Umbilical Artery Thrombosis Masquerading as Single Umbilical Artery in a Stillbirth
Abstract
1. Introduction
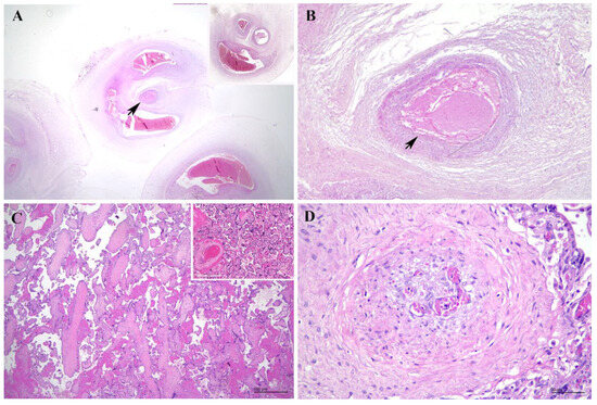
2. Case Report
3. Discussion
4. Conclusions
Supplementary Materials
Author Contributions
Funding
Institutional Review Board Statement
Informed Consent Statement
Data Availability Statement
Acknowledgments
Conflicts of Interest
References
- Yu, J.; Wu, Q.; Kong, F.; Ning, Y. Diagnosis of single umbilical artery and risk of foetal congenital malformations by prenatal ultrasound: A retrospective study. BMC Pregnancy Childbirth 2024, 24, 193. [Google Scholar] [CrossRef] [PubMed]
- Hyun Lee, N.; Joung Choi, H. Analysis of single umbilical artery with concurrent congenital anomaly: Is it a risk factor for poor prognosis? A cross-sectional study. Int. J. Reprod. Biomed. 2024, 22, 139–148. [Google Scholar] [CrossRef] [PubMed]
- Dagklis, T.; Defigueiredo, D.; Staboulidou, I.; Casagrandi, D.; Nicolaides, K.H. Isolated single umbilical artery and fetal karyotype. Ultrasound Obs. Gynecol. 2010, 36, 291–295. [Google Scholar] [CrossRef] [PubMed]
- Dagklis, T.; Siargkas, A.; Apostolopoulou, A.; Tsakiridis, I.; Mamopoulos, A.; Athanasiadis, A.; Sotiriadis, A. Adverse perinatal outcomes following the prenatal diagnosis of isolated single umbilical artery in singleton pregnancies: A systematic review and meta-analysis. J. Perinat. Med. 2022, 50, 244–252. [Google Scholar] [CrossRef]
- Voskamp, B.J.; Fleurke-Rozema, H.; Oude-Rengerink, K.; Snijders, R.J.; Bilardo, C.M.; Mol, B.W.; Pajkrt, E. Relationship of isolated single umbilical artery to fetal growth, aneuploidy and perinatal mortality: Systematic review and meta-analysis. Ultrasound Obs. Gynecol. 2013, 42, 622–628. [Google Scholar] [CrossRef]
- Heifetz, S.A. Thrombosis of the umbilical cord: Analysis of 52 cases and literature review. Pediatr. Pathol. 1988, 8, 37–54. [Google Scholar] [CrossRef]
- Romani, E.; Marinelli, L.; Ponziani, I.; Masini, G.; Castiglione, F.; Nardi, E.; Pasquini, L. Umbilical artery thrombosis: A case report of prenatal diagnosis and systematic review of the literature. Eur. J. Obs. Gynecol. Reprod. Biol. 2024, 296, 6–12. [Google Scholar] [CrossRef]
- Tanaka, K.; Tanigaki, S.; Matsushima, M.; Miyazaki, N.; Hashimoto, R.; Izawa, T.; Sakai, K.; Yazawa, T.; Iwashita, M. Prenatal diagnosis of umbilical artery thrombosis. Fetal Diagn. Ther. 2014, 35, 148–150. [Google Scholar] [CrossRef]
- Wang, T.; Yao, Y.; Xu, T.; Wang, W.; Zhou, Y.; He, J.; Jiang, R. Application of low molecular weight heparins in umbilical artery thrombosis: A case series and review of the literature. Medicine 2023, 102, e33501. [Google Scholar] [CrossRef]
- Nayak, S.K. Thrombosis of the umbilical cord vessels. Aust. N. Z. J. Obstet. Gynaecol. 1967, 7, 148–154. [Google Scholar] [CrossRef]
- Devlieger, H.; Moerman, P.; Lauweryns, J.; de Prins, F.; van Assche, A.; Eggermont, E.; Renaer, M.; Eggermont, E. Thrombosis of the right umbilical artery, presumably related to the shortness of the umbilical cord: An unusual cause of fetal distress. Eur. J. Obstet. Gynecol. Reprod. Biol. 1983, 16, 123–127. [Google Scholar] [CrossRef] [PubMed]
- Vous Kristiansen, F.; Thue Nielsen, V. Intra-uterine fetal death and thrombosis of the umbilical vessels. Acta Obstet. Gynecol. Scand. 1985, 64, 331–334. [Google Scholar] [CrossRef] [PubMed]
- Cook, V.; Weeks, J.; Brown, J.; Bendon, R. Umbilical artery occlusion and fetoplacental thromboembolism. Obstet. Gynecol. 1995, 85, 870–872. [Google Scholar] [CrossRef] [PubMed]
- Erkaya, S.; Kutlay, B.; Kara, F.; Uygur, D.; Bebitoglu, I. Acardiac twinning where the pump twin dies in utero due to thrombosis in the umbilical arteries. Eur. J. Obstet. Gynecol. Reprod. Biol. 2000, 90, 51–54. [Google Scholar] [CrossRef]
- Byrd, L.; Wells, S.; Mayers, F. Umbilical cord thrombosis-a cause of intrauterine demise? J. Obstet. Gynaecol. 2000, 20, 92. [Google Scholar] [CrossRef]
- Larciprete, G.; di Pierro, G.; Giacomello, F.; Santacroce, C.; Valensise, H.; Arduini, D. Absent end diastolic flow in umbilical artery and umbilical cord thrombosis at term of pregnancy. Med. Sci. Monit. 2003, 9, Cs29–Cs33. [Google Scholar]
- Sato, Y.; Benirschke, K. Umbilical arterial thrombosis with vascular wall necrosis: Clinicopathologic findings of 11 cases. Placenta 2006, 27, 715–718. [Google Scholar] [CrossRef]
- Klaritsch, P.; Haeusler, M.; Karpf, E.; Schlembach, D.; Lang, U. Spontaneous intrauterine umbilical artery thrombosis leading to severe fetal growth restriction. Placenta 2008, 29, 374–377. [Google Scholar] [CrossRef]
- Avagliano, L.; Marconi, A.M.; Candiani, M.; Barbera, A.; Bulfamante, G. Thrombosis of the umbilical vessels revisited. An observational study of 317 consecutive autopsies at a single institution. Hum. Pathol. 2010, 41, 971–979. [Google Scholar] [CrossRef]
- Shilling, C.; Walsh, C.; Downey, P.; Mooney, E. Umbilical artery thrombosis is a rare but clinically important finding: A series of 7 cases with clinical outcomes. Pediatr. Dev. Pathol. 2014, 17, 89–93. [Google Scholar] [CrossRef]
- Oliveira, G.H.; Dias Cde, M.; Vaz-Oliani, D.C.; Oliani, A.H. Intrauterine thrombosis of umbilical artery—Case report. Sao Paulo Med. J. 2016, 134, 355–358. [Google Scholar] [CrossRef] [PubMed]
- Alhousseini, A.; Jaiman, S.; Hernandez-Andrade, E.; Zeineddine, S.; Qureshi, F.; Jacques, S.M. Umbilical artery thrombosis with associated acute and severe fetal growth restriction and transient severe protein S deficiency: Report of a case with prenatal ultrasound diagnosis allowing for timely intervention and good outcome. Case Rep. Obstet. Gynecol. 2018, 2018, 6324362. [Google Scholar] [CrossRef] [PubMed]
- Lutfallah, F.; Oufkir, N.; Markou, G.A.; Frimigacci, D.; Poncelet, C. A case of umbilical artery thrombosis in the third trimester of pregnancy. Am. J. Case Rep. 2018, 19, 72–75. [Google Scholar] [CrossRef] [PubMed]
- Kitano, T.; Ohgitani, A.; Takagi, K.; Arai, I.; Yasuhara, H.; Ebisu, R.; Takeda, Y.; Ishibashi, S.; Morita, K.; Minowa, H. A case of severe neonatal asphyxia due to umbilical artery thrombosis. J. Obstet. Gynaecol. 2018, 38, 1164–1165. [Google Scholar] [CrossRef]
- Li, H.; Qufeng, W.; Wei, W.; Lin, X.; Zhang, X. Umbilical artery thrombosis: Two case reports. Medicine 2019, 98, e18170. [Google Scholar] [CrossRef]
- Donepudi, R.V.; Moise, K.J., Jr. Intrauterine transfusion complicated by umbilical artery thrombosis. Case Rep. Obstet. Gynecol. 2019, 2019, 5952326. [Google Scholar] [CrossRef]
- Goto, M.; Nakamura, M.; Arakaki, T.; Takita, H.; Matsuoka, R.; Sekizawa, A. A case of prenatal diagnosis of single umbilical artery due to thrombosis diagnosed by the ultrasound finding of “wink-sign”. Case Rep. Perinat. Med. 2020, 9, 20200002. [Google Scholar] [CrossRef]
- Zhu, Y.; Beejadhursing, R.; Liu, Y. 10 cases of umbilical cord thrombosis in the third trimester. Arch. Gynecol. Obstet. 2021, 304, 59–64. [Google Scholar] [CrossRef]
- Wei, J.; Li, Q.; Zhai, H. Umbilical artery thrombosis diagnosed at different gestational ages and fetal outcomes: A case series. BMC Pregnancy Childbirth 2021, 21, 788. [Google Scholar] [CrossRef]
- Zhang, Q.; Fang, Z.; Chen, S.; Xu, X.; Yan, J. Umbilical artery embolism: A case report and literature review. Matern.-Fetal Med. 2021, 3, 295–298. [Google Scholar] [CrossRef]
- Wu, X.; Wei, C.; Chen, R.; Yang, L.; Huang, W.; Huang, L.; Yan, X.; Deng, X.; Gou, Z. Fetal umbilical artery thrombosis: Prenatal diagnosis, treatment and follow-up. Orphanet J. Rare Dis. 2022, 17, 414. [Google Scholar] [CrossRef] [PubMed]
- Han, C.; Dong, K.; Jia, Z.; Zhao, G.; Chen, W.; Liu, H. Expectant management for umbilical artery thrombosis: A report of two cases and literature review. J. Matern. Fetal Neonatal Med. 2022, 35, 9296–9298. [Google Scholar] [CrossRef] [PubMed]
- Li, X.; Chen, W.; Liu, T.; Cai, J.; Wei, S.; Du, Y.; Liu, C.; Gong, Z.; Cheng, L.; Zhou, X.; et al. Umbilical artery thrombosis and maternal positive autoimmune antibodies: Two case reports and a literature review. Front. Med. 2023, 10, 1187492. [Google Scholar] [CrossRef] [PubMed]
- Dindinger, R.; Mulla, B.M.; Stucky, C. Case report of umbilical artery thrombosis in a patient with a history of heparin-induced thrombocytopenia. J. Obstet. Gynecol. Neonatal Nurs. 2023, 52, 501–508. [Google Scholar] [CrossRef]
- Wang, Q.; Zhang, Y.; Zhou, R. Expectant management for umbilical artery thrombosis in monochorionic diamniotic twin pregnancies: A case report. BMC Pregnancy Childbirth 2023, 23, 515. [Google Scholar] [CrossRef]
- Liu, H.; Zeng, Z.; Liao, H.; Hu, Q.; Yu, H. Umbilical artery thrombosis after selective termination in dichorionic diamniotic twin pregnancy: A case report. Int. J. Womens Health 2023, 15, 1327–1332. [Google Scholar] [CrossRef]
- Pan, S.; Xu, A.; Lu, X.; Chen, B.; Chen, X.; Hua, Y. Umbilical artery thrombosis risk factors and perinatal outcomes. BMC Pregnancy Childbirth 2024, 24, 137. [Google Scholar] [CrossRef]
- Tu, P.; Zhang, X.; Zhong, C.; Ran, Q.; Ran, S. Hemodynamic changes and perinatal outcome associated with umbilical artery thrombosis: A retrospective study. Orphanet J. Rare Dis. 2024, 19, 100. [Google Scholar] [CrossRef]
- Hong, S.J.; Hong, L.W.; He, X.Q.; Zhong, X.H. Ultrasound blood flow characteristics changes in fetal umbilical artery thrombosis: A retrospective analysis. World J. Clin. Cases 2024, 12, 240–248. [Google Scholar] [CrossRef]
- Gong, M.Q.; Zhang, Y.Q.; Wang, X.D. Expectant management for umbilical artery thrombosis in the third trimester of pregnancy: A case report. Front. Pharmacol. 2024, 15, 1395344. [Google Scholar] [CrossRef]
- Jin, Y.; Zhang, S. Spontaneous umbilical artery thrombosis diagnosed in the third-trimester: A case report. Int. J. Gynaecol. Obstet. 2024, 165, 1287–1289. [Google Scholar] [CrossRef] [PubMed]
- Gladstone, R.A.; Parks, W.; Kingdom, J. Spontaneous umbilical artery thrombosis mediating fetal growth restriction. J. Obstet. Gynaecol. Can. 2024, 46, 102123. [Google Scholar] [CrossRef] [PubMed]
- Li, J.; Ijaz, I.; Zhao, L. Umbilical artery thrombosis causing fetal distress: A case report. Cureus 2024, 16, e64624. [Google Scholar] [CrossRef] [PubMed]
- Bhide, A.; Acharya, G.; Bilardo, C.M.; Brezinka, C.; Cafici, D.; Hernandez-Andrade, E.; Kalache, K.; Kingdom, J.; Kiserud, T.; Lee, W.; et al. Isuog practice guidelines: Use of doppler ultrasonography in obstetrics. Ultrasound Obstet. Gynecol. 2013, 41, 233–239. [Google Scholar] [CrossRef]
- Persutte, W.H.; Hobbins, J. Single umbilical artery: A clinical enigma in modern prenatal diagnosis. Ultrasound Obs. Gynecol. 1995, 6, 216–229. [Google Scholar] [CrossRef]
- Sherer, D.M.; Al-Haddad, S.; Cheng, R.; Dalloul, M. Current perspectives of prenatal sonography of umbilical cord morphology. Int. J. Womens Health 2021, 13, 939–971. [Google Scholar] [CrossRef]
- Chew, M.X.; Teoh, P.Y.; Wong, Y.P.; Tan, G.C. Multiple umbilical cord strictures in a case of intrauterine foetal demise. Malays. J. Pathol. 2019, 41, 365–368. [Google Scholar]
- Redline, R.W.; Ravishankar, S. Fetal vascular malperfusion, an update. J. Pathol. Microbiol. Immunol. 2018, 126, 561–569. [Google Scholar] [CrossRef]
- Khong, T.Y.; Mooney, E.E.; Ariel, I.; Balmus, N.C.M.; Boyd, T.K.; Brundler, M.A.; Derricott, H.; Evans, M.J.; Faye-Petersen, O.M.; Gillan, J.E.; et al. Sampling and definitions of placental lesions: Amsterdam placental workshop group consensus statement. Arch. Pathol. Lab. Med. 2016, 140, 698–713. [Google Scholar] [CrossRef]
- Slack, J.C.; Boyd, T.K. Fetal vascular malperfusion due to long and hypercoiled umbilical cords resulting in recurrent second trimester pregnancy loss: A case series and literature review. Pediatr. Dev. Pathol. 2021, 24, 12–18. [Google Scholar] [CrossRef]
- Cahill, L.S.; Stortz, G.; Ravi Chandran, A.; Milligan, N.; Shinar, S.; Whitehead, C.L.; Hobson, S.R.; Ayyathurai, V.; Rahman, A.; Saghian, R.; et al. Wave reflections in the umbilical artery measured by doppler ultrasound as a novel predictor of placental pathology. EBioMedicine 2021, 67, 103326. [Google Scholar] [CrossRef]


Disclaimer/Publisher’s Note: The statements, opinions and data contained in all publications are solely those of the individual author(s) and contributor(s) and not of MDPI and/or the editor(s). MDPI and/or the editor(s) disclaim responsibility for any injury to people or property resulting from any ideas, methods, instructions or products referred to in the content. |
© 2025 by the authors. Licensee MDPI, Basel, Switzerland. This article is an open access article distributed under the terms and conditions of the Creative Commons Attribution (CC BY) license (https://creativecommons.org/licenses/by/4.0/).
Share and Cite
Wong, Y.P.; Abd Rahman, R.; Tan, A.E.; Tan, G.C. Umbilical Artery Thrombosis Masquerading as Single Umbilical Artery in a Stillbirth. Diagnostics 2025, 15, 94. https://doi.org/10.3390/diagnostics15010094
Wong YP, Abd Rahman R, Tan AE, Tan GC. Umbilical Artery Thrombosis Masquerading as Single Umbilical Artery in a Stillbirth. Diagnostics. 2025; 15(1):94. https://doi.org/10.3390/diagnostics15010094
Chicago/Turabian StyleWong, Yin Ping, Rahana Abd Rahman, Ay Eeng Tan, and Geok Chin Tan. 2025. "Umbilical Artery Thrombosis Masquerading as Single Umbilical Artery in a Stillbirth" Diagnostics 15, no. 1: 94. https://doi.org/10.3390/diagnostics15010094
APA StyleWong, Y. P., Abd Rahman, R., Tan, A. E., & Tan, G. C. (2025). Umbilical Artery Thrombosis Masquerading as Single Umbilical Artery in a Stillbirth. Diagnostics, 15(1), 94. https://doi.org/10.3390/diagnostics15010094

