Baseline Choroidal Blood Flow Imbalance as a Predictive Factor for Macular Edema Recurrence Secondary to Branch Retinal Vein Occlusion
Abstract
1. Introduction
2. Materials and Methods
2.1. Participants
2.2. Treatment Protocol for Intravitreal Ranibizumab (IVR) Injections and Management of Macular Edema
2.3. Examinations
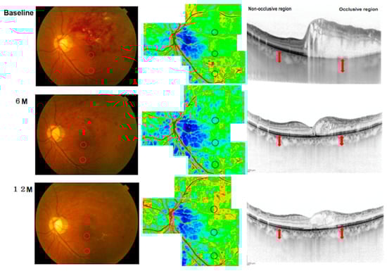
2.4. Measurement of Choroidal and Retinal Thickness
2.5. Measurement of Choroidal Blood Flow Using Laser Speckle Flowgraphy
2.6. Evaluation of Ocular Hemodynamics
2.7. Statistical Analysis
3. Results
3.1. Clinical and Laboratory Characteristics of Patients with Non-Ischemic Branch Retinal Vein Occlusion
3.2. Time-Course of Best-Corrected Visual Acuity
3.3. Baseline Retinal and Choroidal Thickness in Eyes with Branch Retinal Vein Occlusion
3.4. Time-Course of Retinal and Choroidal Thicknesses After Intravitreal Ranibizumab Injection Therapy in Eyes with Branch Retinal Vein Occlusion
3.5. Time-Course of Choroidal Blood Flow After Intravitreal Ranibizumab Therapy in Eyes with Branch Retinal Vein Occlusion
3.6. Hemodynamics
3.7. Safety
4. Discussion
5. Conclusions
Author Contributions
Funding
Institutional Review Board Statement
Informed Consent Statement
Data Availability Statement
Conflicts of Interest
References
- Rehak, J.; Rehak, M. Branch retinal vein occlusion: Pathogenesis, visual prognosis, and treatment modalities. Curr. Eye Res. 2008, 33, 111–131. [Google Scholar] [CrossRef] [PubMed]
- Heier, J.S.; Campochiaro, P.A.; Yau, L.; Li, Z.; Saroj, N.; Rubio, R.G.; Lai, P. Ranibizumab for macular edema due to retinal vein occlusions: Long-term follow-up in the HORIZON trial. Ophthalmology 2012, 119, 802–809. [Google Scholar] [CrossRef] [PubMed]
- Campochiaro, P.A.; Clark, W.L.; Boyer, D.S.; Heier, J.S.; Brown, D.M.; Vitti, R.; Kazmi, H.; Berliner, A.J.; Erickson, K.; Chu, K.W.; et al. Intravitreal aflibercept for macular edema following branch retinal vein occlusion: 52-week results of the VIBRANT study. Ophthalmology 2016, 123, 330–336. [Google Scholar]
- Tsuiki, E.; Suzuma, K.; Ueki, R.; Maekawa, Y.; Kitaoka, T. Enhanced depth imaging optical coherence tomography of the choroid in central retinal vein occlusion. Am. J. Ophthalmol. 2013, 156, 543–547. [Google Scholar] [CrossRef] [PubMed]
- Shin, Y.U.; Lee, M.J.; Lee, B.R. Choroidal maps in different types of macular edema in branch retinal vein occlusion using swept-source optical coherence tomography. Am. J. Ophthalmol. 2015, 160, 328–334. [Google Scholar] [CrossRef]
- Hasegawa, T.; Kawano, T.; Maruko, I.; Koizumi, H.; Iida, T. Clinical findings of eyes with macular edema associated with branch retinal vein occlusion refractory to ranibizumab. Retina 2018, 38, 1347–1353. [Google Scholar] [CrossRef]
- Nagaoka, T.; Sogawa, K.; Yoshida, A. Changes in retinal blood flow in patients with macular edema secondary to branch retinal vein occlusion before and after intravitreal injection of bevacizumab. Retina 2014, 34, 2037–2043. [Google Scholar] [CrossRef]
- Nitta, F.; Kunikata, H.; Aizawa, N.; Omodaka, K.; Shiga, Y.; Yasuda, M.; Nakazawa, T. The effect of intravitreal bevacizumab on ocular blood flow in diabetic retinopathy and branch retinal vein occlusion as measured by laser speckle flowgraphy. Clin. Ophthalmol. 2014, 8, 1119–1127. [Google Scholar]
- Fukami, M.; Iwase, T.; Yamamoto, K.; Kaneko, H.; Yasuda, S.; Terasaki, H. Changes in retinal microcirculation after intravitreal ranibizumab injection in eyes with macular edema secondary to branch retinal vein occlusion. Investig. Ophthalmol. Vis. Sci. 2017, 58, 1246–1255. [Google Scholar] [CrossRef]
- Kim, K.H.; Lee, D.H.; Lee, J.J.; Park, S.W.; Byon, I.S.; Lee, J.E. Regional choroidal thickness changes in branch retinal vein occlusion with macular edema. Ophthalmologica 2015, 234, 109–118. [Google Scholar] [CrossRef]
- Spaide, R.F.; Koizumi, H.; Pozzoni, M.C. Enhanced depth imaging spectral-domain optical coherence tomography. Am. J. Ophthalmol. 2008, 146, 496–500. [Google Scholar] [CrossRef] [PubMed]
- Isono, H.; Kishi, S.; Kimura, Y.; Hagiwara, N.; Konishi, N.; Fujii, H. Observation of choroidal circulation using index of erythrocytic velocity. Arch. Ophthalmol. 2003, 121, 225–231. [Google Scholar] [CrossRef] [PubMed]
- Saito, M.; Saito, W.; Hirooka, K.; Hashimoto, Y.; Mori, S.; Noda, K.; Ishida, S. Pulse waveform changes in macular choroidal hemodynamics with regression of acute central serous chorioretinopathy. Investig. Ophthalmol. Vis. Sci. 2015, 56, 6515–6522. [Google Scholar] [CrossRef]
- Iwase, T.; Yamamoto, K.; Kobayashi, M.; Ra, E.; Murotani, K.; Terasaki, H. What ocular and systemic variables affect choroidal circulation in healthy eyes. Medicine 2016, 95, e5102. [Google Scholar] [CrossRef]
- Hashimoto, R.; Hirota, A.; Maeno, T. Choroidal blood flow impairment demonstrated using laser speckle flowgraphy in a case of commotio retinae. Am. J. Ophthalmol. Case Rep. 2016, 4, 30–34. [Google Scholar] [CrossRef]
- Hashimoto, R.; Kawamura, J.; Hirota, A.; Oyamada, M.; Sakai, A.; Maeno, T. Changes in choroidal blood flow and choroidal thickness after treatment in two cases of pediatric anisohypermetropic amblyopia. Am. J. Ophthalmol. Case Rep. 2017, 8, 39–43. [Google Scholar] [CrossRef]
- Tan, C.S.; Ouyang, Y.; Ruiz, H.; Sadda, S.R. Diurnal variation of choroidal thickness in normal, healthy subjects measured by spectral domain optical coherence tomography. Investig. Ophthalmol. Vis. Sci. 2012, 53, 261–266. [Google Scholar] [CrossRef]
- Sugiyama, T.; Araie, M.; Riva, C.E.; Schmetterer, L.; Orgul, S. Use of laser speckle flowgraphy in ocular blood flow research. Acta Ophthalmol. 2010, 88, 723–729. [Google Scholar] [CrossRef]
- Sugiyama, T. Basic technology and clinical applications of the updated model of laser speckle flowgraphy to ocular diseases. Photonics 2014, 1, 220–234. [Google Scholar] [CrossRef]
- Fujii, H. Visualisation of retinal blood flow by laser speckle flowgraphy. Med. Biol. Eng. Comput. 1994, 32, 302–304. [Google Scholar] [CrossRef]
- Riva, C.E.; Titze, P.; Hero, M.; Petrig, B.L. Effect of acute decreases of perfusion pressure on choroidal blood flow in humans. Investig. Ophthalmol. Vis. Sci. 1997, 38, 1752–1760. [Google Scholar]
- Okuno, T.; Sugiyama, T.; Kohyama, M.; Kojima, S.; Oku, H.; Ikeda, T. Ocular blood flow changes after dynamic exercise in humans. Eye 2006, 20, 796–800. [Google Scholar] [CrossRef]
- Jaissle, G.B.; Szurman, P.; Feltgen, N.; Spitzer, B.; Pielen, A.; Rehak, M.; Spital, G.; Heimann, H.; Meyer, C.H.; Retinal Vein Occlusion Study Group. Predictive factors for functional improvement after intravitreal bevacizumab therapy for macular edema due to branch retinal vein occlusion. Graefes Arch. Clin. Exp. Ophthalmol. 2011, 249, 183–192. [Google Scholar] [CrossRef]
- Bhisitkul, R.B.; Campochiaro, P.A.; Shapiro, H.; Rubio, R.G. Predictive value in retinal vein occlusions of early versus late or incomplete ranibizumab response defined by optical coherence tomography. Ophthalmology 2013, 120, 1057–1063. [Google Scholar] [CrossRef]
- Noma, H.; Mimura, T.; Yasuda, K.; Nakagawa, H.; Motohashi, R.; Kotake, O.; Shimura, M. Cytokines and recurrence of macular edema after intravitreal ranibizumab in patients with branch retinal vein occlusion. Ophthalmologica 2016, 236, 228–234. [Google Scholar] [CrossRef]
- Moon, B.G.; Cho, A.R.; Kim, Y.N.; Kim, J.G. Predictors of refractory macular edema after branch retinal vein occlusion following intravitreal bevacizumab. Retina 2018, 38, 1166–1174. [Google Scholar] [CrossRef]
- Okamoto, M.; Yamashita, M.; Sakamoto, T.; Ogata, N. Choroidal blood flow and thickness as predictors for response to anti-vascular endothelial growth factor therapy in macular edema secondary to branch retinal vein occlusion. Retina 2018, 38, 550–558. [Google Scholar] [CrossRef]
- Hayreh, S.S.; Baines, J.A. Occlusion of the posterior ciliary artery. II. Chorio-Retin. Lesions. Br. J. Ophthalmol. 1972, 56, 736–753. [Google Scholar] [CrossRef]
- Sparrow, J.; Hicks, D.; Hamel, C.P. The retinal pigment epithelium in health and disease. Curr. Mol. Med. 2010, 10, 802–823. [Google Scholar] [CrossRef] [PubMed]
- Luksch, A.; Maár, N.; Tittl, M.; Ergun, E.; Findl, O.; Stur, M.; Schmetterer, L. Evaluation of pulsatile choroidal blood flow in branch retinal vein occlusion. Graefes Arch. Clin. Exp. Ophthalmol. 2002, 240, 548–550. [Google Scholar] [CrossRef]
- Yumusak, E.; Ornek, K.; Dikel, N.H. Comparison of choroidal thickness changes following intravitreal dexamethasone, ranibizumab, and triamcinolone in eyes with retinal vein occlusion. Eur. J. Ophthalmol. 2016, 26, 627–632. [Google Scholar] [CrossRef]
- Tilton, R.G.; Chang, K.C.; LeJeune, W.S.; Stephan, C.C.; Brock, T.A.; Williamson, J.R. Role for nitric oxide in the hyperpermeability and hemodynamic changes induced by intravenous VEGF. Investig. Ophthalmol. Vis. Sci. 1999, 40, 689–696. [Google Scholar]
- Saint-Geniez, M.; Maldonado, A.E.; D’Amore, P.A. VEGF expression and receptor activation in the choroid during development and in the adult. Investig. Ophthalmol. Vis. Sci. 2006, 47, 3135–3142. [Google Scholar] [CrossRef] [PubMed]
- Sonoda, S.; Sakamoto, T.; Yamashita, T.; Shirasawa, M.; Uchino, E.; Terasaki, H.; Tomita, M. Choroidal structure in normal eyes and after photodynamic therapy determined by binarization of optical coherence tomographic images. Investig. Ophthalmol. Vis. Sci. 2014, 55, 3893–3899. [Google Scholar] [CrossRef]
- Schmidl, D.; Schmetterer, L.; Garhöfer, G.; Popa-Cherecheanu, A. Factors Associated with Choroidal Blood Flow Regulation in Healthy Young Subjects. Investig. Ophthalmol. Vis. Sci. 2016, 57, 5705–5713. [Google Scholar] [CrossRef]








| Patients (n) | 16 |
| Men:women | 10:6 |
| Age (years) | 67.6 ± 13.2 |
| Major BRVO:macular BRVO | 10:6 |
| Axial length (mm) in the affected eye | 23.0 ± 0.9 |
| Systolic blood pressure (mmHg) | 139.0 ± 21.2 |
| Diastolic blood pressure (mmHg) | 82.3 ± 11.4 |
| Ocular perfusion pressure (mmHg) | 56.5 ± 9.2 |
| Hypertension (%) | 13/16 (81.3) |
| Hyperlipidemia (%) | 7/16 (43.8) |
| Type 2 diabetes mellitus (%) Administration of ARB (%) Administration of CCB (%) Administration of statin (%) Administration of hypoglycemic agents (%) | 1/16 (6.3) 8/16 (50.0) 3/16 (18.8) 3/16 (18.8) 1/16 (6.3) |
| Duration of visual disturbance from onset (weeks) | 7.8 ± 8.0 |
| Triglyceride (mg/dL) | 173 ± 218 |
| HDL cholesterol (mg/dL) | 50.9 ± 16.5 |
| LDL cholesterol (mg/dL) | 112.0 ± 18.3 |
| Fasting plasma glucose (mg/dL) | 109.0 ± 28.5 |
| Hemoglobin A1c (%) | 5.7 ± 0.3 |
| eGFR (mL/minutes per 1.73 m2) | 64.4 ± 22.1 |
| Creatinine (mg/dL) | 0.8 ± 0.2 |
| Red blood cells (×106 μL) | 4.3 ± 0.4 |
| Hemoglobin (g/dL) | 13.7 ± 1.3 |
| Hematocrit (%) | 40.4 ± 3.4 |
| r | p-Value | |||
|---|---|---|---|---|
| Age | 0.036 | 0.894 | ||
| Axial length | 0.154 | 0.615 | ||
| LogMAR visual acuity at baseline | 0.589 | 0.016 | ||
| Duration of visual disturbance from onset | −0.035 | 0.197 | ||
| Systolic blood pressure at baseline | −0.644 | 0.063 | ||
| Diastolic blood pressure at baseline | −0.443 | 0.113 | ||
| Ocular perfusion pressure at baseline | −0.517 | 0.059 | ||
| Retinal thickness in the occlusive region at baseline | 0.466 | 0.069 | ||
| Retinal thickness in the non-occlusive region at baseline | −0.167 | 0.536 | ||
| Central foveal thickness at baseline | 0.697 | 0.013 | ||
| Choroidal thickness in the occlusive region at baseline | 0.151 | 0.576 | ||
| Choroidal thickness in the non-occlusive region at baseline | −0.307 | 0.248 | ||
| Choroidal thickness in the subfovea at baseline | −0.302 | 0.256 | ||
| Occlusive:non-occlusive region choroidal thickness ratio at baseline | 0.317 | 0.232 | ||
| Occlusive:non-occlusive region choroidal blood flow ratio at baseline | −0.501 | 0.048 | ||
| LogMAR, logarithm of minimal angle of resolution. | ||||
Disclaimer/Publisher’s Note: The statements, opinions and data contained in all publications are solely those of the individual author(s) and contributor(s) and not of MDPI and/or the editor(s). MDPI and/or the editor(s) disclaim responsibility for any injury to people or property resulting from any ideas, methods, instructions or products referred to in the content. |
© 2024 by the authors. Licensee MDPI, Basel, Switzerland. This article is an open access article distributed under the terms and conditions of the Creative Commons Attribution (CC BY) license (https://creativecommons.org/licenses/by/4.0/).
Share and Cite
Hashimoto, R.; Aso, K.; Yata, K.; Fujioka, N.; Tanaka, K.; Moriyama, S.; Hirota, A.; Kawamura, J.; Maeno, T. Baseline Choroidal Blood Flow Imbalance as a Predictive Factor for Macular Edema Recurrence Secondary to Branch Retinal Vein Occlusion. Diagnostics 2024, 14, 2328. https://doi.org/10.3390/diagnostics14202328
Hashimoto R, Aso K, Yata K, Fujioka N, Tanaka K, Moriyama S, Hirota A, Kawamura J, Maeno T. Baseline Choroidal Blood Flow Imbalance as a Predictive Factor for Macular Edema Recurrence Secondary to Branch Retinal Vein Occlusion. Diagnostics. 2024; 14(20):2328. https://doi.org/10.3390/diagnostics14202328
Chicago/Turabian StyleHashimoto, Ryuya, Kenichiro Aso, Keisuke Yata, Naoki Fujioka, Kazufumi Tanaka, Serika Moriyama, Asato Hirota, Juri Kawamura, and Takatoshi Maeno. 2024. "Baseline Choroidal Blood Flow Imbalance as a Predictive Factor for Macular Edema Recurrence Secondary to Branch Retinal Vein Occlusion" Diagnostics 14, no. 20: 2328. https://doi.org/10.3390/diagnostics14202328
APA StyleHashimoto, R., Aso, K., Yata, K., Fujioka, N., Tanaka, K., Moriyama, S., Hirota, A., Kawamura, J., & Maeno, T. (2024). Baseline Choroidal Blood Flow Imbalance as a Predictive Factor for Macular Edema Recurrence Secondary to Branch Retinal Vein Occlusion. Diagnostics, 14(20), 2328. https://doi.org/10.3390/diagnostics14202328

