A Silent Threat: Internal Carotid Artery Hypoplasia and Its Role in Basilar Artery Aneurysm Formation—A Case Study
Abstract
1. Introduction
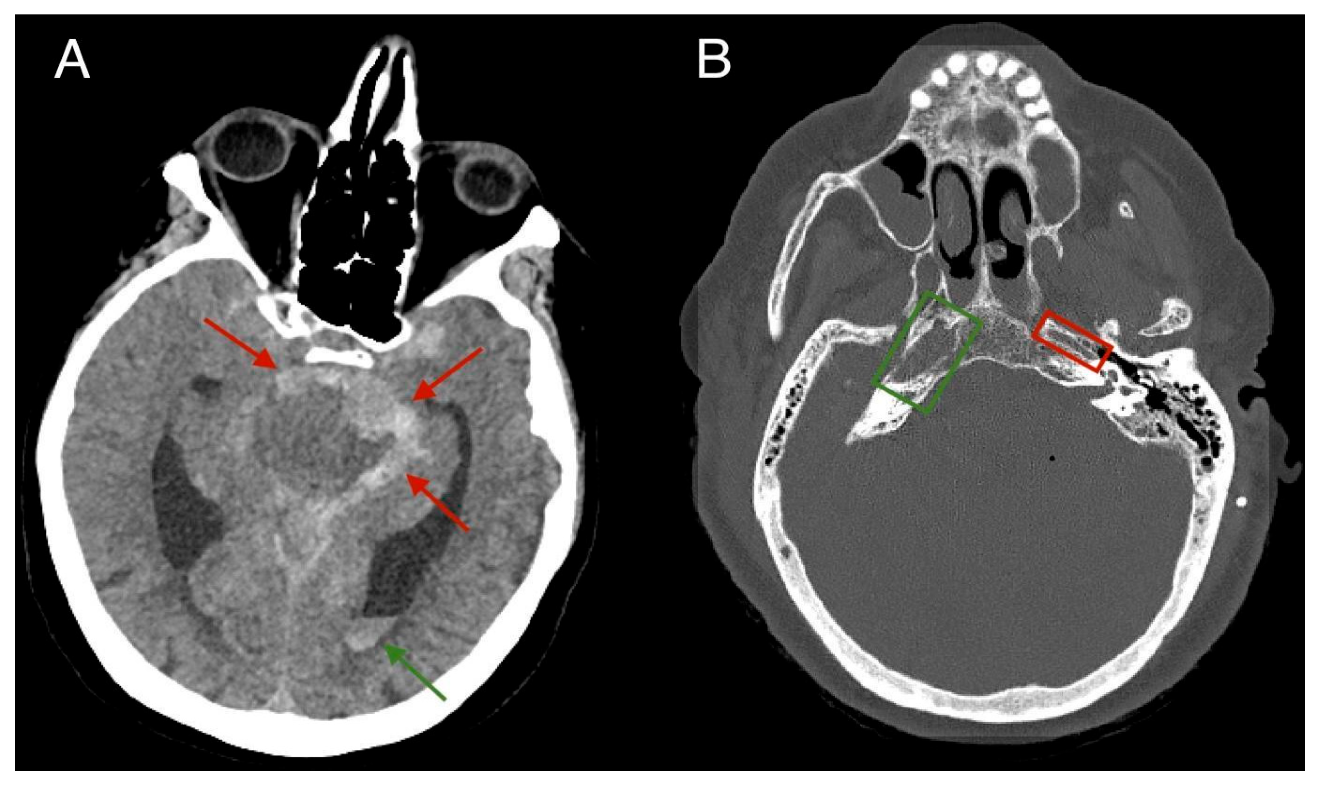
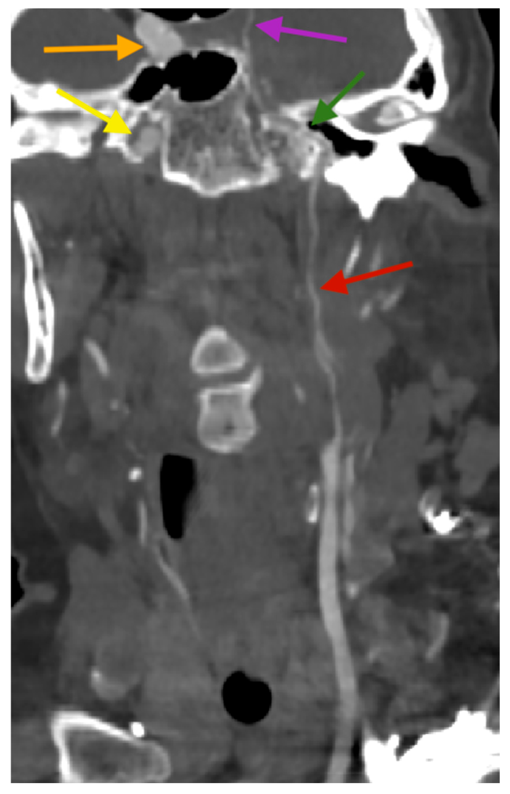
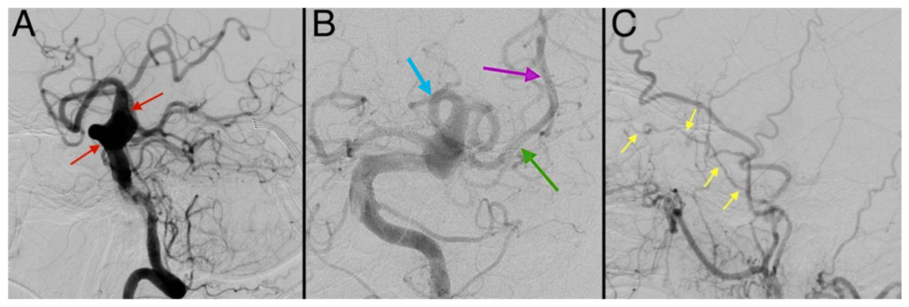
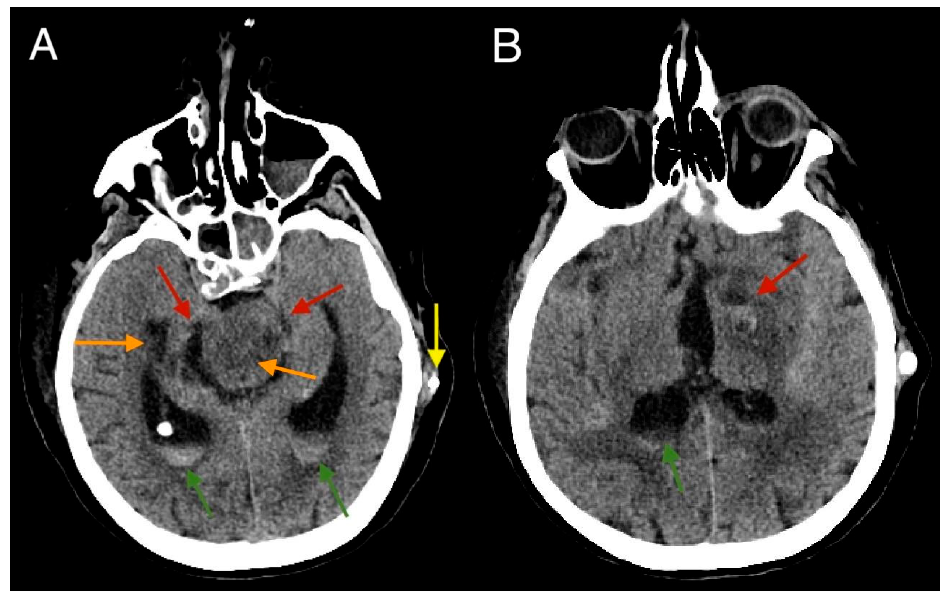
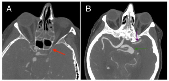
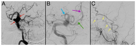
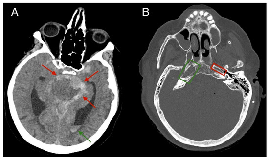
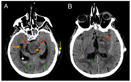
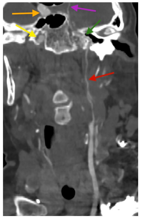
2. Case Report
3. Discussion
4. Conclusions
Author Contributions
Funding
Institutional Review Board Statement
Informed Consent Statement
Data Availability Statement
Conflicts of Interest
References
- Osborn, R.E.; Mojtahedi, S.; Hay, T.C.; Dewitt, J.D. Internal carotid artery hypoplasia. Comput. Radiol. 1986, 10, 283–287. [Google Scholar] [CrossRef] [PubMed]
- Afifi, A.K.; Godersky, J.C.; Menezes, A.; Smoker, W.R.; Bell, W.E.; Jacoby, C.G. Cerebral Hemiatrophy, Hypoplasia of Internal Carotid Artery, and Intracranial Aneurysm. A Rare Association Occurring in an Infant. Arch. Neurol. 1987, 44, 232–235. [Google Scholar] [CrossRef] [PubMed]
- Mujagić, S.; Kozić, D.; Huseinagić, H.; Smajlović, D. Symmetry, asymmetry and hypoplasia of the intracranial internal carotid artery on magnetic resonance angiography. Acta Med. Acad. 2016, 45, 1–9. [Google Scholar] [CrossRef] [PubMed]
- Lee, J.-H.; Oh, C.W.; Lee, S.H.; Han, D.H. Aplasia of the internal carotid artery. Acta Neurochir. 2003, 45, 117–125. [Google Scholar] [CrossRef]
- Given, C.A., II; Huang-Hellinger, F.; Baker, M.D.; Chepuri, N.B.; Morris, P.P. Congenital absence of the internal carotid artery: Case reports and review of the collateral circulation. AJNR Am. J. Neuroradiol. 2001, 22, 1953–1959. [Google Scholar]
- Claros, P.; Bandos, R.; Gilea, I.; Clarós Jr, A.; Capdevila, A.; Rodríguez, J.G.; Clarós, A. Major congenital anomalies of the internal carotid artery: Agenesis, aplasia and hypoplasia. Int. J. Pediatr. Otorhinolaryngol. 1999, 49, 69–76. [Google Scholar] [CrossRef]
- Taşar, M.; Yetişer, S.; Taşar, A.; Uğurel, S.; Gönül, E.; Sağlam, M. Congenital absence or hypoplasia of the carotid artery: Radioclinical issues. Am. J. Otolaryngol. 2004, 25, 339–349. [Google Scholar] [CrossRef]
- Zink, W.E.; Komotar, R.J.; Meyers, P.M. Internal Carotid Aplasia/Hypoplasia and Intracranial Saccular Aneurysms: Series of Three New Cases and Systematic Review of the Literature. J. Neuroimaging 2007, 17, 141–147. [Google Scholar] [CrossRef]
- Czarnecki, E.J.; Silbergleit, R.; Mehta, B.A.; Sanders, W.P. Absence of the supraclinoid internal carotid artery in association with intracranial aneurysms. Neuroradiology 1998, 40, 11–14. [Google Scholar] [CrossRef]
- Cohen, J.E.; Gomori, J.M.; Leker, R.R. Internal carotid artery agenesis: Diagnosis, clinical spectrum, associated conditions and its importance in the era of stroke interventions. Neurol. Res. 2010, 32, 1027–1032. [Google Scholar] [CrossRef]
- Nicoletti, G.; Sanguigni, S.; Bruno, F.; Tardi, S.; Malferrari, G. Hypoplasia of the internal carotid artery: Collateral circulation and ultrasonographic findings. A case report. J. Ultrasound. 2009, 12, 41–44. [Google Scholar] [CrossRef] [PubMed]
- Karhunen, V.; Bakker, M.K.; Ruigrok, Y.M.; Gill, D.; Larsson, S.C. Modifiable risk factors for intracranial aneurysm and aneurysmal subarachnoid hemorrhage: A Mendelian randomization study. J. Am. Heart Assoc. 2021, 10, e022277. [Google Scholar] [CrossRef] [PubMed]
- Etminan, N.; Rinkel, G.J. Unruptured intracranial aneurysms: Development, rupture, and preventive management. Nat. Rev. Neurol. 2016, 12, 699–713. [Google Scholar] [CrossRef] [PubMed]
- Bohm, L.A.; Zhou, T.C.; Mingo, T.J.; Dugan, S.L.; Patterson, R.J.; Sidman, J.D.; Roby, B.B. Neuroradiographic findings in 22q11.2 deletion syndrome. Am. J. Med. Genet. A 2017, 173, 2158–2165. [Google Scholar] [CrossRef]
- Omarjee, L.; Fortrat, J.-O.; Larralde, A.; Le Pabic, E.; Kauffenstein, G.; Laot, M.; Navasiolava, N.; Mention, P.-J.; Carrillo Linares, J.L.; Valdivielso, P.; et al. Internal Carotid Artery Hypoplasia: A New Clinical Feature in Pseudoxanthoma Elasticum. J. Stroke. 2019, 21, 108–111. [Google Scholar] [CrossRef]
- Wali, A.R.; Santiago-Dieppa, D.R.; Steinberg, J.A.; Alattar, A.; Cheung, V.J.; Modir, R.; Khalessi, A.A.; Pannell, J.S. Hypoplastic Internal Carotid Artery Co-Presenting with Neurofibromatosis and Intracranial Masses. Cureus 2016, 8, e750. [Google Scholar] [CrossRef]
- Midkiff, R.B.; Boykin, M.W.; McFarland, D.R.; Bauman, J.A. Agenesis of the internal carotid artery with intercavernous anastomosis. AJNR. Am. J. Neuroradiol. 1995, 16, 1356–1359. [Google Scholar]
- Türk, Y.; Küskün, A. Hypoplastic internal carotid artery ending as an ophthalmic artery with multiple cerebral aneurysms, fenestrated Acom and triple A2. BMJ Case Rep. 2021, 14, e243520. [Google Scholar] [CrossRef]
- Lie, T.A.; Hage, J. Congenital anomalies of the carotid arteries. Plast. Reconstr. Surg. 1968, 42, 283. [Google Scholar]
- Zhang, Z.; Liu, Z.; Liu, Z. Imaging Classification of Internal Carotid Artery Hypoplasia Based on Distal Ophthalmic Segment Occlusion. J. Stroke Cerebrovasc. Dis. 2019, 28, 104304. [Google Scholar] [CrossRef]
- Siddiqui, A.; Sobani, Z.A. Bilateral hypoplasia of the internal carotid artery, presenting as a subarachnoid hemorrhage secondary to intracranial aneurysmal formation: A case report. J. Med. Case Rep. 2012, 6, 45. [Google Scholar] [CrossRef] [PubMed]
- Zhang, Z.-Y.; Sato, S.; Liu, L.; Xue, S.; Liu, Z.-J.; Tian, Z.-H.; Liu, W.; Toyoda, K.; Jiao, J.-S. Congenital Hypoplasia of Bilateral Internal Carotid Artery with Migraine-Like Headache with Aura. Chin. Med. J. 2015, 128, 421–422. [Google Scholar] [CrossRef] [PubMed]
- Hou, D.; Mei, Y.; Ji, Y.; Wu, H.; Zhang, H.; Sun, Z.; Li, W.; Li, B.; Ren, C.; Guan, L.; et al. Congenital internal carotid artery hypoplasia. Medicine 2019, 98, e13986. [Google Scholar] [CrossRef]
- Dawson, A.G.; Wilson, A.; Maskova, J.; Murray, A.D.; Reid, J.M.; Kuhan, G. Hypoplastic internal carotid artery stenosis with a low-lying carotid bifurcation causing cerebral ischemia. J. Vasc. Surg. 2012, 56, 1416–1418. [Google Scholar] [CrossRef] [PubMed]
- Paşaoğlu, L.; Toprak, U.; Akdal, B.; Yagiz, G.; Acar, D.; Gurel, F. Unilateral Hypoplasia of the Internal Carotid Artery. Int. J. Med. Pharm. Case Rep. 2015, 3, 132–137. [Google Scholar] [CrossRef]
- Gupta, B.; Yadav, R.; Singhal, M.; Kadam, N.; Gehlot, K.B.; Singh, R. A rare case report of bilateral internal carotid artery hypoplasia in postpartum female: Clinical spectrum and role of various modalities in diagnosis. Brain Circ. 2016, 2, 99–103. [Google Scholar] [CrossRef]
- Whitley, H.; Zazay, A.; Skalický, P.; Malík, J.; Charvát, F.; Beneš, V.; Bradáč, O. Congenital internal carotid artery hypoplasia: A systematic review. Neuroradiol. J. 2022, 36, 5–16. [Google Scholar] [CrossRef]
- Quint, D.J.; Silbergleit, R.; Young, W.C. Absence of the carotid canals at skull base CT. Radiology 1992, 182, 477–481. [Google Scholar] [CrossRef]
- Chen, P.-Y.; Liu, H.-Y.; Lim, K.-E.; Lin, S.-K. Internal Carotid Artery Hypoplasia: Role of Color-Coded Carotid Duplex Sonography. J. Ultrasound Med. 2015, 34, 1839–1851. [Google Scholar] [CrossRef]
- Watanabe, A.; Omata, T.; Koizumi, H.; Nakano, S.; Takeuchi, N.; Kinouchi, H. Bony carotid canal hypoplasia in patients with moyamoya disease. J. Neurosurg. Pediatr. 2010, 5, 591–594. [Google Scholar] [CrossRef]
- Ide, C.; De Coene, B.; Mailleux, P.; Baudrez, V.; Ossemann, M.; Trigaux, J.P. Hypoplasia of the internal carotid artery: A noninvasive diagnosis. Eur. Radiol. 2000, 10, 1865–1870. [Google Scholar] [CrossRef] [PubMed]
- Olin, J.W.; Gornik, H.L.; Bacharach, J.M.; Biller, J.; Fine, L.J.; Gray, B.H.; Gray, W.A.; Gupta, R.; Hamburg, N.M.; Katzen, B.T.; et al. Fibromuscular Dysplasia: State of the Science and Critical Unanswered Questions: A Scientific Statement from the American Heart Association. Circulation 2014, 129, 1048–1078. [Google Scholar] [CrossRef] [PubMed]
- Guillon, B.; Lévy, C.; Bousser, M.-G. Internal carotid artery dissection: An update. J. Neurol. Sci. 1998, 153, 146–158. [Google Scholar] [CrossRef] [PubMed]
- Berry, J.A.; Cortez, V.; Toor, H.; Saini, H.; Siddiqi, J. Moyamoya: An Update and Review. Cureus 2020, 12, e10994. [Google Scholar] [CrossRef]
- Georgiadi, E.; Papavasileiou, G.; Sfyroeras, G.S. Bilateral hypoplasia of the internal carotid artery and ectasia of the internal jugular vein. J. Vasc. Surg. Cases Innov. Tech. 2023, 9, 101252. [Google Scholar] [CrossRef]






Disclaimer/Publisher’s Note: The statements, opinions and data contained in all publications are solely those of the individual author(s) and contributor(s) and not of MDPI and/or the editor(s). MDPI and/or the editor(s) disclaim responsibility for any injury to people or property resulting from any ideas, methods, instructions or products referred to in the content. |
© 2025 by the authors. Licensee MDPI, Basel, Switzerland. This article is an open access article distributed under the terms and conditions of the Creative Commons Attribution (CC BY) license (https://creativecommons.org/licenses/by/4.0/).
Share and Cite
Mežvinska, P.; Brokāns, A.; Pavlovičs, S.; Dravnieks, M.; Platkājis, A.; Balodis, A. A Silent Threat: Internal Carotid Artery Hypoplasia and Its Role in Basilar Artery Aneurysm Formation—A Case Study. Diagnostics 2025, 15, 774. https://doi.org/10.3390/diagnostics15060774
Mežvinska P, Brokāns A, Pavlovičs S, Dravnieks M, Platkājis A, Balodis A. A Silent Threat: Internal Carotid Artery Hypoplasia and Its Role in Basilar Artery Aneurysm Formation—A Case Study. Diagnostics. 2025; 15(6):774. https://doi.org/10.3390/diagnostics15060774
Chicago/Turabian StyleMežvinska, Paula, Artis Brokāns, Sergejs Pavlovičs, Matīss Dravnieks, Ardis Platkājis, and Arturs Balodis. 2025. "A Silent Threat: Internal Carotid Artery Hypoplasia and Its Role in Basilar Artery Aneurysm Formation—A Case Study" Diagnostics 15, no. 6: 774. https://doi.org/10.3390/diagnostics15060774
APA StyleMežvinska, P., Brokāns, A., Pavlovičs, S., Dravnieks, M., Platkājis, A., & Balodis, A. (2025). A Silent Threat: Internal Carotid Artery Hypoplasia and Its Role in Basilar Artery Aneurysm Formation—A Case Study. Diagnostics, 15(6), 774. https://doi.org/10.3390/diagnostics15060774

