Comments and Illustrations of the European Federation of Societies for Ultrasound in Medicine Guidelines: Benign Pleura Lesions (Benign Pleura Thickening, Lesions and Masses)—What Can Be Seen on Transthoracic Ultrasound?
Abstract
1. Introduction
Advances and Limitations of TUS
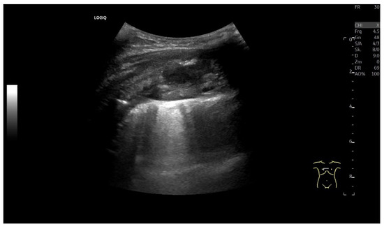
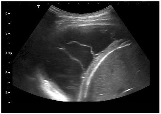
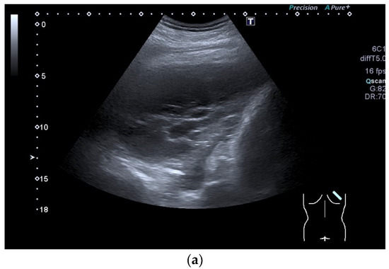
2. Pleural Thickening
3. Infectious and Inflammatory, Post-traumatic
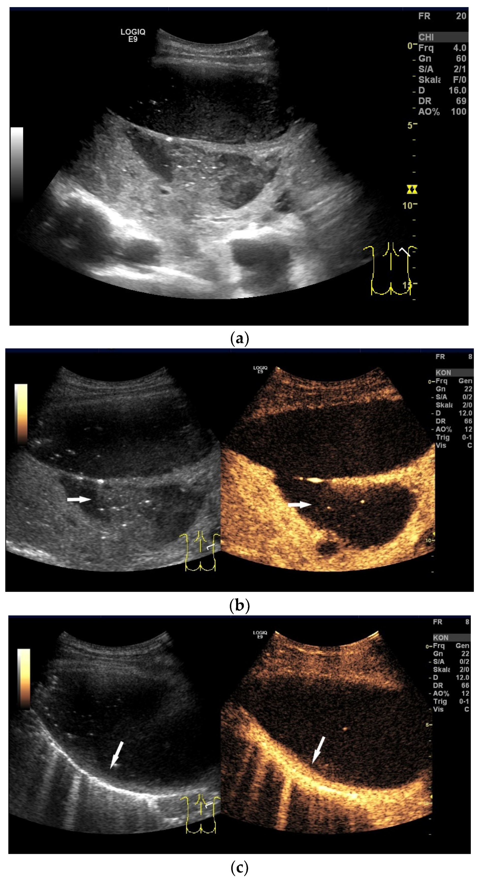
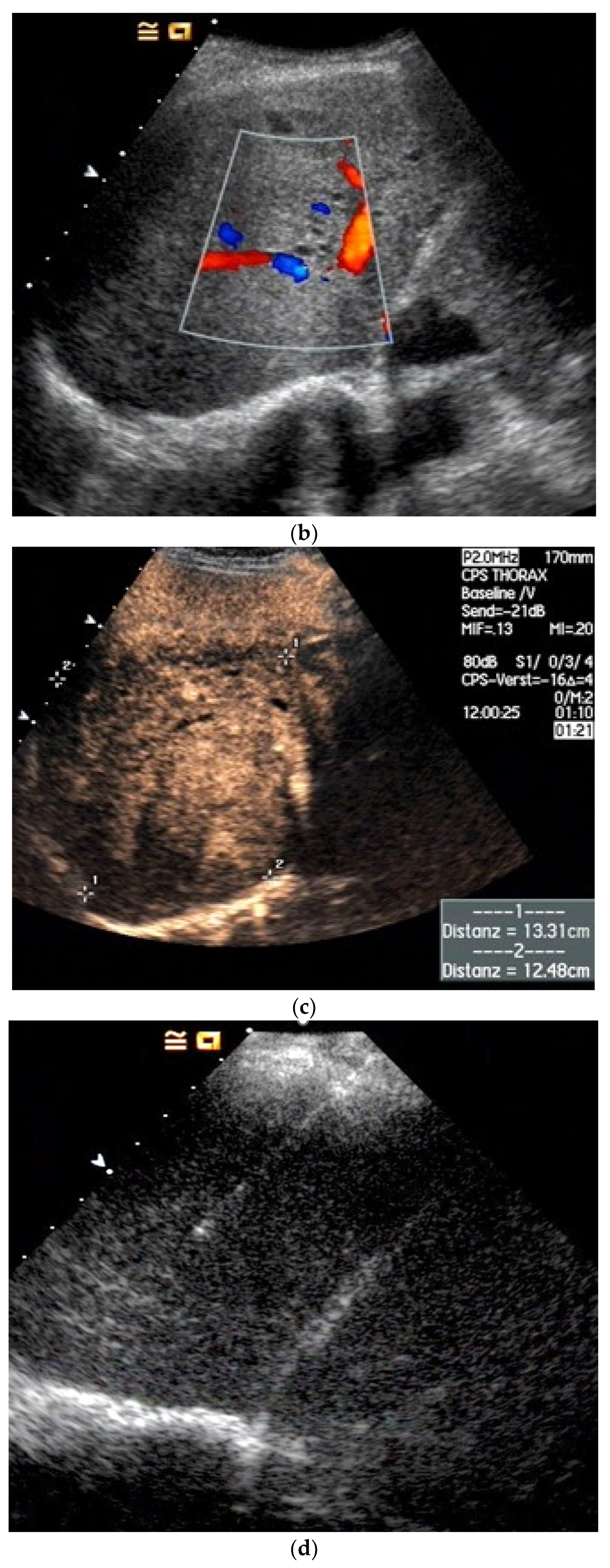
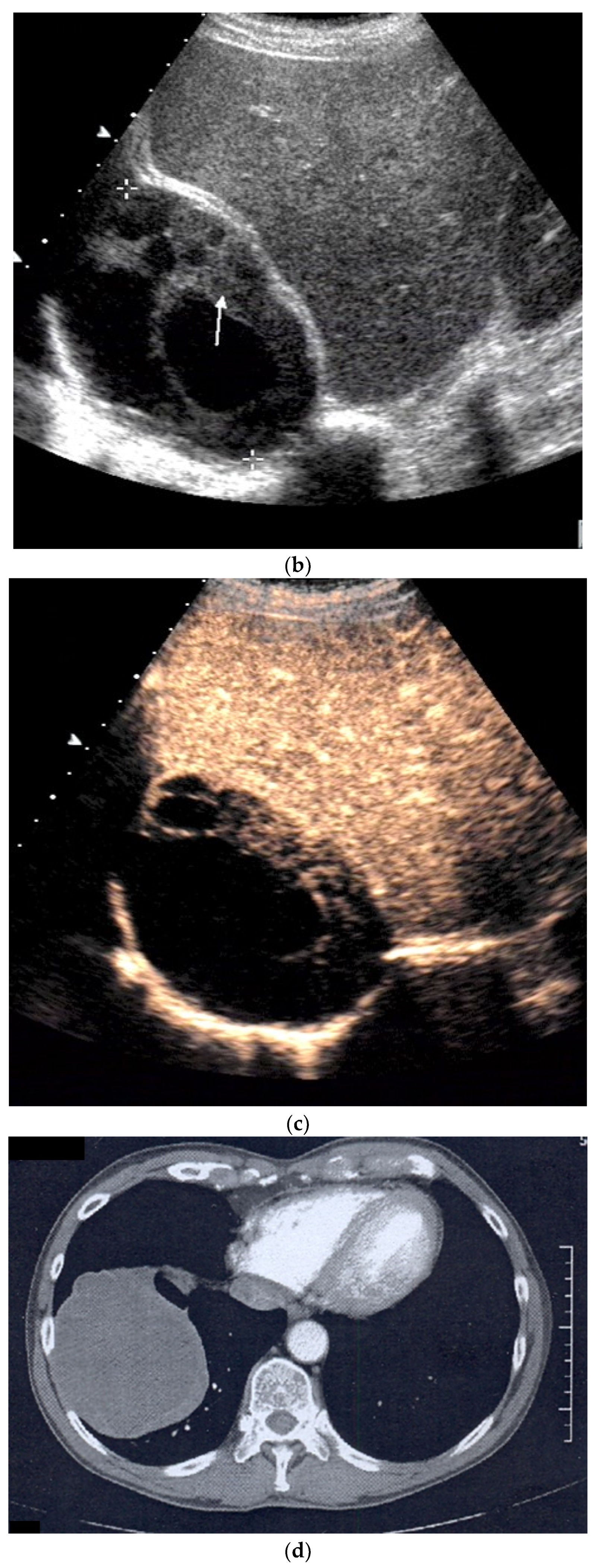
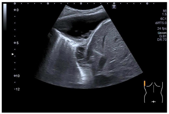
3.1. Empyema
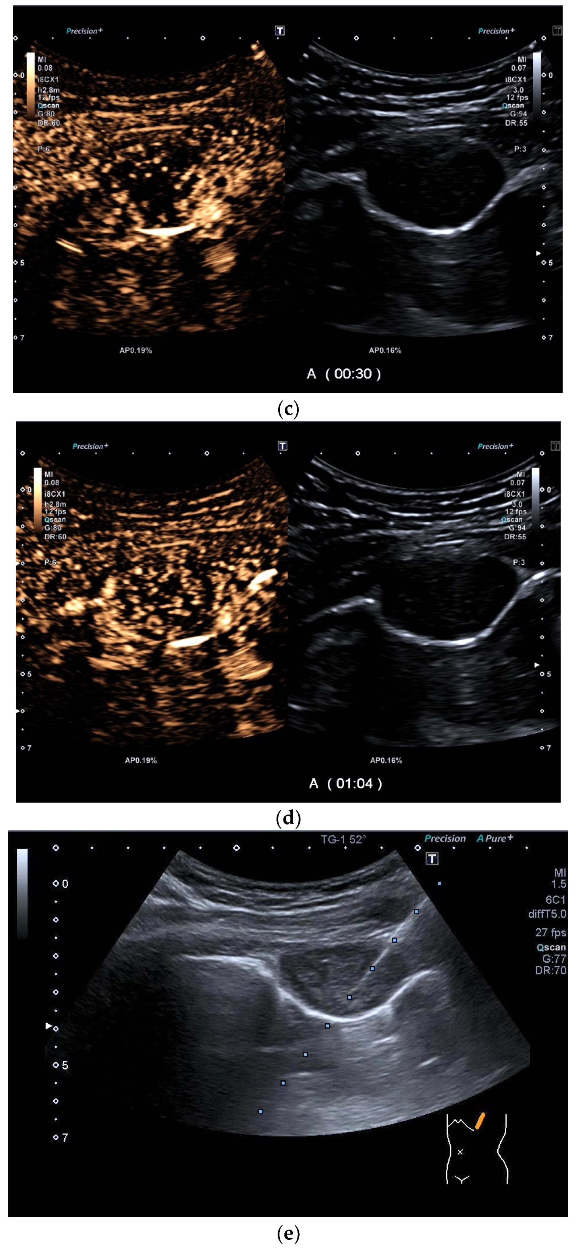
3.2. Tuberculous Pleuritis
3.3. Hemothorax
3.4. Fibrothorax
4. Systemic Diseases
4.1. IgG4 Related Diseases
4.2. Sarcoidosis
4.3. Amyloidosis
4.4. Miscellaneous
5. Tumor-like Lesions
5.1. Benign Asbestos-Related Diseases
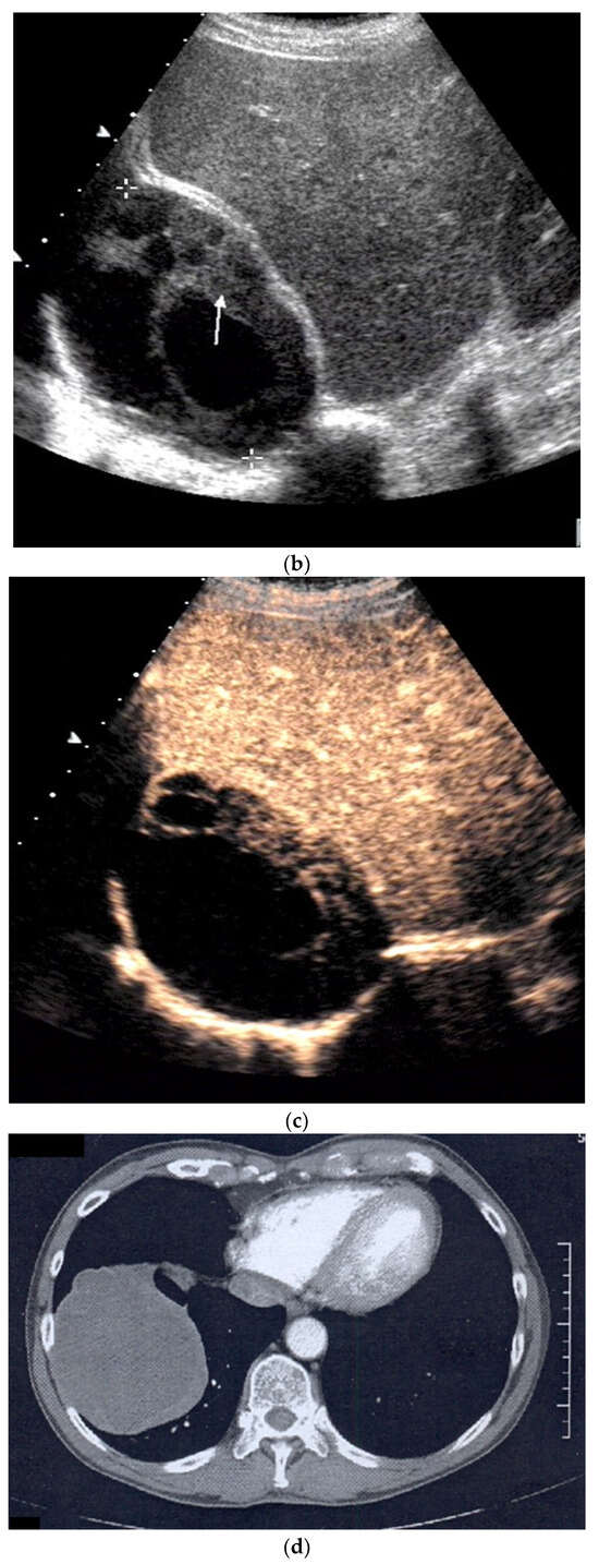
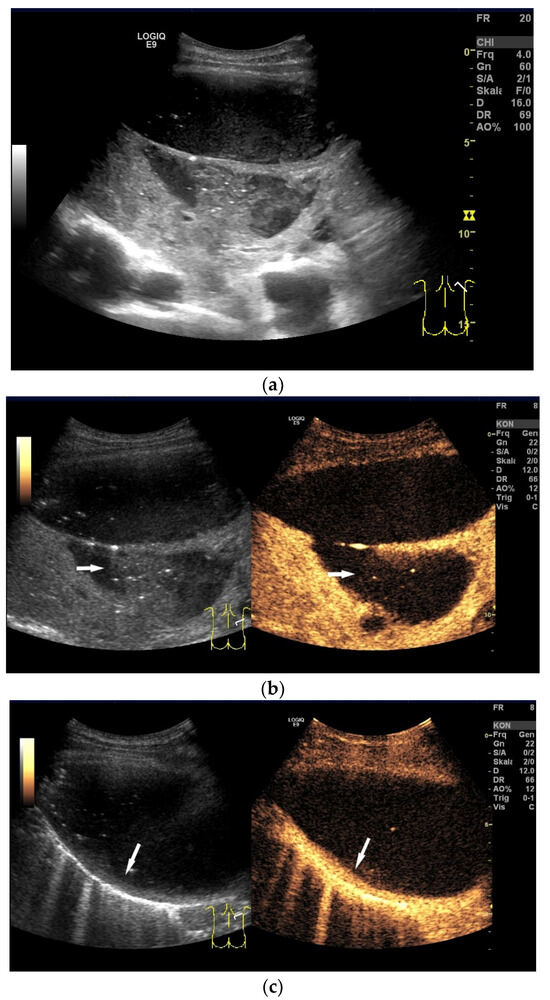
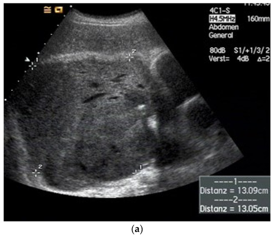
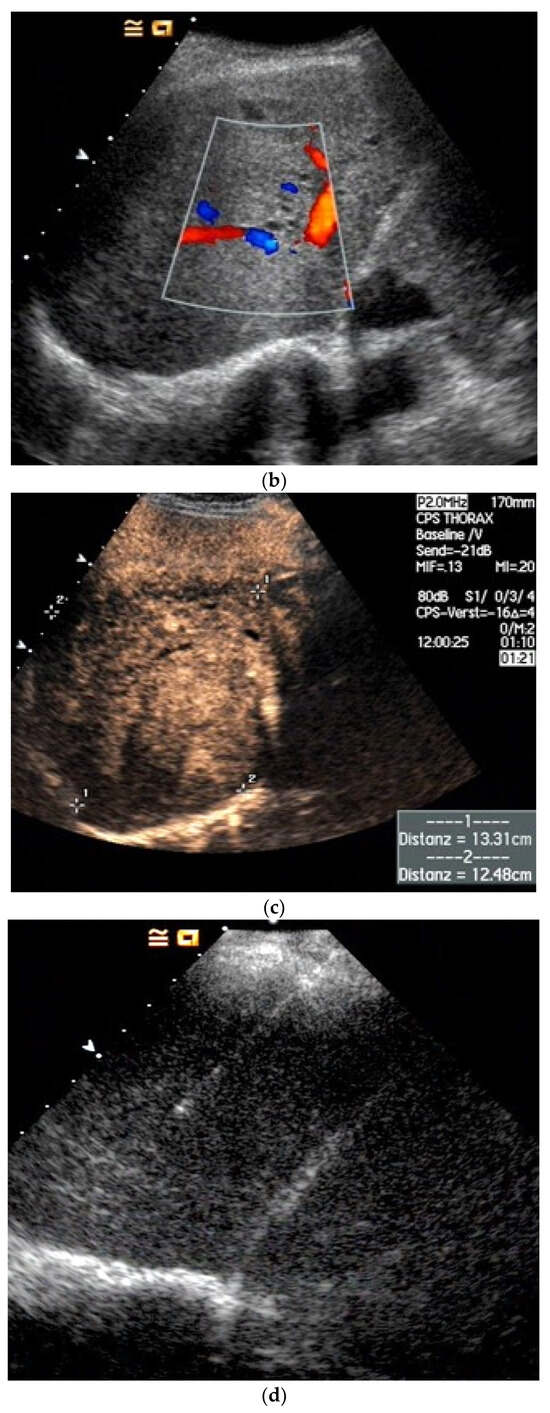
5.2. Thoracic Splenosis
5.3. Diffuse Pulmonary Lymphangiomatosis (DPL)
5.4. Endometriosis
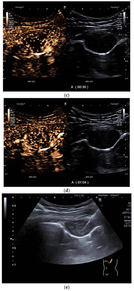
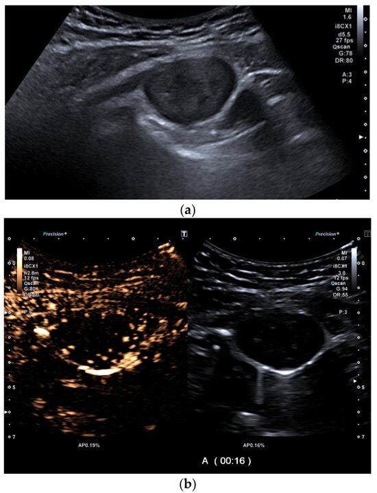
5.5. Mesothelial Cysts
6. Benign Tumors
6.1. Lipoma
6.2. Benign Solitary Fibrous Tumor
6.3. Schwannoma
6.4. Solitary Plasmacytoma
7. Conclusions
Supplementary Materials
Author Contributions
Funding
Institutional Review Board Statement
Informed Consent Statement
Data Availability Statement
Conflicts of Interest
References
- Horn, R.; Görg, C.; Prosch, H.; Zadeh, E.S.; Jenssen, C.; Dietrich, C.F. Sonography of the pleura. Ultraschall Med. Eur. J. Ultrasound 2024, 45, 118–146. [Google Scholar] [CrossRef] [PubMed]
- Dietrich, C.F.; Gorg, C.; Horn, R.; Prosch, H.; Safai Zadeh, E.; Jenssen, C. Ultrasound of the lung. Ultraschall Med. 2023, 44, 582–599. [Google Scholar] [CrossRef] [PubMed]
- Safai Zadeh, E.; Gorg, C.; Prosch, H.; Horn, R.; Jenssen, C.; Dietrich, C.F. The Role of Thoracic Ultrasound for Diagnosis of Diseases of the Chest Wall, the Mediastinum, and the Diaphragm-Narrative Review and Pictorial Essay. Diagnostics 2023, 13, 767. [Google Scholar] [CrossRef] [PubMed]
- Safai Zadeh, E.; Beutel, B.; Dietrich, C.F.; Keber, C.U.; Huber, K.P.; Gorg, C.; Trenker, C. Perfusion Patterns of Peripheral Pulmonary Lesions in COVID-19 Patients Using Contrast-Enhanced Ultrasound (CEUS): A Case Series. J Ultrasound Med. 2021, 40, 2403–2411. [Google Scholar] [CrossRef] [PubMed]
- Zadeh, E.S.; Dietrich, C.F.; Kmoth, L.; Trenker, C.; Alhyari, A.; Ludwig, M.; Görg, C. Peripheral Pulmonary Lesions in Confirmed Pulmonary Arterial Embolism: Follow-up Study of B-Mode Ultrasound and of Perfusion Patterns Using Contrast-Enhanced Ultrasound (CEUS). J. Ultrasound Med. 2022, 41, 1713–1721. [Google Scholar] [CrossRef]
- Zadeh, E.S.; Keber, C.U.; Dietrich, C.F.; Westhoff, C.C.; Günter, C.; Beutel, B.; Alhyari, A.; Trenker, C.; Görg, C. Perfusion Patterns of Peripheral Pulmonary Granulomatous Lesions Using Contrast-Enhanced Ultrasound (CEUS) and Their Correlation with Immunohistochemically Detected Vascularization Patterns. J. Ultrasound Med. 2021, 41, 565–574. [Google Scholar] [CrossRef]
- Sidhu, P.S.; Cantisani, V.; Dietrich, C.F.; Gilja, O.H.; Saftoiu, A.; Bartels, E.; Bertolotto, M.; Calliada, F.; Clevert, D.-A.; Cosgrove, D.; et al. The EFSUMB Guidelines and Recommendations for the Clinical Practice of Contrast-Enhanced Ultrasound (CEUS) in Non-Hepatic Applications: Update 2017 (Short Version). Ultraschall Med. 2018, 39, 154–180. [Google Scholar] [PubMed]
- Li, D.; Zhang, R.; Lan, H.; Chen, M.; Huang, Z.; Zhao, H.; Guo, S.; Xu, M.; Lei, Y. A retrospective study on adverse events of intravenous administration of sulfur hexafluoride microbubbles in abdominal and superficial applications in 83,778 patients. Insights Imaging. Insights Imaging 2024, 15, 65. [Google Scholar] [CrossRef] [PubMed]
- Möller, K.; Dietz, F.; Ludwig, M.; Eisenmann, S.; Görg, C.; Zadeh, E.S.; Blank, W.; Jenssen, C.; Vetchy, V.; Möller, B.; et al. Comments and Illustrations of the European Federation of Societies for Ultrasound in Medicine (EFSUMB) Guidelines: Rare Malignant Pulmonal and Pleural Tumors: Primary Pulmonary Sarcoma and Mesothelioma, Imaging Features on Transthoracic Ultrasound. Diagnostics 2024, 14, 2339–2360. [Google Scholar] [CrossRef] [PubMed]
- Qureshi, N.R.; Rahman, N.M.; Gleeson, F.V. Thoracic ultrasound in the diagnosis of malignant pleural effusion. Thorax 2009, 64, 139–143. [Google Scholar] [CrossRef] [PubMed]
- Yang, H.; Zhang, Y.; Wei, D.; Chen, W.; Zhang, S.; He, L.; Liao, H.; Tang, Q.; Liu, J. Utility of high-frequency B-mode and contrast-enhanced ultrasound for the differential diagnosis of benign and malignant pleural diseases: A prospective study. J. Thorac. Dis. 2022, 14, 3695–3705. [Google Scholar] [CrossRef] [PubMed]
- Findeisen, H.; Görg, C.; Hartbrich, R.; Dietrich, C.F.; Görg, K.; Trenker, C.; Zadeh, E.S. Contrast-enhanced ultrasound is helpful for differentiating benign from malignant parietal pleural lesions. J. Clin. Ultrasound 2022, 50, 90–98. [Google Scholar] [CrossRef] [PubMed]
- Hallifax, R.J.; Corcoran, J.P.; Ahmed, A.; Nagendran, M.; Rostom, H.; Hassan, N.; Maruthappu, M.; Psallidas, I.; Manuel, A.; Gleeson, F.V.; et al. Physician-based ultrasound-guided biopsy for diagnosing pleural disease. Chest 2014, 146, 1001–1006. [Google Scholar] [CrossRef] [PubMed]
- Moller, K.; Dietrich, C.F.; Faiss, S.; Mutze, S.; Goelz, L. Alternatives of histological material collection—When and how is histological confirmation by ultrasound (US), computer tomography (CT) or endosonography (EUS) useful? Z. Fur. Gastroenterologie. 2022, 60, 937–958. [Google Scholar]
- Blank, W.; Müller, T. Interventional Chest Sonography. In Chest Sonography, 15th ed.; Mathis, G., Ed.; Springer: Cham, Switzerland, 2023; pp. 197–216. [Google Scholar]
- Messina, G.; Bove, M.; Natale, G.; Di Filippo, V.; Opromolla, G.; Rainone, A.; Leonardi, B.; Martone, M.; Fiorelli, A.; Vicidomini, G.; et al. Diagnosis of malignant pleural disease: Ultrasound as “a detective probe”. Thorac. Cancer 2023, 14, 223–230. [Google Scholar] [CrossRef] [PubMed]
- Chira, R.; Chira, A.; Săplăcan, R.M.; Nagy, G.; Binţinţan, A.; Mircea, P.A. Pleural ultrasonography. Pictorial essay. Med. Ultrason. 2014, 16, 364–371. [Google Scholar]
- Kearney, S.; Davies, C.; Davies, R.; Gleeson, F. Computed tomography and ultrasound in parapneumonic effusions and empyema. Clin. Radiol. 2000, 55, 542–547. [Google Scholar] [CrossRef]
- Tu, C.Y.; Hsu, W.H.; Hsia, T.C.; Chen, H.J.; Tsai, K.D.; Hung, C.W.; Shih, C.-M. Pleural effusions in febrile medical ICU patients: Chest ultrasound study. Chest 2004, 126, 1274–1280. [Google Scholar] [CrossRef][Green Version]
- Foley, S.P.F.; Parrish, J.S. Pleural Space Infections. Life 2023, 13, 376–394. [Google Scholar] [CrossRef]
- Yang, L.; Wang, K.; Li, W.; Liu, D. Chest ultrasound is better than CT in identifying septated effusion of patients with pleural disease. Sci Rep. Sci. Rep. 2024, 14, 11964. [Google Scholar]
- Moore, C.A.; Kapila, A.; Krishnaswamy, G.; Bajaj, K. Empyema Necessitans: An Unexpected Infectious Presentation of Multiple Myeloma. J. Glob. Infect. Dis. 2017, 9, 163–164. [Google Scholar] [CrossRef] [PubMed]
- Benaragama, H.N.; Pushpakumara, J.; Wanigasuriya, K.P. Empyema Necessitans due to Interruption of Antituberculosis Treatment. Case Rep. Infect. Dis. 2019, 2019, 4810354. [Google Scholar] [CrossRef] [PubMed]
- Ellebrecht, D.B.; Pross, M.M.; Schierholz, S.; Palade, E. Actinomyces Meyeri Empyema Necessitatis-A Case Report and Review of the Literature. Surg. J. 2019, 5, e57–e61. [Google Scholar] [CrossRef] [PubMed]
- Macharia, A.-M.; Ombajo, L.A.; Farah, A.H.; Walong, E.O.; Mwango, G.N.; Wamalwa, D. Empyema necessitans due to aspergillus in a 3-year-old paediatric patient at a referral hospital in Nairobi, Kenya. Pan Afr. Med. J. 2019, 34, 86. [Google Scholar] [CrossRef] [PubMed]
- Homsi, N.; Kapila, R. Aggregatibacter actinomycetemcomitans Causing Empyema Necessitans and Pyomyositis in an Immunocompetent Patient. Cureus 2020, 12, e9454. [Google Scholar] [CrossRef] [PubMed]
- Chen, H.-J.; Hsu, W.-H.; Tu, C.-Y.; Yu, Y.-H.; Chiu, K.-L.; Hang, L.-W.; Hsia, T.-C.; Shih, C.-M. Sonographic Septation in Lymphocyte-Rich Exudative Pleural Effusions: A Useful Diagnostic Predictor for Tuberculosis. J. Ultrasound Med. 2006, 25, 857–863. [Google Scholar] [CrossRef]
- Zhou, S.; Zhao, J.; Song, X.; Zheng, M.; Li, H.; Pan, Y. Imaging manifestations of B-mode ultrasound combined with CT in tuberculous pleuritis patients and the diagnostic value. Exp. Ther. Med. 2018, 16, 2343–2348. [Google Scholar] [CrossRef] [PubMed]
- Rea, G.; Sperandeo, M.; Lieto, R.; Bocchino, M.; Quarato, C.M.I.; Feragalli, B.; Valente, T.; Scioscia, G.; Giuffreda, E.; Barbaro, M.P.F.; et al. Chest Imaging in the Diagnosis and Management of Pulmonary Tuberculosis: The Complementary Role of Thoraci Ultrasound. Front. Med. 2021, 8, 753821. [Google Scholar] [CrossRef] [PubMed]
- Möller, K.; Löwe, A.; Jenssen, C.; Chaubal, N.; Gottschall, H.; Misselwitz, B.; Kurapati, M.R.; Puritipati, A.R.; Dong, Y.; Faiss, S.; et al. Comments and Illustrations of Ultrasound Findings in Extrapulmonary Tuberculosis Manifestations. Diagnostics 2024, 14, 706. [Google Scholar] [CrossRef]
- Sun, W.; Zhou, Y.; Li, W.; Wang, Y.; Xiong, K.; Zhang, Z.; Fan, L. Diagnostic yield of Xpert MTB/RIF on contrast-enhanced ultrasound-guided pleural biopsy specimens for pleural tuberculosis. Int. J. Infect. Dis. 2021, 108, 89–95. [Google Scholar] [CrossRef]
- Yamada, A.; Taiji, R.; Nishimoto, Y.; Itoh, T.; Marugami, A.; Yamauchi, S.; Minamiguchi, K.; Yanagawa, M.; Tomiyama, N.; Tanaka, T. Pictorial Review of Pleural Disease: Multimodality Imaging and Differential Diagnosis. RadioGraphics 2024, 44, e230079. [Google Scholar] [CrossRef] [PubMed]
- Barrett, N.R. The pleura: With special reference to fibrothorax. Thorax 1970, 25, 515–524. [Google Scholar] [CrossRef][Green Version]
- Jantz, M.A.; Antony, V.B. Pleural fibrosis. Clin. Chest Med. 2006, 27, 181–191. [Google Scholar] [CrossRef] [PubMed]
- Lohr, J.M.; Beuers, U.; Vujasinovic, M.; Alvaro, D.; Frokjaer, J.B.; Buttgereit, F.; Capurso, G.; Culver, E.L.; de-Madaria, E.; Della-Torre, E.; et al. European Guideline on IgG4-related digestive disease—UEG and SGF evidence-based recommendations. United Eur. Gastroenterol. J. 2020, 8, 637–666. [Google Scholar] [CrossRef] [PubMed]
- Zen, Y.; Inoue, D.; Kitao, A.; Onodera, M.; Abo, H.; Miyayama, S.; Gabata, T.; Matsui, O.; Nakanuma, Y. IgG4-related lung and pleural disease: A clinicopathologic study of 21 cases. Am. J. Surg. Pathol. 2009, 33, 1886–1893. [Google Scholar] [CrossRef] [PubMed]
- Moura, M.C.; Gripaldo, R.; Baqir, M.; Ryu, J.H. Thoracic Involvement in IgG4-Related Disease. Semin. Respir. Crit. Care Med. 2020, 41, 202–213. [Google Scholar] [CrossRef] [PubMed]
- Muller, R.; Habert, P.; Ebbo, M.; Graveleau, J.; Groh, M.; Launay, D.; Audia, S.; Pugnet, G.; Cohen, F.; Perlat, A.; et al. Thoracic involvement and imaging patterns in IgG4-related disease. Eur. Respir. Rev. 2021, 30, 210078–210087. [Google Scholar] [CrossRef]
- Iijima, Y.; Iwai, S.; Motono, N.; Usuda, K.; Shioya, A.; Takeuchi, S.; Yamagishi, S.; Koizumi, K.; Yamada, S.; Uramoto, H. Multiple pleural nodules diagnosed as IgG4-related disease: A case report. Surg. Case Rep. 2021, 7, 84. [Google Scholar] [CrossRef] [PubMed]
- Matsui, S.; Yamamoto, H.; Minamoto, S.; Waseda, Y.; Mishima, M.; Kubo, K. Proposed diagnostic criteria for IgG4-related respiratory disease. Respir. Investig. 2015, 54, 130–132. [Google Scholar] [CrossRef] [PubMed]
- Matsui, S. IgG4-related respiratory disease. Mod. Rheumatol. 2019, 29, 251–256. [Google Scholar] [CrossRef]
- Muller, R.; Ebbo, M.; Habert, P.; Daniel, L.; Briantais, A.; Chanez, P.; Gaubert, J.Y.; Schleinitz, N. Thoracic manifestations of IgG4-related disease. Respirology 2022, 28, 120–131. [Google Scholar] [CrossRef] [PubMed]
- Kim, D.H.; Koh, K.H.; Oh, H.S.; Kim, S.J.; Kang, S.H.; Jung, B.W.; Song, J.G.; Cheon, M.J.; Bin Yoon, S.; Park, Y.W.; et al. A case of immunoglobulin g4-related disease presenting as a pleural mass. Tuberc. Respir. Dis. 2014, 76, 38–41. [Google Scholar] [CrossRef]
- Sunnetcioglu, A.; Sertogullarindan, B.; Batur, A.; Bayram, I. A case of sarcoidosis with pleural involvement. Clin. Respir. J. 2016, 12, 334–336. [Google Scholar] [CrossRef]
- Soskel, N.T.; Sharma, O.P. Pleural involvement in sarcoidosis. Curr. Opin. Pulm. Med. 2000, 6, 455–468. [Google Scholar] [CrossRef] [PubMed]
- Chopra, A.; Foulke, L.; Judson, M.A. Sarcoidosis associated pleural effusion: Clinical aspects. Respir. Med. 2021, 191, 106723. [Google Scholar] [CrossRef] [PubMed]
- Chusid, E.L.; Siltzbach, L.E. Sarcoidosis of the pleura. Ann. Intern. Med. 1974, 81, 190–194. [Google Scholar] [CrossRef] [PubMed]
- Huggins, J.T.; Doelken, P.; Sahn, S.A.; King, L.; Judson, M.A. Pleural effusions in a series of 181 outpatients with sarcoidosis. Chest 2006, 129, 1599–1604. [Google Scholar] [CrossRef] [PubMed]
- Brauner, M.W.; Grenier, P.; Mompoint, D.; Lenoir, S.; de Crémoux, H. Pulmonary sarcoidosis: Evaluation with high-resolution CT. Radiology 1989, 172, 467–471. [Google Scholar] [CrossRef] [PubMed]
- Szwarcberg, J.B.; Glajchen, N.; Teirstein, A.S. Pleural involvement in chronic sarcoidosis detected by thoracic CT scanning. Sarcoidosis Vasc. Diffus. Lung Dis. 2005, 22, 58–62. [Google Scholar]
- Ji, X.; Lu, J.; Zuo, A.; Sun, F.; Peng, H.; Lu, D. Pleural involvements in pulmonary sarcoidosis: A case report and review of the literature. Front. Med. 2022, 9, 902711. [Google Scholar] [CrossRef] [PubMed]
- Tada, L.; Anjum, H.; Linville, W.K.; Surani, S. Recurrent Pleural Effusions Occurring in Association with Primary Pulmonary Amyloidosis. Case Rep. Pulmonol. 2015, 2015, 421201. [Google Scholar] [CrossRef]
- Brandelik, S.C.; Heussel, C.P.; Kauczor, H.-U.; Röcken, C.; Huber, L.; Basset, M.; Kimmich, C.; Schönland, S.O.; Hegenbart, U.; Nattenmüller, J. CT features in amyloidosis of the respiratory system—Comprehensive analysis in a tertiary referral center cohort. Eur. J. Radiol. 2020, 129, 109123. [Google Scholar] [CrossRef] [PubMed]
- Jaramillo, F.A.; Gutierrez, F.; Bhalla, S. Pleural tumours and tumour-like lesions. Clin. Radiol. 2018, 73, 1014–1024. [Google Scholar] [CrossRef] [PubMed]
- Ferreiro, L.; Álvarez-Dobaño, J.M.; Valdés, L. Systemic diseases and the pleura. Arch. De Bronc. 2011, 47, 361–370. [Google Scholar] [CrossRef]
- Fishwick, D.; Barber, C.M. Non-malignant asbestos-related diseases: A clinical view. Clin. Med. 2014, 14, 68–71. [Google Scholar] [CrossRef]
- Musk, A.W.; de Klerk, N.; Reid, A.; Hui, J.; Franklin, P.; Brims, F. Asbestos-related diseases. Int. J. Tuberc. Lung Dis. 2020, 24, 562–567. [Google Scholar] [CrossRef] [PubMed]
- Zadeh, E.S.; Huber, K.P.; Görg, C.; Prosch, H.; Findeisen, H. The Value of Contrast-Enhanced Ultrasound (CEUS) in the Evaluation of Central Lung Cancer with Obstructive Atelectasis. Diagnostics 2024, 14, 1051–1063. [Google Scholar] [CrossRef]
- O’Connor, J.V.; Brown, C.C.; Thomas, J.K.; Williams, J.; Wallsh, E. Thoracic splenosis. Ann. Thorac. Surg. 1998, 66, 552–553. [Google Scholar] [CrossRef] [PubMed]
- Föh, B.; Sieren, M.M.; Both, M.; Seeger, M.; Günther, R. Extensive intrathoracic and intraperitoneal splenosis mimicking mesothelioma: A case report. J. Med. Case Rep. 2022, 16, 73. [Google Scholar] [CrossRef]
- Kroenig, J.; Zadeh, E.S.; Westhoff, C.C.; Klemmer, A.; Alhyari, A.; Görg, C. Diagnosis of Thoracic Splenosis by Contrast-Enhanced Ultrasound (CEUS). Ultraschall Med. 2022, 44, 645–646. [Google Scholar] [CrossRef]
- De Robertis, R.; D’Onofrio, M.; Manfrin, E.; Dal Bo, C.; Pozzi Mucelli, R. A rare case of pancreatic head splenosis diagnosed by contrast-enhanced ultrasound. Ultraschall Med. 2014, 35, 72–74. [Google Scholar] [CrossRef]
- Gotoh, M.; Sato, N.; Abe, T.; Suzuki, N.; Waragai, M.; Teranishi, Y.; Takano, Y.; Sato, A.; Azami, A. Intrahepatic splenosis in a chronic hepatitis C patient with no history of splenic trauma mimicking hepatocellular carcinoma. Am. J. Case Rep. 2014, 15, 416–420. [Google Scholar] [CrossRef]
- Zhong, X.; Yang, L.; Huang, J.; Deng, L.; Nie, L.; Lu, Q. Contrast-enhanced ultrasonographic imaging of hepatic splenosis: A case report. Medicine 2021, 100, e24243. [Google Scholar] [CrossRef] [PubMed]
- Xiao, M.; Liang, J.; Ren, J.; Zheng, R.; Wu, L. The imaging features of ectopic spleen: Which modality is more consistent? A cases series report and literature reviews. Front. Oncol. 2024, 14, 1310394. [Google Scholar] [CrossRef]
- Khan, A.M.; Manzoor, K.; Malik, Z.; Avsar, Y.; Shim, C. Thoracic splenosis: Know it--avoid unnecessary investigations, interventions, and thoracotomy. Gen. Thorac. Cardiovasc. Surg. 2011, 59, 245–253. [Google Scholar] [CrossRef] [PubMed]
- Nisolle, M.; Donnez, J. Peritoneal endometriosis, ovarian endometriosis, and adenomyotic nodules of the rectovaginal septum are three different entities. Fertil Steril. 2019, 112, e125–e136. [Google Scholar] [CrossRef] [PubMed]
- Andres, M.P.; Arcoverde, F.V.; Souza, C.C.; Fernandes, L.F.C.; Abrão, M.S.; Kho, R.M. Extrapelvic Endometriosis: A Systematic Review. J. Minim. Invasive Gynecol. 2019, 27, 373–389. [Google Scholar] [CrossRef] [PubMed]
- Ochi, T.; Kurihara, M.; Tsuboshima, K.; Nonaka, Y.; Kumasaka, T. Dynamics of thoracic endometriosis in the pleural cavity. PLoS ONE 2022, 17, e0268299. [Google Scholar] [CrossRef] [PubMed]
- Nezhat, C.; Lindheim, S.R.; Backhus, L.; Vu, M.; Vang, N.; Nezhat, A.; Nezhat, C.A. Thoracic Endometriosis Syndrome: A Review of Diagnosis and Management. JSLS 2019, 23, e2019.00029-37. [Google Scholar] [CrossRef] [PubMed]
- Zheng, Z.; Zhang, S.; Zheng, C.; Wang, R.; Zhang, Y.; Chen, P.; Zhou, S.; Luo, B.; Di, N. Qualitative and quantitative features of deep endometriosis in contrast-enhanced ultrasound: An initial experience and literature review. Clin. Hemorheol. Microcirc. 2023, 85, 73–82. [Google Scholar] [CrossRef] [PubMed]
- Monzen, Y.; Okazaki, H.; Kurose, T.; Mito, M.; Wadasaki, K.; Nishisaka, T. An unusual unilocular mesothelial cyst of the pleura: A case report. Clin. Nucl. Med. 2011, 36, 568–569. [Google Scholar] [CrossRef] [PubMed]
- Matsuoka, H.; Matsubara, H.; Sugimura, A.; Uchida, T.; Ichihara, T.; Nakazawa, T.; Nakajima, H. Mesothelial cyst derived from chest wall pleura growing after thoracic surgery: A case report. J. Med. Case Rep. 2019, 13, 1. [Google Scholar] [CrossRef]
- Sudhakaran, D.; Chandrashekhara, S.H.; Kumar, S.; Sulaiman, M. Unusual giant pleural lipomas: Imaging features. BMJ Case Rep. 2021, 14, e238870. [Google Scholar] [CrossRef] [PubMed]
- Stramare, R.; Gazzola, M.; Coran, A.; Sommavilla, M.; Beltrame, V.; Gerardi, M.; Scattolin, G.; Faccinetto, A.; Rastrelli, M.; Grisan, E.; et al. Contrast-enhanced ultrasound findings in soft-tissue lesions: Preliminary results. J. Ultrasound 2013, 16, 21–27. [Google Scholar] [CrossRef] [PubMed]
- Salahudeen, H.; Hoey, E.; Robertson, R.; Darby, M. CT appearances of pleural tumours. Clin. Radiol. 2009, 64, 918–930. [Google Scholar] [CrossRef]
- England, D.M.; Hochholzer, L.; McCarthy, M.J. Localized benign and malignant fibrous tumors of the pleura. A clinicopathologic review of 223 cases. Am. J. Surg. Pathol. 1989, 13, 640–658. [Google Scholar] [CrossRef]
- Enon, S.; Yuksel, C.; Cangir, A.K.; Percinel, S.; Sak, S.D.; Gungor, A.; Kavukcu, S.; Okten, I.; Kilic, D. Benign localized fibrous tumor of the pleura: Report of 25 new cases. Thorac. Cardiovasc. Surg. 2012, 60, 468–473. [Google Scholar] [CrossRef] [PubMed]
- Safaei, S.; Kimiaei, A.; Çağan, P.; Kutlu, C.A. Benign Solitary Fibrous Tumor of the Pleura. Cureus 2024, 16, e54111. [Google Scholar] [CrossRef]
- Badea, R.; Barsan, M.; Mercea, V.; Encica, S.; Socaciu, M.; Procopet, B. A case report of solitary fibrous tumor of the pleura: Ultrasound diagnostic features. J. Med. Ultrason. 2012, 39, 97–100. [Google Scholar] [CrossRef]
- Cardillo, G.; Carbone, L.; Carleo, F.; Masala, N.; Graziano, P.; Bray, A.; Martelli, M. Solitary fibrous tumors of the pleura: An analysis of 110 patients treated in a single institution. Ann. Thorac. Surg. 2009, 88, 1632–1637. [Google Scholar] [CrossRef] [PubMed]
- Hu, S.; Chen, Y.; Wang, Y.; Chen, K.M.; Song, Q. Clinical and CT manifestation of pleural schwannoma. Acta Radiol. 2012, 53, 1137–1141. [Google Scholar] [CrossRef] [PubMed]
- Iwasaki, T. Giant ancient schwannoma of the pleura: Commentary. Lung India Off. Organ Indian Chest Soc. 2016, 33, 449–450. [Google Scholar] [CrossRef]
- Shoaib, D.; Zahir, M.N.; Khan, S.R.; Jabbar, A.A.; Rashid, Y.A. Difficulty Breathing or Just a Case of the Nerves? Incidental Finding of Primary Pleural Schwannoma in a COVID-19 Survivor. Cureus 2021, 13, e17511. [Google Scholar] [CrossRef] [PubMed]
- McClenathan, J.H.; Bloom, R.J. Peripheral tumors of the intercostal nerves. Ann. Thorac. Surg. 2004, 78, 713–714. [Google Scholar] [CrossRef] [PubMed]
- Boland, J.M.; Colby, T.V.; Folpe, A.L. Intrathoracic peripheral nerve sheath tumors—A clinicopathological study of 75 cases. Hum. Pathol. 2015, 46, 419–425. [Google Scholar] [CrossRef]
- Wippold, F.J.; 2nd Lubner, M.; Perrin, R.J.; Lammle, M.; Perry, A. Neuropathology for the neuroradiologist: Antoni A and Antoni B tissue patterns. AJNR Am. J. Neuroradiol. 2007, 28, 1633–1638. [Google Scholar] [CrossRef]
- Wu, W.-T.; Chang, K.-V.; Ozcakar, L. Ultrasound Examination Facilitated the Diagnosis of an Intercostal Schwannoma. Cureus 2022, 14, e26079. [Google Scholar] [CrossRef] [PubMed]
- Chacko, B.R.; Irodi, A.; Valsa, S.; Gnanamuthu, B.R.; Korula, A. Unusual cystic lesions within pleural effusion. Asian Cardiovasc. Thorac. Ann. 2013, 22, 105. [Google Scholar] [CrossRef]
- Vetrano, I.G.; Prada, F.; Erbetta, A.; DiMeco, F. Intraoperative Ultrasound and Contrast-Enhanced Ultrasound (CEUS) Features in a Case of Intradural Extramedullary Dorsal Schwannoma Mimicking an Intramedullary Lesion. Ultraschall Med. 2015, 36, 309–311. [Google Scholar] [CrossRef] [PubMed]
- Pourmolkara, D.; Napolitano, A.G.; Coviello, E.; Puma, F. Giant intrathoracic cystic schwannoma resected by video-assisted thoracoscopic surgery. Interdiscip. Cardiovasc. Thorac. Surg. 2023, 37, ivad169-172. [Google Scholar] [CrossRef] [PubMed]
- Caers, J.; Paiva, B.; Zamagni, E.; Leleu, X.; Bladé, J.; Kristinsson, S.Y.; Touzeau, C.; Abildgaard, N.; Terpos, E.; Heusschen, R.; et al. Diagnosis, treatment, and response assessment in solitary plasmacytoma: Updated recommendations from a European Expert Panel. J. Hematol. Oncol. 2018, 11, 10. [Google Scholar] [CrossRef] [PubMed]
- Kilciksiz, S.; Karakoyun-Celik, O.; Agaoglu, F.Y.; Haydaroglu, A. A review for solitary plasmacytoma of bone and extramedullary plasmacytoma. Sci. World J. 2012, 2012, 895765. [Google Scholar] [CrossRef]
- Ding, H.; Mo, Z.-Q.; Xu, H.; Zhang, Y.-M.; Yuan, W.-Z.; Zeng, Z.-S. CT and MRI Findings of Solitary Extramedullary Plasmacytoma: A Series of Ten Case Reports and Review of Literature. Curr. Med. Imaging Former. Curr. Med. Imaging Rev. 2023, 19, 1308–1314. [Google Scholar] [CrossRef] [PubMed]






















| Benign | Malignant |
|---|---|
| Infectious/inflammatory, post-traumatic: Empyema tuberculous pleuritis hemothorax fibrothorax Systemic diseases: IgG4 related diseases Sarcoidosis Amyloidosis Connective tissue diseases, vasculitis | Metastases Malignant pleural mesothelioma Malignant SFT Sarcoma |
| Tumor-like lesions: Plaques Diffuse pleural thickening associated with asbestos exposure Splenosis Endometriosis Mesothelial cysts Lymphangiomatosis | |
| Benign tumors: Lipoma Benign SFT Schwannoma Solitary extramedullary (extraosseous) Plasmacytoma |
| Pleural Lesion | Appearance in TUS (and CEUS) |
|---|---|
| Benign pleural thickening | Usually less than 10 mm thick, evenly thickened, no nodular thickening |
| Empyema | Hypoechoic thickened pleura, internal echos in the pleural effusion, hypoechoic pus, hyperechoic gas reflexes, fibrin strands, and chambering. In the phase of organization, thickened pleura, chambering of the pleural space. |
| Empyema necessitans | Exceeds the parietal pleura and infiltrates the surrounding soft tissue and chest wall muscles. |
| Tuberculous pleuritis | Pleura effusion with fibrin strands, pleural calcification, and thickening. Hypoechoic granulomatous inflammation and granulomas with hyper-enhancement on CEUS in thickened pleura. Hypoechoic caseous abscesses in thickened pleura, hypo- or nonenhanced, heterogeneously enhanced lesions, with contrast-enhanced septations and contrast-enhanced rim. |
| Hemothorax | Pleural effusion, blood appears as hypoechoic content. Pleural thickening, fibrin, and septa may form. |
| Fibrothorax | Extensive and dense fibrosis of the visceral pleura, with fusion of the visceral and parietal pleural layers, no lung sliding. |
| Encapsulated pleural effusions | Round, smoothly circumscribed hypoechoic or anechoic masses. No evidence of macrovessels in CDI. Non-enhanced in CEUS. |
| Plaques | Ovoid, hypoechoic, homogeneous lesions. Calcifications are possible. |
| Splenosis | Round, homogeneous lesions. Macrovessels on CDI are possible. Spleen-typical contrast behavior in CEUS with long-lasting contrast enhancement over several minutes. |
| Thoracal endometriosis | (Catamenial) hemothorax (and pneumothorax). |
| Mesothelial cysts | Typical cyst criteria. If the content is hypoechoic and not anechoic due to near-field artifacts, CEUS is helpful. Non-enhanced in CEUS. |
| Lipoma | Homogeneous or heterogeneous hypoechoic mass without any calcification or internal vascular supply. Slight heterogenous hypoenhancement on CEUS. |
| Benign solitary fibrous tumor | Smoothly bordered, hypoechoic. Examples with a nodular shape have been described. Larger tumors can have cystic parts. With few data and based on our example, the solid parts are hyper-enhanced in CEUS. |
| Schwannoma | Round or oval, smoothly bordered, hypoechoic. Cystic parts are typical, especially in larger tumors. In CEUS, the solid parts are hyper-enhanced. |
| Solitary extramedullary plasmacytoma | Round, hypoechoic tumor. Macrovessels on CDI. Homogeneous hyper-enhancement on CEUS. |
Disclaimer/Publisher’s Note: The statements, opinions and data contained in all publications are solely those of the individual author(s) and contributor(s) and not of MDPI and/or the editor(s). MDPI and/or the editor(s) disclaim responsibility for any injury to people or property resulting from any ideas, methods, instructions or products referred to in the content. |
© 2025 by the authors. Licensee MDPI, Basel, Switzerland. This article is an open access article distributed under the terms and conditions of the Creative Commons Attribution (CC BY) license (https://creativecommons.org/licenses/by/4.0/).
Share and Cite
Möller, K.; Maruskin, T.; Ludwig, M.; Blank, W.; Eisenmann, S.; Jenssen, C.; Findeisen, H.; Möller, B.; Dietrich, C.F. Comments and Illustrations of the European Federation of Societies for Ultrasound in Medicine Guidelines: Benign Pleura Lesions (Benign Pleura Thickening, Lesions and Masses)—What Can Be Seen on Transthoracic Ultrasound? Diagnostics 2025, 15, 176. https://doi.org/10.3390/diagnostics15020176
Möller K, Maruskin T, Ludwig M, Blank W, Eisenmann S, Jenssen C, Findeisen H, Möller B, Dietrich CF. Comments and Illustrations of the European Federation of Societies for Ultrasound in Medicine Guidelines: Benign Pleura Lesions (Benign Pleura Thickening, Lesions and Masses)—What Can Be Seen on Transthoracic Ultrasound? Diagnostics. 2025; 15(2):176. https://doi.org/10.3390/diagnostics15020176
Chicago/Turabian StyleMöller, Kathleen, Tomas Maruskin, Michael Ludwig, Wolfgang Blank, Stephan Eisenmann, Christian Jenssen, Hajo Findeisen, Burkhard Möller, and Christoph F. Dietrich. 2025. "Comments and Illustrations of the European Federation of Societies for Ultrasound in Medicine Guidelines: Benign Pleura Lesions (Benign Pleura Thickening, Lesions and Masses)—What Can Be Seen on Transthoracic Ultrasound?" Diagnostics 15, no. 2: 176. https://doi.org/10.3390/diagnostics15020176
APA StyleMöller, K., Maruskin, T., Ludwig, M., Blank, W., Eisenmann, S., Jenssen, C., Findeisen, H., Möller, B., & Dietrich, C. F. (2025). Comments and Illustrations of the European Federation of Societies for Ultrasound in Medicine Guidelines: Benign Pleura Lesions (Benign Pleura Thickening, Lesions and Masses)—What Can Be Seen on Transthoracic Ultrasound? Diagnostics, 15(2), 176. https://doi.org/10.3390/diagnostics15020176

