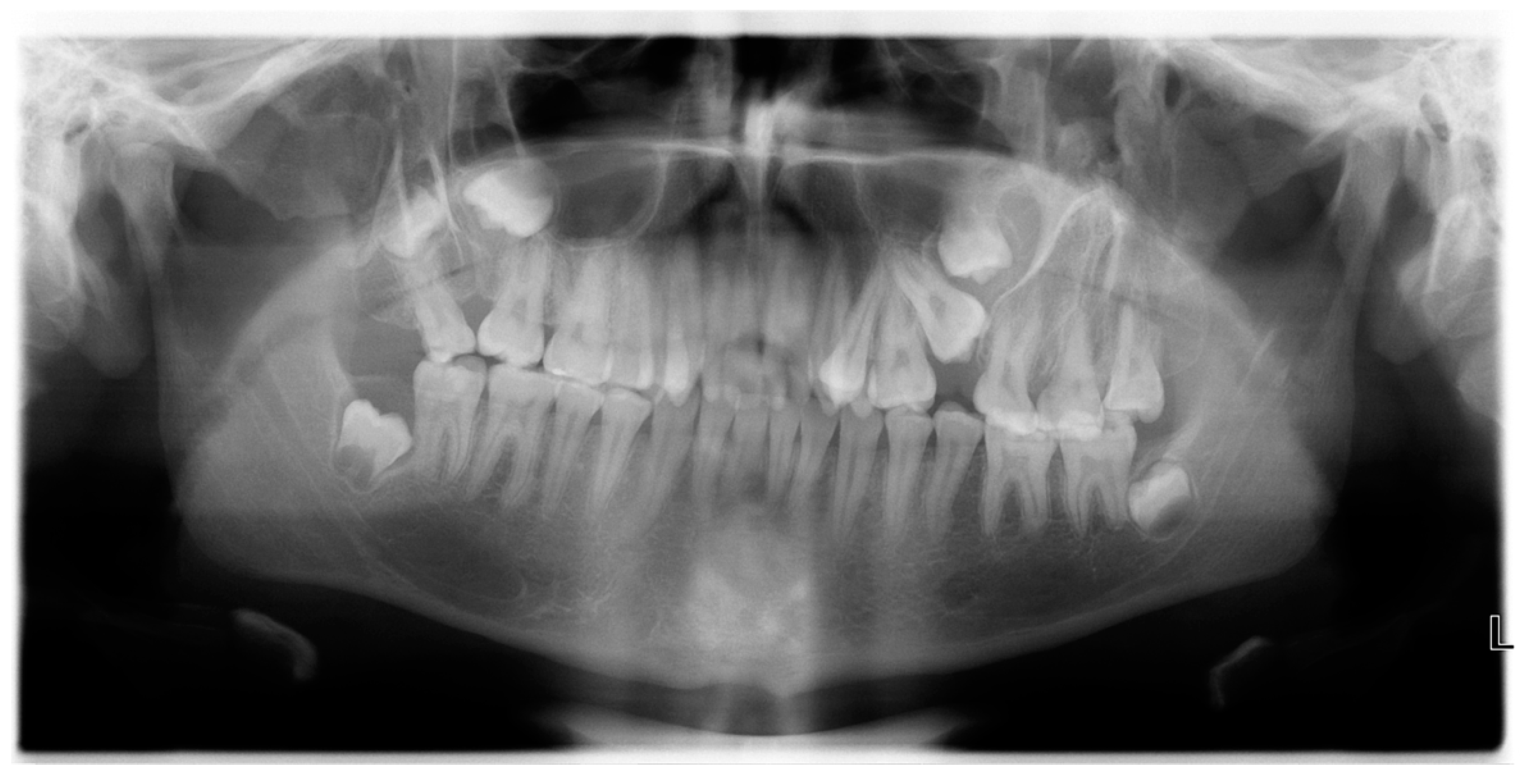
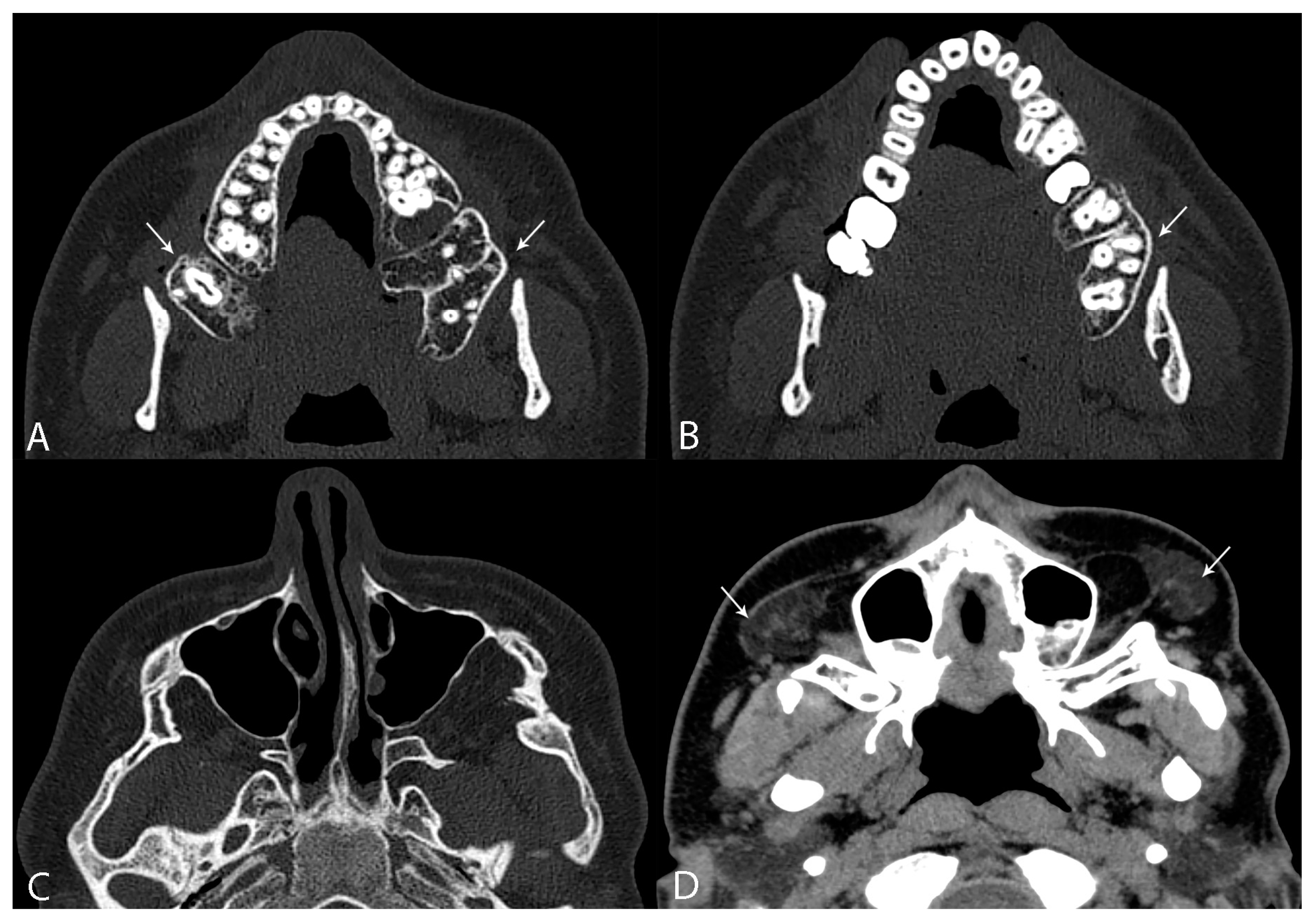
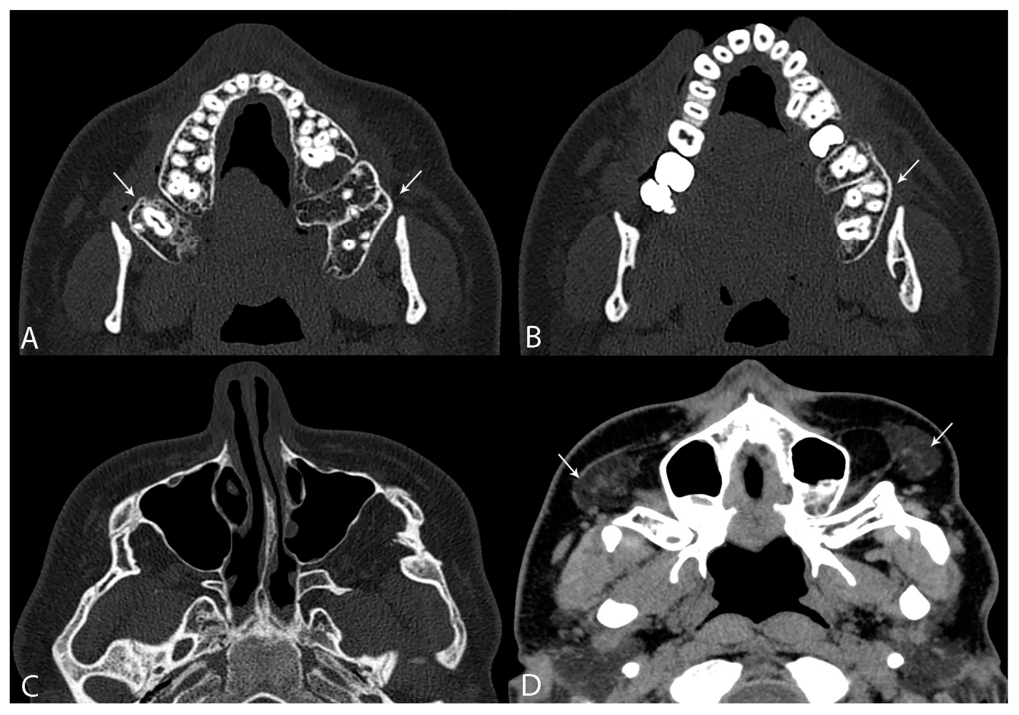
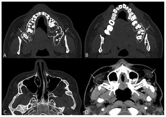
Bilateral Maxillary Duplication in Tessier No. 7 Cleft: An Uncommon Congenital Deformity with a Challenging Radiological Diagnosis
Abstract



Author Contributions
Funding
Institutional Review Board Statement
Informed Consent Statement
Data Availability Statement
Acknowledgments
Conflicts of Interest
References
- Sun, M.; Lv, N.; Xiao, Y.; Li, J.; Guan, G. A rare case of accessory maxilla: A case report and literature review of Tessier no. 7 clefts. J. Int. Med. Res. 2020, 48, 300060520925680. [Google Scholar] [CrossRef] [PubMed]
- Khorasani, H.; Boljanovic, S.; Knudsen, M.A.K.; Jakobsen, L.P. Surgical management of the Tessier 7 cleft: A review and presentation of 5 cases. JPRAS Open 2019, 23, 9–18. [Google Scholar] [CrossRef] [PubMed]
- Woods, R.H.; Varma, S.; David, D.J. Tessier no. 7 cleft: A new subclassification and management protocol. Plast. Reconstr. Surg. 2008, 122, 898–905. [Google Scholar] [CrossRef] [PubMed]
- Borzabadi-Farahani, A.; Yen, S.L.; Yamashita, D.D.; Sanchez-Lara, P.A. Bilateral maxillary duplication: Case report and literature review. Oral Surg. Oral Med. Oral Pathol. Oral Radiol. 2012, 113, 29–32. [Google Scholar] [CrossRef]
- Bütow, K.W.; Botha, A. A classification and construction of congenital lateral facial clefts. J. Craniomaxillofac. Surg. 2010, 38, 477–484. [Google Scholar] [CrossRef]
- Chauhan, D.S.; Guruprasad, Y. Goldenhar Syndrome with Tessier’s 7 Cleft: Report of a Case. J. Maxillofac. Oral. Surg. 2015, 14, 42–46. [Google Scholar] [CrossRef] [PubMed]
Disclaimer/Publisher’s Note: The statements, opinions and data contained in all publications are solely those of the individual author(s) and contributor(s) and not of MDPI and/or the editor(s). MDPI and/or the editor(s) disclaim responsibility for any injury to people or property resulting from any ideas, methods, instructions or products referred to in the content. |
© 2024 by the authors. Licensee MDPI, Basel, Switzerland. This article is an open access article distributed under the terms and conditions of the Creative Commons Attribution (CC BY) license (https://creativecommons.org/licenses/by/4.0/).
Share and Cite
Antic, S.; Bracanovic, D.; Janovic, A.; Krstic, G.; Plavsic, D.; Markovic Vasiljkovic, B. Bilateral Maxillary Duplication in Tessier No. 7 Cleft: An Uncommon Congenital Deformity with a Challenging Radiological Diagnosis. Diagnostics 2024, 14, 714. https://doi.org/10.3390/diagnostics14070714
Antic S, Bracanovic D, Janovic A, Krstic G, Plavsic D, Markovic Vasiljkovic B. Bilateral Maxillary Duplication in Tessier No. 7 Cleft: An Uncommon Congenital Deformity with a Challenging Radiological Diagnosis. Diagnostics. 2024; 14(7):714. https://doi.org/10.3390/diagnostics14070714
Chicago/Turabian StyleAntic, Svetlana, Djurdja Bracanovic, Aleksa Janovic, Goran Krstic, Djordje Plavsic, and Biljana Markovic Vasiljkovic. 2024. "Bilateral Maxillary Duplication in Tessier No. 7 Cleft: An Uncommon Congenital Deformity with a Challenging Radiological Diagnosis" Diagnostics 14, no. 7: 714. https://doi.org/10.3390/diagnostics14070714
APA StyleAntic, S., Bracanovic, D., Janovic, A., Krstic, G., Plavsic, D., & Markovic Vasiljkovic, B. (2024). Bilateral Maxillary Duplication in Tessier No. 7 Cleft: An Uncommon Congenital Deformity with a Challenging Radiological Diagnosis. Diagnostics, 14(7), 714. https://doi.org/10.3390/diagnostics14070714

