“Air Sign” in Misdiagnosed Mandibular Fractures Based on CT and CBCT Evaluation
Abstract
1. Introduction
2. Materials and Methods
3. Results
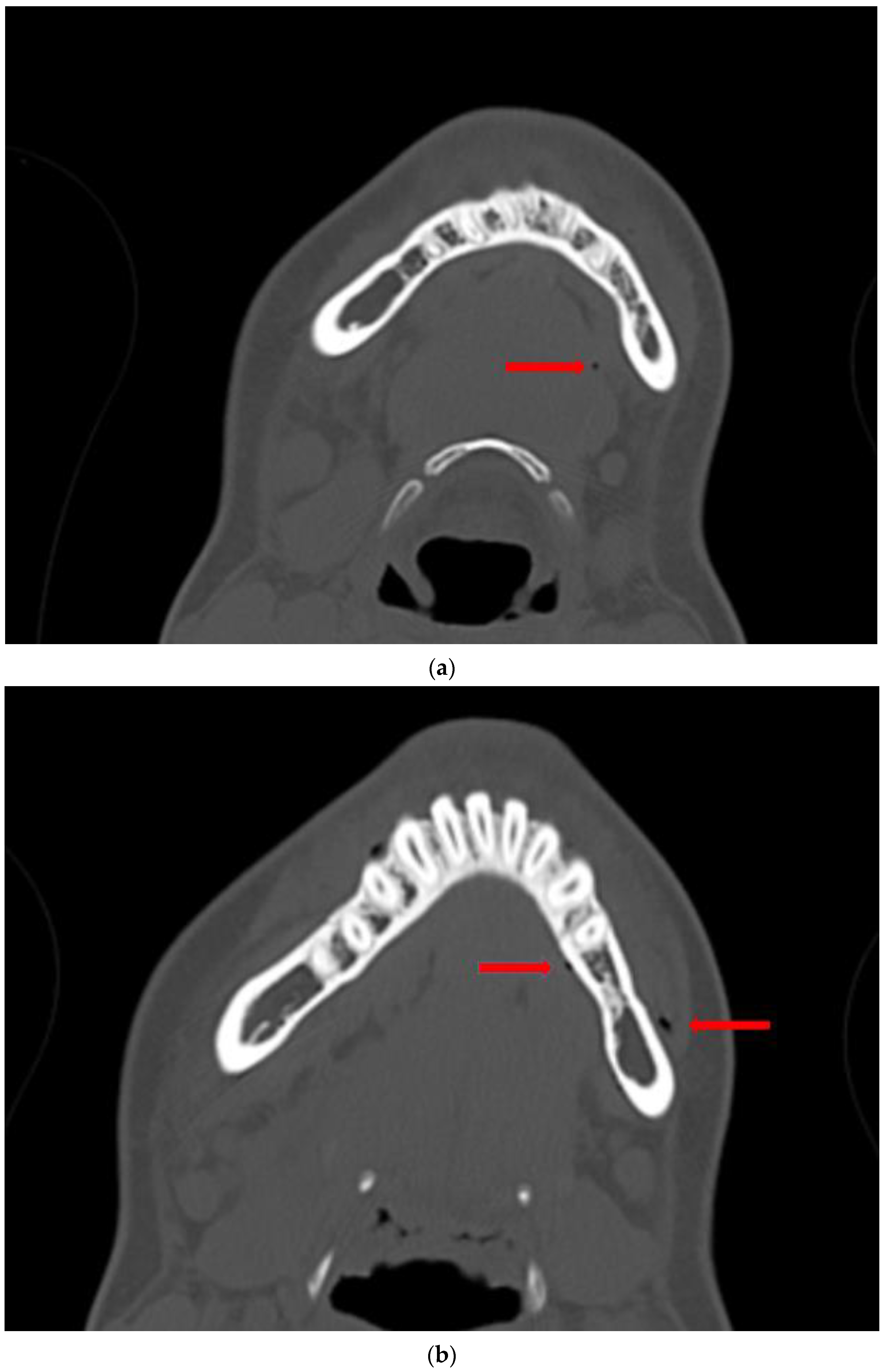
3.1. Case 1
3.2. Case 2
3.3. Case 3
4. Discussion
5. Conclusions
Author Contributions
Funding
Institutional Review Board Statement
Informed Consent Statement
Data Availability Statement
Conflicts of Interest
References
- Sikora, M.; Chęciński, M.; Sielski, M.; Chlubek, D. The Use of 3D Titanium Miniplates in Surgical Treatment of Patients with Condylar Fractures. J. Clin. Med. 2020, 9, 2923. [Google Scholar] [CrossRef]
- Son, D.M.; Yoon, Y.A.; Kwon, H.J.; An, C.H.; Lee, S.H. Automatic Detection of Mandibular Fractures in Panoramic Radiographs Using Deep Learning. Diagnostics 2021, 11, 933. [Google Scholar] [CrossRef]
- Afrooz, P.N.; Bykowski, M.R.; James, I.B.; Daniali, L.N.; Clavijo-Alvarez, J.A. The Epidemiology of Mandibular Fractures in the United States, Part 1: A Review of 13,142 Cases from the US National Trauma Data Bank. J. Oral Maxillofac. Surg. 2015, 73, 2361–2366. [Google Scholar] [CrossRef]
- Erdmann, D.; Follmar, K.E.; DeBruijn, M.; Bruno, A.D.; Jung, S.H.; Edelman, D.; Mukundan, S.; Marcus, J.R. A Retrospective Analysis of Facial Fracture Etiologies. Ann. Plast. Surg. 2008, 60, 398–403. [Google Scholar] [CrossRef]
- Ellis, E., 3rd; Moos, K.F.; El-Attar, A. Ten years of mandibular fractures: An analysis of 2,137 cases. Oral Surg. Oral Med. Oral Pathol. 1985, 59, 120–129. [Google Scholar] [CrossRef]
- Murphy, R.X., Jr.; Birmingham, K.L.; Okunski, W.J.; Wasser, T. The Influence of Airbag and Restraining Devices on the Patterns of Facial Trauma in Motor Vehicle Collisions. Plast. Reconstr. Surg. 2000, 105, 516–520. [Google Scholar] [CrossRef]
- Hitosugi, M.; Mizuno, K.; Nagai, T.; Tokudome, S. Analysis of Maxillofacial Injuries of Vehicle Passengers Involved in Frontal Collisions. J. Oral Maxillofac. Surg. 2011, 69, 1146–1151. [Google Scholar] [CrossRef] [PubMed]
- Hyman, D.A.; Saha, S.; Nayar, H.S.; Doyle, J.F.; Agarwal, S.K.; Chaiet, S.R. Patterns of Facial Fractures and Protective Device Use in Motor Vehicle Collisions from 2007 to 2012. JAMA Facial Plast. Surg. 2016, 18, 455–461. [Google Scholar] [CrossRef] [PubMed]
- Orabona, G.D.A.; Iaconetta, G.; Abbate, V.; Califano, L. Bifocal Mandibular Fractures: Which should be treated first? J. Craniofac. Surg. 2012, 23, 1723–1727. [Google Scholar] [CrossRef] [PubMed]
- Pickrell, B.B.; Serebrakian, A.T.; Maricevich, R.S. Mandible Fractures. Semin. Plast. Surg. 2017, 31, 100–107. [Google Scholar] [CrossRef] [PubMed]
- Lander, D.P.; Lee, J.J.; Kallogjeri, D.; Stwalley, D.; Olsen, M.A.; Piccirillo, J.F.; Spataro, E.A. The Impact of Treatment Delay on Malunion and Nonunion after Open Reduction of Mandible Fractures. Facial Plast. Surg. Aesthetic Med. 2021, 23, 460–466. [Google Scholar] [CrossRef] [PubMed]
- Moilanen, A. Errors in the primary X-ray diagnosis of maxillofacial fractures. Rofo 1982, 137, 129–135. [Google Scholar] [CrossRef] [PubMed]
- Wilson, I.F.; Lokeh, A.; Benjamin, C.I.; Hilger, P.A.; Hamlar, D.D.; Ondrey, F.G.; Tashjian, J.H.; Thomas, W.; Schubert, W. Prospective Comparison of Panoramic Tomography (Zonography) and Helical Computed Tomography in the Diagnosis and Operative Management of Mandibular Fractures. Plast. Reconstr. Surg. 2001, 107, 1369–1375. [Google Scholar] [CrossRef]
- AO Foundation. AO Surgery Reference. Available online: https://surgeryreference.aofoundation.org/cmf/trauma/mandible (accessed on 4 January 2024).
- Ellis, E.; Miles, B.A. Fractures of the Mandible: A Technical Perspective. Plast. Reconstr. Surg. 2007, 120 (Suppl. S2), 76S–89S. [Google Scholar] [CrossRef]
- Rozema, R.; Doff, M.H.; El Moumni, M.; Boomsma, M.F.; Spijkervet, F.K.; van Minnen, B. Diagnostic accuracy of physical examination findings for midfacial and mandibular fractures. Injury 2021, 52, 2616–2624. [Google Scholar] [CrossRef]
- Schwab, R.A.; Genners, K.; A Robinson, W. Clinical predictors of mandibular fractures. Am. J. Emerg. Med. 1998, 16, 304–305. [Google Scholar] [CrossRef]
- Neiner, J.; Free, R.; Caldito, G.; Moore-Medlin, T.; Nathan, C.A. Tongue Blade Bite Test Predicts Mandible Fractures. Craniomaxillofac. Trauma Reconstr. 2016, 9, 121–124. [Google Scholar] [CrossRef]
- Kuck, J.Y.; Azhar, A.M.N.; Wee, N.; Manikam, R. Diagnostic accuracy of the tongue blade test combined with clinical signs to detect maxillary and mandibular fractures in the emergency department. World J. Emerg. Med. 2023, 14, 122–127. [Google Scholar] [CrossRef]
- Alonso, L.L.; Purcell, T.B. Accuracy of the tongue blade test in patients with suspected mandibular fracture. J. Emerg. Med. 1995, 13, 297–304. [Google Scholar] [CrossRef]
- Jarrahy, R.; Vo, V.; Goenjian, H.A.; Tabit, C.J.; Katchikian, H.V.; Kumar, A.; Meals, C.; Bradley, J.P. Diagnostic Accuracy of Maxillofacial Trauma Two-Dimensional and Three-Dimensional Computed Tomographic Scans: Comparison of Oral Surgeons, Head and Neck Surgeons, Plastic Surgeons, and Neuroradiologists. Plast. Reconstr. Surg. 2011, 127, 2432–2440. [Google Scholar] [CrossRef] [PubMed]
- Reuben, A.D.; Watt-Smith, S.R.; Dobson, D.; Golding, S.J. A comparative study of evaluation of radiographs, CT and 3D reformatted CT in facial trauma: What is the role of 3D? Br. J. Radiol. 2005, 78, 198–201. [Google Scholar] [CrossRef]
- Kim, T.; Jung, S.G.; Hong, I.P.; Hwang, Y.J. Diagnosis of split fractures of the mandible in adults. Arch. Craniofac. Surg. 2023, 24, 167–173. [Google Scholar] [CrossRef]
- Saigal, K.; Winokur, R.S.; Finden, S.; Taub, D.; Pribitkin, E. Use of Three-Dimensional Computerized Tomography Reconstruction in Complex Facial Trauma. Facial Plast. Surg. 2005, 21, 214–220. [Google Scholar] [CrossRef]
- Klenk, G.; Kovacs, A. Do We Need Three-Dimensional Computed Tomography in Maxillofacial Surgery? J. Craniofac. Surg. 2004, 15, 842–850. [Google Scholar] [CrossRef]
- Koryczan, P.; Zapała, J.; Gontarz, M.; Wyszyńska-Pawelec, G. Comparison of the results of the treatment of enophthalmos in orbital blowout fracture in children/adolescents and adults. Dent. Med. Probl. 2021, 58, 179–186. [Google Scholar] [CrossRef]
- Bobinski, M.; Shen, P.Y.; Dublin, A.B. Basic Imaging of Skull Base Trauma. J. Neurol. Surg. Part B Skull Base 2016, 77, 381–387. [Google Scholar] [CrossRef]
- Ulano, A.C.; Vedantham, S.; Takhtani, D. Revisiting the indirect signs of a temporal bone fracture: Air, air, everywhere. Emerg. Radiol. 2017, 47, 1079–1503. [Google Scholar] [CrossRef] [PubMed]
- Hung, K.F.; Ai, Q.Y.H.; Wong, L.M.; Yeung, A.W.K.; Li, D.T.S.; Leung, Y.Y. Current Applications of Deep Learning and Radiomics on CT and CBCT for Maxillofacial Diseases. Diagnostics 2022, 13, 110. [Google Scholar] [CrossRef] [PubMed]
- Egelhoff, K.; Idzi, P.; Bargiel, J.; Wyszyńska-Pawelec, G.; Zapała, J.; Gontarz, M. Implementation of Cone Beam Computed Tomography, Digital Sculpting and Three-Dimensional Printing in Facial Epithesis—A Technical Note. Appl. Sci. 2022, 12, 11974. [Google Scholar] [CrossRef]
- Leite, A.F.; Vasconcelos, K.D.F.; Willems, H.; Jacobs, R. Radiomics and Machine Learning in Oral Healthcare. Proteom. Clin. Appl. 2020, 14, e1900040. [Google Scholar] [CrossRef]
- Van Timmeren, J.E.; Cester, D.; Tanadini-Lang, S.; Alkadhi, H.; Baessler, B. Radiomics in medical imaging-”how-to” guide and critical reflection. Insights Imaging 2020, 11, 91. [Google Scholar] [CrossRef] [PubMed]
- Son, D.-M.; Yoon, Y.-A.; Kwon, H.-J.; Lee, S.-H. Combined Deep Learning Techniques for Mandibular Fracture Diagnosis Assistance. Life 2022, 12, 1711. [Google Scholar] [CrossRef] [PubMed]
- Wang, X.; Xu, Z.; Tong, Y.; Xia, L.; Jie, B.; Ding, P.; Bai, H.; Zhang, Y.; He, Y. Detection and classification of mandibular fracture on CT scan using deep convolutional neural network. Clin. Oral Investig. 2022, 26, 4593–4601. [Google Scholar] [CrossRef]
- Vinayahalingam, S.; van Nistelrooij, N.; van Ginneken, B.; Bressem, K.; Tröltzsch, D.; Heiland, M.; Flügge, T.; Gaudin, R. Detection of mandibular fractures on panoramic radiographs using deep learning. Sci. Rep. 2022, 12, 19596. [Google Scholar] [CrossRef]
- Nishiyama, M.; Ishibashi, K.; Ariji, Y.; Fukuda, M.; Nishiyama, W.; Umemura, M.; Katsumata, A.; Fujita, H.; Ariji, E. Performance of deep learning models constructed using panoramic radiographs from two hospitals to diagnose fractures of the mandibular condyle. Dentomaxillofac. Radiol. 2021, 50, 20200611. [Google Scholar] [CrossRef]
- Turosz, N.; Chęcińska, K.; Chęciński, M.; Brzozowska, A.; Nowak, Z.; Sikora, M. Applications of artificial intelligence in the analysis of dental panoramic radiographs: An overview of systematic reviews. Dentomaxillofac. Radiol. 2023, 52, 20230284. [Google Scholar] [CrossRef]









Disclaimer/Publisher’s Note: The statements, opinions and data contained in all publications are solely those of the individual author(s) and contributor(s) and not of MDPI and/or the editor(s). MDPI and/or the editor(s) disclaim responsibility for any injury to people or property resulting from any ideas, methods, instructions or products referred to in the content. |
© 2024 by the authors. Licensee MDPI, Basel, Switzerland. This article is an open access article distributed under the terms and conditions of the Creative Commons Attribution (CC BY) license (https://creativecommons.org/licenses/by/4.0/).
Share and Cite
Gontarz, M.; Bargiel, J.; Gąsiorowski, K.; Marecik, T.; Szczurowski, P.; Zapała, J.; Wyszyńska-Pawelec, G. “Air Sign” in Misdiagnosed Mandibular Fractures Based on CT and CBCT Evaluation. Diagnostics 2024, 14, 362. https://doi.org/10.3390/diagnostics14040362
Gontarz M, Bargiel J, Gąsiorowski K, Marecik T, Szczurowski P, Zapała J, Wyszyńska-Pawelec G. “Air Sign” in Misdiagnosed Mandibular Fractures Based on CT and CBCT Evaluation. Diagnostics. 2024; 14(4):362. https://doi.org/10.3390/diagnostics14040362
Chicago/Turabian StyleGontarz, Michał, Jakub Bargiel, Krzysztof Gąsiorowski, Tomasz Marecik, Paweł Szczurowski, Jan Zapała, and Grażyna Wyszyńska-Pawelec. 2024. "“Air Sign” in Misdiagnosed Mandibular Fractures Based on CT and CBCT Evaluation" Diagnostics 14, no. 4: 362. https://doi.org/10.3390/diagnostics14040362
APA StyleGontarz, M., Bargiel, J., Gąsiorowski, K., Marecik, T., Szczurowski, P., Zapała, J., & Wyszyńska-Pawelec, G. (2024). “Air Sign” in Misdiagnosed Mandibular Fractures Based on CT and CBCT Evaluation. Diagnostics, 14(4), 362. https://doi.org/10.3390/diagnostics14040362

