Patellar Non-Traumatic Pathologies: A Pictorial Review of Radiologic Findings
Abstract
1. Introduction
2. Anatomical Variants
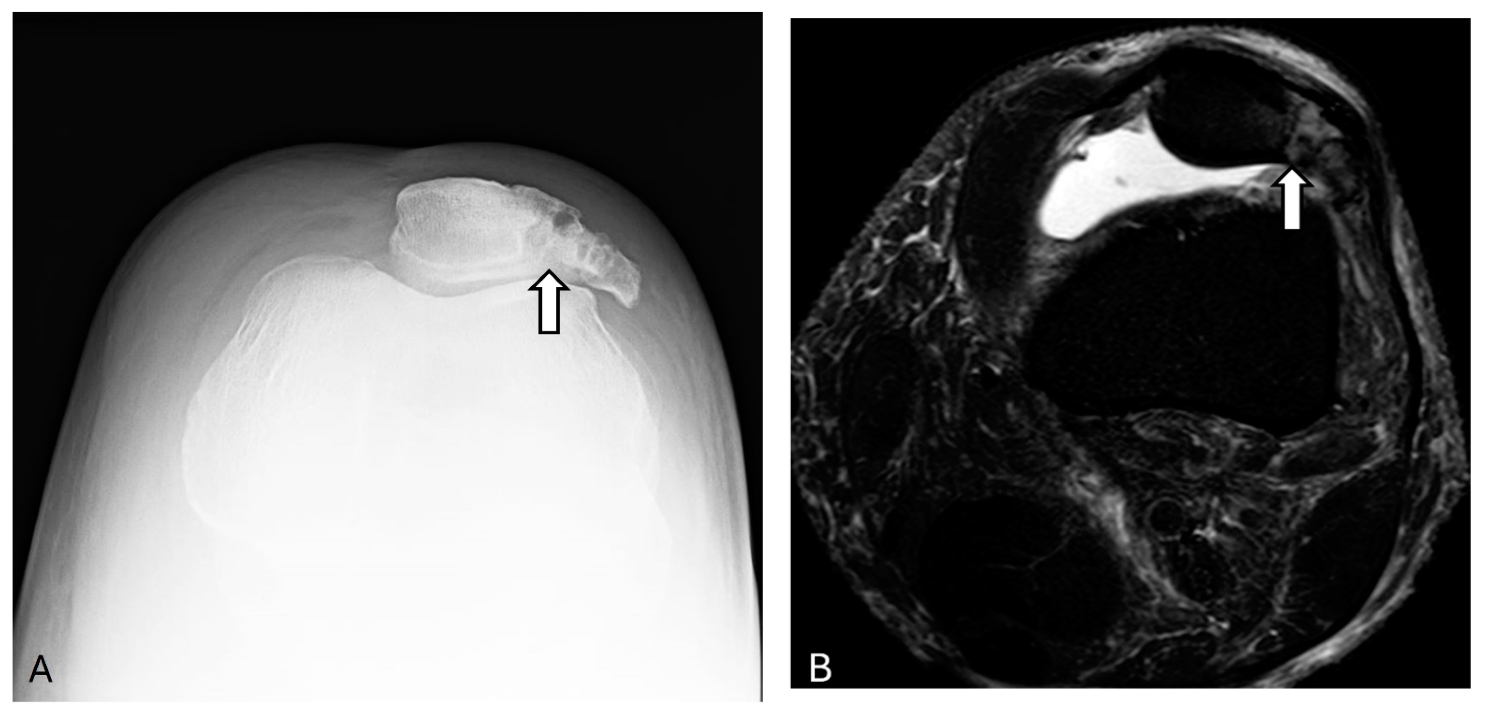
2.1. Bipartite/Multipartite Patella
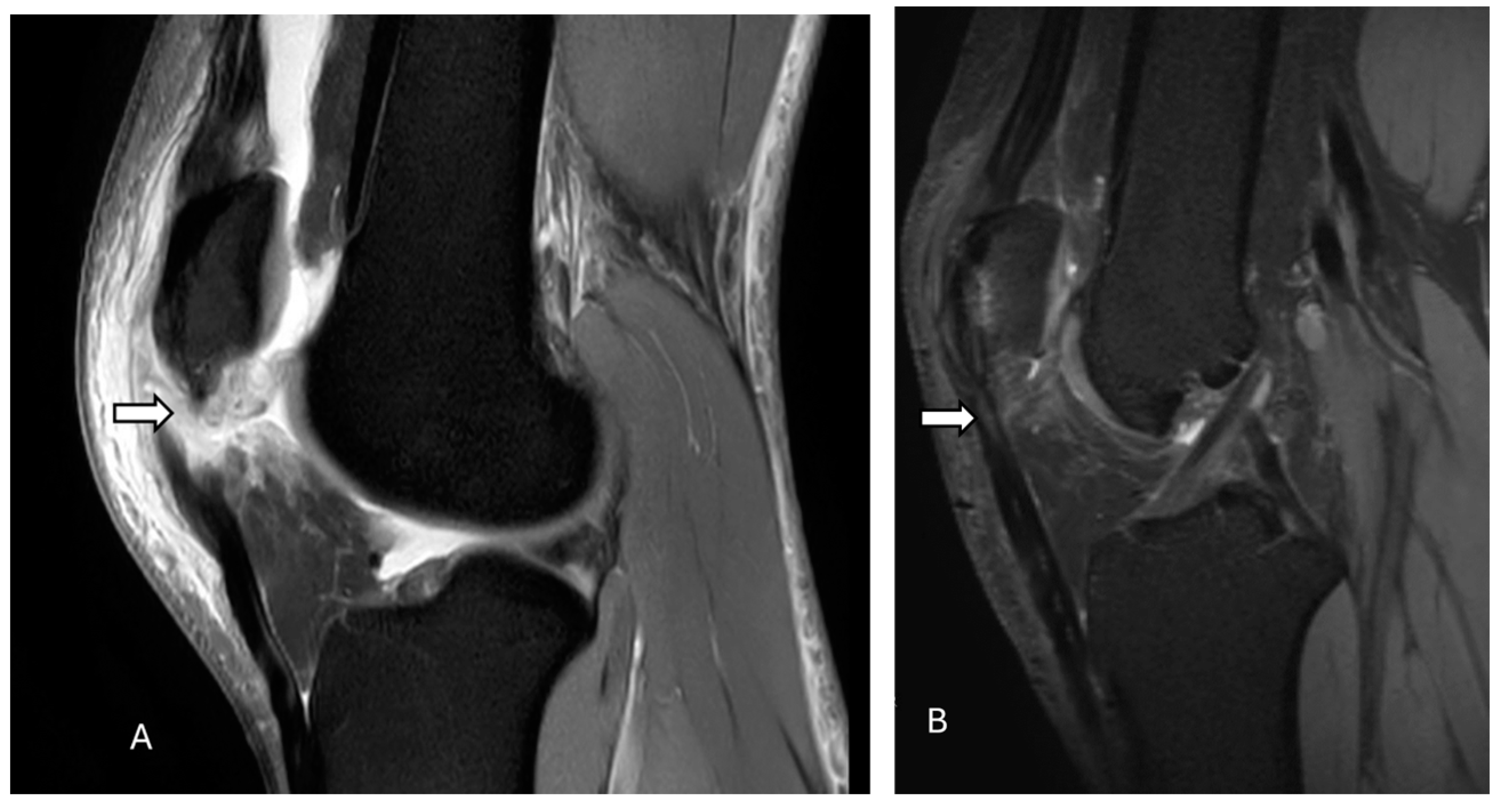
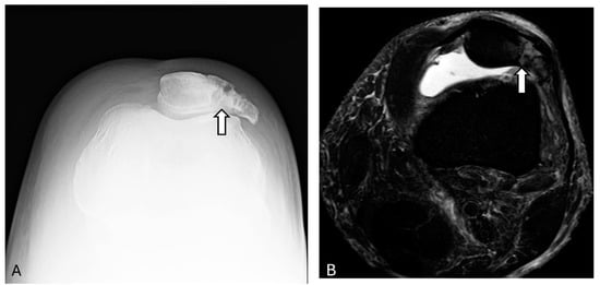
2.2. Dorsal Defect of the Patella
3. Pathologic Conditions of Patella
3.1. Acute Patellar Subluxation and Dislocation
3.2. Chronic Patellar Instability and Malalignment
3.3. Osgood–Schlatter Disease and Sinding–Larsen–Johansson Disease
3.4. Osteochondral Injury
3.5. Excessive Lateral Pressure Syndrome
3.6. Patellar Tendon Pathologies
3.6.1. Patellar Tendon Tear
3.6.2. Patellar Tendinitis/Tendinosis
3.7. Chondromalacia Patella
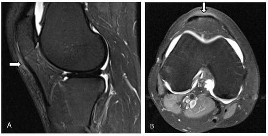
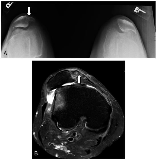
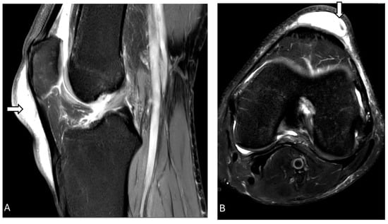
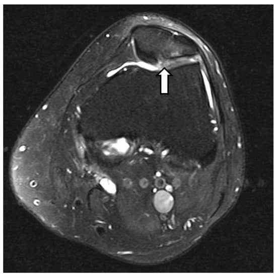
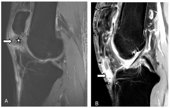
3.8. Prepatellar Bursitis
3.8.1. Anatomy Prepatellar Bursae
3.8.2. Deep Infrapatellar Bursae
3.9. Osteomyletis of Patella
3.10. Metabolic Diseases
3.11. Malignancies of Patella
4. Future Directions in Imaging and Management
5. Conclusions
Author Contributions
Funding
Institutional Review Board Statement
Informed Consent Statement
Data Availability Statement
Conflicts of Interest
References
- Duong, V.; Oo, W.M.; Ding, C.; Culvenor, A.G.; Hunter, D.J. Evaluation and Treatment of Knee Pain: A Review. JAMA 2023, 330, 1568–1580. [Google Scholar] [CrossRef]
- Hryvniak, D.; Magrum, E.; Wilder, R. Patellofemoral Pain Syndrome: An Update. Curr. Phys. Med. Rehabil. Rep. 2014, 2, 16–24. [Google Scholar] [CrossRef]
- Wheatley, M.G.A.; Rainbow, M.J.; Clouthier, A.L. Patellofemoral Mechanics: A Review of Pathomechanics and Research Approaches. Curr. Rev. Musculoskelet. Med. 2020, 13, 326–337. [Google Scholar] [CrossRef]
- Fox, A.J.S.; Wanivenhaus, F.; Rodeo, S.A. The Basic Science of the Patella: Structure, Composition, and Function. J. Knee Surg. 2012, 25, 127–142. [Google Scholar] [CrossRef]
- Wolfe, S.; Varacallo, M.; Thomas, J.D.; Carroll, J.J.; Kahwaji, C.I. Patellar Instability. In StatPearls; StatPearls Publishing: Treasure Island, FL, USA, 2024. Available online: http://www.ncbi.nlm.nih.gov/books/NBK482427/ (accessed on 3 December 2024).
- Parikh, S.; Noyes, F.R. Patellofemoral Disorders. Sports Health 2011, 3, 158–169. [Google Scholar] [CrossRef] [PubMed]
- Gold, G.E.; Chen, C.A.; Koo, S.; Hargreaves, B.A.; Bangerter, N.K. Recent Advances in MRI of Articular Cartilage. AJR Am. J. Roentgenol. 2009, 193, 628–638. [Google Scholar] [CrossRef] [PubMed]
- Maas, K.-J.; Warncke, M.L.; Leiderer, M.; Krause, M.; Dust, T.; Frings, J.; Frosch, K.-H.; Adam, G.; Henes, F.O.G. Diagnostic Imaging of Patellofemoral Instability. Rofo 2021, 193, 1019–1033. [Google Scholar] [CrossRef] [PubMed]
- Adedigba, J.A.; Idowu, B.M.; Hermans, S.P.; Okwori, O.F.; Onigbinde, S.O.; Oluwadiya, K.S.; Amoako, A.A.; Weidenhaft, M.C. Fabella and patella variants: Radiographic prevalence, distribution and clinical relevance in a population of black African descent. Anat. Cell Biol. 2021, 54, 184–192. [Google Scholar] [CrossRef] [PubMed]
- Miles, R.; Cruz, C.; Mannino, B.J. Bilateral multipartite patellae avulsions associated with a unilateral quadriceps tendon rupture. BMJ Case Rep. 2021, 14, e246902. [Google Scholar] [CrossRef]
- McKee, C.E. Multipartite patella: A review of diagnostic techniques and management of the symptomatic patient. Clin. Anat. 2024, 37, 710–718. [Google Scholar] [CrossRef] [PubMed]
- Zerouali Boukhal, Z.; Belgadir, H.; Jadib, A.; Amriss, O.; Adam Fadoul, A.; Merzem, A.; Moussali, N.; El Benna, N. Painful bipartite patella following injury: A case report. Radiol. Case Rep. 2021, 17, 725–728. [Google Scholar] [CrossRef] [PubMed]
- Akdag, T.; Guldogan, E.S.; Coskun, H.; Turan, A.; Hekimoglu, B. Magnetic resonance imaging for diagnosis of bipartite patella: Usefulness and relationship with symptoms. Pol. J. Radiol. 2019, 84, e491–e497. [Google Scholar] [CrossRef] [PubMed]
- Gerrie, B.J.; McCulloch, P.C.; Labis, J.S.; Lintner, D.M.; Harris, J.D. Dorsal Defect of the Patella in a Teenage Male Football Player: A Case Report and Differential Diagnosis of Lytic Patellar Lesion. Orthop. J. Sports Med. 2016, 4, 2325967116665580. [Google Scholar] [CrossRef]
- Kwee, T.C.; Sonneveld, H.; Nix, M. Successful conservative management of symptomatic bilateral dorsal patellar defects presenting with cartilage involvement and bone marrow edema: MRI findings. Skelet. Radiol. 2016, 45, 723–727. [Google Scholar] [CrossRef]
- Bruns, J.; Werner, M.; Habermann, C. Osteochondritis Dissecans: Etiology, Pathology, and Imaging with a Special Focus on the Knee Joint. Cartilage 2018, 9, 346–362. [Google Scholar] [CrossRef]
- Michael, J.W.P.; Wurth, A.; Eysel, P.; König, D.P. Long-term results after operative treatment of osteochondritis dissecans of the knee joint—30 Year results. Int. Orthop. 2008, 32, 217–221. [Google Scholar] [CrossRef] [PubMed][Green Version]
- De Salvo, S.; Pavone, V.; Coco, S.; Dell’Agli, E.; Blatti, C.; Testa, G. Benign Bone Tumors: An Overview of What We Know Today. J. Clin. Med. 2022, 11, 699. [Google Scholar] [CrossRef]
- Hayat, Z.; El Bitar, Y.; Case, J.L. Patella Dislocation. In StatPearls; StatPearls Publishing: Treasure Island, FL, USA, 2024. Available online: http://www.ncbi.nlm.nih.gov/books/NBK538288/ (accessed on 3 December 2024).
- Beaconsfield, T.; Pintore, E.; Maffulli, N.; Petri, G.J. Radiological measurements in patellofemoral disorders. A review. Clin. Orthop. Relat. Res. 1994, 308, 18–28. [Google Scholar] [CrossRef]
- Saragaglia, D.; Banihachemi, J.J.; Refaie, R. Acute instability of the patella: Is magnetic resonance imaging mandatory? Int. Orthop. 2020, 44, 2299–2303. [Google Scholar] [CrossRef] [PubMed]
- Duthon, V.B. Acute traumatic patellar dislocation. Orthop. Traumatol. Surg. Res. 2015, 101, S59–S67. [Google Scholar] [CrossRef] [PubMed]
- Saggin, P.R.F.; Saggin, J.I.; Dejour, D. Imaging in patellofemoral instability: An abnormality-based approach. Sports Med. Arthrosc. Rev. 2012, 20, 145–151. [Google Scholar] [CrossRef]
- Sanchis-Alfonso, V. How to Deal with Chronic Patellar Instability. Sports Health 2016, 8, 86–90. [Google Scholar] [CrossRef] [PubMed]
- Tsavalas, N.; Katonis, P.; Karantanas, A.H. Knee joint anterior malalignment and patellofemoral osteoarthritis: An MRI study. Eur. Radiol. 2012, 22, 418–428. [Google Scholar] [CrossRef] [PubMed]
- Jibri, Z.; Jamieson, P.; Rakhra, K.S.; Sampaio, M.L.; Dervin, G. Patellar maltracking: An update on the diagnosis and treatment strategies. Insights Imaging 2019, 10, 65. [Google Scholar] [CrossRef] [PubMed]
- Wu, C.-C. Patellar malalignment: A common disorder associated with knee pain. Biomed. J. 2023, 46, 100658. [Google Scholar] [CrossRef] [PubMed]
- Csintalan, R.P.; Schulz, M.M.; Woo, J.; McMahon, P.J.; Lee, T.Q. Gender differences in patellofemoral joint biomechanics. Clin. Orthop. Relat. Res. 2002, 402, 260–269. [Google Scholar] [CrossRef] [PubMed]
- Grelsamer, R.P. Patellar Malalignment. J. Bone Jt. Surg. JBJS 2000, 82, 1639. [Google Scholar] [CrossRef]
- Metin Cubuk, S.; Sindel, M.; Karaali, K.; Arslan, A.G.; Akyildiz, F.; Ozkan, O. Tibial tubercle position and patellar height as indicators of malalignment in women with anterior knee pain. Clin. Anat. 2000, 13, 199–203. [Google Scholar] [CrossRef]
- DeJour, D.; Saggin, P. The sulcus deepening trochleoplasty—The Lyon’s procedure. Int. Orthop. 2010, 34, 311–316. [Google Scholar] [CrossRef]
- Dejour, D.; Le Coultre, B. Osteotomies in patello-femoral instabilities. Sports Med. Arthrosc. Rev. 2007, 15, 39–46. [Google Scholar] [CrossRef]
- Sonin, A.H.; Pensy, R.A.; Mulligan, M.E.; Hatem, S. Grading articular cartilage of the knee using fast spin-echo proton density-weighted MR imaging without fat suppression. AJR Am. J. Roentgenol. 2002, 179, 1159–1166. [Google Scholar] [CrossRef]
- Wechter, J.; Macalena, J.A.; Arendt, E.A. Lateral patella dislocations: History, physical exam, and imaging. In The Patellofemoral Joint in the Athlete; Springer: New York, NY, USA, 2014; pp. 15–29. ISBN 978-1-4614-4156-4. [Google Scholar]
- Brady, J.M.; Rosencrans, A.S.; Shubin Stein, B.E. Use of TT-PCL versus TT-TG. Curr. Rev. Musculoskelet. Med. 2018, 11, 261–265. [Google Scholar] [CrossRef] [PubMed]
- Ziskin, E.K.; Carter, K.K.; Diaz-Parker, S.; Glick, B.H. Anterior knee pain in young athletes: Osgood Schlatter or Sinding-Larsen-Johansson disease? JAAPA 2023, 36, 1–3. [Google Scholar] [CrossRef] [PubMed]
- Smith, J.M.; Varacallo, M. Osgood-Schlatter Disease. In StatPearls; StatPearls Publishing: Treasure Island, FL, USA, 2024. Available online: http://www.ncbi.nlm.nih.gov/books/NBK441995/ (accessed on 3 December 2024).
- Wilczyński, B.; Taraszkiewicz, M.; de Tillier, K.; Biały, M.; Zorena, K. Sinding-Larsen-Johansson disease. Clinical features, imaging findings, conservative treatments and research perspectives: A scoping review. PeerJ 2024, 12, e17996. [Google Scholar] [CrossRef] [PubMed]
- Sinding-Larsen, C.M.F. A Hitherto Unknown Affection of the Patella in Children. Acta Radiol. 2016, 57, e42–e46. [Google Scholar] [CrossRef]
- Dupuis, C.S.; Westra, S.J.; Makris, J.; Wallace, E.C. Injuries and Conditions of the Extensor Mechanism of the Pediatric Knee. RadioGraphics 2009, 29, 877–886. [Google Scholar] [CrossRef]
- Corbi, F.; Matas, S.; Álvarez-Herms, J.; Sitko, S.; Baiget, E.; Reverter-Masia, J.; López-Laval, I. Osgood-Schlatter Disease: Appearance, Diagnosis and Treatment: A Narrative Review. Healthcare 2022, 10, 1011. [Google Scholar] [CrossRef] [PubMed]
- Lee, D.W.; Kim, M.J.; Kim, W.J.; Ha, J.K.; Kim, J.G. Correlation between Magnetic Resonance Imaging Characteristics of the Patellar Tendon and Clinical Scores in Osgood-Schlatter Disease. Knee Surg. Relat. Res. 2016, 28, 62–67. [Google Scholar] [CrossRef] [PubMed]
- Hirano, A.; Fukubayashi, T.; Ishii, T.; Ochiai, N. Magnetic resonance imaging of Osgood-Schlatter disease: The course of the disease. Skelet. Radiol. 2002, 31, 334–342. [Google Scholar] [CrossRef]
- Rosenberg, Z.S.; Kawelblum, M.; Cheung, Y.Y.; Beltran, J.; Lehman, W.B.; Grant, A.D. Osgood-Schlatter lesion: Fracture or tendinitis? Scintigraphic, CT, and MR imaging features. Radiology 1992, 185, 853–858. [Google Scholar] [CrossRef] [PubMed]
- Jacob, G.; Shimomura, K.; Nakamura, N. Osteochondral Injury, Management and Tissue Engineering Approaches. Front. Cell Dev. Biol. 2020, 8, 580868. [Google Scholar] [CrossRef] [PubMed]
- Farmer, J.M.; Martin, D.F.; Boles, C.A.; Curl, W.W. Chondral and osteochondral injuries. Diagnosis and management. Clin. Sports Med. 2001, 20, 299–320. [Google Scholar] [CrossRef] [PubMed]
- Bauer, K.L. Osteochondral Injuries of the Knee in Pediatric Patients. J. Knee Surg. 2018, 31, 382–391. [Google Scholar] [CrossRef] [PubMed]
- Loredo, R.; Sanders, T.G. Imaging of osteochondral injuries. Clin. Sports Med. 2001, 20, 249–278. [Google Scholar] [CrossRef] [PubMed]
- Rubin, D.A. Magnetic resonance imaging of chondral and osteochondral injuries. Top. Magn. Reson. Imaging 1998, 9, 348–359. [Google Scholar] [CrossRef]
- Wang, C.-L.; Chen, J.-B.; Li, T. Outcome and experience of arthroscopic lateral retinacular release combined with lateral patelloplasty in the management of excessive lateral pressure syndrome. J. Orthop. Surg. Res. 2021, 16, 80. [Google Scholar] [CrossRef]
- Yang, Y.-P.; Ling, Y.-D.; Pang, C.-N.; Li, N.; Gong, Y.-N.; Cui, G.-Q.; Gong, X.; Ao, Y.-F. Novel method for diagnosing lateral patellar compression syndrome using X-ray: A retrospective case-control study. Ann. Transl. Med. 2021, 9, 445. [Google Scholar] [CrossRef] [PubMed]
- Jeong, J.H.; Chang, M.J.; Kang, S.-B.; Chang, C.B.; Yoon, C.; Park, J.; Lee, S.A. Prevalence of excessive lateral pressure syndrome in varus osteoarthritic candidates for high tibial osteotomy. Knee 2018, 25, 1192–1196. [Google Scholar] [CrossRef] [PubMed]
- Chhabra, A.; Subhawong, T.K.; Carrino, J.A. A systematised MRI approach to evaluating the patellofemoral joint. Skelet. Radiol. 2011, 40, 375–387. [Google Scholar] [CrossRef] [PubMed]
- Saper, M.G.; Shneider, D.A. Diagnosis and Treatment of Lateral Patellar Compression Syndrome. Arthrosc. Tech. 2014, 3, e633–e638. [Google Scholar] [CrossRef] [PubMed]
- Mazzola, C.; Mantovani, D. Patellofemoral malalignment and chondral damage: Current concepts. Joints 2013, 1, 27–33. [Google Scholar] [PubMed]
- Sillanpää, P.J.; Salonen, E.; Pihlajamäki, H.; Mäenpää, H.M. Medial patellofemoral ligament avulsion injury at the patella: Classification and clinical outcome. Knee Surg. Sports Traumatol. Arthrosc. 2014, 22, 2414–2418. [Google Scholar] [CrossRef]
- Noehren, B.; Scholz, J.; Davis, I. The effect of real-time gait retraining on hip kinematics, pain and function in subjects with patellofemoral pain syndrome. Br. J. Sports Med. 2011, 45, 691–696. [Google Scholar] [CrossRef] [PubMed]
- Tompkins, M.; Kuenze, C.M.; Diduch, D.R.; Miller, M.D.; Milewski, M.D.; Hart, J.P. Clinical and Functional Outcomes following Primary Repair versus Reconstruction of the Medial Patellofemoral Ligament for Recurrent Patellar Instability. J. Sports Med. 2014, 2014, 702358. [Google Scholar] [CrossRef] [PubMed]
- Hsu, H.; Siwiec, R.M. Patellar Tendon Rupture. In StatPearls; StatPearls Publishing: Treasure Island, FL, USA, 2024. Available online: http://www.ncbi.nlm.nih.gov/books/NBK513275/ (accessed on 4 December 2024).
- Kricun, R.; Kricun, M.E.; Arangio, G.A.; Salzman, G.S.; Berman, A.T. Patellar tendon rupture with underlying systemic disease. AJR Am. J. Roentgenol. 1980, 135, 803–807. [Google Scholar] [CrossRef] [PubMed]
- Brinkman, J.C.; Reeson, E.; Chhabra, A. Acute Patellar Tendon Ruptures: An Update on Management. JAAOS Glob. Res. Rev. 2024, 8, e24.00060. [Google Scholar] [CrossRef] [PubMed]
- Hinz, M.; Geyer, S.; Winden, F.; Braunsperger, A.; Kreuzpointner, F.; Irger, M.; Imhoff, A.B.; Mehl, J. Clinical and biomechanical outcomes following patellar tendon repair with suture tape augmentation. Eur. J. Orthop. Surg. Traumatol. 2023, 33, 3569–3576. [Google Scholar] [CrossRef] [PubMed]
- Fazal, M.A.; Moonot, P.; Haddad, F. Radiographic Features of Acute Patellar Tendon Rupture. Orthop. Surg. 2015, 7, 338–342. [Google Scholar] [CrossRef] [PubMed]
- Figueroa, D.; Figueroa, F.; Calvo, R. Patellar Tendinopathy: Diagnosis and Treatment. J. Am. Acad. Orthop. Surg. 2016, 24, e184–e192. [Google Scholar] [CrossRef] [PubMed]
- Lian, O.B.; Engebretsen, L.; Bahr, R. Prevalence of jumper’s knee among elite athletes from different sports: A cross-sectional study. Am. J. Sports Med. 2005, 33, 561–567. [Google Scholar] [CrossRef]
- Rosen, A.B.; Wellsandt, E.; Nicola, M.; Tao, M.A. Clinical Management of Patellar Tendinopathy. J. Athl. Train. 2022, 57, 621–631. [Google Scholar] [CrossRef] [PubMed]
- Muaidi, Q.I. Rehabilitation of patellar tendinopathy. J. Musculoskelet. Neuronal Interact. 2020, 20, 535–540. [Google Scholar]
- Warden, S.J.; Kiss, Z.S.; Malara, F.A.; Ooi, A.B.T.; Cook, J.L.; Crossley, K.M. Comparative accuracy of magnetic resonance imaging and ultrasonography in confirming clinically diagnosed patellar tendinopathy. Am. J. Sports Med. 2007, 35, 427–436. [Google Scholar] [CrossRef] [PubMed]
- Helland, C.; Bojsen-Møller, J.; Raastad, T.; Seynnes, O.R.; Moltubakk, M.M.; Jakobsen, V.; Visnes, H.; Bahr, R. Mechanical properties of the patellar tendon in elite volleyball players with and without patellar tendinopathy. Br. J. Sports Med. 2013, 47, 862–868. [Google Scholar] [CrossRef] [PubMed]
- Pfirrmann, C.W.A.; Jost, B.; Pirkl, C.; Aitzetmüller, G.; Lajtai, G. Quadriceps tendinosis and patellar tendinosis in professional beach volleyball players: Sonographic findings in correlation with clinical symptoms. Eur. Radiol. 2008, 18, 1703–1709. [Google Scholar] [CrossRef] [PubMed]
- Peace, K.A.L.; Lee, J.C.; Healy, J. Imaging the infrapatellar tendon in the elite athlete. Clin. Radiol. 2006, 61, 570–578. [Google Scholar] [CrossRef]
- Habusta, S.F.; Coffey, R.; Ponnarasu, S.; Mabrouk, A.; Griffin, E.E. Chondromalacia Patella. In StatPearls; StatPearls Publishing: Treasure Island, FL, USA, 2024. Available online: http://www.ncbi.nlm.nih.gov/books/NBK459195/ (accessed on 4 December 2024).
- Dursun, M.; Ozsahın, M.; Altun, G. Prevalence of chondromalacia patella according to patella type and patellofemoral geometry: A retrospective study. Sao Paulo Med. J. 2022, 140, 755–761. [Google Scholar] [CrossRef] [PubMed]
- Zhang, H.; Kong, X.; Cheng, C.; Liang, M. A correlative study between prevalence of chondromalacia patellae and sports injury in 4068 students. Chin. J. Traumatol. 2003, 6, 370–374. [Google Scholar] [PubMed]
- Zheng, W.; Li, H.; Hu, K.; Li, L.; Bei, M. Chondromalacia patellae: Current options and emerging cell therapies. Stem Cell Res. Ther. 2021, 12, 412. [Google Scholar] [CrossRef]
- Hodge, J.C.; Ghelman, B.; O’Brien, S.J.; Wickiewicz, T.L. Synovial plicae and chondromalacia patellae: Correlation of results of CT arthrography with results of arthroscopy. Radiology 1993, 186, 827–831. [Google Scholar] [CrossRef] [PubMed]
- Resorlu, H.; Zateri, C.; Nusran, G.; Goksel, F.; Aylanc, N. The relation between chondromalacia patella and meniscal tear and the sulcus angle/ trochlear depth ratio as a powerful predictor. J. Back Musculoskelet. Rehabil. 2017, 30, 603–608. [Google Scholar] [CrossRef]
- Williams, C.H.; Jamal, Z.; Sternard, B.T. Bursitis. In StatPearls; StatPearls Publishing: Treasure Island, FL, USA, 2024. Available online: http://www.ncbi.nlm.nih.gov/books/NBK513340/ (accessed on 4 December 2024).
- Rishor-Olney, C.R.; Taqi, M.; Pozun, A. Prepatellar Bursitis. In StatPearls; StatPearls Publishing: Treasure Island, FL, USA, 2024. Available online: http://www.ncbi.nlm.nih.gov/books/NBK557508/ (accessed on 3 December 2024).
- Baumbach, S.F.; Lobo, C.M.; Badyine, I.; Mutschler, W.; Kanz, K.-G. Prepatellar and olecranon bursitis: Literature review and development of a treatment algorithm. Arch. Orthop. Trauma Surg. 2014, 134, 359–370. [Google Scholar] [CrossRef] [PubMed]
- Hirji, Z.; Hunjun, J.S.; Choudur, H.N. Imaging of the Bursae. J. Clin. Imaging Sci. 2011, 1, 22. [Google Scholar] [CrossRef] [PubMed]
- Sato, M.; Watari, T. Housemaid’s Knee (Prepatellar Septic Bursitis). Cureus 2020, 12, e10398. [Google Scholar] [CrossRef] [PubMed]
- Brown, O.S.; Smith, T.O.; Parsons, T.; Benjamin, M.; Hing, C.B. Management of septic and aseptic prepatellar bursitis: A systematic review. Arch. Orthop. Trauma Surg. 2022, 142, 2445–2457. [Google Scholar] [CrossRef] [PubMed]
- Lormeau, C.; Cormier, G.; Sigaux, J.; Arvieux, C.; Semerano, L. Management of septic bursitis. Jt. Bone Spine 2019, 86, 583–588. [Google Scholar] [CrossRef] [PubMed]
- Ho, G.; Tice, A.D.; Kaplan, S.R. Septic bursitis in the prepatellar and olecranon bursae: An analysis of 25 cases. Ann. Intern. Med. 1978, 89, 21–27. [Google Scholar] [CrossRef]
- Khodaee, M. Common Superficial Bursitis. Am. Fam. Physician 2017, 95, 224–231. [Google Scholar] [PubMed]
- Aaron, D.L.; Patel, A.; Kayiaros, S.; Calfee, R. Four common types of bursitis: Diagnosis and management. J. Am. Acad. Orthop. Surg. 2011, 19, 359–367. [Google Scholar] [CrossRef] [PubMed]
- Vicentini, J.R.T.; Chang, C.Y. MR Imaging of the Knee Bursae and Bursal Pathology. Magn. Reson. Imaging Clin. N. Am. 2022, 30, 241–260. [Google Scholar] [CrossRef] [PubMed]
- Aydingoz, U.; Oguz, B.; Aydingoz, O.; Comert, R.B.; Akgun, I. The deep infrapatellar bursa: Prevalence and morphology on routine magnetic resonance imaging of the knee. J. Comput. Assist. Tomogr. 2004, 28, 557–561. [Google Scholar] [CrossRef] [PubMed]
- Jena, D.; Barman, A.; Sahoo, J.; Patel, R.; Dalai, A. A Case of Chronic Deep Infrapatellar Bursitis Complicated by Patellar Tendinopathy and its Evaluation with Musculoskeletal Ultrasound. Cureus 2022, 14, e22057. [Google Scholar] [CrossRef] [PubMed]
- Circi, E.; Atalay, Y.; Beyzadeoglu, T. Treatment of Osgood-Schlatter disease: Review of the literature. Musculoskelet. Surg. 2017, 101, 195–200. [Google Scholar] [CrossRef]
- Chatra, P.S. Bursae around the knee joints. Indian J. Radiol. Imaging 2012, 22, 27–30. [Google Scholar] [CrossRef] [PubMed]
- Steinbach, L.S.; Stevens, K.J. Imaging of cysts and bursae about the knee. Radiol. Clin. N. Am. 2013, 51, 433–454. [Google Scholar] [CrossRef]
- Draghi, F.; Corti, R.; Urciuoli, L.; Alessandrino, F.; Rotondo, A. Knee bursitis: A sonographic evaluation. J. Ultrasound 2015, 18, 251–257. [Google Scholar] [CrossRef]
- Kankate, R.; Selvan, T. Primary haematogenous osteomyelitis of the patella: A rare cause for anterior knee pain in an adult. Postgrad. Med. J. 2000, 76, 707–709. [Google Scholar] [CrossRef] [PubMed]
- Traverso, A.; Tschopp, B.; Mekdade, T.; Kwiatkowski, B.; Lutz, N. Patella Osteomyelitis Mimicking Sinding-Larsen and Johansson Apophysitis: A Pitfall Not to Miss. Case Rep. Orthop. 2020, 2020, 1780689. [Google Scholar] [CrossRef] [PubMed]
- Roy, D.R. Osteomyelitis of the patella. Clin. Orthop. Relat. Res. 2001, 389, 30–34. [Google Scholar] [CrossRef]
- Cox, C.F.; Sinkler, M.A.; Black, A.C.; Launico, M.V.; Hubbard, J.B. Anatomy, Bony Pelvis and Lower Limb, Knee Patella. In StatPearls; StatPearls Publishing: Treasure Island, FL, USA, 2024. Available online: http://www.ncbi.nlm.nih.gov/books/NBK519534/ (accessed on 3 December 2024).
- Berg, A.J.; Killen, M.-C.; Chauhan, A.; Bhatia, C. Osteomyelitis of the patella: Ensure a high index of suspicion and beware the negative aspirate. BMJ Case Rep. 2014, 2014, bcr2014206630. [Google Scholar] [CrossRef]
- Gil-Albarova, J.; Gómez-Palacio, V.E.; Herrera, A. Hematogenous osteomyelitis of the patella. J. Pediatr. Orthop. B 2012, 21, 411–414. [Google Scholar] [CrossRef] [PubMed]
- Fritz, J.M.; McDonald, J.R. Osteomyelitis: Approach to Diagnosis and Treatment. Phys. Sportsmed. 2008, 36, nihpa116823. [Google Scholar] [CrossRef] [PubMed]
- Offiah, A.C. Acute osteomyelitis, septic arthritis and discitis: Differences between neonates and older children. Eur. J. Radiol. 2006, 60, 221–232. [Google Scholar] [CrossRef] [PubMed]
- Pugmire, B.S.; Shailam, R.; Gee, M.S. Role of MRI in the diagnosis and treatment of osteomyelitis in pediatric patients. World J. Radiol. 2014, 6, 530–537. [Google Scholar] [CrossRef] [PubMed]
- Lee, Y.J.; Sadigh, S.; Mankad, K.; Kapse, N.; Rajeswaran, G. The imaging of osteomyelitis. Quant. Imaging Med. Surg. 2016, 6, 184–198. [Google Scholar] [CrossRef] [PubMed]
- Amatucci, A.J.; Padnick-Silver, L.; LaMoreaux, B.; Bulbin, D.H. Comparison Between Early-Onset and Common Gout: A Systematic Literature Review. Rheumatol. Ther. 2023, 10, 809–823. [Google Scholar] [CrossRef] [PubMed]
- Parisa, N.; Kamaluddin, M.T.; Saleh, M.I.; Sinaga, E. The inflammation process of gout arthritis and its treatment. J. Adv. Pharm. Technol. Res. 2023, 14, 166–170. [Google Scholar] [CrossRef] [PubMed]
- Forbess, L.J.; Fields, T.R. The broad spectrum of urate crystal deposition: Unusual presentations of gouty tophi. Semin. Arthritis Rheum. 2012, 42, 146–154. [Google Scholar] [CrossRef]
- Clark, S.; Evans, J.M.; Armstrong, N.; Schnitz, W. Tophaceous gout with rare involvement of the patella. Radiol. Case Rep. 2016, 11, 380–385. [Google Scholar] [CrossRef] [PubMed][Green Version]
- Richette, P.; Doherty, M.; Pascual, E.; Barskova, V.; Becce, F.; Castaneda, J.; Coyfish, M.; Guillo, S.; Jansen, T.; Janssens, H.; et al. 2018 Updated European League Against Rheumatism evidence-based recommendations for the diagnosis of gout. Ann. Rheum. Dis. 2020, 79, 31–38. [Google Scholar] [CrossRef]
- Neogi, T.; Jansen, T.L.T.A.; Dalbeth, N.; Fransen, J.; Schumacher, H.R.; Berendsen, D.; Brown, M.; Choi, H.; Edwards, N.L.; Janssens, H.J.E.M.; et al. 2015 Gout classification criteria: An American College of Rheumatology/European League Against Rheumatism collaborative initiative. Ann. Rheum. Dis. 2015, 74, 1789–1798. [Google Scholar] [CrossRef]
- Sudoł-Szopińska, I.; Afonso, P.D.; Jacobson, J.A.; Teh, J. Imaging of gout: Findings and pitfalls. A pictorial review. Acta Reumatol. Port. 2020, 45, 20–25. [Google Scholar] [PubMed]
- Sudoł-Szopińska, I.; Lanckoroński, M.; Teh, J.; Diekhoff, T.; Giraudo, C.; Chaudhary, S.R. Advanced Imaging of Gout and Other Inflammatory Diseases Around the Knee. Semin. Musculoskelet. Radiol. 2024, 28, 337–351. [Google Scholar] [CrossRef] [PubMed]
- Dalbeth, N.; Gosling, A.L.; Gaffo, A.; Abhishek, A. Gout. Lancet 2021, 397, 1843–1855. [Google Scholar] [CrossRef]
- McQueen, F.M.; Doyle, A.; Dalbeth, N. Imaging in the crystal arthropathies. Rheum. Dis. Clin. N. Am. 2014, 40, 231–249. [Google Scholar] [CrossRef] [PubMed]
- Dalbeth, N.; Kalluru, R.; Aati, O.; Horne, A.; Doyle, A.J.; McQueen, F.M. Tendon involvement in the feet of patients with gout: A dual-energy CT study. Ann. Rheum. Dis. 2013, 72, 1545–1548. [Google Scholar] [CrossRef]
- Bongartz, T.; Glazebrook, K.N.; Kavros, S.J.; Murthy, N.S.; Merry, S.P.; Franz, W.B.; Michet, C.J.; Veetil, B.M.A.; Davis, J.M.; Mason, T.G.; et al. Dual-energy CT for the diagnosis of gout: An accuracy and diagnostic yield study. Ann. Rheum. Dis. 2015, 74, 1072–1077. [Google Scholar] [CrossRef] [PubMed]
- Stauder, S.K.; Peloso, P.M. Dual-Energy Computed Tomography Has Additional Prognostic Value Over Clinical Measures in Gout Including Tophi: A Systematic Literature Review. J. Rheumatol. 2022, 49, 1256–1268. [Google Scholar] [CrossRef] [PubMed]
- Shang, J.; Zhou, L.-P.; Wang, H.; Liu, B. Diagnostic Performance of Dual-energy CT Versus Ultrasonography in Gout: A Meta-analysis. Acad. Radiol. 2022, 29, 56–68. [Google Scholar] [CrossRef] [PubMed]
- Ko, K.-H.; Hsu, Y.-C.; Lee, H.-S.; Lee, C.-H.; Huang, G.-S. Tophaceous gout of the knee: Revisiting MRI patterns in 30 patients. J. Clin. Rheumatol. 2010, 16, 209–214. [Google Scholar] [CrossRef] [PubMed]
- McQueen, F.M.; Doyle, A.; Dalbeth, N. Imaging in gout—What can we learn from MRI, CT, DECT and US? Arthritis Res. Ther. 2011, 13, 246. [Google Scholar] [CrossRef] [PubMed]
- Singh, J.; James, S.L.; Kroon, H.M.; Woertler, K.; Anderson, S.E.; Jundt, G.; Davies, A.M. Tumour and tumour-like lesions of the patella—A multicentre experience. Eur. Radiol. 2009, 19, 701–712. [Google Scholar] [CrossRef] [PubMed]
- Baptista, A.M.; Sargentini, S.C.; Zumárraga, J.P.; Camargo, A.F.D.F.; Camargo, O.P.D. Tumors of the patella: The experience of Institute of Orthopedics and Traumatology at University of São Paulo, Brazil. Acta Ortop. Bras. 2016, 24, 151–154. [Google Scholar] [CrossRef]
- Merchán, N.; Yeung, C.M.; Garcia, J.; Schwab, J.H.; Raskin, K.A.; Newman, E.T.; Lozano-Calderón, S.A. Primary and Metastatic Bone Tumors of the Patella: Literature Review and Institutional Experience. Arch. Bone Jt. Surg. 2022, 10, 190–203. [Google Scholar] [CrossRef] [PubMed]
- Mercuri, M.; Casadei, R. Patellar tumors. Clin. Orthop. Relat. Res. 2001, 389, 35–46. [Google Scholar] [CrossRef] [PubMed]
- Lu, Z.; Chow, K.; Levine, B.; Motamedi, K.; Leeman, J. Lucent Patellar Lesions: A Pictorial Review. J. Radiol. Case Rep. 2022, 16, 18–29. [Google Scholar] [CrossRef]
- Song, M.; Zhang, Z.; Wu, Y.; Ma, K.; Lu, M. Primary tumors of the patella. World J. Surg. Oncol. 2015, 13, 163. [Google Scholar] [CrossRef] [PubMed]
- Zheng, J.; Niu, N.; Shi, J.; Zhang, X.; Zhu, X.; Wang, J.; Liu, C. Chondroblastoma of the patella with secondary aneurysmal bone cyst, an easily misdiagnosed bone tumor:a case report with literature review. BMC Musculoskelet. Disord. 2021, 22, 381. [Google Scholar] [CrossRef]
- Kılıçaslan, Ö.F.; Katı, Y.A.; Kose, O.; Erol, B.; Sezgin Alikanoglu, A. Giant Cell Tumor of the Patellar Tendon Sheath: A Rare Case of Anterior Knee Pain. Cureus 2017, 9, e1690. [Google Scholar] [CrossRef]
- Erickson, J.K.; Rosenthal, D.I.; Zaleske, D.J.; Gebhardt, M.C.; Cates, J.M. Primary treatment of chondroblastoma with percutaneous radio-frequency heat ablation: Report of three cases. Radiology 2001, 221, 463–468. [Google Scholar] [CrossRef] [PubMed]
- Li, G.; Shan, C.; Sun, R.; Liu, S.; Chen, S.; Song, M.; Lu, M. Patellar metastasis from primary tumor. Oncol. Lett. 2018, 15, 1389–1396. [Google Scholar] [CrossRef]
- Kuhn, S.; Bustin, A.; Lamri-Senouci, A.; Rumac, S.; Ledoux, J.-B.; Colotti, R.; Bastiaansen, J.A.M.; Yerly, J.; Favre, J.; Omoumi, P.; et al. Improved accuracy and precision of fat-suppressed isotropic 3D T2 mapping MRI of the knee with dictionary fitting and patch-based denoising. Eur. Radiol. Exp. 2023, 7, 25. [Google Scholar] [CrossRef] [PubMed]
- Cao, G.; Gao, S.; Xiong, B. Application of quantitative T1, T2 and T2* mapping magnetic resonance imaging in cartilage degeneration of the shoulder joint. Sci. Rep. 2023, 13, 4558. [Google Scholar] [CrossRef] [PubMed]
- de Vries, B.A.; van der Heijden, R.A.; Poot, D.H.J.; van Middelkoop, M.; Meuffels, D.E.; Krestin, G.P.; Oei, E.H.G. Quantitative DCE-MRI demonstrates increased blood perfusion in Hoffa’s fat pad signal abnormalities in knee osteoarthritis, but not in patellofemoral pain. Eur. Radiol. 2020, 30, 3401–3408. [Google Scholar] [CrossRef]
- Prado-Costa, R.; Rebelo, J.; Monteiro-Barroso, J.; Preto, A.S. Ultrasound elastography: Compression elastography and shear-wave elastography in the assessment of tendon injury. Insights Imaging 2018, 9, 791–814. [Google Scholar] [CrossRef]
- Zhang, Z.J.; Ng, G.Y.; Lee, W.C.; Fu, S.N. Changes in morphological and elastic properties of patellar tendon in athletes with unilateral patellar tendinopathy and their relationships with pain and functional disability. PLoS ONE 2014, 9, e108337. [Google Scholar] [CrossRef]
- Ooi, C.C.; Richards, P.J.; Maffulli, N.; Ede, D.; Schneider, M.E.; Connell, D.; Morrissey, D.; Malliaras, P. A soft patellar tendon on ultrasound elastography is associated with pain and functional deficit in volleyball players. J. Sci. Med. Sport. 2016, 19, 373–378. [Google Scholar] [CrossRef] [PubMed]
- Berko, N.S.; Hanstein, R.; Burton, D.A.; Fornari, E.D.; Schulz, J.F.; Levin, T.L. Ultrasound elastography of the patellar tendon in young, asymptomatic sedentary and moderately active individuals. Clin. Imaging 2019, 54, 172–177. [Google Scholar] [CrossRef]
- Gitto, S.; Serpi, F.; Albano, D.; Risoleo, G.; Fusco, S.; Messina, C.; Sconfienza, L.M. AI applications in musculoskeletal imaging: A narrative review. Eur. Radiol. Exp. 2024, 8, 22. [Google Scholar] [CrossRef]
- Merchant, A.C.; Fulkerson, J.P.; Leadbetter, W. The Diagnosis and Initial Treatment of Patellofemoral Disorders. Am. J. Orthop. 2017, 46, 68–75. [Google Scholar]
- Howell, M.; Liao, Q.; Gee, C.W. Surgical Management of Osteochondral Defects of the Knee: An Educational Review. Curr. Rev. Musculoskelet. Med. 2021, 14, 60–66. [Google Scholar] [CrossRef] [PubMed]
- Steadman, J.R.; Dragoo, J.L.; Hines, S.L.; Briggs, K.K. Arthroscopic release for symptomatic scarring of the anterior interval of the knee. Am. J. Sports Med. 2008, 36, 1763–1769. [Google Scholar] [CrossRef]
- Kruse, M.; Wolf, O.; Mukka, S.; Brüggemann, A. Epidemiology, classification and treatment of patella fractures: An observational study of 3194 fractures from the Swedish Fracture Register. Eur. J. Trauma Emerg. Surg. 2022, 48, 4727–4734. [Google Scholar] [CrossRef] [PubMed]















| Types | Characteristics |
|---|---|
| Type A | A fairly shallow trochlear structure: crossing sign, shallow trochlea, sulcus angle greater than 145° on axial views |
| Type B | Flat or convex trochlea: crossing sign along with a supratrochlear spur |
| Type C | Asymmetry in the trochlear facets with a hypoplastic medial condyle: crossing sign and a double contour sign |
| Type D | Combination of an asymmetrical trochlear facets and a vertical joint pattern with a cliff-like appearance: crossing sign, supratrochlear spur, and double contour sign |
| Stage | Description | Radiological Finding |
|---|---|---|
| Stage I | Injury limited to articular cartilage | Radiography: Normal MRI: Subchondral edema |
| Stage II | Cartilage injury with associated subchondral fracture but without detachment; thin sclerotic margin | MRI: Subchondral edema Radiography: Usually normal; may see fracture as sclerotic or osteopenic area MRI: Type A (acute)—edema CT: Cystic changes and/or edema Type B (chronic)—Non-displaced, incompletely undercut by fluid (MRI) or lucency (CT), open connection to articular cartilage |
| Stage III | Detached, non-displaced fragment | Radiography: Slight lucency between osteochondral fragments and remainder of the bone MRI: High signal around osteochondral fracture (rim sign), not displaced |
| Stage IV | Osteochondral fragment displaced, joint effusion present | Radiography: Increased lucency between osteochondral fragments and remainder of the bone, or loose body with donor site irregularity MRI: Joint effusion surrounding fragment and filling donor site |
| Stage V | Subchondral cyst formation with secondary degenerative changes | Radiography: Secondary osteoarthritis |
Disclaimer/Publisher’s Note: The statements, opinions and data contained in all publications are solely those of the individual author(s) and contributor(s) and not of MDPI and/or the editor(s). MDPI and/or the editor(s) disclaim responsibility for any injury to people or property resulting from any ideas, methods, instructions or products referred to in the content. |
© 2024 by the authors. Licensee MDPI, Basel, Switzerland. This article is an open access article distributed under the terms and conditions of the Creative Commons Attribution (CC BY) license (https://creativecommons.org/licenses/by/4.0/).
Share and Cite
Masroori, Z.; Haseli, S.; Abbaspour, E.; Pouramini, A.; Azhideh, A.; Fathi, M.; Kafi, F.; Chalian, M. Patellar Non-Traumatic Pathologies: A Pictorial Review of Radiologic Findings. Diagnostics 2024, 14, 2828. https://doi.org/10.3390/diagnostics14242828
Masroori Z, Haseli S, Abbaspour E, Pouramini A, Azhideh A, Fathi M, Kafi F, Chalian M. Patellar Non-Traumatic Pathologies: A Pictorial Review of Radiologic Findings. Diagnostics. 2024; 14(24):2828. https://doi.org/10.3390/diagnostics14242828
Chicago/Turabian StyleMasroori, Zahra, Sara Haseli, Elahe Abbaspour, Alireza Pouramini, Arash Azhideh, Marjan Fathi, Fatemeh Kafi, and Majid Chalian. 2024. "Patellar Non-Traumatic Pathologies: A Pictorial Review of Radiologic Findings" Diagnostics 14, no. 24: 2828. https://doi.org/10.3390/diagnostics14242828
APA StyleMasroori, Z., Haseli, S., Abbaspour, E., Pouramini, A., Azhideh, A., Fathi, M., Kafi, F., & Chalian, M. (2024). Patellar Non-Traumatic Pathologies: A Pictorial Review of Radiologic Findings. Diagnostics, 14(24), 2828. https://doi.org/10.3390/diagnostics14242828

