The Role of Endoscopic Ultrasound-Guided Shear Wave Elastography in Pancreatic Diseases
Abstract
1. Background
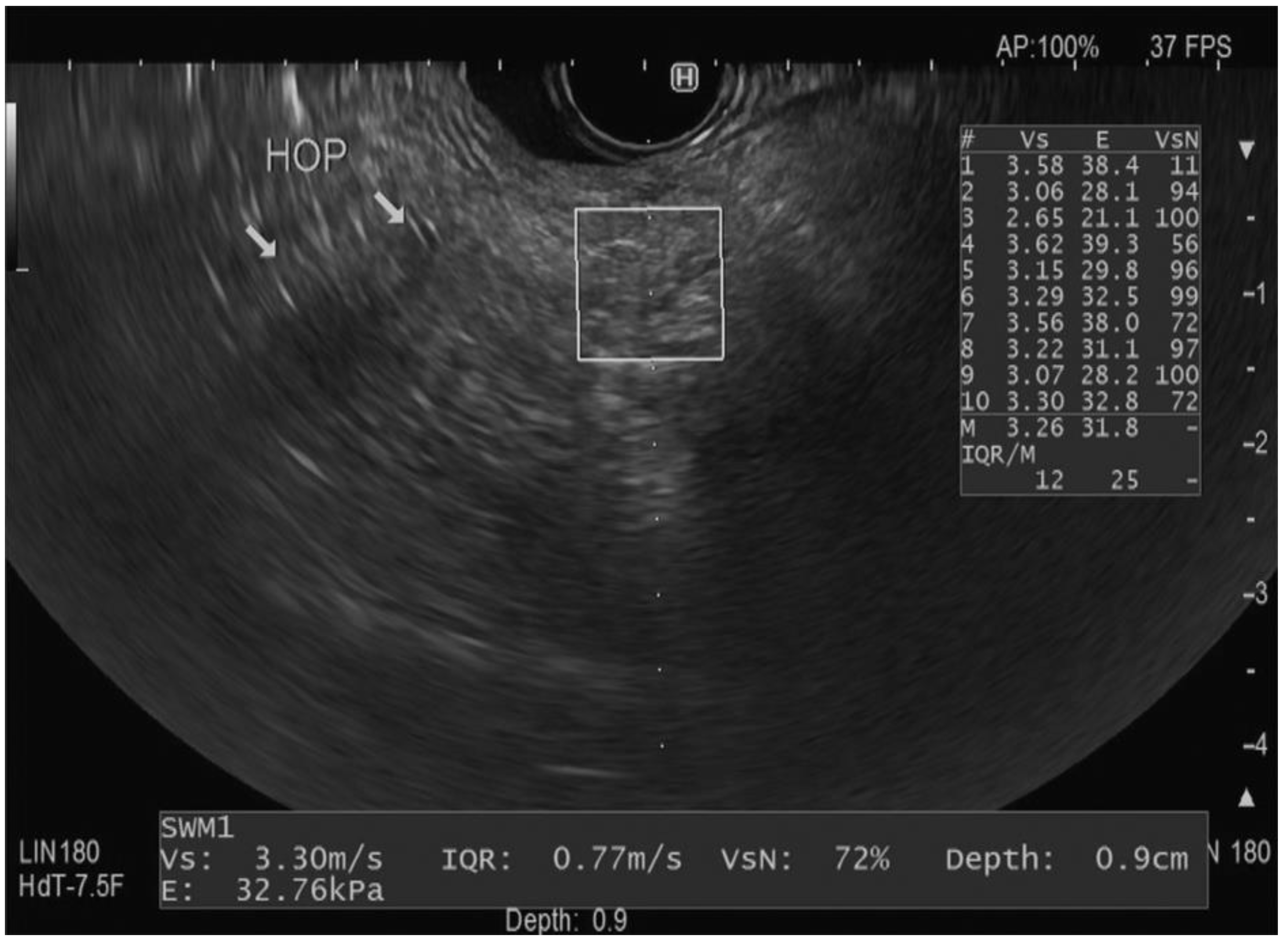
2. Technical Aspects of Endoscopic Ultrasound-Guided Shear Wave Elastography
3. Clinical Applications of Endoscopic Ultrasound-Guided Shear Wave Elastography
3.1. Pancreatic Tumors
3.2. Acute and Chronic Pancreatitis
Bottom of Form
3.3. Fatty Pancreas
4. Limitations of Endoscopic Ultrasound-Guided Shear Wave Elastography
5. Future Directions
6. Conclusions
Author Contributions
Funding
Institutional Review Board Statement
Informed Consent Statement
Data Availability Statement
Conflicts of Interest
References
- Goddi, A.; Bonardi, M.; Alessi, S. Breast elastography: A literature review. J. Ultrasound 2012, 15, 192–198. [Google Scholar] [CrossRef] [PubMed]
- Dhyani, M.; Anvari, A.; Samir, A.E. Ultrasound elastography: Liver. Abdom. Imaging 2015, 40, 698–708. [Google Scholar] [CrossRef] [PubMed]
- Zhao, C.K.; Xu, H.X. Ultrasound elastography of the thyroid: Principles and current status. Ultrasonography 2019, 38, 106–124. [Google Scholar] [CrossRef] [PubMed]
- Rix, A.; Lederle, W.; Theek, B.; Lammers, T.; Moonen, C.; Schmitz, G.; Kiessling, F. Advanced Ultrasound Technologies for Diagnosis and Therapy. J. Nucl. Med. 2018, 59, 740–746. [Google Scholar] [CrossRef]
- Iglesias-Garcia, J.; Lindkvist, B.; Lariño-Noia, J.; Domínguez-Muñoz, J.E. Endoscopic ultrasound elastography. Endosc. Ultrasound 2012, 1, 8–16. [Google Scholar] [CrossRef]
- Dietrich, C.F.; Hocke, M. Elastography of the Pancreas, Current View. Clin. Endosc. 2019, 52, 533–540. [Google Scholar] [CrossRef]
- Inoue, Y.; Kokudo, N. Elastography for hepato-biliary-pancreatic surgery. Surg. Today 2014, 44, 1793–1800. [Google Scholar] [CrossRef][Green Version]
- Franchi-Abella, S.; Elie, C.; Correas, J.M. Performances and Limitations of Several Ultrasound-Based Elastography Techniques: A Phantom Study. Ultrasound Med. Biol. 2017, 43, 2402–2415. [Google Scholar] [CrossRef]
- Ferraioli, G.; Barr, R.G.; Farrokh, A.; Radzina, M.; Cui, X.W.; Dong, Y.; Rocher, L.; Cantisani, V.; Polito, E.; D’Onofrio, M.; et al. How to perform shear wave elastography. Part II. Med. Ultrason. 2022, 24, 196–210. [Google Scholar] [CrossRef]
- Abboud, Y.; Kim, K.; Samaan, J.S.; Chen, C.; Lew, D.; Ghaith, J.; Caldera, W.; El Helou, M.O.; Park, K.H.; Liu, Q.; et al. Endoscopic Ultrasound Guided Shear Wave Elastography Is Safe with High Feasibility and Reproducibility When Used in the Pancreas: Findings From a Prospective Cohort. Pancreas 2023, 52, e115–e120. [Google Scholar] [CrossRef]
- Ferraioli, G.; Barr, R.G.; Farrokh, A.; Radzina, M.; Cui, X.W.; Dong, Y.; Rocher, L.; Cantisani, V.; Polito, E.; D’Onofrio, M.; et al. How to perform shear wave elastography. Part I. Med. Ultrason. 2022, 24, 95–106. [Google Scholar] [CrossRef] [PubMed]
- Taljanovic, M.S.; Gimber, L.H.; Becker, G.W.; Latt, L.D.; Klauser, A.S.; Melville, D.M.; Gao, L.; Witte, R.S. Shear-Wave Elastography: Basic Physics and Musculoskeletal Applications. Radiographics 2017, 37, 855–870. [Google Scholar] [CrossRef] [PubMed]
- Zhang, L.; Dong, Y.J.; Zhou, J.Q.; Jia, X.H.; Li, S.; Zhan, W.W. Similar Reproducibility for Strain and Shear Wave Elastography in Breast Mass Evaluation: A Prospective Study Using the Same Ultrasound System. Ultrasound Med. Biol. 2020, 46, 981–991. [Google Scholar] [CrossRef] [PubMed]
- Iglesias-Garcia, J.; Lariño-Noia, J.; de la Iglesia-García, D.; Dominguez-Muñoz, J.E. Endoscopic ultrasonography: Enhancing diagnostic accuracy. Best Pract. Res. Clin. Gastroenterol. 2022, 60–61, 101808. [Google Scholar] [CrossRef]
- Sigrist, R.M.S.; Liau, J.; Kaffas, A.E.; Chammas, M.C.; Willmann, J.K. Ultrasound Elastography: Review of Techniques and Clinical Applications. Theranostics 2017, 7, 1303–1329. [Google Scholar] [CrossRef]
- Okasha, H.H.; Mahdy, R.E.; Elkholy, S.; Hassan, M.S.; El-Mazny, A.N.; Hadad, K.E.E.; Saeed, M.; El-Nady, M.; Elbalky, O.S.; Ashraf, A.; et al. Endoscopic ultrasound (EUS) elastography and strain ratio, could it help in differentiating malignant from benign pancreatic lesions? Medicine 2018, 97, e11689. [Google Scholar] [CrossRef]
- Iglesias-Garcia, J.; Domínguez-Muñoz, J.E.; Castiñeira-Alvariño, M.; Luaces-Regueira, M.; Lariño-Noia, J. Quantitative elastography associated with endoscopic ultrasound for the diagnosis of chronic pancreatitis. Endoscopy 2013, 45, 781–788. [Google Scholar] [CrossRef]
- Cui, X.W.; Li, K.N.; Yi, A.J.; Wang, B.; Wei, Q.; Wu, G.G.; Dietrich, C.F. Ultrasound elastography. Endosc. Ultrasound 2022, 11, 252–274. [Google Scholar] [CrossRef]
- Yamashita, Y.; Kitano, M. Benefits and limitations of each type of endoscopic ultrasonography elastography technology for diagnosis of pancreatic diseases. Dig. Endosc. 2021, 33, 554–556. [Google Scholar] [CrossRef]
- Jia, W.; Luo, T.; Dong, Y.; Zhang, X.; Zhan, W.; Zhou, J. Breast Elasticity Imaging Techniques: Comparison of Strain Elastography and Shear-Wave Elastography in the Same Population. Ultrasound Med. Biol. 2021, 47, 104–113. [Google Scholar] [CrossRef]
- Dietrich, C.F.; Barr, R.G.; Farrokh, A.; Dighe, M.; Hocke, M.; Jenssen, C.; Dong, Y.; Saftoiu, A.; Havre, R.F. Strain Elastography—How To Do It? Ultrasound Int. Open 2017, 3, E137–E149. [Google Scholar] [CrossRef] [PubMed]
- Mulabecirovic, A.; Vesterhus, M.; Gilja, O.H.; Havre, R.F. In Vitro Comparison of Five Different Elastography Systems for Clinical Applications, Using Strain and Shear Wave Technology. Ultrasound Med. Biol. 2016, 42, 2572–2588. [Google Scholar] [CrossRef] [PubMed]
- Vachutka, J.; Sedlackova, Z.; Furst, T.; Herman, M.; Herman, J.; Salzman, R.; Dolezal, L. Evaluation of the Effect of Tissue Compression on the Results of Shear Wave Elastography Measurements. Ultrason. Imaging 2018, 40, 380–393. [Google Scholar] [CrossRef] [PubMed]
- Wang, T.J.; Ryou, M. Defining the optimal technique for endoscopic ultrasound shear wave elastography: A combined benchtop and animal model study with comparison to transabdominal shear wave elastography. Clin. Endosc. 2023, 56, 229–238. [Google Scholar] [CrossRef]
- Wu, H.; Wang, C.; An, Q.; Qu, X.; Wu, X.; Yan, Y. Comparing the accuracy of shear wave elastography and strain elastography in the diagnosis of breast tumors: A systematic review and meta-analysis. Medicine 2022, 101, e31526. [Google Scholar] [CrossRef]
- Rajabzadeh, F.; Hassannejad, E.; Akhlaghipour, I.; Imen, M.J.; Babazadeh Baghan, A.; Goshayeshi, L.; Taghavi, S.M.; Vojouhi, S.; Payandeh, A.; Moodi Ghalibaf, A. Differentiating benign and malignant thyroid nodules: A cross-sectional study on the comparison of diagnostic value of ultrasound elastography and fine needle aspiration biopsy. Health Sci. Rep. 2023, 6, e1619. [Google Scholar] [CrossRef]
- Sebag, F.; Vaillant-Lombard, J.; Berbis, J.; Griset, V.; Henry, J.F.; Petit, P.; Oliver, C. Shear wave elastography: A new ultrasound imaging mode for the differential diagnosis of benign and malignant thyroid nodules. J. Clin. Endocrinol. Metab. 2010, 95, 5281–5288. [Google Scholar] [CrossRef]
- Ohno, E.; Hirooka, Y.; Kawashima, H.; Ishikawa, T. Feasibility of EUS-guided shear-wave measurement: A preliminary clinical study. Endosc. Ultrasound 2019, 8, 215–216. [Google Scholar] [CrossRef]
- Kaya, M.; Gürün, E. Do deep inspiration breath-holds and free-breathing affect pancreatic tissue stiffness in shear wave elastography? Abdom. Radiol. 2022, 47, 2390–2396. [Google Scholar] [CrossRef]
- Audière, S.; Angelini, E.D.; Sandrin, L.; Charbit, M. Maximum likelihood estimation of shear wave speed in transient elastography. IEEE Trans. Med. Imaging 2014, 33, 1338–1349. [Google Scholar] [CrossRef]
- Engel, A.J.; Bashford, G.R. A new method for shear wave speed estimation in shear wave elastography. IEEE Trans. Ultrason. Ferroelectr. Freq. Control 2015, 62, 2106–2114. [Google Scholar] [CrossRef] [PubMed]
- Ohno, E.; Hirooka, Y.; Kawashima, H.; Ishikawa, T.; Tanaka, H.; Sakai, D.; Ishizu, Y.; Kuzuya, T.; Nakamura, M.; Honda, T. Feasibility and usefulness of endoscopic ultrasonography-guided shear-wave measurement for assessment of autoimmune pancreatitis activity: A prospective exploratory study. J. Med. Ultrason. 2019, 46, 425–433. [Google Scholar] [CrossRef] [PubMed]
- Yamashita, Y.; Tanioka, K.; Kawaji, Y.; Tamura, T.; Nuta, J.; Hatamaru, K.; Itonaga, M.; Yoshida, T.; Ida, Y.; Maekita, T.; et al. Utility of Elastography with Endoscopic Ultrasonography Shear-Wave Measurement for Diagnosing Chronic Pancreatitis. Gut Liver 2020, 14, 659–664. [Google Scholar] [CrossRef]
- Ohno, E.; Kawashima, H.; Ishikawa, T.; Iida, T.; Suzuki, H.; Uetsuki, K.; Yashika, J.; Yamada, K.; Yoshikawa, M.; Gibo, N.; et al. Diagnostic performance of endoscopic ultrasonography-guided elastography for solid pancreatic lesions: Shear-wave measurements versus strain elastography with histogram analysis. Dig. Endosc. 2021, 33, 629–638. [Google Scholar] [CrossRef] [PubMed]
- Yamashita, Y.; Yamazaki, H.; Shimokawa, T.; Kawaji, Y.; Tamumra, T.; Hatamaru, K.; Itonaga, M.; Ashida, R.; Kitano, M. Shear-wave versus strain elastography in endoscopic ultrasound for the diagnosis of chronic pancreatitis. Pancreatology 2023, 23, 35–41. [Google Scholar] [CrossRef]
- Shintani, S.; Inatomi, O.; Hiroe, K.; Tomozawa, Y.; Inoue, A.; Kimura, H.; Nishida, A.; Tsuji, Y.; Watanabe, Y.; Andoh, A. The diagnostic accuracy of endoscopic ultrasound-shear wave elastography in multiple pancreatic regions for chronic pancreatitis based on the Rosemont criteria. J. Med. Ultrason. 2023, 50, 485–492. [Google Scholar] [CrossRef]
- Sezgin, O.; Yaraş, S.; Özdoğan, O. The course and prognostic value of increased pancreas stiffness detected by ultrasound elastography during acute pancreatitis. Pancreatology 2021, 21, 1285–1290. [Google Scholar] [CrossRef]
- Blaho, M.; Dítě, P.; Kunovský, L.; Martínek, A. Fatty pancreas disease: Clinical impact. Vnitr. Lek. 2018, 64, 949–952. [Google Scholar] [CrossRef] [PubMed]
- Wagner, R.; Eckstein, S.S.; Yamazaki, H.; Gerst, F.; Machann, J.; Jaghutriz, B.A.; Schürmann, A.; Solimena, M.; Singer, S.; Königsrainer, A.; et al. Metabolic implications of pancreatic fat accumulation. Nat. Rev. Endocrinol. 2022, 18, 43–54. [Google Scholar] [CrossRef]
- Hori, M.; Takahashi, M.; Hiraoka, N.; Yamaji, T.; Mutoh, M.; Ishigamori, R.; Furuta, K.; Okusaka, T.; Shimada, K.; Kosuge, T.; et al. Association of pancreatic Fatty infiltration with pancreatic ductal adenocarcinoma. Clin. Transl. Gastroenterol. 2014, 5, e53. [Google Scholar] [CrossRef]
- Fujii, M.; Ohno, Y.; Yamada, M.; Kamada, Y.; Miyoshi, E. Impact of fatty pancreas and lifestyle on the development of subclinical chronic pancreatitis in healthy people undergoing a medical checkup. Environ. Health Prev. Med. 2019, 24, 10. [Google Scholar] [CrossRef] [PubMed]
- El Helou, M.O.; Abboud, Y.; Kim, K.; Chhoda, A.; Jeon, C.; Smith, Z.; Mubarak, M.; Advani, R.; Rafique, Y.; Meza, J.; et al. Utility of Endoscopic Ultrasound (EUS) Guided Shear Wave Elastography (SWE) in Fatty Pancreas: A Large Prospective Study. Gastroenterology 2023, 164, S-185. [Google Scholar] [CrossRef]
- Mohamed, G.; Zalomek, C.; El Helou, M.; Li, D.; Perrotta, G.; Rastegar, R.; Mathur, K.; Abboud, Y.; Kim, K.; Chhoda, A.; et al. Endoscopic Ultrasound Guided Shearwave Elastography (EUS-SWE) Predicts Fat in the Pancreas and Correlates with Fat-Fraction on Magnetic Resonance IMAGING (MRI): Results from a Prospective Study. Gastrointest. Endosc. 2024, 99, AB804. [Google Scholar] [CrossRef]
- Dong, Z.; Lok, U.W.; Lowerison, M.R.; Huang, C.; Chen, S.; Song, P. Three-Dimensional Shear Wave Elastography Using Acoustic Radiation Force and a 2-D Row-Column Addressing (RCA) Array. IEEE Trans. Ultrason. Ferroelectr. Freq. Control 2024, 71, 448–458. [Google Scholar] [CrossRef] [PubMed]
- Yoon, H.; Aglyamov, S.R.; Emelianov, S.Y. Dual-Phase Transmit Focusing for Multiangle Compound Shear-Wave Elasticity Imaging. IEEE Trans. Ultrason. Ferroelectr. Freq. Control 2017, 64, 1439–1449. [Google Scholar] [CrossRef]
- Mellema, D.C.; Song, P.; Kinnick, R.R.; Urban, M.W.; Greenleaf, J.F.; Manduca, A.; Chen, S. Probe Oscillation Shear Elastography (PROSE): A High Frame-Rate Method for Two-Dimensional Ultrasound Shear Wave Elastography. IEEE Trans. Med. Imaging 2016, 35, 2098–2106. [Google Scholar] [CrossRef]
- Yamamiya, A.; Irisawa, A.; Hoshi, K.; Yamabe, A.; Izawa, N.; Nagashima, K.; Minaguchi, T.; Yamaura, M.; Yoshida, Y.; Kashima, K.; et al. Recent Advances in Endosonography-Elastography: Literature Review. J. Clin. Med. 2021, 10, 3739. [Google Scholar] [CrossRef]


Disclaimer/Publisher’s Note: The statements, opinions and data contained in all publications are solely those of the individual author(s) and contributor(s) and not of MDPI and/or the editor(s). MDPI and/or the editor(s) disclaim responsibility for any injury to people or property resulting from any ideas, methods, instructions or products referred to in the content. |
© 2024 by the authors. Licensee MDPI, Basel, Switzerland. This article is an open access article distributed under the terms and conditions of the Creative Commons Attribution (CC BY) license (https://creativecommons.org/licenses/by/4.0/).
Share and Cite
Abboud, Y.; Gaddam, S. The Role of Endoscopic Ultrasound-Guided Shear Wave Elastography in Pancreatic Diseases. Diagnostics 2024, 14, 2329. https://doi.org/10.3390/diagnostics14202329
Abboud Y, Gaddam S. The Role of Endoscopic Ultrasound-Guided Shear Wave Elastography in Pancreatic Diseases. Diagnostics. 2024; 14(20):2329. https://doi.org/10.3390/diagnostics14202329
Chicago/Turabian StyleAbboud, Yazan, and Srinivas Gaddam. 2024. "The Role of Endoscopic Ultrasound-Guided Shear Wave Elastography in Pancreatic Diseases" Diagnostics 14, no. 20: 2329. https://doi.org/10.3390/diagnostics14202329
APA StyleAbboud, Y., & Gaddam, S. (2024). The Role of Endoscopic Ultrasound-Guided Shear Wave Elastography in Pancreatic Diseases. Diagnostics, 14(20), 2329. https://doi.org/10.3390/diagnostics14202329

