Relationship between Skeletal Malocclusion and Radiomorphometric Indices of the Mandible in Long Face Patients
Abstract
1. Introduction
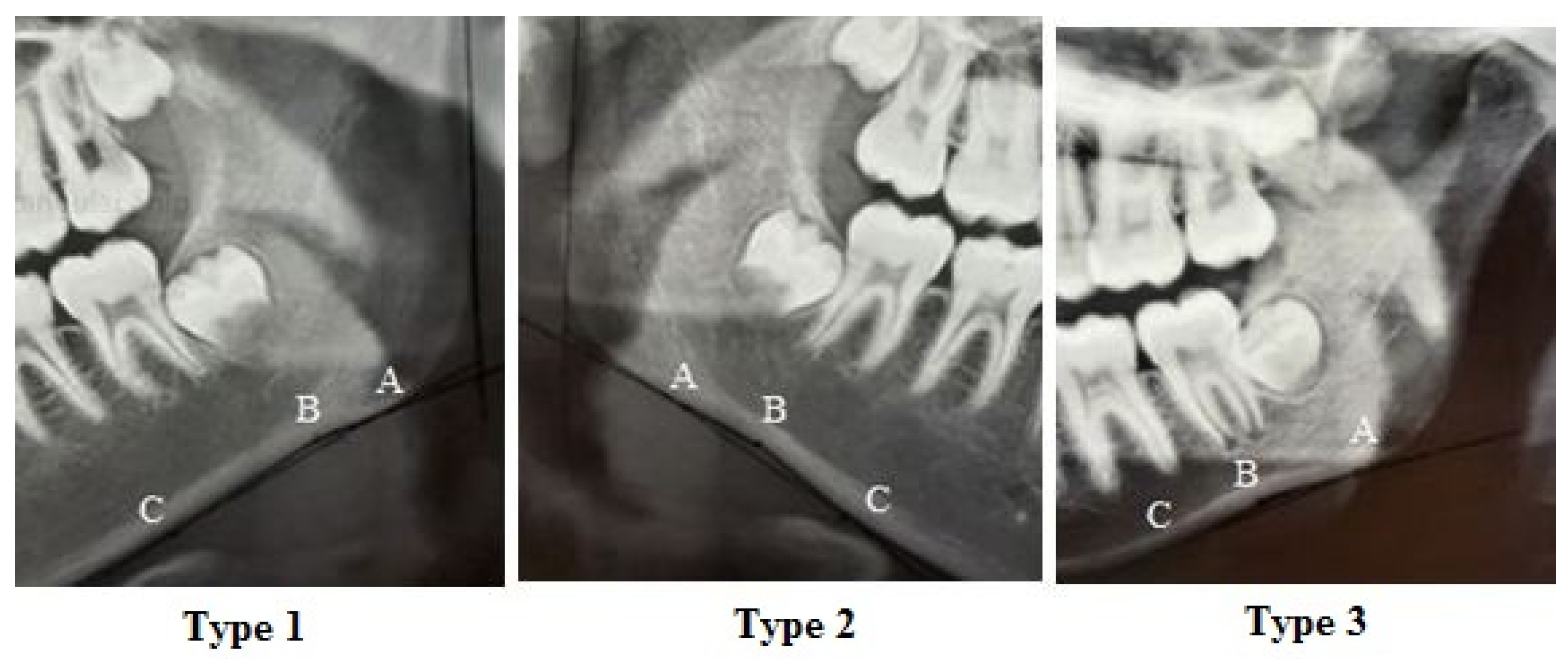
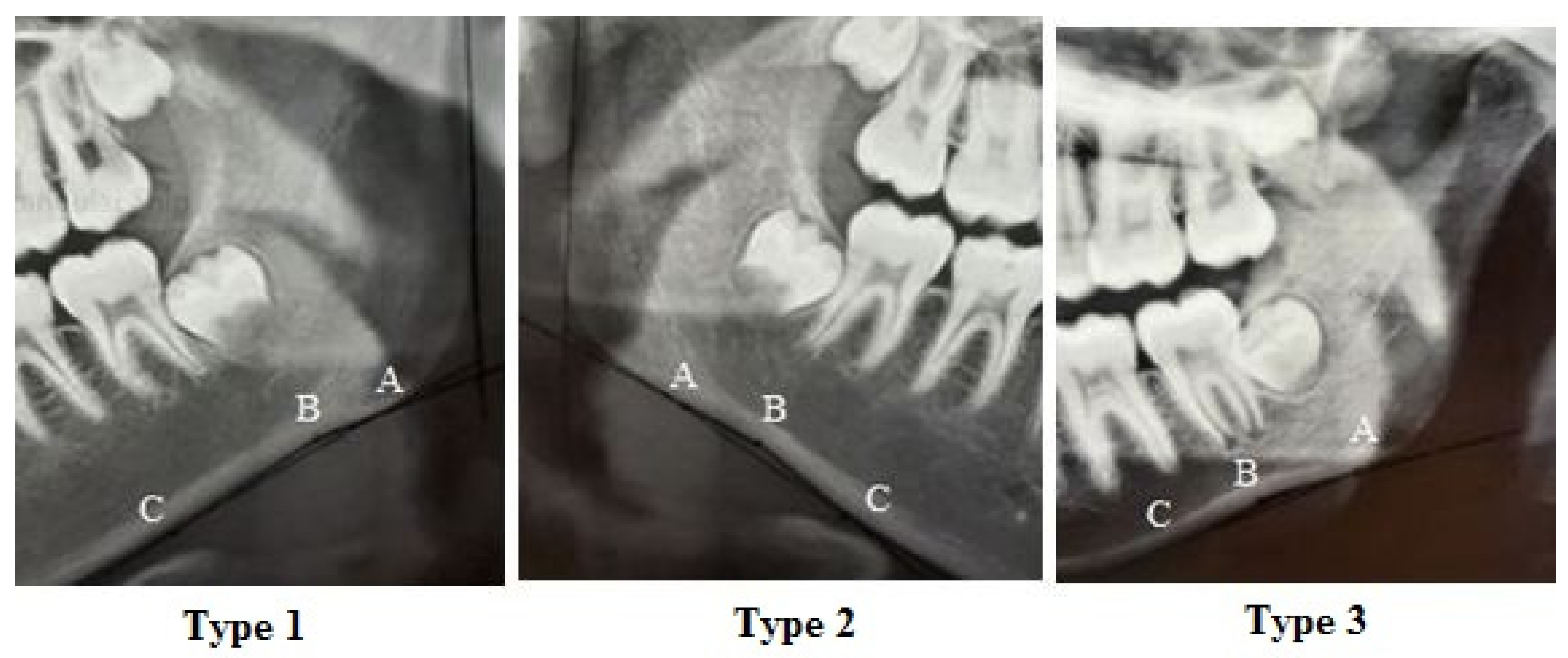
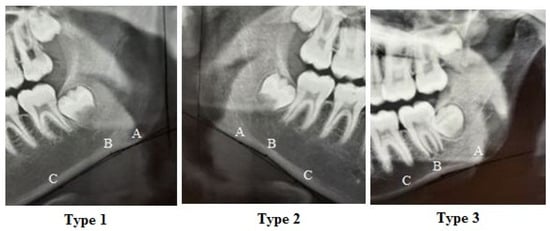
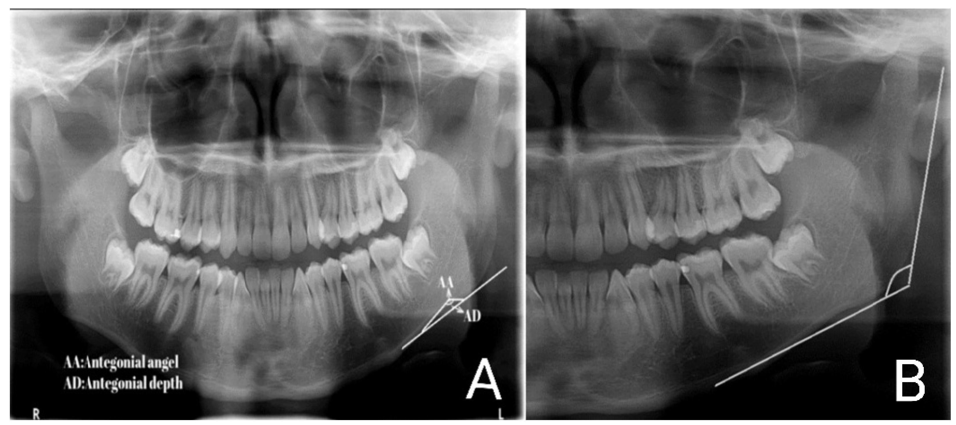
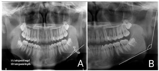
2. Materials and Methods
3. Results
4. Discussion
5. Conclusions
Author Contributions
Funding
Institutional Review Board Statement
Informed Consent Statement
Data Availability Statement
Conflicts of Interest
References
- Siécola, G.S.; Filho, L.C.; Lorenzoni, D.C.; Janson, G.; Henriques, J.F.C. Subjective facial analysis and its correlation with dental relationships. Dent. Press. J. Orthod. 2017, 22, 87–94. [Google Scholar] [CrossRef] [PubMed]
- Kar, B.; Aggarwal, I.; Mittal, S.; Bhullar, M.; Singla, D.; Sharma, A. Antegonial Notch and Mandibular Symphysis as indicators of Growth Pattern. Dent. J. Adv. Stud. 2018, 6, 80–88. [Google Scholar]
- Björk, A.; Skieller, V. Normal and abnormal growth of the mandible. A synthesis of longitudinal cephalometric implant studies over a period of 25 years. Eur. J. Orthod. 1983, 5, 1–46. [Google Scholar] [CrossRef] [PubMed]
- Björk, A. Prediction of mandibular growth rotation. Am. J. Orthod. 1969, 55, 585–599. [Google Scholar] [CrossRef] [PubMed]
- Björk, A. The use of metallic implants in the study of facial growth in children: Method and application. Am. J. Phys. Anthr. 1968, 29, 243–254. [Google Scholar] [CrossRef] [PubMed]
- MacIntosh, R.B. Experience with the sagittal osteotomy of the mandibular ramus: A 13-year review. J. Maxillofac. Surg. 1981, 9, 151–165. [Google Scholar] [CrossRef] [PubMed]
- Henderson, D.; Poswillo, D. A Colour Atlas and Textbook of Orthognathic Surgery: The Surgery of Slekeltal Facial Deformity; Wolfe Medical Publications Ltd., Weert: London, UK, 1985. [Google Scholar]
- Porwolik, M.; Porwolik, K.; Domagała, Z.A.; Woźniak, S.; Dąbrowski, P.; Kacała, R.; Kordecki, H.; Chmielewski, P.; Abu Faraj, S.; Gworys, B. Typology of the antegonial notch in the human mandible. Folia Morphol. 2015, 74, 365–371. [Google Scholar] [CrossRef]
- Becker, M.H.; Coccaro, P.J.; Converse, J.M. Antegonial notching of the mandible: An often overlooked mandibular deformity in congenital and acquired disorders. Radiology 1976, 121, 149–151. [Google Scholar] [CrossRef]
- Skieller, V.; Björk, A.; Linde-Hansen, T. Prediction of mandibular growth rotation evaluated from a longitudinal implant sample. Am. J. Orthod. 1984, 86, 359–370. [Google Scholar] [CrossRef]
- Tofangchiha, M.; Jabbarian, R.; Sheikhdavoodi, N.; Ranjbaran, M.; Ajeli, A.; Baratali, S.; Akafzadeh, N. Relationship of Skeletal Class of Malocclusion with Radiomorphometric Indices of Mandible in Short-Face Patients. J. Dent. Sch. 2023, 41, 23–28. [Google Scholar] [CrossRef]
- Tayebi, A.; Tofangchiha, M.; Fard, M.A.; Gosili, A. The relationship of mandibular radiomorphometric indices to skeletal age, chronological age and skeletal malocclusion type. J. Clin. Exp. Dent. 2017, 9, e970–e975. [Google Scholar] [CrossRef]
- Singer, C.P.; Mamandras, A.H.; Hunter, W.S. The depth of the mandibular antegonial notch as an indicator of mandibular growth potential. Am. J. Orthod. Dentofac. Orthop. 1987, 91, 117–124. [Google Scholar] [CrossRef]
- Lambrechts, A.H.; Harris, A.M.; Rossouw, P.E.; Stander, I. Dimensional differences in the craniofacial morphologies of groups with deep and shallow mandibular antegonial notching. Angle Orthod. 1996, 66, 265–272. [Google Scholar]
- Moreno, I.; Sánchez, T.; Ardizone, I.; Aneiros, F.; Celemin, A. Electromyographic comparisons between clenching, swallowing and chewing in jaw muscles with varying occlusal parameters. Med. Oral. Patol. Oral. Cir. Bucal 2008, 13, E207–E213. [Google Scholar]
- Ingervall, B.; Minder, C. Correlation between maximum bite force and facial morphology in children. Angle Orthod. 1997, 67, 415–422. [Google Scholar] [PubMed]
- Benjamin, M.; Toumi, H.; Ralphs, J.R.; Bydder, G.; Best, T.M.; Milz, S. Where tendons and ligaments meet bone: Attachment sites (‘entheses’) in relation to exercise and/or mechanical load. J. Anat. 2006, 208, 471–490. [Google Scholar] [CrossRef] [PubMed]
- Kolodziej, R.P.; Southard, T.E.; Southard, K.A.; Casko, J.S.; Jakobsen, J.R. Evaluation of antegonial notch depth for growth prediction. Am. J. Orthod. Dentofac. Orthop. 2002, 121, 357–363. [Google Scholar] [CrossRef]
- Tomer, G.; Kishnani, R. Correlation of antegonial notch depth with craniofacial morphology-A cephalometric and electromyographic study. J. Pierre Fauchard Acad. 2011, 25, 163–171. [Google Scholar] [CrossRef]
- Basha, I.; Narayan, A.; Sindhu, D.; Ranjitha, G.; Bhaduri, N.; Sinha, S.; Jinnani, G. Comparison and correlation between antegonial notch depth, symphysis morphology and curvature of mandibular canal among different growth patterns in angle’s class ii division 1 malocclusion: A radiographic study. Int. J. Sci. Dev. Res. 2020, 5, 139–148. [Google Scholar]
- Salem, O.H.; Al-Sehaibany, F.; Preston, C.B. Aspects of mandibular morphology, with specific reference to the antegonial notch and the curve of Spee. J. Clin. Pediatr. Dent. 2003, 27, 261–265. [Google Scholar] [CrossRef]
- Jensen, E.; Palling, M. The gonial angle. Am. J. Orthod. 1954, 40, 120–133. [Google Scholar] [CrossRef]
- Behl, A.B.; Grewal, S.; Bajaj, K.; Baweja, P.S.; Kaur, G.; Kataria, P. Mandibular ramus and gonial angle—Identification tool in age estimation and sex determination: A digital panoramic radiographic study in north indian population. J. Indian. Acad. Oral. Med. Radiol. 2020, 32, 31–36. [Google Scholar] [CrossRef]
- Apaydın, B.; Icoz, D.; Yasar, F.; Akgunlu, F. Evaluation of mandibular anatomical formation for gender determination in Turkish population. Balk. J. Dent. Med. 2018, 22, 133–137. [Google Scholar] [CrossRef][Green Version]
- Bhardwaj, D.; Kumar, J.S.; Mohan, V. Radiographic evaluation of mandible to predict the gender and age. J. Clin. Diagn. Res. 2014, 8, ZC66–ZC69. [Google Scholar] [CrossRef] [PubMed]
- Mangla, R.; Singh, N.; Dua, V.; Padmanabhan, P.; Khanna, M. Evaluation of mandibular morphology in different facial types. Contemp. Clin. Dent. 2011, 2, 200–206. [Google Scholar] [CrossRef] [PubMed]
- Singh, B.; Kahlon, S.S.; Narang, R.S. To Assess the Values of Gonial & Antegonial Angle on Panoramic Radiograph and their Role in the Gender Determination. J. Dent. Oral. Health 2016, 2, 1–4. [Google Scholar]
- Gupta, S.; Dhingra, P.S.; Chatha, S. A study of comparison and correlation between antegonial notch depth, symphysis morphology, and ramus morphology among different growth patterns in angle's Class II Division 1 Malocclusion. Indian J. Dent. Sci. 2018, 10, 21–25. [Google Scholar] [CrossRef]
- Kaczkowski, H.; Porwolik, K.; Porwolik, M.; Noga, L.; Woyton, H.; Domagala, Z.; Gworys, B. Anatomical analysis of preangular mandibular notch in humans. Folia Morphol. 2012, 71, 100–104. [Google Scholar]
- Chole, R.H.; Patil, R.N.; Balsaraf Chole, S.; Gondivkar, S.; Gadbail, A.R.; Yuwanati, M.B. Association of mandible anatomy with age, gender, and dental status: A radiographic study. ISRN Radiol. 2013, 2013, 453763. [Google Scholar] [CrossRef]
- Atef, M.; Sobhy, A.; Khalid, A.; Ismail, M. Role of Three Dimensional Computed Tomography in Age Estimation from Mandible of a Sample of Libyan Population in Tripoli. Zagazig J. Forensic. Med. 2021, 19, 13–30. [Google Scholar] [CrossRef]
- Tidke, P.; Kulkarni, S.; Agrawal, V.; Saxena, U.; Pandharipande, R. Tooth coronal index (TCI), antegonial angle, and antegonial depth measurement for age estimation using digital panoramic radiograph. J. Indian. Acad. Oral. Med. Radiol. 2019, 31, 353–358. [Google Scholar] [CrossRef]
- Ghosh, S.; Vengal, M.; Pai, K.M.; Abhishek, K. Remodeling of the antegonial angle region in the human mandible: A panoramic radiographic cross-sectional study. Med. Oral. Patol. Oral. Cir. Bucal 2010, 15, e802–e807. [Google Scholar] [CrossRef] [PubMed]




| Variable | Number | Percentage | |
|---|---|---|---|
| Occlusion | Class I | 55 | 31.6 |
| Class II | 71 | 40.8 | |
| Class III | 48 | 27.6 | |
| Right antegonial notch type | Class I | 92 | 52.9 |
| Class II | 76 | 43.7 | |
| Class III | 6 | 3.4 | |
| Left antegonial notch type | Class I | 114 | 65.5 |
| Class II | 50 | 28.7 | |
| Class III | 10 | 5.7 |
| Variable | Mean | Std. Deviation | Minimum | Maximum |
|---|---|---|---|---|
| Right gonial angle (degrees) | 126.93 | 7.56 | 107.00 | 146.00 |
| Left gonial angle (degrees) | 126.88 | 8.59 | 107.00 | 148.00 |
| Mean right and left gonial angles | 126.91 | 7.51 | 107.00 | 143.00 |
| Right antegonial angle (degrees) | 162.18 | 6.23 | 148.00 | 178.00 |
| Left antegonial angle (degrees) | 159.66 | 8.24 | 128.00 | 180.00 |
| Mean right and left antegonial angles | 160.92 | 5.79 | 148.50 | 175.00 |
| Right antegonial notch depth (mm) | 1.79 | 0.71 | 0.19 | 4.09 |
| Left antegonial notch depth (mm) | 1.68 | 0.66 | 0.03 | 3.89 |
| Mean depth of the right and left antegonial angles | 1.73 | 0.63 | 0.26 | 3.99 |
| Variable | Occlusion | Mean | Std. Deviation | p-Value * | LSD Test |
|---|---|---|---|---|---|
| Gonial angle | Class I | 124.91 | 7.29 | 0.046 | Class I vs. II: p = 0.058 |
| Class II | 127.45 | 6.99 | Class I vs. III: p = 0.019 | ||
| Class III | 128.39 | 8.14 | Class II vs. III: p = 0.501 | ||
| Antegonial angle | Class I | 162.04 | 5.16 | 0.138 | - |
| Class II | 159.97 | 6.28 | |||
| Class III | 161.04 | 5.59 | |||
| Antegonial depth | Class I | 1.63 | 0.56 | 0.313 | - |
| Class II | 1.77 | 0.57 | |||
| Class III | 1.80 | 0.77 |
| Variable | Gender | Mean | Std. Deviation | p-Value * |
|---|---|---|---|---|
| Gonial angle | Male | 128.68 | 8.60 | 0.026 |
| Female | 125.87 | 6.62 | ||
| Antegonial angle | Male | 162.02 | 4.34 | 0.036 |
| Female | 160.28 | 6.42 | ||
| Antegonial depth | Male | 1.86 | 0.62 | 0.046 |
| Female | 1.66 | 0.62 |
| Variable | Right Antegonial Type | Left Antegonial Type | |||||
|---|---|---|---|---|---|---|---|
| Number (%) | Number (%) | ||||||
| Class I | Class II | Class III | Class I | Class II | Class III | ||
| Occlusion | Class I | 32 (58.2) | 21 (38.2) | 2 (3.6) | 34 (61.8) | 19 (34.5) | 2 (3.6) |
| Class II | 45 (63.4) | 24 (33.8) | 2 (2.8) | 52 (73.2) | 15 (21.1) | 4 (5.6) | |
| Class III | 15 (31.3) | 31 (64.6) | 2 (4.2) | 28 (58.3) | 16 (33.3) | 6 (8.3) | |
| p-value * | 0.006 | 0.318 | |||||
| Gender | Males | 26 (40.6) | 37 (57.8) | 1 (1.6) | 42 (65.6) | 16 (25.0) | 6 (9.4) |
| Females | 66 (60.0) | 39 (35.5) | 5 (4.5) | 72 (65.5) | 34 (30.9) | 4 (3.6) | |
| p-value * | 0.014 | 0.245 | |||||
Disclaimer/Publisher’s Note: The statements, opinions and data contained in all publications are solely those of the individual author(s) and contributor(s) and not of MDPI and/or the editor(s). MDPI and/or the editor(s) disclaim responsibility for any injury to people or property resulting from any ideas, methods, instructions or products referred to in the content. |
© 2024 by the authors. Licensee MDPI, Basel, Switzerland. This article is an open access article distributed under the terms and conditions of the Creative Commons Attribution (CC BY) license (https://creativecommons.org/licenses/by/4.0/).
Share and Cite
D’Amato, G.; Tofangchiha, M.; Sheikhdavoodi, N.; Mohammadi, Z.; Ranjbaran, M.; Jabbarian, R.; Patini, R. Relationship between Skeletal Malocclusion and Radiomorphometric Indices of the Mandible in Long Face Patients. Diagnostics 2024, 14, 459. https://doi.org/10.3390/diagnostics14050459
D’Amato G, Tofangchiha M, Sheikhdavoodi N, Mohammadi Z, Ranjbaran M, Jabbarian R, Patini R. Relationship between Skeletal Malocclusion and Radiomorphometric Indices of the Mandible in Long Face Patients. Diagnostics. 2024; 14(5):459. https://doi.org/10.3390/diagnostics14050459
Chicago/Turabian StyleD’Amato, Giuseppe, Maryam Tofangchiha, Nima Sheikhdavoodi, Zahra Mohammadi, Mehdi Ranjbaran, Razieh Jabbarian, and Romeo Patini. 2024. "Relationship between Skeletal Malocclusion and Radiomorphometric Indices of the Mandible in Long Face Patients" Diagnostics 14, no. 5: 459. https://doi.org/10.3390/diagnostics14050459
APA StyleD’Amato, G., Tofangchiha, M., Sheikhdavoodi, N., Mohammadi, Z., Ranjbaran, M., Jabbarian, R., & Patini, R. (2024). Relationship between Skeletal Malocclusion and Radiomorphometric Indices of the Mandible in Long Face Patients. Diagnostics, 14(5), 459. https://doi.org/10.3390/diagnostics14050459

