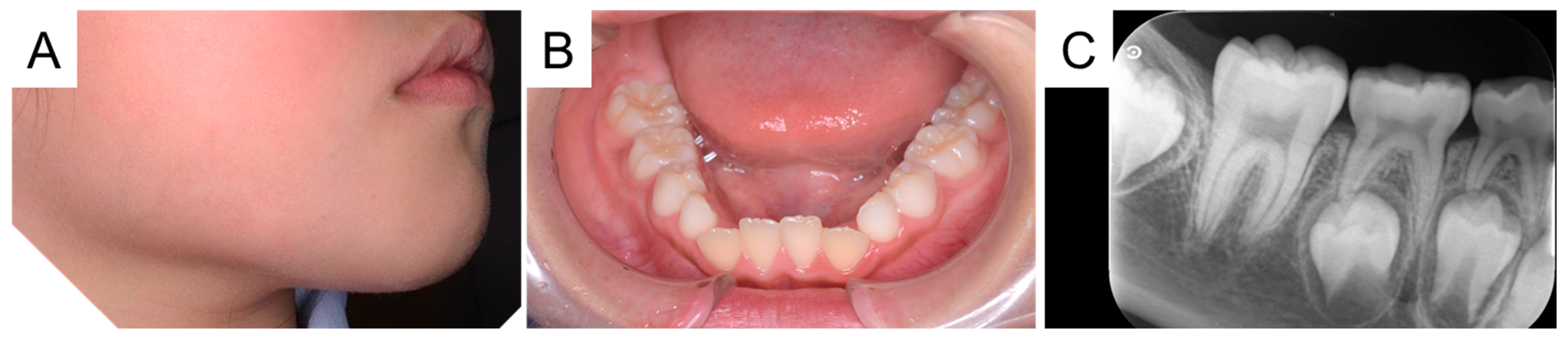
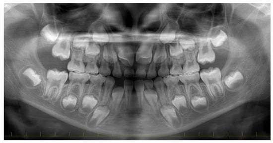
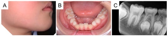
Dentoalveolar Abscess Caused by Pericoronitis of an Erupting First Molar
Abstract








Author Contributions
Funding
Institutional Review Board Statement
Informed Consent Statement
Data Availability Statement
Conflicts of Interest
References
- Sobkowska, Ł.; Sobkowska, J.; Dudek, D.; Grabarek, B.O.; Czajka-Jakubowska, A.; Przystańska, A. Symptoms of the Eruption of Permanent Teeth. Int. J. Environ. Res. Public Health 2022, 19, 3301. [Google Scholar] [CrossRef] [PubMed]
- Schmidt, J.; Kunderova, M.; Pilbauerova, N.; Kapitan, M. A Review of Evidence-Based Recommendations for Pericoronitis Management and a Systematic Review of Antibiotic Prescribing for Pericoronitis among Dentists: Inappropriate Pericoronitis Treatment Is a Critical Factor of Antibiotic Overuse in Dentistry. Int. J. Environ. Res. Public Health 2021, 18, 6796. [Google Scholar] [CrossRef] [PubMed]
- Nuwwareh, S. Managing a patient with pericoronitis. J. Can. Dent. Assoc. 2013, 79, d169. [Google Scholar] [PubMed]
- Osaghae, I.P. Dentoalveolar abscess: A case of poor dental visit and unawareness of dental treatment? Odontostomatol. Trop. 2014, 37, 39–45. [Google Scholar] [PubMed]
- Kaushik, A.; Rana, N.; Ashawat, M.S.; Ankalgi, A.; Sharma, A. Alternatives to beta-Lactams as Agents for the Management of Dentoalveolar Abscess. Curr. Top. Med. Chem. 2024, 24, 1870–1882. [Google Scholar] [CrossRef] [PubMed]
- Caymaz, M.G.; Buhara, O. Association of Oral Hygiene and Periodontal Health with Third Molar Pericoronitis: A Cross-Sectional Study. Biomed. Res. Int. 2021, 2021, 6664434. [Google Scholar] [CrossRef] [PubMed]
- Arita, K.; Abe, Y.; Nakano, K.; Saitoh, M.; Shimamura, K.; Osuga, N.; Shimizu, T.; Ozaki, M.; Ishidori, H.; Matsumura, S.; et al. Chronology of deciduous and permanent dentition in Japanese children II Part 2: Permanent dentition. Jpn. J. Ped. Dent. 2019, 57, 363–373. (In Japanese) [Google Scholar]
- Ozgul, B.M.; Sakaryali, D.; Senirkentli, G.B.; Tirali, R.E.; Cehreli, S.B. Do really parents brush their children’s teeth better? Eur. J. Paediatr. Dent. 2019, 20, 325–329. [Google Scholar]
- Mehta, V.; Ahmad, N. Cone beamed computed tomography in pediatric dentistry: Concepts revisited. J. Oral. Biol. Craniofac. Res. 2020, 10, 210–211. [Google Scholar] [CrossRef] [PubMed]
- Pock, S.; Stieger, R.B.; Drabo, P.; Cvikl, B. How does the frequency of dental visits affect future dental health? Eur. J. Paediatr. Dent. 2025; 1, Online ahead of print. [Google Scholar]
- Khanna, G.; Sato, Y.; Smith, R.J.; Bauman, N.M.; Nerad, J. Causes of facial swelling in pediatric patients: Correlation of clinical and radiologic findings. Radiographics 2006, 26, 157–171. [Google Scholar] [CrossRef] [PubMed]
Disclaimer/Publisher’s Note: The statements, opinions and data contained in all publications are solely those of the individual author(s) and contributor(s) and not of MDPI and/or the editor(s). MDPI and/or the editor(s) disclaim responsibility for any injury to people or property resulting from any ideas, methods, instructions or products referred to in the content. |
© 2025 by the authors. Licensee MDPI, Basel, Switzerland. This article is an open access article distributed under the terms and conditions of the Creative Commons Attribution (CC BY) license (https://creativecommons.org/licenses/by/4.0/).
Share and Cite
Kawashima, K.; Ogawa, M.; Tachikake, M.; Shoji, Y.; Akitomo, T.; Nomura, R. Dentoalveolar Abscess Caused by Pericoronitis of an Erupting First Molar. Diagnostics 2025, 15, 1531. https://doi.org/10.3390/diagnostics15121531
Kawashima K, Ogawa M, Tachikake M, Shoji Y, Akitomo T, Nomura R. Dentoalveolar Abscess Caused by Pericoronitis of an Erupting First Molar. Diagnostics. 2025; 15(12):1531. https://doi.org/10.3390/diagnostics15121531
Chicago/Turabian StyleKawashima, Kana, Masashi Ogawa, Meiko Tachikake, Yuto Shoji, Tatsuya Akitomo, and Ryota Nomura. 2025. "Dentoalveolar Abscess Caused by Pericoronitis of an Erupting First Molar" Diagnostics 15, no. 12: 1531. https://doi.org/10.3390/diagnostics15121531
APA StyleKawashima, K., Ogawa, M., Tachikake, M., Shoji, Y., Akitomo, T., & Nomura, R. (2025). Dentoalveolar Abscess Caused by Pericoronitis of an Erupting First Molar. Diagnostics, 15(12), 1531. https://doi.org/10.3390/diagnostics15121531
