Lesion Stiffness Measured by Magnetic Resonance Elastography: A Novel Biomarker for Differentiating Benign, Premalignant and Malignant Prostate Lesions
Abstract
1. Introduction
2. Materials and Methods
2.1. Study Population
2.2. Study Protocol
2.3. Laboratory Measurements
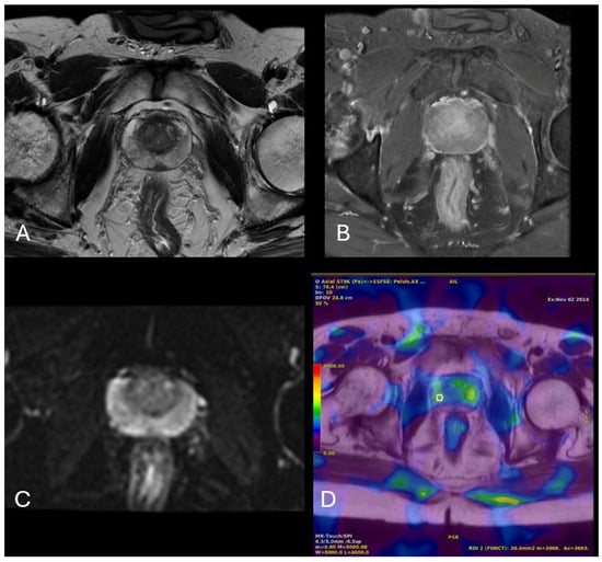
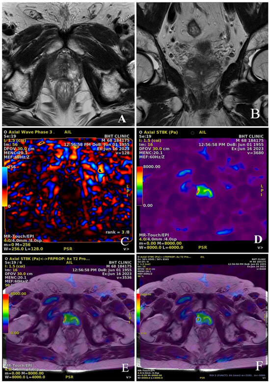
2.4. Radiological Measurements
2.5. Pathological Examination
2.6. Statistical Analysis
3. Results
4. Discussion
5. Conclusions
Supplementary Materials
Author Contributions
Funding
Institutional Review Board Statement
Informed Consent Statement
Data Availability Statement
Acknowledgments
Conflicts of Interest
Abbreviations
| MRE | Magnetic resonance elastography |
| PSA | Prostate-specific antigen |
| PI-RADS | Prostate Imaging Reporting and Data System |
| PCa | Prostate cancer |
| BPH | Benign prostatic hyperplasia |
| mpMRI | Multiparametric magnetic resonance imaging |
| HGPIN | High-grade prostatic intraepithelial lesions |
| FOV | Field of view |
| SE-EPI | Spin-echo echo-planar imaging |
| ASAP | Atypical small acinar proliferation |
| ROC | Receiver Operating Characteristic |
| OR | Odds ratio |
| CI | Confidence interval |
| AUC | Area under ROC curve |
| NPV | Negative predictive value |
| PPV | Positive predictive value |
| ADC | Apparent diffusion coefficient |
References
- Siegel, R.L.; Miller, K.D.; Jemal, A. Cancer statistics, 2020. CA Cancer J. Clin. 2020, 70, 7–30. [Google Scholar] [CrossRef]
- Kielb, P.; Kowalczyk, K.; Gurwin, A.; Nowak, L.; Krajewski, W.; Sosnowski, R.; Szydelko, T.; Malkiewicz, B. Novel Histopathological Biomarkers in Prostate Cancer: Implications and Perspectives. Biomedicines 2023, 11, 1552. [Google Scholar] [CrossRef] [PubMed]
- Johnson, D.C.; Raman, S.S.; Mirak, S.A.; Kwan, L.; Bajgiran, A.M.; Hsu, W.; Maehara, C.K.; Ahuja, P.; Faiena, I.; Pooli, A.; et al. Detection of Individual Prostate Cancer Foci via Multiparametric Magnetic Resonance Imaging. Eur. Urol. 2019, 75, 712–720. [Google Scholar] [CrossRef]
- Ozah, E.; Imasogie, D.E. The Diagnostic Accuracy of Prostate-Specific Antigen and Digital Rectal Examination in the Diagnosis of Prostate Cancer at the University of Benin Teaching Hospital. J. West Afr. Coll. Surg. 2023, 13, 91–95. [Google Scholar] [CrossRef]
- Al-Monajjed, R.; Albers, P.; Hadaschik, B. Screening for Prostate Cancer with Prostate-specific Antigen. Eur. Urol. Open Sci. 2025, 74, 71–72. [Google Scholar] [CrossRef]
- Fiorentino, V.; Pepe, L.; Pizzimenti, C.; Zuccala, V.; Pepe, P.; Cianci, V.; Mondello, C.; Tuccari, G.; Fadda, G.; Giuffre, G.; et al. PD-L1 expression in prostate cancer and Gleason Grade Group: Is there any relationship? Findings from a multi-institutional cohort. Pathol. Res. Pr. 2025, 269, 155916. [Google Scholar] [CrossRef]
- Naito, Y.; Kato, M.; Nagayama, J.; Sano, Y.; Matsuo, K.; Inoue, S.; Sano, T.; Ishida, S.; Matsukawa, Y.; Tsuzuki, T.; et al. Recent insights on the clinical, pathological, and molecular features of intraductal carcinoma of the prostate. Int. J. Urol. 2024, 31, 7–16. [Google Scholar] [CrossRef]
- Loeb, S.; Vellekoop, A.; Ahmed, H.U.; Catto, J.; Emberton, M.; Nam, R.; Rosario, D.J.; Scattoni, V.; Lotan, Y. Systematic review of complications of prostate biopsy. Eur. Urol. 2013, 64, 876–892. [Google Scholar] [CrossRef] [PubMed]
- Weinreb, J.C.; Barentsz, J.O.; Choyke, P.L.; Cornud, F.; Haider, M.A.; Macura, K.J.; Margolis, D.; Schnall, M.D.; Shtern, F.; Tempany, C.M. PI-RADS prostate imaging–reporting and data system: 2015, version 2. Eur. Urol. 2016, 69, 16–40. [Google Scholar] [CrossRef]
- Penzkofer, T.; Tempany-Afdhal, C.M. Prostate cancer detection and diagnosis: The role of MR and its comparison with other diagnostic modalities—A radiologist’s perspective. NMR Biomed. 2014, 27, 3–15. [Google Scholar] [CrossRef] [PubMed]
- Jamshidi, M.H.; Fatemi, A.; Karami, A.; Ghanavati, S.; Dhruba, D.D.; Negarestanian, M.H. Optimizing Multiparametric MRI Protocols for Prostate Cancer Detection: A Comprehensive Assessment Aligned with PI-RADS Guidelines. Health Sci. Rep. 2024, 7, e70172. [Google Scholar] [CrossRef]
- Asbach, P.; Haas, M.; Hamm, B. MR imaging of the prostate. Radiologe 2015, 55, 1088–1096. [Google Scholar] [CrossRef]
- Sen, S.; Valindria, V.; Slator, P.J.; Pye, H.; Grey, A.; Freeman, A.; Moore, C.; Whitaker, H.; Punwani, S.; Singh, S.; et al. Differentiating False Positive Lesions from Clinically Significant Cancer and Normal Prostate Tissue Using VERDICT MRI and Other Diffusion Models. Diagnostics 2022, 12, 1631. [Google Scholar] [CrossRef]
- Pesapane, F.; Acquasanta, M.; Meo, R.D.; Agazzi, G.M.; Tantrige, P.; Codari, M.; Schiaffino, S.; Patella, F.; Esseridou, A.; Sardanelli, F. Comparison of Sensitivity and Specificity of Biparametric versus Multiparametric Prostate MRI in the Detection of Prostate Cancer in 431 Men with Elevated Prostate-Specific Antigen Levels. Diagnostics 2021, 11, 1223. [Google Scholar] [CrossRef] [PubMed]
- Woo, S.; Suh, C.H.; Kim, S.Y.; Cho, J.Y.; Kim, S.H.; Moon, M.H. Head-to-Head Comparison Between Biparametric and Multiparametric MRI for the Diagnosis of Prostate Cancer: A Systematic Review and Meta-Analysis. AJR Am. J. Roentgenol. 2018, 211, W226–W241. [Google Scholar] [CrossRef] [PubMed]
- Barr, R.G.; Cosgrove, D.; Brock, M.; Cantisani, V.; Correas, J.M.; Postema, A.W.; Salomon, G.; Tsutsumi, M.; Xu, H.X.; Dietrich, C.F. WFUMB Guidelines and Recommendations on the Clinical Use of Ultrasound Elastography: Part 5. Prostate. Ultrasound Med. Biol. 2017, 43, 27–48. [Google Scholar] [CrossRef]
- Labra, A.; Zúñiga, Á. Pitfalls en RM de próstata multiparamétrica. Rev. Chil. Radiol. 2019, 25, 128–140. [Google Scholar] [CrossRef][Green Version]
- Mariappan, Y.K.; Glaser, K.J.; Ehman, R.L. Magnetic resonance elastography: A review. Clin. Anat. 2010, 23, 497–511. [Google Scholar] [CrossRef]
- Lee, H.J.; Cho, S.B.; Lee, J.K.; Kim, J.S.; Oh, C.H.; Kim, H.J.; Yoon, H.; Ahn, H.K.; Kim, M.; Hwang, Y.G.; et al. The feasibility of MR elastography with transpelvic vibration for localization of focal prostate lesion. Sci. Rep. 2024, 14, 3864. [Google Scholar] [CrossRef] [PubMed]
- Singh, S.; Venkatesh, S.K.; Wang, Z.; Miller, F.H.; Motosugi, U.; Low, R.N.; Hassanein, T.; Asbach, P.; Godfrey, E.M.; Yin, M.; et al. Diagnostic performance of magnetic resonance elastography in staging liver fibrosis: A systematic review and meta-analysis of individual participant data. Clin. Gastroenterol. Hepatol. 2015, 13, 440–451. [Google Scholar] [CrossRef]
- Jamshidi, M.H.; Karami, A.; Keshavarz, A.; Fatemi, A.; Ghanavati, S. Magnetic Resonance Elastography for Breast Cancer Diagnosis Through the Assessment of Tissue Biomechanical Properties. Health Sci. Rep. 2024, 7, e70253. [Google Scholar] [CrossRef]
- Pagé, G.; Garteiser, P.; Van Beers, B.E. Magnetic resonance elastography of malignant tumors. Front. Phys. 2022, 10, 910036. [Google Scholar] [CrossRef]
- Arani, A.; Da Rosa, M.; Ramsay, E.; Plewes, D.B.; Haider, M.A.; Chopra, R. Incorporating endorectal MR elastography into multi-parametric MRI for prostate cancer imaging: Initial feasibility in volunteers. J. Magn. Reson. Imaging 2013, 38, 1251–1260. [Google Scholar] [CrossRef]
- Li, M.; Guo, J.; Hu, P.; Jiang, H.; Chen, J.; Hu, J.; Asbach, P.; Sack, I.; Li, W. Tomoelastography Based on Multifrequency MR Elastography for Prostate Cancer Detection: Comparison with Multiparametric MRI. Radiology 2021, 299, 362–370. [Google Scholar] [CrossRef]
- Kim, S.H.; Kim, J.Y.; Hwang, M.J. Magnetic Resonance Elastography for the Detection and Classification of Prostate Cancer. Cancers 2024, 16, 3494. [Google Scholar] [CrossRef] [PubMed]
- Kemper, J.; Sinkus, R.; Lorenzen, J.; Nolte-Ernsting, C.; Stork, A.; Adam, G. MR elastography of the prostate: Initial in-vivo application. In RöFo-Fortschritte auf dem Gebiet der Röntgenstrahlen und der Bildgebenden Verfahren; Georg Thieme Verlag KG Stuttgart: New York, NY, USA, 2004; Volume 176, pp. 1094–1099. [Google Scholar] [CrossRef]
- Dittmann, F.; Reiter, R.; Guo, J.; Haas, M.; Asbach, P.; Fischer, T.; Braun, J.; Sack, I. Tomoelastography of the prostate using multifrequency MR elastography and externally placed pressurized-air drivers. Magn. Reson. Med. 2018, 79, 1325–1333. [Google Scholar] [CrossRef]
- Aphinives, C.; Kiatsayompoo, W.; Eurboonyanun, K.; Twinprai, P.; Jaruchainiwat, S. Tissue stiffness in BPH patients from magnetic resonance elastography. Egypt. J. Radiol. Nucl. Med. 2021, 52, 294. [Google Scholar] [CrossRef]
- Sahebjavaher, R.S.; Nir, G.; Honarvar, M.; Gagnon, L.O.; Ischia, J.; Jones, E.C.; Chang, S.D.; Fazli, L.; Goldenberg, S.L.; Rohling, R.; et al. MR elastography of prostate cancer: Quantitative comparison with histopathology and repeatability of methods. NMR Biomed. 2015, 28, 124–139. [Google Scholar] [CrossRef] [PubMed]
- Chen, J.; Chen, Y.; Chen, G.; Deng, L.; Yuan, Y.; Tang, H.; Zhang, Z.; Chen, T.; Zeng, H.; Yuan, E.; et al. Magnetic Resonance Elastography Combined With PI-RADS v2.1 for the Identification of Clinically Significant Prostate Cancer. J. Magn. Reson. Imaging 2025, 61, 2248–2257. [Google Scholar] [CrossRef]
- Barentsz, J.O.; Richenberg, J.; Clements, R.; Choyke, P.; Verma, S.; Villeirs, G.; Rouviere, O.; Logager, V.; Fütterer, J.J. ESUR prostate MR guidelines 2012. Eur. Radiol. 2012, 22, 746–757. [Google Scholar] [CrossRef]
- Tamada, T.; Kido, A.; Takeuchi, M.; Yamamoto, A.; Miyaji, Y.; Kanomata, N.; Sone, T. Comparison of PI-RADS version 2 and PI-RADS version 2.1 for the detection of transition zone prostate cancer. Eur. J. Radiol. 2019, 121, 108704. [Google Scholar] [CrossRef] [PubMed]
- Venkatesh, S.K.; Yin, M.; Ehman, R.L. Magnetic resonance elastography of liver: Technique, analysis, and clinical applications. J. Magn. Reson. Imaging 2013, 37, 544–555. [Google Scholar] [CrossRef] [PubMed]
- Koo, T.K.; Li, M.Y. A Guideline of Selecting and Reporting Intraclass Correlation Coefficients for Reliability Research. J. Chiropr. Med. 2016, 15, 155–163. [Google Scholar] [CrossRef]
- Epstein, J.I.; Egevad, L.; Amin, M.B.; Delahunt, B.; Srigley, J.R.; Humphrey, P.A. The 2014 International Society of Urological Pathology (ISUP) Consensus Conference on Gleason Grading of Prostatic Carcinoma: Definition of Grading Patterns and Proposal for a New Grading System. Am. J. Surg. Pathol. 2016, 40, 244–252. [Google Scholar] [CrossRef]
- Tagliabue, E. Visuo-Haptic Model of Prostate Cancer Based on Magnetic Resonance Elastography. Master’s Thesis, University of Illinois at Chicago, Chicago, IL, USA, 2017. [Google Scholar]
- Yu, J.; Fulcher, A.S.; Turner, M.A.; Cockrell, C.H.; Cote, E.P.; Wallace, T.J. Prostate cancer and its mimics at multiparametric prostate MRI. Br. J. Radiol. 2014, 87, 20130659. [Google Scholar] [CrossRef]
- Dwivedi, D.K.; Kumar, R.; Bora, G.S.; Sharma, S.; Thulkar, S.; Gupta, S.D.; Jagannathan, N.R. Multiparametric MR can identify high grade prostatic intraepithelial neoplasia (HGPIN) lesions and predict future detection of prostate cancer in men with a negative initial prostate biopsy. Magn. Reson. Imaging 2016, 34, 1081–1086. [Google Scholar] [CrossRef]
- Borofsky, S.; George, A.K.; Gaur, S.; Bernardo, M.; Greer, M.D.; Mertan, F.V.; Taffel, M.; Moreno, V.; Merino, M.J.; Wood, B.J.; et al. What Are We Missing? False-Negative Cancers at Multiparametric MR Imaging of the Prostate. Radiology 2018, 286, 186–195. [Google Scholar] [CrossRef]
- Woo, S.; Suh, C.H.; Kim, S.Y.; Cho, J.Y.; Kim, S.H. Diagnostic Performance of Prostate Imaging Reporting and Data System Version 2 for Detection of Prostate Cancer: A Systematic Review and Diagnostic Meta-analysis. Eur. Urol. 2017, 72, 177–188. [Google Scholar] [CrossRef]
- Zhang, L.; Tang, M.; Chen, S.; Lei, X.; Zhang, X.; Huan, Y. A meta-analysis of use of Prostate Imaging Reporting and Data System Version 2 (PI-RADS V2) with multiparametric MR imaging for the detection of prostate cancer. Eur. Radiol. 2017, 27, 5204–5214. [Google Scholar] [CrossRef]
- Turkbey, B.; Rosenkrantz, A.B.; Haider, M.A.; Padhani, A.R.; Villeirs, G.; Macura, K.J.; Tempany, C.M.; Choyke, P.L.; Cornud, F.; Margolis, D.J. Prostate imaging reporting and data system version 2.1: 2019 update of prostate imaging reporting and data system version 2. Eur. Urol. 2019, 76, 340–351. [Google Scholar] [CrossRef]
- Hectors, S.J.; Lewis, S. Tomoelastography of the Prostate: Use of Tissue Stiffness for Improved Cancer Detection. Radiology 2021, 299, 371–373. [Google Scholar] [CrossRef] [PubMed]
- Oerther, B.; Engel, H.; Bamberg, F.; Sigle, A.; Gratzke, C.; Benndorf, M. Cancer detection rates of the PI-RADSv2.1 assessment categories: Systematic review and meta-analysis on lesion level and patient level. Prostate Cancer Prostatic Dis. 2022, 25, 256–263. [Google Scholar] [CrossRef] [PubMed]
- Wei, J.T.; Barocas, D.; Carlsson, S.; Coakley, F.; Eggener, S.; Etzioni, R.; Fine, S.W.; Han, M.; Kim, S.K.; Kirkby, E.; et al. Early Detection of Prostate Cancer: AUA/SUO Guideline Part II: Considerations for a Prostate Biopsy. J. Urol. 2023, 210, 54–63. [Google Scholar] [CrossRef]
- Oerther, B.; Nedelcu, A.; Engel, H.; Schmucker, C.; Schwarzer, G.; Brugger, T.; Schoots, I.G.; Eisenblaetter, M.; Sigle, A.; Gratzke, C.; et al. Update on PI-RADS Version 2.1 Diagnostic Performance Benchmarks for Prostate MRI: Systematic Review and Meta-Analysis. Radiology 2024, 312, e233337. [Google Scholar] [CrossRef]
- Deng, Y.; Yi, Z.; Zhang, T.; Hu, B.; Zhang, L.; Rajlawot, K.; Kuang, S.; He, B.; Arani, A.; Chen, J.; et al. Magnetic resonance elastography of the prostate in patients with lower urinary tract symptoms: Feasibility of the modified driver at high multi-frequencies. Abdom. Radiol. 2022, 47, 399–408. [Google Scholar] [CrossRef]
- Correas, J.M.; Tissier, A.M.; Khairoune, A.; Vassiliu, V.; Mejean, A.; Helenon, O.; Memo, R.; Barr, R.G. Prostate cancer: Diagnostic performance of real-time shear-wave elastography. Radiology 2015, 275, 280–289. [Google Scholar] [CrossRef]
- Reiter, R.; Majumdar, S.; Kearney, S.; Kajdacsy-Balla, A.; Macias, V.; Crivellaro, S.; Caldwell, B.; Abern, M.; Royston, T.J.; Klatt, D. Prostate cancer assessment using MR elastography of fresh prostatectomy specimens at 9.4 T. Magn. Reson. Med. 2020, 84, 396–404. [Google Scholar] [CrossRef] [PubMed]
- Zhang, M.; Nigwekar, P.; Castaneda, B.; Hoyt, K.; Joseph, J.V.; di Sant’Agnese, A.; Messing, E.M.; Strang, J.G.; Rubens, D.J.; Parker, K.J. Quantitative characterization of viscoelastic properties of human prostate correlated with histology. Ultrasound Med. Biol. 2008, 34, 1033–1042. [Google Scholar] [CrossRef]
- Hoyt, K.; Castaneda, B.; Zhang, M.; Nigwekar, P.; di Sant’agnese, P.A.; Joseph, J.V.; Strang, J.; Rubens, D.J.; Parker, K.J. Tissue elasticity properties as biomarkers for prostate cancer. Cancer Biomark 2008, 4, 213–225. [Google Scholar] [CrossRef]
- Hu, B.; Deng, Y.; Chen, J.; Kuang, S.; Tang, W.; He, B.; Zhang, L.; Xiao, Y.; Chen, J.; Rossman, P.; et al. Evaluation of MR elastography for prediction of lymph node metastasis in prostate cancer. Abdom. Radiol. 2021, 46, 3387–3400. [Google Scholar] [CrossRef] [PubMed]
- Sahebjavaher, R.S.; Nir, G.; Gagnon, L.O.; Ischia, J.; Jones, E.C.; Chang, S.D.; Yung, A.; Honarvar, M.; Fazli, L.; Goldenberg, S.L.; et al. MR elastography and diffusion-weighted imaging of ex vivo prostate cancer: Quantitative comparison to histopathology. NMR Biomed. 2015, 28, 89–100. [Google Scholar] [CrossRef] [PubMed]
- Li, S.; Chen, M.; Wang, W.; Zhao, W.; Wang, J.; Zhao, X.; Zhou, C. A feasibility study of MR elastography in the diagnosis of prostate cancer at 3.0T. Acta Radiol. 2011, 52, 354–358. [Google Scholar] [CrossRef]
- Crnogorac, M.; Ivanac, G.; Tomasovic-Loncaric, C.; Zic, R.; Kelava, T.; Brkljacic, B. Sonoelastographic Features of High-Risk Breast Lesions and Ductal Carcinoma in Situ—A Pilot Study. Acta Clin. Croat. 2019, 58, 13–22. [Google Scholar] [CrossRef]
- Taverna, G.; Magnoni, P.; Giusti, G.; Seveso, M.; Benetti, A.; Hurle, R.; Colombo, P.; Minuti, F.; Grizzi, F.; Graziotti, P. Impact of Real-Time Elastography versus Systematic Prostate Biopsy Method on Cancer Detection Rate in Men with a Serum Prostate-Specific Antigen between 2.5 and 10 ng/mL. ISRN Oncol. 2013, 2013, 584672. [Google Scholar] [CrossRef]
- Carson, W.C.; Gerling, G.J.; Krupski, T.L.; Kowalik, C.G.; Harper, J.C.; Moskaluk, C.A. Material characterization of ex vivo prostate tissue via spherical indentation in the clinic. Med. Eng. Phys. 2011, 33, 302–309. [Google Scholar] [CrossRef] [PubMed]
- Cornford, P.; van den Bergh, R.C.N.; Briers, E.; Van den Broeck, T.; Brunckhorst, O.; Darraugh, J.; Eberli, D.; De Meerleer, G.; De Santis, M.; Farolfi, A.; et al. EAU-EANM-ESTRO-ESUR-ISUP-SIOG Guidelines on Prostate Cancer-2024 Update. Part I: Screening, Diagnosis, and Local Treatment with Curative Intent. Eur. Urol. 2024, 86, 148–163. [Google Scholar] [CrossRef]







| Variables | All Population |
|---|---|
| n = 113 | |
| Age, years | 62.7 ± 7.2 |
| MRE findings, kPa | |
| Central gland stiffness | 3.4 ± 0.3 |
| Entire gland stiffness | 3.5 ± 0.5 |
| Lesion stiffness | 3.9 (3.5–7.2) |
| Diffusion restriction, n (%) | 66 (58.4) |
| Contrast retention, n (%) | 76 (67.3) |
| Prostate volume, mL | 58 (40–80) |
| PI-RADS, n (%) | |
| PI-RADS 1 | 18 (15.9) |
| PI-RADS 2 | 20 (17.7) |
| PI-RADS 3 | 21 (18.6) |
| PI-RADS 4 | 39 (34.5) |
| PI-RADS 5 | 15 (13.3) |
| PSA, ng/mL | 5.2 (4.0–7.7) |
| Uroflowmetry findings | |
| Average flow rate, mL/s | 7.2 (4.9–10.9) |
| Maximum flow rate, mL/s | 15.4 (10.8–21.1) |
| Volume, mL | 254.8 (171.7–362.2) |
| Variables | Benign | Premalignant | Malignant | p-Value |
|---|---|---|---|---|
| n = 75 | n = 15 | n = 23 | ||
| Age, years | 62.1 ± 5.9 | 62.3 ± 9.4 | 64.8 ± 8.9 | 0.284 |
| MRE stiffness | ||||
| Central gland, kPa | 3.3 ± 0.2 | 3.4 ± 0.2 | 3.6 ± 0.3 | <0.001 |
| Entire gland, kPa | 3.3 ± 0.4 | 3.4 ± 0.4 | 4.1 ± 0.6 | <0.001 |
| Lesion, kPa | 3.6 (3.4–4.0) | 5.8 (3.6–7.4) | 7.7 (7.2–8.1) | <0.001 |
| Diffusion restriction, n (%) | 28 (37.3) | 15 (100.0) | 23 (100.0) | <0.001 |
| Contrast retention, n (%) | 38 (50.7) | 15 (100.0) | 23 (100.0) | <0.001 |
| Prostate volume, mL | 56 (39–80) | 72 (52–96) | 54 (39–79) | 0.418 |
| PI-RADS, n (%) | ||||
| PI-RADS 1 | 18 (24.0) | 0 | 0 | <0.001 |
| PI-RADS 2 | 20 (26.7) | 0 | 0 | |
| PI-RADS 3 | 18 (24.0) | 3 (20.0) | 0 | |
| PI-RADS 4 | 19 (25.3) | 12 (80.0) | 8 (34.8) | |
| PI-RADS 5 | 0 | 0 | 15 (65.2) | |
| PSA, ng/mL | 4.8 (3.6–6.7) | 5.2 (4.1–7.9) | 6.7 (4.6–20.1) | 0.060 |
| Uroflowmetry | ||||
| Average flow rate, mL/s | 7.2 (4.2–11.1) | 6.2 (5.1–8.8) | 7.9 (6.1–12.3) | 0.479 |
| Maximum flow rate, mL/s | 15.4 (9.6–22) | 13.3 (11.6–17.4) | 17.6 (12.4–21.8) | 0.247 |
| Volume, mL | 287 (155.2–362.2) | 245.5 (225–378.3) | 254.8 (186.2–300.1) | 0.931 |
| Variables | Crude Regression | Adjusted Regression | ||
|---|---|---|---|---|
| OR (95% CI) | p-Value | OR (95% CI) | p-Value | |
| Premalignant vs. benign | ||||
| Central gland stiffness | 1.21 (0.94–1.55) | 0.133 | 1.16 (0.87–1.55) | 0.306 |
| Entire gland stiffness | 1.10 (0.95–1.29) | 0.214 | 1.11 (0.93–1.32) | 0.246 |
| Lesion stiffness | 1.04 (1.01–1.08) | <0.001 | 1.04 (1.01–1.09) | 0.022 |
| Malignant vs. benign | ||||
| Central gland stiffness | 1.61 (1.27–2.04) | <0.001 | 1.59 (1.21–2.10) | 0.001 |
| Entire gland stiffness | 1.38 (1.20–1.59) | <0.001 | 1.60 (1.25–2.04) | <0.001 |
| Lesion stiffness | 1.15 (1.08–1.24) | <0.001 | 1.19 (1.09–1.29) | <0.001 |
| Malignant vs. Premalignant | ||||
| Central gland stiffness | 1.44 (1.03–2.00) | 0.002 | 1.88 (1.14–3.12) | 0.014 |
| Entire gland stiffness | 1.27 (1.07–1.51) | <0.001 | 1.68 (1.12–2.52) | 0.013 |
| Lesion stiffness | 1.10 (1.03–1.18) | <0.001 | 1.20 (1.07–1.34) | 0.002 |
| ROC Results | MRE Stiffness | mpMRI | Combination * | ||
|---|---|---|---|---|---|
| Central Gland | Entire Gland | Lesion | PI-RADS | ||
| Premalignant vs. Benign | |||||
| AUC ± SE | 0.63 ± 0.07 | 0.61 ± 0.08 | 0.82 ± 0.05 | 0.82 ± 0.05 | 0.85 ± 0.05 |
| 95% CI | 0.52–0.73 | 0.49–0.71 | 0.73–0.90 | 0.73–0.89 | 0.75–0.94 |
| Sensitivity, % | 66.7 | 60.0 | 73.3 | 80.0 | 93.3 |
| Specificity, % | 64.0 | 69.3 | 85.3 | 74.7 | 69.3 |
| Accuracy, % | 64.4 | 67.8 | 83.3 | 75.5 | 73.3 |
| PPV, % | 27.0 | 28.1 | 50.0 | 38.7 | 37.8 |
| NPV, % | 90.6 | 89.7 | 94.1 | 94.9 | 98.1 |
| Cut-off value | >3.3 kPa | >3.4 kPa | >5.2 kPa | >3 | PI-RADS > 3 & LS > 5.2 kPa |
| p-value | 0.064 | 0.293 | <0.001 | <0.001 | <0.001 |
| Malignant vs. Benign | |||||
| AUC ± SE | 0.79 ± 0.05 | 0.85 ± 0.05 | 0.95 ± 0.02 | 0.96 ± 0.02 | 0.92 ± 0.04 |
| 95% CI | 0.70–0.87 | 0.76–0.91 | 0.89–0.99 | 0.89–0.99 | 0.84–0.99 |
| Sensitivity, % | 82.6 | 78.3 | 91.3 | 100.0 | 91.3 |
| Specificity, % | 72.0 | 80.0 | 88.0 | 74.7 | 92.0 |
| Accuracy, % | 74.5 | 79.6 | 88.8 | 80.6 | 91.8 |
| PPV, % | 47.5 | 54.5 | 70.0 | 54.8 | 77.8 |
| NPV, % | 93.1 | 92.3 | 97.1 | 100.0 | 97.2 |
| Cut-off value | >3.4 kPa | >3.7 kPa | >6.9 kPa | >3 | PI-RADS > 3 & LS > 6.9 kPa |
| p-value | <0.001 | <0.001 | <0.001 | <0.001 | <0.001 |
| Malignant vs. Premalignant | |||||
| AUC ± SE | 0.73 ± 0.08 | 0.79 ± 0.07 | 0.86 ± 0.06 | 0.86 ± 0.06 | 0.87 ± 0.04 |
| 95% CI | 0.56–0.86 | 0.62–0.90 | 0.71–0.95 | 0.71–0.95 | 0.73–0.96 |
| Sensitivity, % | 78.3 | 56.5 | 73.9 | 65.2 | 91.3 |
| Specificity, % | 66.7 | 100.0 | 93.3 | 100.0 | 93.3 |
| Accuracy, % | 73.7 | 73.6 | 82.5 | 78.9 | 92.1 |
| PPV, % | 78.3 | 100.0 | 94.4 | 100.0 | 95.5 |
| NPV, % | 66.7 | 60.0 | 70.0 | 65.2 | 87.5 |
| Cut-off value | >3.5 kPa | >3.9 kPa | >7.4 kPa | >4 | PI-RADS > 4 & LS > 7.4 kPa |
| p-value | 0.006 | <0.001 | <0.001 | <0.001 | <0.001 |
Disclaimer/Publisher’s Note: The statements, opinions and data contained in all publications are solely those of the individual author(s) and contributor(s) and not of MDPI and/or the editor(s). MDPI and/or the editor(s) disclaim responsibility for any injury to people or property resulting from any ideas, methods, instructions or products referred to in the content. |
© 2025 by the authors. Licensee MDPI, Basel, Switzerland. This article is an open access article distributed under the terms and conditions of the Creative Commons Attribution (CC BY) license (https://creativecommons.org/licenses/by/4.0/).
Share and Cite
Poçan, S.; Karakaş, L. Lesion Stiffness Measured by Magnetic Resonance Elastography: A Novel Biomarker for Differentiating Benign, Premalignant and Malignant Prostate Lesions. Diagnostics 2025, 15, 2603. https://doi.org/10.3390/diagnostics15202603
Poçan S, Karakaş L. Lesion Stiffness Measured by Magnetic Resonance Elastography: A Novel Biomarker for Differentiating Benign, Premalignant and Malignant Prostate Lesions. Diagnostics. 2025; 15(20):2603. https://doi.org/10.3390/diagnostics15202603
Chicago/Turabian StylePoçan, Süheyl, and Levent Karakaş. 2025. "Lesion Stiffness Measured by Magnetic Resonance Elastography: A Novel Biomarker for Differentiating Benign, Premalignant and Malignant Prostate Lesions" Diagnostics 15, no. 20: 2603. https://doi.org/10.3390/diagnostics15202603
APA StylePoçan, S., & Karakaş, L. (2025). Lesion Stiffness Measured by Magnetic Resonance Elastography: A Novel Biomarker for Differentiating Benign, Premalignant and Malignant Prostate Lesions. Diagnostics, 15(20), 2603. https://doi.org/10.3390/diagnostics15202603

