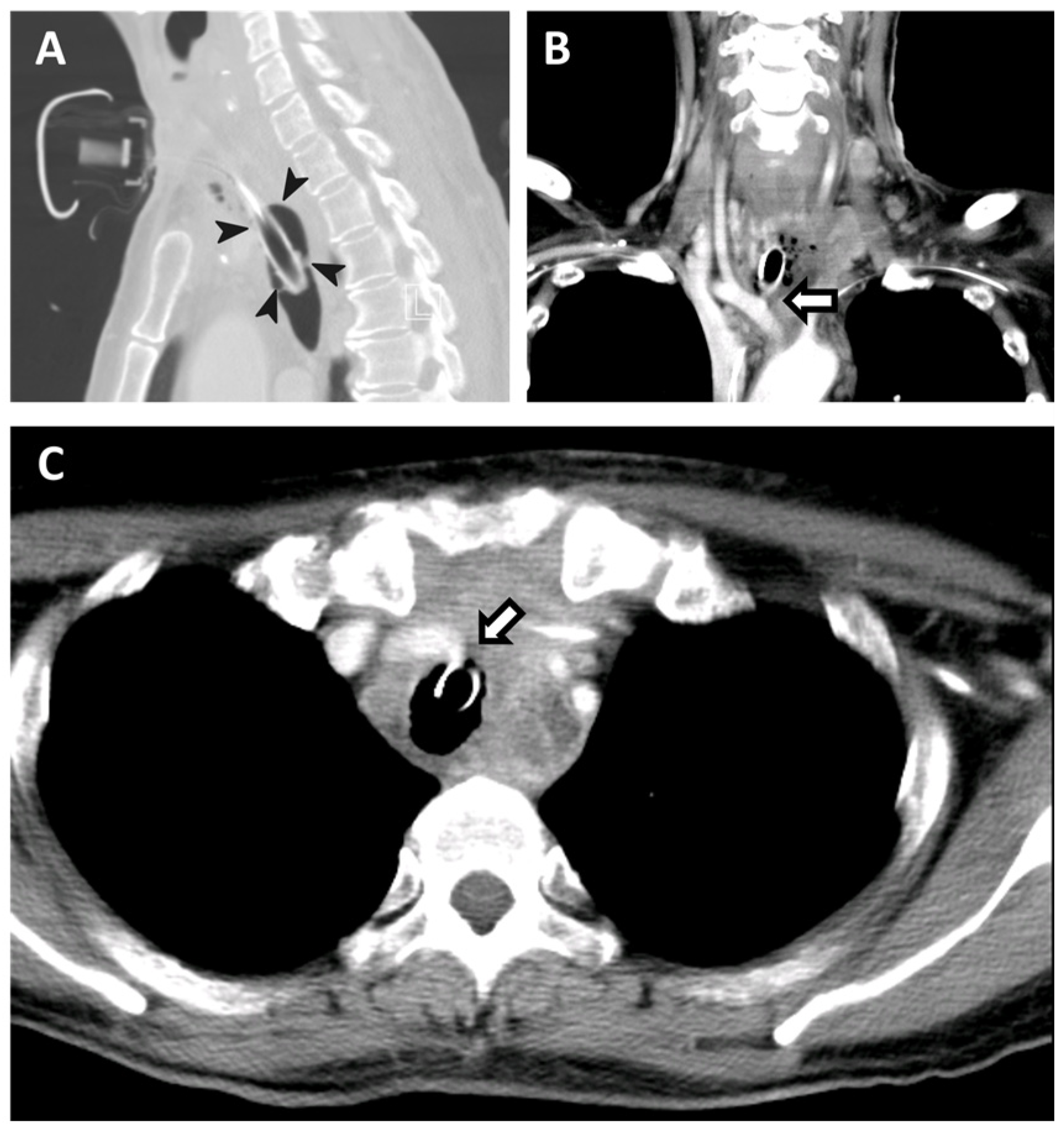
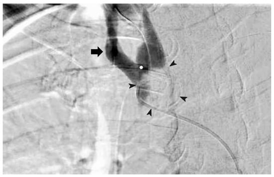
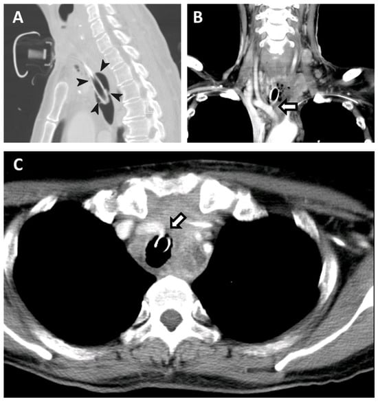
Over-Inflating a Tracheostomy Tube Cuff for Tracheo-Innominate Artery Fistula
Abstract
Supplementary Materials
Author Contributions
Funding
Institutional Review Board Statement
Informed Consent Statement
Conflicts of Interest
References
- Jones, J.W.; Reynolds, M.; Hewitt, R.L.; Drapanas, T. Tracheo-innominate artery erosion: Successful surgical management of a devastating complication. Ann. Surg. 1976, 184, 194–204. [Google Scholar] [CrossRef] [PubMed]
- Ramadan, H.H.; El Solh, A.A. An update on otolaryngology in critical care. Am. J. Respir. Crit. Care Med. 2004, 169, 1273–1277. [Google Scholar] [CrossRef] [PubMed]
- Lin, C.Y.; Lee, K.C.; Yang, M.S.; Lieu, F.K. Tracheoinnominate artery fistula after percutaneous tracheostomy. J. Formos. Med. Assoc. 2015, 114, 88–89. [Google Scholar] [CrossRef] [PubMed]
- Menen, R.S.; Pak, J.J.; Dowell, M.A.; Patel, A.R.; Ashiku, S.K.; Velotta, J.B. Treatment of Tracheoinnominate Fistula with Ligation of the Innominate Artery: A Case Report. Perm. J. 2016, 20, 15–166. [Google Scholar] [CrossRef] [PubMed]
- Khanafer, A.; Hellstern, V.; Meissner, H.; Harmening, C.; Schneider, K.; Henkes, H. Tracheoinnominate fistula: Acute bleeding and hypovolemic shock due to a trachea-innominate artery fistula after long-term tracheostomy, treated with a stent-graft. CVIR Endovasc. 2021, 4, 30. [Google Scholar] [CrossRef] [PubMed]


Disclaimer/Publisher’s Note: The statements, opinions and data contained in all publications are solely those of the individual author(s) and contributor(s) and not of MDPI and/or the editor(s). MDPI and/or the editor(s) disclaim responsibility for any injury to people or property resulting from any ideas, methods, instructions or products referred to in the content. |
© 2024 by the authors. Licensee MDPI, Basel, Switzerland. This article is an open access article distributed under the terms and conditions of the Creative Commons Attribution (CC BY) license (https://creativecommons.org/licenses/by/4.0/).
Share and Cite
Hsieh, Y.-C.; Tang, W.-R.; Chen, Y.-Y. Over-Inflating a Tracheostomy Tube Cuff for Tracheo-Innominate Artery Fistula. Diagnostics 2024, 14, 223. https://doi.org/10.3390/diagnostics14020223
Hsieh Y-C, Tang W-R, Chen Y-Y. Over-Inflating a Tracheostomy Tube Cuff for Tracheo-Innominate Artery Fistula. Diagnostics. 2024; 14(2):223. https://doi.org/10.3390/diagnostics14020223
Chicago/Turabian StyleHsieh, Yi-Chia, Wen-Ruei Tang, and Ying-Yuan Chen. 2024. "Over-Inflating a Tracheostomy Tube Cuff for Tracheo-Innominate Artery Fistula" Diagnostics 14, no. 2: 223. https://doi.org/10.3390/diagnostics14020223
APA StyleHsieh, Y.-C., Tang, W.-R., & Chen, Y.-Y. (2024). Over-Inflating a Tracheostomy Tube Cuff for Tracheo-Innominate Artery Fistula. Diagnostics, 14(2), 223. https://doi.org/10.3390/diagnostics14020223

