18F-FDG PET/CT Findings in a Patient with Chikungunya Virus Infection
Abstract
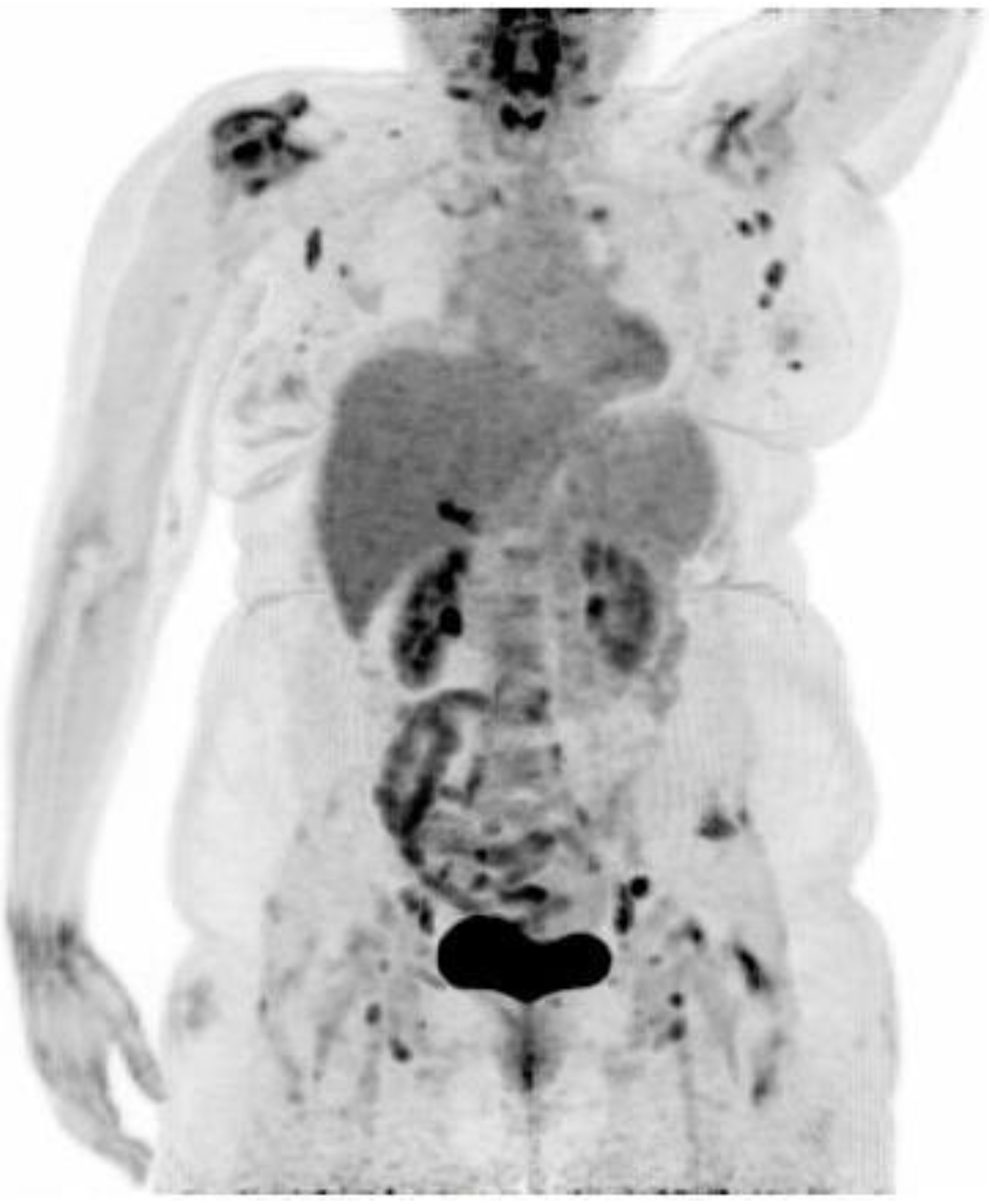
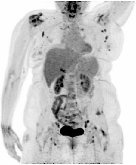
:

Acknowledgments
Author Contributions
Conflicts of Interest
References
- Sam, I.C.; Kümmerer, B.M.; Chan, Y.F.; Roques, P.; Drosten, C.; AbuBakar, S. Updates on Chikungunya epidemiology, clinical disease, and diagnostics. Vector Borne Zoonotic Dis. 2015, 15, 223–230. [Google Scholar] [CrossRef] [PubMed]
- Silva, L.A.; Dermody, T.S. Chikungunya virus: Epidemiology, replication, disease mechanisms, and prospective intervention strategies. J. Clin. Investig. 2017, 127, 737–749. [Google Scholar] [CrossRef] [PubMed]
- Braiteh, F.; Parikh, A.; McLaughlin, P. A suspicion of Chikungunya leading to a diagnosis of angioimmunoblastic T-cell lymphoma. Acta Oncol. 2009, 48, 624–628. [Google Scholar] [CrossRef] [PubMed]
- Jinguji, M.; Kajiya, Y.; Nakajo, M.; Nakajo, M.; Yoshiura, T. Increased 18F-FDG Uptake in the Spleen and Multiple Lymph Nodes in Dengue Fever. Clin. Nucl. Med. 2016, 41, 255–256. [Google Scholar] [CrossRef] [PubMed]
- Chacko, A.M.; Watanabe, S.; Herr, K.J.; Kalimuddin, S.; Tham, J.Y.; Ong, J.; Reolo, M.; Serrano, R.M.F.; Cheung, Y.B.; Low, G.J.H.; et al. 18F-FDG as an inflammation biomarker for imaging dengue virus infection and treatment response. JCI Insight 2017, 4, e93474. [Google Scholar] [CrossRef] [PubMed]
© 2017 by the authors. Licensee MDPI, Basel, Switzerland. This article is an open access article distributed under the terms and conditions of the Creative Commons Attribution (CC BY) license (http://creativecommons.org/licenses/by/4.0/).
Share and Cite
Rose, M.V.; Kjaer, A.S.L.; Markova, E.; Graff, J. 18F-FDG PET/CT Findings in a Patient with Chikungunya Virus Infection. Diagnostics 2017, 7, 49. https://doi.org/10.3390/diagnostics7030049
Rose MV, Kjaer ASL, Markova E, Graff J. 18F-FDG PET/CT Findings in a Patient with Chikungunya Virus Infection. Diagnostics. 2017; 7(3):49. https://doi.org/10.3390/diagnostics7030049
Chicago/Turabian StyleRose, Michala Vaaben, Anna Sophie L. Kjaer, Elena Markova, and Jesper Graff. 2017. "18F-FDG PET/CT Findings in a Patient with Chikungunya Virus Infection" Diagnostics 7, no. 3: 49. https://doi.org/10.3390/diagnostics7030049
APA StyleRose, M. V., Kjaer, A. S. L., Markova, E., & Graff, J. (2017). 18F-FDG PET/CT Findings in a Patient with Chikungunya Virus Infection. Diagnostics, 7(3), 49. https://doi.org/10.3390/diagnostics7030049

