The Dynamic Evolution of Eosinophilic Esophagitis
Abstract
1. Introduction
2. Definition and Historical Context of Eosinophilic Esophagitis
3. Epidemiology
4. Pathophysiology of Eosinophilic Esophagitis
4.1. Immune System and Inflammatory Response
4.2. Epithelial Barrier Dysfunction
4.3. Role of Genetics
4.4. Environmental Triggers and Allergens
4.5. Mechanisms of Esophageal Damage and Remodeling
5. Clinical Presentation and Diagnosis
5.1. Diagnostic Approach
5.2. Endoscopic Features
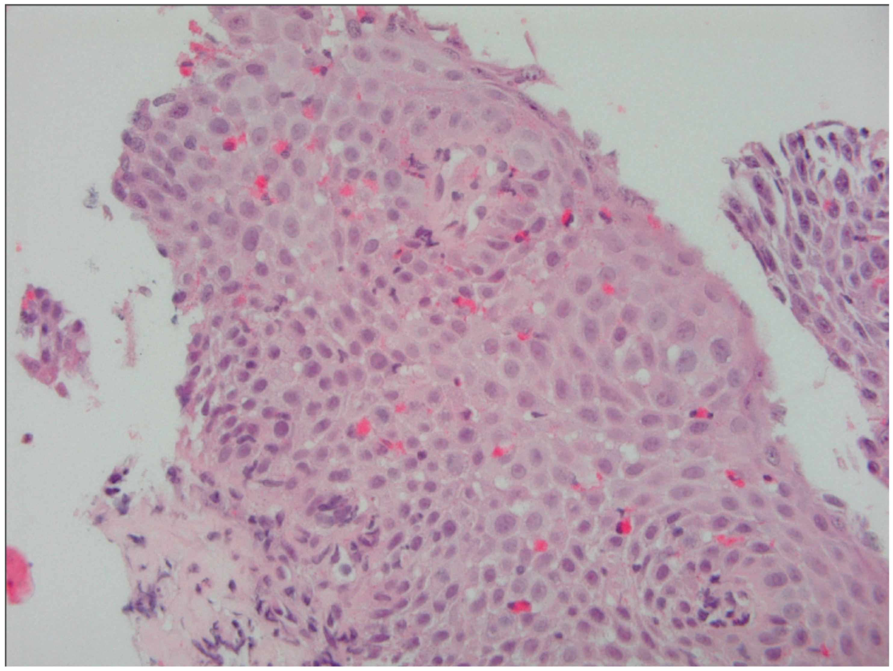
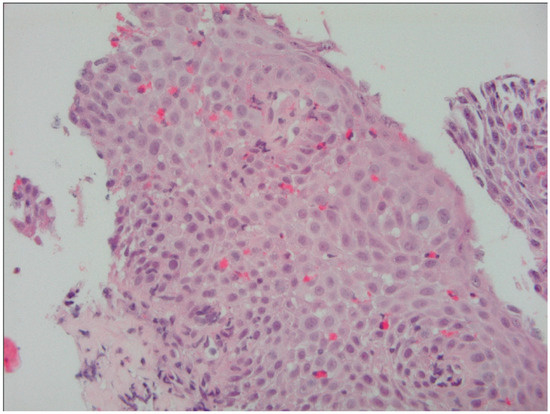
5.3. Histological Evaluation
5.4. The Role of Manometry in EoE
5.5. Emerging Diagnostic Tools
5.6. Differentiating EoE from GERD
6. Management
6.1. Dietary Modifications and Elimination Diets
6.2. Pharmacological Treatments
6.3. Endoscopic Dilation
6.4. Novel and Emerging Therapies
6.4.1. IL-5 Antagonists
6.4.2. IL-13 Inhibitors
6.4.3. TSLP and JAK Inhibitors
6.5. Long-Term Assessment
7. Conclusions
Author Contributions
Funding
Institutional Review Board Statement
Informed Consent Statement
Data Availability Statement
Conflicts of Interest
References
- de Bortoli, N.; Penagini, R.; Savarino, E.; Marchi, S. Eosinophilic esophagitis: Update in diagnosis and management. Position paper by the Italian Society of Gastroenterology and Gastrointestinal Endoscopy (SIGE). Dig. Liver Dis. Off. J. Ital. Soc. Gastroenterol. Ital. Assoc. Study Liver 2017, 49, 254–260. [Google Scholar] [CrossRef] [PubMed]
- Dellon, E.S.; Hirano, I. Epidemiology and Natural History of Eosinophilic Esophagitis. Gastroenterology 2018, 154, 319–332.e3. [Google Scholar] [CrossRef] [PubMed]
- Dellon, E.S.; Liacouras, C.A.; Molina-Infante, J.; Furuta, G.T.; Spergel, J.M.; Zevit, N.; Spechler, S.J.; Attwood, S.E.; Straumann, A.; Aceves, S.S.; et al. Updated International Consensus Diagnostic Criteria for Eosinophilic Esophagitis: Proceedings of the AGREE Conference. Gastroenterology 2018, 155, 1022–1033.e10. [Google Scholar] [CrossRef] [PubMed]
- Hirano, I.; Furuta, G.T. Approaches and challenges to management of pediatric and adult patients with eosinophilic esophagitis. Gastroenterology 2020, 158, 840–851. [Google Scholar] [CrossRef] [PubMed]
- Attwood, S.E.A.; Smyrk, T.C.; Demeester, T.R.; Jones, J.B. Esophageal eosinophilia with dysphagia. A distinct clinicopathologic syndrome. Dig. Dis. Sci. 1993, 38, 109–116. [Google Scholar] [CrossRef]
- Lucendo, A.J.; Molina-Infante, J. Emerging therapeutic strategies for eosinophilic esophagitis. Curr. Treat. Options Gastroenterol. 2014, 12, 1–17. [Google Scholar] [CrossRef]
- Rothenberg, M.E. Eosinophilic gastrointestinal disorders (EGID). J. Allergy Clin. Immunol. 2004, 113, 11–28. [Google Scholar] [CrossRef]
- Kia, L.; Hirano, I. Distinguishing GERD from eosinophilic oesophagitis: Concepts and controversies. Nat. Rev. Gastroenterol. Hepatol. 2015, 12, 379–386. [Google Scholar] [CrossRef]
- Spergel, J.M.; Beausoleil, J.L.; Mascarenhas, M.; Liacouras, C.A. The use of skin prick tests and patch tests to identify causative foods in eosinophilic esophagitis. J. Allergy Clin. Immunol. 2002, 109, 363–368. [Google Scholar] [CrossRef]
- Sherrill, J.D.; Kc, K.; Wu, D.; Djukic, Z.; Caldwell, J.M.; Stucke, E.M.; Kemme, K.A.; Costello, M.S.; Mingler, M.K.; Blanchard, C.; et al. Desmoglein-1 regulates esophageal epithelial barrier function and immune responses in eosinophilic esophagitis. Mucosal Immunol. 2013, 7, 718–729. [Google Scholar] [CrossRef]
- Muir, A.; Falk, G.W. Eosinophilic Esophagitis: A Review. JAMA 2021, 326, 1310–1318. [Google Scholar] [CrossRef] [PubMed]
- Blanchard, C.; Wang, N.; Stringer, K.F.; Mishra, A.; Fulkerson, P.C.; Abonia, J.P.; Jameson, S.C.; Kirby, C.; Konikoff, M.R.; Collins, M.H.; et al. Eotaxin-3 and a uniquely conserved gene-expression profile in eosinophilic esophagitis. J. Clin. Investig. 2006, 116, 536–547. [Google Scholar] [CrossRef] [PubMed]
- Martin, L.J.; He, H.; Collins, M.H.; Abonia, J.; Myers, J.M.B.; Eby, M.; Johansson, H.; Kottyan, L.C.; Hershey, G.K.K.; Rothenberg, M.E. Eosinophilic esophagitis (EoE) genetic susceptibility is mediated by synergistic interactions between EoE-specific and general atopic disease loci. J. Allergy Clin. Immunol. 2018, 141, 1690–1698. [Google Scholar] [CrossRef] [PubMed]
- Lucendo, A.J.; Molina-Infante, J.; Arias, Á.; Von Arnim, U.; Bredenoord, A.J.; Bussmann, C.; Dias, J.A.; Bove, M.; González-Cervera, J.; Larsson, H.; et al. Guidelines on eosinophilic esophagitis: Evidence-based statements and recommendations for diagnosis and management in children and adults. United Eur. Gastroenterol. J. 2017, 5, 335–358. [Google Scholar] [CrossRef]
- Molina-Infante, J.; Gonzalez-Cordero, P.L.; Arias, A.; Lucendo, A.J. Update on dietary therapy for eosinophilic esophagitis in children and adults. Expert Rev. Gastroenterol. Hepatol. 2017, 11, 115–123. [Google Scholar] [CrossRef]
- Chang, J.W.; Jensen, E.T. Epidemiologic and Clinical Clues to the Etiology of Eosinophilic Esophagitis. Immunol. Allergy Clin. N. Am. 2024, 44, 145–155. [Google Scholar] [CrossRef]
- Aceves, S.S.; Bastian, J.F.; Newbury, R.O.; Dohil, R. Oral viscous budesonide: A potential new therapy for eosinophilic esophagitis in children. Am. J. Gastroenterol. 2007, 102, 2271–2279. [Google Scholar] [CrossRef]
- Aceves, S.S.; Alexander, J.A.; Baron, T.H.; Bredenoord, A.J.; Day, L.; Dellon, E.S.; Falk, G.W.; Furuta, G.T.; Gonsalves, N.; Hirano, I.; et al. Endoscopic approach to eosinophilic esophagitis: American Society for Gastrointestinal Endoscopy Consensus Conference. Gastrointest. Endosc. 2022, 96, 576–592.e1. [Google Scholar] [CrossRef]
- Schoepfer, A.M.; Safroneeva, E.; Bussmann, C.; Kuchen, T.; Portmann, S.; Simon, H.; Straumann, A. Delay in diagnosis of eosinophilic esophagitis increases risk for stricture formation in a time-dependent manner. Gastroenterology 2013, 145, 1230–1232. [Google Scholar] [CrossRef]
- Liacouras, C.A.; Furuta, G.T.; Hirano, I.; Atkins, D.; Attwood, S.E.; Bonis, P.A.; Burks, A.W.; Chehade, M.; Collins, M.H.; Dellon, E.S.; et al. Eosinophilic esophagitis: Updated consensus recommendations for children and adults. J. Allergy Clin. Immunol. 2011, 128, 3–20.e6. [Google Scholar] [CrossRef]
- Furuta, G.T.; Liacouras, C.A.; Collins, M.H.; Gupta, S.K.; Justinich, C.; Putnam, P.E.; Bonis, P.; Hassall, E.; Straumann, A.; Rothenberg, M.E.; et al. Eosinophilic esophagitis in children and adults: A systematic review and consensus recommendations for diagnosis and treatment. Gastroenterology 2007, 133, 1342–1363. [Google Scholar] [CrossRef] [PubMed]
- Dellon, E.S. Eosinophilic esophagitis: Diagnostic tests and criteria. Curr. Opin. Gastroenterol. 2012, 28, 382–388. [Google Scholar] [CrossRef] [PubMed]
- Gonsalves, N.P.; Aceves, S.S. Diagnosis and treatment of eosinophilic esophagitis. J. Allergy Clin. Immunol. 2020, 145, 1–7. [Google Scholar] [CrossRef] [PubMed]
- Rothenberg, M.E. Biology and treatment of eosinophilic esophagitis. Gastroenterology 2009, 137, 1238–1249. [Google Scholar] [CrossRef]
- Kottyan, L.C.; Parameswaran, S.; Weirauch, M.T.; Rothenberg, M.E.; Martin, L.J. The genetic etiology of eosinophilic esophagitis. J. Allergy Clin. Immunol. 2020, 145, 9–15. [Google Scholar] [CrossRef]
- Hahn, J.W.; Lee, K.; Shin, J.I.; Cho, S.H.; Turner, S.; Shin, J.U.; Yeniova, A.; Koyanagi, A.; Jacob, L.; Smith, L.; et al. Global Incidence and Prevalence of Eosinophilic Esophagitis, 1976–2022: A Systematic Review and Meta-analysis. Clin. Gastroenterol. Hepatol. Off. Clin. Pract. J. Am. Gastroenterol. Assoc. 2023, 21, 3270–3284.e77. [Google Scholar] [CrossRef]
- de Bortoli, N.; Visaggi, P.; Penagini, R.; Annibale, B.; Svizzero, F.B.; Barbara, G.; Bartolo, O.; Battaglia, E.; Di Sabatino, A.; De Angelis, P.; et al. The 1st EoETALY Consensus on the Diagnosis and Management of Eosinophilic Esophagitis—Definition, Clinical Presentation and Diagnosis. Dig. Liver Dis. Off. J. Ital. Soc. Gastroenterol. Ital. Assoc. Study Liver 2024, 56, 951–963. [Google Scholar] [CrossRef]
- Furuta, G.T. Eosinophilic esophagitis in children and adults. Gastroenterol. Hepatol. 2008, 4, 775–777. [Google Scholar]
- Arias, Á.; Pérez-Martínez, I.; Tenías, J.M.; Lucendo, A.J. Systematic review with meta-analysis: The incidence and prevalence of eosinophilic oesophagitis in children and adults in population-based studies. Aliment. Pharmacol. Ther. 2016, 43, 3–15. [Google Scholar] [CrossRef]
- Kinoshita, Y.; Ishimura, N.; Oshima, N.; Ishihara, S. Systematic review: Eosinophilic esophagitis in Asian countries. World J. Gastroenterol. 2015, 21, 8433–8440. [Google Scholar] [CrossRef]
- Simon, D.; Wardlaw, A.; Rothenberg, M.E. Organ-specific eosinophilic disorders of the skin, lung, and gastrointestinal tract. J. Allergy Clin. Immunol. 2010, 126, 3–5. [Google Scholar] [CrossRef]
- Underwood, B.; Troutman, T.D.; Schwartz, J.T. Breaking down the complex pathophysiology of eosinophilic esophagitis. Ann. Allergy Asthma Immunol. 2022, 130, 28–39. [Google Scholar] [CrossRef] [PubMed]
- Ryu, S.; Lee, K.H.; Tizaoui, K.; Terrazzino, S.; Cargnin, S.; Effenberger, M.; Shin, J.I.; Kronbichler, A. Pathogenesis of Eosinophilic Esophagitis: A Comprehensive Review of the Genetic and Molecular Aspects. Int. J. Mol. Sci. 2020, 21, 725. [Google Scholar] [CrossRef] [PubMed]
- Massimino, L.; Barchi, A.; Mandarino, F.V.; Spanò, S.; Lamparelli, L.A.; Vespa, E.; Passaretti, S.; Peyrin-Biroulet, L.; Savarino, E.V.; Jairath, V.; et al. A multi-omic analysis reveals the esophageal dysbiosis as the predominant trait of eosinophilic esophagitis. J. Transl. Med. 2023, 21, 46. [Google Scholar] [CrossRef] [PubMed]
- Facchin, S.; Calgaro, M.; Pandolfo, M.; Caldart, F.; Ghisa, M.; Greco, E.; Sattin, E.; Valle, G.; Dellon, E.S.; Vitulo, N.; et al. Salivary microbiota composition may discriminate between patients with eosinophilic oesophagitis (EoE) and non-EoE subjects. Aliment. Pharmacol. Ther. 2022, 56, 450–462. [Google Scholar] [CrossRef]
- Visaggi, P.; Solinas, I.; Svizzero, F.B.; Bottari, A.; Barberio, B.; Lorenzon, G.; Ghisa, M.; Maniero, D.; Marabotto, E.; Bellini, M.; et al. Non-Invasive and Minimally Invasive Biomarkers for the Management of Eosinophilic Esophagitis beyond Peak Eosinophil Counts: Filling the Gap in Clinical Practice. Diagnostics 2023, 13, 2806. [Google Scholar] [CrossRef]
- Sperry, S.L.W.; Crockett, S.D.; Miller, C.B.; Shaheen, N.J.; Dellon, E.S. Esophageal foreign-body impactions: Epidemiology, time trends, and the impact of the increasing prevalence of eosinophilic esophagitis. Gastrointest. Endosc. 2011, 74, 985–991. [Google Scholar] [CrossRef]
- Ahmed, M. Eosinophilic esophagitis in adults: An update. World J. Gastrointest. Pharmacol. Ther. 2016, 7, 207–213. [Google Scholar] [CrossRef]
- Barchi, A.; Vespa, E.; Passaretti, S.; Dell’anna, G.; Fasulo, E.; Yacoub, M.-R.; Albarello, L.; Sinagra, E.; Massimino, L.; Ungaro, F.; et al. The Dual Lens of Endoscopy and Histology in the Diagnosis and Management of Eosinophilic Gastrointestinal Disorders-A Comprehensive Review. Diagnostics 2024, 14, 858. [Google Scholar] [CrossRef]
- de Bortoli, N.; Visaggi, P.; Penagini, R.; Annibale, B.; Svizzero, F.B.; Barbara, G.; Bartolo, O.; Battaglia, E.; Di Sabatino, A.; De Angelis, P.; et al. The 1st EoETALY Consensus on the Diagnosis and Management of Eosinophilic Esophagitis—Current Treatment and Monitoring. Dig. Liver Dis. Off. J. Ital. Soc. Gastroenterol. Ital. Assoc. Study Liver 2024, 56, 1173–1184. [Google Scholar] [CrossRef]
- Hirano, I.; Chan, E.S.; Rank, M.A.; Sharaf, R.N.; Stollman, N.H.; Stukus, D.R.; Wang, K.; Greenhawt, M.; Falck-Ytter, Y.T.; Chachu, K.A.; et al. AGA institute and the joint task force on allergy-immunology practice parameters clinical guidelines for the management of eosinophilic esophagitis. Ann. Allergy, Asthma Immunol. Off. Publ. Am. Coll. Allergy Asthma Immunol. 2020, 124, 416–423. [Google Scholar] [CrossRef]
- Greuter, T.; Straumann, A. Medical algorithm: Diagnosis and treatment of eosinophilic esophagitis in adults. Allergy 2020, 75, 727–730. [Google Scholar] [CrossRef]
- Dellon, E.S.; Cotton, C.C.; Gebhart, J.H.; Higgins, L.L.; Beitia, R.; Woosley, J.T.; Shaheen, N.J. Accuracy of the Eosinophilic Esophagitis Endoscopic Reference Score in Diagnosis and Determining Response to Treatment. Clin. Gastroenterol. Hepatol. Off. Clin. Pract. J. Am. Gastroenterol. Assoc. 2016, 14, 31–39. [Google Scholar] [CrossRef] [PubMed]
- Sykes, C.M.; Fairlamb, G.M.; Fox, M.M.; Sweis, R. Assessment of Esophageal Motility in Patients With Eosinophilic Esophagitis: A Scoping Review. J. Clin. Gastroenterol. 2023, 57, 10–30. [Google Scholar] [CrossRef] [PubMed]
- Visaggi, P.; Ghisa, M.; Barberio, B.; Marabotto, E.; de Bortoli, N.; Savarino, E. Systematic Review: Esophageal motility patterns in patients with eosinophilic esophagitis. Dig. Liver Dis. Off. J. Ital. Soc. Gastroenterol. Ital. Assoc. Study Liver 2022, 54, 1143–1152. [Google Scholar] [CrossRef] [PubMed]
- Ghisa, M.; Laserra, G.; Marabotto, E.; Ziola, S.; Tolone, S.; de Bortoli, N.; Frazzoni, M.; Mauro, A.; Penagini, R.; Savarino, V.; et al. Achalasia and Obstructive Motor Disorders Are Not Uncommon in Patients With Eosinophilic Esophagitis. Clin. Gastroenterol. Hepatol. Off. Clin. Pract. J. Am. Gastroenterol. Assoc. 2021, 19, 1554–1563. [Google Scholar] [CrossRef]
- Nennstiel, S.; Bajbouj, M.; Becker, V.; Slotta-Huspenina, J.; Wagenpfeil, S.; Schmid, R.M.; Schlag, C. High-resolution manometry in patients with eosinophilic esophagitis under topical steroid therapy-a prospective observational study (HIMEOS-study). Neurogastroenterol. Motil. 2016, 28, 599–607. [Google Scholar] [CrossRef]
- Frazzoni, M.; Frazzoni, L.; De Bortoli, N.; Russo, S.; Tolone, S.; Arsiè, E.; Conigliaro, R.; Penagini, R.; Savarino, E. Response of eosinophilic oesophagitis to proton pump inhibitors is associated with impedance-pH parameters implying anti-reflux mechanism of action. Aliment. Pharmacol. Ther. 2021, 53, 1183–1189. [Google Scholar] [CrossRef]
- Frazzoni, M.; Penagini, R.; Frazzoni, L.; de Bortoli, N.; Mauro, A.; Tolone, S.; Bertani, H.; Marsico, M.; Marocchi, M.; Marchi, S.; et al. Role of Reflux in the Pathogenesis of Eosinophilic Esophagitis: Comprehensive Appraisal With Off- and On PPI Impedance-pH Monitoring. Am. J. Gastroenterol. 2019, 114, 1606–1613. [Google Scholar] [CrossRef]
- Visaggi, P.; Ghisa, M.; Barberio, B.; Maniero, D.; Greco, E.; Savarino, V.; Black, C.J.; Ford, A.C.; de Bortoli, N.; Savarino, E. Treatment Trends for Eosinophilic Esophagitis and the Other Eosinophilic Gastrointestinal Diseases: Systematic Review of Clinical Trials. Dig. Liver Dis. Off. J. Ital. Soc. Gastroenterol. Ital. Assoc. Study Liver 2023, 55, 208–222. [Google Scholar] [CrossRef]
- Visaggi, P.; Savarino, E.; Del Corso, G.; Hunter, H.; Svizzero, F.B.; Till, S.J.; Dunn, J.; Wong, T.; de Bortoli, N.; Zeki, S. Six-Food Elimination Diet Is Less Effective During Pollen Season in Adults With Eosinophilic Esophagitis Sensitized to Pollens. Am. J. Gastroenterol. 2023, 118, 1957–1962. [Google Scholar] [CrossRef] [PubMed]
- Lucendo, A.J.; Arias, Á.; González-Cervera, J.; Yagüe-Compadre, J.L.; Guagnozzi, D.; Angueira, T.; Jiménez-Contreras, S.; González-Castillo, S.; Rodríguez-Domíngez, B.; De Rezende, L.C.; et al. Empiric 6-food elimination diet induced and maintained prolonged remission in patients with adult eosinophilic esophagitis: A prospective study on the food cause of the disease. J. Allergy Clin. Immunol. 2013, 131, 797–804. [Google Scholar] [CrossRef]
- Feo-Ortega, S.; Lucendo, A.J. Evidence-based treatments for eosinophilic esophagitis: Insights for the clinician. Therap. Adv. Gastroenterol. 2022, 15, 17562848211068664. [Google Scholar] [CrossRef]
- Kagalwalla, A.F.; Sentongo, T.A.; Ritz, S.; Hess, T.; Nelson, S.P.; Emerick, K.M.; Melin–Aldana, H.; Li, B. Effect of six-food elimination diet on clinical and histologic outcomes in eosinophilic esophagitis. Clin. Gastroenterol. Hepatol. Off. Clin. Pract. J. Am. Gastroenterol. Assoc. 2006, 4, 1097–1102. [Google Scholar] [CrossRef] [PubMed]
- Javir-Molina, I. Nutrition in eosinophilic esophagitis: Considerations for dietitians. Curr. Gastroenterol. Rep. 2021, 23, 1–12. [Google Scholar]
- Kagalwalla, A.F.; Wechsler, J.B.; Amsden, K.; Schwartz, S.; Makhija, M.; Olive, A.; Davis, C.M.; Manuel-Rubio, M.; Marcus, S.; Shaykin, R.; et al. Efficacy of a 4-Food Elimination Diet for Children With Eosinophilic Esophagitis. Clin. Gastroenterol. Hepatol. Off. Clin. Pract. J. Am. Gastroenterol. Assoc. 2017, 15, 1698–1707.e7. [Google Scholar] [CrossRef]
- Kliewer, K.L.; Gonsalves, N.; Dellon, E.S.; Katzka, D.A.; Abonia, J.P.; Aceves, S.S.; Arva, N.C.; Besse, J.A.; Bonis, P.A.; Caldwell, J.M.; et al. One-food versus six-food elimination diet therapy for the treatment of eosinophilic oesophagitis: A multicentre, randomised, open-label trial. Lancet Gastroenterol. Hepatol. 2023, 8, 408–421. [Google Scholar] [CrossRef] [PubMed]
- Mayerhofer, C.; Kavallar, A.M.; Aldrian, D.; Lindner, A.K.; Müller, T.; Vogel, G.F. Efficacy of Elimination Diets in Eosinophilic Esophagitis: A Systematic Review and Meta-analysis. Clin. Gastroenterol. Hepatol. Off. Clin. Pract. J. Am. Gastroenterol. Assoc. 2023, 21, 2197–2210.e3. [Google Scholar] [CrossRef]
- Peterson, K.A.; Byrne, K.R.; Vinson, L.A.; Ying, J.; Boynton, K.K.; Fang, J.C.; Gleich, G.J.; Adler, D.G.; Clayton, F. Elemental diet induces histologic response in adult eosinophilic esophagitis. Am. J. Gastroenterol. 2013, 108, 759–766. [Google Scholar] [CrossRef]
- Warners, M.J.; Vlieg-Boerstra, B.J.; Verheij, J.; van Rhijn, B.D.; Van Ampting, M.T.J.; Harthoorn, L.F.; de Jonge, W.J.; Smout, A.J.P.M.; Bredenoord, A.J. Elemental diet decreases inflammation and improves symptoms in adult eosinophilic oesophagitis patients. Aliment. Pharmacol. Ther. 2017, 45, 777–787. [Google Scholar] [CrossRef]
- Navarro, P.; Arias, Á.; Arias-González, L.; Laserna-Mendieta, E.J.; Ruiz-Ponce, M.; Lucendo, A.J. Systematic review with meta-analysis: The growing incidence and prevalence of eosinophilic oesophagitis in children and adults in population-based studies. Aliment. Pharmacol. Ther. 2019, 49, 1116–1125. [Google Scholar] [CrossRef]
- Laserna-Mendieta, E.J.; Casabona, S.; Savarino, E.; Perelló, A.; Pérez-Martínez, I.; Guagnozzi, D.; Barrio, J.; Guardiola, A.; Asensio, T.; de la Riva, S.; et al. Efficacy of Therapy for Eosinophilic Esophagitis in Real-World Practice. Clin. Gastroenterol. Hepatol. Off. Clin. Pract. J. Am. Gastroenterol. Assoc. 2020, 18, 2903–2911.e4. [Google Scholar] [CrossRef] [PubMed]
- Visaggi, P.; Svizzero, F.B.; Del Corso, G.; Bellini, M.; Savarino, E.; de Bortoli, N. Efficacy of a Second PPI Course After Steroid-Induced Remission in Eosinophilic Esophagitis Refractory to Initial PPI Therapy. Am. J. Gastroenterol. 2022, 117, 1702–1705. [Google Scholar] [CrossRef] [PubMed]
- Visaggi, P.; Barberio, B.; Del Corso, G.; de Bortoli, N.; Black, C.J.; Ford, A.C.; Savarino, E. Comparison of drugs for active eosinophilic oesophagitis: Systematic review and network meta-analysis. Gut 2023, 72, 2019–2030. [Google Scholar] [CrossRef] [PubMed]
- Visaggi, P.; Ghisa, M.; Vespa, E.; Barchi, A.; Mari, A.; Pasta, A.; Marabotto, E.; de Bortoli, N.; Savarino, E.V. Optimal Assessment, Treatment, and Monitoring of Adults with Eosinophilic Esophagitis: Strategies to Improve Outcomes. ImmunoTargets Ther. 2024, 13, 367–383. [Google Scholar] [CrossRef]
- Lucendo, A.J.; Miehlke, S.; Schlag, C.; Vieth, M.; von Arnim, U.; Molina-Infante, J.; Hartmann, D.; Bredenoord, A.J.; de Los Rios, C.C.; Schubert, S.; et al. Efficacy of Budesonide Orodispersible Tablets as Induction Therapy for Eosinophilic Esophagitis in a Randomized Placebo-Controlled Trial. Gastroenterology 2019, 157, 74–86.e15. [Google Scholar] [CrossRef]
- Tohda, Y.; Matsumoto, H.; Miyata, M.; Taguchi, Y.; Ueyama, M.; Joulain, F.; Arakawa, I. Cost-effectiveness analysis of dupilumab among patients with oral corticosteroid-dependent uncontrolled severe asthma in Japan. J. Asthma Off. J. Assoc. Care Asthma 2021, 59, 2162–2173. [Google Scholar] [CrossRef]
- Snyder, D.L.; Dellon, E.S. Biologics in the Treatment of Eosinophilic Esophagitis: Ready for Use? Clin. Gastroenterol. Hepatol. Off. Clin. Pract. J. Am. Gastroenterol. Assoc. 2023, 21, 3230–3233. [Google Scholar] [CrossRef]
- Meek, P.D.; Hemstreet, B. Emerging therapies for eosinophilic esophagitis. Pharmacother. J. Hum. Pharmacol. Drug Ther. 2023, 43, 338–348. [Google Scholar] [CrossRef]
- Runge, T.M.; Eluri, S.; Cotton, C.C.; Burk, C.M.; Woosley, J.T.; Shaheen, N.J.; Dellon, E.S. Outcomes of Esophageal Dilation in Eosinophilic Esophagitis: Safety, Efficacy, and Persistence of the Fibrostenotic Phenotype. Am. J. Gastroenterol. 2016, 111, 206–213. [Google Scholar] [CrossRef]
- Yang, E.-J.; Jung, K.W. Role of endoscopy in eosinophilic esophagitis. Korean J. Gastrointest. Endosc. 2024. [Google Scholar] [CrossRef] [PubMed]
- Dougherty, M.; Runge, T.M.; Eluri, S.; Dellon, E.S. Esophageal dilation with either bougie or balloon technique as a treatment for eosinophilic esophagitis: A systematic review and meta-analysis. Gastrointest. Endosc. 2017, 86, 581–591.e3. [Google Scholar] [CrossRef]
- Tamarit-Sebastian, S.; Ferrer-Soler, F.M.; Lucendo, A.J. Current options and investigational drugs for the treatment of eosinophilic esophagitis. Expert Opin. Investig. Drugs 2022, 31, 193–210. [Google Scholar] [CrossRef] [PubMed]
- Lucendo, A.J.; Santander, C.; Savarino, E.; Guagnozzi, D.; Pérez-Martínez, I.; Perelló, A.; Guardiola-Arévalo, A.; Barrio, J.; Betoré-Glaria, M.E.; Gutiérrez-Junquera, C.; et al. EoE CONNECT, the European Registry of Clinical, Environmental, and Genetic Determinants in Eosinophilic Esophagitis: Rationale, design, and study protocol of a large-scale epidemiological study in Europe. Therap. Adv. Gastroenterol. 2022, 15, 17562848221074204. [Google Scholar] [CrossRef] [PubMed]
- Henderson, A.; Magier, A.; Schwartz, J.T.; Martin, L.J.; Collins, M.H.; Putnam, P.E.; Mukkada, V.A.; Abonia, J.P.; Rothenberg, M.E.; Fulkerson, P.C. Monitoring Eosinophilic Esophagitis Disease Activity With Blood Eosinophil Progenitor Levels. J. Pediatr. Gastroenterol. Nutr. 2020, 70, 482–488. [Google Scholar] [CrossRef]
- Shukla-Udawatta, M.; Russo, J.; Gunderman, L.; Pearlstein, H.; Wood, E.M.; Boyle, B.; Erwin, E. Improving Delivery of Care through Standardized Monitoring in Children with Eosinophilic Esophagitis. Pediatr. Qual. Saf. 2021, 6, e429. [Google Scholar] [CrossRef]
- Ackerman, S.J.; Kagalwalla, A.F.; Hirano, I.; Gonsalves, N.; Katcher, P.M.; Gupta, S.; Wechsler, J.B.; Grozdanovic, M.; Pan, Z.; Masterson, J.C.; et al. One-Hour Esophageal String Test: A Nonendoscopic Minimally Invasive Test That Accurately Detects Disease Activity in Eosinophilic Esophagitis. Am. J. Gastroenterol. 2019, 114, 1614–1625. [Google Scholar] [CrossRef]


Disclaimer/Publisher’s Note: The statements, opinions and data contained in all publications are solely those of the individual author(s) and contributor(s) and not of MDPI and/or the editor(s). MDPI and/or the editor(s) disclaim responsibility for any injury to people or property resulting from any ideas, methods, instructions or products referred to in the content. |
© 2025 by the authors. Licensee MDPI, Basel, Switzerland. This article is an open access article distributed under the terms and conditions of the Creative Commons Attribution (CC BY) license (https://creativecommons.org/licenses/by/4.0/).
Share and Cite
Farah, A.; Assaf, T.; Hindy, J.; Abboud, W.; Mahamid, M.; Savarino, E.V.; Mari, A. The Dynamic Evolution of Eosinophilic Esophagitis. Diagnostics 2025, 15, 240. https://doi.org/10.3390/diagnostics15030240
Farah A, Assaf T, Hindy J, Abboud W, Mahamid M, Savarino EV, Mari A. The Dynamic Evolution of Eosinophilic Esophagitis. Diagnostics. 2025; 15(3):240. https://doi.org/10.3390/diagnostics15030240
Chicago/Turabian StyleFarah, Amir, Tarek Assaf, Jawad Hindy, Wisam Abboud, Mostafa Mahamid, Edoardo Vincenzo Savarino, and Amir Mari. 2025. "The Dynamic Evolution of Eosinophilic Esophagitis" Diagnostics 15, no. 3: 240. https://doi.org/10.3390/diagnostics15030240
APA StyleFarah, A., Assaf, T., Hindy, J., Abboud, W., Mahamid, M., Savarino, E. V., & Mari, A. (2025). The Dynamic Evolution of Eosinophilic Esophagitis. Diagnostics, 15(3), 240. https://doi.org/10.3390/diagnostics15030240

