Retrograde Intramedullary Kirschner Wire Fixation as an Alternative for Treating Distal Fibular Shaft Fractures Combined with Distal Tibial Pilon Fractures
Abstract
:1. Introduction
2. Materials and Methods
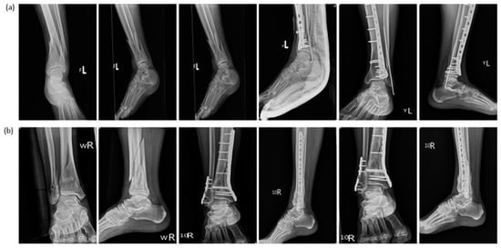
3. Results
4. Discussion
5. Conclusions
Author Contributions
Funding
Institutional Review Board Statement
Informed Consent Statement
Data Availability Statement
Conflicts of Interest
References
- Zelle, B.A.; Dang, K.H.; Ornell, S.S. High-energy tibial pilon fractures: An instructional review. Int. Orthop. 2019, 43, 1939–1950. [Google Scholar] [CrossRef]
- Bear, J.; Rollick, N.; Helfet, D. Evolution in Management of Tibial pilon Fractures. Curr. Rev. Musculoskelet. Med. 2018, 11, 537–545. [Google Scholar] [CrossRef] [PubMed]
- Mauffrey, C.; Vasario, G.; Battiston, B.; Lewis, C.; Beazley, J.; Seligson, D. Tibial pilon fractures: A review of incidence, diagnosis, treatment, and complications. Acta Orthop. Belg. 2011, 77, 432–440. [Google Scholar] [PubMed]
- Luk, P.C.; Charlton, T.P.; Lee, J.; Thordarson, D.B. Ipsilateral intact fibula as a predictor of tibial plafond fracture pattern and severity. Foot Ankle Int. 2013, 34, 1421–1426. [Google Scholar] [CrossRef] [PubMed]
- Harris, A.M.; Patterson, B.M.; Sontich, J.K.; Vallier, H.A. Results and outcomes after operative treatment of high-energy tibial plafond fractures. Foot Ankle Int. 2006, 27, 256–265. [Google Scholar] [CrossRef]
- Kottmeier, S.A.; Madison, R.D.; Divaris, N. Pilon Fracture: Preventing Complications. J. Am. Acad. Orthop. Surg. 2018, 26, 640–651. [Google Scholar] [CrossRef]
- White, T.O.; Guy, P.; Cooke, C.J.; Kennedy, S.A.; Droll, K.P.; Blachut, P.A.; O’Brien, P.J. The results of early primary open reduction and internal fixation for treatment of OTA 43.C-type tibial pilon fractures: A cohort study. J. Orthop. Trauma 2010, 24, 757–763. [Google Scholar] [CrossRef]
- Tang, X.; Liu, L.; Tu, C.Q.; Li, J.; Li, Q.; Pei, F.X. Comparison of early and delayed open reduction and internal fixation for treating closed tibial pilon fractures. Foot Ankle Int. 2014, 35, 657–664. [Google Scholar] [CrossRef]
- Liporace, F.A.; Yoon, R.S. Decisions and staging leading to definitive open management of pilon fractures: Where have we come from and where are we now? J. Orthop. Trauma 2012, 26, 488–498. [Google Scholar] [CrossRef] [PubMed] [Green Version]
- Lu, V.; Zhang, J.; Zhou, A.; Thahir, A.; Lim, J.A.; Krkovic, M. Open versus closed pilon fractures: Comparison of management, outcomes, and complications. Injury 2022, 53, 2259–2267. [Google Scholar] [CrossRef]
- Fonseca, L.L.D.; Nunes, I.G.; Nogueira, R.R.; Martins, G.E.V.; Mesencio, A.C.; Kobata, S.I. Reproducibility of the Lauge-Hansen, Danis-Weber, and AO classifications for ankle fractures. Rev. Bras. Ortop. 2017, 53, 101–106. [Google Scholar] [CrossRef] [PubMed]
- Yim, G.H.; Hardwicke, J.T. The Evolution and Interpretation of the Gustilo and Anderson Classification. J. Bone Jt. Surg. Am. 2018, 100, e152. [Google Scholar] [CrossRef] [PubMed]
- Busel, G.A.; Watson, J.T.; Israel, H. Evaluation of Fibular Fracture Type vs Location of Tibial Fixation of pilon Fractures. Foot Ankle Int. 2017, 38, 650–655. [Google Scholar] [CrossRef] [PubMed]
- Gianoli, D.; Joeris, A.; Sommer, C. Reference radiologic measurements for the assessment of tibial pilon fractures. J. Musculoskelet. Surg. Res. 2022, 6, 19–24. [Google Scholar] [CrossRef]
- Volpin, G.; Shtarker, H. Management of Delayed Union, Non-union and Malunion of Long Bone Fractures. Eur. Surg. Orthop. Traumatol. 2014, 241–266. [Google Scholar]
- Ewalefo, S.O.; Dombrowski, M.; Hirase, T.; Rocha, J.L.; Weaver, M.; Kline, A.; Carney, D.; Hogan, M.V. Management of Posttraumatic Ankle Arthritis: Literature Review. Curr. Rev. Musculoskelet. Med. 2018, 11, 546–557. [Google Scholar] [CrossRef]
- Olerud, C.; Molander, H. A scoring scale for symptom evaluation after ankle fracture. Arch. Orth. Traum. Surg. 1984, 103, 190–194. [Google Scholar] [CrossRef]
- Teeny, S.M.; Wiss, D.A. Open reduction and internal fixation of tibial plafond fractures: Variables contributing to poor results and complications. Clin. Orthop. Relat. Res. 1993, 292, 108–117. [Google Scholar] [CrossRef]
- Bonato, L.J.; Edwards, E.R.; Gosling, C.M.; Hau, R.; Hofstee, D.J.; Shuen, A.; Gabbe, B.J. Patient reported health related quality of life early outcomes at 12 months after surgically managed tibial plafond fracture. Injury 2017, 48, 946–953. [Google Scholar] [CrossRef]
- Pollak, A.N.; McCarthy, M.L.; Bess, R.S.; Agel, J.; Swiontkowski, M.F. Outcomes after treatment of high-energy tibial plafond fractures. J. Bone Jt. Surg. Am. 2003, 85, 1893–1900. [Google Scholar] [CrossRef]
- Volgas, D.; DeVries, J.G.; Stannard, J.P. Short-term financial outcomes of pilon fractures. J. Foot Ankle Surg. 2010, 49, 47–51. [Google Scholar] [CrossRef] [PubMed]
- De-Las-Heras-Romero, J.; Lledo-Alvarez, A.M.; Lizaur-Utrilla, A.; Lopez-Prats, F.A. Quality of life and prognostic factors after intra-articular tibial pilon fracture. Injury 2017, 48, 1258–1263. [Google Scholar] [CrossRef] [PubMed]
- Ruedi, T. Fractures of the lower end of the tibia into the ankle joint: Results 9 years after open reduction and internal fixation. Injury 1973, 5, 130–134. [Google Scholar] [CrossRef]
- Kurylo, J.C.; Datta, N.; Iskander, K.N.; Tornetta, P., 3rd. Does the Fibula Need to be Fixed in Complex pilon Fractures? J. Orthop. Trauma 2015, 29, 424–427. [Google Scholar] [CrossRef] [PubMed] [Green Version]
- Strauss, E.J.; Alfonso, D.; Kummer, F.J.; Egol, K.A.; Tejwani, N.C. The effect of concurrent fibular fracture on the fixation of distal tibia fractures: A laboratory comparison of intramedullary nails with locked plates. J. Orthop. Trauma 2007, 21, 172–177. [Google Scholar] [CrossRef] [PubMed] [Green Version]
- Asloum, Y.; Bedin, B.; Roger, T.; Charissoux, J.L.; Arnaud, J.P.; Mabit, C. Internal fixation of the fibula in ankle fractures. A prospective, randomized and comparative study: Plating versus nailing. Orthop. Traumatol. Surg. Res. 2014, 100, S255–S259. [Google Scholar] [CrossRef] [Green Version]
- Jain, S.; Haughton, B.A.; Brew, C. Intramedullary fixation of distal fibular fractures: A systematic review of clinical and functional outcomes. J. Orthop. Traumatol. 2014, 15, 245–254. [Google Scholar] [CrossRef] [PubMed] [Green Version]
- Walton, D.M.; Adams, S.B.; Parekh, S.G. Intramedullary Fixation for Fractures of the Distal Fibula. Foot Ankle Int. 2016, 37, 115–123. [Google Scholar] [CrossRef] [PubMed] [Green Version]
- Switaj, P.J.; Fuchs, D.; Alshouli, M.; Patwardhan, A.G.; Voronov, L.I.; Muriuki, M.; Havey, R.M.; Kadakia, A.R. A biomechanical comparison study of a modern fibular nail and distal fibular locking plate in AO/OTA 44C2 ankle fractures. J. Orthop. Surg. Res. 2016, 11, 100. [Google Scholar] [CrossRef] [PubMed] [Green Version]
- Hong, C.C.; Saha, S.; Tan, S.H.S.; Tan, K.J.; Murphy, D.P.; Pearce, C.J. Should the location of distal tibial plating be influenced by the varus or valgus fracture pattern of tibial pilon fracture? Arch. Orthop. Trauma Surg. 2021. [Google Scholar] [CrossRef] [PubMed]


| Characteristics | Group A (n = 80) | Group B (n = 76) | Total (n = 156) | p |
|---|---|---|---|---|
| Age, mean, ± SD years | 54.1 ± 20.5 | 55.4 ± 15.6 | 54.7 ± 18.2 | 0.312 |
| Age group, n (%) | - | - | - | 0.325 |
| <65 years | 60 (75.0%) | 58 (76.3%) | 118 (75.6%) | |
| ≥65 years | 20 (25.0%) | 18 (23.7%) | 38 (24.4%) | |
| Sex, n (%) | - | - | - | 0.548 |
| Male | 48 (60.0%) | 46 (60.5%) | 94 (60.3%) | |
| Female | 32 (40.0%) | 30 (39.5%) | 62 (39.7%) | |
| Smoking | 9 (11.3%) | 8 (10.5%) | 17 (10.9%) | 0.262 |
| Chronic renal failure | 5 (6.3%) | 4 (5.3%) | 9 (5.8%) | 0.210 |
| DM | 6 (7.5%) | 8 (10.5%) | 14 (9.0%) | 0.315 |
| Hypertension | 24 (30.0%) | 20 (26.3%) | 44 (28.2%) | 0.241 |
| Characteristics | Group A (n = 80) | Group B (n = 76) | Total (n = 156) | p |
|---|---|---|---|---|
| Injury mechanism, n (%) | - | - | - | 0.532 |
| High | 52 (65.0%) | 54 (71.1%) | 104 (66.7%) | |
| Low | 28 (35.0%) | 22 (28.9%) | 50 (33.3%) | |
| Open facture, n (%) | 16 (20.0%) | 13 (17.1%) | 29 (18.6%) | 0.351 |
| Distal fibula fracture types, n (%) | - | - | - | 0.762 |
| Comminuted | 26 (32.5%) | 28 (36.8%) | 54 (34.6%) | |
| Noncomminuted | 54 (67.5%) | 48 (63.2%) | 102 (65.4%) | |
| Pilon fracture AO/OTA types, n (%) | - | - | - | 0.238 |
| Non-C | 62 (77.5%) | 55 (72.3%) | 117 (75.0%) | |
| Type C | 18 (22.5%) | 21 (27.7%) | 39 (25.0%) |
| Group A (n = 80) | Group B (n = 76) | Total (n = 156) | p | |
|---|---|---|---|---|
| Hospital stays, mean ± SD days | 11.4 ± 5.3 | 18.2 ± 6.8 | 14.6 ± 4.8 | 0.024 * |
| Preoperation, mean ± SD days | 4.8 ± 3.3 | 5.6 ± 3.2 | 5.0 ± 3.1 | 0.263 |
| Postoperation, mean ± SD days | 6.8 ± 3.2 | 11.4 ± 4.7 | 8.7 ± 4.3 | 0.012 * |
| Total admission cost (USD) | 3624 ± 612 | 6145± 814 | 5152 ± 809 | 0.004 * |
| Complications, n (%) | ||||
| Delayed union | 11 (13.8%) | 14 (18.4%) | 25 (16.0%) | 0.565 |
| Post-traumatic osteoarthritis | 30 (37.5%) | 25 (32.9%) | 55 (35.2%) | 0.613 |
| Wound complications | 18 (22.5%) | 25 (32.9%) | 43 (27.6%) | 0.104 |
| Frequency of outpatient visits, n (%) | - | - | - | 0.697 |
| High | 14 (17.5%) | 12 (15.8%) | 26 (16.7%) | |
| Low | 66 (82.5%) | 64 (84.2%) | 130 (83.3%) | |
| LDTA, n (%) | - | - | - | 0.614 |
| ≤10° | 68 (85.0%) | 66 (86.8%) | 134 (85.9%) | |
| >10° | 12 (15.0%) | 10 (13.2%) | 22 (14.1%) | |
| ADTA, n (%) | - | - | - | 0.868 |
| ≤10° | 66 (82.5%) | 63 (82.9%) | 129 (82.7%) | |
| >10° | 14 (17.5%) | 13 (17.1%) | 27 (17.3%) | |
| OMAS, mean ± SD score | 75.4 ± 14.8 | 77.2 ± 15.6 | 75.9 ± 15.3 | 0.523 |
| Crude | Adjusted | |||
|---|---|---|---|---|
| β (95% CI) | p | β (95% CI) | p | |
| Age | −0.35 (−0.56, −0.11) | 0.003 * | −0.21 (−0.36, −0.02) | 0.008 * |
| Sex (male vs. female) | −1.79 (−6.36, 5.46) | 0.612 | −1.66 (−7.33, 3.82) | 0.542 |
| Fibula fixation method (intramedullary K-pins vs. locking plates) | 1.24 (−5.29, 7.76) | 0.707 | −2.04 (−7.54, 3.46) | 0.464 |
| Injury mechanism (high vs. low) | −7.12 (−14.32, 1.93) | 0.213 | ||
| Fibula fracture type (noncomminuted vs. comminuted) | 2.62 (−5.45, 9.67) | 0.632 | ||
| Time before operation (preoperative admission period) | −0.77 (−1.42, −0.15) | 0.005 * | 0.83 (0.21, 1.62) | 0.018 * |
| Smoking | −3.23 (−7.73, −0.28) | 0.006 * | −2.42(−7.73, −0.28) | 0.012 * |
| Chronic renal failure | −5.69 (−26.32, 15.45) | 0.583 | ||
| DM | −3.32 (−8.73, 6.31) | 0.642 | −2.01 (−4.11, 3.23) | 0.118 |
| Hypertension | −4.74 (−9.38, 4.01) | 0.417 | ||
Publisher’s Note: MDPI stays neutral with regard to jurisdictional claims in published maps and institutional affiliations. |
© 2022 by the authors. Licensee MDPI, Basel, Switzerland. This article is an open access article distributed under the terms and conditions of the Creative Commons Attribution (CC BY) license (https://creativecommons.org/licenses/by/4.0/).
Share and Cite
Huang, C.-W.; Wu, W.-T.; Yu, T.-C.; Chen, I.-H.; Wang, J.-H.; Yeh, K.-T. Retrograde Intramedullary Kirschner Wire Fixation as an Alternative for Treating Distal Fibular Shaft Fractures Combined with Distal Tibial Pilon Fractures. J. Pers. Med. 2022, 12, 1124. https://doi.org/10.3390/jpm12071124
Huang C-W, Wu W-T, Yu T-C, Chen I-H, Wang J-H, Yeh K-T. Retrograde Intramedullary Kirschner Wire Fixation as an Alternative for Treating Distal Fibular Shaft Fractures Combined with Distal Tibial Pilon Fractures. Journal of Personalized Medicine. 2022; 12(7):1124. https://doi.org/10.3390/jpm12071124
Chicago/Turabian StyleHuang, Cheng-Wei, Wen-Tien Wu, Tsai-Chiu Yu, Ing-Ho Chen, Jen-Hung Wang, and Kuang-Ting Yeh. 2022. "Retrograde Intramedullary Kirschner Wire Fixation as an Alternative for Treating Distal Fibular Shaft Fractures Combined with Distal Tibial Pilon Fractures" Journal of Personalized Medicine 12, no. 7: 1124. https://doi.org/10.3390/jpm12071124
APA StyleHuang, C.-W., Wu, W.-T., Yu, T.-C., Chen, I.-H., Wang, J.-H., & Yeh, K.-T. (2022). Retrograde Intramedullary Kirschner Wire Fixation as an Alternative for Treating Distal Fibular Shaft Fractures Combined with Distal Tibial Pilon Fractures. Journal of Personalized Medicine, 12(7), 1124. https://doi.org/10.3390/jpm12071124

