Synchronous Primary Metastatic Infra-Mammary Accessory Breast Cancer and Ipsilateral Breast Cancer: An Extremely Rare Case Report
Abstract
1. Introduction
2. Case Description
2.1. History
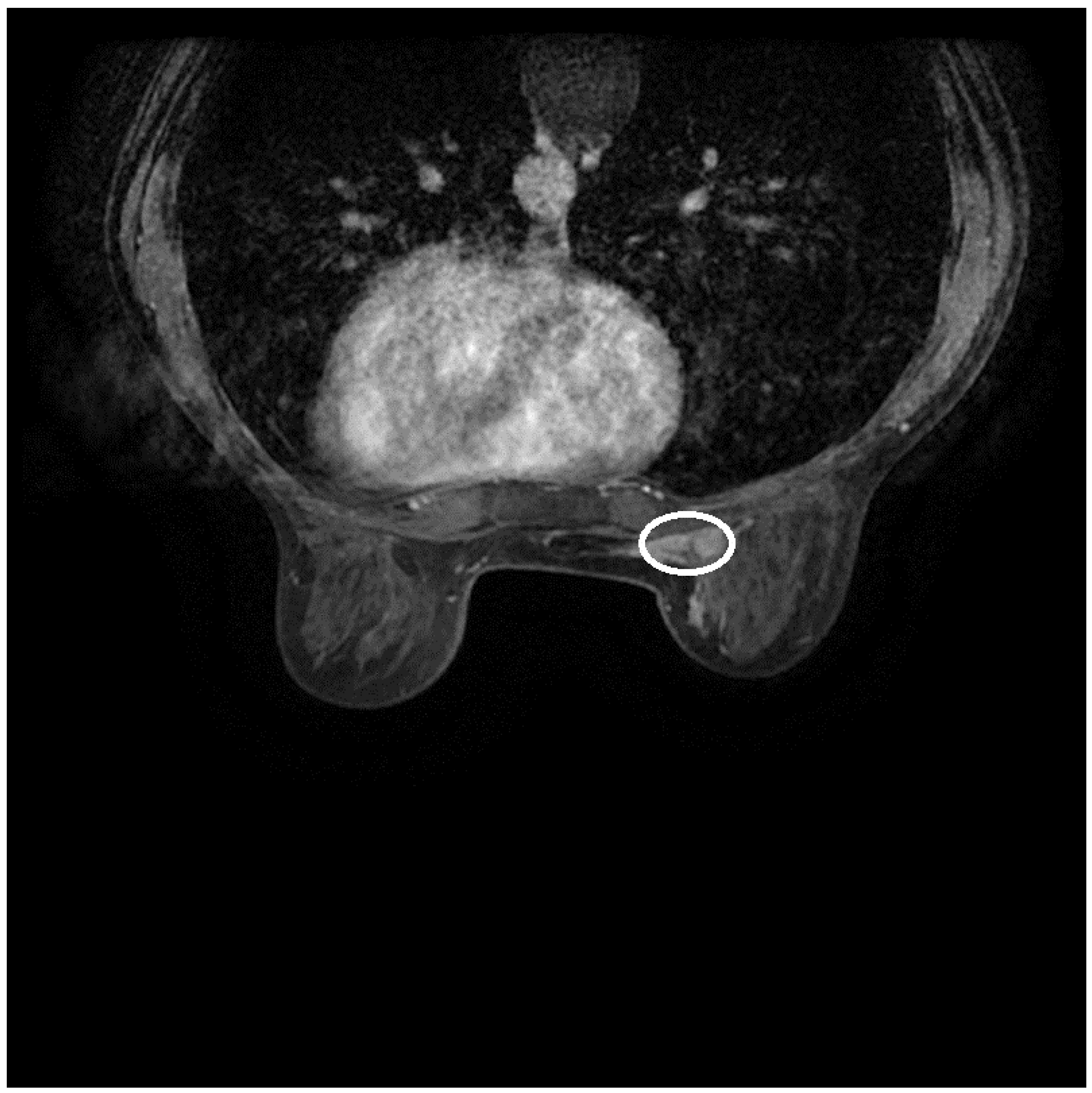
2.2. Imaging
2.3. Classification
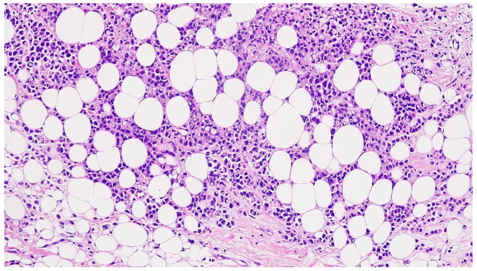
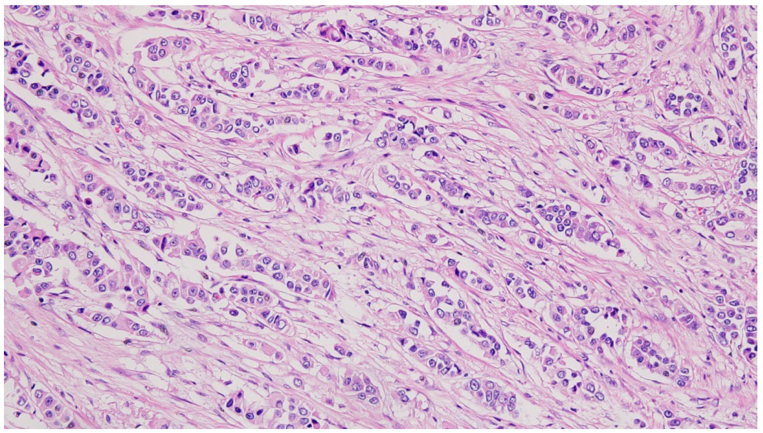
2.4. Management
3. Discussion
4. Conclusions
- (i).
- It is rare to find accessory breast cancer in the infra-mammary region;
- (ii).
- The diagnosis of invasive ductal carcinoma and its classification as cT3N1M0 and pT3N1M0 for the primary right IMR accessory breast cancer, stage IIIA, and cT2N0M0 of the native right breast cancer;
- (iii).
- The timely identification and management involving a multi-modal approach that led to a successful patient outcome for a rare carcinoma that presumably may have had poorer outcomes.
Author Contributions
Funding
Institutional Review Board Statement
Informed Consent Statement
Data Availability Statement
Conflicts of Interest
References
- Siegel, R.L.; Miller, K.D.; Wagle, N.S.; Jemal, A. Cancer statistics, 2023. CA Cancer J. Clin. 2023, 73, 17–48. [Google Scholar] [CrossRef] [PubMed]
- Available online: https://www.cancer.org/content/dam/cancer-org/research/cancer-facts-and-statistics/breast-cancer-facts-and-figures/2022-2024-breast-cancer-fact-figures-acs.pdf (accessed on 10 June 2024).
- Available online: https://www.cancer.org/content/dam/cancer-org/research/cancer-facts-and-statistics/annual-cancer-facts-and-figures/2023/2023-cancer-facts-and-figures.pdf (accessed on 10 June 2024).
- Miles, R.C.; Amornsiripanitch, N.; Scheel, J. Inflammatory breast cancer in accessory abdominal breast tissue. Radiol. Case Rep. 2017, 12, 639–641. [Google Scholar] [CrossRef] [PubMed]
- Teixeira, I.P.; Azzopardi, C.; Chowdhury, R.; Zsolt, O.; Castro, M.; Teh, J. Ectopic breast tissue presenting as an enlarging abdominal mass. Radiol. Case Rep. 2020, 15, 733–740. [Google Scholar] [CrossRef] [PubMed]
- Anuj Srinivasan, B.J.; Govindaraj, K.; Ramalingam, P. Fibroadenoma of Ectopic Breast Tissue—A Case Report. Int. J. Surg. Res. 2018, 5, 88–90. [Google Scholar] [CrossRef]
- Kreipe, H.H.; Christgen, M. Ectopia of mammary tissue. Pathologe 2018, 39, 398–401. [Google Scholar] [CrossRef]
- Page, R.N.; Dittrich, L.; King, R.; Boulos, F.; Page, D.L. Syringomatous adenoma of the nipple occurring within a supernumerary breast: A case report. J. Cutan. Pathol. 2009, 36, 1206–1209. [Google Scholar] [CrossRef]
- Bartsich, S.A.; Ofodile, F.A. Accessory breast tissue in the axilla: Classification and treatment. Plast. Reconstr. Surg. 2011, 128, 35e–36e. [Google Scholar] [CrossRef]
- Goyal, S.; Puri, T.; Gupta, R.; Julka, P.K.; Rath, G.K. Accessory breast tissue in axilla masquerading as breast cancer recurrence. J. Cancer Res. Ther. 2008, 4, 95–96. [Google Scholar] [CrossRef]
- Gao, Y.G.; Zhang, S.H.; Wang, Y. A case of accessory mammary cancer in a male patient and a literature review. Eur. J. Gynaecol. Oncol. 2014, 35, 452–455. [Google Scholar]
- Wang, J.; Wu, S.G. Breast Cancer: An Overview of Current Therapeutic Strategies, Challenge, and Perspectives. Breast Cancer 2023, 15, 721–730. [Google Scholar] [CrossRef]
- Zhang, S.; Yu, Y.H.; Qu, W.; Zhang, Y.; Li, J. Diagnosis and treatment of accessory breast cancer in 11 patients. Oncol. Lett. 2015, 10, 1783–1788. [Google Scholar] [CrossRef] [PubMed]
- Pardo, M.; Silva, F.; Jiménez, P.; Karmelic, M. Mammary carcinoma ine ectopic breast tissue. A case report. Rev. Med. Chil. 2001, 129, 663–665. [Google Scholar]
- Evans, D.M.; Guyton, D.P. Carcinoma of the axillary breast. J. Surg. Oncol. 1995, 59, 190–195. [Google Scholar] [CrossRef] [PubMed]
- Marshall, M.B.; Moynihan, J.J.; Frost, A.; Evans, S.R. Ectopic breast cancer: Case report and literature review. Surg. Oncol. 1994, 3, 295–304. [Google Scholar] [CrossRef] [PubMed]
- Kitamura, K.; Kuwano, H.; Kiyomatsu, K.; Ikejiri, K.; Sugimachi, K.; Saku, M. Mastopathy of the accessory breast in the bilateral axillary regions occurring concurrently with advanced breast cancer. Breast Cancer Res. Treat. 1995, 35, 221–224. [Google Scholar] [CrossRef]
- Routiot, T.; Marchal, C.; Verhaeghe, J.L.; Depardieu, C.; Netter, E.; Weber, B.; Carolus, J.M. Breast carcinoma located in ectopic breast tissue: A case report and review of the literature. Oncol. Rep. 1998, 5, 413–417. [Google Scholar] [CrossRef]
- Kim, J.H. Concurrent Invasive Carcinoma and Fibroadenoma Arising from Bilateral Ectopic Breast Tissue in the Chest Wall: A Case Report and Literature Review. J. Korean Soc. Radiol. 2024, 85, 813–819. [Google Scholar] [CrossRef]
- Sahu, S.K.; Husain, M.; Sachan, P.K. Bilateral Accessory Breast. Internet J. Surg. 2007, 17, 2. [Google Scholar]
- DeFilippis, E.M.; Arleo, E.K. The ABCs of accessory breast tissue: Basic information every radiologist should know. AJR Am. J. Roentgenol. 2014, 202, 1157–1162. [Google Scholar] [CrossRef]
- Ghosn, S.H.; Khatri, K.A.; Bhawan, J. Bilateral aberrant axillary breast tissue mimicking lipomas: Report of a case and review of the literature. J. Cutan. Pathol. 2007, 34 (Suppl. S1), 9–13. [Google Scholar] [CrossRef]
- Francone, E.; Nathan, M.J.; Murelli, F.; Bruno, M.S.; Traverso, E.; Friedman, D. Ectopic breast cancer: Case report and review of the literature. Aesthetic Plast. Surg. 2013, 37, 746–749. [Google Scholar] [CrossRef] [PubMed]
- Cardoso, F.; Kyriakides, S.; Ohno, S.; Penault-Llorca, F.; Poortmans, P.; Rubio, I.T.; Zackrisson, S.; Senkus, E. Early breast cancer: ESMO Clinical Practice Guidelines for diagnosis, treatment and follow-up†. Ann. Oncol. 2019, 30, 1194–1220. [Google Scholar] [CrossRef] [PubMed]
- Yamamura, J.; Masuda, N.; Kodama, Y.; Yasojima, H.; Mizutani, M.; Kuriyama, K.; Mano, M.; Nakamori, S.; Sekimoto, M. Male breast cancer originating in an accessory mammary gland in the axilla: A case report. Case Rep. Med. 2012, 2012, 286210. [Google Scholar] [CrossRef] [PubMed]
- Bhavinder, K.; Arora, R.A.; Aora, A. Axillary accessory breast: Presentation and treatment. Int. Surg. J. 2016, 3, 2050–2053. [Google Scholar] [CrossRef]
- Senkus, E.; Łacko, A. Over-treatment in metastatic breast cancer. Breast 2017, 31, 309–317. [Google Scholar] [CrossRef]
- Mihai, D.; Voiculescu, S.; Cristian, D.; Constantinescu, F.; Popa, E.; Burcos, T. Multimodal treatment of aggressive forms of breast cancer. J. Med. Life 2014, 7, 415–420. [Google Scholar]
- Lim, H.S.; Kim, S.J.; Baek, J.M.; Kim, J.W.; Shin, S.S.; Seon, H.J.; Heo, S.H. Sonographic Findings of Accessory Breast Tissue in Axilla and Related Diseases. J. Ultrasound Med. 2017, 36, 1469–1478. [Google Scholar] [CrossRef]
- Youn, H.J.; Jung, S.H. Accessory Breast Carcinoma. Breast Care 2009, 4, 104–106. [Google Scholar] [CrossRef]
- Marta, G.N.; Barrett, J.; Porfirio, G.J.M.; Martimbianco, A.L.C.; Bevilacqua, J.L.B.; Poortmans, P.; Riera, R. Effectiveness of different accelerated partial breast irradiation techniques for the treatment of breast cancer patients: Systematic review using indirect comparisons of randomized clinical trials. Rep. Pract. Oncol. Radiother. 2019, 24, 165–174. [Google Scholar] [CrossRef]
- McGale, P.; Taylor, C.; Correa, C.; Cutter, D.; Duane, F.; Ewertz, M.; Gray, R.; Mannu, G.; Peto, R.; Whelan, T.; et al. Effect of radiotherapy after mastectomy and axillary surgery on 10-year recurrence and 20-year breast cancer mortality: Meta-analysis of individual patient data for 8135 women in 22 randomised trials. Lancet 2014, 383, 2127–2135. [Google Scholar] [CrossRef]
- Blum, J.L.; Flynn, P.J.; Yothers, G.; Asmar, L.; Geyer, C.E., Jr.; Jacobs, S.A.; Robert, N.J.; Hopkins, J.O.; O’Shaughnessy, J.A.; Dang, C.T.; et al. Anthracyclines in Early Breast Cancer: The ABC Trials-USOR 06-090, NSABP B-46-I/USOR 07132, and NSABP B-49 (NRG Oncology). J. Clin. Oncol. 2017, 35, 2647–2655. [Google Scholar] [CrossRef] [PubMed]
- Osborne, C.; Tripathy, D. Aromatase inhibitors: Rationale and use in breast cancer. Annu. Rev. Med. 2005, 56, 103–116. [Google Scholar] [CrossRef] [PubMed]
- Down, S.; Barr, L.; Baildam, A.D.; Bundred, N. Management of accessory breast tissue in the axilla. Br. J. Surg. 2003, 90, 1213–1214. [Google Scholar] [CrossRef] [PubMed]
- Dowsett, M.; Cuzick, J.; Ingle, J.; Coates, A.; Forbes, J.; Bliss, J.; Buyse, M.; Baum, M.; Buzdar, A.; Colleoni, M.; et al. Meta-analysis of breast cancer outcomes in adjuvant trials of aromatase inhibitors versus tamoxifen. J. Clin. Oncol. 2010, 28, 509–518. [Google Scholar] [CrossRef]
- Goss, P.E.; Ingle, J.N.; Martino, S.; Robert, N.J.; Muss, H.B.; Piccart, M.J.; Castiglione, M.; Tu, D.; Shepherd, L.E.; Pritchard, K.I.; et al. A randomized trial of letrozole in postmenopausal women after five years of tamoxifen therapy for early-stage breast cancer. N. Engl. J. Med. 2003, 349, 1793–1802. [Google Scholar] [CrossRef]
- Yerra, L.; Karnad, A.B.; Votaw, M.L. Primary breast cancer in aberrant breast tissue in the axilla. South. Med. J. 1997, 90, 661–662. [Google Scholar] [CrossRef]
- Class, M.M.; McCoy, K.; Melin, A.A.; Hafeez, F.; Abidi, N.; Krakowski, A.C. Bilateral accessory axillary breast tissue in a premenarchal female. Pediatr. Dermatol. 2024, 41, 704–706. [Google Scholar] [CrossRef]
- De la Torre, M.; Lorca-García, C.; de Tomás, E.; Berenguer, B. Axillary ectopic breast tissue in the adolescent. Pediatr. Surg. Int. 2022, 38, 1445–1451. [Google Scholar] [CrossRef]
- Visconti, G.; Eltahir, Y.; Van Ginkel, R.J.; Bart, J.; Werker, P.M. Approach and management of primary ectopic breast carcinoma in the axilla: Where are we? A comprehensive historical literature review. J. Plast. Reconstr. Aesthet. Surg. 2011, 64, e1–e11. [Google Scholar] [CrossRef]
- Sinduja, R.; Kumaran, R.; Sundaramurthi, S.; Krishnaraj, B.; Sistla, S.C. Carcinoma of the Accessory Axillary Breast: A Diagnostic Dilemma and a Management Challenge. Cureus 2020, 12, e11844. [Google Scholar] [CrossRef]





Disclaimer/Publisher’s Note: The statements, opinions and data contained in all publications are solely those of the individual author(s) and contributor(s) and not of MDPI and/or the editor(s). MDPI and/or the editor(s) disclaim responsibility for any injury to people or property resulting from any ideas, methods, instructions or products referred to in the content. |
© 2024 by the authors. Licensee MDPI, Basel, Switzerland. This article is an open access article distributed under the terms and conditions of the Creative Commons Attribution (CC BY) license (https://creativecommons.org/licenses/by/4.0/).
Share and Cite
Preda, M.; Kundnani, N.R.; Buzas, R.; Dema, S.; Carabineanu, A.; Miclaus, C.D.; Ilina, R.; Cretu, O.M.; Blidisel, A. Synchronous Primary Metastatic Infra-Mammary Accessory Breast Cancer and Ipsilateral Breast Cancer: An Extremely Rare Case Report. Diagnostics 2024, 14, 2699. https://doi.org/10.3390/diagnostics14232699
Preda M, Kundnani NR, Buzas R, Dema S, Carabineanu A, Miclaus CD, Ilina R, Cretu OM, Blidisel A. Synchronous Primary Metastatic Infra-Mammary Accessory Breast Cancer and Ipsilateral Breast Cancer: An Extremely Rare Case Report. Diagnostics. 2024; 14(23):2699. https://doi.org/10.3390/diagnostics14232699
Chicago/Turabian StylePreda, Marius, Nilima Rajpal Kundnani, Roxana Buzas, Sorin Dema, Adrian Carabineanu, Codruta Dana Miclaus, Razvan Ilina, Octavian Marius Cretu, and Alexandru Blidisel. 2024. "Synchronous Primary Metastatic Infra-Mammary Accessory Breast Cancer and Ipsilateral Breast Cancer: An Extremely Rare Case Report" Diagnostics 14, no. 23: 2699. https://doi.org/10.3390/diagnostics14232699
APA StylePreda, M., Kundnani, N. R., Buzas, R., Dema, S., Carabineanu, A., Miclaus, C. D., Ilina, R., Cretu, O. M., & Blidisel, A. (2024). Synchronous Primary Metastatic Infra-Mammary Accessory Breast Cancer and Ipsilateral Breast Cancer: An Extremely Rare Case Report. Diagnostics, 14(23), 2699. https://doi.org/10.3390/diagnostics14232699

