Characterization of Syphilitic Chorioretinitis as a White Dot Syndrome with Multimodal Imaging: Case Series
Abstract
1. Introduction
2. Materials and Methods
3. Results
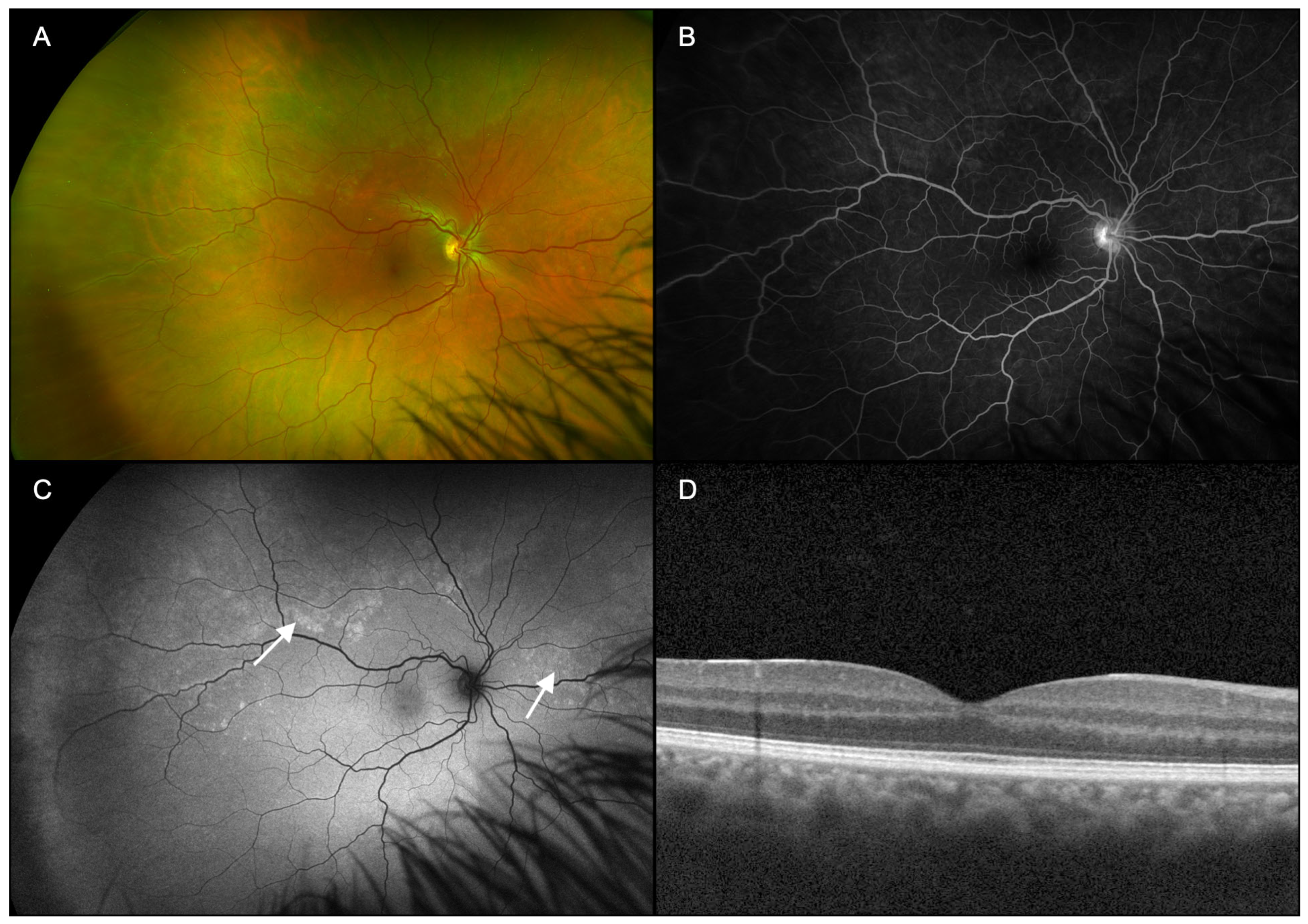
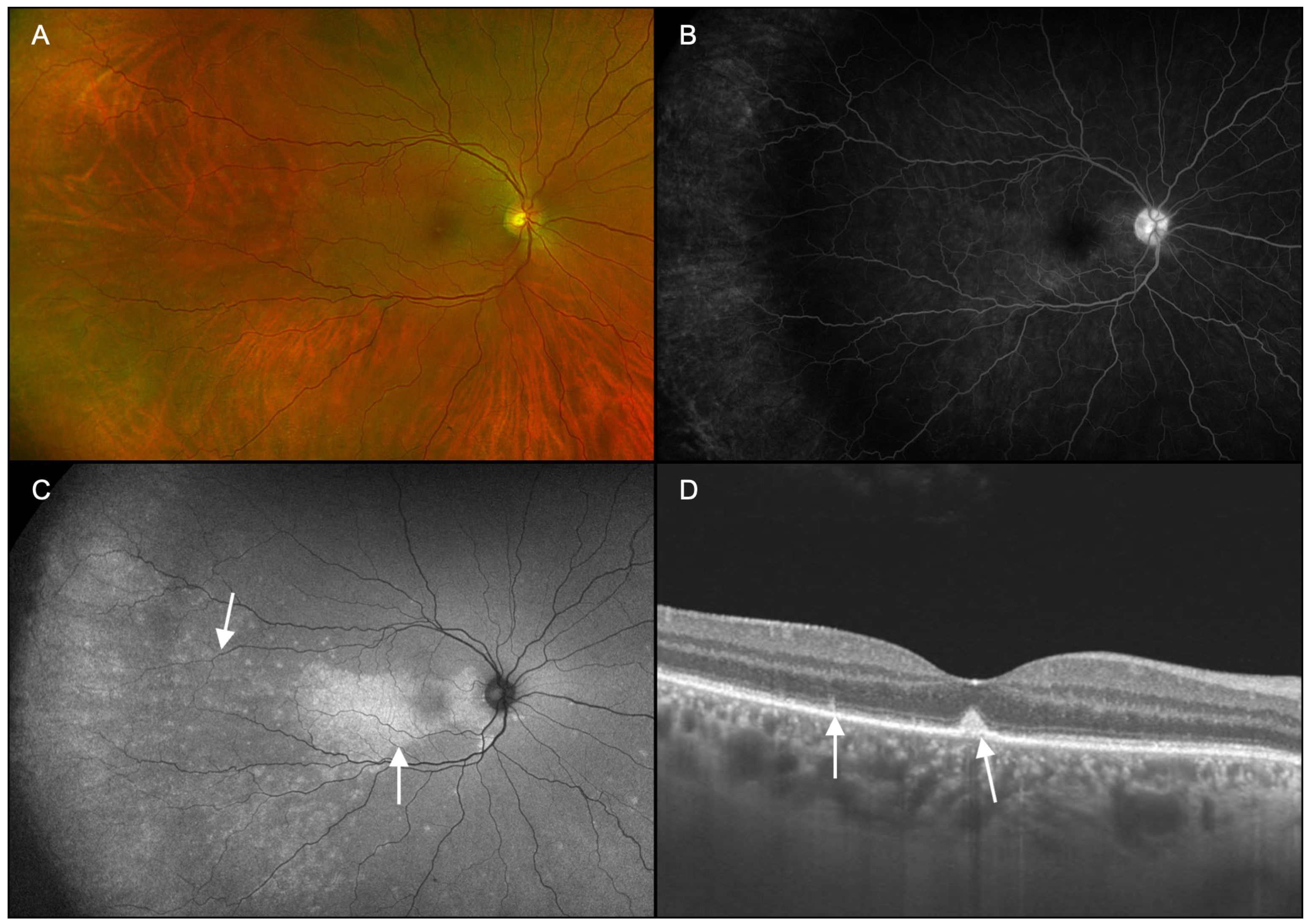
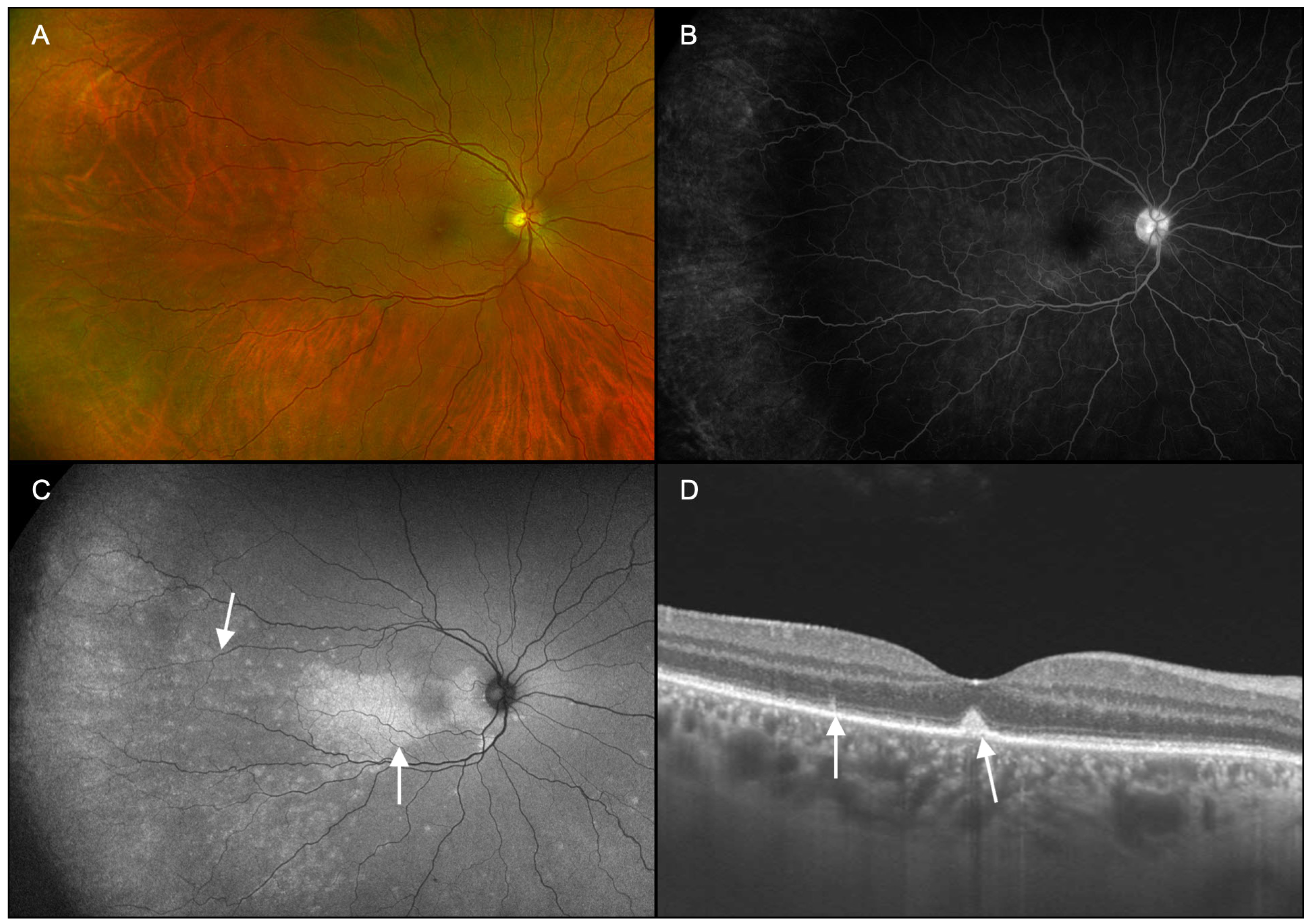
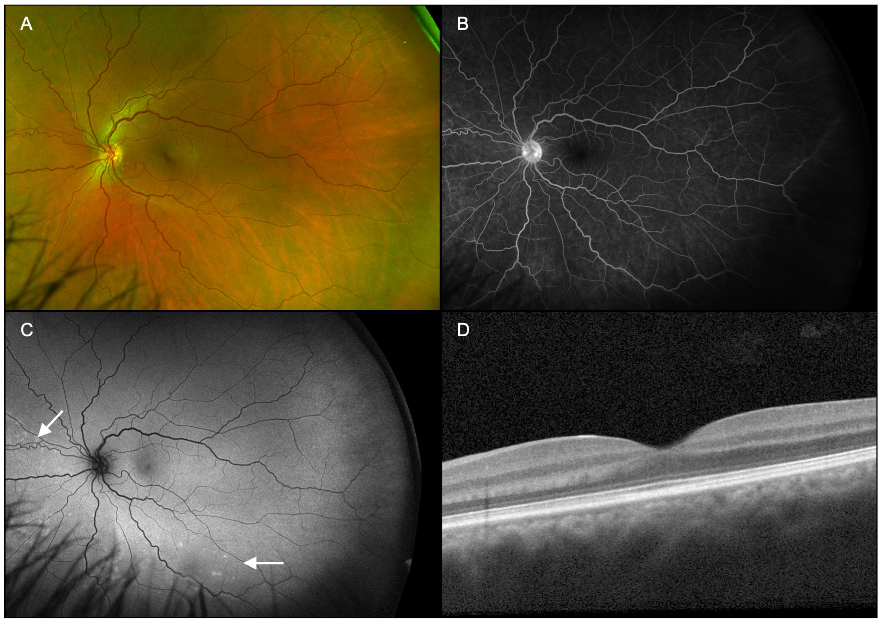
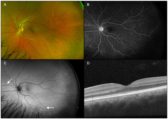
3.1. Case 1


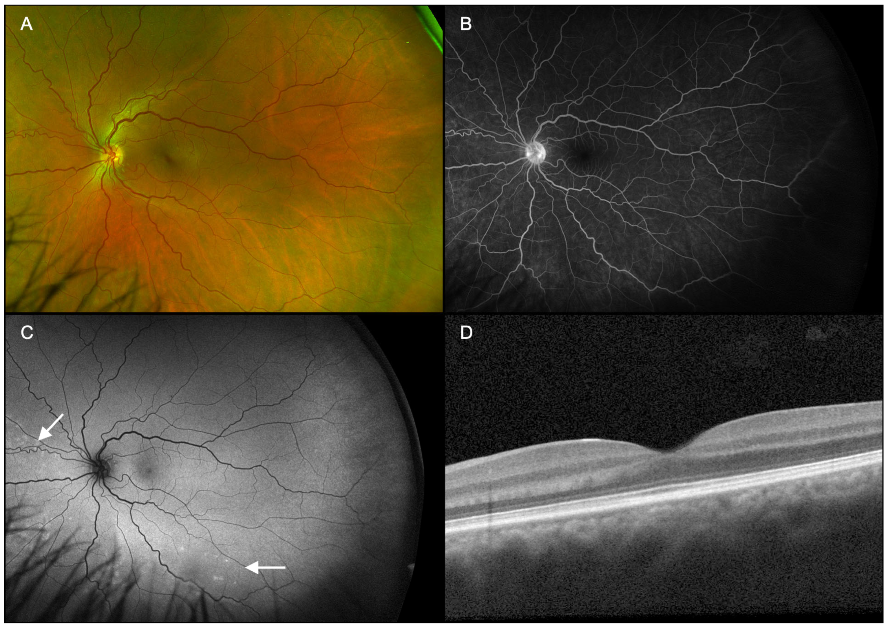
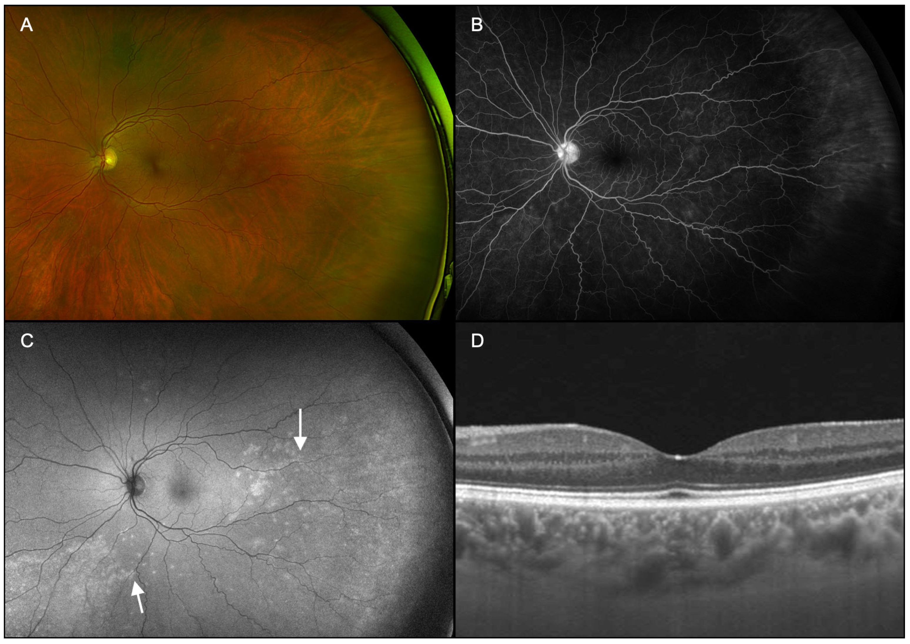
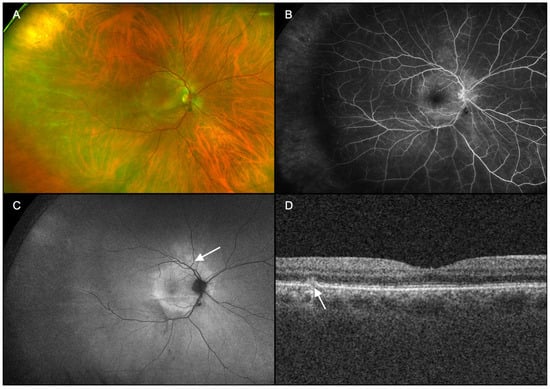
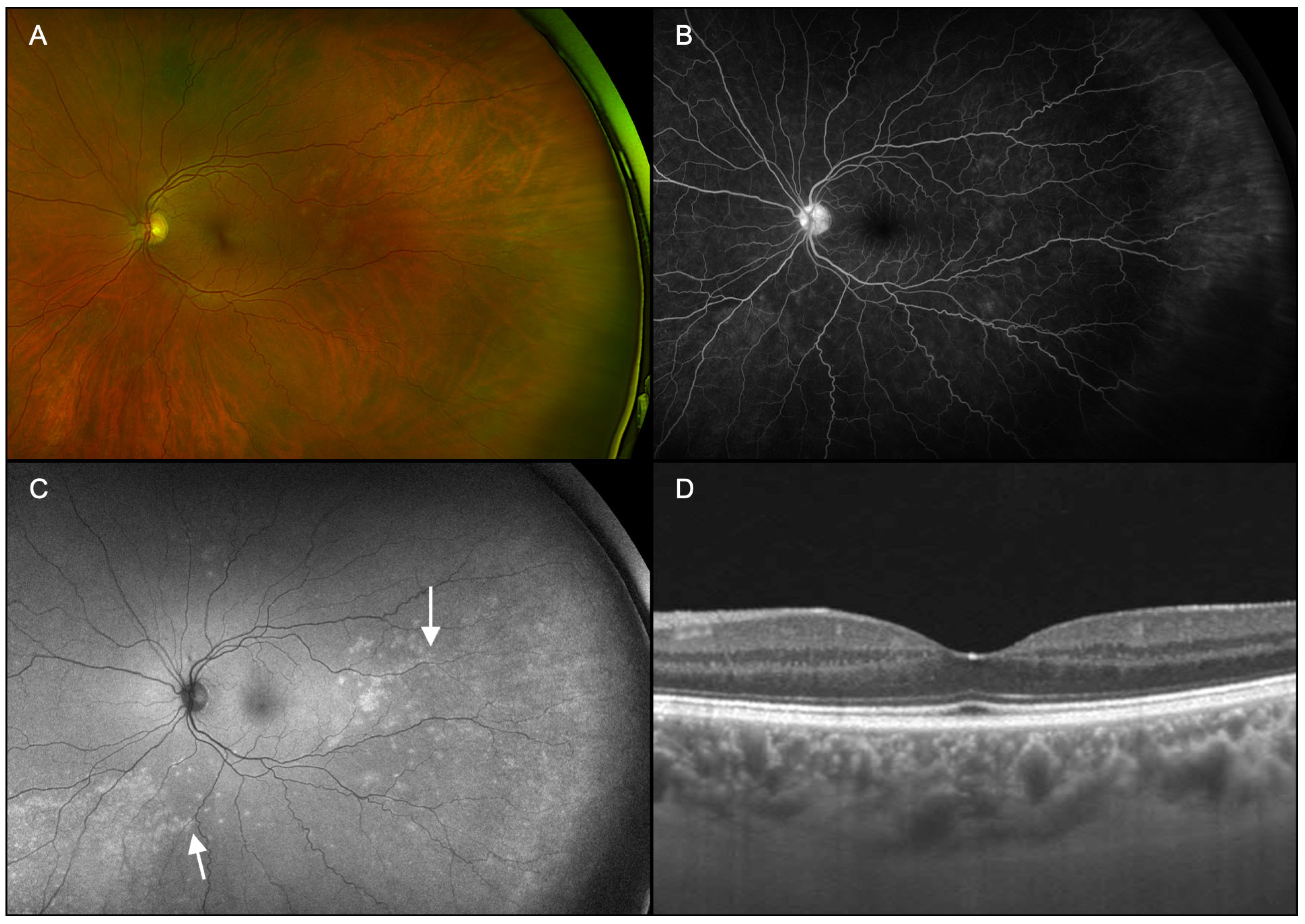
3.2. Case 2


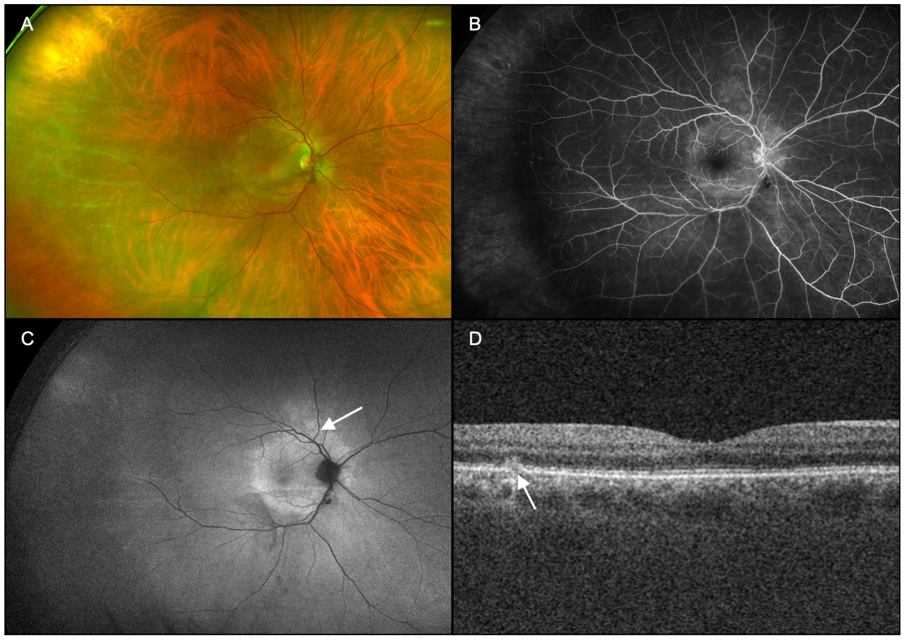
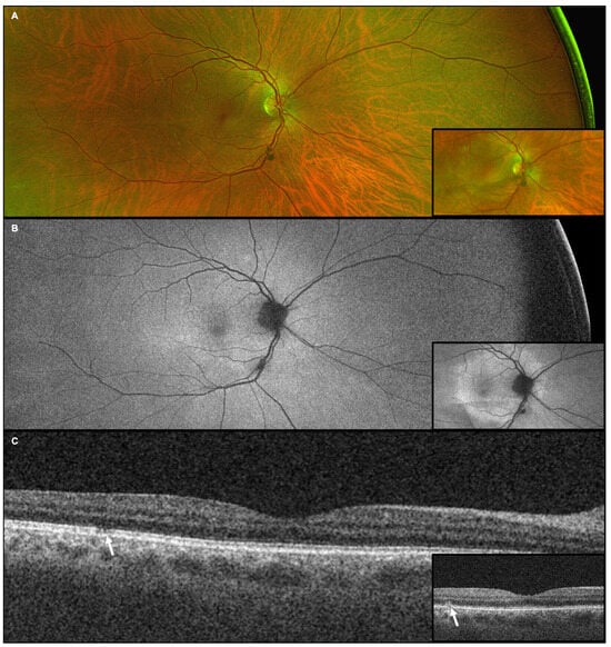
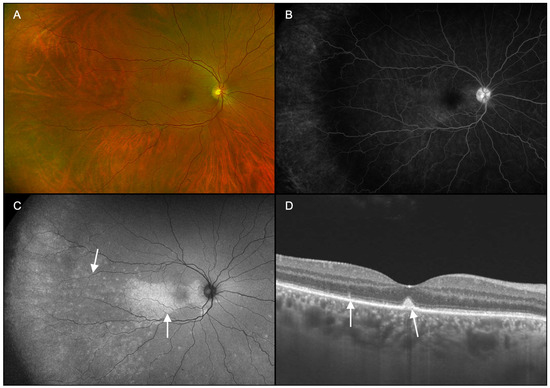
3.3. Case 3


4. Discussion
5. Conclusions
Author Contributions
Funding
Institutional Review Board Statement
Informed Consent Statement
Data Availability Statement
Conflicts of Interest
Abbreviations
| UWFAF | directory of open access journals |
| OCT | optical coherence tomography |
| IVFA | intravenous fluorescein angiography |
| CFP | ultra-widefield pseudocolor fundus photography |
| MEWDS | multiple wvanescent white dot syndrome |
| ARPE | acute retinal pigment epitheliitis |
| APMPPE | acute posterior multifocal placoid pigment epitheliopathy |
| MCP | multifocal choroiditis and panuveitis |
| AZOOR | acute sonal occult outer retinopathy |
| PIC | punctate inner choroidopathy |
References
- Hook, E.W. Syphilis. Lancet Lond. Engl. 2017, 389, 1550–1557. [Google Scholar] [CrossRef] [PubMed]
- Witmer, M.T.; Kiss, S. Wide-Field Imaging of the Retina. Surv. Ophthalmol. 2013, 58, 143–154. [Google Scholar] [CrossRef] [PubMed]
- Harvey, J.; Lee, I.J.; Lee, C.S.; Hinkle, D. Ocular Syphilis on the Rise: A 10-Year Analysis from 2010 to 2020. Int. Ophthalmol. 2023, 43, 4419–4426. [Google Scholar] [CrossRef] [PubMed]
- Mandavilli, A. Infants Are Born with Syphilis in Growing Numbers, a Sign of a Wider Epidemic. The New York Times, 7 November 2023. [Google Scholar]
- Mir, T.A.; Kim, S.J.; Fang, W.; Harvey, J.; Hinkle, D.M. Rising Incidence of Syphilitic Uveitis-Related Hospitalizations in the US. JAMA Ophthalmol. 2023, 142, e235386. [Google Scholar] [CrossRef] [PubMed]
- Fonollosa, A.; Giralt, J.; Pelegrín, L.; Sánchez-Dalmau, B.; Segura, A.; García-Arumí, J.; Adan, A. Ocular Syphilis—Back Again: Understanding Recent Increases in the Incidence of Ocular Syphilitic Disease. Ocul. Immunol. Inflamm. 2009, 17, 207–212. [Google Scholar] [CrossRef]
- Buchacz, K.; Patel, P.; Taylor, M.; Kerndt, P.R.; Byers, R.H.; Holmberg, S.D.; Klausner, J.D. Syphilis Increases HIV Viral Load and Decreases CD4 Cell Counts in HIV-Infected Patients with New Syphilis Infections. AIDS Lond. Engl. 2004, 18, 2075–2079. [Google Scholar] [CrossRef]
- Sexually Transmitted Disease Surveillance 2016; U.S Department of Health and Human Services, Centers for Disease Control and Prevention, National Center for HIV/AIDS, Viral Hepatitis, STD, and TB Prevention, Division of STD Prevention: Atlanta, GA, USA, 2016. Available online: https://www.cdc.gov/std/stats16/CDC_2016_STDS_Report-for508WebSep21_2017_1644.pdf (accessed on 31 January 2025).
- Lima, L.H.; de Andrade, G.C.; Vianello, S.; Zett, C.; Farah, M.E.; Belfort, R. Multimodal Imaging Analyses of Hyperreflective Dot-like Lesions in Acute Syphilitic Posterior Placoid Chorioretinopathy. J. Ophthalmic Inflamm. Infect. 2017, 7, 1. [Google Scholar] [CrossRef]
- de Souza, E.C.; Jalkh, A.E.; Trempe, C.L.; Cunha, S.; Schepens, C.L. Unusual Central Chorioretinitis as the First Manifestation of Early Secondary Syphilis. Am. J. Ophthalmol. 1988, 105, 271–276. [Google Scholar] [CrossRef]
- Zamani, M.; Garfinkel, R.A. Corticosteroid-Induced Modulation of Acute Syphilitic Posterior Placoid Chorioretinitis. Am. J. Ophthalmol. 2003, 135, 891–894. [Google Scholar] [CrossRef]
- Gass, J.D.; Braunstein, R.A.; Chenoweth, R.G. Acute Syphilitic Posterior Placoid Chorioretinitis. Ophthalmology 1990, 97, 1288–1297. [Google Scholar] [CrossRef]
- Thangamathesvaran, L.; Priluck, A.Z.; Burkholder, B.M.; Breazzano, M.P.; Cai, S. Negative Treponemal Serologies in Syphilitic Panuveitis. JAMA Ophthalmol. 2025, 143, 82–83. [Google Scholar] [CrossRef] [PubMed]
- Lima, B.R.; Mandelcorn, E.D.; Bakshi, N.; Nussenblatt, R.B.; Sen, H.N. Syphilitic Outer Retinopathy. Ocul. Immunol. Inflamm. 2014, 22, 4–8. [Google Scholar] [CrossRef] [PubMed]
- Amaral, C.; Joy, L.; Jimenez, H.; Cruz-Inñigo, Y.J.; Ulloa-Padilla, J.P.; Oliver, A.L. Syphilitic Outer Retinopathy: A Case Report and Review of the Literature. J. Vitreoretin. Dis. 2021, 6, 63–70. [Google Scholar] [CrossRef] [PubMed]
- Gupta, V.; Al-Dhibi, H.A.; Arevalo, J.F. Retinal Imaging in Uveitis. Saudi J. Ophthalmol. Off. J. Saudi Ophthalmol. Soc. 2014, 28, 95–103. [Google Scholar] [CrossRef]
- Dutta Majumder, P.; Chen, E.J.; Shah, J.; Ching Wen Ho, D.; Biswas, J.; See Yin, L.; Gupta, V.; Pavesio, C.; Agrawal, R. Ocular Syphilis: An Update. Ocul. Immunol. Inflamm. 2019, 27, 117–125. [Google Scholar] [CrossRef]
- Shoughy, S.S.; Arevalo, J.F.; Kozak, I. Update on Wide- and Ultra-Widefield Retinal Imaging. Indian J. Ophthalmol. 2015, 63, 575–581. [Google Scholar] [CrossRef]
- Kumar, V.; Surve, A.; Kumawat, D.; Takkar, B.; Azad, S.; Chawla, R.; Shroff, D.; Arora, A.; Singh, R.; Venkatesh, P. Ultra-Wide Field Retinal Imaging: A Wider Clinical Perspective. Indian J. Ophthalmol. 2021, 69, 824–835. [Google Scholar] [CrossRef]
- Belenje, A.; Reddy, R.U.; Optom, B.; Agarwal, K.; Parmeswarappa, D.C.; Jalali, S. Non-Contact Widefield Neonatal Retinal Imaging for Retinopathy of Prematurity Using the Clarus 700 High Resolution True Colour Reflectance Imaging. Eye Lond. Engl. 2023, 37, 1904–1909. [Google Scholar] [CrossRef]
- Fantaguzzi, F.; Servillo, A.; Sacconi, R.; Tombolini, B.; Bandello, F.; Querques, G. Comparison of Peripheral Extension, Acquisition Time, and Image Chromaticity of Optos, Clarus, and EIDON Systems. Graefe’s Arch. Clin. Exp. Ophthalmol. 2023, 261, 1289–1297. [Google Scholar] [CrossRef]
- Matsumoto, Y.; Spaide, R.F. Autofluorescence Imaging of Acute Syphilitic Posterior Placoid Chorioretinitis. Retin. Cases Brief Rep. 2007, 1, 123–127. [Google Scholar] [CrossRef]
- Pichi, F.; Neri, P. Multimodal Imaging Patterns of Posterior Syphilitic Uveitis: A Review of the Literature, Laboratory Evaluation and Treatment. Int. Ophthalmol. 2020, 40, 1319–1329. [Google Scholar] [CrossRef] [PubMed]
- Tsui, E.; Gal-Or, O.; Ghadiali, Q.; Freund, K.B. MULTIMODAL IMAGING ADDS NEW INSIGHTS INTO ACUTE SYPHILITIC POSTERIOR PLACOID CHORIORETINITIS. Retin. Cases Brief Rep. 2018, 12, S3–S8. [Google Scholar] [CrossRef] [PubMed]
- Villaret, J.; Errera, M.-H.; Sahel, J.-A.; Gaudric, A.; Mrejen, S.; Paques, M. Indocyanine Green Angiography Features in Acute Syphilitic Posterior Placoid Chorioretinitis. Am. J. Ophthalmol. 2022, 241, 40–46. [Google Scholar] [CrossRef] [PubMed]
- Quillen, D.A.; Davis, J.B.; Gottlieb, J.L.; Blodi, B.A.; Callanan, D.G.; Chang, T.S.; Equi, R.A. The White Dot Syndromes. Am. J. Ophthalmol. 2004, 137, 538–550. [Google Scholar] [CrossRef]
- Crawford, C.M.; Igboeli, O. A Review of the Inflammatory Chorioretinopathies: The White Dot Syndromes. ISRN Inflamm. 2013, 2013, 783190. [Google Scholar] [CrossRef]
- Jampol, L.M.; Sieving, P.A.; Pugh, D.; Fishman, G.A.; Gilbert, H. Multiple Evanescent White Dot Syndrome. I. Clinical Findings. Arch. Ophthalmol. 1984, 102, 671–674. [Google Scholar] [CrossRef]
- Torjani, A.; Shahlaee, A. Acute Syphilitic Outer Retinopathy Masquerading as Atypical White Dot Syndrome. Ophthalmology 2023, 130, 273. [Google Scholar] [CrossRef]
- Hussnain, S.A.; Gal-Or, O.; Daccache, A.; Klausner, J.D.; Yannuzzi, L. Multimodal Imaging of Atypical Acute Syphilitic Posterior Placoid Chorioretinitis Mimicking a White Dot Syndrome. Ophthalmic Surg. Lasers Imaging Retin. 2019, 50, e52–e55. [Google Scholar] [CrossRef]
- Balaskas, K.; Sergentanis, T.N.; Giulieri, S.; Guex-Crosier, Y. Fluorescein and Indocyanine-Green Angiography in Ocular Syphilis: An Exploratory Study. Graefe’s Arch. Clin. Exp. Ophthalmol. 2012, 250, 721–730. [Google Scholar] [CrossRef]
- Pichi, F.; Ciardella, A.P.; Cunningham, E.T.; Morara, M.; Veronese, C.; Jumper, J.M.; Albini, T.A.; Sarraf, D.; McCannel, C.; Voleti, V.; et al. Spectral Domain Optical Coherence Tomography Findings in Patients with Acute Syphilitic Posterior Placoid Chorioretinopathy. Retina 2014, 34, 373–384. [Google Scholar] [CrossRef]
- Kim, J.A.; Park, K.H.; Woo, S.J. A Case of Syphilitic Outer Retinitis Mimicking Acute Zonal Occult Outer Retinopathy. Korean J. Ophthalmol. 2014, 28, 497–499. [Google Scholar] [CrossRef] [PubMed]
- Breazzano, M.P.; Yannuzzi, L.A.; Sorenson, J.A. Multiple Evanescent White Dot Syndrome. In Albert and Jakobiec’s Principles and Practice of Ophthalmology; Albert, D.M., Miller, J.W., Azar, D.T., Young, L.H., Eds.; Springer International Publishing: Cham, Switzerland, 2022; pp. 4193–4208. ISBN 978-3-030-42634-7. [Google Scholar]
- Fiore, T.; Iaccheri, B.; Androudi, S.; Papadaki, T.G.; Anzaar, F.; Brazitikos, P.; D’Amico, D.J.; Foster, C.S. Acute Posterior Multifocal Placoid Pigment Epitheliopathy: Outcome and Visual Prognosis. Retina 2009, 29, 994–1001. [Google Scholar] [CrossRef] [PubMed]
- Leung, T.G.; Moradi, A.; Liu, D.; Nguyen, Q.D.; Dunn, J.P.; Burkholder, B.; Butler, N.J.; Ostheimer, T.; Thorne, J.E. Clinical Features and Incidence Rate of Ocular Complications in Punctate Inner Choroidopathy. Retina 2014, 34, 1666–1674. [Google Scholar] [CrossRef] [PubMed]
- Thomas, B.J.; Albini, T.A.; Flynn, H.W. Multiple Evanescent White Dot Syndrome: Multimodal Imaging and Correlation with Proposed Pathophysiology. Ophthalmic Surg. Lasers Imaging Retin. 2013, 44, 584–587. [Google Scholar] [CrossRef]
- Hangai, M.; Fujimoto, M.; Yoshimura, N. Features and Function of Multiple Evanescent White Dot Syndrome. Arch. Ophthalmol. 2009, 127, 1307–1313. [Google Scholar] [CrossRef]
- Monson, D.M.; Smith, J.R. Acute Zonal Occult Outer Retinopathy. Surv. Ophthalmol. 2011, 56, 23–35. [Google Scholar] [CrossRef]
- Russell, J.F.; Pichi, F.; Scott, N.L.; Hartley, M.J.; Bell, D.; Agarwal, A.; Leong, B.; Holland, G.N.; Freund, K.B.; Sarraf, D. Masqueraders of Multiple Evanescent White Dot Syndrome (MEWDS). Int. Ophthalmol. 2020, 40, 627–638. [Google Scholar] [CrossRef]
- Knecht, P.B.; Papadia, M.; Herbort, C.P. Secondary Choriocapillaritis in Infectious Chorioretinitis. Acta Ophthalmol. 2013, 91, e550–e555. [Google Scholar] [CrossRef]
- Eandi, C.M.; Neri, P.; Adelman, R.A.; Yannuzzi, L.A.; Cunningham, E.T. International Syphilis Study Group Acute Syphilitic Posterior Placoid Chorioretinitis: Report of a Case Series and Comprehensive Review of the Literature. Retina 2012, 32, 1915–1941. [Google Scholar] [CrossRef]
- Freund, K.B.; Mrejen, S.; Jung, J.; Yannuzzi, L.A.; Boon, C.J.F. Increased Fundus Autofluorescence Related to Outer Retinal Disruption. JAMA Ophthalmol. 2013, 131, 1645–1649. [Google Scholar] [CrossRef]
- Mirzania, D.; Zacks, D.N.; Zhou, Y.; Huvard, M.J. Clinical Characteristics and Visual Outcomes of Acute Syphilitic Posterior Placoid Chorioretinopathy. Ophthalmol. Retina 2023, 7, 1080–1086. [Google Scholar] [CrossRef]
- Thorne, J.E.; Wittenberg, S.; Jabs, D.A.; Peters, G.B.; Reed, T.L.; Kedhar, S.R.; Dunn, J.P. Multifocal Choroiditis with Panuveitis Incidence of Ocular Complications and of Loss of Visual Acuity. Ophthalmology 2006, 113, 2310–2316. [Google Scholar] [CrossRef]
Disclaimer/Publisher’s Note: The statements, opinions and data contained in all publications are solely those of the individual author(s) and contributor(s) and not of MDPI and/or the editor(s). MDPI and/or the editor(s) disclaim responsibility for any injury to people or property resulting from any ideas, methods, instructions or products referred to in the content. |
© 2025 by the authors. Licensee MDPI, Basel, Switzerland. This article is an open access article distributed under the terms and conditions of the Creative Commons Attribution (CC BY) license (https://creativecommons.org/licenses/by/4.0/).
Share and Cite
Contento, R.J.; Gupta, N.; Breazzano, M.P. Characterization of Syphilitic Chorioretinitis as a White Dot Syndrome with Multimodal Imaging: Case Series. Diagnostics 2025, 15, 369. https://doi.org/10.3390/diagnostics15030369
Contento RJ, Gupta N, Breazzano MP. Characterization of Syphilitic Chorioretinitis as a White Dot Syndrome with Multimodal Imaging: Case Series. Diagnostics. 2025; 15(3):369. https://doi.org/10.3390/diagnostics15030369
Chicago/Turabian StyleContento, Robert J., Neha Gupta, and Mark P. Breazzano. 2025. "Characterization of Syphilitic Chorioretinitis as a White Dot Syndrome with Multimodal Imaging: Case Series" Diagnostics 15, no. 3: 369. https://doi.org/10.3390/diagnostics15030369
APA StyleContento, R. J., Gupta, N., & Breazzano, M. P. (2025). Characterization of Syphilitic Chorioretinitis as a White Dot Syndrome with Multimodal Imaging: Case Series. Diagnostics, 15(3), 369. https://doi.org/10.3390/diagnostics15030369

