Prospective Comparison of F-18 Choline PET/CT Scan Versus Axial MRI for Detecting Bone Metastasis in Biochemically Relapsed Prostate Cancer Patients
Abstract
1. Introduction
2. Materials and Methods
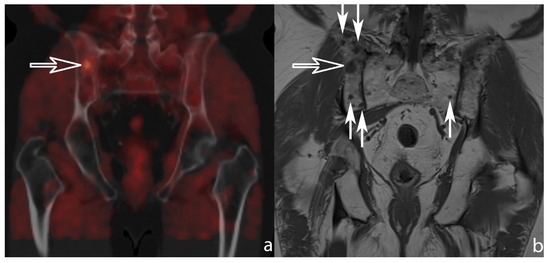
3. Results
4. Discussion
5. Conclusions
Supplementary Materials
Acknowledgment
Author Contributions
Conflicts of Interest
References
- Ost, P.; Bossi, A.; Decaestecker, K.; de Meerleer, G.; Giannarini, G.; Karnes, R.J.; Roach, M.; Briganti, A. Metastasis-directed therapy of regional and distant recurrences after curative treatment of prostate cancer: A systematic review of the literature. Eur. Urol. 2015, 67, 852–863. [Google Scholar] [CrossRef] [PubMed]
- Beresford, M.J.; Gillatt, D.; Benson, R.J.; Ajithkumar, T. A systematic review of the role of imaging before salvage radiotherapy for post-prostatectomy biochemical recurrence. Clin. Oncol. 2010, 22, 46–55. [Google Scholar] [CrossRef] [PubMed]
- Heidenreich, A.; Bastian, P.J.; Bellmunt, J.; Bolla, M.; Joniau, S.; van der Kwast, T.; Mason, M.; Matveev, V.; Wiegel, T.; Zattoni, F.; et al. EAU guidelines on prostate cancer. Part II: Treatment of advanced, relapsing, and castration-resistant prostate cancer. Eur. Urol. 2014, 65, 467–479. [Google Scholar] [CrossRef] [PubMed]
- De Bleser, E.; Tran, P.T.; Ost, P. Radiotherapy as metastasis-directed therapy for oligometastatic prostate cancer. Curr. Opin. Urol. 2017, 27, 587–595. [Google Scholar] [CrossRef] [PubMed]
- Decaestecker, K.; de Meerleer, G.; Ameye, F.; Fonteyne, V.; Lambert, B.; Joniau, S.; Delrue, L.; Billiet, I.; Duthoy, W.; Junius, S.; et al. Surveillance or metastasis-directed therapy for OligoMetastatic prostate cancer recurrence (STOMP): Study protocol for a randomized phase II trial. BMC Cancer 2014, 14, 671. [Google Scholar] [CrossRef] [PubMed]
- De Bruycker, A.; Lambert, B.; Claeys, T.; Delrue, L.; Mbah, C.; de Meerleer, G.; Villeirs, G.; de Vos, F.; de Man, K.; Decaestecker, K.; et al. Prevalence and prognosis of low-volume, oligorecurrent, hormone-sensitive prostate cancer amenable to lesion ablative therapy. BJU Int. 2017. [Google Scholar] [CrossRef] [PubMed]
- Lecouvet, F.E.; El Mouedden, J.; Collette, L.; Coche, E.; Danse, E.; Jamar, F.; Machiels, J.-P.; Vande Berg, B.; Omoumi, P.; Tombal, B. Can whole-body magnetic resonance imaging with diffusion-weighted imaging replace Tc 99m bone scanning and computed tomography for single-step detection of metastases in patients with high-risk prostate cancer? Eur. Urol. 2012, 62, 68–75. [Google Scholar] [CrossRef] [PubMed]
- Lecouvet, F.E.; Geukens, D.; Stainier, A.; Jamar, F.; Jamart, J.; d’Othee, B.J.; Therasse, P.; Vande Berg, B.; Tombal, B. Magnetic resonance imaging of the axial skeleton for detecting bone metastases in patients with high-risk prostate cancer: Diagnostic and cost-effectiveness and comparison with current detection strategies. J. Clin. Oncol. Off. J. Am. Soc. Clin. Oncol. 2007, 25, 3281–3287. [Google Scholar] [CrossRef] [PubMed]
- Hellman, S.; Weichselbaum, R.R. Oligometastases. J. Clin. Oncol. Off. J. Am. Soc. Clin. Oncol. 1995, 13, 8–10. [Google Scholar] [CrossRef] [PubMed]
- Ost, P.; Decaestecker, K.; Lambert, B.; Fonteyne, V.; Delrue, L.; Lumen, N.; Ameye, F.; de Meerleer, G. Prognostic factors influencing prostate cancer-specific survival in non-castrate patients with metastatic prostate cancer. Prostate 2014, 74, 297–305. [Google Scholar] [CrossRef] [PubMed]
- Schweizer, M.T.; Zhou, X.C.; Wang, H.; Yang, T.; Shaukat, F.; Partin, A.W.; Eisenberger, M.A.; Antonarakis, E.S. Metastasis-free survival is associated with overall survival in men with PSA-recurrent prostate cancer treated with deferred androgen deprivation therapy. Ann. Oncol. Off. J. Eur. Soc. Med. Oncol. 2013, 24, 2881–2886. [Google Scholar] [CrossRef] [PubMed]
- Wetter, A.; Lipponer, C.; Nensa, F.; Heusch, P.; Rubben, H.; Schlosser, T.W.; Poppel, T.D.; Lauenstein, T.C.; Nagarajah, J. Quantitative evaluation of bone metastases from prostate cancer with simultaneous 18F choline PET/MRI: Combined SUV and ADC analysis. Ann. Nucl. Med. 2014, 28, 405–410. [Google Scholar] [CrossRef] [PubMed]
- Afshar-Oromieh, A.; Zechmann, C.M.; Malcher, A.; Eder, M.; Eisenhut, M.; Linhart, H.G.; Holland-Letz, T.; Hadaschik, B.A.; Giesel, F.L.; Debus, J.; et al. Comparison of PET imaging with a (68)Ga-labelled PSMA ligand and (18)F-choline-based PET/CT for the diagnosis of recurrent prostate cancer. Eur. J. Nucl. Med. Mol. Imaging 2014, 41, 11–20. [Google Scholar] [CrossRef] [PubMed]
- Von Eyben, F.E.; Picchio, M.; von Eyben, R.; Rhee, H.; Bauman, G. (68)Ga-Labeled Prostate-specific Membrane Antigen Ligand Positron Emission Tomography/Computed Tomography for Prostate Cancer: A Systematic Review and Meta-analysis. Eur. Urol. Focus 2016. [Google Scholar] [CrossRef] [PubMed]
- Schwenck, J.; Rempp, H.; Reischl, G.; Kruck, S.; Stenzl, A.; Nikolaou, K.; Pfannenberg, C.; La Fougère, C. Comparison of (68)Ga-labelled PSMA-11 and (11)C-choline in the detection of prostate cancer metastases by PET/CT. Eur. J. Nucl. Med. Mol. Imaging 2017, 44, 92–101. [Google Scholar] [CrossRef] [PubMed]

| Patient-Based Analysis | ||||||||
|---|---|---|---|---|---|---|---|---|
| BVC for bone metastases | ||||||||
| Image modality | Scan result | Negative (n = 49) No. | Positive (n = 15) No. | Total (n = 64) No. | Sensitivity % (95% CI) | Specificity % (95% CI) | PPV % (95% CI) | NPV % (95% CI) |
| Ax MRI | Negative | 47 | 0 | 47 | 100 (75–100) | 96 (84–99) | 88 (62–98) | 100 (91–100) |
| Positive | 2 | 15 | 17 | |||||
| F-18 Choline PET | Negative | 49 | 2 | 51 | 87 (58–98) | 100 (91–100) | 100 (72–100) | 96 (85–99) |
| Positive | 0 | 13 | 13 | p = 0.5 | p = 0.5 | |||
| Lesion-based analysis | ||||||||
| Image modality | Scan result | Negative (n = 55) No. | Positive (n = 24) No. | Total (n = 79) No. | Sensitivity % (95% CI) | Specificity % (95% CI) | PPV % (95% CI) | NPV % (95% CI) |
| Ax MRI | Negative | 51 | 0 | 51 | 100 (83–100) | 93 (82–98) | 86 (66–95) | 100 (91–100) |
| Positive | 4 | 24 | 28 | |||||
| F-18 Choline PET | Negative | 55 | 6 | 61 | 75 (53–89) | 100 (91–100) | 100 (78–100) | 90 (79–96) |
| Positive | 0 | 18 | 18 | p = 0.031 | p = 0.125 | |||
© 2017 by the authors. Licensee MDPI, Basel, Switzerland. This article is an open access article distributed under the terms and conditions of the Creative Commons Attribution (CC BY) license (http://creativecommons.org/licenses/by/4.0/).
Share and Cite
Huysse, W.; Lecouvet, F.; Castellucci, P.; Ost, P.; Lambrecht, V.; Artigas, C.; Denis, M.-L.; Man, K.D.; Delrue, L.; Jans, L.; et al. Prospective Comparison of F-18 Choline PET/CT Scan Versus Axial MRI for Detecting Bone Metastasis in Biochemically Relapsed Prostate Cancer Patients. Diagnostics 2017, 7, 56. https://doi.org/10.3390/diagnostics7040056
Huysse W, Lecouvet F, Castellucci P, Ost P, Lambrecht V, Artigas C, Denis M-L, Man KD, Delrue L, Jans L, et al. Prospective Comparison of F-18 Choline PET/CT Scan Versus Axial MRI for Detecting Bone Metastasis in Biochemically Relapsed Prostate Cancer Patients. Diagnostics. 2017; 7(4):56. https://doi.org/10.3390/diagnostics7040056
Chicago/Turabian StyleHuysse, Wouter, Frédéric Lecouvet, Paolo Castellucci, Piet Ost, Valerie Lambrecht, Carlos Artigas, Marie-Laurence Denis, Kathia De Man, Louke Delrue, Lennart Jans, and et al. 2017. "Prospective Comparison of F-18 Choline PET/CT Scan Versus Axial MRI for Detecting Bone Metastasis in Biochemically Relapsed Prostate Cancer Patients" Diagnostics 7, no. 4: 56. https://doi.org/10.3390/diagnostics7040056
APA StyleHuysse, W., Lecouvet, F., Castellucci, P., Ost, P., Lambrecht, V., Artigas, C., Denis, M.-L., Man, K. D., Delrue, L., Jans, L., Bruycker, A. D., Vos, F. D., Meerleer, G. D., Decaestecker, K., Fonteyne, V., & Lambert, B. (2017). Prospective Comparison of F-18 Choline PET/CT Scan Versus Axial MRI for Detecting Bone Metastasis in Biochemically Relapsed Prostate Cancer Patients. Diagnostics, 7(4), 56. https://doi.org/10.3390/diagnostics7040056
