Correlation Between Weber Classification of Ankle Fractures and Medial Clear Space Widening on Radiography
Abstract
1. Introduction
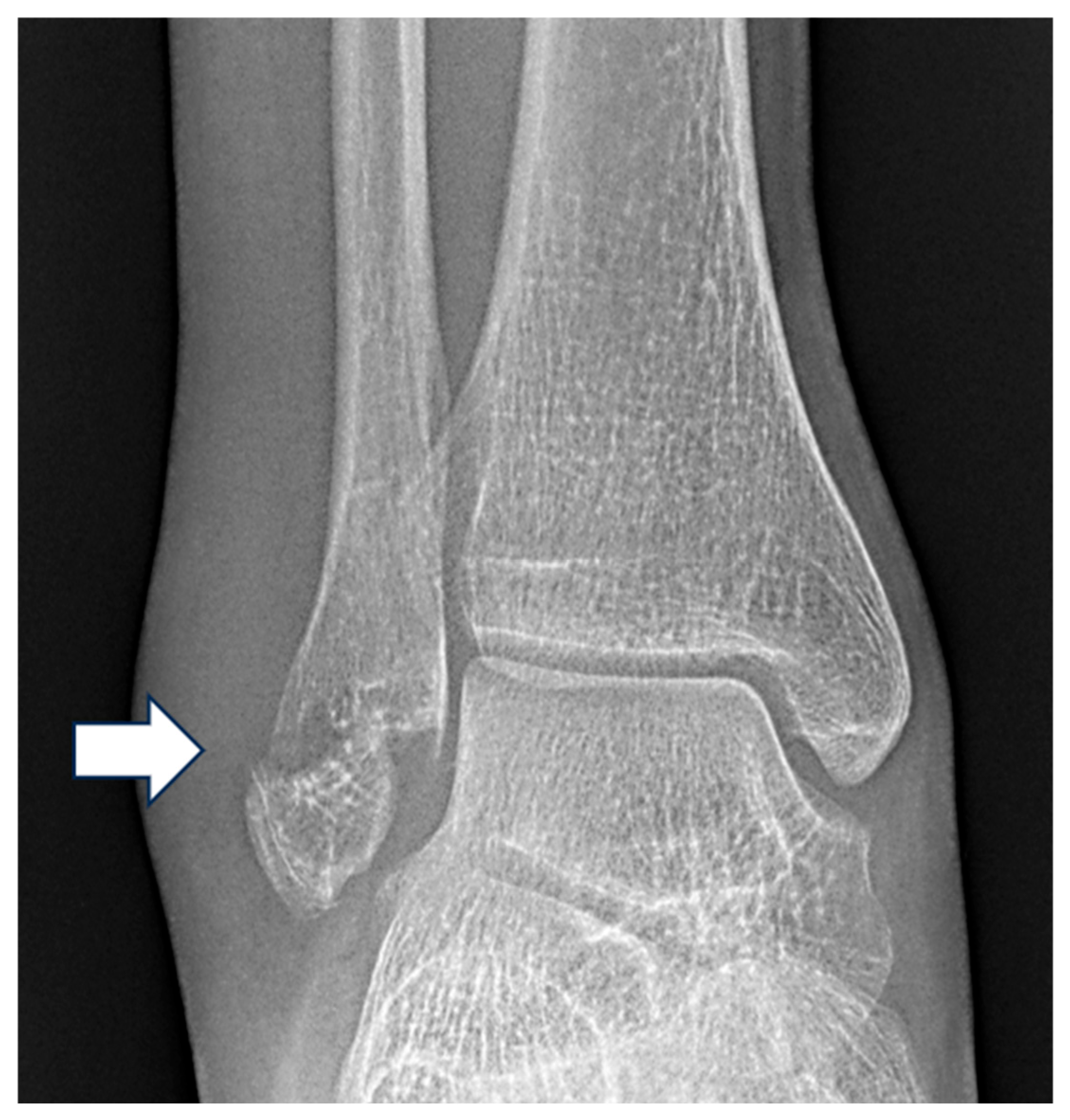
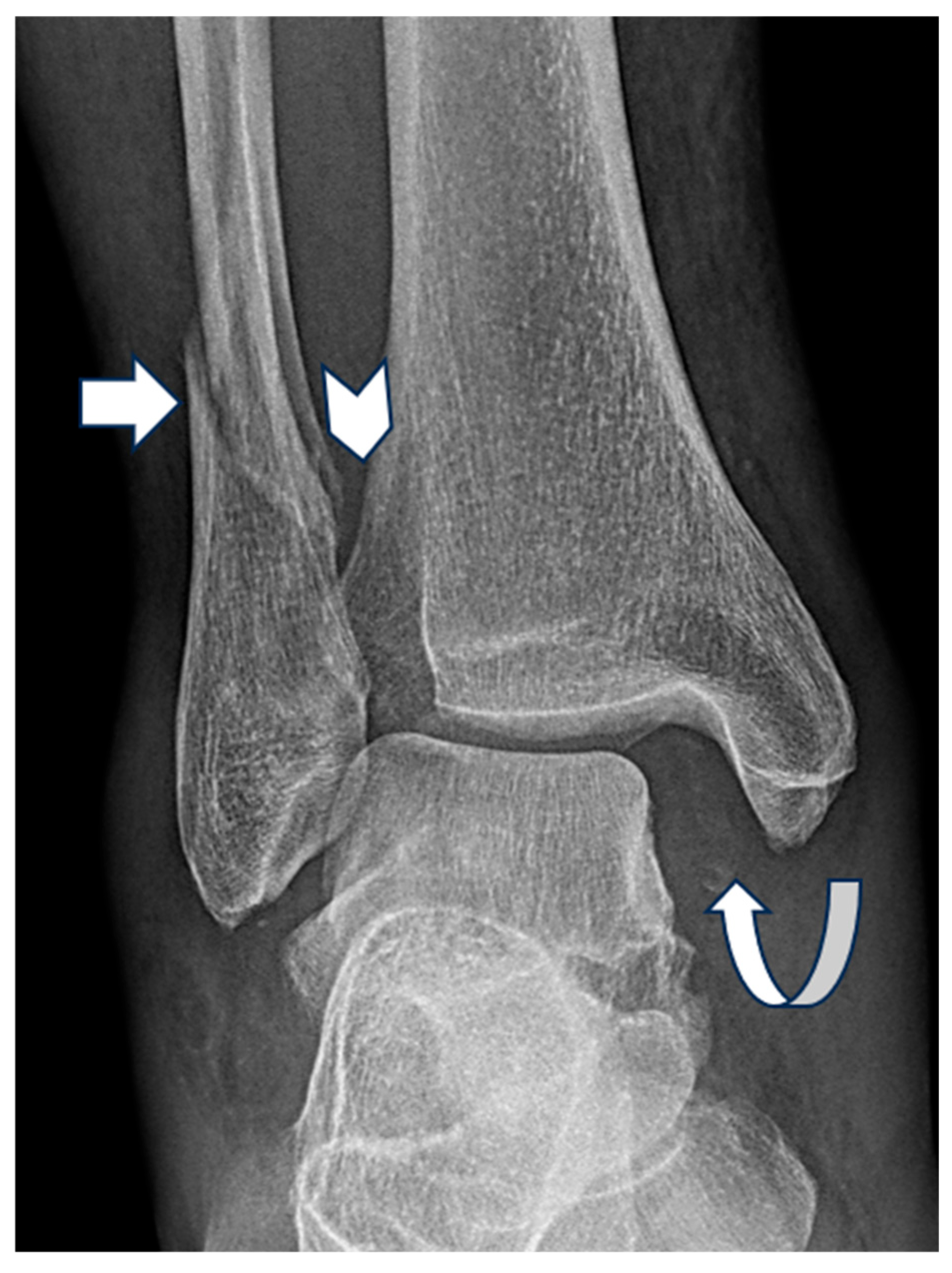
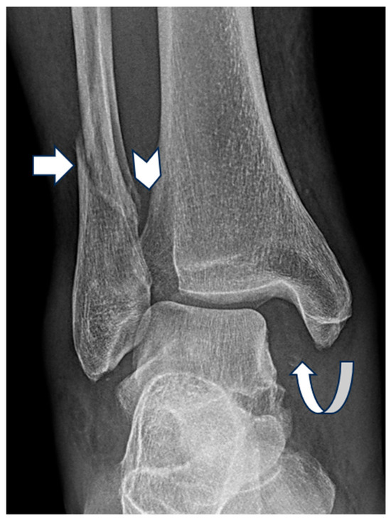
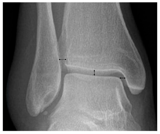
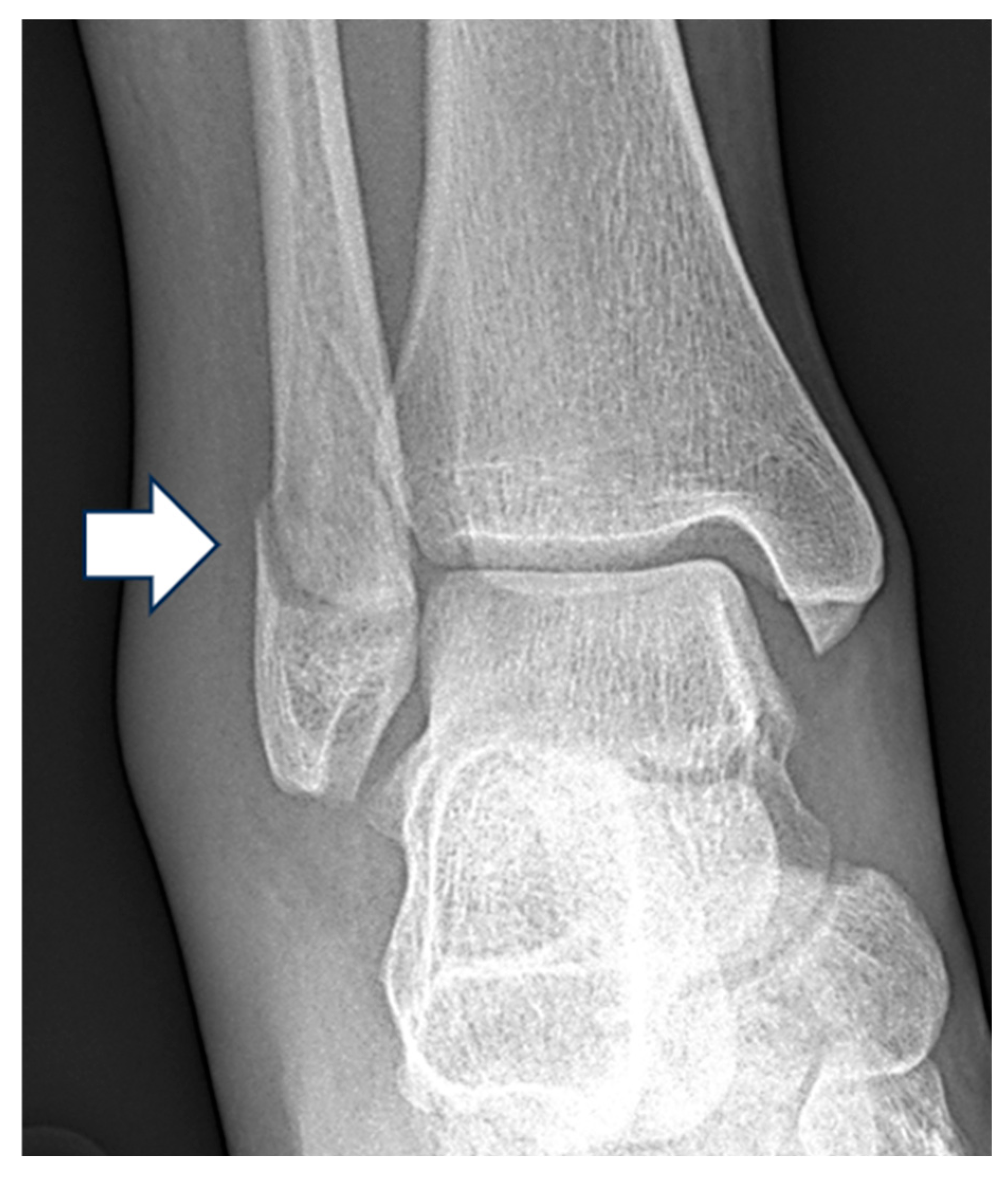
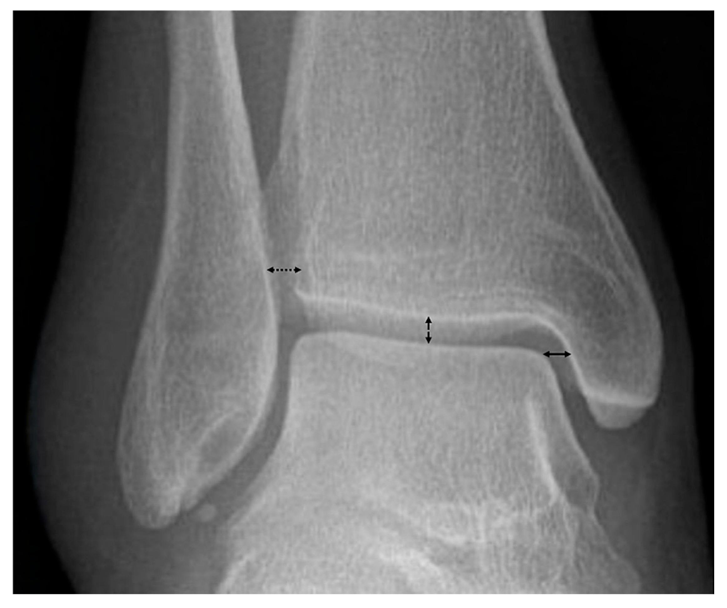
2. Materials and Methods
Ethics
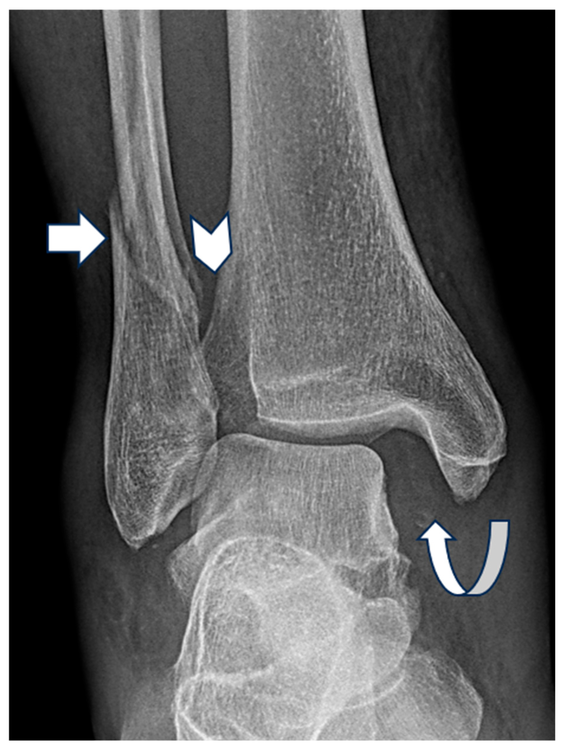
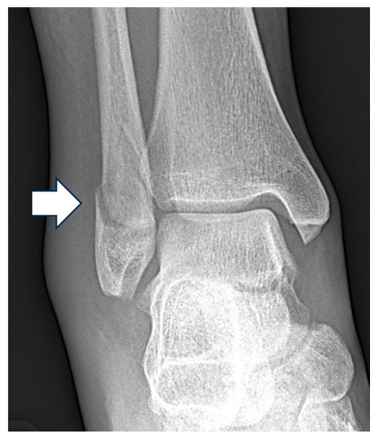
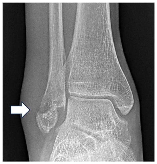
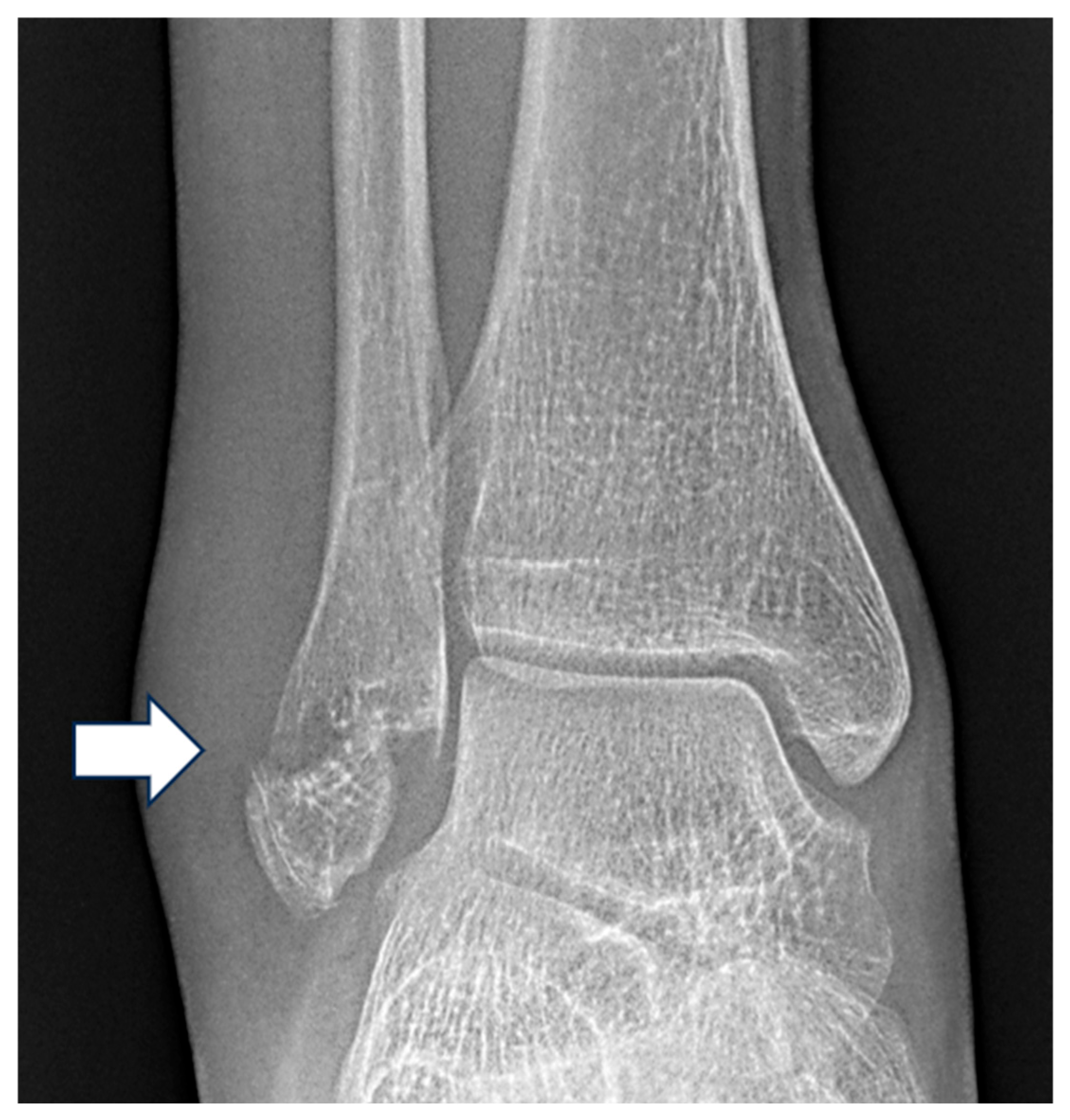
3. Results
4. Discussion
5. Conclusions
Author Contributions
Funding
Institutional Review Board Statement
Informed Consent Statement
Data Availability Statement
Conflicts of Interest
References
- Court-Brown, C.M.; Caesar, B. Epidemiology of adult fractures: A review. Injury 2006, 37, 691–697. [Google Scholar] [CrossRef] [PubMed]
- Shibuya, N.; Davis, M.L.; Jupiter, D.C. Epidemiology of Foot and Ankle Fractures in the United States: An Analysis of the National Trauma Data Bank (2007 to 2011). J. Foot Ankle Surg. 2014, 53, 606–608. [Google Scholar] [CrossRef] [PubMed]
- Hintermann, B.; Regazzoni, P.; Lampert, C.; Stutz, G.; Gächter, A. Arthroscopic findings in acute fractures of the ankle. J. Bone Jt. Surg. Br. 2000, 82, 345–351. [Google Scholar] [CrossRef]
- Jeong, M.S.; Choi, Y.S.; Kim, Y.J.; Kim, J.S.; Young, K.W.; Jung, Y.Y. Deltoid ligament in acute ankle injury: MR imaging analysis. Skelet. Radiol. 2014, 43, 655–663. [Google Scholar] [CrossRef] [PubMed]
- Baird, R.A.; Jackson, S.T. Fractures of the distal part of the fibula with associated disruption of the deltoid ligament. Treatment without repair of the deltoid ligament. J. Bone Jt. Surg. Am. 1987, 69, 1346–1352. [Google Scholar]
- Harper, M.C. The deltoid ligament. An evaluation of need for surgical repair. Clin. Orthop. Relat. Res. 1988, 226, 156–168. [Google Scholar] [CrossRef]
- Lee, S.; Lin, J.; Hamid, K.S.; Bohl, D.D. Deltoid Ligament Rupture in Ankle Fracture: Diagnosis and Management. JAAOS-J. Am. Acad. Orthop. Surg. 2019, 27, e648–e658. [Google Scholar] [CrossRef]
- Cao, M.-M.; Zhang, Y.-W.; Hu, S.-Y.; Rui, Y.-F. A systematic review of ankle fracture-dislocations: Recent update and future prospects. Front. Surg. 2022, 9, 965814. [Google Scholar] [CrossRef]
- de Souza, L.J.; Gustilo, R.B.; Meyer, T.J. Results of operative treatment of displaced external rotation-abduction fractures of the ankle. J. Bone Jt. Surg. Am. 1985, 67, 1066–1074. [Google Scholar] [CrossRef]
- Zeegers, A.V.; van der Werken, C. Rupture of the deltoid ligament in ankle fractures: Should it be repaired? Injury 1989, 20, 39–41. [Google Scholar] [CrossRef]
- Ismail, E.E., Sr.; Al Saffar, R.A.; Motawei, K.; Hiware, S.D.; Moizuddin, K.; Shaikh, S.A.; Bayer, S.B.; Alharbi, Y.; Aldahhan, R.A.; Daimi, S.R. Defining the Components of the Deltoid Ligament (DL): A Cadaveric Study. Cureus 2022, 14, e23051. [Google Scholar] [CrossRef]
- Loozen, L.; Veljkovic, A.; Younger, A. Deltoid ligament injury and repair. J. Orthop. Surg. 2023, 31, 10225536231182345. [Google Scholar] [CrossRef]
- Hintermann, B. Medial ankle instability. Foot Ankle Clin. 2003, 8, 723–738. [Google Scholar] [CrossRef]
- Rasmussen, O. Stability of the ankle joint. Analysis of the function and traumatology of the ankle ligaments. Acta Orthop. Scand. Suppl. 1985, 211, 1–75. [Google Scholar] [CrossRef]
- Campbell, K.J.; Michalski, M.P.; Wilson, K.J.; Goldsmith, M.T.; Wijdicks, C.A.; LaPrade, R.F.; Clanton, T.O. The ligament anatomy of the deltoid complex of the ankle: A qualitative and quantitative anatomical study. J. Bone Jt. Surg. Am. 2014, 96, e62. [Google Scholar] [CrossRef]
- Watanabe, K.; Kitaoka, H.B.; Berglund, L.J.; Zhao, K.D.; Kaufman, K.R.; An, K.N. The role of ankle ligaments and articular geometry in stabilizing the ankle. Clin. Biomech. 2012, 27, 189–195. [Google Scholar] [CrossRef] [PubMed]
- Boden, S.D.; Labropoulos, P.A.; McCowin, P.; Lestini, W.F.; Hurwitz, S.R. Mechanical considerations for the syndesmosis screw. A cadaver study. J. Bone Jt. Surg. Am. 1989, 71, 1548–1555. [Google Scholar] [CrossRef]
- Grath, G.B. Widening of the ankle mortise. A clinical and experimental study. Acta Chir. Scand. Suppl. 1960, (Suppl. 263), 1–88. [Google Scholar] [PubMed]
- Harris, J.; Fallat, L. Effects of isolated Weber B fibular fractures on the tibiotalar contact area. J. Foot Ankle Surg. 2004, 43, 3–9. [Google Scholar] [CrossRef] [PubMed]
- Schuberth, J.M.; Collman, D.R.; Rush, S.M.; Ford, L.A. Deltoid ligament integrity in lateral malleolar fractures: A comparative analysis of arthroscopic and radiographic assessments. J. Foot Ankle Surg. 2004, 43, 20–29. [Google Scholar] [CrossRef]
- Michelsen, J.D.; Ahn, U.M.; Helgemo, S.L. Motion of the ankle in a simulated supination-external rotation fracture model. J. Bone Jt. Surg. Am. 1996, 78, 1024–1031. [Google Scholar] [CrossRef]
- Dabash, S.; Elabd, A.; Potter, E.; Fernandez, I.; Gerzina, C.; Thabet, A.M.; McGarvey, W.; Abdelgawad, A. Adding deltoid ligament repair in ankle fracture treatment: Is it necessary? A systematic review. Foot Ankle Surg. 2019, 25, 714–720. [Google Scholar] [CrossRef]
- Sogard, O.; McDonald, J.; Waters, M.E.; Lee, W. The clinical outcome comparison between trans-syndesmotic fixation and anatomic deltoid ligament repair in unstable ankle fractures with medial clear space widening: A systematic review and meta-analysis. Foot Ankle Surg. 2025, 31, 95–104. [Google Scholar] [CrossRef]
- Wang, J.; Stride, D.; Horner, N.S.; Petrisor, B.; Johal, H.; Khan, M.; Alolabi, B. The Role of Deltoid Ligament Repair in Ankle Fractures With Syndesmotic Instability: A Systematic Review. J. Foot Ankle Surg. 2021, 60, 132–139. [Google Scholar] [CrossRef] [PubMed]
- James, M.; Dodd, A. Management of deltoid ligament injuries in acute ankle fracture: A systematic review. Can. J. Surg. 2022, 65, E9–E15. [Google Scholar] [CrossRef] [PubMed]
- Tourne, Y.; Charbel, A.; Picard, F.; Montbarbon, E.; Saragaglia, D. Surgical treatment of bi- and trimalleolar ankle fractures: Should the medial collateral ligament be sutured or not? J. Foot Ankle Surg. 1999, 38, 24–29. [Google Scholar] [CrossRef] [PubMed]
- Strömsöe, K.; Höqevold, H.E.; Skjeldal, S.; Alho, A. The repair of a ruptured deltoid ligament is not necessary in ankle fractures. J. Bone Jt. Surg. Br. 1995, 77, 920–921. [Google Scholar] [CrossRef]
- Stufkens, S.A.; van den Bekerom, M.P.; Knupp, M.; Hintermann, B.; van Dijk, C.N. The diagnosis and treatment of deltoid ligament lesions in supination-external rotation ankle fractures: A review. Strateg. Trauma Limb Reconstr. 2012, 7, 73–85. [Google Scholar] [CrossRef] [PubMed]
- Hsu, A.R.; Lareau, C.R.; Anderson, R.B. Repair of Acute Superficial Deltoid Complex Avulsion During Ankle Fracture Fixation in National Football League Players. Foot Ankle Int. 2015, 36, 1272–1278. [Google Scholar] [CrossRef]
- Brady, A.W.; Bryniarski, A.; Brown, J.R.; Waltz, R.; Stake, I.K.; Kreulen, C.D.; Haytmanek, C.T.; Clanton, T.O. The Biomechanical Role of the Deltoid Ligament on Ankle Stability: Injury, Repair, and Augmentation. Am. J. Sports Med. 2023, 51, 2617–2624. [Google Scholar] [CrossRef]
- Pirshahid, A.A.; Brzozowski, P.; Sogbein, O.; Zdero, R.; Gee, A.; Halai, M.; Schemitsch, E.; Sanders, D.W.; Lawendy, A.R.; Del Balso, C. Biomechanical Analysis of Ankle Stability Following Deltoid Ligament Repair and Reconstruction. BioMed Res. Int. 2025, 2025, 6313005. [Google Scholar] [CrossRef]
- Yu, G.R.; Zhang, M.Z.; Aiyer, A.; Tang, X.; Xie, M.; Zeng, L.R.; Zhao, Y.G.; Li, B.; Yang, Y.F. Repair of the acute deltoid ligament complex rupture associated with ankle fractures: A multicenter clinical study. J. Foot Ankle Surg. 2015, 54, 198–202. [Google Scholar] [CrossRef]
- Little, M.M.; Berkes, M.B.; Schottel, P.C.; Garner, M.R.; Lazaro, L.E.; Birnbaum, J.F.; Helfet, D.L.; Lorich, D.G. Anatomic Fixation of Supination External Rotation Type IV Equivalent Ankle Fractures. J. Orthop. Trauma. 2015, 29, 250–255. [Google Scholar] [CrossRef]
- Zhao, H.M.; Lu, J.; Zhang, F.; Wen, X.D.; Li, Y.; Hao, D.J.; Liang, X.J. Surgical treatment of ankle fracture with or without deltoid ligament repair: A comparative study. BMC Musculoskelet. Disord. 2017, 18, 543. [Google Scholar] [CrossRef]
- Whitlock, K.G.; LaRose, M.; Barber, H.; Fletcher, A.; Cunningham, D.; Menken, L.; Yoon, R.S.; Gage, M.J. Deltoid ligament repair versus trans-syndesmotic fixation for bimalleolar equivalent ankle fractures. Injury 2022, 53, 2292–2296. [Google Scholar] [CrossRef]
- Woo, S.H.; Bae, S.Y.; Chung, H.J. Short-Term Results of a Ruptured Deltoid Ligament Repair During an Acute Ankle Fracture Fixation. Foot Ankle Int. 2018, 39, 35–45. [Google Scholar] [CrossRef]
- Salameh, M.; Alhammoud, A.; Alkhatib, N.; Attia, A.K.; Mekhaimar, M.M.; D’Hooghe, P.; Mahmoud, K. Outcome of primary deltoid ligament repair in acute ankle fractures: A meta-analysis of comparative studies. Int. Orthop. 2020, 44, 341–347. [Google Scholar] [CrossRef]
- Gibson, P.D.; Ippolito, J.A.; Hwang, J.S.; Didesch, J.; Koury, K.L.; Reilly, M.C.; Adams, M.; Sirkin, M. Physiologic widening of the medial clear space: What’s normal? J. Clin. Orthop. Trauma 2019, 10, S62–S64. [Google Scholar] [CrossRef]
- Hermans, J.J.; Wentink, N.; Beumer, A.; Hop, W.C.; Heijboer, M.P.; Moonen, A.F.; Ginai, A.Z. Correlation between radiological assessment of acute ankle fractures and syndesmotic injury on MRI. Skelet. Radiol. 2012, 41, 787–801. [Google Scholar] [CrossRef]
- Lau, B.C.; Allahabadi, S.; Palanca, A.; Oji, D.E. Understanding Radiographic Measurements Used in Foot and Ankle Surgery. J. Am. Acad. Orthop. Surg. 2022, 30, e139–e154. [Google Scholar] [CrossRef]
- Krähenbühl, N.; Weinberg, M.W.; Davidson, N.P.; Mills, M.K.; Hintermann, B.; Saltzman, C.L.; Barg, A. Imaging in syndesmotic injury: A systematic literature review. Skelet. Radiol. 2018, 47, 631–648. [Google Scholar] [CrossRef]
- DeAngelis, J.P.; Anderson, R.; DeAngelis, N.A. Understanding the superior clear space in the adult ankle. Foot Ankle Int. 2007, 28, 490–493. [Google Scholar] [CrossRef]
- Koval, K.J.; Egol, K.A.; Cheung, Y.; Goodwin, D.W.; Spratt, K.F. Does a Positive Ankle Stress Test Indicate the Need for Operative Treatment After Lateral Malleolus Fracture? A Preliminary Report. J. Orthop. Trauma 2007, 21, 449–455. [Google Scholar] [CrossRef]
- Nortunen, S.; Lepojärvi, S.; Savola, O.; Niinimäki, J.; Ohtonen, P.; Flinkkilä, T.; Lantto, I.; Kortekangas, T.; Pakarinen, H. Stability Assessment of the Ankle Mortise in Supination-External Rotation-Type Ankle Fractures: Lack of Additional Diagnostic Value of MRI. JBJS J. Bone Jt. Surg. Am. 2014, 96, 1855–1862. [Google Scholar] [CrossRef]
- Schottel, P.C.; Fabricant, P.D.; Berkes, M.B.; Garner, M.R.; Little, M.T.; Hentel, K.D.; Mintz, D.N.; Helfet, D.L.; Lorich, D.G. Manual Stress Ankle Radiography Has Poor Ability to Predict Deep Deltoid Ligament Integrity in a Supination External Rotation Fracture Cohort. J. Foot Ankle Surg. 2015, 54, 531–535. [Google Scholar] [CrossRef]
- Crim, J.R.; Beals, T.C.; Nickisch, F.; Schannen, A.; Saltzman, C.L. Deltoid Ligament Abnormalities in Chronic Lateral Ankle Instability. Foot Ankle Int. 2011, 32, 873–878. [Google Scholar] [CrossRef]
- Ribbans, W.J.; Garde, A. Tibialis posterior tendon and deltoid and spring ligament injuries in the elite athlete. Foot Ankle Clin. 2013, 18, 255–291. [Google Scholar] [CrossRef]
- McCollum, G.A.; van den Bekerom, M.P.J.; Kerkhoffs, G.M.M.J.; Calder, J.D.F.; van Dijk, C.N. Syndesmosis and deltoid ligament injuries in the athlete. Knee Surg. Sports Traumatol. Arthrosc. 2013, 21, 1795. [Google Scholar] [CrossRef]
- Kuhn, A.W.; Coughlin, M.J.; McGonegle, S.J.; Herzog, M.M.; Weir, N.; Meade Spratley, E.; O’Cain, C.M.; Anderson, R.B. Distal Tibiofibular Syndesmosis Injuries in the National Football League (NFL): A Spectrum of Pathology That Correlates With Time to Return to Full Participation. Sports Health 2025, 17, 404–411. [Google Scholar] [CrossRef]
- Chun, K.Y.; Choi, Y.S.; Lee, S.H.; Kim, J.S.; Young, K.W.; Jeong, M.S.; Kim, D.J. Deltoid Ligament and Tibiofibular Syndesmosis Injury in Chronic Lateral Ankle Instability: Magnetic Resonance Imaging Evaluation at 3T and Comparison with Arthroscopy. Korean J. Radiol. 2015, 16, 1096–1103. [Google Scholar] [CrossRef]
- Nazarenko, A.; Beltran, L.S.; Bencardino, J.T. Imaging evaluation of traumatic ligamentous injuries of the ankle and foot. Radiol. Clin. North Am. 2013, 51, 455–478. [Google Scholar] [CrossRef]
- Tornetta, P., 3rd; Axelrad, T.W.; Sibai, T.A.; Creevy, W.R. Treatment of the stress positive ligamentous SE4 ankle fracture: Incidence of syndesmotic injury and clinical decision making. J. Orthop. Trauma 2012, 26, 659–661. [Google Scholar] [CrossRef]
- van den Bekerom, M.P.; Haverkamp, D.; Kerkhoffs, G.M.; van Dijk, C.N. Syndesmotic stabilization in pronation external rotation ankle fractures. Clin. Orthop. Relat. Res. 2010, 468, 991–995. [Google Scholar] [CrossRef]
- Kennedy, J.G.; Soffe, K.E.; Dalla Vedova, P.; Stephens, M.M.; O’Brien, T.; Walsh, M.G.; McManus, F. Evaluation of the syndesmotic screw in low Weber C ankle fractures. J. Orthop. Trauma 2000, 14, 359–366. [Google Scholar] [CrossRef]
- Park, S.S.; Kubiak, E.N.; Egol, K.A.; Kummer, F.; Koval, K.J. Stress radiographs after ankle fracture: The effect of ankle position and deltoid ligament status on medial clear space measurements. J. Orthop. Trauma 2006, 20, 11–18. [Google Scholar] [CrossRef]
- Michelson, J.D. Fractures about the ankle. J. Bone Jt. Surg. Am. 1995, 77, 142–152. [Google Scholar] [CrossRef]
- van Leeuwen, C.; Haak, T.; Kop, M.; Weil, N.; Zijta, F.; Hoogendoorn, J. The additional value of gravity stress radiographs in predicting deep deltoid ligament integrity in supination external rotation ankle fractures. Eur. J. Trauma Emerg. Surg. 2019, 45, 727–735. [Google Scholar] [CrossRef]
- Hintermann, B.; Ruiz, R. Deltoid Ligament Injuries in Ankle Fractures. In Foot and Ankle Instability: A Clinical Guide to Diagnosis and Surgical Management; Hintermann, B., Ruiz, R., Eds.; Springer International Publishing: Cham, Switzerland, 2021; pp. 209–233. [Google Scholar]
- Jehlicka, D.; Bartonícek, J.; Svatos, F.; Dobiás, J. Fracture-dislocations of the ankle joint in adults. Part I: Epidemiologic evaluation of patients during a 1-year period. Acta Chir. Orthop. Traumatol. Cech. 2002, 69, 243–247. [Google Scholar]
- Beumer, A.; van Hemert, W.L.W.; Niesing, R.; Entius, C.A.C.; Ginai, A.Z.; Mulder, P.G.H.; Swierstra, B.A. Radiographic Measurement of the Distal Tibiofibular Syndesmosis Has Limited Use. Clin. Orthop. Relat. Res. 2004, 423, 227–234. [Google Scholar] [CrossRef]
- Pneumaticos, S.G.; Noble, P.C.; Chatziioannou, S.N.; Trevino, S.G. The effects of rotation on radiographic evaluation of the tibiofibular syndesmosis. Foot Ankle Int. 2002, 23, 107–111. [Google Scholar] [CrossRef]
- Harper, M.C.; Keller, T.S. A radiographic evaluation of the tibiofibular syndesmosis. Foot Ankle 1989, 10, 156–160. [Google Scholar] [CrossRef]
- Zeni, F.; Cavazos, D.R.; Bouffard, J.A.; Vaidya, R. Indications and Interpretation of Stress Radiographs in Supination External Rotation Ankle Fractures. Cureus 2023, 15, e38092. [Google Scholar] [CrossRef]
- Earll, M.; Wayne, J.; Brodrick, C.; Vokshoor, A.; Adelaar, R. Contribution of the deltoid ligament to ankle joint contact characteristics: A cadaver study. Foot Ankle Int. 1996, 17, 317–324. [Google Scholar] [CrossRef]
- Michelson, J.D.; Hamel, A.J.; Buczek, F.L.; Sharkey, N.A. Kinematic Behavior of the Ankle Following Malleolar Fracture Repair in a High-Fidelity Cadaver Model. JBJS J. Bone Jt. Surg. Am. 2002, 84, 2029–2038. [Google Scholar] [CrossRef]
- Sridharan, S.S.; Dodd, A. Diagnosis and Management of Deltoid Ligament Insufficiency. Foot Ankle Orthop. 2019, 4, 2473011419860073. [Google Scholar] [CrossRef]
- Farr, J.N.; Melton, L.J., 3rd; Achenbach, S.J.; Atkinson, E.J.; Khosla, S.; Amin, S. Fracture Incidence and Characteristics in Young Adults Aged 18 to 49 Years: A Population-Based Study. J. Bone Min. Res. 2017, 32, 2347–2354. [Google Scholar] [CrossRef]
- Geaney, L.; Cavanaugh, Z.; Sathe, V. Initial Fibular Displacement as a Predictor of Medial Clear Space Widening in Weber B Ankle Fractures. Foot Ankle Orthop. 2017, 2, 2473011417S2473000176. [Google Scholar] [CrossRef]
- Vieira Cardoso, D.; Dubois-Ferrière, V.; Gamulin, A.; Baréa, C.; Rodriguez, P.; Hannouche, D.; Lübbeke, A. Operatively treat-ed ankle fractures in Switzerland, 2002-2012: Epidemiology and associations between baseline characteristics and fracture types. BMC Musculoskelet. Disord. 2021, 22, 266. [Google Scholar] [CrossRef]
- King, C.M.; Hamilton, G.A.; Cobb, M.; Carpenter, D.; Ford, L.A. Association between ankle fractures and obesity. J. Foot Ankle Surg. 2012, 51, 543–547. [Google Scholar] [CrossRef]
- Stavem, K.; Naumann, M.G.; Sigurdsen, U.; Utvåg, S.E. Association of Body Mass Index With the Pattern of Surgically Treated Ankle Fractures Using Two Different Classification Systems. J. Foot Ankle Surg. 2017, 56, 314–318. [Google Scholar] [CrossRef]




| Pattern (n) | Measurement | Mean ± Standard Deviation (mm) | 
|---|---|---|
| Weber A (127) | Medial Clear Space | 3.3 ± 1.1 | 
| Lateral Clear Space | 4.2 ± 1.4 | |
| Superior Clear Space | 3.4 ± 0.7 | |
| Weber B (216) | Medial Clear Space | 4.4 ± 2.4 | 
| Lateral Clear Space | 4.4. ± 1.5 | |
| Superior Clear Space | 3.6 ± 0.7 | |
| Weber C (130) | Medial Clear Space | 5.7 ± 3.6 | 
| Lateral Clear Space | 5.8 ± 2.9 | |
| Superior Clear Space | 3.7 ± 0.9 | 
| Pattern (n) | Medial Clear Space | Frequency | 
|---|---|---|
| Weber A (127) | <4 mm | 90 (70.9%) | 
| 4–5 mm | 33 (26.0%) | |
| >5 mm | 4 (3.1%) | |
| Weber B (216) | <4 mm | 97 (44.9%) | 
| 4–5 mm | 83 (38.4%) | |
| >5 mm | 36 (16.7%) | |
| Weber C (130) | <4 mm | 32 (24.8%) | 
| 4–5 mm | 58 (45.0%) | |
| >5 mm | 39 (30.2%) | 
| Disclaimer/Publisher’s Note: The statements, opinions and data contained in all publications are solely those of the individual author(s) and contributor(s) and not of MDPI and/or the editor(s). MDPI and/or the editor(s) disclaim responsibility for any injury to people or property resulting from any ideas, methods, instructions or products referred to in the content. | 
© 2025 by the authors. Licensee MDPI, Basel, Switzerland. This article is an open access article distributed under the terms and conditions of the Creative Commons Attribution (CC BY) license (https://creativecommons.org/licenses/by/4.0/).
Share and Cite
Surmanowicz, P.; Hamilton, A.M.; Mondal, P.; Kulyk, P.; Sahota, N.; Obaid, H. Correlation Between Weber Classification of Ankle Fractures and Medial Clear Space Widening on Radiography. Diagnostics 2025, 15, 2085. https://doi.org/10.3390/diagnostics15162085
Surmanowicz P, Hamilton AM, Mondal P, Kulyk P, Sahota N, Obaid H. Correlation Between Weber Classification of Ankle Fractures and Medial Clear Space Widening on Radiography. Diagnostics. 2025; 15(16):2085. https://doi.org/10.3390/diagnostics15162085
Chicago/Turabian StyleSurmanowicz, Philip, Andrew Max Hamilton, Prosanta Mondal, Paul Kulyk, Navdeep Sahota, and Haron Obaid. 2025. "Correlation Between Weber Classification of Ankle Fractures and Medial Clear Space Widening on Radiography" Diagnostics 15, no. 16: 2085. https://doi.org/10.3390/diagnostics15162085
APA StyleSurmanowicz, P., Hamilton, A. M., Mondal, P., Kulyk, P., Sahota, N., & Obaid, H. (2025). Correlation Between Weber Classification of Ankle Fractures and Medial Clear Space Widening on Radiography. Diagnostics, 15(16), 2085. https://doi.org/10.3390/diagnostics15162085
 
        


 
       