Translated Mutant DSPP mRNA Expression Level Impacts the Severity of Dentin Defects
Abstract
1. Introduction
2. Materials and Methods
2.1. Human Subject Enrollment and Genomic DNA Isolation
2.2. Candidate Gene Sequencing and Whole-Exome Sequencing
2.3. Bioinformatic Analysis
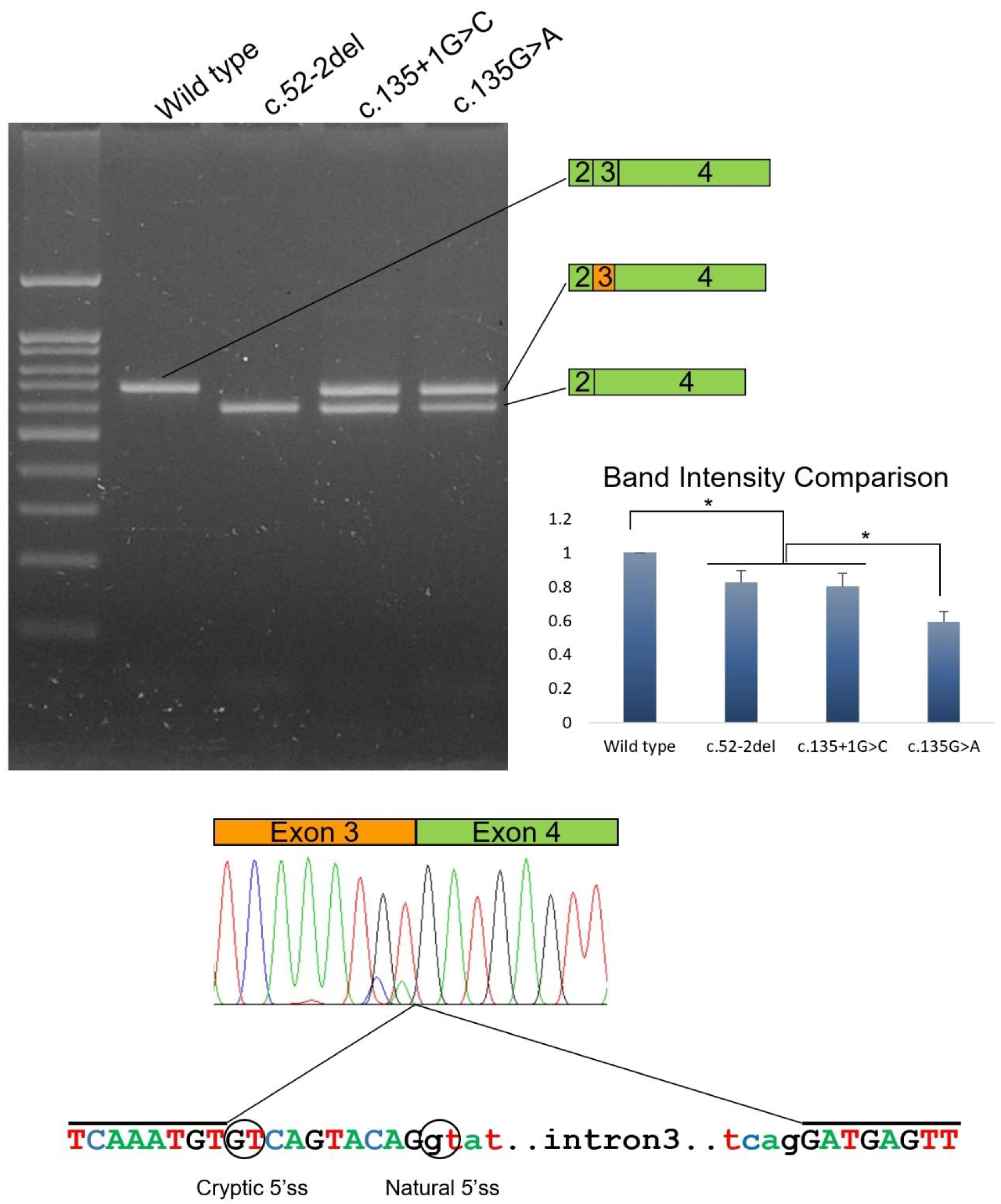
2.4. Mutagenesis and In Vitro Splicing Assay
3. Results
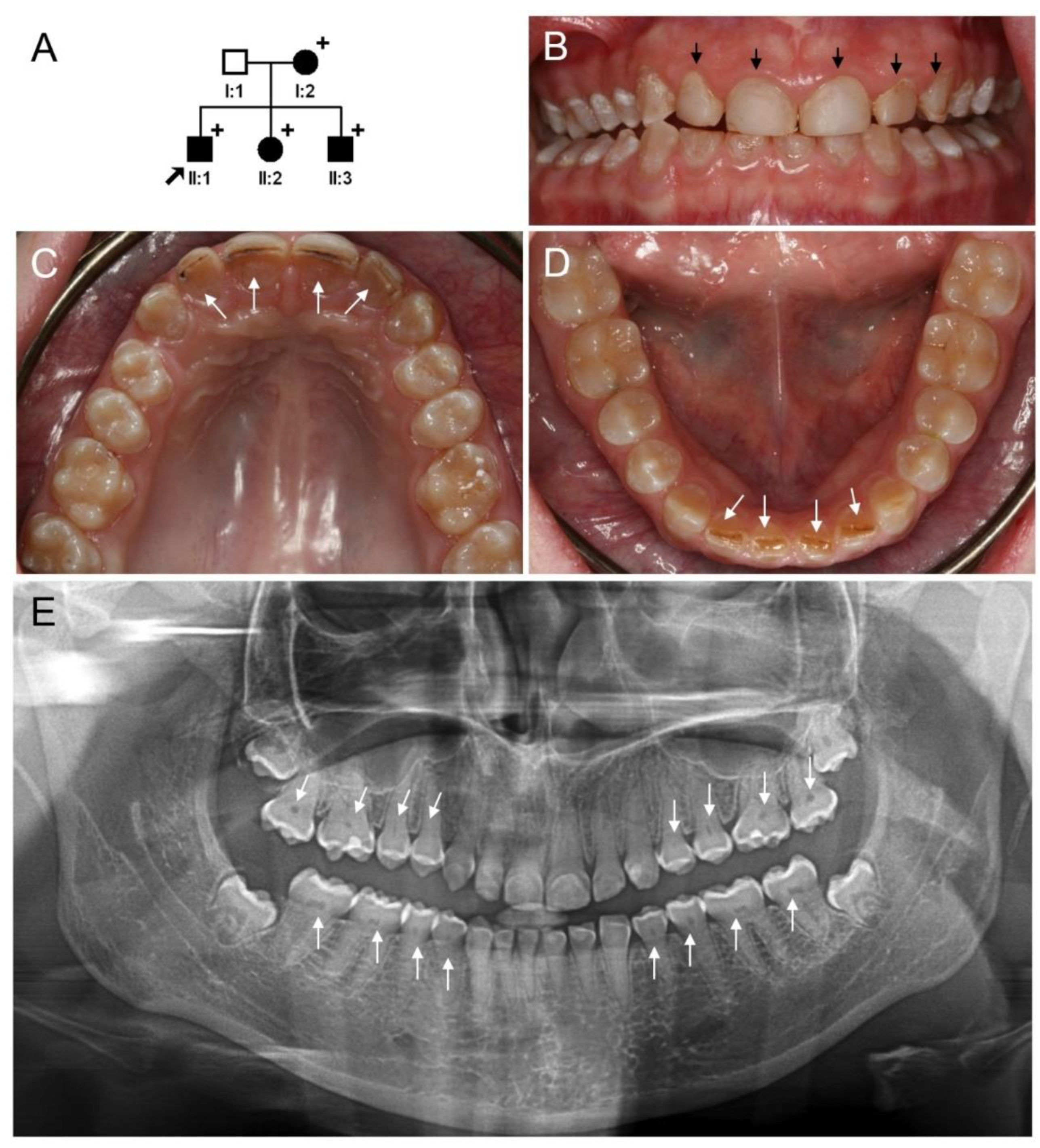
3.1. Clinical Phenotype and Diagnosis of Family 1
3.2. Clinical Phenotype and Diagnosis of Family 2
3.3. Clinical Phenotype and Diagnosis of Family 3
3.4. Identification and Characterization of the Mutations of Family 1
3.5. Identification and Characterization of the Mutations of Family 2

3.6. Identification and Characterization of the Mutations of Family 3
3.7. Comparison
4. Discussion
5. Conclusions
Supplementary Materials
Author Contributions
Funding
Institutional Review Board Statement
Informed Consent Statement
Data Availability Statement
Acknowledgments
Conflicts of Interest
References
- Thesleff, I. Epithelial-mesenchymal signalling regulating tooth morphogenesis. J. Cell Sci. 2003, 116, 1647–1648. [Google Scholar] [CrossRef] [PubMed]
- Kim, J.W.; Simmer, J.P. Hereditary dentin defects. J. Dent. Res. 2007, 86, 392–399. [Google Scholar] [CrossRef] [PubMed]
- Goldberg, M.; Kulkarni, A.B.; Young, M.; Boskey, A. Dentin: Structure, composition and mineralization. Front. Biosci. (Elite Ed.) 2011, 3, 711–735. [Google Scholar] [CrossRef] [PubMed]
- Simmer, J.P.; Hu, J.C.; Hu, Y.; Zhang, S.; Liang, T.; Wang, S.K.; Kim, J.W.; Yamakoshi, Y.; Chun, Y.H.; Bartlett, J.D.; et al. A genetic model for the secretory stage of dental enamel formation. J. Struct. Biol. 2021, 213, 107805. [Google Scholar] [CrossRef]
- Lee, S.K.; Lee, K.E.; Hwang, Y.H.; Kida, M.; Tsutsumi, T.; Ariga, T.; Park, J.C.; Kim, J.W. Identification of the DSPP mutation in a new kindred and phenotype-genotype correlation. Oral Dis. 2011, 17, 314–319. [Google Scholar] [CrossRef]
- Wang, S.K.; Chan, H.C.; Rajderkar, S.; Milkovich, R.N.; Uston, K.A.; Kim, J.W.; Simmer, J.P.; Hu, J.C.C. Enamel malformations associated with a defined dentin sialophosphoprotein mutation in two families. Eur. J. Oral Sci. 2011, 119 (Suppl. 1), 158–167. [Google Scholar] [CrossRef]
- Roberts, E.; Schour, I. Hereditary opalescent dentine (dentinogenesis imperfecta). Am. J. Orthod. Oral Surg. 1939, 25, 267–276. [Google Scholar] [CrossRef]
- Hodge, H.C.; Lose, G.B.; Finn, S.B.; Gachet, F.S.; Bassett, S.H.; Robb, R.C. Correlated clinical and structural study of hereditary opalescent dentin. J. Dent. Res. 1936, 15, 316. [Google Scholar]
- Shields, E.D.; Bixler, D.; el-Kafrawy, A.M. A proposed classification for heritable human dentine defects with a description of a new entity. Arch. Oral Biol. 1973, 18, 543–553. [Google Scholar] [CrossRef]
- Malik, S.; Gupta, S.; Wadhwan, V.; Suhasini, G.P. Dentin dysplasia type I—A rare entity. J. Oral Maxillofac. Pathol. 2015, 19, 110. [Google Scholar] [CrossRef]
- Uitto, J. The Ehlers-Danlos syndrome—Phenotypic spectrum and molecular genetics. Eur. J. Dermatol. 2005, 15, 311–312. [Google Scholar] [PubMed]
- Bonaventure, J.; Stanescu, R.; Stanescu, V.; Allain, J.C.; Muriel, M.P.; Ginisty, D.; Maroteaux, P. Type II collagen defect in two sibs with the Goldblatt syndrome, a chondrodysplasia with dentinogenesis imperfecta, and joint laxity. Am. J. Med. Genet. 1992, 44, 738–753. [Google Scholar] [CrossRef] [PubMed]
- Da Fonseca, M.A. Dental findings in the Schimke immuno-osseous dysplasia. Am. J. Med. Genet. 2000, 93, 158–160. [Google Scholar] [CrossRef][Green Version]
- Xiao, S.; Yu, C.; Chou, X.; Yuan, W.; Wang, Y.; Bu, L.; Fu, G.; Qian, M.; Yang, J.; Shi, Y.; et al. Dentinogenesis imperfecta 1 with or without progressive hearing loss is associated with distinct mutations in DSPP. Nat. Genet. 2001, 27, 201–204. [Google Scholar] [CrossRef] [PubMed]
- Zhang, X.; Zhao, J.; Li, C.; Gao, S.; Qiu, C.; Liu, P.; Wu, G.; Qiang, B.; Lo, W.H.; Shen, Y. DSPP mutation in dentinogenesis imperfecta Shields type II. Nat. Genet. 2001, 27, 151–152. [Google Scholar] [CrossRef] [PubMed]
- McKnight, D.A.; Suzanne Hart, P.; Hart, T.C.; Hart, T.C.; Hartsfield, J.K.; Wilson, A.; Wright, J.T.; Fisher, L.W. A comprehensive analysis of normal variation and disease-causing mutations in the human DSPP gene. Hum. Mutat. 2008, 29, 1392–1404. [Google Scholar] [CrossRef]
- Rajpar, M.H.; Koch, M.J.; Davies, R.M.; Mellody, K.T.; Kielty, C.M.; Dixon, M.J. Mutation of the signal peptide region of the bicistronic gene DSPP affects translocation to the endoplasmic reticulum and results in defective dentine biomineralization. Hum. Mol. Genet. 2002, 11, 2559–2565. [Google Scholar] [CrossRef]
- Hart, P.S.; Hart, T.C. Disorders of human dentin. Cells Tissues Organs 2007, 186, 70–77. [Google Scholar] [CrossRef]
- Kim, J.W.; Hu, J.C.; Lee, J.I.; Moon, S.K.; Kim, Y.J.; Jang, K.T.; Lee, S.H.; Kim, C.C.; Hahn, S.H.; Simmer, J.P. Mutational hot spot in the DSPP gene causing dentinogenesis imperfecta type II. Hum. Genet. 2005, 116, 186–191. [Google Scholar] [CrossRef]
- Zhang, X.; Chen, L.; Liu, J.; Zhao, Z.; Qu, E.; Wang, X.; Chang, W.; Xu, C.; Wang, Q.K.; Liu, M. A novel DSPP mutation is associated with type II dentinogenesis imperfecta in a Chinese family. BMC Med. Genet. 2007, 8, 52. [Google Scholar] [CrossRef]
- Taleb, K.; Lauridsen, E.; Daugaard-Jensen, J.; Nieminen, P.; Kreiborg, S. Dentinogenesis imperfecta type II- genotype and phenotype analyses in three Danish families. Mol. Genet. Genom. Med. 2018, 6, 339–349. [Google Scholar] [CrossRef] [PubMed]
- Beattie, M.L.; Kim, J.W.; Gong, S.G.; Murdoch-Kinch, C.A.; Simmer, J.P.; Hu, J.C. Phenotypic variation in dentinogenesis imperfecta/dentin dysplasia linked to 4q21. J. Dent. Res. 2006, 85, 329–333. [Google Scholar] [CrossRef] [PubMed]
- McKnight, D.A.; Simmer, J.P.; Hart, P.S.; Hart, T.C.; Fisher, L.W. Overlapping DSPP mutations cause dentin dysplasia and dentinogenesis imperfecta. J. Dent. Res. 2008, 87, 1108–1111. [Google Scholar] [CrossRef] [PubMed]
- Kim, J.W.; Nam, S.H.; Jang, K.T.; Lee, S.H.; Kim, C.C.; Hahn, S.H.; Hu, J.C.; Simmer, J.P. A novel splice acceptor mutation in the DSPP gene causing dentinogenesis imperfecta type II. Hum. Genet. 2004, 115, 248–254. [Google Scholar] [CrossRef] [PubMed][Green Version]
- Kim, Y.J.; Lee, Y.; Kasimoglu, Y.; Seymen, F.; Simmer, J.P.; Hu, J.C.; Cho, E.S.; Kim, J.W. Recessive Mutations in ACP4 Cause Amelogenesis Imperfecta. J. Dent. Res. 2022, 101, 37–45. [Google Scholar] [CrossRef] [PubMed]
- Li, H.; Handsaker, B.; Wysoker, A.; Fennell, T.; Ruan, J.; Homer, N.; Marth, G.; Abecasis, G.; Durbin, R. The Sequence Alignment/Map format and SAMtools. Bioinformatics 2009, 25, 2078–2079. [Google Scholar] [CrossRef]
- Van der Auwera, G.A.; Carneiro, M.O.; Hartl, C.; Poplin, R.; Del Angel, G.; Levy-Moonshine, A.; Jordan, T.; Shakir, K.; Roazen, D.; Thibault, J.; et al. From FastQ data to high confidence variant calls: The Genome Analysis Toolkit best practices pipeline. Curr. Protoc. Bioinform. 2013, 43, 11.10.1–11.10.33. [Google Scholar] [CrossRef]
- Lee, S.K.; Hu, J.C.; Lee, K.E.; Simmer, J.P.; Kim, J.W. A dentin sialophosphoprotein mutation that partially disrupts a splice acceptor site causes type II dentin dysplasia. J. Endod. 2008, 34, 1470–1473. [Google Scholar] [CrossRef][Green Version]
- Lee, Y.; Kim, Y.J.; Hyun, H.K.; Lee, J.C.; Lee, Z.H.; Kim, J.W. Non-Syndromic Dentinogenesis Imperfecta Caused by Mild Mutations in COL1A2. J. Pers. Med. 2021, 11, 526. [Google Scholar] [CrossRef]
- Lee, K.E.; Lee, S.K.; Jung, S.E.; Lee, Z.; Kim, J.W. Functional splicing assay of DSPP mutations in hereditary dentin defects. Oral Dis. 2011, 17, 690–695. [Google Scholar] [CrossRef]
- Brogna, S.; Wen, J. Nonsense-mediated mRNA decay (NMD) mechanisms. Nat. Struct. Mol. Biol. 2009, 16, 107–113. [Google Scholar] [CrossRef] [PubMed]
- Shyu, A.B.; Wilkinson, M.F.; van Hoof, A. Messenger RNA regulation: To translate or to degrade. Embo. J. 2008, 27, 471–481. [Google Scholar] [CrossRef] [PubMed]
- Nam, A.S.; Yin, Y.; von Marschall, Z.; Fisher, L.W. Efficient trafficking of acidic proteins out of the endoplasmic reticulum involves a conserved amino terminal IleProVal (IPV)-like tripeptide motif. Connect. Tissue Res. 2014, 55 (Suppl. 1), 138–141. [Google Scholar] [CrossRef] [PubMed]
- Lee, S.K.; Lee, K.E.; Song, S.J.; Hyun, H.K.; Lee, S.H.; Kim, J.W. A DSPP mutation causing dentinogenesis imperfecta and characterization of the mutational effect. Biomed. Res. Int. 2013, 2013, 948181. [Google Scholar] [CrossRef][Green Version]
- Lee, S.K.; Lee, K.E.; Jeon, D.; Lee, G.; Lee, H.; Shin, C.U.; Jung, Y.J.; Lee, S.H.; Hahn, S.H.; Kim, J.W. A novel mutation in the DSPP gene associated with dentinogenesis imperfecta type II. J. Dent. Res. 2009, 88, 51–55. [Google Scholar] [CrossRef]
- Von Marschall, Z.; Mok, S.; Phillips, M.D.; McKnight, D.A.; Fisher, L.W. Rough endoplasmic reticulum trafficking errors by different classes of mutant dentin sialophosphoprotein (DSPP) cause dominant negative effects in both dentinogenesis imperfecta and dentin dysplasia by entrapping normal DSPP. J. Bone Miner. Res. 2012, 27, 1309–1321. [Google Scholar] [CrossRef]
- Yin, Y.; Garcia, M.R.; Novak, A.J.; Saunders, A.M.; Ank, R.S.; Nam, A.S.; Fisher, L.W. Surf4 (Erv29p) binds amino-terminal tripeptide motifs of soluble cargo proteins with different affinities, enabling prioritization of their exit from the endoplasmic reticulum. PLoS Biol. 2018, 16, e2005140. [Google Scholar] [CrossRef]
- Prasad, M.; Butler, W.T.; Qin, C. Dentin sialophosphoprotein in biomineralization. Connect. Tissue Res. 2010, 51, 404–417. [Google Scholar] [CrossRef]
- Yamakoshi, Y.; Simmer, J.P. Structural features, processing mechanism and gene splice variants of dentin sialophosphoprotein. Jpn. Dent. Sci. Rev. 2018, 54, 183–196. [Google Scholar] [CrossRef]
- Yamakoshi, Y.; Hu, J.C.; Fukae, M.; Zhang, H.; Simmer, J.P. Dentin glycoprotein: The protein in the middle of the dentin sialophosphoprotein chimera. J. Biol. Chem. 2005, 280, 17472–17479. [Google Scholar] [CrossRef]
- Von Marschall, Z.; Fisher, L.W. Dentin sialophosphoprotein (DSPP) is cleaved into its two natural dentin matrix products by three isoforms of bone morphogenetic protein-1 (BMP1). Matrix Biol. 2010, 29, 295–303. [Google Scholar] [CrossRef] [PubMed]



Publisher’s Note: MDPI stays neutral with regard to jurisdictional claims in published maps and institutional affiliations. |
© 2022 by the authors. Licensee MDPI, Basel, Switzerland. This article is an open access article distributed under the terms and conditions of the Creative Commons Attribution (CC BY) license (https://creativecommons.org/licenses/by/4.0/).
Share and Cite
Kim, Y.J.; Lee, Y.; Zhang, H.; Seymen, F.; Koruyucu, M.; Bayrak, S.; Tuloglu, N.; Simmer, J.P.; Hu, J.C.-C.; Kim, J.-W. Translated Mutant DSPP mRNA Expression Level Impacts the Severity of Dentin Defects. J. Pers. Med. 2022, 12, 1002. https://doi.org/10.3390/jpm12061002
Kim YJ, Lee Y, Zhang H, Seymen F, Koruyucu M, Bayrak S, Tuloglu N, Simmer JP, Hu JC-C, Kim J-W. Translated Mutant DSPP mRNA Expression Level Impacts the Severity of Dentin Defects. Journal of Personalized Medicine. 2022; 12(6):1002. https://doi.org/10.3390/jpm12061002
Chicago/Turabian StyleKim, Youn Jung, Yejin Lee, Hong Zhang, Figen Seymen, Mine Koruyucu, Sule Bayrak, Nuray Tuloglu, James P. Simmer, Jan C.-C. Hu, and Jung-Wook Kim. 2022. "Translated Mutant DSPP mRNA Expression Level Impacts the Severity of Dentin Defects" Journal of Personalized Medicine 12, no. 6: 1002. https://doi.org/10.3390/jpm12061002
APA StyleKim, Y. J., Lee, Y., Zhang, H., Seymen, F., Koruyucu, M., Bayrak, S., Tuloglu, N., Simmer, J. P., Hu, J. C.-C., & Kim, J.-W. (2022). Translated Mutant DSPP mRNA Expression Level Impacts the Severity of Dentin Defects. Journal of Personalized Medicine, 12(6), 1002. https://doi.org/10.3390/jpm12061002

