormalized |
| Feature 527 | original_firstorder_Kurtosis |
| Feature 246 | log-sigma-2-0-mm-3D_glrlm_ShortRunEmphasis |
| Feature 717 | wavelet-HHL_firstorder_Median |
| Feature 469 | log-sigma-5-0-mm-3D_glcm_InverseVariance |
| Feature 7 | alcohol (1) Yes (2) No |
| Feature 78 | diagnostics_Image-interpolated_Size |
| Feature 985 | wavelet-LHH_glcm_ClusterProminence |
| Table A1 (C) | Top 10 Features of Figure 8E,F |
| Feature 1037 | wavelet-LHH_glszm_GrayLevelNonUniformityNormalized |
| Feature 7 | alcohol (1) Yes (2) No |
| Feature 794 | wavelet-HLH_firstorder_10Percentile |
| Feature 1 | diagnosis: (1) OPC; (2) HPC |
| Feature 10 | SUVmax |
| Feature 802 | wavelet-HLH_firstorder_MeanAbsoluteDeviation |
| Feature 446 | log-sigma-5-0-mm-3D_firstorder_Median |
| Feature 255 | log-sigma-2-0-mm-3D_glszm_LargeAreaLowGrayLevelEmphasis |
| Feature 1300 | wavelet-LLL_glszm_LargeAreaLowGrayLevelEmphasis |
| Feature 270 | log-sigma-3-0-mm-3D_firstorder_Kurtosis |
References
- Bray, F.; Jacques, F.; Isabelle, S.; Siegel, R.L.; Torre, L.A.; Jemal, A. Global cancer statistics 2018: GLOBOCAN estimates of incidence and mortality worldwide for 36 cancers in 185 countries. CA Cancer J. Clin. 2018, 68, 394–424. [Google Scholar] [CrossRef] [PubMed]
- D’Souza, G.; Kreimer, A.R.; Viscidi, R.; Pawlita, M.; Fakhry, C.; Koch, W.M.; William, H.W.; Gillison, M.L. Case–control study of human papillomavirus and oropharyngeal cancer. N. Engl. J. Med. 2007, 356, 1944–1956. [Google Scholar] [CrossRef] [PubMed]
- Pignon, J.-P.; Le Maitre, A.; Maillard, E.; Bourhis, J.; Mach-Nc Collaborative Group. Meta-analysis of chemotherapy in head and neck cancer (MACH-NC): An update on 93 randomised trials and 17,346 patients. Radiother. Oncol. 2009, 92, 4–14. [Google Scholar] [CrossRef] [PubMed]
- Aerts, H.J.W.L. The potential of radiomic-based phenotyping in precision medicine: A review. JAMA Oncol. 2016, 2, 1636–1642. [Google Scholar] [CrossRef] [PubMed]
- Mizrachi, A.; Migliacci, J.C.; Montero, P.H.; McBride, S.; Shah, J.P.; Patel, S.G.; Ganly, I. Neck recurrence in clinically node-negative oral cancer: 27-year experience at a single institution. Oral Oncol. 2018, 78, 94–101. [Google Scholar] [CrossRef] [PubMed]
- Colevas, A.D.; Yom, S.S.; Pfister, D.G.; Spencer, S.; Adelstein, D.; Adkins, D.; Brizel, D.M.; Burtness, B.; Busse, P.M.; Caudell, J.J. NCCN guidelines insights: Head and neck cancers. J. Natl. Compr. Cancer Netw. 2018, 16, 479–490. [Google Scholar] [CrossRef] [PubMed]
- Howard, F.M.; Kochanny, S.; Koshy, M.; Spiotto, M.; Pearson, A.T. Machine Learning–Guided Adjuvant Treatment of Head and Neck Cancer. JAMA Netw. Open 2020, 3, e2025881. [Google Scholar] [CrossRef] [PubMed]
- Gillies, R.J.; Kinahan, P.E.; Hricak, H. Radiomics: Images are more than pictures, they are data. Radiology 2016, 278, 563–577. [Google Scholar] [CrossRef] [PubMed]
- Coroller, T.P.; Grossmann, P.; Hou, Y.; Velazquez, E.R.; Leijenaar, R.T.H.; Hermann, G.; Lambin, P.; Haibe-Kains, B.; Mak, R.H.; Aerts, H.J.W.L. CT-based radiomic signature predicts distant metastasis in lung adenocarcinoma. Radiother. Oncol. 2015, 114, 345–350. [Google Scholar] [CrossRef] [PubMed]
- Bogowicz, M.; Riesterer, O.; Stark, L.S.; Studer, G.; Unkelbach, J.; Guckenberger, M.; Tanadini-Lang, S. Comparison of PET and CT radiomics for prediction of local tumor control in head and neck squamous cell carcinoma. Acta Oncol. 2017, 56, 1531–1536. [Google Scholar] [CrossRef] [PubMed] [Green Version]
- Vallieres, M.; Kay-Rivest, E.; Perrin, L.J.; Liem, X.; Furstoss, C.; Aerts, H.J.W.L.; Khaouam, N.; Nguyen-Tan, P.F.; Wang, C.S.; Sultanem, K. Radiomics strategies for risk assessment of tumour failure in head-and-neck cancer. Sci. Rep. 2017, 7, 10117. [Google Scholar] [CrossRef] [PubMed]
- Denaro, N.; Merlano, M.C.; Russi, E.G. Follow-up in head and neck cancer: Do more does it mean do better? A systematic review and our proposal based on our experience. Clin. Exp. Otorhinolaryngol. 2016, 9, 287–297. [Google Scholar] [CrossRef] [PubMed]
- Mattes, M.D.; Moshchinsky, A.B.; Ahsanuddin, S.; Rizk, N.P.; Foster, A.; Wu, A.J.; Ashamalla, H.; Weber, W.A.; Rimner, A. Ratio of lymph node to primary tumor SUV on PET/CT accurately predicts nodal malignancy in non–small-cell lung cancer. Clin. Lung Cancer 2015, 16, e253–e258. [Google Scholar] [CrossRef] [PubMed]
- Lengele, B.; Hamoir, M.; Scalliet, P.; Gregoire, V. Anatomical bases for the radiological delineation of lymph node areas. Major collecting trunks, head and neck. Radiother. Oncol. 2007, 85, 146–155. [Google Scholar] [CrossRef] [PubMed]
- Lambin, P.; Rios-Velazquez, E.; Leijenaar, R.; Carvalho, S.; van Stiphout, R.G.P.M.; Granton, P.; Zegers, C.M.L.; Gillies, R.; Boellard, R.; Dekker, A. Radiomics: Extracting more information from medical images using advanced feature analysis. Eur. J. Cancer 2012, 48, 441–446. [Google Scholar] [CrossRef] [PubMed]
- Moreo, A.; Esuli, A.; Sebastiani, F. Distributional random oversampling for imbalanced text classification. In Proceedings of the 39th International ACM SIGIR Conference on Research and Development in Information Retrieval, Pisa, Italy, 17–21 July 2016; pp. 805–808. [Google Scholar]
- Lin, W.-C.; Tsai, C.-F.; Hu, Y.-H.; Jhang, J.-S. Clustering-based undersampling in class-imbalanced data. Inf. Sci. 2017, 409, 17–26. [Google Scholar] [CrossRef]
- Chen, T.; Guestrin, C. Xgboost: A scalable tree boosting system. In Proceedings of the 22nd ACM SIGKDD International Conference on Knowledge Discovery and Data Mining, San Francisco, CA, USA, 13–17 August 2016; pp. 785–794. [Google Scholar]
- Sinha, N.K.; Khulal, M.; Gurung, M.; Lal, A. Developing a web based system for breast cancer prediction using xgboost classifier. Int. J. Eng. Res. 2020, 9, 852–856. [Google Scholar]
- Budholiya, K.; Shrivastava, S.K.; Sharma, V. An optimized XGBoost based diagnostic system for effective prediction of heart disease. J. King Saud Univ.-Comput. Inf. Sci. 2020, 34, 4514–4523. [Google Scholar] [CrossRef]
- Complete Guide to Parameter Tuning in XGBoost with codes in Python. Available online: https://www.analyticsvidhya.com/blog/2016/03/complete-guide-parameter-tuning-xgboost-with-codes-python/ (accessed on 28 March 2022).
- Myerson, R.B. Game Theory: Analysis of Conflict; Harvard University Press: Cambridge, MA, USA, 1997. [Google Scholar]
- Mohammed, R.; Rawashdeh, J.; Abdullah, M. Machine learning with oversampling and undersampling techniques: Overview study and experimental results. In Proceedings of the 2020 11th International Conference on Information and Communication Systems (ICICS), Irbid, Jordan, 7–9 April 2020; pp. 243–248. [Google Scholar]
- Coroller, T.P.; Agrawal, V.; Huynh, E.; Narayan, V.; Lee, S.W.; Mak, R.H.; Aerts, H.J.W.L. Radiomic-based pathological response prediction from primary tumors and lymph nodes in NSCLC. J. Thorac. Oncol. 2017, 12, 467–476. [Google Scholar] [CrossRef] [PubMed] [Green Version]








| Characteristics | Value |
|---|---|
| Age | 37–78 years (Median, 51) |
| Sex | Male: 78 (99%), Female: 1 (1%) |
| Smoking | Yes: 68 (86%), no: 11 (14%) |
| Betel nut squid | Yes: 52 (66%), no: 27 (34%) |
| Alcoholism | Yes: 52(66%), no: 27 (34%) |
| Primary lesion site | |
| Oropharynx | 36 (46%) |
| Hypopharynx | 43 (54%) |
| Recurrence | |
| Local relapse | Yes: 30 (38%), no: 49 (62%) |
| Neck relapse | Yes: 22 (28%), no: 57 (72%) |
| Distant metastasis | Yes: 13 (16%), no: 66 (84%) |
| SUVmax of primary tumor | Max: 30.6, min:2.2 |
| SUVmax of lymph node | Max: 28.5, min:1.3 |
| T-stage | T1:4 (5%) T2:30 (38%) T3:19 (24%) T4:26 (33%) |
| N-stage | N0:3 (4%) N1:14 (18%) N2:58 (73%) N3:4(5%) |
| Max Diameter of LN (cm) | Max:10.8, min:0.8 |
| Existence of necrotic lymph node | Yes: 40 (51%), no: 39 (49%) |
| Algorithm | Accuracy | Sensitivity | Specificity | AUC |
|---|---|---|---|---|
| Random Forest | 0.61 ± 0.11 | 0.59 ± 0.32 | 0.63 ± 0.20 | 0.71 |
| XGBoost (0.5) * | 0.64 ± 0.06 | 0.70 ± 0.14 | 0.57 ± 0.21 | 0.73 |
| XGBoost (0.8) * | 0.71 ± 0.09 | 0.73 ± 0.13 | 0.70 ± 0.13 | 0.74 |
| XGBoost (1.0) * | 0.72 ± 0.10 | 0.76 ± 0.22 | 0.69 ± 0.11 | 0.79 |
| Hyperparameters | Original Ratio of Data | Duplicate Minority Data Three Times | ||||||
|---|---|---|---|---|---|---|---|---|
| N_Estimators_Max_Depth | Accuracy | Sensitivity | Specificity | F1_Score | Accuracy | Sensitivity | Specificity | F1_Score |
| 300_10 | 0.78 ± 0.05 | 0.53 ± 0.19 | 0.88 ± 0.05 | 0.56 ± 0.15 | 0.78 ± 0.06 | 0.69 ± 0.22 | 0.82 ± 0.08 | 0.63 ± 0.14 |
| 300_20 | 0.77 ± 0.06 | 0.47 ± 0.11 | 0.89 ± 0.08 | 0.54 ± 0.09 | 0.76 ± 0.05 | 0.53 ± 0.13 | 0.85 ± 0.06 | 0.55 ± 0.10 |
| 400_10 | 0.78 ± 0.06 | 0.36 ± 0.20 | 0.94 ± 0.05 | 0.45 ± 0.21 | 0.77 ± 0.05 | 0.64 ± 0.15 | 0.82 ± 0.09 | 0.61 ± 0.08 |
| 400_20 | 0.76 ± 0.07 | 0.44 ± 0.22 | 0.88 ± 0.06 | 0.49 ± 0.19 | 0.80 ± 0.05 | 0.67 ± 0.11 | 0.84 ± 0.05 | 0.65 ± 0.09 |
| 500_10 | 0.76 ± 0.06 | 0.37 ± 0.13 | 0.92 ± 0.08 | 0.46 ± 0.14 | 0.76 ± 0.10 | 0.59 ± 0.21 | 0.83 ± 0.11 | 0.58 ± 0.17 |
| 500_20 | 0.78 ± 0.06 | 0.49 ± 0.19 | 0.89 ± 0.09 | 0.54 ± 0.15 | 0.73 ± 0.05 | 0.57 ± 0.18 | 0.79 ± 0.09 | 0.54 ± 0.10 |
| The Same Ratio of Data | ||||
|---|---|---|---|---|
| N_Estimators_Max_Depth | Accuracy | Sensitivity | Specificity | F1_Score |
| 300_10 | 0.71 ± 0.07 | 0.70 ± 0.15 | 0.71 ± 0.11 | 0.70 ± 0.09 |
| 300_20 | 0.72 ± 0.08 | 0.76 ± 0.09 | 0.69 ± 0.12 | 0.73 ± 0.08 |
| 400_10 | 0.70 ± 0.11 | 0.73 ± 0.17 | 0.67 ± 0.19 | 0.70 ± 0.12 |
| 400_20 | 0.71 ± 0.09 | 0.73 ± 0.13 | 0.70 ± 0.13 | 0.71 ± 0.10 |
| 500_10 | 0.63 ± 0.13 | 0.76 ± 0.18 | 0.50 ± 0.16 | 0.67 ± 0.13 |
| 500_20 | 0.71 ± 0.09 | 0.69 ± 0.14 | 0.73 ± 0.16 | 0.70 ± 0.09 |
Publisher’s Note: MDPI stays neutral with regard to jurisdictional claims in published maps and institutional affiliations. |
© 2022 by the authors. Licensee MDPI, Basel, Switzerland. This article is an open access article distributed under the terms and conditions of the Creative Commons Attribution (CC BY) license (https://creativecommons.org/licenses/by/4.0/).
Share and Cite
Tsai, Y.-L.; Chen, S.-W.; Kao, C.-H.; Cheng, D.-C. Neck Lymph Node Recurrence in HNC Patients Might Be Predicted before Radiotherapy Using Radiomics Extracted from CT Images and XGBoost Algorithm. J. Pers. Med. 2022, 12, 1377. https://doi.org/10.3390/jpm12091377
Tsai Y-L, Chen S-W, Kao C-H, Cheng D-C. Neck Lymph Node Recurrence in HNC Patients Might Be Predicted before Radiotherapy Using Radiomics Extracted from CT Images and XGBoost Algorithm. Journal of Personalized Medicine. 2022; 12(9):1377. https://doi.org/10.3390/jpm12091377
Chicago/Turabian StyleTsai, Yi-Lun, Shang-Wen Chen, Chia-Hung Kao, and Da-Chuan Cheng. 2022. "Neck Lymph Node Recurrence in HNC Patients Might Be Predicted before Radiotherapy Using Radiomics Extracted from CT Images and XGBoost Algorithm" Journal of Personalized Medicine 12, no. 9: 1377. https://doi.org/10.3390/jpm12091377
APA StyleTsai, Y.-L., Chen, S.-W., Kao, C.-H., & Cheng, D.-C. (2022). Neck Lymph Node Recurrence in HNC Patients Might Be Predicted before Radiotherapy Using Radiomics Extracted from CT Images and XGBoost Algorithm. Journal of Personalized Medicine, 12(9), 1377. https://doi.org/10.3390/jpm12091377

