A New Mini-Invasive Approach for a Catastrophic Disease: Staged Endovascular and Endoscopic Treatment of Aorto-Esophageal Fistulas
Abstract
1. Introduction
2. Case Report
2.1. Case 1
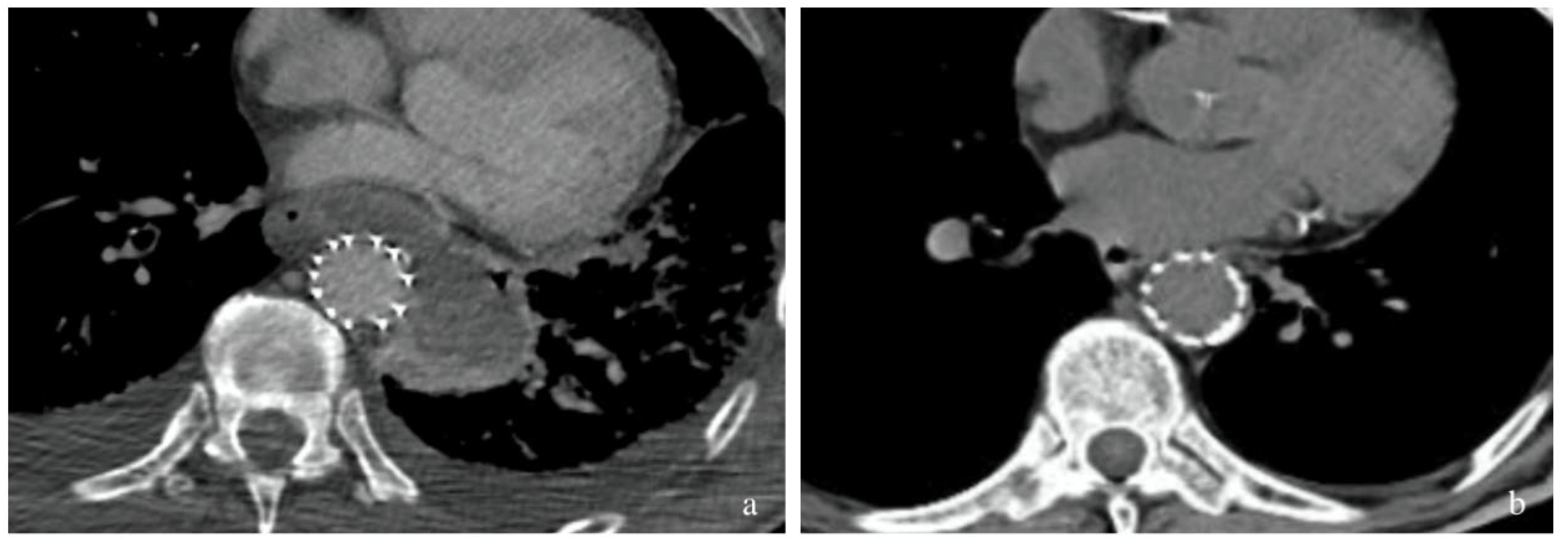
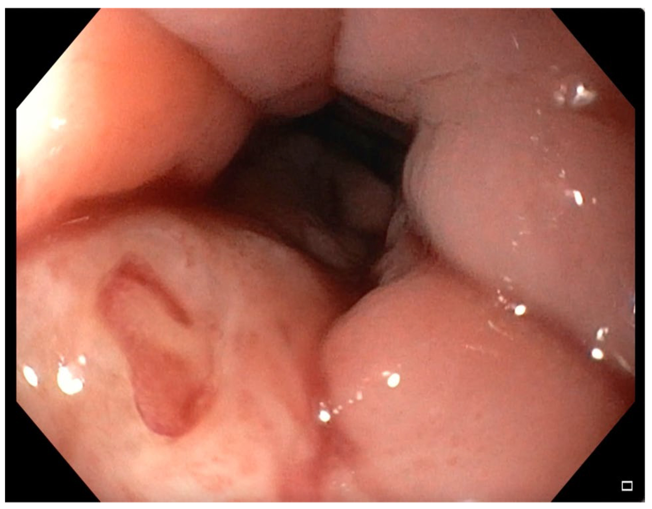
2.2. Case 2
2.3. Case 3
3. Discussion
4. Conclusions
Author Contributions
Funding
Institutional Review Board Statement
Informed Consent Statement
Data Availability Statement
Conflicts of Interest
References
- Hollander, J.E.; Quick, G. Aortoesophageal fistula: A comprehensive review of the literature. Am. J. Med. 1991, 91, 279–287. [Google Scholar] [CrossRef]
- Kawamoto, S.; Saiki, Y.; Oda, K.; Nitta, Y.; Akasaka, J.E.; Miyazaki, S.; Tabayashi, K. Successful management of esophagoparaprosthetic fistula after aortic surgery. Ann. Thorac. Surg. 2008, 85, 1449–1451. [Google Scholar] [CrossRef] [PubMed]
- Kobayashi, K.; Ohata, T.; Ueda, H.; Shichinohe, T. Management of secondary aortoesophageal fistula without graft extraction. J. Thorac. Cardiovasc. Surg. 2013, 145, e5–e6. [Google Scholar] [CrossRef] [PubMed][Green Version]
- Tao, M.; Shlomovitz, E.; Darling, G.; Roche-Nagle, G. Secondary aorto-esophageal fistula after thoracic aortic aneurysm endovascular repair treated by covered esophageal stenting. World J. Clin. Cases 2016, 4, 233–237. [Google Scholar] [CrossRef] [PubMed]
- Chakfé, N.; Diener, H.; Lejay, A.; Assadian, O.; Berard, X.; Caillon, J.; Fourneau, I.; Glaudemans, A.W.J.M.; Koncar, I.; Lindholt, J.; et al. Editor’s Choice—European Society for Vascular Surgery (ESVS) 2020 Clinical Practice Guidelines on the Management of Vascular Graft and Endograft Infections. Eur. J. Vasc. Endovasc. Surg. 2020, 59, 339–384. [Google Scholar] [CrossRef] [PubMed]
- Okita, Y.; Yamanaka, K.; Okada, K.; Matsumori, M.; Inoue, T.; Fukase, K.; Sakamoto, T.; Miyahara, S.; Shirasaka, T.; Izawa, N.; et al. Strategies for the treatment of aorto-oesophageal fistula. Eur. J. Cardio-Thorac. Surg. 2014, 46, 894–900. [Google Scholar] [CrossRef] [PubMed]
- Yamazato, T.; Nakamura, T.; Abe, N.; Yokawa, K.; Ikeno, Y.; Koda, Y.; Henmi, S.; Nakai, H.; Gotake, Y.; Okita, Y.; et al. Surgical strategy for the treatment of aortoesophageal fistula. J. Thorac. Cardiovasc. Surg. 2018, 155, 32–40. [Google Scholar] [CrossRef] [PubMed]
- Uno, K.; Koike, T.; Takahashi, S.; Komazawa, D.; Shimosegawa, T. Management of aorto-esophageal fistula secondary after thoracic endovascular aortic repair: A review of literature. Clin. J. Gastroenterol. 2017, 10, 393–402. [Google Scholar] [CrossRef] [PubMed]
- Marone, E.M.; Coppi, G.; Kahlberg, A.; Tshomba, Y.; Chiesa, R. Combined endovascular and surgical treatment of primary aortoesophageal fistula. Tex. Heart Inst. J. 2010, 37, 722. [Google Scholar] [PubMed]
- Chiesa, R.; Melissano, G.; Marone, E.M.; Kahlberg, A.; Marrocco-Trischitta, M.M.; Tshomba, Y. Endovascular treatment of aortoesophageal and aortobronchial fistulae. J. Vasc. Surg. 2010, 51, 1195–1202. [Google Scholar] [CrossRef] [PubMed]
- Kubota, S.; Shiiya, N.; Shingu, Y.; Wakasa, S.; Ooka, T.; Tachibana, T.; Yamauchi, H.; Ishibashi, Y.; Oba, J.-I.; Matsui, Y. Surgical strategy for aortoesophageal fistula in the endovascular era. Gen. Thorac. Cardiovasc. Surg. 2013, 61, 560–564. [Google Scholar] [CrossRef] [PubMed]
- Flores, J.; Shiiya, N.; Kunihara, T.; Yoshimoto, K.; Yasuda, K. Aortoesophageal fistula: Alternatives of treatment case report and literature review. Ann. Thorac. Cardiovasc. Surg. 2004, 10, 241–246. [Google Scholar] [PubMed]
- Santo, K.C.; Guest, P.; McCafferty, I.; Bonser, R.S. Aortoesophageal fistula secondary to stent-graft repair of the thoracic aorta after previous surgical coarctation repair. J. Thorac. Cardiovasc. Surg. 2007, 134, 1585–1586. [Google Scholar] [CrossRef] [PubMed]
- Baril, D.T.; Carroccio, A.; Ellozy, S.H.; Palchik, E.; Sachdev, U.; Jacobs, T.S.; Marin, M.L. Evolving strategies for the treatment of aortoenteric fistulas. J. Vasc. Surg. 2006, 44, 250–257. [Google Scholar] [CrossRef] [PubMed]
- Lee, J.H.; Na, B.; Hwang, Y.; Kim, Y.H.; Park, I.K.; Kim, K.H. Surgical management of aorto-esophageal fistula as a late complication after graft replacement for acute aortic dissection. Korean J. Thorac. Cardiovasc. Surg. 2016, 49, 54–58. [Google Scholar] [CrossRef] [PubMed]






Publisher’s Note: MDPI stays neutral with regard to jurisdictional claims in published maps and institutional affiliations. |
© 2022 by the authors. Licensee MDPI, Basel, Switzerland. This article is an open access article distributed under the terms and conditions of the Creative Commons Attribution (CC BY) license (https://creativecommons.org/licenses/by/4.0/).
Share and Cite
Donato, F.; Boskoski, I.; Vincenzoni, C.; Montanari, F.; Tinelli, G.; Donati, T.; Tshomba, Y. A New Mini-Invasive Approach for a Catastrophic Disease: Staged Endovascular and Endoscopic Treatment of Aorto-Esophageal Fistulas. J. Pers. Med. 2022, 12, 1735. https://doi.org/10.3390/jpm12101735
Donato F, Boskoski I, Vincenzoni C, Montanari F, Tinelli G, Donati T, Tshomba Y. A New Mini-Invasive Approach for a Catastrophic Disease: Staged Endovascular and Endoscopic Treatment of Aorto-Esophageal Fistulas. Journal of Personalized Medicine. 2022; 12(10):1735. https://doi.org/10.3390/jpm12101735
Chicago/Turabian StyleDonato, Federica, Ivo Boskoski, Claudio Vincenzoni, Francesca Montanari, Giovanni Tinelli, Tommaso Donati, and Yamume Tshomba. 2022. "A New Mini-Invasive Approach for a Catastrophic Disease: Staged Endovascular and Endoscopic Treatment of Aorto-Esophageal Fistulas" Journal of Personalized Medicine 12, no. 10: 1735. https://doi.org/10.3390/jpm12101735
APA StyleDonato, F., Boskoski, I., Vincenzoni, C., Montanari, F., Tinelli, G., Donati, T., & Tshomba, Y. (2022). A New Mini-Invasive Approach for a Catastrophic Disease: Staged Endovascular and Endoscopic Treatment of Aorto-Esophageal Fistulas. Journal of Personalized Medicine, 12(10), 1735. https://doi.org/10.3390/jpm12101735

