SonoElastoColposcopy: A New Tool for Cervical Dysplasia Assessment
Abstract
1. Introduction
2. Materials and Methods
2.1. Characteristics of the Study Population
2.2. Clinical Examination
2.2.1. Colposcopic Evaluation
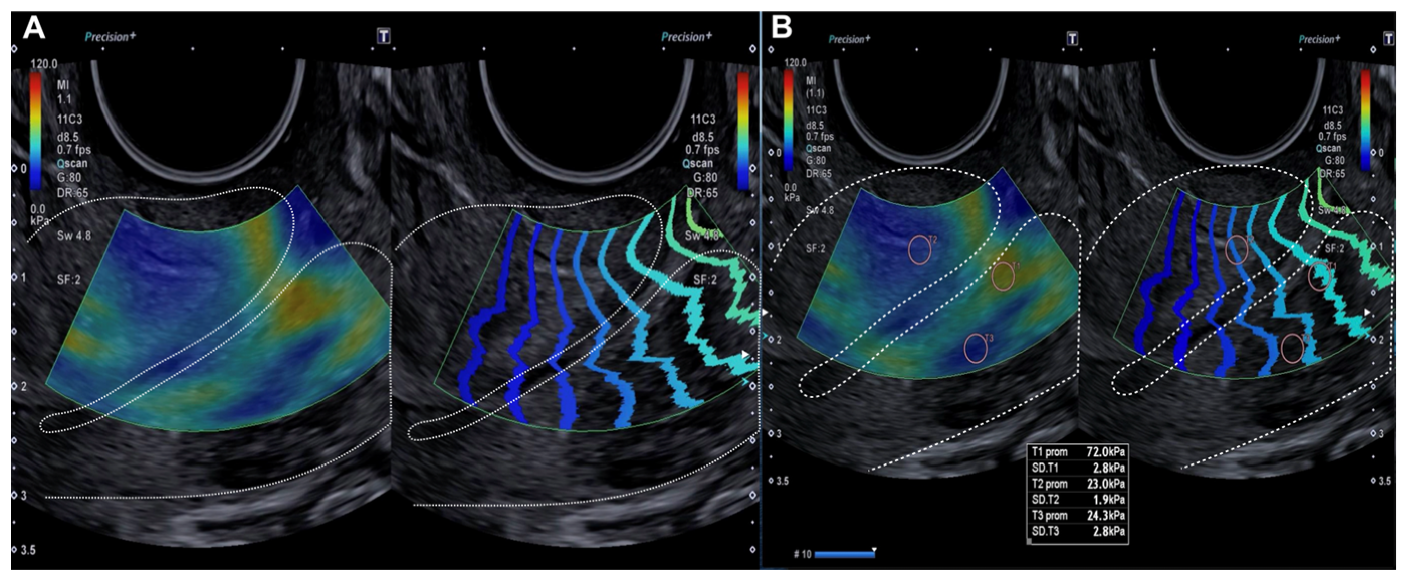
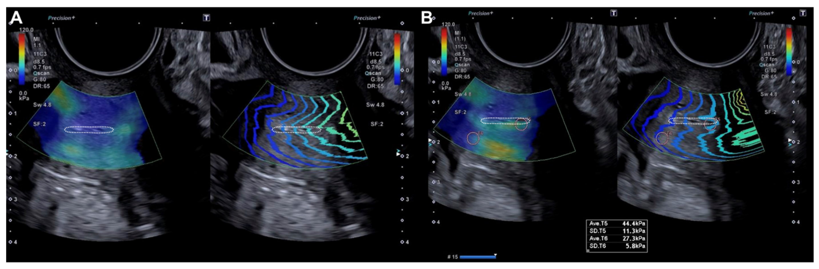
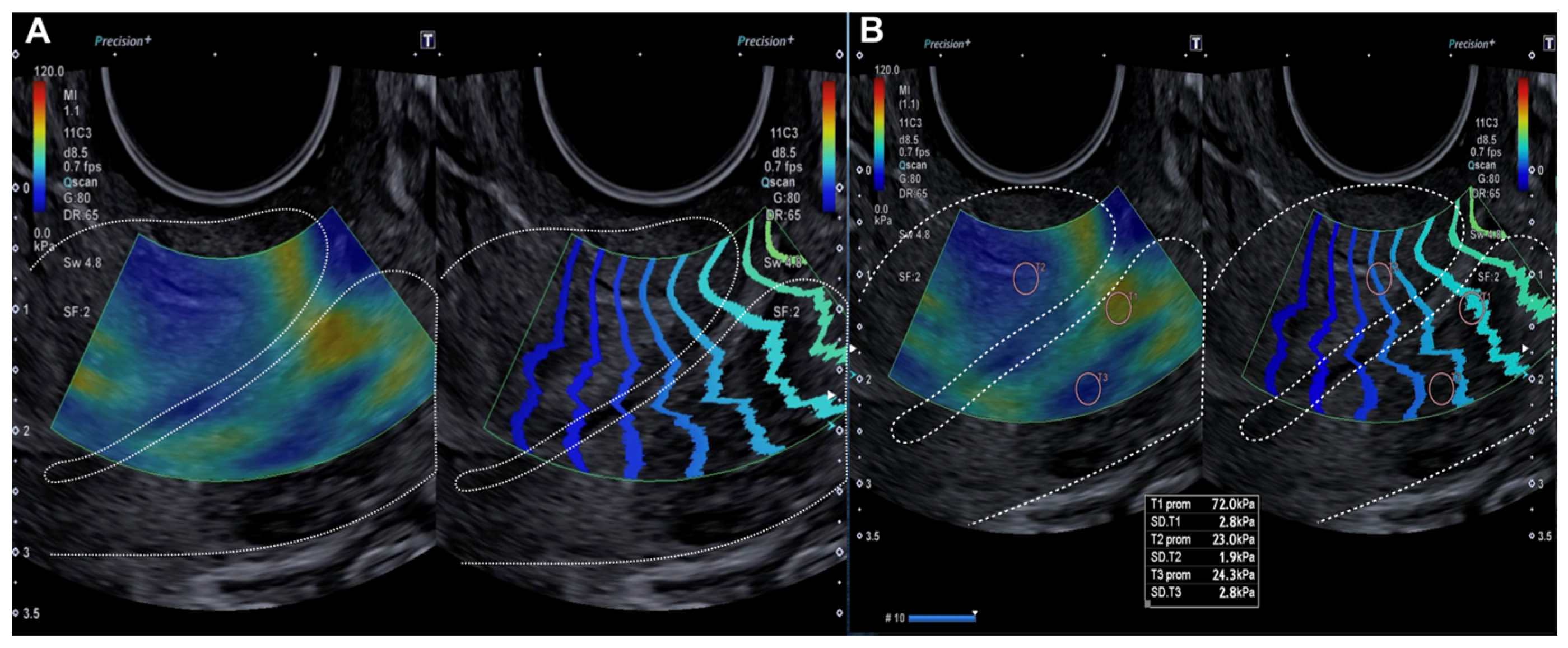
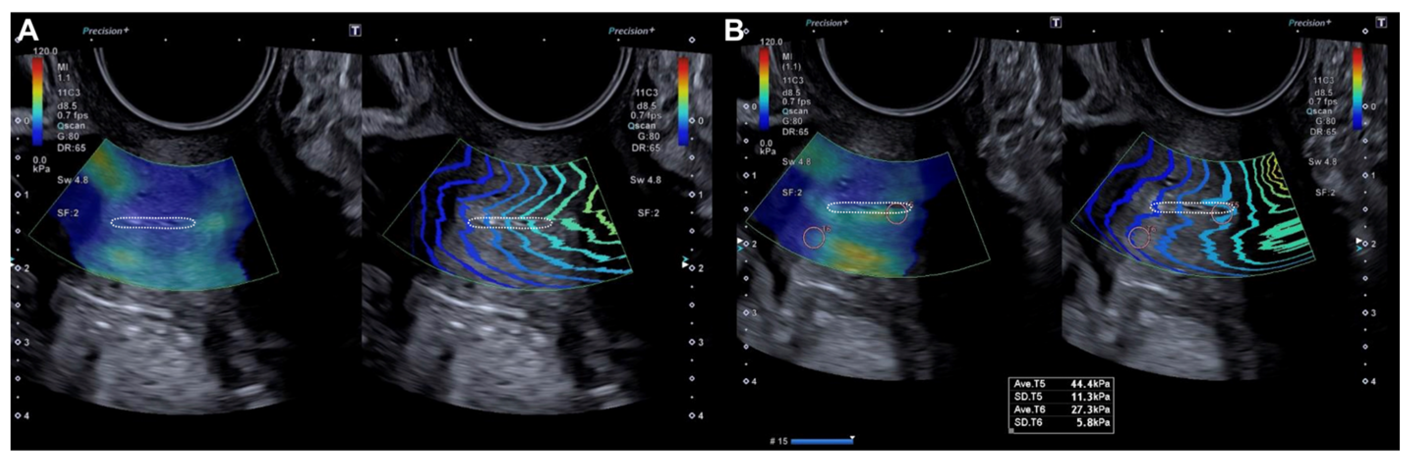
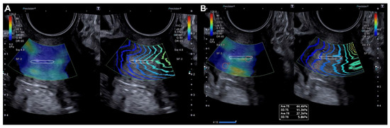
2.2.2. Evaluation Using SonoElastoColposcopy
2.2.3. Cervical Conization
2.3. Statistical Analysis
3. Results
4. Discussion
Strengths and Limitations
5. Conclusions
Author Contributions
Funding
Institutional Review Board Statement
Informed Consent Statement
Data Availability Statement
Conflicts of Interest
Abbreviations
| SWE | Shear wave elastography |
| SEC | SonoElastoColposcopy |
| CIN | Cervical intraepithelial neoplasia |
| KPa | Kilopascals |
| H-SIL | High-grade squamous lesions |
| L-SIL | Low-grade squamous lesions |
| BMI | Body mass index |
| TZ | Transformation zone |
| ROI | Region of interest |
| ECO | External cervical os |
| CI | Confidence interval |
References
- Buskwofie, A.; David-West, G.; Clare, C.A. A review of cervical cancer: Incidence and Disparities. J. Natl. Med. Assoc. 2020, 112, 229–232. [Google Scholar] [PubMed]
- Cohen, P.A.; Jhingran, A.; Oaknin, A.; Denny, L. Cervical cancer. Lancet 2019, 393, 169–182. [Google Scholar]
- Peirson, L.; Fitzpatrick-Lewis, D.; Ciliska, D.; Warren, R. Screening for cervical cancer: A systematic review and meta-analysis. Syst. Rev. 2013, 2, 35. [Google Scholar]
- Kim, J.J.; Burger, E.A.; Regan, C.; Sy, S. Screening for Cervical Cancer in Primary Care: A Decision Analysis for the US Preventive Services Task Force. JAMA 2018, 320, 706. [Google Scholar] [CrossRef] [PubMed]
- Depuydt, C.E.; Criel, A.M.; Benoy, I.H.; Arbyn, M.; Vereecken, A.J.; Bogers, J.J. Changes in type-specific human papillomavirus load predict progression to cervical cancer. J. Cell. Mol. Med. 2012, 16, 3096–3104. [Google Scholar] [PubMed]
- Oyouni, A.A.A. Human papillomavirus in cancer: Infection, disease transmission, and progress in vaccines. J. Infect. Public Health 2023, 16, 626–631. [Google Scholar]
- Melnikow, J.; Henderson, J.T.; Burda, B.U.; Senger, C.A.; Durbin, S.; Weyrich, M.S. Screening for Cervical Cancer with High-Risk Human Papillomavirus Testing: Updated Evidence Report and Systematic Review for the US Preventive Services Task Force. JAMA 2018, 320, 687. [Google Scholar]
- Najib, F.S.; Hashemi, M.; Shiravani, Z.; Poordast, T.; Sharifi, S.; Askary, E. Diagnostic Accuracy of Cervical Pap Smear and Colposcopy in Detecting Premalignant and Malignant Lesions of Cervix. Indian J. Surg. Oncol. 2020, 11, 453–458. [Google Scholar] [PubMed]
- Perkins, R.B.; Guido, R.S.; Castle, P.E.; Chelmow, D.; Einstein, M.H.; Garcia, F.; Huh, W.K.; Kim, J.J.; Moscicki, A.B.; Nayar, R.; et al. 2019 ASCCP Risk-Based Management Consensus Guidelines for Abnormal Cervical Cancer Screening Tests and Cancer Precursors. J. Low. Genit. Tract Dis. 2020, 24, 102. [Google Scholar]
- Egemen, D.; Cheung, L.C.; Chen, X.; Demarco, M.; Perkins, R.B.; Kinney, W.; Poitras, N.; Befano, B.; Locke, A.; Guido, R.S.; et al. Risk Estimates Supporting the 2019 ASCCP Risk-Based Management Consensus Guidelines. J. Low. Genit. Tract Dis. 2020, 24, 132. [Google Scholar]
- Petousis, S.; Christidis, P.; Margioula-Siarkou, C.; Sparangis, N.; Athanasiadis, A.; Kalogiannidis, I. Discrepancy between colposcopy, punch biopsy and final histology of cone specimen: A prospective study. Arch. Gynecol. Obstet. 2018, 297, 1271–1275. [Google Scholar] [PubMed]
- Qin, D.; Bai, A.; Xue, P.; Seery, S.; Wang, J.; Mendez, M.J.G.; Li, Q.; Jiang, Y.; Qiao, Y. Colposcopic accuracy in diagnosing squamous intraepithelial lesions: A systematic review and meta-analysis of the International Federation of Cervical Pathology and Colposcopy 2011 terminology. BMC Cancer 2023, 23, 187. [Google Scholar]
- Brown, B.H.; Tidy, J.A. The diagnostic accuracy of colposcopy—A review of research methodology and impact on the outcomes of quality assurance. Eur. J. Obstet. Gynecol. Reprod. Biol. 2019, 240, 182–186. [Google Scholar] [CrossRef]
- Underwood, M.; Arbyn, M.; Parry-Smith, W.; De Bellis-Ayres, S.; Todd, R.; Redman, C.W.E.; Moss, E.L. Accuracy of colposcopy-directed punch biopsies: A systematic review and meta-analysis. BJOG Int. J. Obstet. Gynaecol. 2012, 119, 1293. [Google Scholar] [CrossRef]
- Bekkers, R.L.; van de Nieuwenhof, H.P.; Neesham, D.E.; Hendriks, J.H.; Tan, J.; Quinn, M.A. Does experience in colposcopy improve identification of high grade abnormalities? Eur. J. Obstet. Gynecol. Reprod. Biol. 2008, 141, 75–78. [Google Scholar] [CrossRef]
- Massad, L.S.; Jeronimo, J.; Katki, H.A.; Schiffman, M. National Institutes of Health/American Society for Colposcopy and Cervical Pathology Research Group. The accuracy of colposcopic grading for detection of high-grade cervical intraepithelial neoplasia. J. Low. Genit. Tract Dis. 2019, 13, 137–144. [Google Scholar]
- Ferraioli, G.; Wong, V.W.; Castera, L.; Berzigotti, A.; Sporea, I.; Dietrich, C.F.; Choi, B.I.; Wilson, S.R.; Kudo, M.; Barr, R.G. Liver ultrasound elastography: An update to the world federation for ultrasound in medicine and biology guidelines and recommendations. Ultrasound Med. Biol. 2018, 44, 2419–2440. [Google Scholar] [PubMed]
- Faruk, T.; Islam, M.K.; Arefin, S.; Haq, M.Z. The Journey of Elastography: Background, Current Status, and Future Possibilities in Breast Cancer Diagnosis. Clin. Breast Cancer 2015, 15, 313–324. [Google Scholar] [CrossRef]
- Castro, L.; García-Mejido, J.A.; Arroyo, E.; Carrera, J.; Fernández-Palacín, A.; Sainz, J.A. Influence of epidemiological characteristics (age, parity and other factors) in the assessment of healthy uterine cervical stiffness evaluated through shear wave elastography as a prior step to its use in uterine cervical pathology. Arch. Gynecol. Obstet. 2020, 302, 753–762. [Google Scholar] [CrossRef]
- Sainz, J.A.; Castro, L.; Romo, J.M.; Holgado, A.; Fernández-Palacín, A.; García-Mejido, J.A. Evaluation of Pre-Malignant Lesions of the Uterine Cervix by Shear Wave Elastography: A New Diagnostic Tool. Ultrasound Med. Biol. 2021, 47, 3275–3282. [Google Scholar]
- Bouvard, V.; Wentzensen, N.; Mackie, A.; Berkhof, J.; Brotherton, J.; Giorgi-Rossi, P.; Kupets, R.; Smith, R.; Arrossi, S.; Bendahhou, K.; et al. The IARC Perspective on Cervical Cancer Screening. N. Engl. J. Med. 2021, 385, 1908–1918. [Google Scholar] [CrossRef] [PubMed]
- Fontham, E.T.H.; Wolf, A.M.D.; Church, T.R.; Etzioni, R.; Flowers, C.R.; Herzig, A.; Guerra, C.E.; Oeffinger, K.C.; Shih, Y.C.T.; Walter, L.C.; et al. Cervical cancer screening for individuals at average risk: 2020 guideline update from the American Cancer Society. CA Cancer J. Clin. 2020, 70, 321–346. [Google Scholar] [CrossRef] [PubMed]
- Dudea-Simon, M.; Dudea, S.M.; Ciortea, R.; Malutan, A.; Mihu, D. Elastography of the uterine cervix in gynecology: Normal appearance, cervical intraepithelial neoplasia and cancer. A systematic review. Med. Ultrason. 2021, 23, 74–82. [Google Scholar] [CrossRef]
- O’Hara, S.; Zelesco, M.; Sun, Z. Shear wave elastography on the uterine cervix: Technical development for the transvaginal approach. J. Ultrasound Med. 2019, 38, 1049–1060. [Google Scholar] [CrossRef]
- Lu, R.; Xiao, Y.; Liu, M.; Shi, D. Ultrasound elastography in the differential diagnosis of benign and malignant cervica lesions. J. Ultrasound Med. 2014, 33, 667–671. [Google Scholar] [CrossRef] [PubMed]
- Bakay, O.A.; Golovko, T.S. Use of elastography for cervical cancer diagnostics. Exp. Oncol. 2015, 37, 139–145. [Google Scholar] [CrossRef]
- Xie, M.; Zhang, X.; Yu, M.; Wang, W.; Hua, K. Evaluation of the Cervix After Cervical Conization by Transvaginal Elastography. J. Ultrasound Med. 2018, 37, 1109–1114. [Google Scholar] [CrossRef]
- Manchanda, S.; Vora, Z.; Sharma, R.; Hari, S.; Das, C.J.; Kumar, S.; Kachhawa, G.; Khan, M.A. Quantitative Sonoelastographic Assessment of the Normal Uterus Using Shear Wave Elastography: An Initial Experience. J. Ultrasound Med. 2019, 38, 3183–3189. [Google Scholar] [CrossRef]
- Liu, C.; Li, T.T.; Hu, Z.; Li, Y.; Cheng, X.; Zhu, Y.; Lu, M. Transvaginal Real-Time Shear Wave Elastography in the Diagnosis of Cervical Disease. J. Ultrasound Med. 2019, 38, 3173–3181. [Google Scholar] [CrossRef]
- Sun, L.T.; Ning, C.P.; Liu, Y.J.; Wang, Z.Z.; Wang, L.D.; Kong, X.C.; Tian, J.W. Is transvaginal elastography useful in pre-operative diagnosis of cervical cancer? Eur. J. Radiol. 2012, 81, e888–e892. [Google Scholar] [CrossRef]
- Zhang, Y.; Yan, Y.; Yang, Y. Study on value of ultrasonic elastography in diagnosis of clinical staging of cervical cancer and efficacy evaluation of radiotherapy. Oncol. Lett. 2019, 17, 4901–4906. [Google Scholar] [CrossRef] [PubMed]



| All (n = 82) | Low Cytological Risk (n = 22) | High Cytological Risk (n = 60) | Low Pathological Risk (n = 12) | High Pathological Risk (n = 64) | |
|---|---|---|---|---|---|
| Mean (±SD) or % | Mean (±SD) or % | Mean (±SD) or % | Mean (±SD) or % | Mean (±SD) or % | |
| Age (years) | 38.84 (±8.44) | 38 (±9) | 39 (±9) | 38 (±8) | 39 (±8) |
| Age Range (years) | |||||
| 20–34 | 27/82 (32.93%) | 11/22 (50%) | 16/60 (26.67%) | 4/12 (33.33%) | 22/64 (34.38%) |
| 35–49 | 46/82 (56.10%) | 9/22 (40.9%) | 37/60 (61.66%) | 7/12 (58.34%) | 36/64 (56.24%) |
| 50–65 | 9/82 (10.97%) | 2/22 (9.1%) | 7/60 (11.67%) | 1/12 (8.33%) | 6/64 (9.38%) |
| BMI | 23.74 (±3.52) | 23.1 (±3.2) | 23.9 (±3.5) | 22.9 (±3.8) | 24.1 (±3.2) |
| BMI > 35 | 7/82 (8.54%) | 2/22 (9.10%) | 5/60 (8.33%) | 2/12 (16.67%) | 5/64 (7.81%) |
| Smoker | 40/82 (48.78%) | 8/22 (36.36%) | 32/60 (53.33%) | 3/12 (25%) | 34/64 (53.13%) |
| Parity | |||||
| Nulliparous | 26/82 (31.71%) | 10/22 (45.45%) | 16/60 (26.67%) | 3/12 (25%) | 21/64 (32.81%) |
| Primipara | 30/82 (36.58%) | 4/22 (18.19%) | 26/60 (43.33%) | 5/12 (41.67%) | 23/64 (35.94%) |
| Multiparous | 26/82 (31.71%) | 8/22 (36.36%) | 18/60 (30%) | 4/12 (33.33%) | 20/64 (31.25%) |
| Menopausal State | 4/82 (4.88%) | 1/22 (4.55%) | 3/60 (5%) | 0 | 4/64 (6.25%) |
| All (n = 82) | Low Cytological Risk (n = 22) | High Cytological Risk (n = 60) | Low Pathological Risk (n = 12) | High Pathological Risk (n = 64) | |
|---|---|---|---|---|---|
| Mean (±SD) or % | Mean (±SD) or % | Mean (±SD) or % | Mean (±SD) or % | Mean (±SD) or % | |
| Cytology | |||||
| Normal | 6/82 (7.32%) | 6/22 (27.27%) | 5/12 (41.67%) | ||
| L-SIL | 16/82 (19.51) | 16/22 (72.73%) | 7/12 (58.33%) | ||
| H-SIL | 26/82 (31.71%) | 26/60 (43.33%) | 35/64 (54.69%) | ||
| Carcinoma | 4/82 (4.88%) | 4/60 (6.67%) | 4/64 (6.25%) | ||
| ASC-H | 11/82 (13.41%) | 11/60 (18.33%) | 10/64 (15.62%) | ||
| AGUS | 19//82 (23.17%) | 19/60 (31.66%) | 15/64 (23.44%) | ||
| Type of colposcopy | |||||
| Adequate | 78/82 (95.12%) | 20/22 (90.91%) | 57/60 (95%) | 11/12 (91.77%) | 61/64 (95.31%) |
| Inadequate | 4/82 (4.88%) | 2/22 (9.09%) | 3/60 (5%) | 1/12 (8.33%) | 3/64 (4.69%) |
| Transformation zone | |||||
| Type 1 | 35/82 (42.68%) | 10/22 (45.45%) | 25/60 (41.67%) | 6/12 (50%) | 27/64 (42.19%) |
| Type 2 | 43/82 (52.44%) | 10/22 (45.45%) | 33/60 (55%) | 5/12 (41.67%) | 34/64 (53.13%) |
| Type 3 | 4/82 (4.88%) | 2/22 (9.1%) | 2/60 (3.33%) | 1/12 (8.33%) | 3/64 (4.68%) |
| Colposcopic changes | |||||
| No changes | 4/82 (4.88%) | 4/60 (6.67%) | 1/64 (1.56%) | ||
| Minor changes | 36/82 (43.90%) | 16/22 (72.73%) | 20/60 (33.33%) | 10/12 (83.33%) | 29/64 (45.31%) |
| Major changes | 40/82 (48.78%) | 6/22 (27.27%) | 34/60 (56.67%) | 2/12 (16.67%) | 34/64 (53.13%) |
| No result | 2/82 (2.44%) | 2/60 (3.33%) | |||
| Pathological anatomy of exocervical biopsy | |||||
| Normal | 4/82 (4.88%) | 3/22 (13.64%) | 1/60 (1.67%) | 4/12 (33.33%) | |
| CIN-I | 8/82 (9.76%) | 7/22 (31.82%) | 1/60 (1.67%) | 8/12 (66.66%) | |
| CIN-II | 29/82 (35.36%) | 5/22 (22.72%) | 24/60 (40%) | 29/64 (45.31%) | |
| CIN-III | 35/82 (42.68%) | 1/22 (4.55%) | 34/60 (56.66%) | 35/64 (54.69%) | |
| No result | 6/82 (7.32%) | 6/22 (27.27%) | |||
| Endocervical biopsy | 29/82 (35.37%) | ||||
| Pathological anatomy of endocervical biopsy | |||||
| Normal | 17/82 (20.73%) | ||||
| CIN-I | 1/82 (1.22%) | ||||
| CIN-II | 1/82 (1.22%) | ||||
| CIN-III | 6/82 (7.32%) | ||||
| No result | 4/82 (4.88%) |
| SonoElastoColposcopy (SEC) | |||
|---|---|---|---|
| Normal. Mean (±SD) | Dysplastic Lesion. Mean (±SD) | p | |
| Exocervix (kPa) | 19.98 (±9.29) | 105.42 (±36.32) | p < 0.0001 |
| Endocervix (kPa) | 18.5 (±9.07) | 109.8 (±40.86) | p < 0.0001 |
| Location of the Lesion in Pathological Anatomy of Conization | Colposcopy | SonoElastoColposcopy (SEC) | ||
|---|---|---|---|---|
| (%) | Kappa Index | (%) | Kappa Index | |
| Without lesion (n = 6) | 1/6 (16.67%) | 0.456 (p < 0.05) | 5/6 (83.33%) | 0.815 (p < 0.05) |
| Upper left quadrant (n = 16) | 13/16 (81.25%) | 15/16 (93.75%) | ||
| Lower left quadrant (n = 3) | 3/3 (100%) | 2/3 (66.67%) | ||
| Lower right quadrant (n = 26) | 8/26 (30.77%) | 18/26 (69.23%) | ||
| Upper right quadrant (n = 13) | 7/13 (53.85%) | 12/13 (92.31%) | ||
| Various quadrants (n = 18) | 14/18 (77.78%) | 18/18 (100%) | ||
| All (n = 82) | 46/82 (56.10%) | 70/82 (85.37%) | ||
Disclaimer/Publisher’s Note: The statements, opinions and data contained in all publications are solely those of the individual author(s) and contributor(s) and not of MDPI and/or the editor(s). MDPI and/or the editor(s) disclaim responsibility for any injury to people or property resulting from any ideas, methods, instructions or products referred to in the content. |
© 2025 by the authors. Licensee MDPI, Basel, Switzerland. This article is an open access article distributed under the terms and conditions of the Creative Commons Attribution (CC BY) license (https://creativecommons.org/licenses/by/4.0/).
Share and Cite
Sainz-Bueno, J.A.; Fernández-Conde de Paz, C.; Holgado, A.; Romo, J.M.; Reyes-Sánchez, T.; Fernández-Palacín, F.; García-Mejido, J.A. SonoElastoColposcopy: A New Tool for Cervical Dysplasia Assessment. Diagnostics 2025, 15, 806. https://doi.org/10.3390/diagnostics15070806
Sainz-Bueno JA, Fernández-Conde de Paz C, Holgado A, Romo JM, Reyes-Sánchez T, Fernández-Palacín F, García-Mejido JA. SonoElastoColposcopy: A New Tool for Cervical Dysplasia Assessment. Diagnostics. 2025; 15(7):806. https://doi.org/10.3390/diagnostics15070806
Chicago/Turabian StyleSainz-Bueno, José Antonio, Cristina Fernández-Conde de Paz, Ainhoa Holgado, José María Romo, Teresa Reyes-Sánchez, Fernando Fernández-Palacín, and José Antonio García-Mejido. 2025. "SonoElastoColposcopy: A New Tool for Cervical Dysplasia Assessment" Diagnostics 15, no. 7: 806. https://doi.org/10.3390/diagnostics15070806
APA StyleSainz-Bueno, J. A., Fernández-Conde de Paz, C., Holgado, A., Romo, J. M., Reyes-Sánchez, T., Fernández-Palacín, F., & García-Mejido, J. A. (2025). SonoElastoColposcopy: A New Tool for Cervical Dysplasia Assessment. Diagnostics, 15(7), 806. https://doi.org/10.3390/diagnostics15070806

