Association between Large Arteries Diameter and Heart Function in Subjects Free of Cardiovascular Diseases
Abstract
1. Introduction
2. Materials and Methods
2.1. Study Population
2.2. Whole-Body MR Imaging Protocol
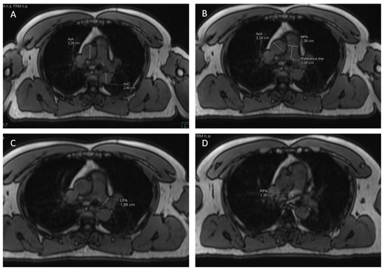
2.3. MR-Image Analysis for Measurement of Vessel Diameters
2.4. MR-Image Analysis for Cardiac Measurements
2.5. Assessment of Risk Factors
2.6. Statistical Analysis
3. Results
3.1. Association between Diameter of the Aorta and RV and LV Function Parameters
3.2. Association between Diameters of the Pulmonary Artery System and RV and LV Function Parameters
3.3. Stratified Analysis According to Sex
4. Discussion
5. Conclusions
Supplementary Materials
Author Contributions
Funding
Institutional Review Board Statement
Informed Consent Statement
Data Availability Statement
Acknowledgments
Conflicts of Interest
References
- Kass, D.A. Ventricular arterial stiffening: Integrating the pathophysiology. Hypertension 2005, 46, 185–193. [Google Scholar] [CrossRef] [PubMed]
- Sunagawa, K.; Maughan, W.L.; Burkhoff, D.; Sagawa, K. Left ventricular interaction with arterial load studied in isolated canine ventricle. Am. J. Physiol. 1983, 245, H773–H780. [Google Scholar] [CrossRef]
- Vasan, R.S.; Larson, M.G.; Levy, D. Determinants of echocardiographic aortic root size. The Framingham Heart Study. Circulation 1995, 91, 734–740. [Google Scholar] [CrossRef] [PubMed]
- O’Rourke, M.F.; Nichols, W.W. Aortic diameter, aortic stiffness, and wave reflection increase with age and isolated systolic hypertension. Hypertension 2005, 45, 652–658. [Google Scholar] [CrossRef] [PubMed]
- O’Rourke, M.F.; Hashimoto, J. Mechanical factors in arterial aging: A clinical perspective. J. Am. Coll. Cardiol. 2007, 50, 1–13. [Google Scholar] [CrossRef] [PubMed]
- Otto, C.M.; Nishimura, R.A.; Bonow, R.O.; Carabello, B.A.; Erwin, J.P., 3rd; Gentile, F.; Jneid, H.; Krieger, E.V.; Mack, M.; McLeod, C.; et al. 2020 ACC/AHA Guideline for the Management of Patients With Valvular Heart Disease: Executive Summary: A Report of the American College of Cardiology/American Heart Association Joint Committee on Clinical Practice Guidelines. Circulation 2021, 143, e35–e71. [Google Scholar] [CrossRef] [PubMed]
- Dapunt, O.E.; Galla, J.D.; Sadeghi, A.M.; Lansman, S.L.; Mezrow, C.K.; de Asla, R.A.; Quintana, C.; Wallenstein, S.; Ergin, A.M.; Griepp, R.B. The natural history of thoracic aortic aneurysms. J. Thorac. Cardiovasc. Surg. 1994, 107, 1323–1332. [Google Scholar] [CrossRef]
- Kubota, Y.; Folsom, A.R.; Matsushita, K.; Couper, D.; Tang, W. Prospective study of lung function and abdominal aortic aneurysm risk: The Atherosclerosis Risk in Communities study. Atherosclerosis 2018, 268, 225–230. [Google Scholar] [CrossRef]
- Chung, K.S.; Kim, Y.S.; Kim, S.K.; Kim, H.Y.; Lee, S.M.; Seo, J.B.; Oh, Y.M.; Jung, J.Y.; Lee, S.D. Functional and Prognostic Implications of the Main Pulmonary Artery Diameter to Aorta Diameter Ratio from Chest Computed Tomography in Korean COPD Patients. PLoS ONE 2016, 11, e0154584. [Google Scholar] [CrossRef]
- Bamberg, F.; Hetterich, H.; Rospleszcz, S.; Lorbeer, R.; Auweter, S.D.; Schlett, C.L.; Schafnitzel, A.; Bayerl, C.; Schindler, A.; Saam, T.; et al. Subclinical Disease Burden as Assessed by Whole-Body MRI in Subjects With Prediabetes, Subjects With Diabetes, and Normal Control Subjects From the General Population: The KORA-MRI Study. Diabetes 2017, 66, 158–169. [Google Scholar] [CrossRef]
- World Medical Association. World Medical Association Declaration of Helsinki: Ethical principles for medical research involving human subjects. JAMA 2013, 310, 2191–2194. [Google Scholar] [CrossRef] [PubMed]
- Lange, T.J.; Dornia, C.; Stiefel, J.; Stroszczynski, C.; Arzt, M.; Pfeifer, M.; Hamer, O.W. Increased pulmonary artery diameter on chest computed tomography can predict borderline pulmonary hypertension. Pulm. Circ. 2013, 3, 363–368. [Google Scholar] [CrossRef] [PubMed]
- Truong, Q.A.; Massaro, J.M.; Rogers, I.S.; Mahabadi, A.A.; Kriegel, M.F.; Fox, C.S.; O’Donnell, C.J.; Hoffmann, U. Reference values for normal pulmonary artery dimensions by noncontrast cardiac computed tomography: The Framingham Heart Study. Circ. Cardiovasc. Imaging 2012, 5, 147–154. [Google Scholar] [CrossRef]
- Kammerlander, A.A.; Aschauer, S.; Zotter-Tufaro, C.; Duca, F.; Knechtelsdorfer, K.; Wiesinger, M.; Schwaiger, M.L.; Dalos, D.; Schneider, M.; Marzluf, B.A.; et al. Diameter of the Pulmonary Artery in Relation to the Ascending Aorta: Association with Cardiovascular Outcome. Radiology 2017, 284, 685–693. [Google Scholar] [CrossRef] [PubMed][Green Version]
- Grover, S.; Leong, D.P.; Selvanayagam, J.B. Evaluation of left ventricular function using cardiac magnetic resonance imaging. J. Nucl. Cardiol. 2011, 18, 351–365. [Google Scholar] [CrossRef] [PubMed]
- Schulz-Menger, J.; Bluemke, D.A.; Bremerich, J.; Flamm, S.D.; Fogel, M.A.; Friedrich, M.G.; Kim, R.J.; von Knobelsdorff-Brenkenhoff, F.; Kramer, C.M.; Pennell, D.J.; et al. Standardized image interpretation and post processing in cardiovascular magnetic resonance: Society for Cardiovascular Magnetic Resonance (SCMR) board of trustees task force on standardized post processing. J. Cardiovasc. Magn. Reson. 2013, 15, 35. [Google Scholar] [CrossRef] [PubMed]
- von Krüchten, R.; Lorbeer, R.; Rospleszcz, S.; Storz, C.; Askani, E.; Kulka, C.; Rathmann, W.; Peters, A.; Karrasch, S.; Bamberg, F.; et al. Serum insulin is associated with right ventricle function parameters and lung volumes in subjects free of cardiovascular disease. Eur. J. Endocrinol. 2021, 184, 289–298. [Google Scholar] [CrossRef]
- von Krüchten, R.; Lorbeer, R.; Schuppert, C.; Storz, C.; Mujaj, B.; Schulz, H.; Kauczor, H.U.; Peters, A.; Bamberg, F.; Karrasch, S.; et al. Subclinical cardiac impairment relates to traditional pulmonary function test parameters and lung volume as derived from whole-body MRI in a population-based cohort study. Sci. Rep. 2021, 11, 16173. [Google Scholar] [CrossRef]
- Caudron, J.; Fares, J.; Bauer, F.; Dacher, J.N. Evaluation of left ventricular diastolic function with cardiac MR imaging. Radiographics 2011, 31, 239–259. [Google Scholar] [CrossRef]
- World Health Organization. Definition and Diagnosis of Diabetes Mellitus and Intermediate Hyperglycemia: Report of a WHO/IDF Consultation; WHO: Geneva, Switzerland, 2006; ISBN 92-4-159493-4. [Google Scholar]
- Nwabuo, C.C.; Moreira, H.T.; Vasconcellos, H.D.; Ambale-Venkatesh, B.; Yoneyama, K.; Ohyama, Y.; Sharma, R.K.; Armstrong, A.C.; Ostovaneh, M.R.; Lewis, C.E.; et al. Association of Aortic Root Dilation from Early Adulthood to Middle Age with Cardiac Structure and Function: The CARDIA Study. J. Am. Soc. Echocardiogr. 2017, 30, 1172–1179. [Google Scholar] [CrossRef]
- Lam, C.S.; Gona, P.; Larson, M.G.; Aragam, J.; Lee, D.S.; Mitchell, G.F.; Levy, D.; Cheng, S.; Benjamin, E.J.; Vasan, R.S. Aortic root remodeling and risk of heart failure in the Framingham Heart study. JACC Heart Fail. 2013, 1, 79–83. [Google Scholar] [CrossRef] [PubMed]
- Coutinho, T.; Borlaug, B.A.; Pellikka, P.A.; Turner, S.T.; Kullo, I.J. Sex differences in arterial stiffness and ventricular-arterial interactions. J. Am. Coll. Cardiol. 2013, 61, 96–103. [Google Scholar] [CrossRef] [PubMed]
- Turkbey, E.B.; Jain, A.; Johnson, C.; Redheuil, A.; Arai, A.E.; Gomes, A.S.; Carr, J.; Hundley, W.G.; Teixido-Tura, G.; Eng, J.; et al. Determinants and normal values of ascending aortic diameter by age, gender, and race/ethnicity in the Multi-Ethnic Study of Atherosclerosis (MESA). J. Magn. Reson. Imaging 2014, 39, 360–368. [Google Scholar] [CrossRef]
- Fujikura, K.; Albini, A.; Barr, R.G.; Parikh, M.; Kern, J.; Hoffman, E.; Hiura, G.T.; Bluemke, D.A.; Carr, J.; Lima, J.A.C.; et al. Aortic enlargement in chronic obstructive pulmonary disease (COPD) and emphysema: The Multi-Ethnic Study of Atherosclerosis (MESA) COPD study. Int. J. Cardiol. 2021, 331, 214–220. [Google Scholar] [CrossRef]
- Gu, B.H.; Choi, J.C.; Shen, Y.H.; Song, L.Z.; Scheurer, M.E.; Luong, A.; Rodriguez, A.; Woodruff, P.; Koth, L.; Corry, D.B.; et al. Elastin-Specific Autoimmunity in Smokers With Thoracic Aortic Aneurysm and Dissection is Independent of Chronic Obstructive Pulmonary Disease. J. Am. Heart Assoc. 2019, 8, e011671. [Google Scholar] [CrossRef] [PubMed]
- Churchill, T.W.; Groezinger, E.; Kim, J.H.; Loomer, G.; Guseh, J.S.; Wasfy, M.M.; Isselbacher, E.M.; Lewis, G.D.; Weiner, R.B.; Schmied, C.; et al. Association of Ascending Aortic Dilatation and Long-term Endurance Exercise Among Older Masters-Level Athletes. JAMA Cardiol. 2020, 5, 522–531. [Google Scholar] [CrossRef] [PubMed]
- Galiè, N.; Humbert, M.; Vachiery, J.L.; Gibbs, S.; Lang, I.; Torbicki, A.; Simonneau, G.; Peacock, A.; Vonk Noordegraaf, A.; Beghetti, M.; et al. 2015 ESC/ERS Guidelines for the diagnosis and treatment of pulmonary hypertension: The Joint Task Force for the Diagnosis and Treatment of Pulmonary Hypertension of the European Society of Cardiology (ESC) and the European Respiratory Society (ERS): Endorsed by: Association for European Paediatric and Congenital Cardiology (AEPC), International Society for Heart and Lung Transplantation (ISHLT). Eur. Heart J. 2016, 37, 67–119. [Google Scholar] [CrossRef]
- Karakus, G.; Kammerlander, A.A.; Aschauer, S.; Marzluf, B.A.; Zotter-Tufaro, C.; Bachmann, A.; Degirmencioglu, A.; Duca, F.; Babayev, J.; Pfaffenberger, S.; et al. Pulmonary artery to aorta ratio for the detection of pulmonary hypertension: Cardiovascular magnetic resonance and invasive hemodynamics in heart failure with preserved ejection fraction. J. Magn. Reson. Imaging 2015, 17, 79. [Google Scholar] [CrossRef]

| All | Female | Male | p Value | |
|---|---|---|---|---|
| n = 339 | n = 148 | n = 191 | ||
| Age, years | 56.3 (±9.1) | 56.1 (±9.1) | 56.4 (±9.1) | 0.695 |
| Women | 148 (43.7%) | 148 (100%) | 0 (0%) | - |
| Body mass index, kg/m2 | 28.0 (±4.8) | 27.6 (±5.5) | 28.3 (±4.2) | 0.147 |
| Body surface area, m2 | 1.95 (±0.22) | 1.79 (±0.17) | 2.07 (±0.17) | <0.001 |
| Smoking status | 0.153 | |||
| Never (%) | 123 (36.3%) | 61 (41.2%) | 62 (32.5%) | |
| Past (%) | 145 (42.8%) | 55 (37.2%) | 90 (47.1%) | |
| Current (%) | 71 (20.9%) | 32 (21.6%) | 39 (20.4%) | |
| Alcohol use, (g/day) | 17.9 (±21.9) | 8.2 (±11.9) | 25.3 (±24.8) | <0.001 |
| Physical activity | 209 (61.7%) | 98 (66.2%) | 111 (58.1%) | 0.128 |
| Diabetes status | 0.016 | |||
| Normal (%) | 210 (62%) | 104 (70.3%) | 106 (55.5%) | |
| Prediabetes (%) | 88 (26%) | 32 (21.6%) | 56 (29.3%) | |
| Diabetes (%) | 41 (12.1%) | 12 (8.1%) | 29 (15.2%) | |
| Serum glucose, mmol/L | 5.5 (5.11; 6.05) | 5.27 (4.88; 5.83) | 5.61 (5.27; 6.16) | <0.001 |
| Serum insulin, pmol/L | 54.6 (37.2;81.0) | 49.2 (34.8;74.8) | 60 (38.4;90.0) | 0.003 |
| Hypertension (%) | 112 (33%) | 39 (26.4%) | 73 (38.2%) | 0.021 |
| Systolic, mm/Hg | 120.7 (±16.9) | 113.2 (±14.5) | 126.4 (±16.4) | <0.001 |
| Diastolic, mm/Hg | 75.3 (±10.1) | 72.2 (±8.6) | 77.8 (±10.4) | <0.001 |
| Antihypertensive medication (%) | 82 (24.2%) | 37 (25%) | 45 (23.6%) | 0.759 |
| eGFR, ml/min/1.73 m2 | 87.2 (±13.1) | 85.9 (±13.2) | 88.2 (±13.0) | 0.110 |
| Total cholesterol, mmol/L | 5.62 (±0.96) | 5.65 (±0.91) | 5.6 (±0.99) | 0.630 |
| HDL, mmol/L | 1.61 (±0.46) | 1.82 (±0.46) | 1.44 (±0.38) | <0.001 |
| LDL, mmol/L | 3.61 (±0.86) | 3.52 (±0.83) | 3.68 (±0.88) | 0.102 |
| Triglycerides, mmol/L | 1.20 (0.87; 1.75) | 1.08 (0.78; 1.37) | 1.39 (0.99; 2.13) | <0.001 |
| Lipid lowering medication (%) | 36 (10.6%) | 16 (10.8%) | 20 (10.5%) | 0.920 |
| Diameter of | ||||
| Ascending aorta (cm) | 2.97 (±0.40) | 2.80 (±0.36) | 3.11 (±0.37) | <0.001 |
| Descending aorta (cm) | 2.09 (±0.31) | 1.96 (±0.28) | 2.20 (±0.29) | <0.001 |
| Main Pulmonary Artery (cm) | 2.67 (±0.34) | 2.67 (±0.35) | 2.68 (±0.33) | 0.705 |
| Right pulmonary artery (cm) | 1.84 (±0.27) | 1.79 (±0.26) | 1.87 (±0.27) | 0.008 |
| Left pulmonary artery (cm) | 1.94 (±0.24) | 1.91 (±0.24) | 1.97 (±0.24) | 0.033 |
| PO/AO | 0.91 (±0.15) | 0.97 (±0.15) | 0.87 (±0.13) | <0.001 |
| Cardiac parameters | ||||
| LV End-diastolic Volume, (mL/m2) | 130.1 (±32.6) | 118.3 (±25.9) | 139.3 (±34.4) | <0.001 |
| LV End-systolic Volume, (mL/m2) | 41.1 (±18.2) | 35 (±14.8) | 45.9 (±19.2) | <0.001 |
| LV Stroke Volume, (mL/m2) | 89.0 (±20.2) | 83.3 (±16.7) | 93.5 (±21.6) | <0.001 |
| LV Ejection fraction, (%) | 69.2 (±7.8) | 71.0 (±6.7) | 67.8 (±8.3) | <0.001 |
| LV Peak ejection rate, (mL/s) | 356.2 (±134) | 333.9 (±107) | 373.4 (±149.6) | 0.007 |
| LV Early diastolic filling rate, (mL/s) | 228.9 (±115.6) | 231.4 (±104.8) | 227 (±123.6) | 0.732 |
| LV Late diastolic filling rate, (mL/s) | 240.7 (±142.7) | 236.4 (±135) | 244.1 (±148.7) | 0.623 |
| LV Mass, diastolic, g | 140.4 (±35.1) | 114.1 (±24.1) | 160.8 (±27.9) | <0.001 |
| RV End-diastolic Volume, (mL/m2) | 164.9 (±39.8) | 144.3 (±31.1) | 180.9 (±38.6) | <0.001 |
| RV End-systolic Volume, (mL/m2) | 79.1 (±25.8) | 64.5 (±19.1) | 90.4 (±24.7) | <0.001 |
| RV Stroke Volume, (mL/m2) | 85.9 (±19.8) | 79.9 (±17.2) | 90.6 (±20.4) | <0.001 |
| RV Ejection fraction, (%) | 52.7 (±7.1) | 55.7 (±6.3) | 50.3 (±6.8) | <0.001 |
| Diameter Per SD | Model 1 | p Value | Model 2 | p Value | Model 3 | p Value |
|---|---|---|---|---|---|---|
| LV End–diastolic Volume | ||||||
| AAo | 5.13 (1.52; 8.74) | 0.005 | 5.06 (1.43; 8.68) | 0.006 | 4.52 (0.89; 8.15) | 0.015 |
| DAo | 7.52 (3.62; 11.4) | <0.001 | 7.20 (3.3; 11.1) | <0.001 | 7.1 (3.22; 10.9) | <0.001 |
| LV End–systolic Volume | ||||||
| AAo | 2.55 (0.48; 4.62) | 0.016 | 2.39 (0.26; 4.51) | 0.028 | 2.37 (0.22; 4.52) | 0.031 |
| DAo | 3.82 (1.58; 6.06) | 0.001 | 3.68 (1.39; 5.97) | 0.002 | 3.66 (1.35; 5.97) | 0.002 |
| LV Stroke Volume | ||||||
| AAo | 2.57 (0.26; 4.87) | 0.030 | 2.65 (0.36; 4.94) | 0.023 | 2.13 (−0.13; 4.4) | 0.065 |
| DAo | 3.68 (1.17; 6.18) | 0.004 | 3.49 (1.01; 5.97) | 0.006 | 3.42 (0.99; 5.85) | 0.006 |
| LV Ejection fraction | ||||||
| AAo | −0.44 (−1.37; 0.49) | 0.349 | −0.35 (−1.31; 0.61) | 0.471 | −0.49 (−1.45; 0.48) | 0.322 |
| DAo | −0.78 (−1.79; 0.23) | 0.130 | −0.75 (−1.79; 0.29) | 0.156 | −0.76 (−1.8; 0.27) | 0.149 |
| LV Peak ejection rate | ||||||
| AAo | 18.3 (2.3; 34.2) | 0.024 | 25.5 (9.7; 41.3) | 0.002 | 23.6 (7.7; 39.4) | 0.004 |
| DAo | 24.5 (7.2; 41.8) | 0.006 | 30.7 (13.6; 47.8) | <0.001 | 30.6 (13.6; 47.6) | <0.001 |
| LV early diastolic rate | ||||||
| AAo | 2.2 (−11.2; 15.6) | 0.747 | 9.9 (−3.3; 23.1) | 0.141 | 8.46 (−4.81; 21.7) | 0.211 |
| DAo | 11.3 (−3.26; 25.8) | 0.128 | 18.06 (3.8; 32.3) | 0.013 | 18.1 (3.92; 32.3) | 0.013 |
| LV Late diastolic rate | ||||||
| AAo | 2.13 (−14.9; 19.2) | 0.807 | 4.19 (−13.4; 21.8) | 0.641 | 2.17 (−15.3; 19.6) | 0.808 |
| DAo | 18.1 (−0.33; 36.7) | 0.054 | 19.5 (0.49; 38.6) | 0.044 | 20.3 (1.56; 39.1) | 0.034 |
| LV Mass | ||||||
| AAo | 10.8 (7.84; 13.8) | <0.001 | 8.29 (5.49; 11.09) | <0.001 | 7.99 (5.17; 10.8) | <0.001 |
| DAo | 11.4 (8.15; 14.7) | <0.001 | 8.62 (5.57; 11.6) | <0.001 | 8.41 (5.36; 11.4) | <0.001 |
| RV End–diastolic Volume | ||||||
| AAo | 3.39 (−0.82; 7.6) | 0.115 | 3.39 (−0.85; 7.63) | 0.117 | 2.79 (−1.46; 7.04) | 0.197 |
| DAo | 6.62 (2.07; 11.1) | 0.004 | 6.56 (1.99; 11.1) | 0.005 | 6.45 (1.9; 10.9) | 0.006 |
| RV End–systolic Volume | ||||||
| AAo | 1.43 (−1.28; 4.14) | 0.299 | 1.53 (−1.26; 4.31) | 0.282 | 1.33 (−1.48; 4.14) | 0.352 |
| DAo | 3.75 (0.83; 6.68) | 0.012 | 3.99 (0.99; 6.99) | 0.009 | 3.9 (0.89; 6.91) | 0.011 |
| RV Stroke Volume | ||||||
| AAo | 1.89 (−0.36; 4.15) | 0.099 | 1.8 (−0.45; 4.06) | 0.116 | 1.41 (−0.83; 3.64) | 0.218 |
| DAo | 2.80 (0.35; 5.25) | 0.025 | 2.50 (0.06; 4.94) | 0.044 | 2.49 (0.08; 4.89) | 0.043 |
| RV Ejection fraction | ||||||
| AAo | 0.11 (−0.69; 0.92) | 0.783 | 0.08 (−0.76; 0.91) | 0.855 | 0.01 (−0.83; 0.85) | 0.983 |
| DAo | −0.25 (−1.13; 0.62) | 0.568 | −0.41 (−1.32; 0.49) | 0.369 | −0.4 (−1.3; 0.51) | 0.391 |
| Diameter Per SD | Model 1 | p Value | Model 2 | p Value | Model 3 | p Value |
|---|---|---|---|---|---|---|
| LV End–diastolic Volume | ||||||
| MPA | 6.3 (3.16; 9.44) | <0.001 | 5.26 (2.09; 8.43) | 0.001 | 4.81 (1.61; 8) | 0.003 |
| RPA | 5.07 (1.79; 8.35) | 0.003 | 5.06 (1.83; 8.3) | 0.002 | 4.51 (1.23; 7.78) | 0.007 |
| LPA | 10.5 (7.43; 13.6) | <0.001 | 9.74 (6.65; 12.8) | <0.001 | 9.09 (5.91; 12.2) | <0.001 |
| LV End–systolic Volume | ||||||
| MPA | 2.07 (0.25; 3.89) | 0.026 | 1.73 (−0.14; 3.61) | 0.069 | 1.79 (−0.11; 3.69) | 0.065 |
| RPA | 1.36 (−0.53; 3.26) | 0.159 | 1.19 (−0.72; 3.11) | 0.220 | 1.20 (−0.76; 3.15) | 0.229 |
| LPA | 3.4 (1.53; 5.27) | <0.001 | 3.24 (1.37; 5.12) | 0.001 | 3.32 (1.38; 5.26) | 0.001 |
| LV Stroke Volume | ||||||
| MPA | 4.27 (2.28; 6.26) | <0.001 | 3.56 (1.57; 5.56) | <0.001 | 3.06 (1.08; 5.04) | 0.003 |
| RPA | 3.73 (1.65; 5.8) | <0.001 | 3.89 (1.86; 5.91) | <0.001 | 3.32 (1.30; 5.35) | 0.001 |
| LPA | 7.18 (5.2; 9.15) | <0.001 | 6.52 (4.58; 8.45) | <0.001 | 5.79 (3.82; 7.76) | <0.001 |
| LV Ejection fraction | ||||||
| MPA | −0.25 (−1.07; 0.56) | 0.543 | −0.29 (−1.13; 0.55) | 0.501 | −0.46 (−1.31; 0.39) | 0.287 |
| RPA | 0.05 (−0.8; 0.89) | 0.914 | 0.11 (−0.75; 0.96) | 0.810 | −0.04 (−0.91; 0.83) | 0.932 |
| LPA | −0.17 (−1.02; 0.68) | 0.7 | −0.23 (−1.09; 0.62) | 0.592 | −0.48 (−1.36; 0.39) | 0.279 |
| LV Peak ejection rate | ||||||
| MPA | 23.5 (9.66; 37.4) | 0.001 | 24.0 (10.1; 37.8) | 0.001 | 21.6 (7.71; 35.6) | 0.002 |
| RPA | 19.9 (5.51; 34.4) | 0.007 | 23.8 (9.7; 37.9) | 0.001 | 22.0 (7.74; 36.3) | 0.003 |
| LPA | 42.1 (28.2; 56.06) | <0.001 | 40.0 (26.4; 53.7) | <0.001 | 37.7 (23.7; 51.7) | <0.001 |
| LV Early diastolic rate | ||||||
| MPA | 18.1 (6.48; 29.7) | 0.002 | 19.6 (8.23; 31.1) | 0.001 | 17.9 (6.37; 29.5) | 0.002 |
| RPA | 13.4 (1.36; 25.6) | 0.029 | 17.7 (6.03; 29.4) | 0.003 | 16.4 (4.58; 28.3) | 0.007 |
| LPA | 32.1 (20.4; 43.9) | <0.001 | 30.8 (19.5; 42.2) | <0.001 | 29.0 (17.3; 40.7) | <0.001 |
| LV Late diastolic rate | ||||||
| MPA | 17.8 (3.00; 32.7) | 0.019 | 15.6 (0.25; 31.1) | 0.046 | 11.9 (−3.45; 27.3) | 0.128 |
| RPA | 17.5 (2.07; 32.9) | 0.026 | 17.3 (1.59; 33.0) | 0.031 | 14.03 (−1.73; 29.8) | 0.081 |
| LPA | 32.1 (20.4; 43.9) | <0.001 | 30.8 (19.5; 42.2) | <0.001 | 29.0 (17.3; 40.7) | <0.001 |
| LV Mass | ||||||
| MPA | 5.41 (2.65; 8.17) | <0.001 | 3.96 (1.42; 6.51) | 0.002 | 3.9 (1.33; 6.47) | 0.003 |
| RPA | 5.14 (2.27; 8.01) | <0.001 | 3.9 (1.30; 6.49) | 0.003 | 3.92 (1.29; 6.56) | 0.004 |
| LPA | 5.09 (2.21; 7.97) | 0.001 | 4.4 (1.82; 6.98) | 0.001 | 4.15 (1.5; 6.8) | 0.002 |
| RV End–diastolic Volume | ||||||
| MPA | 9.15 (5.57; 12.7) | <0.001 | 7.94 (4.3; 11.5) | <0.001 | 7.54 (3.87; 11.2) | <0.001 |
| RPA | 8.87 (5.14; 12.6) | <0.001 | 8.9 (5.3; 12.6) | <0.001 | 8.39 (4.65; 12.1) | <0.001 |
| LPA | 14.1 (10.5; 17.6) | <0.001 | 13.2 (9.78; 16.8) | <0.001 | 12.8 (9.21; 16.4) | <0.001 |
| RV End–systolic Volume | ||||||
| MPA | 5.0 (2.68; 7.32) | <0.001 | 4.59 (2.19; 6.98) | <0.001 | 4.62 (2.19; 7.05) | <0.001 |
| RPA | 4.72 (2.31; 7.14) | <0.001 | 4.82 (2.38; 7.26) | <0.001 | 4.71 (2.22; 7.2) | <0.001 |
| LPA | 6.99 (4.63; 9.34) | <0.001 | 6.74 (4.37; 9.12) | <0.001 | 6.84 (4.39; 9.28) | <0.001 |
| RV Stroke Volume | ||||||
| MPA | 4.09 (2.15; 6.03) | <0.001 | 3.29 (1.33; 5.24) | 0.001 | 2.85 (0.9; 4.81) | 0.004 |
| RPA | 4.05 (2.03; 6.06) | <0.001 | 4.08 (2.10; 6.05) | <0.001 | 3.58 (1.59; 5.57) | <0.001 |
| LPA | 7.1 (5.18; 9.02) | <0.001 | 6.48 (4.6; 8.37) | <0.001 | 5.92 (3.99; 7.86) | <0.001 |
| RV Ejection fraction | ||||||
| MPA | −0.5 (−1.2; 0.2) | 0.163 | −0.63 (−1.36; 0.11) | 0.093 | −0.78 (−1.52; −0.04) | 0.038 |
| RPA | −0.39 (−1.12; 0.34) | 0.296 | −0.41 (−1.16; 0.33) | 0.276 | −0.53 (−1.29; 0.23) | 0.170 |
| LPA | −0.21 (−0.94; 0.53) | 0.579 | −0.34 (−1.09; 0.4) | 0.365 | −0.55 (−1.31; 0.21) | 0.156 |
| Ratio Per SD | Model 1 | p Value | Model 2 | p Value | Model 3 | p Value |
|---|---|---|---|---|---|---|
| LV End–diastolic Volume | ||||||
| MPA/Ao | 2.18 (−1.31; 5.68) | 0.220 | 1.25 (−2.23; 4.73) | 0.48 | 1.10 (−2.37; 4.57) | 0.533 |
| LV End–systolic Volume | ||||||
| MPA//Ao | 0.01 (−1.99; 2.01) | 0.994 | −0.21 (−2.24; 1.83) | 0.841 | −0.18 (−2.23; 1.88) | 0.866 |
| LV Stroke Volume | ||||||
| MPA/Ao | 2.22 (0.01; 4.44) | 0.049 | 1.51 (−0.68; 3.7) | 0.177 | 1.33 (−0.82; 3.48) | 0.225 |
| LV Ejection fraction | ||||||
| MPA/Ao | 0.13 (−0.76; 1.02) | 0.777 | 0.05 (−0.86; 0.96) | 0.916 | −0.02 (−0.93; 0.9) | 0.971 |
| LV Peak ejection rate | ||||||
| MPA/Ao | 8.1 (−7.17; 23.5) | 0.295 | 2.61 (−12.6; 17.8) | 0.737 | 1.46 (−13.7; 16.6) | 0.85 |
| LV Early diastolic rate | ||||||
| MPA/Ao | 16.3 (3.61; 29.0) | 0.012 | 11.21 (−1.33; 23.7) | 0.080 | 10.2 (−2.29; 22.8) | 0.109 |
| LV Late diastolic rate | ||||||
| MPA/Ao | 14.5 (−1.79; 30.8) | 0.081 | 10.5 (−6.27; 27.2) | 0.219 | 8.47 (−8.1; 25.0) | 0.315 |
| LV Mass | ||||||
| MPA/Ao | −3.46 (−6.51;−0.41) | 0.026 | −2.59 (−5.37; 0.19) | 0.068 | −2.51 (−5.3; 0.27) | 0.076 |
| RV End–diastolic Volume | ||||||
| MPA/Ao | 5.82 (1.82; 9.83) | 0.004 | 4.57 (0.56; 8.59) | 0.026 | 4.48 (0.47; 8.49) | 0.029 |
| RV End–systolic Volume | ||||||
| MPA/Ao | 3.30 (0.73; 5.87) | 0.012 | 2.73 (0.09; 5.36) | 0.042 | 2.82 (0.17; 5.46) | 0.037 |
| RV Stroke Volume | ||||||
| MPA/Ao | 2.52 (0.36; 4.67) | 0.022 | 1.84 (−0.30; 3.98) | 0.092 | 1.65 (−0.47; 3.77) | 0.126 |
| RV Ejection fraction | ||||||
| MPA/Ao | −0.45 (−1.21; 0.32) | 0.255 | −0.50 (−1.29; 0.29) | 0.216 | −0.59 (−1.38; 0.21) | 0.148 |
Publisher’s Note: MDPI stays neutral with regard to jurisdictional claims in published maps and institutional affiliations. |
© 2022 by the authors. Licensee MDPI, Basel, Switzerland. This article is an open access article distributed under the terms and conditions of the Creative Commons Attribution (CC BY) license (https://creativecommons.org/licenses/by/4.0/).
Share and Cite
von Krüchten, R.; Lorbeer, R.; Peters, A.; Bamberg, F.; Schlett, C.L.; Mujaj, B. Association between Large Arteries Diameter and Heart Function in Subjects Free of Cardiovascular Diseases. J. Pers. Med. 2022, 12, 889. https://doi.org/10.3390/jpm12060889
von Krüchten R, Lorbeer R, Peters A, Bamberg F, Schlett CL, Mujaj B. Association between Large Arteries Diameter and Heart Function in Subjects Free of Cardiovascular Diseases. Journal of Personalized Medicine. 2022; 12(6):889. https://doi.org/10.3390/jpm12060889
Chicago/Turabian Stylevon Krüchten, Ricarda, Roberto Lorbeer, Annette Peters, Fabian Bamberg, Christopher L. Schlett, and Blerim Mujaj. 2022. "Association between Large Arteries Diameter and Heart Function in Subjects Free of Cardiovascular Diseases" Journal of Personalized Medicine 12, no. 6: 889. https://doi.org/10.3390/jpm12060889
APA Stylevon Krüchten, R., Lorbeer, R., Peters, A., Bamberg, F., Schlett, C. L., & Mujaj, B. (2022). Association between Large Arteries Diameter and Heart Function in Subjects Free of Cardiovascular Diseases. Journal of Personalized Medicine, 12(6), 889. https://doi.org/10.3390/jpm12060889

